medigraphic.com
ENGLISH

Revista del Centro Dermatológico Pascua

ISSN 1405-1710 (Impreso)
  • Mostrar índice
  • Números disponibles
  • Información
    • Información general        
    • Directorio
  • Publicar
    • Instrucciones para autores        
  • medigraphic.com
    • Inicio
    • Índice de revistas            
    • Registro / Acceso
  • Mi perfil

2023, Número 1

<< Anterior Siguiente >>

Rev Cent Dermatol Pascua 2023; 32 (1)


Hiperqueratosis nevoide del pezón

Domínguez-Ugalde, María Guadalupe1; Navarrete-Franco, Gisela2; Ramírez-Gómez, Karen Montserrat3
Texto completo Cómo citar este artículo 10.35366/114846

DOI

DOI: 10.35366/114846
URL: https://dx.doi.org/10.35366/114846
Artículos similares

Idioma: Español
Referencias bibliográficas: 12
Paginas: 15-18
Archivo PDF: 328.37 Kb.


PALABRAS CLAVE

hiperqueratosis nevoide, pezón, areola.

RESUMEN

La hiperqueratosis nevoide del pezón y la areola es una dermatosis poco frecuente, benigna y de curso crónico. Afecta principalmente al sexo femenino y en general es bilateral. Respecto a su etiología se han propuesto factores hormonales, ya que se presenta durante la pubertad y el embarazo. Se caracteriza por engrosamiento, de aspecto verrugoso, y pigmentación del pezón y/o la areola, difuso y de bordes mal definidos. Asintomática y de curso crónico. En este artículo se comunica el caso de una paciente de 40 años de edad, con dermatosis de seis años de evolución, localizada en areola y pezón izquierdo. Se realiza biopsia incisional cuyo diagnóstico fue compatible con hiperqueratosis nevoide del pezón y la areola.



INTRODUCCIóN

La hiperqueratosis del pezón y la areola (HPA) es una dermatosis poco frecuente, de etiología desconocida y benigna, que afecta sobre todo a mujeres en edad fértil, caracterizada por engrosamiento, de aspecto verrugoso, e hiperpigmentación de la areola, pezón o ambos, sin causar daño en la función mamaria.1 Fue descrita por primera vez por Tauber en 1923, y hasta la fecha se han publicado aproximadamente 70 casos en la literatura.

En 1938 Levy-Frankel2 clasificó la HPA en tres tipos:

  • 1. Hiperqueratosis como extensión de un nevo epidérmico, hiperqueratósico, verrugoso, por lo regular unilateral e idiopática.2,3
  • 2. Hiperqueratosis del pezón y la areola asociadas a otras dermatosis como nevos organoides, leiomiomas, dermatitis atópica, verrugas, ictiosis eritrodérmica congénita o adquirida, acantosis nigricans, linfoma cutáneo de células T, candidiasis mucocutánea crónica, eritrodermia y enfermedad de Darier.2-4
  • 3. Hiperqueratosis nevoide del pezón y la areola, que representa a nuestro caso, sin asociación con nevo epidérmico u otras dermatosis.2,3

La hiperqueratosis nevoide del pezón y la areola (HNPA) es una dermatosis poco frecuente, idiopática, que puede afectar a mujeres y hombres, sin embargo, alrededor de 80% de los casos corresponden al sexo femenino, en quienes se presenta dentro de la segunda o tercera década de la vida, a diferencia de los hombres, en los que es variable. Generalmente es bilateral, aunque, como en nuestra paciente, existen casos unilaterales publicados en la literatura; 72% presenta afectación en areola y pezón, y 28% solo en el pezón.3,5,6

La etiología es aún desconocida. Se ha sugerido que los estrógenos pueden estar involucrados. Esta teoría fue propuesta por Mold y Jegasothy7 al reportar dos casos de pacientes que desarrollaron HNPA posterior a recibir dietilestilbestrol para el adenocarcinoma de próstata. Además de algunos casos en los que las lesiones iniciaron con la pubertad o durante el embarazo.

Por lo anterior, Allegue y colaboradores8 propusieron subdividir el tercer tipo en dos variantes: la primera incluye mujeres en edad fértil y hombres que hayan recibido tratamiento previo con estrógenos o espironolactona, y la segunda a mujeres de edad avanzada y hombres sin alteraciones hormonales. No obstante, no todas las pacientes con HNPA tienen el antecedente de recibir estrógenos, como el caso de nuestra paciente, por lo que esta clasificación no es del todo aceptada.

La HNPA se caracteriza clínicamente por el engrosamiento de aspecto verrugoso y pigmentación difusos del pezón y/o la areola, los bordes son mal delimitados. Aunque también existen casos con lesiones bien circunscritas, como el caso motivo de esta publicación, la cual es asintomática y de curso crónico.

La HNPA es un diagnóstico de exclusión que se hace con base en las características clínicas y el resultado del estudio histopatológico. Es necesario hacer diagnóstico diferencial con entidades clínicas como enfermedad de Paget, carcinoma basocelular superficial,9 dermatofitosis, enfermedad de Bowen y, sobre todo, con la HPA tipos 1 y 2.

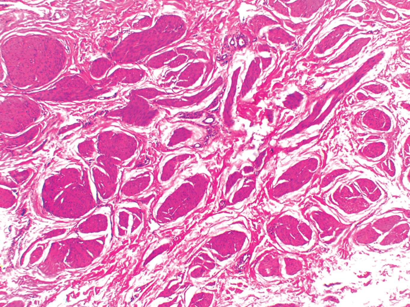
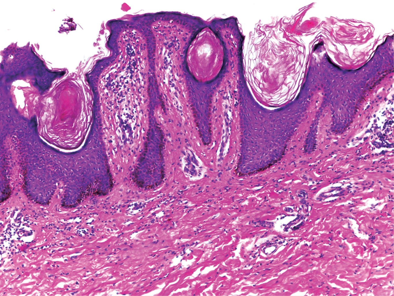
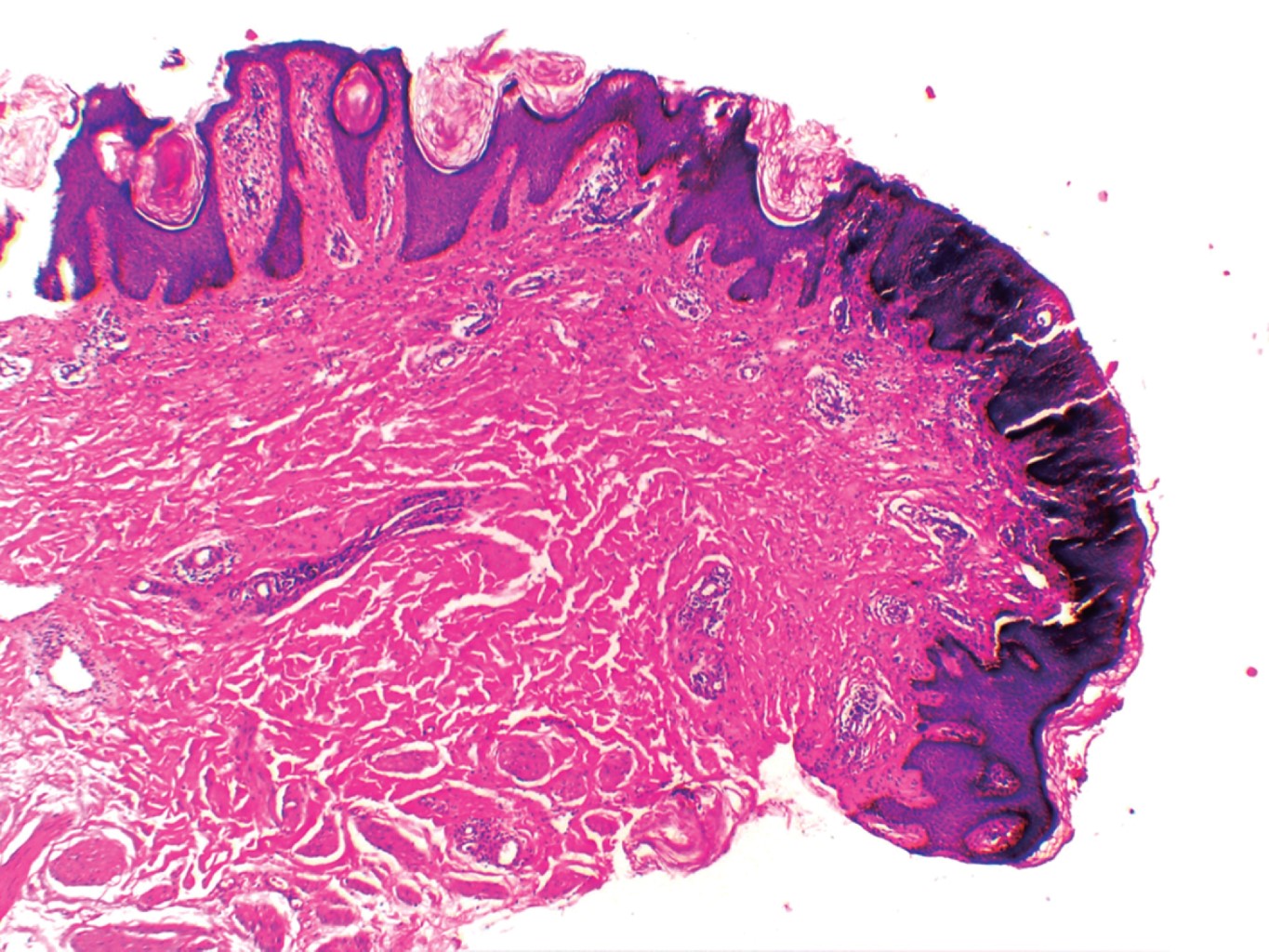
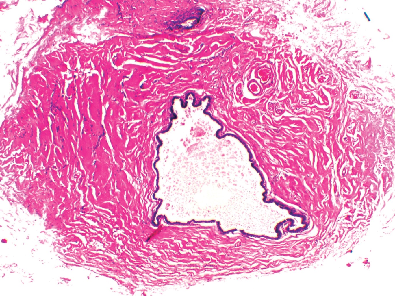
La histopatología muestra hiperqueratosis ortoqueratósica con algunos tapones córneos, acantosis leve; en la capa basal de la epidermis se observa hiperpigmentación, sin aumento en los melanocitos, y papilomatosis con marcada elongación de los procesos interpapilares de forma filiforme, o engrosamiento de los mismos; en la dermis se aprecian fibras de colágena engrosadas con leve infiltrado linfocitario perivascular.1

El tratamiento médico de la HNPA se ha asociado al fracaso o recidiva después de su interrupción, por lo que se requiere terapia intermitente. Se han empleado queratolíticos como urea al 40%, ácido salicílico o ácido láctico al 12%,3 tretinoína tópica e incluso esteroides. Con todo, Guevara y colaboradores6 reportaron un caso de HPA unilateral en un paciente del sexo masculino, de 35 años de edad, tratado con calcipotriol tópico al 0.3% cada 12 horas por seis meses, con lo que presentó resolución completa de la hiperqueratosis, únicamente quedando hiperpigmentación residual. Tiempo después Cinotti y colaboradores10 describieron el caso de una paciente de 24 años con HNPA unilateral, tratada con tacalcitol tópico cada 24 horas por seis meses, con resolución completa de la lesión desde el primer mes de tratamiento. Se le dio seguimiento durante seis meses, tiempo en el que no se observó recidiva de la lesión. Los dos artículos mencionados son reportes de caso, por lo que no podemos asegurar que el empleo de esos medicamentos sea efectivo para todos los pacientes.

En cuanto a otras terapias, se han utilizado nitrógeno líquido y láser CO2 sin buenos resultados. La opción para pacientes que no responden a tratamiento médico es la escisión de las lesiones por rasurado o curetaje. Swan y colaboradores11 reportaron el caso de una paciente de 29 años de edad con HNPA bilateral de 13 años de evolución, con repercusión psicosocial por la misma patología, la cual había sido tratada con ácido salicílico al 2% y ácido láctico al 5% sin éxito. Se efectuó rasurado de las lesiones, sin complicaciones, con adecuada apariencia estética y sin recidivas a los 12 meses.

Posteriormente, Milanovic R y colaboradores12 describieron el caso de una paciente de 19 años con HNPA bilateral tratada sin éxito con medicamentos tópicos a quien se le realizó escisión de la hiperqueratosis con reconstrucción de areola e injerto de región inguinal, con adecuados resultados estéticos.



CASO CLíNICO

Paciente del sexo femenino, de 40 años de edad, sin antecedentes de importancia, quien acude al Centro Dermatológico Pascua por presentar lesión en pezón y areola izquierda de seis años de evolución.

A la exploración física se observa dermatosis localizada a tronco, del que afecta areola y pezón izquierdos, constituida por una placa hiperpigmentada color marrón oscuro, de aspecto verrugoso, de bordes bien definidos (Figuras 1 y 2). Dicha dermatosis era de evolución crónica y asintomática, sin embargo, a la paciente le preocupaba el aspecto estético de la misma.

Al interrogatorio dirigido no se encontró relación con la toma de anticonceptivos hormonales o embarazo previo. Por lo que se hizo diagnóstico presuntivo de hiperqueratosis nevoide del pezón y la areola. Se realizó biopsia incisional que reportó epidermis con zonas de hiperqueratosis, formación de tapones córneos y áreas de acantosis regular e hiperplasia de tipo pseudoepiteliomatosa y papilomatosis. En la dermis superficial y media se observaron infiltrados linfocitarios focales y perivasculares, además de algunas zonas de fibrosis, lo cual fue compatible con el diagnóstico presuntivo (Figuras 3, 4, 5 y 6).

Haciendo correlación clínico-histopatológica se clasifica el caso como HNPA tipo 3. Se indicó urea al 40% cada 24 horas. Desafortunadamente, la paciente ya no acudió a ninguna cita de control, por lo que se desconoce la evolución.



COMENTARIO

La hiperqueratosis nevoide del pezón y la areola es una dermatosis poco frecuente, benigna y crónica, generalmente refractaria a tratamiento, lo cual influye en forma muy importante en el entorno psicosocial de los pacientes.

Se presenta el caso para que se considere esta patología dentro de los diagnósticos diferenciales ante lesiones parecidas en esa topografía, y para hacer hincapié en la necesidad de llevar a cabo un diagnóstico temprano y evitar así la aplicación de medicamentos que retrasen la mejoría de la dermatosis, ya de por sí difícil de manejar, y tomando en cuenta el gran impacto que genera en quienes la padecen.


REFERENCIAS (EN ESTE ARTÍCULO)

  1. Mercadillo PP, Sandoval NJ, García RV, Peniche RJ. Hiperqueratosis de areola y/o pezón. Rev Med Hosp Gen Mex. 2004; 67: 203-207.

  2. Levy-Franckel A. Les hyperkeratoses de l'areole et du mamelon. Paris Med. 1938: 28: 63-66.

  3. Legña M, Mata G. Hiperqueratosis nevoide de areola y pezón unilateral (NHNA): reporte de un caso clínico. Dermatol Perú. 2017; 27: 39-42.

  4. Polat EA, Ozturk SS, Buyukbabani N, Baykal C. The dilemma of coexisting nevoid hyperkeratosis of the nipple and areola in mycosis fungoides: a report of three cases. Dermatopathology (Basel). 2015; 2: 61-66.

  5. Krishnan RS, Angel TA, Roark TR, Hsu S. Nevoid hyperkeratosis of the nipple and/or areola: a report of two cases and a review of the literature. Int J Dermatol. 2002; 41: 775-777.

  6. Guevara-Gutiérrez E, Tarango-Martínez VM, Sandoval-Tress C, Hernández-Torres M. Hiperqueratosis nevoide del pezón y la areola unilateral tratada con calcitriol tópico. Actas Dermosifiliogr. 2008; 99: 500-501.

  7. Mold DE, Jegasothy BV. Estrogen-induced hyperkeratosis of the nipple. Cutis. 1980; 26: 95-96.

  8. Allegue F, Soria C, Rocamora A, Fraile G, Ledo A. Hyperkeratosis of the nipple and areola in a patient with cutaneous T-cell lymphoma. Int J Dermatol. 1990; 29: 519-520.

  9. Mazzella C, Costa C, Fabbrocini G, Marangi GF, Russo D, Merolla F et al. Nevoid hyperkeratosis of the nipple mimicking a pigmented basal cell carcinoma. JAAD Case Rep. 2016; 2: 500-501.

  10. Cinotti E, Provvidenziale L, Miracco C, Rubegni P. Treatment of nevoid hyperkeratosis of the areola and nipple with topical tacalcitol: a case report. Dermatol Ther. 2018; 31: e12602. doi: 10.1111/dth.12602.

  11. Swan MC, Gwilym SE, Hollowood K, Venning V, Cassell O. Treatment of nevoid hyperkeratosis of the nipple and areola by shave excision. Ann Plast Surg. 2004; 53: 510-512.

  12. Milanovic R, Martic K, Stanec S, Zic R, Vlajcic Z, Stanec Z. Surgical treatment of nevoid hyperkeratosis of the areola by removal of the areola and reconstruction with a skin graft. Ann Plast Surg. 2005; 54: 667-669.



AFILIACIONES

1 Dermatóloga.

2 Jefe del Servicio de Dermatopatología.

3 Residente del segundo año de Dermatología.
Centro Dermatológico "Dr. Ladislao de la Pascua", SSCDMX.



CORRESPONDENCIA

Dra. María Guadalupe Domínguez-Ugalde. E-mail: 77magu@mail.com


Figura 1
Figura 2
Figura 3
Figura 4
Figura 5
Figura 6

2020     |     www.medigraphic.com

Mi perfil

C?MO CITAR (Vancouver)

Rev Cent Dermatol Pascua. 2023;32

ARTíCULOS SIMILARES

CARGANDO ...