medigraphic.com
ENGLISH

Cirugía de Columna

ISSN 2992-7749 (Digital)
ISSN 2992-7897 (Impreso)
Órgano Oficial de difusión científica de la Asociación Mexicana de Cirujanos de Columna A. C. y de la Sociedad Iberolatinoamericana de Columna. SILACO.

Indizada en:

Scielo
  • Mostrar índice
  • Números disponibles
  • Información
    • Información general        
    • Directorio
  • Publicar
    • Instrucciones para autores        
    • Envío de artículos
  • Políticas
    • Políticas éticas
    • Políticas de acceso abierto
    • Políticas de revisión de manuscritos
    • Políticas editoriales generales
  • medigraphic.com
    • Inicio
    • Índice de revistas            
    • Registro / Acceso
  • Mi perfil

2024, Número 1

<< Anterior Siguiente >>

Cir Columna 2024; 2 (1)


Asociación entre infección por SARS-CoV-2 y espondilodiscitis: reporte de caso y revisión de la literatura

Chávez LJA, Sosa NA, Chávez CRD, Cuevas MG, Ceja EA, Toledo VK, Hernández BJL, Méndez HA
Texto completo Cómo citar este artículo 10.35366/114912

DOI

DOI: 10.35366/114912
URL: https://dx.doi.org/10.35366/114912
Artículos similares

Idioma: Ingles.
Referencias bibliográficas: 30
Paginas: 48-53
Archivo PDF: 313.12 Kb.


PALABRAS CLAVE

espondilodiscitis, infección, COVID, bacteriemia, bacteria.

RESUMEN

La infección por SARS-CoV-2 ha tomado relevancia mundial a raíz de la pasada pandemia; debido a su alta prevalencia y su importancia como problema de salud pública, se ha buscado la manera de realizar acciones dirigidas a este problema, por lo que se han tomado medidas. En múltiples estudios se han encontrado asociaciones de esta enfermedad con otras patologías, así como complicaciones asociadas a la misma enfermedad, en este caso presentamos la asociación entre un paciente masculino de 63 años que se encontraba hospitalizado con infección por SARS-CoV-2 y espondilodiscitis. Según la fisiopatología de la espondilodiscitis, se ha relacionado con múltiples agentes infecciosos ya conocidos; sin embargo, hasta el momento, encontrar esta asociación con el virus SARS-CoV-2 no es una situación frecuente, por lo que se considera importante continuar con investigaciones a futuro de espondilodicitis asociada a SARS-CoV-2, y con esto encontrar nuevos tratamientos y una nueva gestión para reducir la morbilidad causada por estas enfermedades.


REFERENCIAS (EN ESTE ARTÍCULO)

  1. Ustenko II, Kushnir YB, Amelin AV, et al. Case reports: spondylodiscitis and epiduritis after suffering COVID-19. Journal of Clinical Practice. 2022; 13: 107-117. Available in: https://doi.org/10.13:2022:107-117

  2. Popovici GC, Georgescu CV, Arbune AA, et al. Post-COVID-19 spondylodiscitis: a case study and review of the literature. Medicina (Kaunas). 2023; 59: 616. Available in: https://doi.org/10.3390/medicina59030616.

  3. Hamdi O, Boudokhane M, Teyeb Z, et al. Infectious spondylodiscitis: When a rare infection is associated with uncommon findings. Colombian Rheumatology. 2022, Available in: https://doi.org/10.1016/j.rcreu.2022.04.004

  4. Naderi S, Ostadrahimi N, Sheikhrezaei AR, et al. COVID-19 Infection Leading to Lethal Spondylodiscitis with Spinal Abscess. Iran J Neurosurg. 2020; 6: 151-154. Available in: https:/irjns.org/article-1-219-en.html

  5. Espinosa PM, García FR, Mormeneo BS, et al. Impact of Staphylococcus aureus bacteremia in patients with COVID-19. Rev Esp Quimioter. 2022; 35: 468-474. Available in: https://doi.org.10.37201/req/022.2022

  6. Perilla PEJ, Perilla PFE, Fuentes CSR. A literature review about post-COVID-19 syndrome. Revista Cubana de Educacion Medica Superior. 2022; 36 (3).

  7. Orozco-Hernández JP, Marin-Medina DS, Sanchez-Duque JA. Neurological manifestations of SARS-CoV-2 infection. SEMERGEN Family Medicine. 2020; 46: 106-108. Available in: https://doi.org/10.1016/j.semerg.2020.05.004

  8. Ortega DCA, Calvo SAE, Roldán TE, et al. Nirmatlervir/ritonavir for the treatment of COVID-19 in real life in a workplace hospital. About a case. Rev Esp Traum Lab. 2023; 6: 45-50. Available in: https://doi.org/10.24129/j.retla.06111.fs2303002

  9. Carfì A, Bernabei R, Landi F, et al. Persistent symptoms in patients after acute COVID-19. JAMA. 2020; 324: 603-605. Available in: https://doi.org.10.1001/jama.2020.12603

  10. Mahmoud I, Aouini M, Ben Tekaya A, et al. AB1220 Characteristics of infectious spondylodiscitis in elderly. Annals of the Rheumatic Diseases. 2022; 81: 1723. Available in: http://doi.org/10.1136/annrheumdis-2022-eular.3923

  11. Mouna G, Khalifa D, Saghni H, et al. AB1177 spinal epidural abscess associated with infectious spondylodiscitis. Annals of the Rheumatic Diseases. 2023; 82: 1818. Available in: https://doi.org/10.1007/s00402-009-0928-3.

  12. Boudabbous S, Nicodème PE, Delattre BMA, et al. Spinal disorders mimicking infection. 2021; 12: 176. Available in: https://doi.org/10.1186/s13244-021-01103-5

  13. Czuczman GJ, Marrero DE, Huang AJ, et al. Diagnostic yield of repeat CT-guided biopsy for suspected infectious spondylodiscitis. Skeletal Radiol. 2018; 47: 1403-1410. Available in: https://doi.org/10.1007/s00256-018-2972-y.

  14. Aline G, Desvaux M, Delepine C, et al. POS1186 Study of spondylodiscitis without bacteriological documentation from a cohort of 142 patients with suspected infectious spondylodiscitis on imaging. Annals of the Rheumatic Diseases. 2022; 81: 920-921. Available in: http://doi.org/10.1136/annrheumdis-2022-eular.3652

  15. Sujal Raj, Vishnu LAL, Arjun Kumar Tuli, et al. Management and outcome of infectious spondylodiscitis in patients with and without neurological deficit: a prospective study. 2023; 18. Available in: DOI. 10.37532/1897- 2276.2022.18(2).81

  16. Talamonti G, Colistra D, Crisà F, et al. Spinal epidural abscess in COVID-19 patients. J Neurol. 2021; 268: 2320-2326. Available in: https://doi.org/10.1007/s00415-020-10211-z

  17. Khalil MO, Ayasa LA, Odeh A, et al. Unveiling the culprit: Candida-induced spondylodiscitis following SARS-CoV-2 infection. Cureus. 2023; 15: e42079. Available in: https://doi.org.107759/cureus.42079

  18. Qiu M, Jayasekara D, Jayasekara A. Post-COVID-19 infection with meticillin-sensitive Staphylococcus aureus (MSSA) bacteremia, discitis/osteomyelitis, and diffuse abscesses: a case report. Cureus. 2022; 14: e25824. Available in: https://doi.org/10.7759/cureus.25824

  19. Erok B, Kibici K. COVID-19 infection manifesting with lumbar spondylodiscitis complicating with psoas abscess without pneumonia. Indian Journal of Neurosurgery. 2021; 3: Available in: https://doi.org/10.1055/s-0041-1741405.

  20. Popovici GC, Georgescu CV, Arbune AA, et al. Post-COVID-19 spondylodiscitis: a case study and review of the literature. Medicina (Kaunas). 2023; 59: 616. Available in: https://doi.org/10.3390/medicina5903616

  21. Joshee S, Vatti N, Chang C. Long-term effects of COVID-19: a review of the literature. 2022; 97: 579-599. Available in: https://doi.org.10.35366/101741

  22. Mohamed RFA, Harun MHB, Nagaretnam V, et al. A case series of spinal infections following COVID-19: a delayed complication. Cureus. 2022; 14: e29272. Available in: https://doi.org:10.7759/cureus.29272

  23. Consumano JA. Dupper AC, Malik Y, Gavioli EM, et al. Staphylococcus aureus bacteremia in patients infected with COVID-19: a case series. Open Forum Infected Dis. 2020: 7: ofaa518. doi: 10.1093/ofid/ofaa518.

  24. Mormeneo BS, Palacián RMP, Moreno HM, Villuendas UMC. Bacteremia during COVID-19 pandemic in a tertiary hospital in Spain. Enferm Infecc Microbiol Clin (Engl Ed). 2022; 40: 183-186. Available in: https://doi.org710.1016/j.eimc.2021.01.015

  25. Okay G, Akkoyunlu Y, Bolukcu S, et al. Analysis of infectious spondylodiscitis: 7-years data. Pak J Med Sci. 2018; 34: 1445-1451. Available in: doi: https://doi.org/10.12669/pjms.346.15717.

  26. Bergmann CC, Silverman RH. COVID-19: coronavirus replication, pathogenesis, and therapeutic strategies, Cleveland Clinic Journal of Medicine. 2020; 87: 321-327; doi: https://doi.org/10.3949/ccjm.87a.20047.

  27. Mirzaei R, Goodarzi P, Asadi M, et al. Bacterial co-infections with SARS-CoV-2. IUBMB Life. 2020; 72: 2097-2111. doi: 10.1002/iub.2356.

  28. Rawson TM, Moore LSP, Zhu N, et al. Bacterial and fungal coinfection in individuals with coronavirus: A rapid review to support COVID-19 antimicrobial prescribing. Clin Infects Dis. 2020; 71: 2459-2468. doi: 10.1093/cid/ciaa530.

  29. Tanaka M, Takahashi S, Ishibe T, et al. COVID-19 masked by pyogenic lumbar discitis and bacteremia: a case report. JBJS Case Connect. 2021; 11: e21.00059. Available in: https://doi.org.10.2106/JBJS.CC.21.00059

  30. Musuuza JS, Watson L, Parmasad V, et al. Prevalence and outcomes of co-infection and superinfection with SARS-CoV-2 and other pathogens: a systematic review and meta-analysis. PLoS One. 2021; 16: e0251170. doi: 10.1371/journal.pone.0251170.




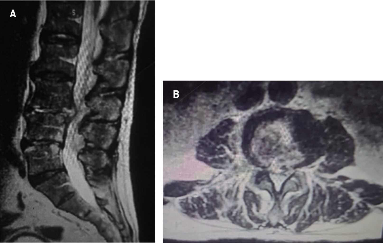
Figura 1
Figura 2
Figura 3
Figura 4
Figura 5

2020     |     www.medigraphic.com

Mi perfil

C?MO CITAR (Vancouver)

Cir Columna. 2024;2

ARTíCULOS SIMILARES

CARGANDO ...