2024, Número 1
Instrumentación en enfermedad de Parkinson, crónica de una muerte anunciada
Idioma: Ingles.
Referencias bibliográficas: 20
Paginas: 54-59
Archivo PDF: 926.12 Kb.
RESUMEN
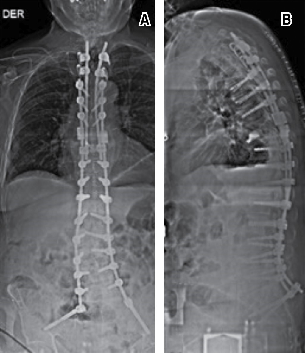
Paciente masculino con escoliosis lumbar degenerativa acompañado de enfermedad de Parkinson (EP). Se instrumenta únicamente los niveles necesarios para corrección de la deformidad coronal, como descompresión de los niveles con estenosis. A pesar de un control radiológico inmediato satisfactorio, en los días posteriores el paciente se aqueja de dolor a nivel de la columna torácica. Rayos X de seguimiento evidencian fractura de la vértebra más cefálica instrumentada. Debido a múltiples comorbilidades, se decide manejo conservador, esperando consolidación del segmento lesionado. Sin embargo, a pesar del tratamiento médico, es llevado cinco meses postoperatorio a sala de operaciones para prolongación de la instrumentación, realizando una transición de una fijación rígida a una semirrígida. El objetivo de la publicación es poner en contexto acerca de la dificultad que conlleva el manejo de un paciente que padezca EP combinado con algún padecimiento degenerativo de la columna.REFERENCIAS (EN ESTE ARTÍCULO)
Galeoto G, Berardi A, Colalelli F, Pelosin E, Mezzarobba S, Avanzino L, et al. Correlation between Quality of Life and severity of Parkin- son's Disease by assessing an optimal cut-off point on the Parkinson's disease questionnaire (PDQ-39) as related to the Hoehn & Yahr (H&Y) scale. Clin Ter [Internet]. 2022; 173: 243-248. Available in: https://www.clinicaterapeutica.it/2022/173/3/12_GALEOTO.pdf
Yoshida G, Ushirozako H, Hasegawa T, Yamato Y, Kobayashi S, Yasuda T, et al. Preoperative and postoperative sitting radiographs for adult spinal deformity surgery: Upper instrumented vertebra selection using sitting C2 plumb line distance to prevent proximal junctional kyphosis. Spine (Phila Pa 1976) [Internet]. 2020; 45: E950-E958. Available in: http://dx.doi.org/10.1097/brs.0000000000003452
Rahmani R, Sanda M, Sheffels E, Singleton A, Stegelmann SD, Kane B, et al. The efficacy of prophylactic vertebroplasty for preventing proximal junctional complications after spinal fusion: a systematic review. Spine J [Internet]. 2022; 22: 2050-2058. Available in: http://dx.doi.org/10.1016/j.spinee.2022.07.104
Han S, Hyun SJ, Kim KJ, Jahng TA, Jeon SI, Wui SH, et al. Effect of vertebroplasty at the upper instrumented vertebra and upper instrumented vertebra +1 for prevention of proximal junctional failure in adult spinal deformity surgery: A comparative matched-cohort study. World Neurosurg [Internet]. 2019; 124: e436-e444. Available in: http://dx.doi.org/10.1016/j.wneu.2018.12.113
Lange T, Schmoelz W, Gosheger G, Eichinger M, Heinrichs CH, Boevingloh AS, et al. Is a gradual reduction of stiffness on top of posterior instrumentation possible with a suitable proximal implant? A biomechanical study. Spine J [Internet]. 2017; 17: 1148-1155. Available in: http://dx.doi.org/10.1016/j.spinee.2017.03.021
Doodkorte RJP, Vercoulen TFG, Roth AK, de Bie RA, Willems PC. Instrumentation techniques to prevent proximal junctional kyphosis and proximal junctional failure in adult spinal deformity correction–a systematic review of biomechanical studies. Spine J [Internet]. 2021; 21: 842-854. Available in: http://dx.doi.org/10.1016/j.spinee.2021.01.011
Vercoulen TFG, Doodkorte RJP, Roth A, de Bie R, Willems PC. Instrumentation techniques to prevent proximal junctional kyphosis and proximal junctional failure in adult spinal deformity correction: a systematic review of clinical studies. Global Spine J [Internet]. 2022; 12: 1282-1296. Available in: http://dx.doi.org/10.1177/21925682211034500
