medigraphic.com
ENGLISH

Acta Ortopédica Mexicana

ISSN 2992-8036 (Digital)
ISSN 2306-4102 (Impreso)
Órgano Oficial del Colegio Mexicano de Ortopedia y Traumatología
  • Mostrar índice
  • Números disponibles
  • Información
    • Información general        
    • Directorio
  • Publicar
    • Instrucciones para autores        
  • medigraphic.com
    • Inicio
    • Índice de revistas            
    • Registro / Acceso
  • Mi perfil

2024, Número 2

<< Anterior Siguiente >>

Acta Ortop Mex 2024; 38 (2)


Fractura epifisaria del segundo metatarsiano en adolescentes: reporte de dos casos

Pons-Carrera, GA1; Capdevila-Leonori, R1; Fraind-Maya, G1
Texto completo Cómo citar este artículo 10.35366/115081

DOI

DOI: 10.35366/115081
URL: https://dx.doi.org/10.35366/115081
Artículos similares

Idioma: Español
Referencias bibliográficas: 12
Paginas: 109-112
Archivo PDF: 176.80 Kb.


PALABRAS CLAVE

epifisaria, fractura, metatarso, inmadurez esquelética.

RESUMEN

Las fracturas epifisarias de la cabeza metatarsiana son una entidad poco frecuente, principalmente cuando se presentan de forma aislada y en raras ocasiones se ven en pacientes con inmadurez esquelética. Debido a la escasez de documentación para este tipo de fractura, el tratamiento de elección es incierto. El motivo del presente estudio es presentar dos casos de fractura epifisaria de la cabeza del segundo metatarsiano y su tratamiento, ya que para nuestro conocimiento no hay publicaciones al respecto.



INTRODUCCIóN

Las fracturas de los metatarsianos comprenden 60% de las fracturas de pie en niños y adolescentes.1 Las lesiones osteocondrales a este nivel son poco frecuentes y, por lo general, están asociadas a fracturas de metatarsianos adyacentes, rara vez se presentan de forma aislada.1,2,3 Debido a la baja incidencia de estas fracturas y la escasez de publicaciones, la forma de tratar esta patología es controversial.4,5 Por lo general, estas fracturas se presentan principalmente en deportistas y en pacientes que practican algún tipo de baile en el cual se exige estrés repetitivo en la cabeza de los metatarsianos.6,7 A continuación, se reportan dos casos clínicos de pacientes adolescentes con fracturas epifisarias de la cabeza del segundo metatarsiano.



PRESENTACIóN DE LOS CASOS

Caso clínico 1. Femenino de 12 años de edad, la cual sufre contusión directa en antepié izquierdo y dorsiflexión forzada del segundo dedo al realizar ballet. Después inicia con dolor súbito y limitación de la marcha a expensas del dolor. Inicialmente fue tratada con analgésicos sin mejoría, motivo por el que acudió a valoración ortopédica. A la exploración física presentó aumento de volumen y dolor localizado en dorso del pie en articulación metatarsofalángica del segundo dedo, siendo exacerbado a la movilización pasiva; llama la atención la incapacidad para realizar apoyo en dicho pie.

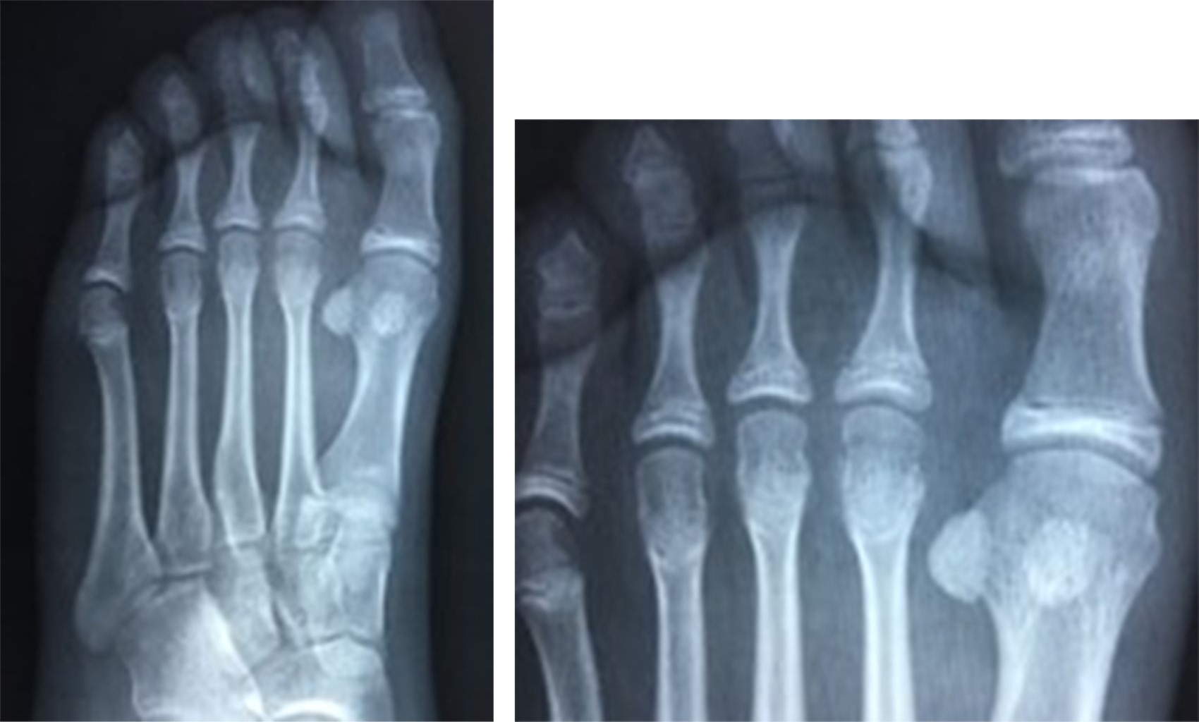
Se realizan radiografías anteroposterior (AP) y oblicua del pie (Figura 1). Se encuentra fractura epifisiaria desplazada de la cabeza del segundo metatarsiano.

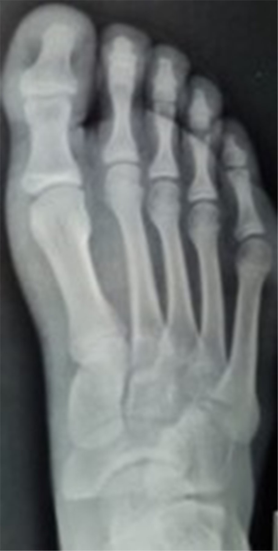
Con previo consentimiento de los padres y la paciente, bajo anestesia local con lidocaína al 2% (3 cm3), se realiza reducción cerrada de la fractura epifisaria mediante tracción del segundo dedo y digitopresión en dirección plantar de la cabeza del metatarsiano. Se toman radiografías de control posterior al procedimiento; se encuentra reducción anatómica de la fractura (Figura 2). Se colocó zapato postquirúrgico por cuatro semanas y se reincorporó a actividades de la vida diaria dos meses posteriores a la fractura. Se realizó seguimiento clínico y radiológico de forma esporádica sin complicaciones en su evolución, se anexa radiografía a 36 meses de evolución (Figura 3).

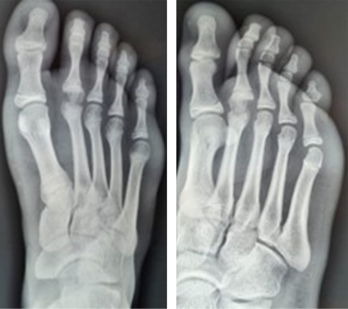
Caso clínico 2. Masculino de 15 años, sufre contusión directa en dorso del pie derecho al jugar fútbol, posteriormente inicia con dolor y marcha antiálgica, motivo por el cual acude a valoración. A la exploración física llama la atención el acortamiento del segundo dedo, con aumento de volumen y edema en dorso de articulación metatarsofalángica del segundo dedo. Se toman radiografías AP y oblicua de pie (Figura 4); evidencian fractura epifisiaria desplazada de la cabeza del segundo metatarsiano.

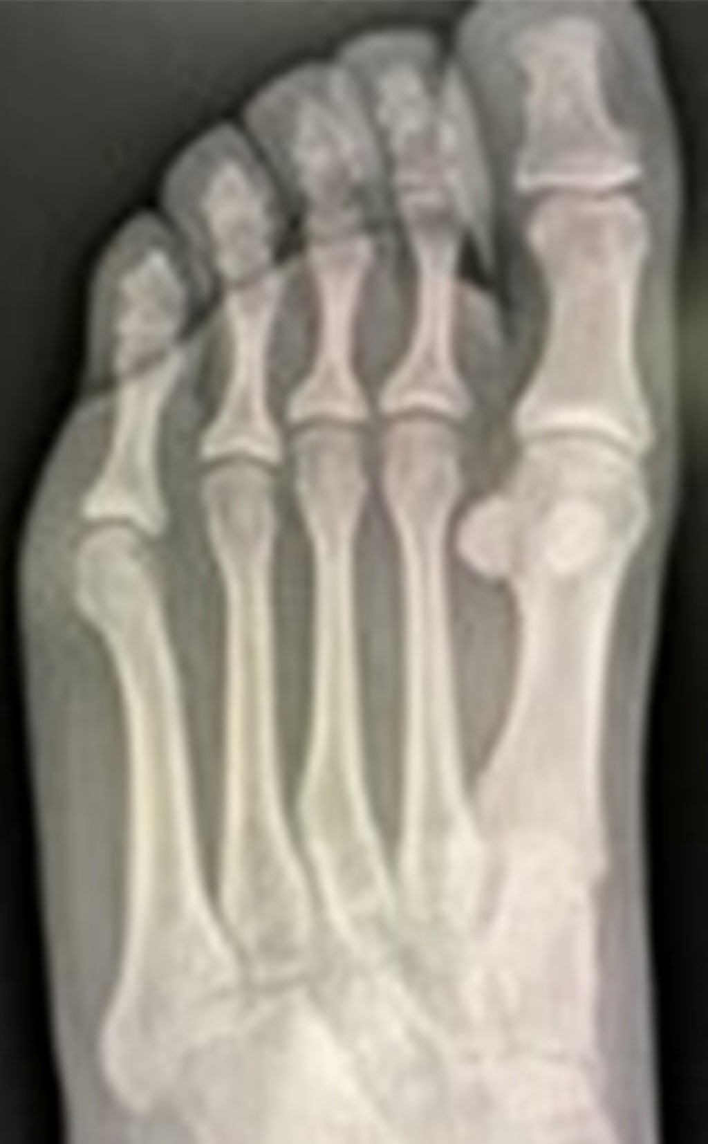
Con previo consentimiento de los padres y el paciente, se realiza reducción cerrada bajo anestesia local, se comprueba adecuada reducción con control radiológico (Figura 5). Se coloca zapato postquirúrgico y se inicia marcha a tolerancia. En seguimiento a corto, mediano y largo plazo sin evidencia de complicaciones; se anexan radiografías (Figura 6) a 30 meses de evolución.



DISCUSIóN

Las fracturas epifisarias aisladas de los metatarsianos son extremadamente raras y pueden pasar desapercibidas con facilidad, si no se sospecha de las mismas.2,3

Es de suma importancia entender la fisiopatología de estas lesiones. Tomando en cuenta que en la etapa de despegue durante la marcha las cabezas de los metatarsos sufren carga axial, mientras que la base de las falanges proximales se encuentra plantígradas, provocando así un punto de estrés en esta articulación, principalmente en la placa subcondral del metatarsiano.8,9 Dicho mecanismo se encuentra comúnmente en bailarines, los cuales realizan cargas axiales sobre los metatarsianos de forma repetitiva, siendo el segundo metatarsiano un sitio de concentración de estrés.3,7

Clínicamente, los pacientes se presentan con dolor, aumento de volumen y limitación a la deambulación y, en caso de acompañarse de luxación, se puede encontrar deformidad o acortamiento del dedo.2 De forma complementaria se deben realizar radiografías AP, lateral y oblicua del pie para confirmar o descartar algún tipo de fractura.

Como diagnósticos diferenciales debemos de incluir la enfermedad de Freiberg (necrosis avascular de la cabeza del segundo metatarso), la cual se debe a microtraumatismos o estrés repetitivo. También el arresto fisario y lesiones osteocondrales deben de ser tomadas en cuenta.7 Es importante saber que alrededor de 10% de la población tiene una configuración plana bilateral de la cabeza del segundo metatarsiano, que es considerada como una variante anatómica normal.6 La resonancia magnética puede ser de utilidad para descartar lesiones osteocondrales.10

En cuestiones terapéuticas, como cualquier fractura intraarticular, se debe de realizar una reducción anatómica.11 En la literatura hay casos aislados reportados para lesiones osteocondrales del metatarso, habiendo controversia de cómo ser abordadas. Se han descrito técnicas de reducción cerrada y abierta con osteosíntesis, ya sea con clavillos de Kirschner o tornillos.5,7,12 Sin embargo, para nuestro conocimiento no hay casos reportados para fracturas epifisiarias de metatarso que hayan sido tratadas con reducción cerrada sin necesidad de osteosíntesis. En el seguimiento a largo plazo, ambos pacientes presentaron una evolución satisfactoria.



CONCLUSIóN

Las fracturas de la cabeza metatarsiana en pacientes con inmadurez esquelética son raras debido a su baja incidencia y escasez de documentación; al respecto, hay que ser minuciosos para su diagnóstico. Para nuestro conocimiento no existen casos publicados de fracturas epifisiarias de metatarso que hayan sido tratadas con reducción cerrada.


REFERENCIAS (EN ESTE ARTÍCULO)

  1. Kay RM, Tang CW. Pediatric foot fractures: evaluation and treatment. J Am Acad Orthop Surg. 2001; 9(5): 308-19. doi: 10.5435/00124635-200109000-00004.

  2. Rammelt S, Heineck J, Zwipp H. Metatarsal fractures. Injury. 2004; 35 Suppl 2: SB77-86. doi: 10.1016/j.injury.2004.07.016.

  3. Mereddy PK, Molloy A, Hennessy MS. Osteochondral fracture of the fourth metatarsal head treated by open reduction and internal fixation. J Foot Ankle Surg. 2007; 46(4): 320-2. doi: 10.1053/j.jfas.2007.02.003.

  4. Tanaka Y, Takakura Y, Kamei S, Tamai S. An unusual osteochondral fracture of the second metatarsal head. Foot. 1995; 5(1): 47-9. doi: 10.1016/0958-2592(95)90036-5.

  5. Lui TH. Isolated osteochondral fracture of the metatarsal head of lesser toes. Foot Ankle Surg. 2015; 21(2): e40-4. doi: 10.1016/j.fas.2015.01.011.

  6. Jensen EL, de Carvalho A. A normal variant simulating Freiberg's disease. Acta Radiol. 1987; 28(1): 85-6.

  7. Shybut TB, Rose DJ, Strongwater AM. Second metatarsal physeal arrest in an adolescent flamenco dancer: a case report. Foot Ankle Int. 2008; 29(8): 859-62. doi: 10.3113/FAI.2008.0859.

  8. Young MC, Fornasier VL, Cameron HU. Osteochondral disruption of the second metatarsal: a variant of Freiberg's infraction? Foot Ankle. 1987; 8(2): 103-9. doi: 10.1177/107110078700800206.

  9. Dutkowsky J, Freeman BL 3rd. Fracture-dislocation of the articular surface of the third metatarsal head. Foot Ankle. 1989; 10(1): 43-4. doi: 10.1177/107110078901000109.

  10. Torriani M, Thomas BJ, Bredella MA, Ouellette H. MRI of metatarsal head subchondral fractures in patients with forefoot pain. AJR Am J Roentgenol. 2008; 190(3): 570-5. doi: 10.2214/AJR.07.2847.

  11. Liddle AD, Rosenfeld PF. Locked second metatarsal head fracture: a case report. Foot Ankle Int. 2008; 29(10): 1054-6. doi: 10.3113/FAI.2008.1054.

  12. Atik A, Ozyurek S, Cicek EI, Kose O. Isolated slipped-retroverted osteochondral fracture of second metatarsal head. Foot (Edinb). 2013; 23(4): 176-9. doi: 10.1016/j.foot.2013.10.012.



AFILIACIONES

1 Departamento de Ortopedia, Hospital Ángeles Lomas.



CORRESPONDENCIA

Guillermo A Pons-Carrera. E-mail: guillermo_pons2000@yahoo.com.mx




Recibido: 27-01-2021. Aceptado: 31-01-2024.

Figura 1
Figura 2
Figura 3
Figura 4
Figura 5
Figura 6

2020     |     www.medigraphic.com

Mi perfil

C?MO CITAR (Vancouver)

Acta Ortop Mex. 2024 Mar-Abr;38

ARTíCULOS SIMILARES

CARGANDO ...