medigraphic.com
ENGLISH

Acta Ortopédica Mexicana

ISSN 2992-8036 (Digital)
ISSN 2306-4102 (Impreso)
Órgano Oficial del Colegio Mexicano de Ortopedia y Traumatología
  • Mostrar índice
  • Números disponibles
  • Información
    • Información general        
    • Directorio
  • Publicar
    • Instrucciones para autores        
  • medigraphic.com
    • Inicio
    • Índice de revistas            
    • Registro / Acceso
  • Mi perfil

2024, Número 2

<< Anterior Siguiente >>

Acta Ortop Mex 2024; 38 (2)


Osteosarcoma parosteal con componentes de condrosarcoma y liposarcoma de bajo grado. Una variante histológica poco frecuente. Reporte de caso y revisión de la literatura

Estrada-Villaseñor E, Pichardo-Bahena R, Cedeño-Garcidueñas A, Delgado-Cedillo E, Marín-Arriaga N, Arguelles-Pérez D
Texto completo Cómo citar este artículo 10.35366/115082

DOI

DOI: 10.35366/115082
URL: https://dx.doi.org/10.35366/115082
Artículos similares

Idioma: Ingles.
Referencias bibliográficas: 11
Paginas: 113-118
Archivo PDF: 488.76 Kb.


PALABRAS CLAVE

osteosarcoma parosteal, condrosarcoma de bajo grado, liposarcoma de bajo grado bien diferenciado, correlación radio-patológica, biopsia representativa.

RESUMEN

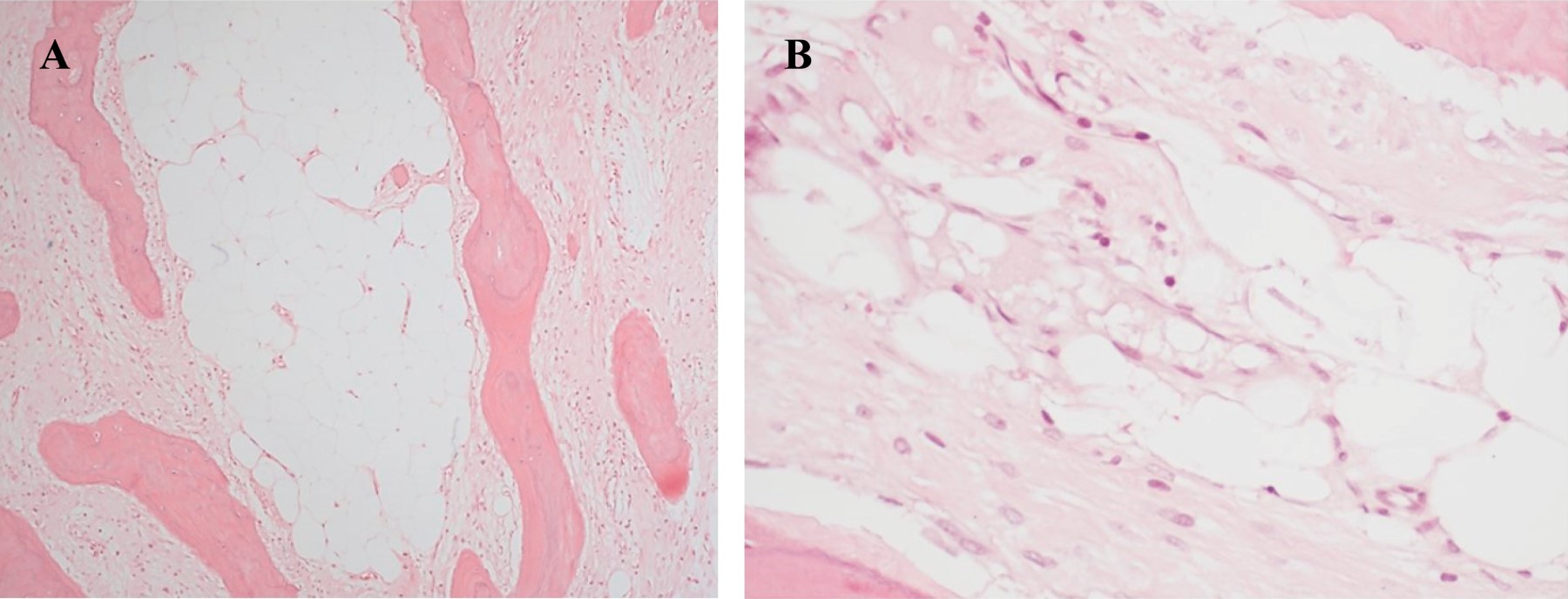
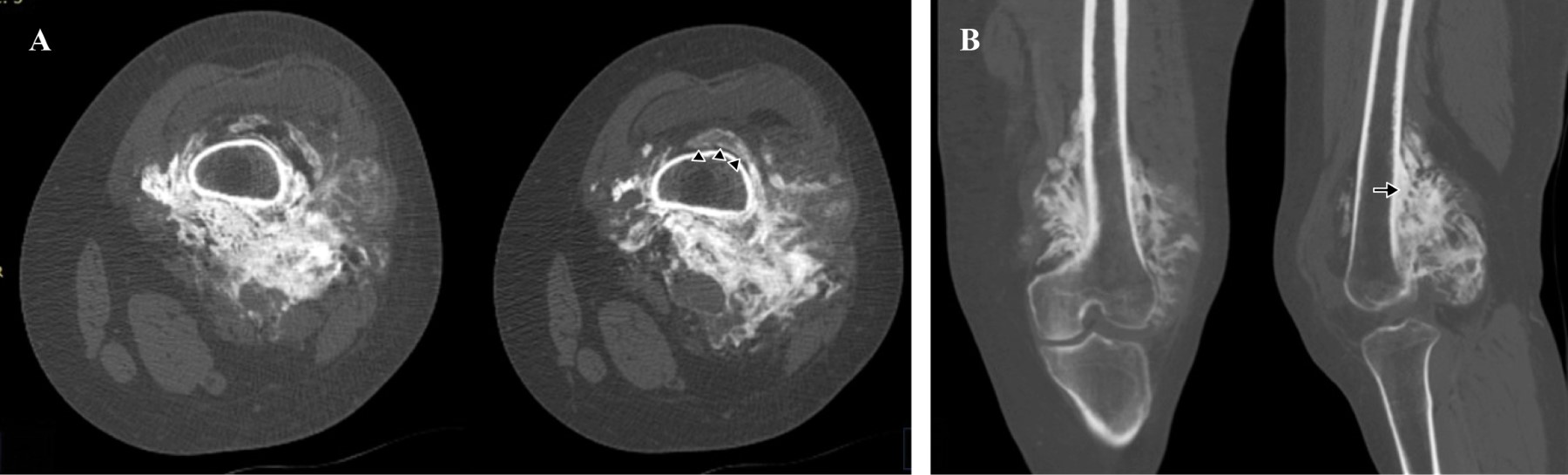
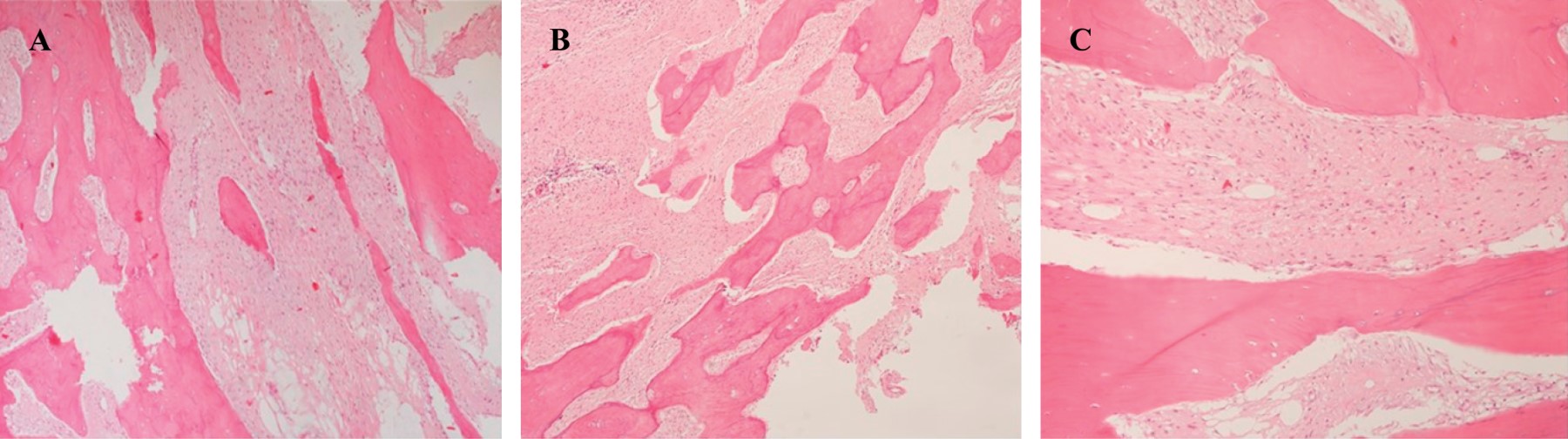
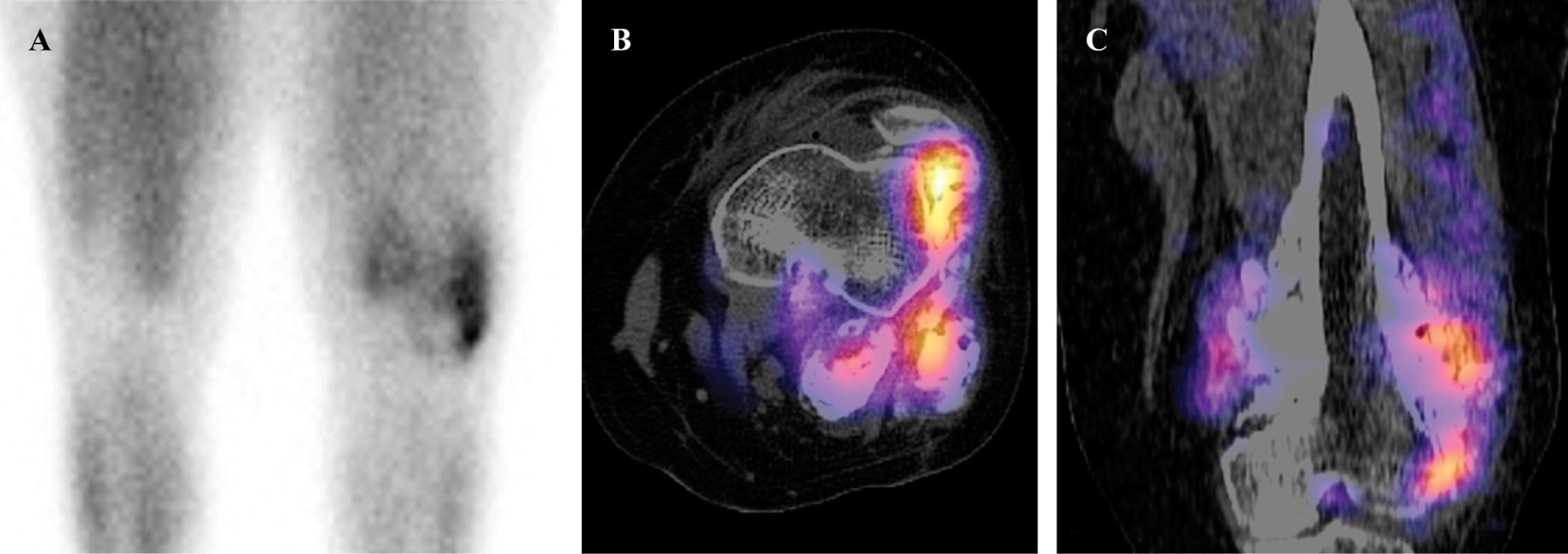
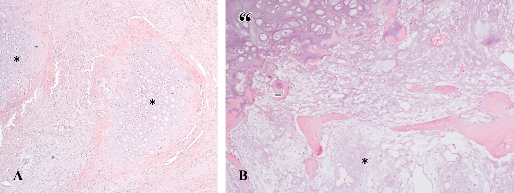
Introducción: el osteosarcoma parosteal convencional es un tumor óseo maligno poco común, que comprende el 4% de todos los osteosarcomas. Aunque es poco común, el osteosarcoma parosteal es el tipo más común de osteosarcoma de la superficie ósea. Presentamos las características clínicas, histológicas y de imagen de una variante histológica rara de un osteosarcoma parosteal, revisamos la literatura y enfatizamos la importancia de la correlación radio-patológica, así como la interpretación de una biopsia representativa para obtener el diagnóstico correcto. Reporte de caso: mujer de 36 años inició su cuadro un año antes de su ingreso al hospital con aumento de volumen en rodilla izquierda y dolor. Los estudios de imagen mostraron una tumoración heterogénea yuxtacortical localizada en la superficie posterior de la metáfisis femoral distal. Se realizó biopsia incisional, con diagnóstico de osteosarcoma parosteal y se realizó resección quirúrgica amplia. De acuerdo con los hallazgos de la pieza quirúrgica se realizó el diagnóstico de osteosarcoma parosteal con componentes de condrosarcoma y liposarcoma de bajo grado. El conocimiento de esta rara variante de osteosarcoma parosteal puede llevar a los ortopedistas oncólogos a considerar otros componentes y proporcionar márgenes quirúrgicos adecuados. Conclusión: presentamos las características clínicas, histológicas y de imagen de un osteosarcoma parosteal con componentes de liposarcoma y condrosarcoma de bajo grado.


REFERENCIAS (EN ESTE ARTÍCULO)

  1. Okada K, Frassica FJ, Sim FH, Beabout JW, Bond JR, Unni KK. Parosteal osteosarcoma. A clinicopathological study. J Bone Joint Surg Am. 1994; 76(3): 366-78. doi: 10.2106/00004623-199403000-00007.

  2. Lazar A. In: Fletcher Mertens F Parosteal osteosarcoma, CDM Bridge JA, Hogendoorn CWH, Mertens F. WHO classification of Tumours of soft tissue and bone. 4th ed. Lyon: IARC Press; 2013; p. 292-3.

  3. Prabowo Y, Kamal AF, Kodrat E, Prasetyo M, Maruanaya S, Efar TS. Parosteal osteosarcoma: a benign-looking tumour, amenable to a variety of surgical reconstruction. Int J Surg Oncol. 2020; 2020: 4807612. doi: 10.1155/2020/4807612.

  4. Hang JF, Chen PC. Parosteal osteosarcoma. Arch Pathol Lab Med. 2014; 138(5): 694-9. doi: 10.5858/arpa.2013-0030-RS.

  5. Bertoni F, Bacchini P, Staals EL, Davidovitz P. Dedifferentiated parosteal osteosarcoma: the experience of the Rizzoli Institute. Cancer. 2005; 103(11): 2373-82. doi: 10.1002/cncr.21039.

  6. Delling G, Werner M. Pathomorphology of parosteal osteosarcoma. Experience with 125 cases in the Hamburg Register of Bone Tumors. Orthopade. 2003; 32(1): 74-81. doi: 10.1007/s00132-002-0368-z.

  7. Larousserie F, Chen X, Ding Y, Kreshak J, Cocchi S, Huang X, et al. Parosteal osteoliposarcoma: a new bone tumor (from imaging to immunophenotype). Eur J Radiol. 2013; 82(12): 2149-53. doi: 10.1016/j.ejrad.2011.11.035.

  8. Sohier P, Rodrigues M, Anract P, Feydy A, Larousserie F. Parosteal osteosarcoma associated with a low-grade component mimicking well-differentiated liposarcoma: a case report. Skeletal Radiol. 2021; 50(1): 243-248. doi: 10.1007/s00256-020-03509-6.

  9. Jeyaraman M, Muthu S, Gangadaran P, Ranjan R, Jeyaraman N, Prajwal GS, et al. Osteogenic and chondrogenic potential of periosteum-derived mesenchymal stromal cells: do they hold the key to the future? Pharmaceuticals (Basel). 2021; 14(11): 1133. doi: 10.3390/ph14111133.

  10. Ito Y, Fitzsimmons JS, Sanyal A, Mello MA, Mukherjee N, O'Driscoll SW. Localization of chondrocyte precursors in periosteum. Osteoarthritis Cartilage. 2001; 9(3): 215-23. doi: 10.1053/joca.2000.0378.

  11. Hah YS, Joo HH, Kang YH, Park BW, Hwang SC, Kim JW, et al. Cultured human periosteal-derived cells have inducible adipogenic activity and can also differentiate into osteoblasts in a perioxisome proliferator-activated receptor-mediated fashion. Int J Med Sci. 2014; 11(11): 1116-28. doi: 10.7150/ijms.9611.




Figura 1
Figura 2
Figura 3
Figura 4
Figura 5
Figura 6
Figura 7
Figura 8

2020     |     www.medigraphic.com

Mi perfil

C?MO CITAR (Vancouver)

Acta Ortop Mex. 2024 Mar-Abr;38

ARTíCULOS SIMILARES

CARGANDO ...