medigraphic.com
ENGLISH

Acta Ortopédica Mexicana

ISSN 2992-8036 (Digital)
ISSN 2306-4102 (Impreso)
Órgano Oficial del Colegio Mexicano de Ortopedia y Traumatología
  • Mostrar índice
  • Números disponibles
  • Información
    • Información general        
    • Directorio
  • Publicar
    • Instrucciones para autores        
  • medigraphic.com
    • Inicio
    • Índice de revistas            
    • Registro / Acceso
  • Mi perfil

2024, Número 2

<< Anterior

Acta Ortop Mex 2024; 38 (2)


Tratamiento de la osteítis del pubis: artrodesis con nueva técnica a propósito de dos casos y revisión de la literatura

Olucha-Puchol, J1; Rodríguez-Collell, JR1; Renovell-Ferrer, P1,2
Texto completo Cómo citar este artículo 10.35366/115084

DOI

DOI: 10.35366/115084
URL: https://dx.doi.org/10.35366/115084
Artículos similares

Idioma: Español
Referencias bibliográficas: 19
Paginas: 123-128
Archivo PDF: 241.75 Kb.


PALABRAS CLAVE

artrosis, dolor, sínfisis púbica, artrodesis, técnica.

RESUMEN

Introducción: el dolor en la sínfisis púbica, aunque estudiado en atletas, plantea desafíos diagnósticos y terapéuticos en otros grupos. En este contexto, la artrosis refractaria de la sínfisis púbica se presenta como un problema sin consenso terapéutico claro. Material y métodos: se evaluaron dos mujeres mayores de 65 años con artrosis de la sínfisis púbica. Tras terapias convencionales infructuosas, se optó por la artrodesis mediante placa suprapúbica, sutura alámbrica e injerto óseo autólogo de la rama íleo-púbica. Resultados: después de un año de seguimiento, ambas pacientes experimentaron mejoría clínica y radiográfica. La artrodesis se consolidó sin complicaciones evidentes, proporcionando una opción quirúrgica viable. Conclusión: este estudio respalda la eficacia a medio y largo plazo de la artrodesis de la sínfisis púbica en casos refractarios de artrosis. La técnica utilizada puede considerarse como una opción quirúrgica eficaz en el manejo de esta condición.



INTRODUCCIóN

La articulación de la sínfisis púbica consiste en un disco fibrocartilaginoso entre las superficies óseas opuestas del pubis, que están cubiertas por cartílago hialino. Esta zona está reforzada por fibras ligamentosas a nivel anterosuperior. Inferiormente, la sínfisis está reforzada por el potente ligamento arqueado.1

La causa exacta de la osteítis del pubis es actualmente incierta. El mecanismo más aceptado es una inestabilidad de la sínfisis del pubis debido al cizallamiento repetitivo crónico y lesiones por distracción y tensión no armónica del estrés de las inserciones musculares en la sínfisis del pubis. El resultado a nivel biomecánico supone una respuesta inflamatoria que desencadena una osteítis y periostitis. Este patrón con frecuencia se superpone, como se ha documentado en el caso de mujeres embarazadas o postparto, debido a la laxitud ligamentosa que acontece en este período y a los movimientos articulares de la sínfisis.2 El grupo que más se describe en la literatura son los atletas, ya que el estiramiento y de las fuerzas de las inserciones musculares será mayor y de forma más recurrente. El último grupo en incidencia suponen los pacientes con enfermedad reumatológica.3 En el caso de deportistas, es más común en jugadores de fútbol, corredores de larga distancia y jugadores de hockey. En concreto, los jugadores de fútbol involucran entre 5-13% de las lesiones.4 En el caso de los pacientes con enfermedades reumáticas, existe una alteración en la circulación del plexo venoso que irriga la sínfisis, originando trombos a este nivel. Además, se han descrito casos asociados a individuos con espondilitis anquilosante.5

La clínica suele ser variable, aunque en la mayoría de los pacientes encontramos un inicio insidioso de dolor sobre el pubis, que en ocasiones se puede irradiar a la región suprapúbica, a nivel del aductor y la ingle.6

Se han descrito numerosas entidades con una clínica similar que podrían provocar dolor a nivel de la región de la sínfisis del pubis. Consideramos que conviene conocerlas para elaborar un correcto diagnóstico diferencial y enfocar nuestro manejo tan pronto como identifiquemos la causa del dolor a este nivel (Tabla 1).

El tratamiento más empleado son las medidas conservadoras, con las que se suelen resolver a medio plazo la mayoría de los cuadros de osteítis. Se han descrito reposo, administración de medicamentos antiinflamatorios, corticoides orales e inyectados, antibióticos, bifosfonatos y fisioterapia.7

Podemos realizar una primera aproximación diagnóstica solicitando una radiografía de pelvis, con proyecciones anteroposteriores y axiales, por su facilidad y coste a la hora de realizarse. Comúnmente, evidenciaremos esclerosis subcondral, irregularidad de la sínfisis y resorción ósea, en casos avanzados (Figura 1).8 La prueba que mayor información nos va a aportar será la resonancia magnética (RM). Será frecuente encontrarse un edema medular difuso, el cual se extiende desde la superficie subcondral, que a menudo involucra ambas ramas púbicas.9 Además, se suelen encontrar signos de periostitis, irregularidades de las superficiales articulares, erosiones, osteofitos anteriores y posteriores y quistes subcondrales. El signo de la herradura está comúnmente presente (Figura 2). Las uniones miotendinosas se conservan, a menos que haya tendinopatía coexistente.9



MATERIAL Y MéTODOS

Se seleccionaron dos pacientes de 65 y 72 años. Ambas presentaron dolor en la sínfisis que les limitaba las actividades de la vida diaria. Una de ellas realizaba actividad física moderada que había tenido que cesar por completo debido a las molestias continuas. Se realizaron estudios de imagen que comenzaron con radiografías simples de pelvis (Figura 3).

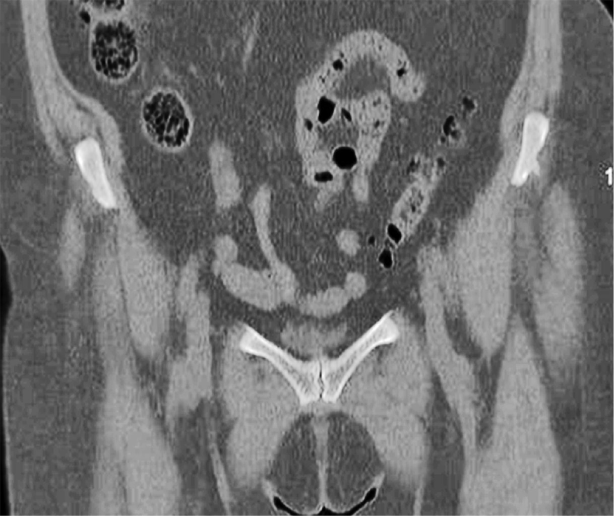
Posteriormente se solicitó una tomografía computarizada (TC) de pelvis en el que se confirmaban los cambios degenerativos (Figuras 4 y 5) y una resonancia magnética que mostraba hallazgos de inflamación en las sínfisis compatibles con osteítis de pubis, asociados a edema de la musculatura adyacente. Ambas pacientes estuvieron realizando sesiones de fisioterapia y toma de antiinflamatorios no esteroideos (AINE) y corticoides con escasa mejoría. La infiltración de bupivacaina junto con corticoide fue el tratamiento más efectivo, pero pasados los dos meses la clínica, se reprodujo y se planteó en ese momento la opción quirúrgica. Las puntuaciones en la escala visual analógica (EVA) previamente a la cirugía fueron de 8 y 9, respectivamente.



TéCNICA QUIRúRGICA

Con la paciente en decúbito supino se realizó una incisión de 12 cm discretamente convexa hacia distal a 3 cm encima de la sínfisis del pubis, tipo Pfannenstiel. Se incidió la fascia de Scarpa y Camper. El aspecto superior de la sínfisis púbica fue expuesto. Se realizó una disección separando y referenciando las inserciones del recto del abdomen desde la línea media para exponer un área suficiente a cada lado de la sínfisis púbica. De esta forma, se logró facilitar la inserción del injerto y la placa de compresión de cuatro orificios. En ambas pacientes se evidenció abundante tejido fibroso, en el lugar del cartílago se encontró tejido de granulación sobre la sínfisis, sugiriendo un proceso inflamatorio crónico y múltiples intentos de reparación. Se resecó el cartílago articular remanente de la sínfisis púbica y se continuó realizando un curetaje sobre la zona de del cuerpo púbico ya denudada sin cartílago (Figura 6). Al mismo tiempo, se realizó la toma de injerto mediante una incisión sobre la espina ilíaca. El tamaño exacto del injerto se determinó en función del tamaño del paciente y la superficie anterosuperior cureteada de la sínfisis. Se colocó el injerto óseo extraído sobre el defecto de la sínfisis y se fijó mediante un cerclaje de alambre (Figura 7). Se utilizó una paca de 3.5 Symphysis Locking Dynamic Compression Plate (SLDCP) (Synthes®, Malans, Switzerland).



CUIDADOS POSTOPERATORIOS

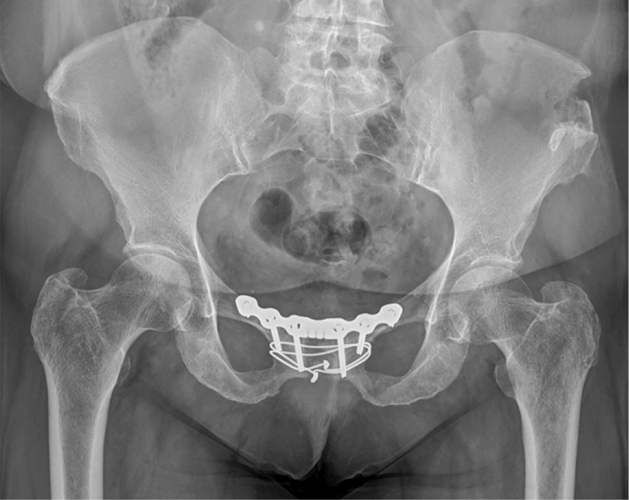
Ambas pacientes fueron mantenidas en descarga durante cuatro semanas, con autorización para carga parcial a partir de la cuarta. Se sometieron a revisiones ambulatorias trisemanales, durante las cuales se observó una reducción escalonada de la analgesia y un aumento en la autonomía para las actividades diarias. En las revisiones, se realizaron radiografías en proyección anteroposterior y en carga (Figuras 8 y 9). A las 12 semanas, iniciaron ejercicios moderados sin impacto. El dolor significativo en la sínfisis del pubis, que inicialmente impedía la deambulación, se redujo gradualmente hasta su completa desaparición, con puntuaciones de 1 en la EVA. No se requirió la retirada del material de osteosíntesis en ninguna de las pacientes durante el seguimiento hasta el momento actual tras dos años de seguimiento.



DISCUSIóN

La osteítis del pubis en población no deportista es una entidad muy poco frecuente que se describió inicialmente en la literatura inglesa por Beer E. y en la literatura francesa por Legueue10 en 1923 y 1924.

La gran mayoría de las técnicas quirúrgicas descritas para el tratamiento de la osteítis de pubis se centran en estudios relativos a deportistas de medio/alto nivel y no existe una comparación entre las técnicas estudiadas.

Las modalidades terapéuticas contemporáneas destinadas a abordar la osteítis tanto en deportistas como del resto de grupos, comprenden la resección de la sínfisis mediante cuña abierta, la artrodesis de la sínfisis, así como el curetaje sinfisario ejecutado mediante abordaje abierto o endoscópico. En el contexto de atletas afectados, la ausencia de un intervalo temporal predefinido previo a la intervención quirúrgica y la falta de claridad respecto a la técnica quirúrgica óptima para restituir plenamente la participación en actividades deportivas, confieren un aspecto de incertidumbre a la gestión terapéutica de esta entidad nosológica.11

La inquietud predominante en torno a la resección completa radica en la posibilidad de desencadenar inestabilidad y dolor pélvico posterior, especialmente en relación con las articulaciones sacroilíacas. Para mitigar estos riesgos, se ha propuesto una alternativa menos agresiva: la resección en cuña de la sínfisis del pubis. Este procedimiento, que implica la creación de una cuña trapezoidal, busca preservar los resistentes ligamentos arqueados anterior e inferior. Aunque teóricamente proporciona estabilidad pélvica anterior y reduce el peligro de inestabilidad a largo plazo, se han documentado casos de dolor pélvico postoperatorio vinculado a la articulación sacroilíaca, respaldados por descubrimientos radiográficos de esclerosis sacroilíaca en radiografías convencionales. Este dilema subraya la complejidad de las decisiones quirúrgicas y destaca la necesidad de una evaluación continua de los resultados para perfeccionar enfoques terapéuticos.12

El principio de la artrodesis de la sínfisis del pubis consiste en lograr una mayor estabilidad de la articulación. Aunque es difícil evaluar si el dolor se origina en la articulación sinovial o en los ligamentos circundantes, lo más probable es que la fusión, además de estabilizar la articulación, también logre reducir la tensión en los ligamentos arqueados superior y anterior.13 En nuestra corta serie, la fijación del injerto añadiendo un cerclaje alámbrico creemos que contribuyó en gran medida a evitar la pseudoartrosis y que la fijación fuera eficaz, complicación que han reportado algunos autores.14 En un estudio biomecánico desarrollado por Firtz T y colaboradores, se investigó el impacto de la carga axial en la fuerza de compresión intrasinfisaria durante diferentes posturas. Se comparó la fijación mediante placa SLDCP e injerto óseo rectangular, tal y como se propone en nuestro estudio, en contraste con el bloqueo óseo cilíndrico estabilizado con fijador interno, en fantomas pélvicos. Observaron que, en posición bípeda, la fuerza de compresión disminuyó en ambos grupos; mientras que, tras la carga, el grupo con cilindro mostró pérdida significativa del contacto. Sin embargo, en posición unipodal, la placa SLDCP exhibió un área de contacto mayor con injerto de cilindro, concluyendo que ésta última suponía una opción a tener en cuenta.15

A pesar de obtener resultados favorables con nuestra técnica de fijación propuesta, otros autores han explorado alternativas que, aunque probadas en modelos cadavéricos, también parecen abordar la patología en sínfisis púbica con éxito. Un reciente estudio que realizaron Calvalcanti y asociados16 evaluó un innovador método de osteosíntesis con suturas de cinta para tratar estas alteraciones; demostraron estabilidad biomecánica adecuada sin restricciones en la movilidad fisiológica. Se observaron diferencias significativas en la carga vertical, mientras que la carga horizontal no mostró variaciones notables.

En la serie de Mehin R y colaboradores, los grupos de pacientes afectos de osteítis de pubis pertenecían alguna de estas categorías: 1) atletas de élite, 2) pacientes con artritis infecciosa, a menudo después de una infección urológica o cirugía ginecológica, y 3) un grupo definido por criterios de exclusión.12 Los dos casos estudiados en nuestro servicio pertenecen a la tercera categoría. A pesar de que en algunas series se informa una incidencia de hasta 25% de complicaciones en deportistas sometidos a artrodesis de pubis, destacándose principalmente dolor persistente e inflamación escrotal transitoria17 y que el grupo por exclusión es el que presenta una respuesta más impredecible,18 tras un año de la cirugía, nuestras dos pacientes permanecieron clínicamente asintomáticas y pudieron retomar la actividad sin dolor ni inestabilidad posterior.

Tal y como revisaron Choi y colegas, se puede clasificar la severidad de la osteítis de la sínfisis en varios niveles: la primera etapa se consideran síntomas unilaterales que involucran la pierna dominante y dolor inguinal en los músculos aductores. La fase 2 consiste en síntomas bilaterales con dolor inguinal que afectan los músculos aductores. La fase 3 constituye el dolor inguinal bilateral que involucran los músculos aductores y clínica abdominal. La fase 4 la forman el conjunto de dolor en el aductor y los músculos abdominales referido a la cintura pélvica y la columna lumbar con defecación, estornudar y caminar sobre superficies irregulares con incapacidad para realizar actividades de la vida diaria.19 Nuestras dos pacientes en el momento del planteamiento de la cirugía, se encontraban en la fase 4. Los autores, además, realizan una de las pocas revisiones literarias donde se comparan las diferentes técnicas quirúrgicas. Aunque el grupo poblacional bajo estudio comprende cirugías realizadas en deportistas, se llega a la conclusión de que la gran mayoría de los atletas tratados con fijación pélvica anterior presentan un estado clínicamente asintomático. No obstante, se observa que el período de recuperación es prolongado en comparación con el procedimiento de curetaje, que exhibe un período de recuperación intermedio. A pesar de ello, aquellos sujetos sometidos a curetaje persisten con algún síntoma aislado.19

La documentación científica actual presenta una carencia de estudios comparativos entre distintas técnicas quirúrgicas aplicadas en individuos no vinculados al ámbito deportivo. Se destaca la notable limitación de la literatura y las series disponibles que abordan específicamente este grupo particular de pacientes.



CONCLUSIóN

En consonancia con las alternativas quirúrgicas identificadas mediante el análisis de la literatura actual y guiados por el paradigma de la fijación articular tras fracaso de enfoques conservadores, postulamos que la artrodesis de la sínfisis del pubis, anclada con placa de neutralización, cerclaje alámbrico y el aporte de injerto óseo autólogo, representa una elección pertinente para pacientes no atletas o con actividad física parcial. Se plantea la necesidad de establecer escalas y algoritmos de manejo, trascendiendo las decisiones subjetivas del cirujano, para abordar eficazmente la artrosis de la sínfisis del pubis en la cohorte de pacientes no vinculados al ámbito deportivo y sin infección de la articulación.


REFERENCIAS (EN ESTE ARTÍCULO)

  1. Mei-Dan O, Lopez V, Carmont MR, et al. Adductor tenotomy as a treatment for groin pain in professional soccer players. Orthopedics. 2013; 36(9): e1189-97.

  2. Thomas PR, Thomas DP, Downes EM. Osteitis pubis and instability of the pubic symphysis. When nonoperative measures fail. Am J Sports Med. 2000; 28: 350-5.

  3. Rodriguez C, Miguel A, Lima H, Heinrichs K. Osteitis pubis syndrome in the professional soccer athlete: a case report. J Athl Train. 2001; 36(4): 437-40.

  4. Ekstrand J, Ringborg S. Surgery versus conservative treatment in soccer players with chronic groin pain: a prospective randomised study in soccer players. European Journal of sports Traumatology and Related Research. 2001; 23(4): 141-5.

  5. Scott DL, Eastmond CJ, Wright V. A comparative radiological study of the pubic symphysis in rheumatic disorders. Ann Rheum Dis. 1979; 38(6): 529-34.

  6. Cunningham PM, Brennan D, O'Connell M, MacMahon P, O'Neill P, Eustace S. Patterns of bone and soft-tissue injury at the symphysis pubis in soccer players: observations at MRI. AJR Am J Roentgenol. 2007; 188(3): W291-9.

  7. Maksymowych WP, Aaron SL, Russell AS. Treatment of refractory symphysitis pubis with intravenous pamidronate. J Rheumatol. 2001; 28(12): 2754-7.

  8. Vix VA, Ryu CY. The adult symphysis pubis: normal and abnormal. Am J Roentgenol Radium Ther Nucl Med. 1971; 112(3): 517-25.

  9. Verrall GM, Slavotinek JP, Fon GT. Incidence of pubic bone marrow oedema in Australian rules football players: relation to groin pain. Br J Sports Med. 2001; 35(1): 28-33.

  10. Grace JN, Sim FH, Shives TC, et al. Wedge resection of the symphysis pubis for the treatment of osteitis pubis. J Bone Joint Surg Am. 1989; 71(3): 358-64.

  11. Matta JM. Indications for anterior fixation of pelvic fractures. Clin Orthop Relat Res. 1996; 329: 88-96.

  12. Mehin R, Meek R, O'Brien P, Blachut P. Surgery for osteitis pubis. Can J Surg. 2006; 49(3): 170-6.

  13. Ross JJ, Hu LT. Septic arthritis of the pubic symphysis: review of 100 cases. Medicine (Baltimore). 2003; 82(5): 340-5.

  14. Moore RS Jr, Stover MD, Matta JM. Late posterior instability of the pelvis after resection of the symphysis pubis for the treatment of osteitis pubis. A report of two cases. J Bone Joint Surg Am. 1998; 80(7): 1043-8.

  15. Fritz T, Orth M, Hopp SJ, et al. A novel minimally invasive and press-fit method for symphysiodesis - a biomechanical analysis. J Exp Orthop. 2023; 10(1): 98.

  16. Cavalcanti KA, Schwaabe F, Kistler M, et al. Tape suture constructs for instabilities of the pubic symphysis: is the idea of motion preservation a suitable treatment option? A cadaver study. Arch Orthop Trauma Surg. 2023; 143(6): 3111-7.

  17. Athanasiou V, Ampariotou A, Lianou I, Sinos G, Kouzelis A, Gliatis J. Osteitis pubis in athletes: a literature review of current surgical treatment. Cureus. 2022; 14(3): e22976.

  18. Collinge C, Archdeacon MT, Dulaney-Cripe E, Moed BR. Radiographic changes of implant failure after plating for pubic symphysis diastasis: an underappreciated reality? Clin Orthop Relat Res. 2012; 470(8): 2148-53.

  19. Choi H, McCartney M, Best TM. Treatment of osteitis pubis and osteomyelitis of the pubic symphysis in athletes: a systematic review. Br J Sports Med. 2011; 45(1): 57-64.



AFILIACIONES

1 Servicio de Cirugía Ortopédica y Traumatología del Hospital Clínico Universitario de Valencia. Valencia, España.

2 Departamento de Cirugía, Universidad de Valencia. Valencia, España.



CORRESPONDENCIA

Joan Olucha-Puchol. E-mail: joan.olucha@hotmail.com




Recibido: 28-12-2023. Aceptado: 08-01-2024.

Figura 1
Figura 2
Figura 3
Figura 4
Figura 5
Figura 6
Figura 7
Figura 8
Figura 9
Tabla 1

2020     |     www.medigraphic.com

Mi perfil

C?MO CITAR (Vancouver)

Acta Ortop Mex. 2024 Mar-Abr;38

ARTíCULOS SIMILARES

CARGANDO ...