medigraphic.com
ENGLISH

Acta Ortopédica Mexicana

ISSN 2992-8036 (Digital)
ISSN 2306-4102 (Impreso)
Órgano Oficial del Colegio Mexicano de Ortopedia y Traumatología
  • Mostrar índice
  • Números disponibles
  • Información
    • Información general        
    • Directorio
  • Publicar
    • Instrucciones para autores        
  • medigraphic.com
    • Inicio
    • Índice de revistas            
    • Registro / Acceso
  • Mi perfil

2024, Número 2

<< Anterior Siguiente >>

Acta Ortop Mex 2024; 38 (2)


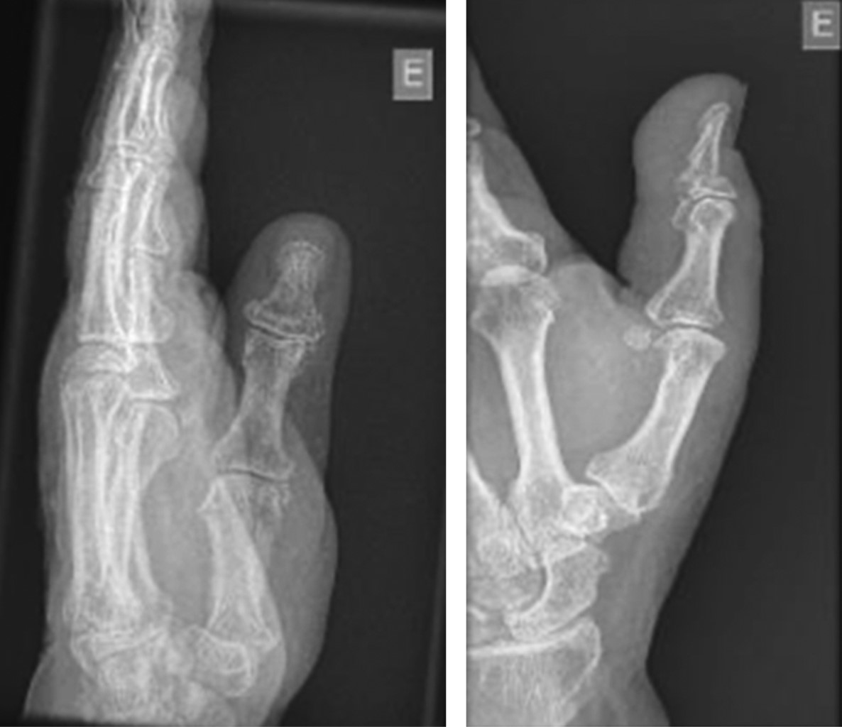
Luxación volar de la articulación metacarpofalángica del pulgar: reducción abierta y reparación del ligamento colateral cubital. Reporte de un caso

Maroto-Rodríguez R, Tibau-Alberdi M, Sánchez-González J
Texto completo Cómo citar este artículo 10.35366/115083

DOI

DOI: 10.35366/115083
URL: https://dx.doi.org/10.35366/115083
Artículos similares

Idioma: Ingles.
Referencias bibliográficas: 11
Paginas: 119-122
Archivo PDF: 211.02 Kb.


PALABRAS CLAVE

luxación, metacarpofalángica, pulgar, ligamento colateral cubital.

RESUMEN

Introducción: las luxaciones metacarpofalángicas del pulgar no son lesiones muy frecuentes, es necesario conocer la anatomía de la región para conocer posibles causas de interposición que impidan una reducción cerrada de esta patología. Presentación del caso: presentamos el caso de una mujer de 75 años con luxación metacarpofalángica postraumática del pulgar que requirió reducción abierta y reparación quirúrgica. En este procedimiento realizamos reducción de la luxación, movilización de las estructuras interpuestas, reparación de la cápsula y reinserción del ligamento colateral cubital. El protocolo de movilización temprana ayudó a obtener muy buenos resultados. Conclusión: es imperativo considerar posibles lesiones asociadas durante la fase aguda para lograr resultados óptimos a corto, mediano y largo plazo para nuestros pacientes. Un enfoque integral y proactivo del diagnóstico y tratamiento es vital para abordar eficazmente esta patología y minimizar sus posibles secuelas.


REFERENCIAS (EN ESTE ARTÍCULO)

  1. Potini VC, Sood A, Sood A, Mastromonaco E. Volar dislocation of the thumb metacarpophalangeal joint with acute repair of the ulnar collateral ligament. Case Reports Plast Surg Hand Surg. 2014; 1(1): 5-7. doi: 10.3109/23320885.2014.965254.

  2. Moneim MS. Volar dislocation of the metacarpophalangeal joint. Pathologic anatomy and report of two cases. Clin Orthop Relat Res. 1983; (176): 186-9.

  3. Agha RA, Franchi T, Sohrabi C, Mathew G, Kerwan A; SCARE Group. The SCARE 2020 Guideline: Updating Consensus Surgical CAse REport (SCARE) Guidelines. Int J Surg. 2020; 84: 226-30.

  4. Singhal RK. Anteromedial dislocation of metacarpophalangeal joint of the thumb with special emphasis on its mechanism of injury. J Indian Med Assoc. 1974; 62(1): 18-20.

  5. Gunther SF, Zielinski CJ. Irreducible palmar dislocation of the proximal phalanx of the thumb—Case report. J Hand Surg Am. 1982; 7(5): 515-7. doi: 10.1016/S0363-5023(82)80051-8.

  6. Proubasta IR. Volar dislocation of the metacarpophalangeal joint of the thumb: report of two cases. Bull Hosp Jt Dis. 1993; 53(2): 13-4.

  7. Catalán-Amigo S, Pedemonte-Jansana J, Navarro-Quilis A. Simultaneous dislocation of both joints of the thumb with a fracture involving the interphalangeal joint. A case report and a review of the literature. Acta Chir Belg. 2007; 107(6): 728-30. doi: 10.1080/00015458.2007.11680161.

  8. Beck JD, Klena JC. Closed reduction and treatment of 2 volar thumb metacarpophalangeal dislocations: Report of 2 cases. J Hand Surg Am. 2011; 36(4): 665-9. doi: 10.1016/j.jhsa.2010.12.006.

  9. Senda H, Okamoto H. Palmar dislocation of the thumb metacarpophalangeal joint: Report of four cases and a review of the literature. J Hand Surg Eur Vol. 2014; 39(3): 276-81. doi: 10.1177/1753193413499291.

  10. Alioto RJ, Pellegrini VD Jr. Complex palmar dislocation of the thumb metacarpophalangeal joint. A case report demonstrating paradoxical function of the extensor pollicis longus. Clin Orthop Relat Res. 1993; (296): 118-21.

  11. Helm RH. Hand function after injuries to the collateral ligaments of the metacarpophalangeal joint of the thumb. J Hand Surg Br. 1987; 12(2): 252-5.




Figura 1
Figura 2
Figura 3
Figura 4
Figura 5
Figura 6
Figura 7

2020     |     www.medigraphic.com

Mi perfil

C?MO CITAR (Vancouver)

Acta Ortop Mex. 2024 Mar-Abr;38

ARTíCULOS SIMILARES

CARGANDO ...