medigraphic.com
ENGLISH

Revista Mexicana de Cirugía Bucal y Maxilofacial

ISSN 2007-3178 (Impreso)
Asociación Mexicana de Cirugía Bucal y Maxilofacial, Colegio Mexicano de Cirugía Bucal y Maxilofacial, A.C.
  • Mostrar índice
  • Números disponibles
  • Información
    • Información general        
    • Directorio
  • Publicar
    • Instrucciones para autores        
    • Envío de artículos
  • medigraphic.com
    • Inicio
    • Índice de revistas            
    • Registro / Acceso
  • Mi perfil

2024, Número 1

<< Anterior Siguiente >>

Rev Mex Cir Bucal Maxilofac 2024; 20 (1)


Factores de riesgo asociados a formación de fístula palatina en postoperados de palatoplastia primaria. Experiencia en el Centro de Alta Especialidad ''Dr. Rafael Lucio''

Oliman Hoyos, Zeyda María1; Zavala Alvarado, Edgar Antonio2; Sigero Vázquez, Arturo Eliseo3
Texto completo Cómo citar este artículo 10.35366/115381

DOI

DOI: 10.35366/115381
URL: https://dx.doi.org/10.35366/115381
Artículos similares

Idioma: Español
Referencias bibliográficas: 21
Paginas: 4-9
Archivo PDF: 294.21 Kb.


PALABRAS CLAVE

fisura, fístula, palatoplastia.

RESUMEN

Objetivo: identificar la frecuencia de fístulas palatinas como complicación posquirúrgica de palatoplastia primaria, así como sus factores de riesgo más comunes. Material y métodos: estudio observacional, descriptivo, y retrospectivo que incluyó pacientes a quienes se realizó palatoplastia primaria entre 2017 y 2020 en el Centro de Alta Especialidad "Dr. Rafael Lucio". Resultados: se obtuvo una frecuencia de 35% de pacientes con fístula palatina, teniendo como factores de riesgo de significancia estadística el tipo de fisura original y la falta de seguimiento de indicaciones postquirúrgicas. Conclusión: resulta fundamental conocer los factores de riesgo, para la toma de decisiones en cuanto a técnica quirúrgica que se empleará de acuerdo con el tipo de fisura a tratar.



INTRODUCCIóN

Las hendiduras labiales y del paladar son las anomalías craneofaciales congénitas más comunes, se presentan en aproximadamente 1 de cada 700 nacidos vivos. El paladar hendido aislado se observa en aproximadamente 1 de cada 2,000 y se asocia comúnmente a un síndrome o secuencia, esto como estadística global, siendo similar en todos los grupos raciales.

Las hendiduras del labio aisladas ocurren más comúnmente en hombres que en mujeres, siendo más frecuente su presentación unilateral y del lado izquierdo. Las hendiduras bilaterales del labio se asocian más a menudo con hendidura tanto del paladar primario como del secundario.1

Según datos del Sistema de Vigilancia Epidemiológica de Defectos del Tubo Neural y Craneofaciales, en 2021 en México, se presentaron 1,274 nuevos casos de defectos craneofaciales, de los cuales 560 (43%) fueron labio y paladar hendido, con una incidencia de 28.7 casos por cada 100,000 recién nacidos vivos.2

Los principales objetivos de una palatoplastia primaria son el desarrollo de habla normal mediante una adecuada competencia velofaríngea sin afectar significativamente el crecimiento maxilar, apariencia facial normal, minimizar pérdida auditiva y complicaciones del oído medio, así como evitar la regurgitación de líquidos y alimentos al separar la cavidad oral de la nasal.3,4

Se han descrito distintas técnicas de palatoplastia; para paladar duro pueden ser con colgajos bipediculados como la palatoplastia de Von Langenbeck o de colgajos monopediculados, tomando como ejemplo la técnica de Veau-Wardill-Kilner, y la palatoplastia de dos colgajos de Bardach. Para el paladar blando se han descrito la reparación velar de Von Graefe y Roux, la veloplastia intravelar de Kriens y la plastia en Z de doble oposición de Furlow,3 además de técnicas mínimamente invasivas como la de Somerland5 y la técnica de mínimas incisiones del Dr. Mario Mendoza.6

Dentro de las complicaciones asociadas a palatoplastia se describen: sangrado postoperatorio, infecciones orofaríngeas, otitis media, infecciones del sitio quirúrgico, dehiscencia superficial, dehiscencia profunda, formación de fístulas palatinas e insuficiencia velofaríngea.7

Formación de fístula palatina es la segunda complicación más común después de la insuficiencia velofaríngea, se define como la permeabilidad entre las cavidades oral y nasal,8 una abertura epitelizada entre las cavidades oral y nasal9 o la falla de cicatrización después de la reparación quirúrgica primaria del paladar.4

Dentro de las causas identificadas se han informado: disección inadecuada de los colgajos, cierre a tensión, sangrado postoperatorio, formación de hematomas entre las capas oral y nasal, e infección.8

Existen factores de riesgo asociados a la formación de fístulas palatinas como complicación de palatoplastia, dentro de las cuales encontramos:

  • 1. Extensión de la hendidura original.10
  • 2. Anchura de la hendidura original, con una fuerte asociación entre el desarrollo de fístulas y un ancho de hendidura mayor o igual a 13 mm.4,10
  • 3. Técnica quirúrgica empleada, con hasta 6.2% de incidencia cuando se utilizan colgajos monopediculados y de 10.2% con bipediculados.11
  • 4. Experiencia del cirujano, reduciendo incidencia hasta en 10% por cada 10 reparaciones del paladar realizadas.10
  • 5. Edad del cierre del paladar, siendo más común en pacientes intervenidos a una edad de cuatro a cinco años,12 seguida por el grupo menor a seis meses y menos común en aquellos tratados entre los 12 y 24 meses.9
  • 6. Cirugía en una o dos etapas, ya que los pacientes con reparación en dos tiempos desarrollan fístulas palatinas hasta en 27% de los casos, mientras que sólo 14% de los pacientes con reparación en una etapa las desarrollan.4
  • 7. Asociación con síndromes, considerando que en estos pacientes son más comunes las fisuras de paladar secundario y que las incisiones relajantes rara vez se usan para este tipo de hendidura, provocando cierre a tensión.
  • 8. Falta de seguimiento de indicaciones postquirúrgicas higiénicas y nutricionales, determinando una cicatrización deficiente de la herida.13

Una de las clasificaciones más aceptada para fístulas palatinas por su practicidad y universalidad es la clasificación de Pittsburgh, la cual incluye siete tipos:

Tipo I: fístulas en la úvula, o úvula bífida.

Tipo II: ocurren dentro del paladar blando.

Tipo III se encuentran en la unión de los paladares blando y duro.

Tipo IV: dentro del paladar duro.

Tipo V: se definen como fístulas en el agujero incisivo.

Tipo VI: linguales-alveolares.

Tipo VII: labiales-alveolares.

Aunado a esto pueden ser sintomáticas cuando resultan en escape nasal de aire o regurgitación nasal de líquidos o alimentos, representándose con un (+) y las fístulas asintomáticas, sin importancia clínica, que se pueden señalar con un (−).14

Otro método clínicamente útil para clasificación de fístulas palatinas es la clasificación de Cohen, quien describe al tipo I: como fístulas pequeñas de 1 a 2 mm, tipo II: fístulas medianas 3 a 5 mm y tipo III: fístulas grandes mayores a 5 mm.15

En la literatura se ha reportado una amplia gama de tasas de ocurrencia de fístulas palatinas como complicación a una palatoplastia primaria; esto debido a la falta de una definición estandarizada, encontrando desde 0-8.6% en algunos estudios y hasta 60-75% en otros.11,13,14,16

El manejo y la técnica de reparación ideal para fístulas palatinas depende de la ubicación y el tamaño de la misma, la edad del paciente y el historial quirúrgico, así como la experiencia del cirujano con la técnica.17 Su objetivo es una reparación de dos capas hermética y sin tensión; con base en estos criterios se han propuesto técnicas de acuerdo a la ubicación de la fístula:

  • 1. Paladar blando: si la fístula no provoca insuficiencia velofaríngea (IVF), se pueden extirpar con precisión los márgenes libres de la mucosa, socavar las capas de mucosa nasal y oral, después reparar cada capa individualmente. Cuando existe insuficiencia velofaríngea, tanto la plastia en Z de doble oposición y la veloplastia intravelar, se consideran abordajes aceptables; otras opciones son el colgajo miomucoso bucal y el colgajo faríngeo.
  • 2. Paladar duro: se debe identificar una fuente de tejido para reparar el revestimiento nasal, dentro de las opciones se cuenta con colgajo de vómer, colgajo de pared nasal lateral, colgajo musculomucoso de la arteria facial y, para defectos pequeños, un colgajo invertido de mucosa oral, así como una fuente de tejido distinta para reparar el revestimiento oral, para el cual se cuenta con colgajo mucoperióstico oral, colgajo bucal miomucoso y colgajo lingual.
  • 3. Unión de paladar duro y blando: estos pacientes generalmente desarrollan insuficiencia velofaríngea por lo cual requieren tratar tanto el paladar blando como el duro, esto con las técnicas previamente descritas.17,18,19

Las fístulas de tipo IV y V de Pittsburgh se consideran técnicamente más difíciles de manejar que los tipos II y III.17,19

En particular el cierre de las fístulas asintomáticas tipos IV y V se debe retrasar hasta completar el manejo de ortodoncia, ya que los pacientes pueden volverse sintomáticos durante el proceso de expansión del arco maxilar. La recidiva tiene una amplia variedad de incidencias reportadas; sin embargo, desafortunadamente es alta y va de 10-20%20 hasta 35-75%.21

El objetivo principal de este estudio fue identificar la frecuencia de fístulas palatinas como complicación postquirúrgica de palatoplastia primaria, así como sus factores de riesgo más comunes.



MATERIAL Y MéTODOS

Se realizó un estudio observacional, descriptivo, y retrospectivo que incluyó la revisión de 46 expedientes clínicos de pacientes operados de palatoplastia primaria por parte del Servicio de Cirugía Maxilofacial del Centro de Alta Especialidad "Dr. Rafael Lucio" durante el periodo enero de 2017 a enero de 2020. Los procedimientos fueron realizados por cuatro cirujanos adscritos al servicio.

Se incluyeron expedientes de pacientes que cumplieron los siguientes criterios: sujetos de uno u otro sexo con edades entre ocho y 24 meses; pacientes con paladar hendido que participen en el protocolo de palatoplastia primaria; casos que contaban con protocolo quirúrgico y expediente completos.

Los criterios de exclusión fueron: pacientes con procedimientos de palatoplastia primaria previas en otra institución y pacientes que no acudieron a control de evolución postoperatorio.

Se procedió a recabar la información de cada paciente, registrando los datos de las variables: edad, sexo, tipo de fisura original, técnica quirúrgica empleada, presencia de fístula palatina, tamaño y ubicación de la misma, así como el seguimiento de indicaciones postquirúrgicas.

Treinta y dos (70%) expedientes correspondieron a pacientes del género masculino y 14 (30%) al femenino; 19 pacientes se encontraron entre 12 y 14 meses de edad, 14 entre 15 y 17 meses, cinco entre nueve y 11 meses, cinco entre 18 y 20, dos entre 21 a 23 meses y sólo uno tenía 24 meses o más. La media de edad fue 14 meses.

Diecisiete (36%) intervenciones se realizaron con técnica de Bardach, 15 (33%) usaron incisiones mínimas, en siete (15%) casos se utilizó la técnica de Wardill, en seis (13%) la técnica de Von Langenbeck y sólo en uno (2%) se empleó la técnica de veloplastia intravelar.



RESULTADOS

De los 46 expedientes revisados, 16 presentaron fístulas palatinas, por lo cual se determinó una frecuencia del 35%; de estos casos, 69% fueron hombres y 31% mujeres.

De los 16 pacientes que presentaron fístulas palatinas, nueve se encontraron en el rango de 12-14 meses de edad, cinco en el de 15-17 meses, uno en el de 18-20 meses y otro en el de 9-11 meses.

Con base en la clasificación de Pittsburg, 37.5% de las fístulas se localizaron en el paladar duro, 31.25% fueron fístulas anteriores, 12.5% se ubicaron en la úvula, 12.5% se localizaron en la unión del paladar duro con el paladar blando y 6.25% se encontraron en el paladar blando.

De acuerdo a la clasificación de Cohen, 35% de ellas fueron medianas, es decir entre 3 y 5 mm; 25% pequeñas, de 1 a 2 mm; y 6.25% grandes, mayores de 5 mm.

El mayor número de fístulas se presentó en el grupo de pacientes con fisura palatina unilateral completa izquierda con nueve (56%) casos (cuatro mujeres y cinco hombres). Con fisura bilateral completa se registraron cuatro (25%) casos masculinos. Con fisura palatina secundaria hubo dos (12.5%) casos de pacientes masculinos y con fisura palatina unilateral completa derecha un caso (6.25%) de una mujer.

De los pacientes que presentaron fístula palatina postquirúrgica, 56.2% siguieron indicaciones otorgadas de manera verbal y escrita, mientras que el restante 43.8% contaban con notas anexas en las cuales se reportaba que no cumplieron con dichas indicaciones.

El 44% de las fístulas se presentaron en pacientes en quienes se utilizó la técnica de Bardach, 31% de las fístulas con la técnica de incisiones mínimas, 13% con Wardill y 6% con la técnica de Von Langenbeck.

Las variables que presentaron diferencia estadísticamente significativa entre el grupo con fístula y sin fístula fueron: el seguimiento de indicaciones (p = 0.03) y el tipo de fisura palatina (p = 0.0001).



CASO CLíNICO

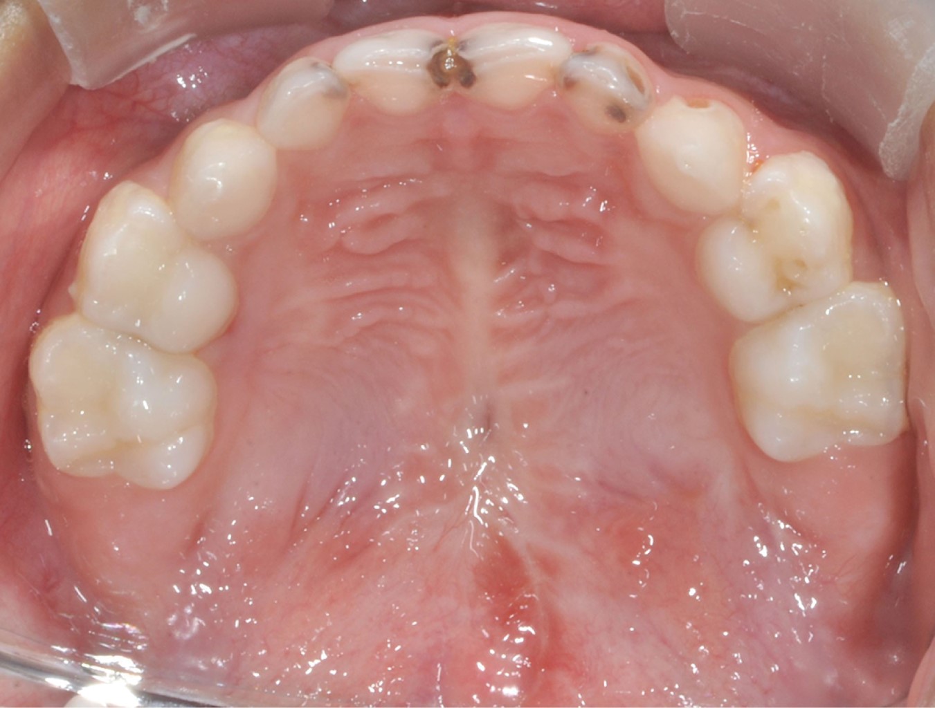
Se presenta el caso de un paciente pediátrico masculino, quien fue llevado al Servicio de Cirugía Maxilofacial del Centro de alta Especialidad "Dr. Rafael Lucio" a la edad de un año cinco meses. Fue valorado y diagnosticado con fisura de paladar secundario clasificación II de Veau (Figura 1), por lo que se le realizó palatoplastia mediante técnica de veloplastia intravelar bajo anestesia general balanceada; la cirugía se llevó a cabo sin complicaciones ni eventualidades (Figura 2). El paciente fue dado de alta; acudió a controles posquirúrgicos a la semana, al mes y a los seis meses; durante este seguimiento fue posible observar la presencia de una fístula palatina Pittsburgh IV +, Cohen II, la cual provocaba paso de líquidos desde la cavidad oral a la nasal (Figura 3).

Después de seis meses de la palatoplastia primaria, se decidió realizar cierre de fístula. Con el paciente bajo anestesia general balanceada, se efectuaron incisiones en los bordes de la fístula, separando las capas nasal y oral, cerrando en dos planos, utilizando un colgajo de mucosa oral invertida para la capa nasal y reclutando tejidos locales para un colgajo mucoperióstico utilizado para el cierre de la capa oral, apoyado de incisiones relajantes. El procedimiento se llevó a cabo sin complicaciones ni eventualidades (Figuras 4 y 5). El paciente fue dado de alta; acudió a controles postoperatorios después de una semana, un mes y seis meses, cursando con una cicatrización adecuada. Actualmente cuenta con dos años de evolución, se encuentra asintomático y sin datos de recidiva de fístula palatina (Figura 6).



DISCUSIóN

En el presente estudio se identificó una frecuencia de 35%; este hallazgo difiere de lo informados en la mayoría de trabajos previamente publicados, los cuales encontraron incidencias de 0-8.6%;11,13,14 consideramos que esto es debido a que nuestro trabajo incluyó fístulas palatinas de todos los tamaños desde 1 mm a más de 5 mm, mientras que en otros estudios sólo se incluyeron cuando fueron sintomáticas o de tamaño significante.

En su metaanálisis, Bykowski y colaboradores16 encontraron que la técnica quirúrgica menos asociada a presencia de fístulas palatinas fue la de dos colgajos de Bardach; en el presente trabajo la técnica de Bardach fue la más asociada, esto es debido a que esta técnica fue también la más empleada en el periodo de estudio.

Tosa y asociados,13 en su estudio encontraron una incidencia de 0% y comentan que uno de los principales factores que influyen en la presencia de fístulas palatinas es la infección postquirúrgica, por lo cual resulta importante instaurar un protocolo con la adecuada alimentación e higiene de los pacientes postoperados. Coincidimos con esta opinión, ya que 43.7% de los pacientes que presentaron fístulas en nuestro estudio, no siguieron las indicaciones postoperatorias de alimentación e higiene, lo cual pudo contribuir a una cicatrización tórpida y determinar la presencia de dicha complicación.



CONCLUSIONES

Identificar los factores de riesgo asociados a presencia de fístula palatina como complicación postquirúrgica de una palatoplastia, es fundamental para la toma de decisiones en cuanto a técnica quirúrgica que se empleará de acuerdo con el tipo de fisura a tratar.

Resulta de vital importancia estandarizar la definición e incluir todas las fístulas palatinas y dehiscencias posquirúrgicas en estudios ulteriores para contar con información específica y evitar los factores de riesgo determinantes para su presencia.

Durante los primeros días en la recuperación de una palatoplastia, los pacientes requieren mayores cuidados para evitar infecciones del sitio quirúrgico y cicatrización tórpida; es indispensable la concientización y educación de padres con un protocolo de adecuada alimentación e higiene.

El manejo de fístulas palatinas como complicación posquirúrgica debe basarse en la sintomatología, ubicación, edad, cirugías pendientes, tasa de éxito y experiencia del cirujano con las diferentes técnicas.


REFERENCIAS (EN ESTE ARTÍCULO)

  1. Miloro M, Ghali GE, Larsen PE, Waite P. Peterson's principles of oral and maxillofacial surgery. Springer, Berlin, Springer International Publishing, PMPH USA, Springer. 2022.

  2. Secretaría de Salud. Dirección General de Epidemiología (DGE). Sistema de Vigilancia Epidemiológica de Defectos del Tubo Neural y Craneofaciales, Informe de Vigilancia Epidemiológica 2021. México: DGE; 2021. Disponible en: https://www.gob.mx/cms/uploads/attachment/file/728465/Informeanual2021DTNyDCF.pdf

  3. Smith DM, Losee JE. Cleft palate repair. Clin Plast Surg. 2014; 41 (2): 189-210. doi: 10.1016/j.cps.2013.12.005.

  4. Landheer JA, Breugem CC, van der Molen AB. Fistula incidence and predictors of fistula occurrence after cleft palate repair: two-stage closure versus one-stage closure. Cleft Palate Craniofac J. 2010; 47 (6): 623-30. doi: 10.1597/09-069.

  5. Sommerlad BC. A technique for cleft palate repair. Plast Reconstr Surg. 2003; 112 (6): 1542-1548. doi: 10.1097/01.PRS.0000085599.84458.D2.

  6. Mendoza M, Molina F, Azzolini C, Ysunza Rivera A. Minimal incision palatopharyngoplasty. A preliminary report. Scand J Plast Reconstr Surg Hand Surg. 1994; 28 (3): 199-205. doi: 10.3109/02844319409015981.

  7. Blough JT, Purnell CA, Chow I, Gosain AK. Wound complications, additional ventilation requirement, prolonged stay, and readmission in primary palatoplasty: a risk factor analysis of 3616 patients. Plast Reconstr Surg. 2019; 144 (5): 1150-1157. doi: 10.1097/PRS.0000000000006163.

  8. Richardson S, Agni N. Palatal fistulae: a comprehensive classification and difficulty index. J Maxillofac Oral Surg. 2014; 13 (3): 305-309. doi: 10.1007/s12663-013-0535-2.

  9. Lithovius RH, Ylikontiola LP, Sándor GK. Incidence of palatal fistula formation after primary palatoplasty in northern Finland. Oral Surg Oral Med Oral Pathol Oral Radiol. 2014; 118 (6): 632-636. doi: 10.1016/j.oooo.2014.07.002.

  10. Pollard SH, Skirko JR, Dance D, Reinemer H, Yamashiro D, Lyon NF et al. Oronasal fistula risk after palate repair. Cleft Palate Craniofac J. 2021; 58 (1): 35-41. doi: 10.1177/1055665620931707.

  11. Hardwicke JT, Landini G, Richard BM. Fistula incidence after primary cleft palate repair: a systematic review of the literature. Plast Reconstr Surg. 2014; 134 (4): 618e-627e. doi: 10.1097/PRS.0000000000000548.

  12. Eberlinc A, Kozelj V. Incidence of residual oronasal fistulas: a 20-year experience. Cleft Palate Craniofac J. 2012; 49 (6): 643-648. doi: 10.1597/10-146.

  13. Tosa N, Tosa Y, Yoshimoto S, Nakano H, Mandrano N, Kuroki T. Incidence and contributing factors for palatal fistula after primary palatoplasty in a medical collaboration program in Madagascar. Showa Univ Med Sci. 2018; 30 (2): 271-283. doi: 10.15369/0.271.

  14. Smith DM, Vecchione L, Jiang S, Ford M, Deleyiannis FW, Haralam MA et al. The Pittsburgh Fistula Classification System: a standardized scheme for the description of palatal fistulas. Cleft Palate Craniofac J. 2007; 44 (6): 590-594. doi: 10.1597/06-204.1.

  15. Cohen SR, Kalinowski J, LaRossa D, Randall P. Cleft palate fistulas: a multivariate statistical analysis of prevalence, etiology, and surgical management. Plast Reconstr Surg. 1991; 87 (6): 1041-1047.

  16. Bykowski MR, Naran S, Winger DG, Losee JE. The rate of oronasal fistula following primary cleft palate surgery: a meta-analysis. Cleft Palate Craniofac J. 2015; 52 (4): e81-87. doi: 10.1597/14-127.

  17. Rothermel AT, Lundberg JN, Samson TD, Tse RW, Allori AC, Bezuhly M et al. A toolbox of surgical techniques for palatal fistula repair. Cleft Palate Craniofac J. 2021; 58 (2): 170-180. doi: 10.1177/1055665620949321.

  18. Abdel-Aziz M, El-Hoshy H, Naguib N, Reda R. Furlow technique for treatment of soft palate fistula. Int J Pediatr Otorhinolaryngol. 2012; 76 (1): 52-56. doi: 10.1016/j.ijporl.2011.09.030.

  19. Denadai R, Zanco G, Raposo-Amaral C, Buzzo C, Raposo-Amaral C. Outcomes of surgical management of palatal fistulae in patients with repaired cleft palate. J Craniofac Surg. 2020; 31 (1): 45-50. doi: 10.1097/SCS.0000000000005852.

  20. Abdel-Aziz M. V-Y two-layer repair for oronasal fistula of hard palate. Int J Pediatr Otorhinolaryngol. 2010; 74 (9): 1054-1057. DOI: 10.1016/j.ijporl.2010.06.003.

  21. Ahmed MK, Maganzini AL, Marantz PR, Rousso JJ. Risk of persistent palatal fistula in patients with cleft palate. JAMA Facial Plast Surg. 2015; 17 (2): 126-130. doi: 10.1001/jamafacial.2014.1436.



AFILIACIONES

1 Especialista en Cirugía Oral y Maxilofacial, profesora titular del curso de Cirugía Maxilofacial en Centro de Alta Especialidad "Dr. Rafael Lucio", Xalapa, Veracruz, México.

2 Especialista en Cirugía Oral y Maxilofacial, práctica privada y profesor en ENES León-UNAM.

3 Especialista en Cirugía Oral y Maxilofacial, adscrito al Servicio de Cirugía Maxilofacial, Hospital Regional de Poza Rica, Veracruz, México.



CORRESPONDENCIA

Dr. Arturo Eliseo Sigero Vázquez. E-mail: arturo_sigero@hotmail.com




Recibido: Octubre 2022. Aceptado: Marzo 2023.

Figura 1
Figura 2
Figura 3
Figura 4
Figura 5
Figura 6

2020     |     www.medigraphic.com

Mi perfil

C?MO CITAR (Vancouver)

Rev Mex Cir Bucal Maxilofac. 2024;20

ARTíCULOS SIMILARES

CARGANDO ...