medigraphic.com
ENGLISH

Revista del Centro Dermatológico Pascua

ISSN 1405-1710 (Impreso)
  • Mostrar índice
  • Números disponibles
  • Información
    • Información general        
    • Directorio
  • Publicar
    • Instrucciones para autores        
  • medigraphic.com
    • Inicio
    • Índice de revistas            
    • Registro / Acceso
  • Mi perfil

2023, Número 2

<< Anterior Siguiente >>

Rev Cent Dermatol Pascua 2023; 32 (2)


Eritema anular eosinofílico

Cardona-Hernández, Miguel Ángel1; Ramos-Garibay, Alberto2; de Anda-Ortíz, Nabil3
Texto completo Cómo citar este artículo 10.35366/115494

DOI

DOI: 10.35366/115494
URL: https://dx.doi.org/10.35366/115494
Artículos similares

Idioma: Español
Referencias bibliográficas: 8
Paginas: 60-64
Archivo PDF: 382.81 Kb.


PALABRAS CLAVE

eritema anular eosinofílico, dermatosis eosinofílicas, adultos.

RESUMEN

El eritema anular eosinofílico es una dermatosis eosinofílica aguda, benigna, poco común y de evolución recurrente. En la actualidad existe controversia en si se trata de una entidad independiente, un subtipo del síndrome de Wells o un síndrome de Wells subdiagnosticado per se. Fue descrita por primera vez en 1981 por Peterson y Jarrat en un paciente pediátrico, y fue hasta el año 2000 cuando Kahofer y colaboradores describieron el primer caso en un paciente adulto.



INTRODUCCIóN

El eritema anular eosinofílico es una dermatosis poco común, aguda, de origen eosinofílico, de curso benigno y recidivante.1 En la actualidad existe controversia entre si se trata de una entidad separada o un subtipo del Síndrome de Wells.2



EPIDEMIOLOGÍA Y FISIOPATOLOGÍA

Se han descrito a nivel mundial aproximadamente 55 casos, en edades que oscilan entre los 15 y 85 años. No se ha demostrado predilección racial o por género.3 En el Centro Dermatológico Pascua se han reportado dos casos, uno de ellos el descrito en este artículo. Su etiología es desconocida, se le ha asociado con reacción de hipersensibilidad a antígenos no identificados. Se han publicado diversas hipótesis, entre las que destacan el papel de la interleucina-5 en el reclutamiento de eosinófilos como respuesta a algún estimulo, por ejemplo, la picadura de insectos, o algún otro estimulo alérgico. También se ha involucrado la presencia de un receptor de interleucina-2 en los eosinófilos. En la literatura se menciona su asociación con enfermedad tiroidea autoinmune, hepatitis autoinmune, borreliosis crónica, carcinoma de celulares renales, cáncer de próstata, gastritis crónica por Helicobacter pylori, hepatitis C, enfermedad renal crónica, e incluso, diabetes mellitus; no obstante, hasta la fecha, no se han corroborado estas asociaciones etiológicas en el desarrollo del eritema anular eosinofílico.2,4



MANIFESTACIONES CLÍNICAS

Las zonas más afectadas son el tronco, extremidades superiores y extremidades inferiores. Está constituida por placas eritematosas anulares o policíclicas, con centro inactivo, con un patrón de crecimiento centrífugo. Son lesiones asintomáticas, o levemente pruriginosas. Si desaparece en forma espontánea, puede dejar, como secuela eritema, manchas pigmentadas o cicatrices. Existe una variedad ampollosa sumamente rara.4-6



DIAGNÓSTICO

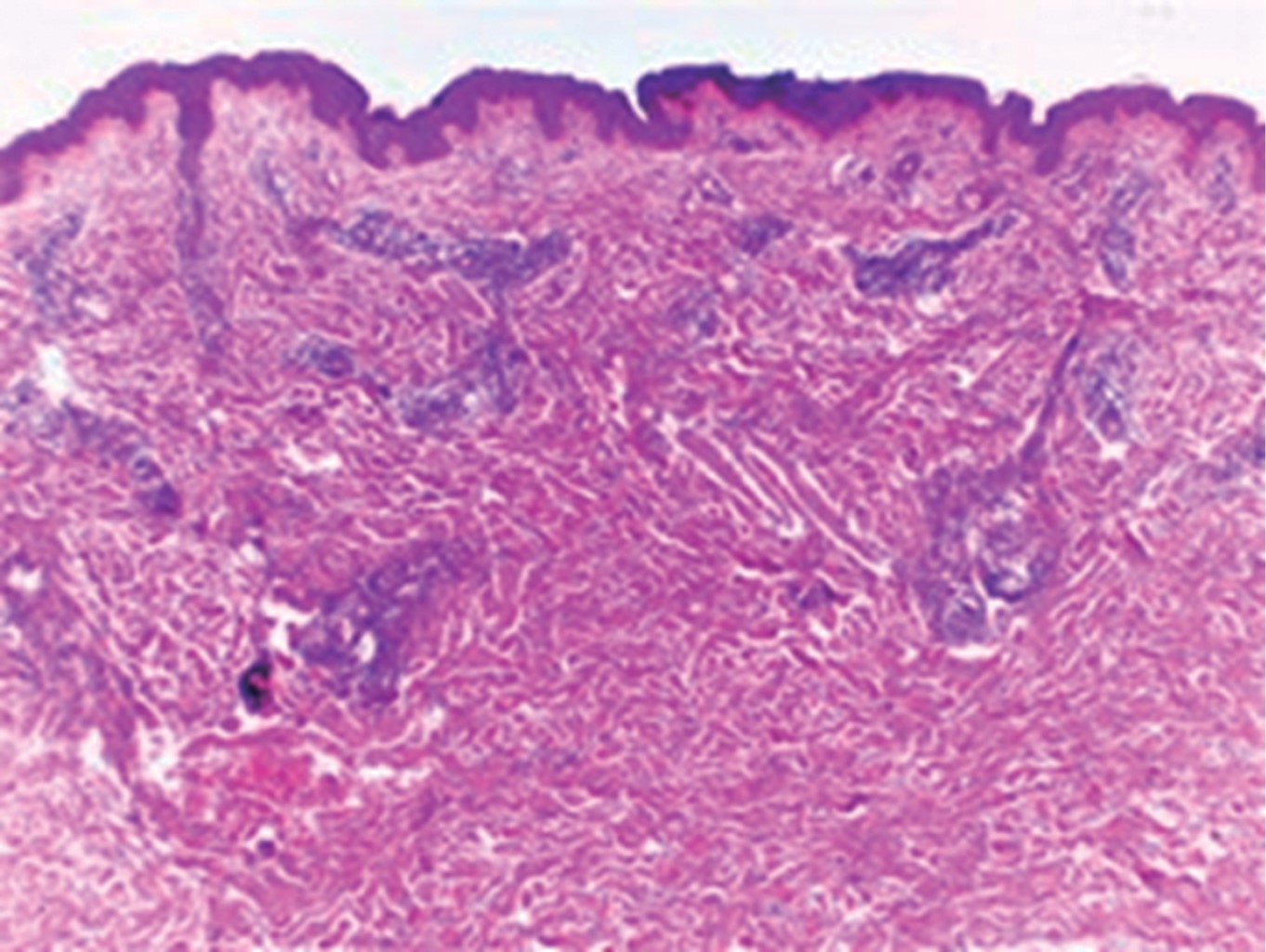
El diagnóstico inicial se basa en las características de topografía y morfología. El estudio histopatológico proporciona el diagnóstico definitivo. Éste muestra infiltrado denso perivascular constituido por linfocitos y abundantes eosinófilos, ocasionalmente se observan "figuras en flama" en lesiones de larga evolución.5



PRONÓSTICO Y TRATAMIENTO

Este padecimiento puede ser autorresolutivo con evolución de semanas a meses. Es resistente a los diferentes tratamientos, y suele ser recurrente. No existen guías para su manejo; sin embargo, en los reportes de casos, y por recomendación de los expertos, se puede administrar hidroxicloroquina 200-250 mg/día por 10 semanas como terapia de primera línea. Otras opciones son: corticoides sistémicos, dapsona, UVB de banda estrecha, nicotinamida, indometacina, ciclosporina, metotrexato, mofetilmicofenolato, mepolizumab, dupilumab y esteroides tópicos de muy alta potencia en los casos de recurrencia.7,8



CASO CLíNICO

Paciente del sexo femenino, de 32 años de edad, con el antecedente de hipotiroidismo en control, quien acude a este centro dermatológico por presentar "lesiones rojizas" de un año y medio de evolución, sin tratamiento previo.

A la exploración física se observa una dermatosis diseminada a tronco, extremidades superiores e inferiores, de los que afecta región mamaria izquierda, cara posterior de brazos, cadera y cara anterior y posterior de muslos. Bilateral con tendencia a simetría, constituida por eritema e infiltración que confluyen formando placas anulares, policíclicas de distintos tamaños, con borde sobreelevado y centro inactivo. De evolución crónica y pruriginosa (Figura 1). La sospecha clínica inicial fue de granuloma anular. Se inició tratamiento con esteroide tópico de alta potencia, y se solicitaron estudios de laboratorio generales, los cuales fueron reportados dentro de límites normales. La paciente cursó con mal apego al tratamiento, sin acudir en numerosas ocasiones a sus citas de control; sin embargo, seis años después acude nuevamente por la misma dermatosis. En esta ocasión se toma una biopsia incisional la cual muestra epidermis sin cambios relevantes. En todo el espesor de la dermis se observan infiltrados moderados dispuestos en focos entre las fibras de colágena. Existe participación de eosinófilos y linfocitos (Figuras 2 y 3). Se realiza correlación clínico-histopatológica, con lo cual se efectúa el diagnóstico final de eritema anular eosinofílico. Se indica tratamiento con hidroxicloroquina 200 mg/día, con lo cual la paciente mejoró notablemente a los dos meses de su inicio (Figura 4).



COMENTARIO

El eritema anular eosinofílico es una dermatosis poco común. Es importante conocer su cuadro clínico, por lo poco frecuente de su presentación, y que puede confundirse con otras dermatosis de morfología parecida, retrasando el diagnóstico. Su evolución es favorable, aunque suele ser recurrente por lo que es importante que el paciente tenga buen apego al tratamiento. Se debe dar seguimiento a largo plazo en estos casos.


REFERENCIAS (EN ESTE ARTÍCULO)

  1. Eljazouly M, Chahboun F, Alj M, Oqbani K, Chiheb S. Eosinophilic annular erythema: a new entity of eosinophilic dermatosis. Cureus. 2022; 14: e22657.

  2. Gray T, Lee J, Segars K, Knopp E, Miller R. Eosinophilic annular erythema: a striking clinical presentation with potential systemic implications. JAAD Case Rep. 2021; 16: 33-36.

  3. Dacy N, Oney K, Fiala K, Parekh P. Eosinophilic annular erythema. Proc (Bayl Univ Med Cent). 2021; 34: 606-607.

  4. El-Khalawany M, Al-Mutairi N, Sultan M, Shaaban D. Eosinophilic annular erythema is a peculiar subtype in the spectrum of Wells syndrome: a multicentre long-term follow-up study. J Eur Acad Dermatol Venereol. 2013; 27: 973-979.

  5. López-Pestaña A, Tuneu A, Lobo C, Zubizarreta J, Eguino P. Eritema anular eosinofílico. Actas Dermosifiliogr. 2004; 95: 302-304.

  6. Holme SA, McHenry P. Nodular presentation of eosinophilic cellulitis (Wells' syndrome). Clin Exp Dermatol. 2001; 26: 677-679.

  7. Hebert AA, Esterly NB. Annular erythema of infancy. J Am Acad Dermatol. 1986; 14: 339-343.

  8. Wells GC. Recurrent granulomatous dermatitis with eosinophilia. Trans St Johns Hosp Dermatol Soc. 1971; 57: 46-56.



AFILIACIONES

1 Dermatólogo. Centro Dermatológico "Dr. Ladislao de la Pascua", SSCDMX.;

2 Dermatopatólogo. Centro Dermatológico "Dr. Ladislao de la Pascua", SSCDMX.;

3 Residente del tercer año en Dermatología. Centro Dermatológico "Dr. Ladislao de la Pascua", SSCDMX.



Conflicto de intereses: ninguno.

Patrocinios: ninguno.



CORRESPONDENCIA

Dr. Miguel Ángel Cardona-Hernández. E-mail: drmiguelcardona08@gmail.com


Figura 1
Figura 2
Figura 3
Figura 4

2020     |     www.medigraphic.com

Mi perfil

C?MO CITAR (Vancouver)

Rev Cent Dermatol Pascua. 2023;32

ARTíCULOS SIMILARES

CARGANDO ...