medigraphic.com
ENGLISH

Revista del Centro Dermatológico Pascua

ISSN 1405-1710 (Impreso)
  • Mostrar índice
  • Números disponibles
  • Información
    • Información general        
    • Directorio
  • Publicar
    • Instrucciones para autores        
  • medigraphic.com
    • Inicio
    • Índice de revistas            
    • Registro / Acceso
  • Mi perfil

2023, Número 2

<< Anterior Siguiente >>

Rev Cent Dermatol Pascua 2023; 32 (2)


Quiste cutáneo ciliado

Cardona-Hernández, Miguel Ángel1; González-González, Maribet2; Corredor-Alonso, Guillermo3; Villareales-Salinas, Daniel Leocadio4; Santos-Ortíz, María Fernanda5; Escribano-Ponce, Marian Guadalupe6
Texto completo Cómo citar este artículo 10.35366/115495

DOI

DOI: 10.35366/115495
URL: https://dx.doi.org/10.35366/115495
Artículos similares

Idioma: Español
Referencias bibliográficas: 8
Paginas: 65-68
Archivo PDF: 242.52 Kb.


PALABRAS CLAVE

quiste cutáneo ciliado, quiste mülleriano, extremidades inferiores, cistoadenoma.

RESUMEN

El quiste cutáneo ciliado (QCC) es una lesión benigna, muy poco frecuente, que se localiza habitualmente en las extremidades inferiores de mujeres jóvenes. Clínicamente se manifiesta como neoformación subcutánea, de consistencia firme, no dolorosa. Las características histopatológicas son la presencia de un quiste en dermis profunda o hipodermis, con proyecciones papilares en su luz, con un epitelio ciliado simple, cuboidal o columnar. Se piensa que estos quistes se desarrollan a partir de restos müllerianos ectópicos, lo que influye en su topografía. Los hallazgos inmunofenotípicos corresponden a la teoría de la heterotopía u origen heterotópico del epitelio ciliado del epitelio de Müller, reactivo para los receptores de estrógenos y progesterona, Proteína del tumor de Wilms (WT-1) y PAX-84. El tratamiento definitivo es la escisión quirúrgica. Su pronóstico es bueno. En este artículo comunicamos el caso de una mujer de 24 años, con quiste cutáneo ciliado en muslo derecho.



INTRODUCCIóN

El quiste cutáneo ciliado (QCC) es una lesión benigna, muy poco frecuente, la cual se ubica por lo común en las extremidades inferiores de mujeres jóvenes. Esto puede explicarse por la gran proximidad de los conductos de Müller a las extremidades inferiores durante el desarrollo.1 Clínicamente se manifiesta como neoformación subcutánea, palpable, solitaria, sin síntomas agregados.2 Las características histopatológicas son la presencia de un quiste en la dermis profunda, con proyecciones papilares en su luz, con epitelio ciliado simple, cúbico o columnar.3 Se cree que estos quistes se desarrollan a partir de restos müllerianos ectópicos. Los hallazgos inmunofenotípicos corresponden a la teoría de la heterotopía u origen heterotópico del epitelio ciliado del epitelio mülleriano, reactivo para los receptores de estrógenos y progesterona (PR y ER), WT-1 y PAX-8.4 Entre 1890 y 2015, solo se han informado 60 casos de QCC en la literatura.5



CASO CLíNICO

Paciente del sexo femenino, de 24 años de edad, quien se presenta con dermatosis localizada a extremidad inferior derecha, de la que afecta cara anterior de muslo; constituida por una neoformación subcutánea, hemisférica, móvil, fluctuante, de consistencia blanda, superficie lisa, íntegra. De evolución crónica y asintomática. Refiere nueve meses de evolución. Se realiza ecografía la cual revela lesión quística subcutánea bien delimitada de 3.5 × 2 × 0.5 cm. No se encontraron calcificaciones ni aumento de la vascularización. La lesión no estaba adherida a ningún músculo o tendón cercano. Ante la sospecha de probable quiste epidérmico, se efectúa biopsia-extirpación. La pieza se envía a estudio histopatológico.

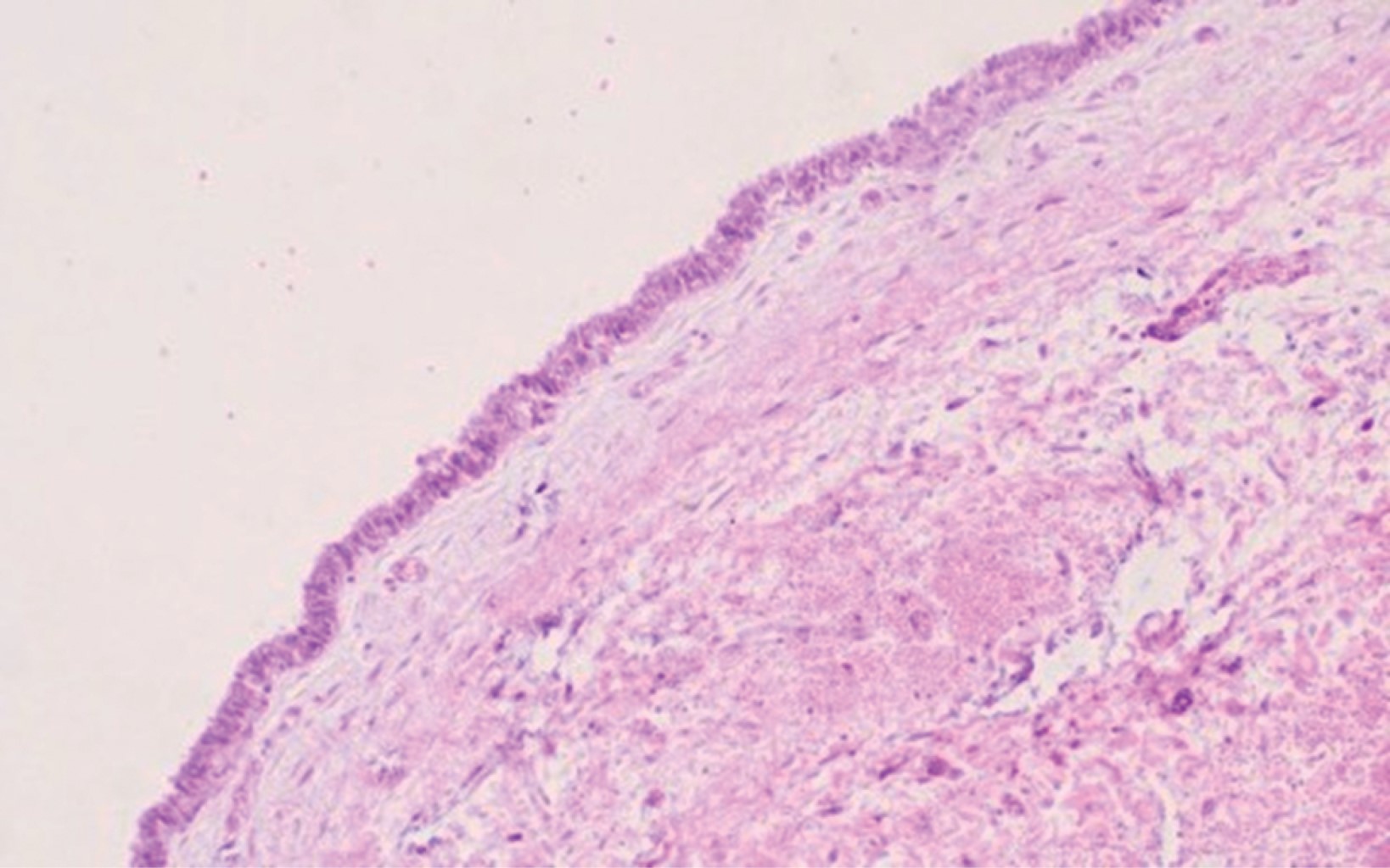
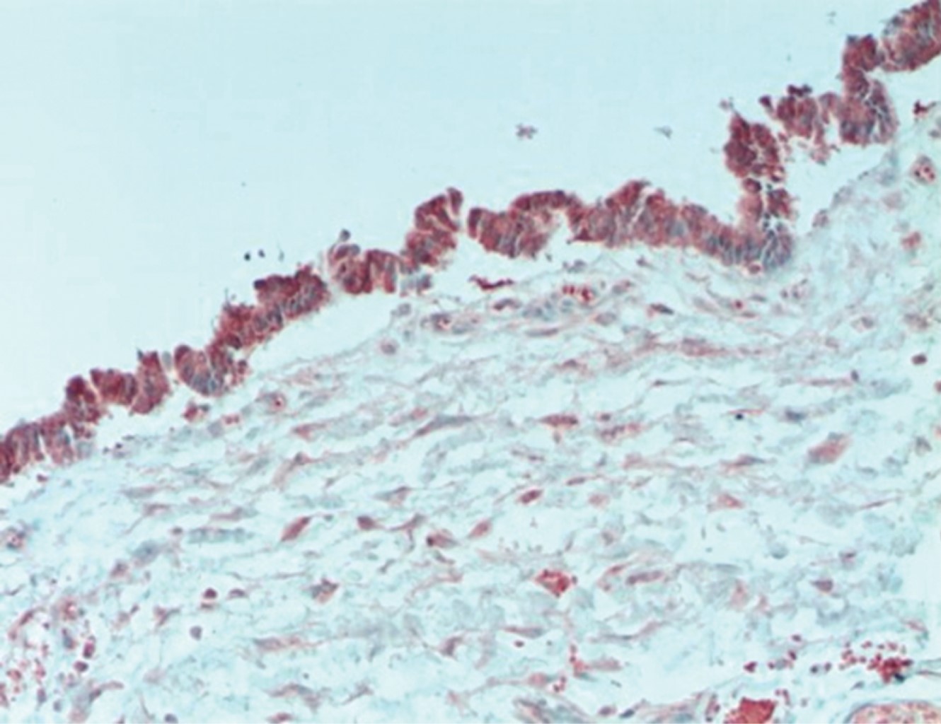
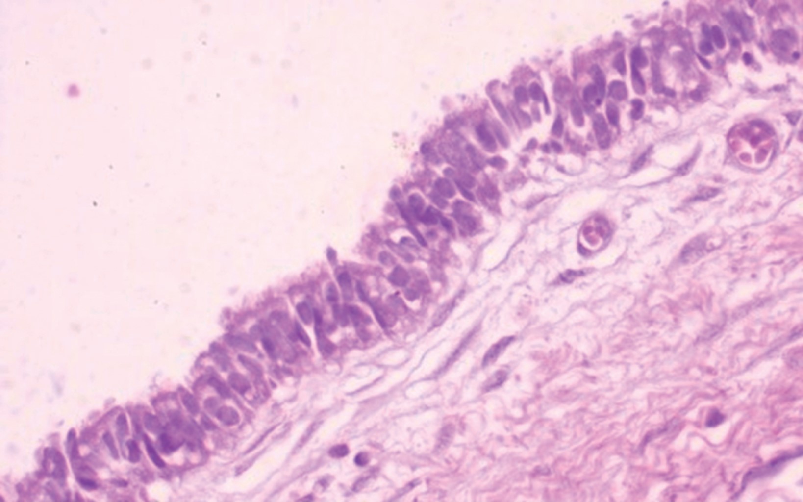
El examen anatomopatológico mostró un quiste multiloculado situado en la dermis profunda (Figura 1), rodeado de tejido conectivo laxo sin músculo liso. A mayor aumento, se observaron cilios finos en el lado luminal del revestimiento epitelial (Figura 2). Las células ciliadas columnares simples mostraron semejanza con el epitelio de Müller. La inmunohistoquímica reveló fuerte positividad citoplasmática para PR (Figura 3) y fuerte positividad intranuclear para ER (Figura 4). El diagnóstico definitivo fue quiste ciliado cutáneo. Sin recidivas durante el seguimiento.



DISCUSIóN

Los QCC son lesiones benignas muy poco frecuentes, que también pueden denominarse quiste mülleriano cutáneo, o cistoadenoma.1 Fue descrito por primera vez por Hess, en 1892. El término actual fue acuñado por Farmer y Helwing en 1978, quienes describieron un tipo único de quiste que se origina en las extremidades inferiores de las mujeres adultas.6 La literatura reporta, hasta 2015, sólo 60 casos.5 Fabien-Dupuis y colaboradores publicaron una serie de 11 pacientes, todas mujeres, con rangos de edad entre los 15 y 30 años, con este tipo de lesiones. En cuanto a su fisiopatogenia, la teoría más aceptada propone que el tejido mülleriano ectópico es secuestrado durante el desarrollo embrionario, lo que da como resultado que estos restos sensibles a hormonas se depositen en sitios específicos que conducen a la formación de quistes después de la pubertad (cuando aumenta la producción de hormonas).6 Sin embargo, el origen sigue siendo controversial, ya que existen otras hipótesis sobre la patogenia, como la teoría del secuestro y migración (heterotopía) del epitelio ciliado del epitelio mülleriano, y la metaplasia ciliada de las glándulas ecrinas. Esto se propone debido a las similitudes entre el epitelio de las trompas de Falopio y el QCC. La heterotopía o diseminación vascular de las células del conducto de Müller durante la embriogénesis temprana (seis a siete semanas de gestación), ha sido respaldada como la histogénesis de los QCC que se presentan en las extremidades inferiores y las nalgas.2

Los hallazgos inmunofenotípicos corresponden a la teoría de la heterotopía del epitelio ciliado del epitelio mülleriano, reactivo para antígenos de pancitoqueratina (CK AE1/AE3), antígeno de membrana epitelial (EMA), receptores de estrógeno (ER), receptores de progesterona (PR), proteína del tumor de Wilms (WT-1) y gen 8 de caja emparejada (PAX-8).7 Se calcula la no reactividad inmunitaria para S100, actina de músculo liso (SMA), antígeno carcinoembrionario (CEA), desmina, factor de transcripción tiroideo (TTF1), p63 y proteína ácida fibrilar glial (GFAP).7 Se ha demostrado que PAX-8, un miembro de la familia de factores de transcripción de caja emparejada (PAX) es importante en el desarrollo de los órganos müllerianos y tiroideos. Se expresa en los núcleos de las células de revestimiento de estos quistes ciliados mediante inmunohistoquímica.4 WT-1, el producto de un gen que es esencial para el desarrollo de los riñones y las gónadas, también es positivo, lo que respalda aún más el origen mülleriano de estos quistes.6

Los QCC, por lo regular, se localizan en las extremidades inferiores, pero también se pueden desarrollar en la espalda, cuello, piel cabelluda, mejillas y la pared abdominal; en mujeres entre la adolescencia y la adultez temprana. Clínicamente se manifiestan como lesiones solitarias, subcutáneas, bien delimitadas, palpables, sin síntomas.8

Las características histopatológicas incluyen la localización en el tejido subcutáneo o en la dermis profunda. Pueden ser quistes tanto uniloculares, como multiloculares. Una característica común es la presencia de proyecciones papilares en la luz del quiste. El revestimiento del quiste es un epitelio ciliado cuboidal o columnar simple, con algunas áreas de epitelio ciliado pseudoestratificado. Por lo general, los tejidos alrededor del quiste son apéndices libres de piel, elementos glandulares y fibras musculares.3 No se observa atipia citológica, ni aumento de la actividad mitótica.

Se debe considerar el diagnóstico diferencial con otros quistes que contienen epitelio de revestimiento ciliado, como el quiste de la hendidura branquial, el teratoma, el quiste broncogénico y el quiste tirogloso.1 El tratamiento recomendado para esta lesión es la extirpación quirúrgica marginal. En general, el pronóstico es bueno, sin recurrencias.8



CONCLUSIóN

El QCC es una lesión infrecuente. El dermatólogo es el encargado de su estudio, y de llevar a cabo los diagnósticos diferenciales para dar tratamiento adecuado. La apariencia clínica es indistinguible de un quiste epidérmico, y el diagnóstico definitivo se basa en las características histopatológicas. El caso motivo de esta publicación es de relevancia por su baja frecuencia y porque coincide con el género, grupo etario y topografía reportado en la bibliografía. Cabe destacar que el caso presentado no muestra diferenciación apocrina como el resto de los casos reportados; el diagnóstico se confirma por inmunohistoquímica, la cual se pudo realizar en nuestro paciente. El pronóstico es bueno, y el tratamiento quirúrgico es curativo.


REFERENCIAS (EN ESTE ARTÍCULO)

  1. Anbarserry I, Alhamar M, Almousa A, Alsamarrae O, Qader MA, Alsindi K. Cutaneous ciliated cyst. Bahrain Med Bull. 2018; 40: 240-241.

  2. Chong SJ, Kim SY, Kim HS, Kim GM, Kim SY, Jung JH. Cutaneous ciliated cyst in a 16-year-old girl. J Am Acad Dermatol. 2007; 56: 159-160.

  3. Barnhill RL, Crowson AN, Magro CM, Piepkorn MW, Kutzner H, Desman GT. Barnhill's Dermatopathology. 4th ed. McGraw-Hill, 2019; p 730.

  4. Joehlin-Price AS, Huang JH, Brooks JS, Scharschmidt TJ, Iwenofu OH. PAX-8 expression in cutaneous ciliated cysts: evidence for müllerian origin. Am J Dermatopathol. 2014; 36: 167-70.

  5. Dini M, Lo Russo G, Baroni G, Colafranceschi M. Cutaneous ciliated cyst: a case report with immunohistochemical evidence for dynein in ciliated cells. Am J Dermatopathol. 2000; 22: 519-523.

  6. Fabien-Dupuis C, Cooper B, Upperman J, Zhou S, Shillingford N. Mullerian-type ciliated cyst of the thigh with PAX-8 and WT1 positivity: a case report and review of the literature. Case Rep Med. 2016; 2016: 2487820.

  7. Rodrigo-Nicolás B, Terrádez Raro JJ, Armengot-Carbó M, Molés-Poveda P, Pont Sanjuán V, Gimeno Carpio E. Müllerian and eccrine cutaneous ciliated cysts: two different entities? The contribution of WT-1 and PAX-8 to diagnosis. J Cutan Pathol. 2013; 40: 608-610.

  8. Torisu-Itakura H, Itakura E, Horiuchi R, Matsumura M, Kiryu H, Takeshita T et al. Cutaneous ciliated cyst on the leg in a woman of menopausal age. Acta Derm Venereol. 2009; 89: 323-324.



AFILIACIONES

1 Dermato-oncólogo adscrito a la Consulta Externa. Centro Dermatológico "Dr. Ladislao de la Pascua", SSCDMX.

2 Dermatopatóloga. Centro Dermatológico "Dr. Ladislao de la Pascua", SSCDMX.

3 Departamento de Patología. Hospital General de Zona No. 92.

4 Departamento de Patología. Instituto Nacional de Cancerología.

5 Residente del segundo año de Dermatología. Centro Dermatológico "Dr. Ladislao de la Pascua", SSCDMX.

6 Residente del primer año de Dermatología. Centro Dermatológico "Dr. Ladislao de la Pascua", SSCDMX.



Conflicto de intereses: ninguno.

Patrocinios: ninguno.



CORRESPONDENCIA

Dr. Miguel Ángel Cardona Hernández. E-mail: drmiguelcardona08@gmail.com


Figura 1
Figura 2
Figura 3
Figura 4

2020     |     www.medigraphic.com

Mi perfil

C?MO CITAR (Vancouver)

Rev Cent Dermatol Pascua. 2023;32

ARTíCULOS SIMILARES

CARGANDO ...