medigraphic.com
ENGLISH

Revista del Centro Dermatológico Pascua

ISSN 1405-1710 (Impreso)
  • Mostrar índice
  • Números disponibles
  • Información
    • Información general        
    • Directorio
  • Publicar
    • Instrucciones para autores        
  • medigraphic.com
    • Inicio
    • Índice de revistas            
    • Registro / Acceso
  • Mi perfil

2023, Número 2

<< Anterior Siguiente >>

Rev Cent Dermatol Pascua 2023; 32 (2)


Placa atrófica en pie

Trejo-Acuña, Juan Ramón1; Cardona-Hernández, Miguel Ángel1; Ramos-Garibay, José Alberto2; Santos-Ortíz, María Fernanda3; Escribano-Ponce, Marian Guadalupe4
Texto completo Cómo citar este artículo 10.35366/115496

DOI

DOI: 10.35366/115496
URL: https://dx.doi.org/10.35366/115496

Idioma: Español
Referencias bibliográficas: 10
Paginas: 70-73
Archivo PDF: 285.55 Kb.


PALABRAS CLAVE

Sin palabras Clave





CASO CLíNICO

Paciente del sexo femenino, de 69 años de edad, originaria y residente de la Ciudad de México, quien acude a consulta por dermatosis de seis meses de evolución, localizada a extremidad inferior izquierda, de la que afecta cara lateral externa del pie, a nivel del talón; constituida por eritema, escama poco adherente, hiperqueratosis y atrofia que confluyen en una placa ovalada, de 3 cm de diámetro mayor, con centro deprimido de 0.5 cm de profundidad, con bordes bien delimitados, elevados. De evolución crónica y asintomática (Figuras 1 y 2).

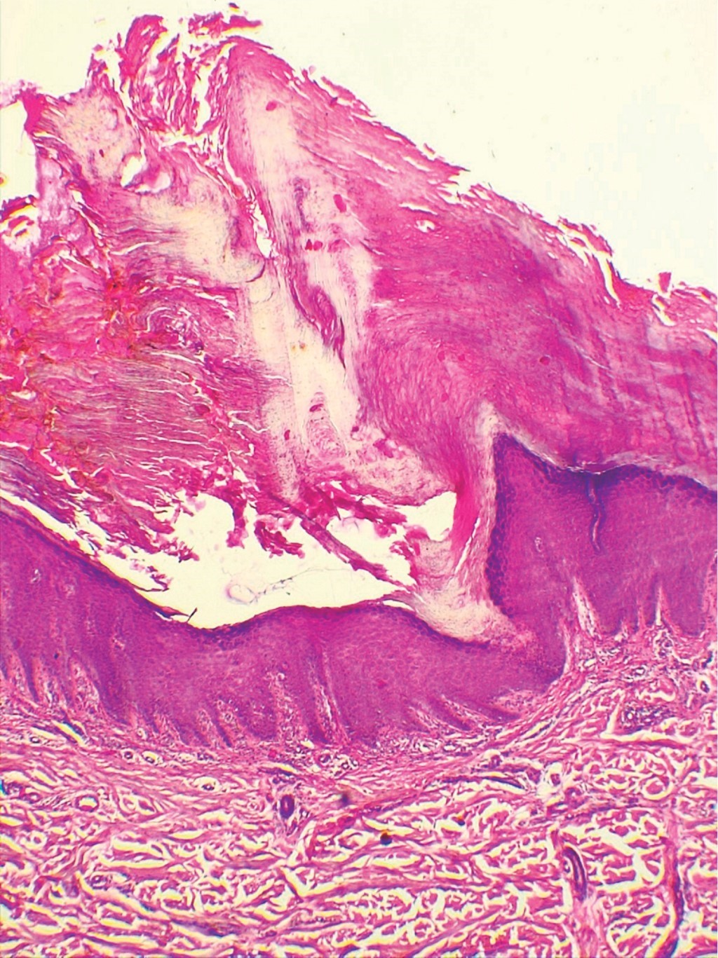
Se realiza estudio histopatológico, cuyas imágenes se muestran en las Figuras 3 y 4.

Con los datos antes descritos, ¿cuál es su diagnóstico?



DIAGNóSTICO: POROQUERATOSIS DE MIBELLI



INTRODUCCIóN

La poroqueratosis (PQ) fue descrita por primera vez en 1982 por Mibelli. Posteriormente, Respighi reporta los primeros casos de poroqueratosis superficial diseminada. Las características de la PQ lineal se detallaron en 1918. Chernosky describió en 1966 una variedad de PQ inducida por la exposición solar: la PQ actínica superficial diseminada. En 1971 Guess publica la variedad palmoplantar diseminada, y en 1977 Rahbari planteó una nueva variedad: la PQ punctata.1,2

La PQ forma parte de un grupo de dermatosis adquiridas o hereditarias de etiología desconocida. Se caracterizan por un desorden de la queratinización, con patrón de herencia autosómico dominante.3

El mecanismo etiopatogénico subyacente no está del todo entendido. Se cree que un clon de queratinocitos mutantes se expande en forma periférica, llevando a la formación de la "laminilla cornoide" (típica de esta entidad), la cual se ubica en el límite entre la población clonal anormal y las células epidérmicas normales.4

Los factores de riesgo asociados que se han descrito son la predisposición genética, la exposición a radiación ultravioleta y la inmunosupresión. Se han publicado múltiples variantes clínicas, cada una con características específicas en cuanto a morfología, distribución y curso clínico.5 Existen algunos autores que las consideran entidades premalignas por la potencial degeneración neoplásica hacia un carcinoma escamoso o basocelular.6



VARIEDADES CLíNICAS

Dentro de los diferentes cuadros clínicos se encuentran: poroqueratosis actínica superficial diseminada (PASD), poroqueratosis superficial diseminada (PSD), poroqueratosis de Mibelli (PM), poroqueratosis lineal (PL), poroqueratosis diseminada eruptiva (PDE), poroqueratosis palmo-plantar y diseminada (PPPD) y poroqueratosis punctata (PP), así como algunas otras variantes de reciente descripción.2,7



CUADRO CLíNICO

La PM generalmente se localiza en las extremidades, aunque también se han descrito otras topografías. Inicia como lesiones de aspecto papular, las cuales van teniendo crecimiento centrífugo, formando placas centrales atróficas o hipopigmentadas; ocasionalmente pueden ser hiperpigmentadas o hipertróficas. El borde, hiperqueratósico y sobreelevado, está bien definido, con más de 1 mm de altura; el cual puede adquirir forma redondeada, serpiginosa o anular.2,7

El sello dermatoscópico característico de la poroqueratosis es el borde de queratina. Otros hallazgos frecuentes en la PQ incluyen: vasos punteados o glomerulares, puntos o pigmentación de color marrón grisáceo a lo largo del borde de queratina, escamas no periféricas y pigmentación de color marrón claro dentro del borde de queratina.8



HISTOPATOLOGíA

Para la toma de biopsia es de suma importancia incluir el borde elevado hiperqueratósico de la lesión. En la PQ de Mibelli, la invaginación se extiende profundamente y se aleja de la porción central. En el centro de dicha zona se eleva una columna paraqueratósica, la laminilla cornoide, que representa el rasgo más característico de la PQ.

Dentro de la columna paraqueratósica, las células se aprecian homogéneas, con núcleos picnóticos. En la epidermis debajo de la columna, los queratinocitos están dispuestos de manera irregular y tienen núcleos picnóticos con edema perinuclear. En la base de la laminilla cornoide, en el estrato espinoso, algunas células muestran citoplasma eosinofílico como resultado de una queratinización prematura, lo cual corresponde a células disqueratósicas. Habitualmente la zona donde surge la columna paraqueratósica carece del estrato granuloso.9



DIAGNóSTICO DIFERENCIAL

Dentro de los diagnósticos diferenciales de la PM podemos encontrar a la enfermedad de Bowen, hipoqueratosis circunscrita, granuloma anular, liquen simple crónico, tiña del cuerpo y sarcoidosis, entre otras.7



TRATAMIENTO

La PQ suele tener un curso crónico refractario al tratamiento. La propuesta terapéutica varía en función del paciente, el tamaño de la lesión, la localización anatómica, las consideraciones funcionales y el riesgo de transformación maligna.

Dentro de los tratamientos tópicos que se han empleado existen comunicaciones con 5-fluorouracilo, análogos de la vitamina D, esteroides, diclofenaco, imiquimod al 5%, retinoides, queratolíticos (ácido salicílico, ácido láctico), con resultados variables. Dentro de las opciones quirúrgicas se encuentran la criocirugía, la electrodesecación, el curetaje; así como el empleo de láser (CO2, Nd-YAG, Q-Switch), o la terapia fotodinámica.10



COMENTARIO

La PM es una de las variantes clínicas que existen de la PQ. Es importante dar a conocer este caso por la amplia gama de diagnósticos diferenciales que deben tenerse en cuenta ante lesiones de este tipo, para poder realizar un diagnóstico oportuno y explicar el pronóstico y la evolución de las lesiones. Se debe dar seguimiento a los pacientes por el riesgo que existe de transformación maligna. El tratamiento ideal siempre es la remoción total de la lesión por vía quirúrgica.

En el caso motivo de esta publicación la paciente fue tratada con la aplicación de 5-fluorouracilo. No hubo respuesta adecuada, por lo cual la paciente no concluyó el tratamiento, dejando de acudir a sus citas de control.


REFERENCIAS (EN ESTE ARTÍCULO)

  1. López GL, Lammoglia L, Asz D, Vega MME, Toussaint CS, Arenas R. Poroqueratosis: ¿un mismo trastorno genético con diferente expresividad clínica? DCMQ. 2007; 5: 239-248.

  2. Medina CD, Ramos GJA, Cantú CPP. Poroqueratosis actínica superficial. Presentación de un caso. Rev Cent Dermatol Pascua. 2005; 14: 81-86.

  3. Williams G, Fillman E. Porokeratosis. Treasure Island (FL): Stat Pearls Publishing. 2022.

  4. Das A, Vasudevan B, Talwar A. Porokeratosis: an enigma beginning to unravel. Indian J Dermatol Venereol Leprol. 2022; 88: 291-299.

  5. Valiente-Rebull C, Rodríguez L, Martinez-Braga G, Di-Martino OB, Rodriguez-Masi M, Knopfelmacher O et al. Porokeratosis. Report of three cases. Our Derm Online. 2014; 5: 163-168.

  6. Novice T, Nakamura M, Helfrich Y. The malignancy potential of porokeratosis: a single-center retrospective study. Cureus. 2021; 13: e13083.

  7. Vargas-Mora P, Morgado-Carrasco D, Fusta-Novell X. Porokeratosis: a review of its pathophysiology, clinical manifestations, diagnosis, and treatment. Actas Dermosifiliogr (Engl Ed). 2020; 111: 545-560.

  8. Zaar O, Polesie S, Navarrete-Dechent C, Errichetti E, Akay BN, Jaimes J et al. Dermoscopy of porokeratosis: results from a multicentre study of the International Dermoscopy Society. J Eur Acad Dermatol Venereol. 2021; 35: 2091-2096.

  9. Elder DE, Elenitsas R, Murphy GF. Lever's Dermatopathology, Histopathology of the Skin. 20 ed. Wolters Kluwer Health. 2022; pp. 340-354.

  10. Weidner T, Illing T, Miguel D, Elsner P. Treatment of porokeratosis: a systematic review. Am J Clin Dermatol. 2017; 18: 435-449.



AFILIACIONES

1 Dermatooncólogo. Centro Dermatológico "Dr. Ladislao de la Pascua", SSCDMX.

2 Dermatopatólogo. Centro Dermatológico "Dr. Ladislao de la Pascua", SSCDMX.

3 Residente del segundo año de Dermatología. Centro Dermatológico "Dr. Ladislao de la Pascua", SSCDMX.

4 Residente del primer año de Dermatología. Centro Dermatológico "Dr. Ladislao de la Pascua", SSCDMX.



Conflicto de intereses: ninguno.

Patrocinios: ninguno.



CORRESPONDENCIA

Dr. Juan Ramón Trejo-Acuña. E-mail: hermesjuanderma@hotmail.com


Figura 1
Figura 2
Figura 3
Figura 4

2020     |     www.medigraphic.com

Mi perfil

C?MO CITAR (Vancouver)

Rev Cent Dermatol Pascua. 2023;32

ARTíCULOS SIMILARES

CARGANDO ...