medigraphic.com
ENGLISH

Salud Jalisco

ISSN 2448-8747 (Impreso)
Publicación cuatrimestral editada por la Secretaría de Salud Jalisco
  • Mostrar índice
  • Números disponibles
  • Información
    • Información general        
    • Directorio
  • Publicar
    • Instrucciones para autores        
  • medigraphic.com
    • Inicio
    • Índice de revistas            
    • Registro / Acceso
  • Mi perfil

2024, Número 2

<< Anterior

Sal Jal 2024; 11 (2)


Enfermedad de Berger en adolescente. Importancia de la microscopia urinaria. Reporte de un caso clínico

Trujillo-Sánchez, Alan Uriel1; Vega-Ramírez, José Rafael2; Del Callejo-Bernal, Ana Paola3; Lara-López, Analisse1; Rosas-Trujillo, Laura Berenice1; García-Castañeda, Fernando Alonso1; Del Callejo-Bernal, Manuel Alejandro1
Texto completo Cómo citar este artículo 10.35366/115692

DOI

DOI: 10.35366/115692
URL: https://dx.doi.org/10.35366/115692
Artículos similares

Idioma: Español
Referencias bibliográficas: 10
Paginas: 108-111
Archivo PDF: 219.06 Kb.


PALABRAS CLAVE

enfermedad de Berger, hematuria, microscopia urinaria, nefrolitiasis, glomerulonefritis, eritrocitos dismórficos.

RESUMEN

Presentamos el caso clínico de un paciente de 17 años con diagnóstico de nefrolitiasis y enfermedad de Berger, confirmados por UroTac y por biopsia renal, respectivamente. La enfermedad de Berger, también conocida como nefropatía IgA, es la glomerulonefritis más frecuente y es caracterizada por el depósito de inmunoglobulina A en los glomérulos renales, lo que puede llevar a la insuficiencia renal crónica. El paciente presentaba proteinuria y hematuria, tanto macroscópica como microscópica, misma que fue confirmada por la microscopia urinaria donde se encontraron eritrocitos dismórficos. La publicación de este caso clínico resulta de gran importancia, ya que el diagnóstico puede ser complicado. Especialmente en México, donde el acceso a algunos estudios como la biopsia renal puede ser limitado, convirtiendo este estudio en una herramienta económica y accesible para orientar el diagnóstico y la detección temprana de algún trastorno renal.



INTRODUCCIóN

La enfermedad de Berger es una de las glomerulonefritis más frecuentes a nivel mundial, infradiagnosticada por la necesidad de realizar biopsia. Se considera la lesión más común que causa glomerulonefritis primaria en la mayoría de los países del mundo con abundantes recursos.1 Se caracteriza por el depósito de inmunocomplejos en la membrana basal glomerular, especialmente de inmunoglobulina A, aunque hay casos en los que se encuentra inmunoglobulina E, teniendo un peor pronóstico.2 Incluso se ha documentado el depósito mesangial de IgA secretora, pero se desconoce el significado patogénico.3 El diagnóstico se basa en la combinación de hallazgos clínicos e histológicos. Uno de los principales hallazgos en el diagnóstico de esta enfermedad es la hematuria, misma que está presente en la microscopia urinaria; esta puede proporcionar información valiosa sobre la actividad de la enfermedad y la respuesta al tratamiento. Se puede usar el sistema de clasificación Oxford, el cual es altamente predictivo del pronóstico renal.4



PRESENTACIóN DEL CASO

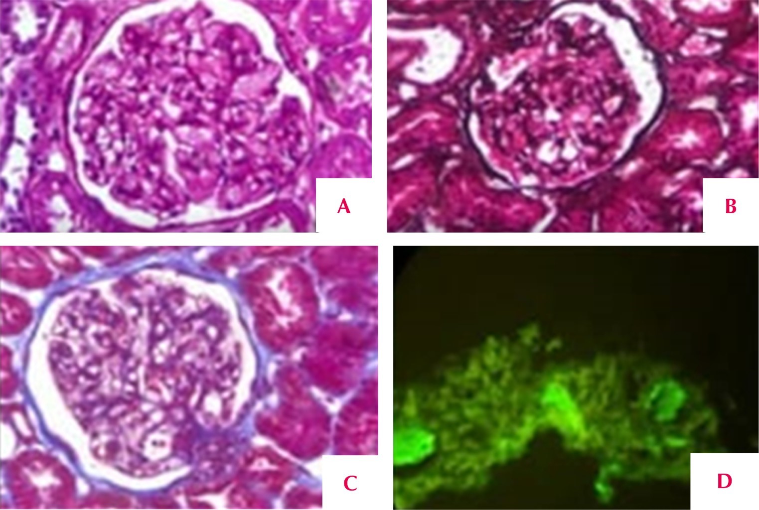
Masculino de 17 años de edad, atleta de alto rendimiento, que acude a consulta por hematuria macroscópica (tres días de evolución), refiriendo que tres meses atrás tuvo un episodio similar (un día de duración), episodios que se presentaron después de ejercicio demandante; el primero acompañado de lumbalgia, el segundo episodio fue con ausencia de dolor u otra sintomatología. Su examen de orina confirma hematuria verdadera. Fue referido por médico que solicitó UroTac, reportando nefrolitiasis derecha y tres quistes simples. Se solicita estudio de microscopia urinaria (Figura 1) en búsqueda de eritrocitos dismórficos, reportándose 495 eritrocitos, 50% dismórficos (crenocitos 10%, acantocitos 40%), 5% estrellados, 2% anulares, el resto eumórficos. Se sospecha de patología de carácter glomerular; el abordaje se complementa con proteinuria de 24 horas, encontrando 875 mg. Se indica biopsia renal percutánea guiada por ultrasonido; reporta enfermedad de Berger con lesiones de tipo proliferativa mesangial (Figura 2) según la clasificación de Oxford (Tabla 1) y depósito de inmunoglobulina A en la inmunofluorescencia.



DISCUSIóN

La enfermedad de Berger es la glomerulonefritis más común y tiene potencial para evolucionar a insuficiencia renal crónica. El diagnóstico temprano es esencial para prevenir la progresión de la enfermedad. En ocasiones y en especial en menores de edad, como en el caso anteriormente informado, la presencia de hematuria macroscópica se ha asociado con un diagnóstico más temprano.5 En nuestro caso, la microscopia urinaria fue una herramienta valiosa para confirmar la presencia de hematuria y proteinuria en el paciente, lo que orientó hacia el diagnóstico de enfermedad de Berger.6 Es importante destacar que el microscopio urinario es un método económico, rápido y no invasivo que puede proporcionar información valiosa sobre la presencia de ciertas patologías renales.7 Además, la identificación de eritrocitos dismórficos en la microscopia urinaria sugiere la presencia de glomerulonefritis, lo que puede ser un indicador importante para el diagnóstico y seguimiento de los pacientes con nefropatías.8 Es una enfermedad de peor pronóstico cuando la hematuria es persistente y no se identifica su carácter patogénico.9 Con todas las sugerencias presentes en la microscopia urinaria, se puede llegar a abordar y tomar la decisión de una biopsia renal y su estudio.10 En conclusión, el análisis de la microscopia urinaria debe ser considerado como una herramienta importante en el abordaje, para lograr alcanzar el verdadero diagnóstico y lograr un adecuado seguimiento de los pacientes nefrópatas, especialmente en países con recursos limitados donde las pruebas más sofisticadas pueden no estar disponibles. El que se haga de esta manera podría evitar el infradiagnóstico.


REFERENCIAS (EN ESTE ARTÍCULO)

  1. Wyatt RJ, Julian BA. IgA nephropathy. N Engl J Med. 2013;368(25):2402-2414.

  2. Shin DH, Lim BJ, Han IM, Han SG, Kwon YE, Park KS, et al. Glomerular IgG deposition predicts renal outcome in patients with IgA nephropathy. Mod Pathol. 2016;29(7):743-752.

  3. Bellur SS, Troyanov S, Cook HT, Roberts IS; Working Group of International IgA Nephropathy Network and Renal Pathology Society. Immunostaining findings in IgA nephropathy: correlation with histology and clinical outcome in the Oxford classification patient cohort. Nephrol Dial Transplant. 2011;26(8):2533-2536.

  4. Lv J, Shi S, Xu D, Zhang H, Troyanov S, Cattran DC, et al. Evaluation of the Oxford Classification of IgA nephropathy: a systematic review and meta-analysis. Am J Kidney Dis. 2013;62(5):891-899.

  5. Selewski DT, Ambruzs JM, Appel GB, et al. Clinical Characteristics and treatment patterns of children and adults with IgA nephropathy or IgA vasculitis: findings from the CureGN study. Kidney Int Rep. 2018 Aug 1;3(6): 1373-1385.

  6. Avgustin Rotar N, Jerman A, Skoberne A, Borstnar S, Kojc N, Lindic J. The predictive value of urinary erythrocyte morphology for proliferative glomerular kidney disease. Clin Nephrol. 2021 Suppl;96(1):49-55.

  7. Perazella MA. The urine sediment as a biomarker of kidney disease. Am J Kidney Dis. 2015;66(5):748-755.

  8. Yu GZ, Guo L, Dong JF, Shi SF, Liu LJ, Wang JW, et al. Persistent Hematuria and Kidney Disease Progression in IgA Nephropathy: A Cohort Study. Am J Kidney Dis. 2020;76(1):90-99.

  9. Saha MK, Massicotte-Azarniouch D, Reynolds ML, Mottl AK, Falk RJ, Jennette JC, et al. Glomerular hematuria and the utility of urine microscopy: a review. Am J Kidney Dis. 2022;80(3):383-392.

  10. Cavanaugh C, Perazella MA. Urine sediment examination in the diagnosis and management of kidney disease: core curriculum 2019. Am J Kidney Dis. 2019;73(2):258-272.



AFILIACIONES

1 Alumno de la carrera de médico cirujano y partero del Centro Universitario de Ciencias de la Salud, Universidad de Guadalajara.

2 Médico especialista en nefrología. Jefe de enseñanza de Pregrado. Nuevo Hospital Civil de Guadalajara "Dr. Juan I Menchaca".

3 Médico Interno de pregrado del Hospital Civil "Fray Antonio Alcalde".



CORRESPONDENCIA

Alan Uriel Trujillo-Sánchez. E-mail: uriel.trujillo@alumnos.udg.mx




Recibido: 14/04/2023. Aceptado: 31/01/2024.

Figura 1
Figura 2
Tabla 1

2020     |     www.medigraphic.com

Mi perfil

C?MO CITAR (Vancouver)

Sal Jal. 2024;11

ARTíCULOS SIMILARES

CARGANDO ...