2024, Número 2
Plasmocitoma solitario de sacro. Reporte de dos casos en adultos jóvenes. Hallazgos radiológicos y toma de biopsia segura
Idioma: Español
Referencias bibliográficas: 16
Paginas: 120-125
Archivo PDF: 759.29 Kb.
RESUMEN
Introducción: el plasmocitoma solitario de sacro es una localización muy poco frecuente de una proliferación de células plasmáticas, que se presenta habitualmente en la sexta década de la vida. Casos clínicos: se presentan dos casos en pacientes de la cuarta década de vida, con cuadro clínico insidioso y progresivo caracterizado por dolor lumbar, y con hallazgos de estudios de imagen característicos de la lesión; en la tomografía computarizada, se observaron cambios líticos no escleróticos, con corticales adelgazadas, y en la resonancia magnética se detecta que la lesión respeta el disco intervertebral, emitiendo una señal hipointensa, homogéneos, los que se realzan con la administración de contraste; en ambos casos, el diagnóstico definitivo se llevó a cabo por una muestra representativa, combinando la toma de aguja fija por un canal de trabajo seguro con sistema tubular. Conclusiones: el plasmocitoma solitario de sacro puede presentarse en pacientes de la cuarta década de vida; la tomografía y la resonancia resultan estudios de sensibilidad con las mismas características morfológicos de la lesión; la biopsia con aguja fina, más un sistema tubular aumenta la posibilidad diagnóstica.INTRODUCCIÓN
Los tumores malignos primarios de la columna son relativamente raros, con una incidencia reportada de 2.5 a 8.5 por 100,000 personas por año, representan menos del 5% de los nuevos tumores óseos diagnosticados cada año en los Estados Unidos y ocurren 40 veces menos que las metástasis esqueléticas.1-3
El plasmocitoma solitario de hueso, neoplasia muy poco frecuente, implica que la médula ósea presenta una proliferación localizada de células plasmáticas monoclonales, sin afectación sistémica aparente. El 50% de éstos se localiza en la columna, aparece más frecuentemente en la séptima década de la vida, con predominio en el varón, en una proporción de 2:1-3:1.2-7
El plasmocitoma solitario de sacro (PSS), ubicación única en este hueso, ocurre en 2 a 5% de los casos,4,6 generalmente afectan a los cuerpos vertebrales, pudiendo causar extensión epidural o fractura patológica.2
Su presentación clínica se lleva a cabo luego de un proceso asintomático de aproximadamente entre 6 a 12 meses de evolución; el síntoma más común es dolor local en el sitio afectado, de manifestación insidiosa y progresiva (lumbar, glúteo, muslo posterior), pero también se han informado complicaciones neurológicas por compresión, que surgen de la presión sobre la médula espinal o las raíces nerviosas sin compromiso vesical.2,5,6,8
Los estudios de imágenes (radiología, tomografía y resonancia) muestran una lesión lítica, con un papel limitado de las radiografías simples; sin embargo, se recomiendan proyecciones en dos planos en posición de pie, que muestran la ubicación dentro del sacro; la tomografía y resonancia magnética muestran la extensión y la naturaleza del tumor. El diagnóstico diferencial no es simple.4 Los criterios para el diagnóstico de PSS incluyen: a) una lesión ósea solitaria, b) plasmocitosis en la médula ósea menor de 10%, c) evidencia de neoplasia de células plasmáticas por biopsia y d) ausencia de datos de otras lesiones basándose en la exploración clínica o el estudio esquelético.1
La toma de la biopsia puede ser: a) con aguja y b) incisional. El acceso de la biopsia con aguja se debe planificar de acuerdo con la resección posterior del tumor y se debe utilizar el acceso más directo. Es importante obtener una muestra de tejido suficiente. Siempre que no sea posible la biopsia con aguja, se debe realizar una biopsia incisional.2 Se ha reportado que la biopsia con aguja fina o incisional en el PSS puede presentar como evento adverso un sangrado abundante4 o la muestra insuficiente. El informe anatomopatológico reporta: colección uniforme de células plasmáticas neoplásicas; núcleos excéntricos, redondeados, moderadamente pleomórficos con cromatina en "esfera de reloj"; y citoplasma muy basófilo.1
El tratamiento de elección y especifico es la radioterapia, con buen pronóstico.4 La cirugía está indicada en caso de déficit neurológico, e inestabilidad o dolor provocado por éste, y la tasa de supervivencia del plasmocitoma solitario a cinco años es aproximadamente de 70%.2
El objetivo de la publicación de este artículo, siguiendo una metodología,9 es la presentación de dos casos diagnosticados en pacientes de la cuarta década de vida con PSS, mediante la técnica de biopsia con sistema tubular,10 realizada con el fin de evitar la siembra, y asegurando la toma de una muestra adecuada. Los exámenes complementarios de imagen que afianzan el diagnóstico son: tomografía computada y resonancia. Iniciaron tratamiento y, en un futuro, se pretende evaluar su evolución.
CASO CLÍNICO 1
Mujer de 34 años de edad que fue derivada en abril de 2023 a la Unidad Espinal de nuestro hospital, portando tomografía computarizada, con imagen lítica que comprometía todo el sacro, con abombamiento de éste y corticales adelgazadas, pero sin solución de continuidad ni invasión de tejidos adyacentes (Figura 1).10 Clínicamente presentaba dolor lumbar invalidante (escala analógica visual 10/10), sin déficit neurológico, de predominio nocturno, que no cedía con analgésicos ni cambios de posición desde hace un año. Al examen físico presenta dolor a la palpación en región lumbosacro, fuerza muscular M5 y sensibilidad S1 de L5 a distal y bilateral en ambos miembros inferiores; reflejos: rotulianos presentes y simétricos, Babinski y clonus negativos.
Los laboratorios reportaron; química sanguínea: glicemia 0.85 g/l (valores normales [VN]: 0.70-1.10 g/l), creatinina 0.86 mg% (VN: 0.60-1.40 mg%); el hepatograma: colesterol 1.81 g/l (VN: 0.00-2.00 g/l), fosfatasa alcalina 152 UI/l (VN: 65-300 UI/l), TGO 25 UI/l (VN: 0-32 UI/l), TGP 52 UI (VN: 0-31 UI/l), bilirrubina total 0.36 mg% (VN: 0.00-1.00 mg%), bilirrubina directa 0.10 mg% (VN: 0.00-0.20 mg%), bilirrubina indirecta: 0.26 mg% (VN: 0.00-0.80 mg%), deshidrogenasa láctica (LDH): 360 UI/l (VN: 230-460 UI/l), calcio 10.01 mg% (VN: 8.50-10.50 mg%), fósforo 4.64 mg% (VN: 2.50-5.50 mg%); proteínas: albumina 64.6% (VN: 50.0-65.0%), globulinas 44.0 g/l (VN: 36.0-46.0 g/l); proteínas en orina de 24 horas: negativo; ionograma: sodio 139 mEq/l (VN: 135-148 mEq/l), potasio 4.4 mEq/l (VN: 3.5-4-5 mEq/l), calcio iónico 4.04 mg% (VN: 4.49-5.29 mg%), cloro 100 mmol/l (VN: 96-107 mmol/l).
La resonancia magnética reveló que la lesión que comprometía el sacro de forma difusa, era hipointensa en la secuencia T1 (Figura 2A), con realce ávido luego de inyectar el medio de contraste intravenoso (Figura 2B) y de forma heterogénea e hipertensa en las secuencias T2 y STIR (Figura 2C y 2D).
Se realizó la toma quirúrgica de muestra con la técnica de biopsia con sistema tubular (Figura 3). El resultado del estudio anatomopatológico de la biopsia informó una neoplasia de células plasmáticas con restricción de cadena liviana lambda.
La paciente es manejada por oncohematología para tratamiento específico con radioterapia y bifosfonatos con buena evolución.
CASO CLÍNICO 2
Varón de 36 años de edad que consultó en enero del 2024, con un cuadro clínico de un año de evolución, manifestando lumbociatalgia izquierda (escala analógica visual 8/10), dolor continuo, paroxístico, que cedía parcialmente con analgésicos. Al examen físico: dolor a la palpación en región sacra, paravertebral izquierdo, fuerza muscular M5 y sensibilidad S1 de L5 a distal en miembro inferior izquierdo; reflejos: rotulianos presentes y simétricos, Babinski y clonus negativos.
Los laboratorios no mostraban alteraciones. En el estudio de radiografía simple en proyección anteroposterior de pelvis se identificó osteólisis que se limitaba al sacro; en la tomografía computarizada, imagen lítica que compromete S1 y S2 del sacro respetando el disco intervertebral en los cortes sagitales, de aspecto quístico y expansivo y corticales adelgazadas esclerosadas, pero sin solución de continuidad ni invasión de tejidos adyacentes (Figura 4).
La resonancia magnética mostró un crecimiento infiltrativo en S1-S2 y ligeramente expansivo con preservación de la estructura sacra y respetando tejidos blandos, apreciándose en forma difusa y homogénea, con señal hipointensa en la secuencia T2 (Figura 5A y
Se realizó la toma de muestra para estudio anatomopatológico con la técnica de biopsia con sistema tubular.
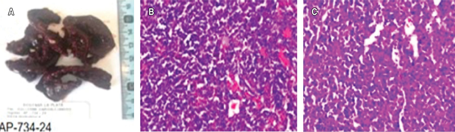
El informe anatomopatológico de la biopsia concluye: examen macroscópico: varios fragmentos irregulares parduzcos de aspecto hemático, blandos, que reunidos mide 7 × 6 cm. Se incluyen en su totalidad (Figura 6A). Examen microscópico: se observa presencia de células de aspecto plasmocitoide, con inmunohistoquímica: kappa positivo, CD38 y CD138 positivo (Figura 6B y 6C).
El paciente es manejado por oncohematología para tratamiento específico con radioterapia y bifosfonatos con buena evolución.
DISCUSIÓN
La detección de un tumor sacro solitario a menudo genera una consideración diagnóstica de tumores sacros más frecuentes, como cordoma, tumor de células gigantes, condrosarcoma y tumor óseo metastásicos, antes de pensar en plasmocitoma solitario del sacro (PSS)2,4,7 más aún si los pacientes están en la edad productiva. Afirmamos que la presentación clínica es similar y con las mismas características que en los adultos mayores.2,5,6,8 Identificamos que los hallazgos de imagen en ambos pacientes tienen las mismas características en la tomografía computarizada (TC) y la resonancia magnética (RM). Verificando que los hallazgos morfológicos de imagen tienen un patrón característico, que les permite diferenciarse de otros tumores.4 Las imágenes por tomografía computarizada se caracterizaron en los dos pacientes como una lesión lítica o una lesión destructiva, de tipo esclerótico no expansible, como también lo informaron en su estudio Lanzieri y colaboradores.2,4 La resonancia magnética mostró una morfología con señal hipointensa en las imágenes ponderadas en T2 y un patrón de realce con contraste homogéneamente intenso, mostraron un crecimiento infiltrativo y ligeramente expansivo con preservación de la estructura sacra, en las secuencias sagitales el patrón de crecimiento preserva el disco intervertebral, al igual que lo describió Kosaka N y asociados,4 características que le permiten diferenciar del cordoma y del condrosarcoma donde se observa las lesiones hiperintensas en las secuencias potenciadas en T2.11 Sin embargo, en el tumor óseo metastásicos y el tumor de células gigantes, se detectan hallazgos radiológicos similares a los observados con PSS, lo que hace que el diagnóstico definitivo sea problemático,12,13 la correlación clínica puede ser beneficiosa en tales situaciones. Estableciéndose que los tumores óseos malignos del sacro, similares a los tumores de otras localizaciones en la columna, muestran sitios de manifestación y distribución por edades típicos, mientras que la región del cuerpo afectada por el tumor permaneció igual, la distribución por edades cambió a décadas anteriores en muchas enfermedades.2 Sin duda alguna, el diagnóstico definitivo es anatomopatológico, por lo que planteamos como una alternativa para la toma segura de muestra la técnica de biopsia con sistema tubular.1,2,10 El tratamiento es la radioterapia, siendo un 90% favorable;8 sin embargo, se ha informado que un inadecuado manejo terapéutico puede llevar a la progresión a mieloma múltiple e insuficiencia renal en 50% de los casos mal controlados,8,9 por lo que recomiendan una mejor monitorización de la respuesta al tratamiento, mediante imágenes funcionales con tomografía por emisión de positrones (PET/CT) con 18F-FDG y tecnecio.6,14-16 Criterios que nos orientaran a un mejor seguimiento a nuestros casos identificamos.
CONCLUSIÓN
Se presentan dos casos de PSS en pacientes de la cuarta década de vida, la tomografía y la resonancia resultan estudios de sensibilidad con las mismas características morfológicos de la lesión, la biopsia con aguja fina, más un sistema tubular aumenta la posibilidad diagnóstica.
El PSS, al igual que otros tumores óseos malignos de la columna, cambió su distribución de edades, manteniendo su cuadro clínico y patrón morfológico en exámenes de imagen.
En el diagnóstico clínico de PSS, debe correlacionarse con la presentación clínica, los hallazgos morfológicos de imagen y considerar la incidencia en adultos jóvenes.
La tomografía y la resonancia magnética posibilitan ver las imágenes de la lesión en: planos axial, sagital, coronal y oblicuo, lo que puede resultar ventajoso para la planificación de la biopsia y probable tratamiento quirúrgico.
REFERENCIAS (EN ESTE ARTÍCULO)
Ramírez AS, Gutiérrez SVE, Ascencio LMA, Rodríguez PA, Ortiz OAS, González RF, et al. Solitary plasmacytoma of the sacrum treated with microwave ablation in conjunction with high dose of dexamethasone: A case report and review of the literature. Surg Neurol Int. 2023; 14: 145. doi: 10.25259/SNI_1127_2022.
AFILIACIONES
1 Cursillista Universitario del Departamento de Postgrado de la Facultad de Ciencias Médicas de la Universidad Nacional de La Plata. Argentina. ORCID: 0009-0005-5092-1945
2 Hospital Interzonal General de Agudos (HIGA) "General San Martín de La Plata". Hospital Italiano La Plata. Argentina. Instituto de Diagnóstico La Plata. ORCID: 0000-0003-0060-6558
Conflicto de intereses: sin conflicto de intereses.
CORRESPONDENCIA
Pedro Luis Bazán. E-mail: pedroluisbazan@gmail.comRecibido: 16 de Marzo de 2024. Aceptado: 07 de Abril de 2024.
