medigraphic.com
ENGLISH

Cardiovascular and Metabolic Science

ISSN 2954-3835 (Digital)
ISSN 2683-2828 (Impreso)
Antes Revista Mexicana de Cardiología

Ver Revista Mexicana de Cardiología


  • Mostrar índice
  • Números disponibles
  • Información
    • Información general        
    • Directorio
  • Publicar
    • Instrucciones para autores        
    • Envío de artículos
  • medigraphic.com
    • Inicio
    • Índice de revistas            
    • Registro / Acceso
  • Mi perfil

2024, Número 2

<< Anterior Siguiente >>

Cardiovasc Metab Sci 2024; 35 (2)


Cómo superar un stent poco expandido y no dilatable

Hashemi A, Karagöz A, Gholoobi A, Ghaffari L, Ahmedieh A, Uçar M, Zoghi M
Texto completo Cómo citar este artículo 10.35366/116274

DOI

DOI: 10.35366/116274
URL: https://dx.doi.org/10.35366/116274
Artículos similares

Idioma: Inglés [English version]
Referencias bibliográficas: 7
Paginas: 50-53
Archivo PDF: 219.53 Kb.


PALABRAS CLAVE

subexpandido, globo incruzable, oclusión total crónica.

RESUMEN

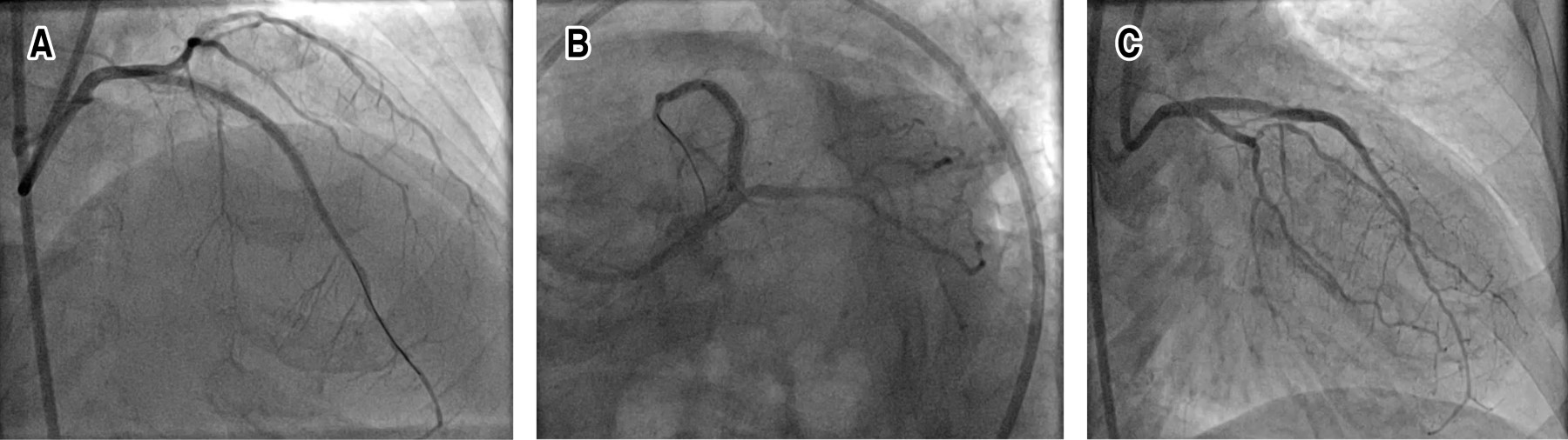
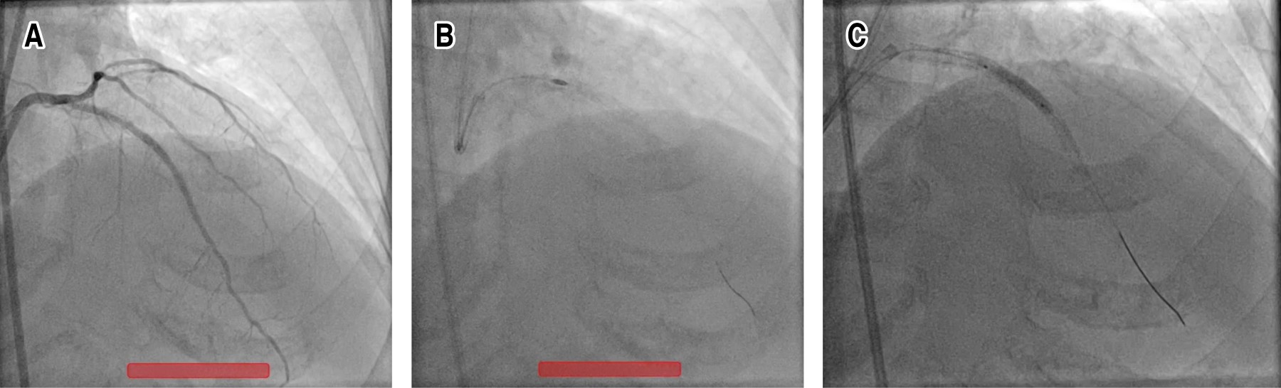
La subexpansión es una cuestión importante para los cardiólogos intervencionistas en términos de resultados a largo plazo. En este documento informamos una rotación exitosa de puntales de stent subutilizados. Mujer de 75 años con antecedentes de Intervención Coronaria Percutánea (ICP) sobre Arteria Descendente Anterior (ADA) izquierda con dos stents farmacoactivos superpuestos hace una semana en otro centro. Desafortunadamente los stents se desplegaron sin una preparación adecuada de la lesión en lesiones muy calcificadas y por lo tanto, no se pudieron dilatar adecuadamente después del despliegue. Los struts de la endoprótesis se rotaablizaron con éxito con fresas de 1.5 y 1.75 respectivamente y a continuación se implantó la endoprótesis. El paciente fue dado de alta sin incidentes. La expansión insuficiente de un stent generalmente se debe a una preparación inadecuada de la lesión. El deterioro de la cicatrización secundario a puntales del stent poco expandidos es la principal causa de reestenosis a corto plazo. Por lo tanto, es de gran importancia una predilatación adecuada, especialmente en lesiones muy calcificadas. Se deben utilizar técnicas más sofisticadas como balón Non-Compliant Balloon (OPN), rotablación, balón de ondas de choque y láser para una predilatación adecuada cuando los métodos convencionales de predilatación con balón fallan. Estos métodos también se pueden utilizar para la dilatación de un stent poco expandido. En consecuencia, la expansión insuficiente de un stent es una de las principales causas de reestenosis del stent. La rotaablación se puede utilizar para reducir el tamaño de los puntales del stent poco expandidos y por lo tanto, prevenir una posible reestenosis a corto plazo.


REFERENCIAS (EN ESTE ARTÍCULO)

  1. Secco GG, Ghione M, Mattesini A, Dall'Ara G, Ghilencea L, Kilickesmez K et al. Very high-pressure dilatation for undilatable coronary lesions: indications and results with a new dedicated balloon. EuroIntervention. 2016;12(3):359-365. Available in: https://doi.org/10.4244/EIJY15M06_04

  2. Díaz JF, Gómez-Menchero A, Cardenal R, Sánchez-González C, Sanghvi A. Extremely high-pressure dilation with a new noncompliant balloon. Tex Heart Inst J. 2012;39(5):635-638.

  3. Goktekin O, kilic ID, Karagoz A. A bail-out intervention: low-speed rotablation for management of an underexpanded stent causing recurrent stent restenosis. EJMCR. 2020;4(12):441-444. Available in: https://doi.org/10.24911/ejmcr/ 173-1593949307

  4. Si D, Liu G, Tong Y, He Y. Rotational atherectomy ablation for an unexpandable stent under the guide of IVUS: a case report. Medicine (Baltimore). 2018;97(7):e9978. Available in: https://doi.org/10.1097/MD.0000000000009978

  5. Koide M, Inoue K, Matsuo A, Fujita H. Optical coherence tomography findings after longitudinal ablation for an underexpanded stent in a heavily calcified lesion: a case report. BMC Cardiovasc Disord. 2016;16(1):241. Available in: https://doi.org/10.1186/s12872-016-0419-8

  6. Ku PM, Huang TY, Chen ZC, Woo M, Hung JS. IVUS-guided rotational atherectomy for unexpandable paclitaxel-eluting stent: a case report and review of literature. J Geriatr Cardiol. 2013;10(3):226-229. Available in: doi: 10.3969/j. issn.1671-5411.2013.03.014

  7. Ho PC, Weatherby TM, Dunlap M. Burr erosion in rotational ablation of metallic coronary stent: an electron microscopic study. J Interv Cardiol. 2010;23(3):233-239. doi: 10.1111/j.1540-8183.2010.00543.x.




Figura 1
Figura 2
Figura 3

2020     |     www.medigraphic.com

Mi perfil

C?MO CITAR (Vancouver)

Cardiovasc Metab Sci . 2024;35

ARTíCULOS SIMILARES

CARGANDO ...