medigraphic.com
ENGLISH

Cardiovascular and Metabolic Science

ISSN 2954-3835 (Digital)
ISSN 2683-2828 (Impreso)
Antes Revista Mexicana de Cardiología

Ver Revista Mexicana de Cardiología


  • Mostrar índice
  • Números disponibles
  • Información
    • Información general        
    • Directorio
  • Publicar
    • Instrucciones para autores        
    • Envío de artículos
  • medigraphic.com
    • Inicio
    • Índice de revistas            
    • Registro / Acceso
  • Mi perfil

2024, Número 2

<< Anterior Siguiente >>

Cardiovasc Metab Sci 2024; 35 (2)


Doble estrés cardiaco en el periodo postparto. Reporte de un caso de cardiomiopatía inducida por sepsis complicada con embolismo pulmonar agudo

Estrada-Méndez A, Alducín-Téllez CR, Gómez-Alayola DJ, Collí-Heredia JP, Gómez-Cruz AP
Texto completo Cómo citar este artículo 10.35366/116275

DOI

DOI: 10.35366/116275
URL: https://dx.doi.org/10.35366/116275
Artículos similares

Idioma: Inglés [English version]
Referencias bibliográficas: 35
Paginas: 54-64
Archivo PDF: 299.87 Kb.


PALABRAS CLAVE

cardiomiopatía, disfunción miocárdica, cardiomiopatía séptica, cardiomiopatía inducida por sepsis, puerperio, ecocardiografía.

RESUMEN

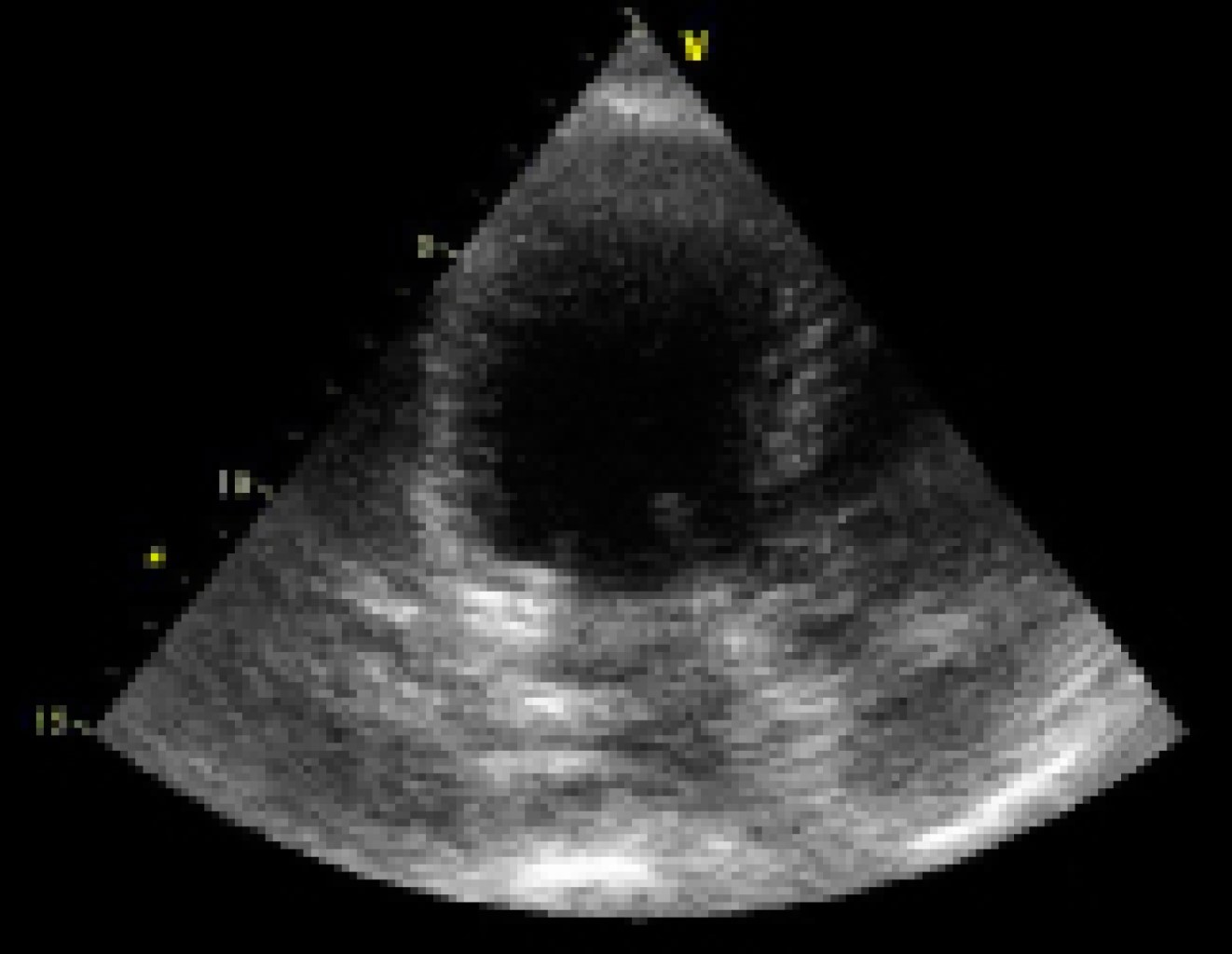
La cardiomiopatía inducida por sepsis es una entidad clínica escasamente reportada en la literatura, carece de una definición objetiva y consensuada y aunque existen criterios clínicos, no existen guías diagnósticas ni tratamiento específico, su identificación, abordaje y manejo implican un reto para el clínico. Su presencia incrementa la mortalidad hasta 70%. Es considerada una complicación de inicio agudo que se manifiesta con alteraciones en la función sistólica y diastólica, finalmente muestra reversibilidad en un periodo de 7 a 10 días. Ante la sospecha de dicha entidad, el estándar de oro para el diagnóstico es el ecocardiograma. El control de la infección, medidas de soporte vital y hemodinámico asociados al uso de vasopresores e inotrópicos son las principales herramientas terapéuticas que han mostrado disminución en la mortalidad. Sin embargo, esta entidad suele requerir de soporte orgánico avanzado, siendo necesarios incluso dispositivos de asistencia ventricular como balón de contrapulsación intraaórtico o membrana de oxigenación extracorpórea que han mostrado resultados prometedores en el tratamiento de esta patología. A pesar de esto la mortalidad es elevada y el pronóstico continúa siendo desfavorable sin una identificación temprana, he ahí la importancia de unificar criterios, establecer factores de riesgo, herramientas diagnósticas validadas, así como diferenciarla de otras entidades clínicas y con ello mejorar su desenlace y pronóstico. Presentamos el caso de una mujer en puerperio inmediato quien desarrolló sepsis secundaria a retención de restos placentarios, enseguida desarrolló choque séptico complicado con miocardiopatía inducida por sepsis y hacia el final de su hospitalización manifestó embolismo pulmonar agudo. Finalmente describimos su evolución desde el inicio hasta la reversibilidad del cuadro mediante ecocardiografía, también dimos seguimiento posterior, a siete meses y un año mostrando su evolución a lo largo del tiempo sin el desarrollo de complicaciones o eventos adversos. Destacamos que el abordaje temprano y el seguimiento ecocardiográfico fueron clave para la buena evolución.


REFERENCIAS (EN ESTE ARTÍCULO)

  1. Boissier F, Aissaoui N. Septic cardiomyopathy: diagnosis and management. J Intensive Med. 2021; 2(1): 8-16. doi: 10.1016/j.jointm.2021.11.004.

  2. Sivapathan S, Gehardy B, Pathan F, Orde S, Negishi K. A review of current landscape and definition of septic cardiomyopathy. Eur Heart J. 2023; 44. doi: 10.1093/eurheartj/ehad655.1107.

  3. Singer M, Deutschman CS, Seymour CW, Shankar-Hari M, Annane D, Bauer M et al. The third international consensus definitions for sepsis and septic shock (sepsis-3). JAMA. 2016; 315(8): 801-810. doi: 10.1001/jama.2016.0287.

  4. Lin YM, Lee MC, Toh HS, Chang WT, Chen SY, Kuo FH et al. Association of sepsis-induced cardiomyopathy and mortality: a systematic review and meta-analysis. Ann Intensive Care. 2022; 12(1): 112. doi: 10.1186/s13613-022-01089-3.

  5. Erdem S, Das A, Ismail R, Makki H, Hakim A. UTI-associated septic cardiomyopathy: saving the heart in the nick of time. Cureus. 2022; 14(10): e29957. doi: 10.7759/cureus.29957.

  6. Sharma S, Rodrigues PRS, Zaher S, Davies LC, Ghazal P. Immune-metabolic adaptations in pregnancy: A potential stepping-stone to sepsis. EBioMedicine. 2022; 86: 104337. doi:10.1016/j.ebiom.2022.104337.

  7. Mazzeffi MA, Chen KT. Severe postpartum sepsis with prolonged myocardial dysfunction: a case report. J Med Clin Case Rep. 2010; 4(1): 318. doi: 10.1186/1752-1947-4-318.

  8. Romero-Bermejo FJ, Ruiz-Bailen M, Gil-Cebrian J, Huertos-Ranchal MJ. Sepsis-induced cardiomyopathy. Curr Cardiol Rev. 2011; 7(3): 163-183. doi: 10.2174/157340311798220494.

  9. Kimchi A, Gray Ellrodt A, Berman DS, Riedinger MS, Swan HJC, Murata GH. Right ventricular performance in septic shock: a combined radionuclide and hemodynamic study. JACC. 1984; 4(5): 945-951. doi: 10.1016/S0735-1097(84)80055-8.

  10. Shvilkina T, Shapiro N. Sepsis-induced myocardial dysfunction: heterogeneity of functional effects and clinical significance. Front Cardiovasc Med. 2023; 10: 1200441. doi: 10.3389/fcvm.2023.1200441.

  11. L'Heureux M, Sternberg M, Brath L, Turlington J, Kashiouris MG. Sepsis-induced cardiomyopathy: a comprehensive review. Curr Cardiol Rep. 2020; 22(5): 35. doi:10.1007/s11886-020-01277-2.

  12. Song J, Fang X, Zhou K, Bao H, Li L. Sepsis induced cardiac dysfunction and pathogenetic mechanisms (Review). Mol Med Rep. 2023; 28(6): 227. doi: 10.3892/mmr.2023.13114.

  13. El-Oraby MA, Shaban AES, El-Dada AA, El-Badawy AEAH. Echocardiographic evaluation of sepsis induced myocardial dysfunction in patients with sepsis or septic shock: a prospective cohort study. Anaesthesia, Pain & Intensive Care. 2021; 25(2): 150-162. doi: 10.35975/apic.v25i2.1463.

  14. Xue W, Pang J, Liu J, Wang H, Guo H, Chen Y. Septic cardiomyopathy: characteristics, evaluation, and mechanism. Emerg Crit Care Med. 2022; 2(3): 135-147. doi: 10.1097/EC9.0000000000000060.

  15. Hollenberg SM, Singer M. Pathophysiology of sepsis-induced cardiomyopathy. Nat Rev Cardiol. 2021; 18(6): 424-434. doi: 10.1038/s41569-020-00492-2.

  16. Liu AB, Li SJ, Yu YY, Zhang JF, Ma L. Current insight on the mechanisms of programmed cell death in sepsis-induced myocardial dysfunction. Front Cell Dev Biol. 2023; 11: 1309719. doi: 10.3389/fcell.2023.1309719.

  17. Fan Y, Guan B, Xu J, Zhang H, Yi L, Yang Z. Role of toll-like receptor-mediated pyroptosis in sepsis-induced cardiomyopathy. Biomed Pharmacother. 2023; 167: 115493. doi: 10.1016/j.biopha.2023.115493.

  18. Jozwiak M, Persichini R, Monnet X, Teboul JL. Management of myocardial dysfunction in severe sepsis. Semin Respir Crit Care Med. 2011; 32(2): 206-214. doi: 10.1055/s-0031-1275533.

  19. Lv X, Wang H. Pathophysiology of sepsis-induced myocardial dysfunction. Mil Med Res. 2016; 3(1): 30. doi: 10.1186/s40779-016-0099-9.

  20. González JAC, Hernández JMH. Ecocardiografía en la cardiomiopatía inducida por sepsis: una luz en la obscuridad para el intensivista. Rev Ecocar Pract (RETIC) [Internet]. 2023; 6(3): 54-57. Disponible en: https://www.imagenretic.org/RevEcocarPract/article/view/615

  21. Sato R, Nasu M. A review of sepsis-induced cardiomyopathy. J Intensive Care. 2015; 3(1): 48. doi: 10.1186/s40560-015-0112-5.

  22. Du Bois D, Du Bois EF. A formula to estimate the approximate surface area if height and weight be known. 1916. Nutrition. 1989; 5(5): 303-311; discussion 312-313.

  23. Blondon M, Martinez de Tejada B, Glauser F, Righini M, Robert-Ebadi H. Management of high-risk pulmonary embolism in pregnancy. Thromb Res. 2021; 204: 57-65. doi: 10.1016/j.thromres.2021.05.019.

  24. Konstantinides SV, Meyer G, Becattini C, Bueno H, Geersing GJ, Harjola VP et al. 2019 ESC Guidelines for the diagnosis and management of acute pulmonary embolism developed in collaboration with the European Respiratory Society (ERS). Eur Heart J. 2020; 41(4): 543-603. doi: 10.1093/eurheartj/ehz405.

  25. Sevilla Berrios RA, O'Horo JC, Velagapudi V, Pulido JN. Correlation of left ventricular systolic dysfunction determined by low ejection fraction and 30-day mortality in patients with severe sepsis and septic shock: a systematic review and meta-analysis. J Crit Care. 2021; 29(4): 495-499. doi: 10.1016/j.jcrc.2014.03.007.

  26. Sanfilippo F, Corredor C, Fletcher N, Tritapepe L, Lorini FL, Arcadipane A et al. Left ventricular systolic function evaluated by strain echocardiography and relationship with mortality in patients with severe sepsis or septic shock: a systematic review and meta-analysis. Crit Care. 2018, 22(1): 183. doi: 10.1186/s13054-018-2113-y.

  27. Zanotti-Cavazzoni SL, Hollenberg SM. Cardiac dysfunction in severe sepsis and septic shock. Curr Opin Crit Care. 2009; 15(5): 392-397. doi: 10.1097/MCC.0b013e3283307a4e.

  28. Ektesabi AM, Tsoporis JN, Vaswani C, Izhar S, Desjardins JF, Parker T et al. Abstract 12433: miR 187a-3p prevents septic-induced myocardial dysfunction by targeting the inflammatory cytokines TNFa and IL-6. Circulation. 2023. Available in: https://www.ahajournals.org/doi/10.1161/circ.148.suppl_1.12433

  29. Kuroki T, Abe T, Kawana R, Koroki T, Kubo K, Ochiai H. Successful treatment of sepsis-induced cardiomyopathy with intra-aortic balloon pumping: a case report and literature review. Am J Case Rep. 2023; 24: e941098. doi: 10.12659/AJCR.941098.

  30. Samant SA, Bhaskara Pillai VK, Hund S, Gupta M, Gupta MP. Abstract 12592: Nuclear Sirtuin Sirt6, protects mice from endotoxin-induced septic cardiomyopathy. Circulation. 2022; 146(Suppl_1): A12592-A12592. Available in: https://www.ahajournals.org/doi/10.1161/circ.146.suppl_1.12592

  31. Swaminathan S, Pradeep SR, Wilson RI, Campbell J, Thirunavukkarasu M, Accorsi D et al. Abstract 14673: Cardiomyocyte specific overexpression of pellino 1 reverses sepsis induced cardiac dysfunction in a murine model by reducing inflammatory response and cardiac cell death. Circulation. 2020; 142(Suppl_3): A14673-A14673. Available in: https://www.ahajournals.org/doi/10.1161/circ.142.suppl_3.14673

  32. Geng H, Zhang H, Cheng L, Dong S. Sivelestat ameliorates sepsis-induced myocardial dysfunction by activating the PI3K/AKT/mTOR signaling pathway. Int Immunopharmacol. 2024; 128: 111466. doi: 10.1016/j.intimp.2023.111466.

  33. Arany Z. Peripartum cardiomyopathy. N Engl J Med. 2024; 390(2): 154-164. doi: 10.1056/NEJMra2306667.

  34. Davis MB, Arany Z, McNamara DM, Goland S, Elkayam U. Peripartum cardiomyopathy. JACC State-of-the-art review. J Am Coll Cardiol. 2020; 75(2): 207-221. doi: 10.1016/j.jacc.2019.11.014.

  35. Van der Pol LM, Mairuhu AT, Tromeur C, Couturaud F, Huisman MV, Klok FA. Use of clinical prediction rules and D-dimer tests in the diagnostic management of pregnant patients with suspected acute pulmonary embolism. Blood Rev. 2017; 31(2): 31-36. doi: 10.1016/j.blre.2016.09.003.




Figura 1
Figura 2
Figura 3
Figura 4
Figura 5
Figura 6
Tabla 1

2020     |     www.medigraphic.com

Mi perfil

C?MO CITAR (Vancouver)

Cardiovasc Metab Sci . 2024;35

ARTíCULOS SIMILARES

CARGANDO ...