medigraphic.com
ENGLISH

Revista ADM Órgano Oficial de la Asociación Dental Mexicana

ISSN 0001-0944 (Impreso)
Órgano Oficial de la Asociación Dental Mexicana
  • Mostrar índice
  • Números disponibles
  • Información
    • Información general        
    • Directorio
  • Publicar
    • Instrucciones para autores        
    • Envío de artículos
  • medigraphic.com
    • Inicio
    • Índice de revistas            
    • Registro / Acceso
  • Mi perfil

2024, Número 3

<< Anterior Siguiente >>

Rev ADM 2024; 81 (3)


Inyección de composite fluido técnica analógica vs técnica digital en el tratamiento de desgaste dental: reporte de caso.

Ramos Castillo, Paul1; Sánchez Valarezo, Luis2; Delgado-Gaete, Andrés3
Texto completo Cómo citar este artículo 10.35366/116300

DOI

DOI: 10.35366/116300
URL: https://dx.doi.org/10.35366/116300
Artículos similares

Idioma: Español
Referencias bibliográficas: 13
Paginas: 170-176
Archivo PDF: 496.62 Kb.


PALABRAS CLAVE

desgaste dental, técnica, analógica, odontología digital, resinas inyectadas, estética dental.

RESUMEN

El avance de la tecnología permite realizar cambios en la rehabilitación y estética, reduce los tiempos de trabajo y disminuye los riesgos que se presentan al momento de utilizar materiales convencionales para la toma de impresiones. Existen dos técnicas que se pueden emplear, la analógica y la digital; la primera presenta mayores riesgos que el operador no puede controlar, así como tiempos más prolongados. Este reporte describe la rehabilitación bucal en dos pacientes con desgaste dental, se optó por usar ambas técnicas, la analógica y la digital, como tratamiento; en la primera se empleó el encerado convencional y en la segunda el software Exocad para el encerado digital. Finalmente en ambos casos se aplicó la técnica de inyección con resina Flow de alta carga.



INTRODUCCIóN

Los avances tecnológicos han permitido grandes cambios en la rehabilitación estética mejorando las expectativas del paciente y reduciendo el número de sesiones necesarias. La técnica analógica se realiza mediante la toma de impresiones y el posterior encerado diagnóstico, esto nos permite visualizar el resultado final del paciente; al emplear esta técnica debemos estar conscientes de que hay factores que no podemos controlar como la contracción, la expansión, las burbujas de aire y grietas al momento de la toma de la impresión.1 Sin embargo, hay ventajas que esta técnica presenta sobre la técnica digital como una mayor retención y costos más bajos.2

La técnica digital es el enfoque renovado de la odontología, incluye procesos de diagnóstico que nos apoyan tanto a odontólogos como a pacientes; dichas tecnologías hacen que el proceso de ejecución sea más rápido ya que contienen un diseño tridimensional que da lugar a un producto asistido por ordenador con el uso de impresoras, permite mostrar una ejecución final para que así el profesional pueda tener una mejor precisión del diagnóstico y tratamiento; estas técnicas se pueden realizar mediante la inyección de resinas fluidas de alta carga.3

La primera generación de los composite fluidos apareció a finales de 1996, en ellos la carga de relleno inorgánica convencional (sílice coloidal, vidrio de bario, ionómero de vidrio) era menor y en volúmenes de 30-50%, por lo cual presentaba una baja viscosidad, además de una profundidad del fotocurado de 6 mm.4 En la actualidad los composite fluidos han aumentado su carga inorgánica del 50-70% mediante el empleo de partículas de fibra o híbridos minirrellenados que permiten un incremento en su viscosidad y por ende una tenacidad a la fractura de 2.8 MPa y resistencia a la flexión (146.5 MPa).5,6

El desgaste dental anterior se puede definir como la pérdida sustancial de la estructura dentaria con exposición de dentina y una pérdida de corona clínica de ≥ 1/3, en la que los dientes anteriores presentan concavidades amplias dentro de la superficie lisa del esmalte y en casos especiales exposición de dentina en el borde incisal con un aumento de translucidez incisal.7,8 Es una condición irreversible que presenta una etiología multifactorial y puede ser causado por la fricción de diente a diente, parafunciones, sustancias abrasivas extrañas como el cepillado brusco de los dientes, factores químicos endógenos que se evidencian cuando el paciente padece de problemas de reflujo gastroesofágico o bulimia y factores químicos exógenos con sustancias de un pH menor a 5.5 que pueden provocar una desmineralización de los dientes.8,9 El ingerir bebidas o alimentos ácidos en más de seis momentos al día se asocia con un aumento de 2.9 y 2.3 de probabilidad de padecer desgaste dental severo en el sector anterior.10 Además, existen hábitos como el consumo de alcohol y el tabaquismo asociados a este tipo de desgaste.7

El objetivo de este reporte de caso de dos pacientes es describir el manejo clínico de la técnica digital versus la técnica analógica para la estratificación de composite fluido de alta carga en pacientes con desgaste dental.



REPORTE DE CASO 1

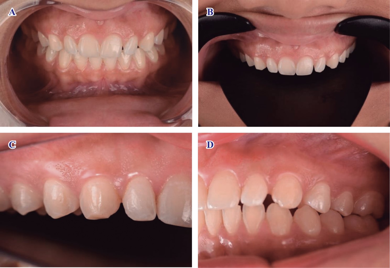
Paciente femenino de 25 años solicitó tratamiento para mejorar la apariencia estética de su sonrisa. Su historial médico indicó buena salud general y no existe hábito de fumar. Se evidenció un desgaste en el borde incisal de los caninos superiores (Figura 1). El examen extraoral encontró una línea de sonrisa promedio y una curvatura cóncava de los incisivos superiores. El examen intraoral no reveló patologías ni caries dental en los tejidos duros del diente.

El plan de tratamiento consistió en la técnica de inyección de resina fluida de alta carga inorgánica (tono I). Para la planificación del tratamiento se digitalizaron los modelos dentales con un escáner (3Shape) y se realizó un escaneo facial para generar un archivo de formato de imagen 3D (Figura 2).

La posición de los bordes incisales y la longitud estética ideal del diente se evaluaron digitalmente. El encerado y la caracterización de los dientes se realizó mediante un software (Exocad) (Figura 3). Se realizó la impresión digital del encerado y mediante el vaccum se confeccionó la matriz de silicona de 2 mm de grosor, pulimos los bordes de la matriz de silicona con una fresa de baja velocidad para su ajuste en el modelo (Figura 4). La preparación de las superficies dentales se realizó con ácido fosfórico a 37% y se utilizó un sistema de adhesivo convencional, luego se colocó la matriz de silicona en boca y se procedió a inyectar por un orificio incisal la resina fluida (Tetric N-Flow Bleach I) y fotoactivarlas durante un tiempo de 20 segundos por cara. El pulido se realizó 24 horas después con discos abrasivos (Figura 5A-D).



REPORTE DE CASO 2

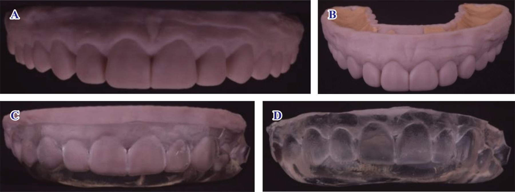
Paciente femenino de 26 años de edad, se presentó a consulta por presentar inconformidad con su sonrisa. Clínicamente no presenta patologías orales, ni caries dentales; se observan diastemas debido a microdoncia dental, además refiere haber utilizado ortodoncia (Figura 6). Se realizó la toma de impresión del maxilar para posteriormente hacer un análisis de modelo y realizar un encerado diagnóstico de las piezas 1.5-2.5 con la finalidad de hacer la matriz de silicona (Figura 7).

Luego de la fase de evaluación clínica se indicó como procedimiento inicial el blanqueamiento dental con la finalidad de retornar a un color óptimo de las superficies dentales. Este procedimiento se ejecutó en una sesión, procediendo a la inserción del separador labial Arcflex (FGM), se aplicó el desensibilizante KF 2% por 10 min. Después se retiró el gel y se realizó aislamiento relativo a través de la aplicación de la barrera gingival para posteriormente realizar las tres aplicaciones de peróxido de hidrógeno a 35% (Whiteness HP Blue) (Figura 8); 14 días después de realizado el blanqueamiento dental se realizó la segunda fase del tratamiento.

Después del análisis de los modelos y la elaboración del encerado de diagnóstico se tomó una impresión al modelo y se realizó el vaciado en yeso (Figura 7A). En una unidad de vacío se confeccionó la matriz de silicona sobre el modelo que se obtuvo del encerado (Figura 7B).

La preparación de las superficies dentales, se realizó con ácido fosfórico a 37% y mediante un sistema de adhesivo convencional, se colocó la matriz de silicona en boca y se procedió a inyectar por un orificio incisal la resina fluida (Tetric N-Flow Bleach I) y fotoactivarla durante 20 segundos por cara. El pulido se realizó 24 horas después con discos abrasivos (Figura 9).



DISCUSIóN

La técnica digital ha aumentado en los últimos años debido a los avances tecnológicos, lo que le ha llevado a convertirse en uno de los métodos más utilizados en rehabilitación y estética, mejorando la comunicación con los pacientes y logrando evaluar de mejor manera sus expectativas. La técnica digital, basada en la integración del escaneo facial e intraoral, aumenta la previsibilidad del tratamiento debido a que digitaliza de mejor manera las proporciones dentofaciales adecuadas para la arquitectura de la cara del paciente.11

La técnica analógica es clínicamente exigente y a menudo implica un trabajo tedioso al momento del diagnóstico, ya que se utilizan formas y contornos dentales preestablecidos haciendo que el procedimiento de encerado sea dependiente y menos previsible.10

Así mismo, cuando existe una dificultad ya sea funcional o estética, lo recomendable es un tratamiento conservador y poco invasivo. El pronóstico favorable para el paciente se basa en una correcta planificación de su tratamiento, asimismo de una correcta identificación de la etiología del desgaste, por eso es importante el control de estos factores.6

Fierro y Barrientos en su artículo mencionan que la técnica digital permite disminuir el tiempo de trabajo, así como también el costo de materiales; además describe que al utilizar el escáner intraoral se disminuye el riesgo de que el registro de impresión sufra alguna distorsión2 coincidiendo con Francesco y colaboradores quienes exponen que al utilizar la técnica digital se puede interrumpir el proceso de escaneo y reanudarse en cualquier momento sin tener que iniciar de nuevo, eliminando así los problemas asociados con los materiales de impresión utilizados en la técnica analógica.1

Schlichting y asociados aluden que la principal ventaja de una buena rehabilitación es el uso de la tecnología digital, la cual nos brinda un uso mínimamente invasivo para las restauraciones anterosuperiores y mejoran su precisión y estética; discrepando con Moreno y colegas quienes en su artículo, utilizando la técnica análoga, describen que lo más importante para un tratamiento exitoso es la técnica de inyección de resinas, misma que relatan como mejor opción para el cierre de diastemas conservando la mayor parte de tejido dentario.12,13



CONCLUSIONES

La rehabilitación oral mediante el empleo de técnicas analógicas y digitales para el diseño de sonrisa en pacientes con desgaste dental han permitido cumplir las expectativas del paciente. Sin embargo, el avance de la tecnología mediante la técnica digital es la mejor opción, mediante un escaneo facial y un software para el encerado digital permite una mejor visión y un análisis correcto de la longitud y tamaño de los dientes de acuerdo al rostro del paciente, lo que conlleva a realizar una estética precisa de acuerdo con las necesidades del paciente; por otro lado, la técnica analógica mediante el encerado manual puede presentar mayor tiempo de elaboración pero su ventaja es el bajo costo empleado al momento de realizarlo, ambas técnicas son una buena opción dependiendo y adaptándose a la calidad de vida de cada paciente.


REFERENCIAS (EN ESTE ARTÍCULO)

  1. Francesco V, Venezia P, Collella L. Técnica - Analógico vs digital. Labor Dental Clínica [Internet]. 2019; 20: 20-31. Disponible en: https://www.revistalabordentalclinica.com/wp-content/uploads/2019/03/T%C3%A9cnica-Analogico-vs-Digital.pdf

  2. Fierro O, Verdugo A, Barrientos B. CAD/CAM versus conventional techniques for unitary posterior indirect restoration. Int J Interdiscip Dent [Internet]. 2020; 13 (3): 207-211. Disponible en: https://dx.doi.org/10.4067/S2452-55882020000300207

  3. Tallarico M. Computerization and digital workflow in medicine: focus on digital dentistry. Materials (Basel). 2020; 13 (9): 2172. doi: 10.3390/ma13092172.

  4. Bayne SC, Thompson JY, Swift EJ Jr, Stamatiades P, Wilkerson M. A characterization of first-generation flowable composites. J Am Dent Assoc. 1998; 129 (5): 567-577. doi: 10.14219/jada.archive.1998.0274.

  5. Baroudi K, Rodrigues JC. Flowable resin composites: a systematic review and clinical considerations. J Clin Diagn Res. 2015; 9 (6): ZE18-ZE24. doi: 10.7860/JCDR/2015/12294.6129.

  6. Domínguez Díaz D, López Flores AI. Rehabilitación bioaditiva con resinas compuestas en desgaste severo: reporte de caso. Rev Cient Odontol (Lima). 2019; 7 (2): 134-140. Disponible en: https://revistas.cientifica.edu.pe/index.php/odontologica/article/view/539

  7. Loomans B, Opdam N. A guide to managing tooth wear: the Radboud philosophy. Br Dent J. 2018; 224 (5): 348-356. doi: 10.1038/sj.bdj.2018.164.

  8. Machado NA, Fonseca RB, Branco CA, Barbosa GA, Fernandes Neto AJ, Soares CJ. Dental wear caused by association between bruxism and gastroesophageal reflux disease: a rehabilitation report. J Appl Oral Sci. 2007; 15 (4): 327-333. doi: 10.1590/s1678-77572007000400016.

  9. Awad MA, El Kassas D, Al Harthi L, Abraham SB, Al-Khalifa KS, Khalaf ME et al. Prevalence, severity and explanatory factors of tooth wear in Arab populations. J Dent. 2019; 80: 69-74. doi: 10.1016/j.jdent.2018.09.011.

  10. Coachman C, De Arbeloa L, Mahn G, Sulaiman TA, Mahn E. An improved direct injection technique with flowable composites. A digital workflow case report. Oper Dent. 2020; 45 (3): 235-242. doi: 10.2341/18-151-T.

  11. Ferrando-Cascales A, Astudillo-Rubio D, Pascual-Moscardó A, Delgado-Gaete A. A facially driven complete-mouth rehabilitation with ultrathin CAD-CAM composite resin veneers for a patient with severe tooth wear: A minimally invasive approach. J Prosthet Dent. 2020; 123 (4): 537-547. doi: 10.1016/j.prosdent.2019.04.011.

  12. Moreno-Rivera JB, Echevarría-Ponce CE, García-Armenta A, Rodriguez-Gonzalez BC. Diseño de sonrisa: Técnica de resinas inyectadas. Rev Mex Med Forense [Internet]. 2019; 4 (suppl 2): 1-3. Disponible en: https://revmedforense.uv.mx/index.php/RevINMEFO/article/view/2677/4592

  13. Schlichting LH, Resende TH, Reis KR, Magne P. Simplified treatment of severe dental erosion with ultrathin CAD-CAM composite occlusal veneers and anterior bilaminar veneers. J Prosthet Dent. 2016; 116 (4): 474-482. doi: 10.1016/j.prosdent.2016.02.013.



AFILIACIONES

1 Egresado de la carrera de Odontología. Universidad Católica de Cuenca. Cuenca, Ecuador.

2 Odontólogo. Práctica privada, Clínica Dental SV. Cuenca, Ecuador.

3 Docente titular de la Universidad Católica de Cuenca. Cuenca, Ecuador.



Conflicto de intereses: no existió conflicto de intereses entre los autores.

Aspectos éticos: no presentó conflictos éticos porque se protegió la identidad de los pacientes.

Financiamiento: autofinanciamiento.



CORRESPONDENCIA

Paul Ramos Castillo. E-mail: paul1997castillo@hotmail.es




Recibido: 28 de octubre de 2021. Aceptado: 24 de abril de 2024.

Figura 1
Figura 2
Figura 3
Figura 4
Figura 5
Figura 6
Figura 7
Figura 8
Figura 9

2020     |     www.medigraphic.com

Mi perfil

C?MO CITAR (Vancouver)

Rev ADM. 2024;81

ARTíCULOS SIMILARES

CARGANDO ...