medigraphic.com
ENGLISH

Revista ADM Órgano Oficial de la Asociación Dental Mexicana

ISSN 0001-0944 (Impreso)
Órgano Oficial de la Asociación Dental Mexicana
  • Mostrar índice
  • Números disponibles
  • Información
    • Información general        
    • Directorio
  • Publicar
    • Instrucciones para autores        
    • Envío de artículos
  • medigraphic.com
    • Inicio
    • Índice de revistas            
    • Registro / Acceso
  • Mi perfil

2024, Número 3

<< Anterior Siguiente >>

Rev ADM 2024; 81 (3)


Manejo odontológico de una paciente con síndrome de Apert.

Soto Pacheco, María Silvia Karina1; Rocha Navarro, Miriam Lucía2; De Santos Alba, José de Jesús3; Ayala Herrera, José Luis2
Texto completo Cómo citar este artículo 10.35366/116301

DOI

DOI: 10.35366/116301
URL: https://dx.doi.org/10.35366/116301
Artículos similares

Idioma: Español
Referencias bibliográficas: 8
Paginas: 177-181
Archivo PDF: 262.38 Kb.


PALABRAS CLAVE

síndrome de Apert, acrocéfalo-sindactilia, plan de tratamiento, manejo odontológico.

RESUMEN

El síndrome de Apert, marcado por la acrocéfalo-sindactilia, es una condición genética que genera deformidades dentofaciales incluyendo craneosinostosis, alteraciones faciales y malformaciones en extremidades. La mutación en el gen FGFR2, ya sea heredada o resultante de mutaciones esporádicas, desencadena esta compleja condición. La relevancia de abordar el síndrome de Apert se manifiesta no sólo en las implicaciones estéticas, sino también en su impacto en la salud oral. Romper con los paradigmas odontológicos actuales implica reconocer las particularidades de estos pacientes y proporcionar una atención especializada. La necesidad de una capacitación específica para los profesionales de la salud oral es evidente, permitiendo un enfoque integral que aborde la prevención y el tratamiento de las malformaciones craneofaciales asociadas. Superar los desafíos tradicionales implica adoptar una perspectiva inclusiva y personalizada en la atención odontológica. Esto no sólo mejora la calidad de vida de los pacientes con síndrome de Apert, sino que también destaca la importancia de una atención adaptada que trascienda los límites convencionales, ofreciendo soluciones innovadoras para las complejidades bucodentales asociadas a esta condición genética.



INTRODUCCIóN

El síndrome de Apert (SA) se distingue por una deformidad dentofacial que abarca diversas anormalidades dentales y maxilomandibulares que resultan en trastornos eruptivos y la aparición de maloclusiones.1 Fue descrito inicialmente por John Langdon Down en 1866 como un trastorno genético sistemático, sin embargo, el Dr. Eugene Apert detalló sus características clínicas minuciosamente en 1906 y a él debe su nombre.2 Este síndrome, catalogado como una de las craneosinostosis más infrecuentes y graves, constituye aproximadamente 4.5% de todos los síndromes registrados, con una prevalencia estimada de 1:160,000 nacimientos, siendo más prevalente en asiáticos y menos común en hispanos (1.6 por millón de nacidos vivos).3 El síndrome de Apert, clasificado como una acrocéfalo-sindactilia de tipo I, se origina por la presencia de craneosinostosis multisutura, que resulta en la retrusión del tercio medio facial y sindactilia de las manos, con fusión de la segunda a la cuarta uña. La mayoría de los afectados presentan craneosinostosis coronal, con posible afectación de las suturas sagital y lambdoidea. La subdesarrollada y retraída parte media de la cara puede presentar, en algunos casos, paladar hendido.4 La mutación del gen FGFR2 es una característica destacada, siendo responsable de 98% de los casos, con mutaciones sin sentido específico y una ubicación cromosómica en el 10q25-10q26, de naturaleza exclusivamente paterna.5 Las manifestaciones clínicas del síndrome de Apert no se limitan al aspecto facial, ya que hasta 50% de los casos pueden experimentar retraso cognitivo, pérdida visual y problemas dentales derivados de la configuración anormal de los huesos faciales y del cráneo.6 La dificultad respiratoria, causante de apnea del sueño y respiración bucal, también puede presentarse. El tratamiento es multidisciplinario, iniciando con una intervención quirúrgica en el primer año para prevenir la fusión temprana de la sutura coronal y reducir la presión intracraneal.7 Además, se destaca que la probabilidad de tener un segundo hijo afectado es de 1% y una persona con síndrome de Apert enfrenta un riesgo de 50% de tener descendencia con el síndrome. Estas consideraciones subrayan la complejidad y la necesidad de un enfoque integral en el manejo de pacientes con síndrome de Apert, involucrando tanto aspectos médicos como genéticos en la planificación del tratamiento y el cuidado a largo plazo.8

El objetivo de este caso clínico es ampliar el conocimiento bucodental del síndrome de Apert (acrocéfalo-sindactilia) y explorar estrategias odontológicas específicas para su manejo con una paciente.



PRESENTACIóN DEL CASO

Paciente femenino de 52 años de edad con síndrome de Apert congénito que acudió a la Facultad de Odontología de la Universidad La Salle Bajío cuyo motivo de consulta fue: "Quiero que me terminen una endodoncia". Presenta estado convulsivo asociado a síndrome de Apert desde hace 31 años, las crisis se manifiestan con contracción muscular rítmica, sin pérdida de visión, audición, habla o conciencia. Usualmente se presentan en estados emocionales que causan estrés o alegría, es tratada con levetiracetam 100 mg cada 8 horas y valproato de magnesio 200 mg cada 12 horas. Además, durante las crisis epilépticas, como medida de control, la paciente realiza respiraciones profundas; acude a consulta médica cada mes, presenta depresión y ansiedad desde hace 5 años. El cuadro clínico se caracteriza por inestabilidad emocional y taquicardia, en tratamiento con escitalopram de 10 mg cada 24 horas y olanzapina un cuarto de tableta de 10 mg cada 24 horas. También asistió a terapia psicológica y fue dada de alta hace un año. En sus antecedentes personales no patológicos, menciona que es originaria de León, Guanajuato donde actualmente reside, realiza sus actividades diarias sin problema alguno, cuenta con todos los servicios básicos de vivienda, en su higiene personal se baña diariamente y en su higiene oral se cepilla los dientes tres veces al día y no usa hilo dental. Tabaquismo y alcoholismo negados y no refiere antecedentes familiares con síndrome de Apert de otro miembro de la familia.

A la paciente se le pidió su consentimiento para mostrar las características fenotípicas del síndrome de Apert y características intraorales propias de esta condición. Además, se siguieron los protocolos internacionales vigentes (Declaración de Helsinki, Código de Nuremberg) y nacionales referentes a investigación para mantener su confidencialidad, respeto y búsqueda de su bienestar.

La paciente presenta retraso mental leve con deterioro del comportamiento, dificultad motriz, acrobraquicefalia, hipertelorismo, proptosis, piel pálida, implantación baja de ambos pabellones auriculares, disminución auditiva, sinoniquia/sindactilia, hipoplasia maxilar en forma de V y crecimiento general menor en comparación con sus hermanos. Los labios con forma curvilínea y gruesos, color rosa, consistencia blanda, textura granular y frenillos bien insertados, con vestíbulo de color rosado, presencia de endocitosis y poca profundidad, sin lesiones. El paladar duro con forma de bóveda arqueada, acortado en sentido sagital, rosa, más ancho de lo normal, con presencia de fisura (comunicación oronasal persistente) y fístula, esta última cubierta por un obturador removible de acrílico, paladar blando color rosa con buena movilidad y úvula bífida. La lengua saburral y fisurada, presencia de macroglosia, textura de toalla y zonas de atrofia papilar. Frenillo lingual corto. Piso de boca color rosado, presencia de glándulas salivales mayores y textura granular, dientes con coronas pequeñas (Figura 1).



TRATAMIENTO

Se procede a realizar el diagnóstico intraoral de la paciente con el apoyo de radiografías periapicales y ortopantomografía, así como modelos de yeso. Valoración por las especialidades de periodoncia, cirugía, prótesis y endodoncia.

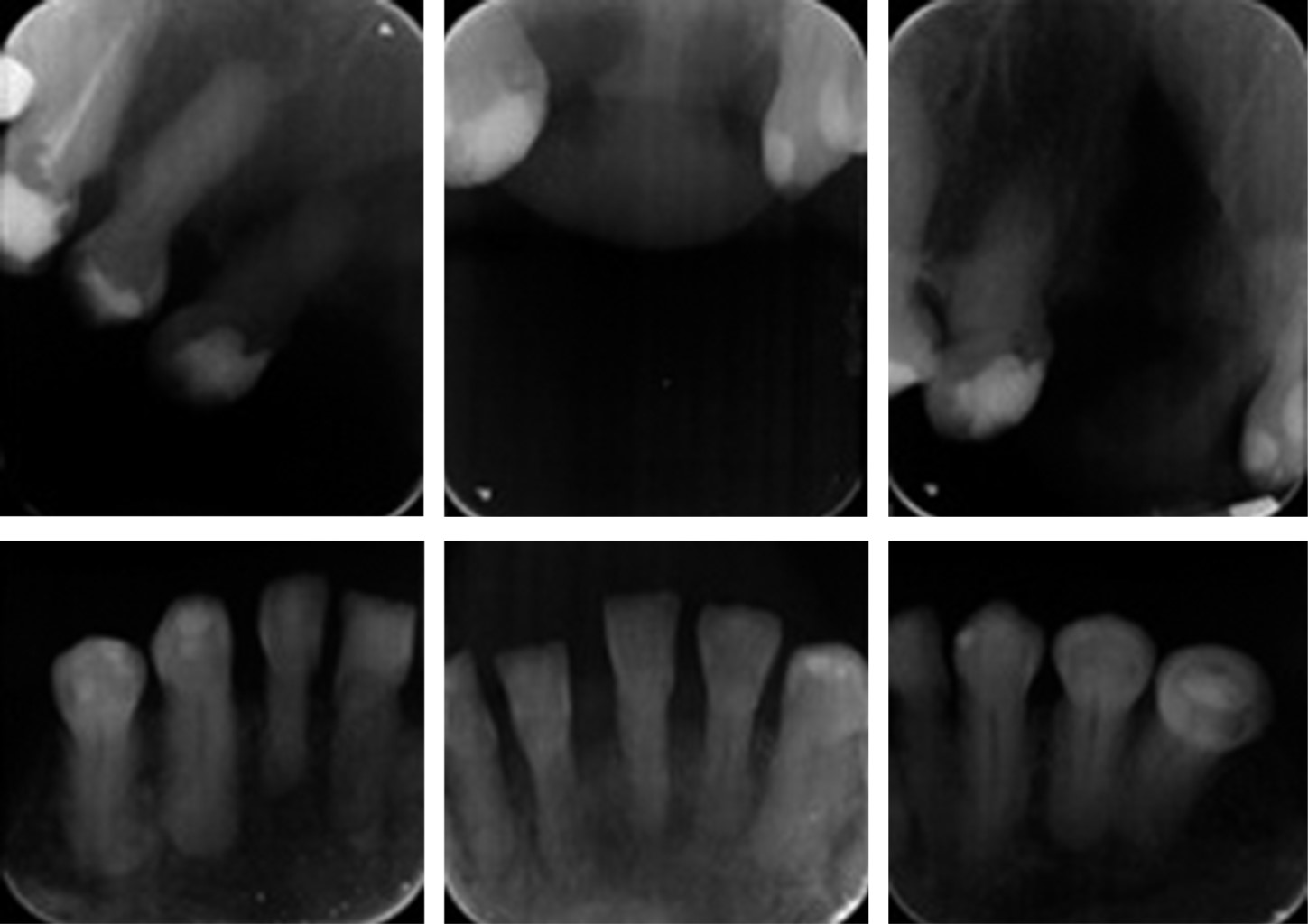
Radiográficamente se observó anodoncia parcial, caries y restauraciones defectuosas/mal adaptadas, pérdida de hueso horizontal y/o vertical en todos los sextantes, cráteres óseos, paladar hendido, hipercementosis en todos los dientes, raíces enanas, fracturas coronarias, seno y membrana maxilar pequeña, alteración de la articulación temporomandibular y restos radiculares (Figuras 2 y 3).



DISCUSIóN

La paciente es diagnosticada con anodoncia parcial en el sextante anterior superior debido al paladar hendido, el obturador se encuentra en buenas condiciones y no se indica su cambio. Además, se observa periodontitis generalizada estadio II con sangrado al sondeo en 93% de los órganos dentarios y biofilm microbiano de 100%. Se indica plática motivacional para el control del biofilm, así como técnica de Fones para cepillado (por su deficiente destreza motriz, cepillo dental eléctrico recargable Oral-B Pro 2,000 extra suave, pequeño) uso de cepillos interproximales más adecuados para cada espacio, hilo dental diario (GUM® Easy Flossers), clorhexidina al 0.12% dos veces al día por 15 días y se realiza raspado y alisado radicular por cuadrantes. Mantenimiento preventivo cada tres meses para lograr una salud oral permanente. Es importante enfatizar el control del biofilm en cada cita, debido a que los medicamentos utilizados para tratar las condiciones propias del síndrome de Apert producen hiposalivación ocasionando susceptibilidad de presentar una mayor cantidad de biofilm microbiano.

Se realizaron extracciones transalveolares de los órganos dentarios (OD) 17 y 16 debido a una significativa pérdida ósea que impedía su tratamiento. Restauraciones de los OD 25, 26, 34, 35, 43 y 44 con resinas y rehabilitación con una prótesis removible mandibular en la zona de los OD 45 y 36 para mejorar la funcionalidad masticatoria.

El protocolo de manejo clínico, implementado en la paciente con síndrome de Apert, fue realizar citas relajadas y cortas por la mañana (máximo 30 minutos), brindar confianza a la paciente teniendo una buena relación paciente-odontólogo para minimizar el estrés emocional (ser amistoso, dar apoyo moral, prevenir dolor, trabajar eficientemente, explicar con calma el tratamiento), hacer énfasis en medidas preventivas de higiene oral (considerando su deficiencia motriz) a la paciente y al tutor/familiar; colocarle lentes de protección oscuros sin luz directa para evitar alguna posible crisis, preguntarle a la paciente o a algún familiar acompañante acerca del estado emocional antes de cada consulta, evitar ayuno prolongado, toma de presión arterial y pulso en cada cita, preguntar si el paciente ha tomado su medicamento con suficiente tiempo para la cita dental y preguntar acerca de cambios en su prescripción, asegurar que siempre venga acompañado por algún familiar, manejo de estrés (mostrar-decir-hacer) para disminuir la sensación de pérdida de control, monitoreo permanente de cambios de humor y conductas en la consulta, motivar al paciente para que asista a sus consultas, manipulación delicada de aparatos e instrumentos, hablar con el asistente previo a la cita sobre cómo proceder ante una posible crisis epiléptica y en caso de presentar alguna, se remite con su médico. Tener la unidad desinfectada y mostrar al paciente y/o familiar el instrumental estéril, colocar siempre anestesia tópica antes de infiltrar y al momento de anestesiar avisarle para evitarle sorpresa, retirar aparatos auditivos del paciente en caso de presentarlos, si se realiza algún procedimiento de saneamiento, se lleva a cabo con aislamiento relativo. En caso de alguna cirugía realizar profilaxis antibiótica que dependerá de la condición sistémica que llegue a presentar.



CONCLUSIONES

La atención odontológica destinada a personas con discapacidad es de vital importancia, ya que va más allá de la mera prestación de servicios en el consultorio odontológico. Se trata de un compromiso con la mejora continua de la calidad, buscando la individualización en la planificación de cuidados especiales. En este contexto, el objetivo no es simplemente tratar a un paciente dentro del ámbito de la salud oral, sino brindarle una atención integral y personalizada. La clave de este enfoque radica en reconocer la singularidad de cada individuo. Cada paciente posee necesidades únicas y como profesionales de la salud, nuestra responsabilidad es adaptarnos a esas necesidades particulares. La personalización del plan de cuidados se convierte en un elemento fundamental para asegurar no solo la salud física del paciente, sino también su bienestar emocional. La consulta odontológica se transforma, de esta manera, en un espacio donde se fomenta la equidad, la inclusión y se derriban barreras. La adaptación de las prácticas y la sensibilización del personal de salud son elementos clave para garantizar que cada persona, independientemente de sus capacidades, reciba una atención digna y respetuosa. En este sentido, el abordaje integral implica no solo considerar las necesidades dentales específicas, sino también comprender y abordar posibles desafíos adicionales relacionados con la discapacidad. La comunicación efectiva, la empatía y la paciencia se convierten en herramientas esenciales para establecer una relación de confianza con el paciente.

En resumen, la odontología en el contexto de la discapacidad no sólo se trata de procedimientos técnicos, sino de una conexión humana profunda. Es un compromiso ético y profesional que va más allá de la atención clínica convencional. Al ofrecer un cuidado integral que abarca la salud física y emocional, contribuimos no sólo a la salud bucodental del paciente con síndrome de Apert, sino también a su calidad de vida y bienestar general de pacientes que presenten otros síndromes con implicaciones bucales/orales. Este enfoque centrado en la persona refleja la esencia de una odontología inclusiva y comprometida con el respeto a la diversidad de cada individuo.


REFERENCIAS (EN ESTE ARTÍCULO)

  1. Partoune S, Masereel MC. Apert syndrome or acrocephalosyndactilia type I. Rev Med Liege. 2021; 76 (10): 715-718.

  2. Melero SJ, Leite MM, De Carvalho IMM. Anomalias dentárias em portadores da síndrome de Apert e da síndrome de Crouzon. Rev Salusvita. 2005; 24 (2): 171-182.

  3. López-Estudillo AS, Rosales-Bérber MA, Ruiz-Rodríguez S, Pozos-Guillén A, Noyola-Frías MÁ, Garrocho-Rangel A. Dental approach for Apert syndrome in children: a systematic review. Med Oral Patol Oral Cir Bucal. 2017; 22 (6): e660-e668.

  4. Villarroel A, Hochstatter E, Claustro R. Síndrome de Apert (acrocefalosindactilia). Gac Med Bol. 2007; 30 (1): 58-62.

  5. González YJ, Gómez L, Ordoñez EA. Síndrome de Apert. Reporte de caso. Rev Ped Elec. 2020; 17 (2): 12-18.

  6. Tirado-Pérez IS, Castro UJ, Durán MC, Zárate-Vergara AC. Síndrome de Apert: acrocefalosindactilia, caso clínico. Rev Ecuat Pediatr. 2020; 21 (1): Artículo 1:1-8.

  7. ¿Qué es el Síndrome de Apert? | Nicklaus Children's Hospital. (2020). Nicklauschildrens.org. Disponible en: https://www.nicklauschildrens.org/condiciones/sindrome-de-apert

  8. Vega P. Técnica de Fones. Bis-Salud. 2020. Disponible en: https://bisodontologia.com/tecnica-de-fones/



AFILIACIONES

1 Universidad de La Salle Bajío, Pregrado de la Carrera de Odontología.

2 Doctor en Investigación de la Universidad de la Salle Bajío.

3 Coordinador del Departamento de Diagnóstico de la Salle Bajío.



Conflicto de intereses: todos los autores están de acuerdo con la escritura del artículo y su posición de la escritura del mismo.

Aspectos éticos: se obtuvo el consentimiento de la paciente y se siguieron las normas éticas y de investigación. El proyecto fue aprobado por el comité de ética de la Facultad de Odontología de la Universidad La Salle Bajío.

Financiamiento: los tratamientos realizados a los pacientes fueron pagados por ellos mismas.



CORRESPONDENCIA

María Silvia Karina Soto Pacheco. E-mail: usagishion93@gmial.com




Recibido: 14 de enero de 2024. Aceptado: 13 de mayo de 2024.

Figura 1
Figura 2
Figura 3

2020     |     www.medigraphic.com

Mi perfil

C?MO CITAR (Vancouver)

Rev ADM. 2024;81

ARTíCULOS SIMILARES

CARGANDO ...