medigraphic.com
ENGLISH

Latin American Journal of Oral and Maxillofacial Surgery

ISSN 2992-7757 (Digital)
Órgano de difusión de la Asociación Latinoamericana de Cirugía y Traumatología Bucomaxilofacial (ALACIBU)
  • Mostrar índice
  • Números disponibles
  • Información
    • Información general        
    • Directorio
  • Publicar
    • Instrucciones para autores        
  • medigraphic.com
    • Inicio
    • Índice de revistas            
    • Registro / Acceso
  • Mi perfil

2024, Número 2

<< Anterior Siguiente >>

Lat Am J Oral Maxillofac Surg 2024; 4 (2)


Manejo de una fractura panfacial en condiciones de secuela. Reporte de un caso

Olivares Guia, Carlos Santiago1; Rivero Cordero, Yoimar Andreina1; Melean González, Yasmelis Carolina2; Gudiño Martínez, Ronar Alejandro2; García Guevara, Henry3
Texto completo Cómo citar este artículo 10.35366/116722

DOI

DOI: 10.35366/116722
URL: https://dx.doi.org/10.35366/116722
Artículos similares

Idioma: Español
Referencias bibliográficas: 10
Paginas: 55-59
Archivo PDF: 294.74 Kb.


PALABRAS CLAVE

Fractura panfacial, trauma facial, secuela, politraumatizado.

RESUMEN

Las fracturas panfaciales son traumatismos que involucran fracturas en los tres tercios faciales. Éstas son comunes en politraumatizados y pueden estar asociadas con afecciones en otros sistemas del cuerpo. El manejo de estas fracturas es complejo y debe ser abordado de manera multidisciplinaria. La finalidad del tratamiento es evitar secuelas a largo plazo y restaurar la anatomía y función del paciente. Se utiliza la tomografía computarizada con reconstrucción volumétrica 3D para evaluar el patrón de fractura. El tratamiento temprano de fracturas desplazadas que generan problemas funcionales es prioritario. En casos de pacientes politraumatizados, se prioriza la estabilización del paciente antes de realizar la cirugía. El objetivo de este estudio es realizar el reporte de caso de un paciente politraumatizado que acude al Servicio de Emergencia y el manejo prequirúrgico y quirúrgico del mismo por parte del Servicio de Cirugía y Traumatología Bucal y Maxilofacial del Hospital Universitario de Caracas, destacando la planificación y preparación previa a la cirugía como factores clave en el éxito del tratamiento.



INTRODUCCIóN

La mayoría de los traumatismos faciales se presentan en combinación en diferentes huesos o regiones del complejo maxilofacial. Una herida panfacial es un trauma craneofacial que involucra trazos de fractura simultáneos en los tres tercios faciales; sin embargo, esta definición de fractura panfacial no es utilizada consistentemente en trabajos de investigación, ya que algunos autores incluyen dentro de éstas a pacientes que presenten heridas severas en dos de los tres tercios faciales, por lo cual se dificulta tener un concepto adecuado en lo que respecta a una fractura panfacial. La severidad de estas heridas depende de múltiples factores como la etiología del traumatismo, la fuerza del impacto, factores preexistentes del paciente, etcétera; los accidentes automovilísticos y traumas por agresión física son las causas más comunes de este tipo de fracturas.1

La incidencia de las fracturas panfaciales se encuentra en un rango entre 0.8 y 3% de los traumatismos craneofaciales que llegan a la emergencia, y deben ser abordadas de manera multidisciplinaria, ya que en su mayoría se presentan en pacientes politraumatizados con afección a múltiples sistemas.2 El manejo de este tipo de traumatismo es extremadamente complejo debido a que cada caso se presenta con un patrón de afección único en tejidos duros y blandos; y su tratamiento debe apuntar a evitar secuelas a largo plazo como el aumento del ancho facial, enoftalmos, retrusión facial o maloclusiones.2 El compromiso de la vía aérea, hemorragia severa, heridas abiertas amplias y/o trauma ocular/orbitario severo son las únicas indicaciones para realizar un tratamiento quirúrgico definitivo; no obstante, restaurar la anatomía y función del paciente lo antes posible debe ser el objetivo del cirujano maxilofacial.2

Los hallazgos clínicos en estos pacientes son una combinación de signos y síntomas presentes en traumas aislados de cada tercio facial con una variación en cuanto a la severidad de éstos, entre los cuales se pueden observar signo de mapache, distopia, telecanto traumático y alteraciones oclusales.3

La tomografía computarizada (TC) con reconstrucción volumétrica 3D se ha vuelto el estándar de oro en examen imagenológico para pacientes con trauma en la región facial, ya que presenta información 1:1 del patrón de fractura.4

El tratamiento temprano de las fracturas desplazadas que generen problemas funcionales como dificultad para la deglución, el habla, afección olfatoria o sintomatología ocular debe ser una prioridad. En el caso de fracturas no desplazadas o mínimamente desplazadas se puede diferir el tratamiento de éstas (dentro de los primeros 15 días) si el paciente requiere ser tratado o estabilizado por presentar afecciones severas a nivel sistémico.5

En casos de pacientes politraumatizados con traumatismos a nivel de varios sistemas siempre será una prioridad estabilizar al paciente previo a realizar cualquier tratamiento quirúrgico que no sea de vida o muerte o que pueda, por su complejidad, poner en riesgo la vida de éste.5

El objetivo de este trabajo es presentar el manejo quirúrgico de un paciente con secuela de fractura panfacial por parte del Servicio de Cirugía y Traumatología Bucal y Maxilofacial del Hospital Universitario de Caracas.



PRESENTACIóN DEL CASO

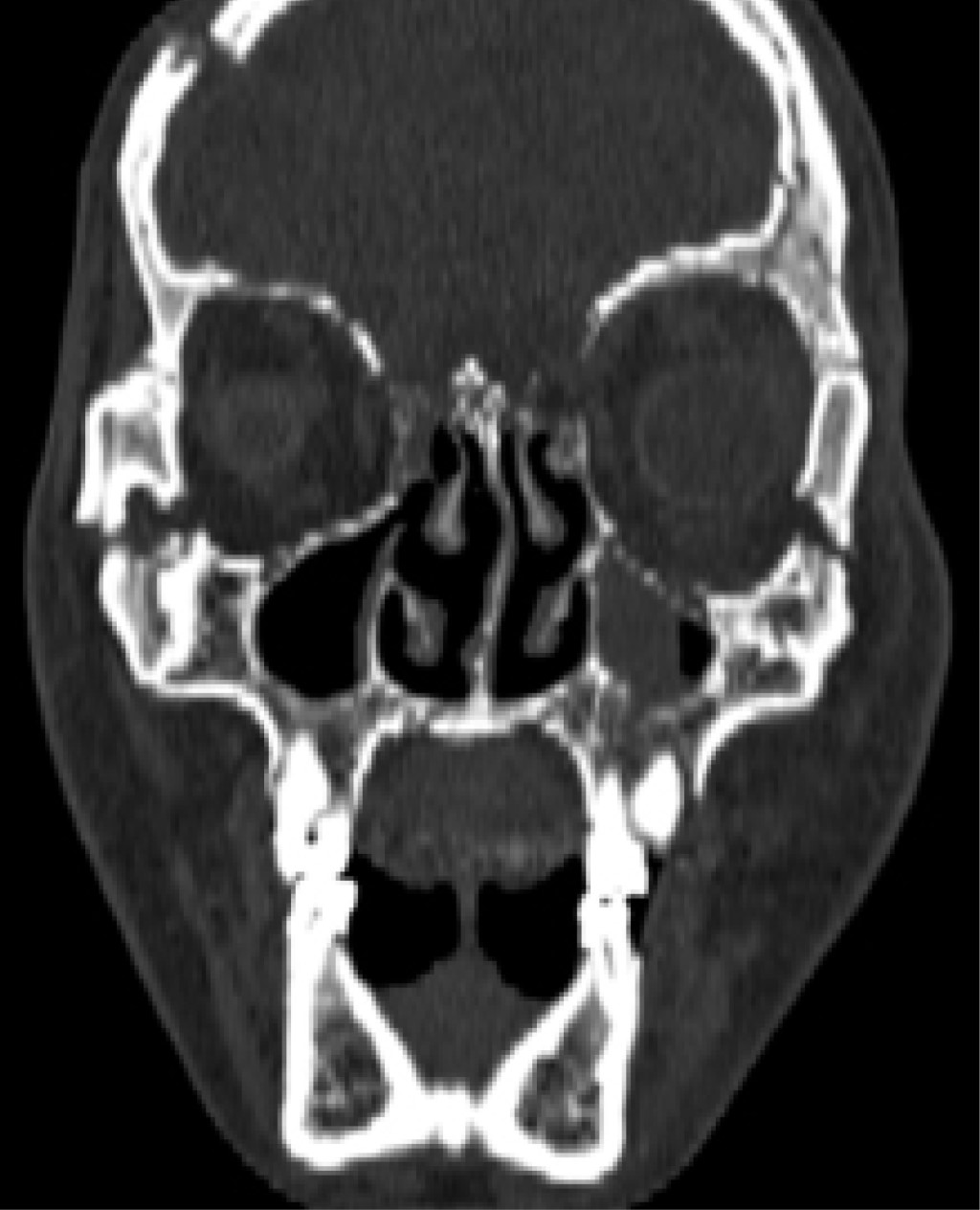
Se trata de paciente masculino de 37 años, sin antecedentes médicos conocidos, quien llega al Servicio de Emergencia del Hospital Universitario de Caracas posterior a sufrir politraumatismo por accidente en vehículo en movimiento tipo moto en calidad de piloto. Es evaluado por el Servicio de Emergencia para control de la vía aérea y columna cervical, respiración, circulación, valoración del estado neurológico y exposición y control ambiental (ABCDE), tomografía computarizada (Figuras 1 y 2) y posteriormente realizan síntesis de tejidos de heridas lacerantes en región facial. Es llevado a mesa operatoria para realizar traqueotomía, drenaje de hematoma epidural y colocación de ivy loops y posteriormente ingresado en la Unidad de Cuidados Intensivos para estabilización y control. Al examen maxilofacial presentó equimosis bipalpebral bilateral, puntos de sutura en región frontal bilateral que discurren a párpado superior izquierdo, puntos de sutura en región infraorbitaria izquierda, región nasogeniana izquierda, heridas dermoabrasivas en región frontal bilateral, dorso y punta de la nariz, región infraorbitaria izquierda, nasogeniana izquierda y región mentoniana; al examen intraoral apertura bucal limitada, edentulismo parcial bimaxilar, hematoma en fondo de vestíbulo superior izquierdo y mucosa yugal izquierda, puntos de sutura en fondo de vestíbulo izquierdo, fijación intermaxilar con ivy loops y movilidad de OD 1.2.

Se realizaron interconsultas con los servicios de Neurocirugía, Otorrinolaringología, Nutrición y Psiquiatría durante la estadía hospitalaria del paciente.

El paciente fue llevado a mesa operatoria dos meses posteriores al momento del traumatismo, ya que estuvo ingresado en la Unidad de Cuidados Intensivos durante 19 días debido a su estado sistémico y neurológico.

Sin embargo, una vez egresado de la unidad debido a la complejidad de sus lesiones y el tiempo transcurrido desde el inicio de la enfermedad actual se determinó que requería una evaluación y planificación quirúrgica más detallada, por lo cual se decidió posponer la cirugía.

En junio de 2023, el paciente acude nuevamente al Servicio de Cirugía y Traumatología Bucal y Maxilofacial del Hospital Universitario de Caracas para reevaluación, en donde se planifica para turno quirúrgico electivo.

La decisión de esperar para realizar el acto quirúrgico permitió realizar una mejor planificación y preparación de éste, lo que se puede traducir en la mayoría de los casos en mejores resultados a largo plazo.



PROCEDIMIENTO

El paciente fue llevado a mesa operatoria bajo anestesia general inhalatoria balanceada. Al momento del acto quirúrgico el paciente presentaba al examen clínico cicatriz eutrófica en temporal izquierda hasta región temporal derecha, asimetría facial por depresión en región frontal y supraorbitaria izquierda, cicatriz hipertrófica en región frontal, signo de Sturla positivo, distopia asociada a globo ocular izquierdo, pupila izquierda midriática arreactiva a reflejos fotomotores y diplopía binocular a la supraducción (Figura 3).

Previo a realizar el procedimiento, se llevó a cabo la asepsia y antisepsia necesaria y se colocó un arropado que permitiera los abordajes planteados. A continuación, se efectuó la infiltración de lidocaína al 2% más epinefrina 1:80,000 en la región frontal, supraorbitaria izquierda, infraorbitaria izquierda y vestibular maxilar izquierda. Después, se hizo una incisión por la cicatriz previa en la región frontal y supraorbitaria izquierda, seguida de una disección roma utilizando una pinza mosquito y una desperiostización con Molt 9 hasta exponer los trazos de fractura de tercio medio y superior facial. De igual manera, se realizó una incisión para el abordaje subciliar izquierdo y se llevó a cabo una desperiostización hasta exponer los trazos de fractura. Seguidamente, se hizo una incisión para el abordaje vestibular maxilar a 5 mm del límite mucogingival de la región premolar a la región incisiva izquierda y desperiostización con Molt 9 hasta exponer el arbotante cigomático maxilar. Se procede a la tracción con un alambre quirúrgico del cuerpo de cigoma izquierdo hasta lograr la reducción anatómica y se colocó material de osteosíntesis sistema 2.0 (Figura 4). Se repite la reducción de los trazos de fractura en el arbotante nasomaxilar y cigomático maxilar utilizando también el material de osteosíntesis sistema 2.0. Posteriormente, se realizó la reducción de los trazos de fractura utilizando material de osteosíntesis con placa hexagonal sistema 1.5 (Figura 5). Se procedió a la infiltración de anestésico tipo lidocaína al 2% con epinefrina 1:80,000 en la región parietal izquierda y se hizo una incisión de espesor total en la cicatriz de abordaje coronal previo. Se llevó a cabo la exposición del sitio donador y una ostectomía monocortical (Figura 6). A continuación, se realizó la colocación de un injerto autólogo en el dorso nasal y se fija utilizando material de osteosíntesis sistema 1.5. Se realizó la síntesis de los tejidos por planos y, finalmente, el paciente salió extubado y ventilando espontáneamente a través del traqueostomo sin presentar complicaciones y fue llevado a la la UCPA (unidad de cuidados post anestésicos).

Se realizó TC postoperatoria control y el paciente fue dado de alta después de 10 días de hospitalización. El paciente se observó en control a los siete días, 15 días, al mes y dos meses posterior a la intervención (Figura 7).



DISCUSIóN

El traumatismo facial, especialmente las fracturas panfaciales, representan un desafío para los cirujanos maxilofaciales debido a su complejidad y las posibles secuelas a largo plazo que pueden presentar los pacientes. En este caso clínico, se presentó un paciente masculino de 37 años que sufrió un politraumatismo por un accidente en moto, resultando en una fractura panfacial.6

Según la bibliografía, la incidencia de fracturas panfaciales en los traumatismos craneofaciales que llegan a emergencias varía entre 0.8 y 3%. Estas fracturas son más comunes en pacientes politraumatizados y pueden estar asociadas con afecciones en otros sistemas del cuerpo. En este caso, el paciente fue ingresado a la Unidad de Cuidados Intensivos durante 19 días debido a su estado sistémico y neurológico.6

El manejo quirúrgico de las fracturas panfaciales es complejo, ya que cada caso presenta un patrón de afección único en tejidos duros y blandos. El objetivo principal del tratamiento es evitar secuelas a largo plazo, como el aumento del ancho facial, enoftalmos, retrusión facial o maloclusiones. En este caso, el paciente presentaba una cicatriz eutrófica en la región temporal izquierda, asimetría facial, depresión en la región frontal y supraorbitaria izquierda, y distopia asociada al globo ocular izquierdo.7,8

La tomografía computarizada (TC) con reconstrucción volumétrica 3D es el examen imagenológico de elección para evaluar el patrón de fractura en pacientes con trauma facial. Proporciona información detallada y precisa sobre las fracturas, lo que permite una mejor planificación quirúrgica. En este caso, se utilizó una TC postoperatoria para evaluar los resultados de la cirugía.9

El tratamiento temprano de las fracturas desplazadas que generan problemas funcionales es una prioridad. Sin embargo, en fracturas no desplazadas o mínimamente desplazadas, se puede diferir el tratamiento dentro de los primeros 15 días si el paciente presenta afecciones sistémicas severas. En este caso, el paciente fue llevado a mesa operatoria dos meses después del traumatismo, lo cual permitió una mejor planificación y preparación de la cirugía.10



CONCLUSIONES

El manejo quirúrgico de pacientes politraumatizados que presentan fracturas panfaciales es complejo y debe abordarse de manera multidisciplinaria. La TC con reconstrucción volumétrica 3D es una herramienta esencial en la evaluación de estas fracturas. El tratamiento temprano de las fracturas desplazadas que generan problemas funcionales es importante, pero en casos de pacientes politraumatizados, la estabilización del paciente previo a la cirugía es una prioridad. En este caso clínico, el paciente fue tratado con éxito por el Servicio de Cirugía y Traumatología Bucal y Maxilofacial del Hospital Universitario de Caracas.


REFERENCIAS (EN ESTE ARTÍCULO)

  1. Singaravelu M, Ramasastry V, Ramasastry GV. Management of panfacial fractures - a comprehensive review. Ann Maxillofac Surg. 2019; 9 (1): 37-47.

  2. Bell RB. Isolated mandibular fractures. N Engl J Med. 2016; 375 (25): 2497-2505.

  3. Marciani RD. Principles of facial injury management in sports. Clin Sports Med. 2004; 23 (4): 589-605.

  4. Al-Moraissi EA, Ellis E. Three-dimensional analysis of simulated bilateral sagittal split ramus osteotomies in panfacial fractures. J Oral Maxillofac Surg. 2016; 74 (9): 1827-1839.

  5. Haq AI, Haq I, Shah S. Management of midface fractures according to the AO/ASIF principles. J Clin Orthop Trauma. 2015; 6 (4): 238-246.

  6. Rodriguez ED, Stanwix MG, Nam AJ, et al. Twenty-six-year experience treating frontal sinus fractures: a novel algorithm based on anatomical fracture pattern and failure of conventional techniques. Plast Reconstr Surg. 2008; 122 (6): 1850-1866.

  7. Kudoh K, Tokumoto M, Nakayama E, et al. Midface fracture detection with multidetector-row computed tomography: 3D volume-rendered image versus axial images. Oral Surg Oral Med Oral Pathol Oral Radiol. 2013; 116 (2): e114-e121.

  8. Zoumalan R, Constantinides M. Soft-tissue management in panfacial fractures. Craniomaxillofac Trauma Reconstr. 2011; 4 (4): 169-176.

  9. Sharma RR, Mahajan A, Singh D. Panfacial fractures: patterns, associations, and management techniques. Natl J Maxillofac Surg. 2012; 3 (1): 4-13.

  10. Manson PN, Markowitz B, Mirvis S, Dunham M. Toward CT-based facial fracture treatment. Plast Reconstr Surg. 1990; 86 (5): 1055-1063.



AFILIACIONES

1 Residente del Postgrado de Cirugía y Traumatología Bucal y Maxilofacial del Hospital Universitario de Caracas.

2 Especialista en Cirugía y Traumatología Bucal y Maxilofacial del Hospital Universitario de Caracas.

3 Especialista en Cirugía y Traumatología Bucal y Maxilofacial del Hospital Ortopédico Infantil de Caracas.



CORRESPONDENCIA

Yoimar Andreina Rivero Cordero. E-mail: andreinarc8@gmail.com




Recibido: 17/01/2024. Aceptado: 20/02/2024

Figura 1
Figura 2
Figura 3
Figura 4
Figura 5
Figura 6
Figura 7

2020     |     www.medigraphic.com

Mi perfil

C?MO CITAR (Vancouver)

Lat Am J Oral Maxillofac Surg. 2024;4

ARTíCULOS SIMILARES

CARGANDO ...