medigraphic.com
ENGLISH

Latin American Journal of Oral and Maxillofacial Surgery

ISSN 2992-7757 (Digital)
Órgano de difusión de la Asociación Latinoamericana de Cirugía y Traumatología Bucomaxilofacial (ALACIBU)
  • Mostrar índice
  • Números disponibles
  • Información
    • Información general        
    • Directorio
  • Publicar
    • Instrucciones para autores        
  • medigraphic.com
    • Inicio
    • Índice de revistas            
    • Registro / Acceso
  • Mi perfil

2024, Número 2

<< Anterior Siguiente >>

Lat Am J Oral Maxillofac Surg 2024; 4 (2)


Reemplazo articular con prótesis customizada posterior a mandibulectomía por ameloblastoma plexiforme. Reporte de caso

Niño, Beryorys1,2; Quevedo, Manuel1,2; Maridueña Tascón, Débora Jazmín1,3; Barrios, Andrés1,3,4; Ollalve, Salvador1,2
Texto completo Cómo citar este artículo 10.35366/116726

DOI

DOI: 10.35366/116726
URL: https://dx.doi.org/10.35366/116726
Artículos similares

Idioma: Español
Referencias bibliográficas: 17
Paginas: 77-81
Archivo PDF: 278.82 Kb.


PALABRAS CLAVE

ameloblastoma, prótesis customizada, reemplazo articular, mandibulectomía.

RESUMEN

Existen varias opciones de reconstrucción para el reemplazo articular, desde las primeras prótesis de la articulación temporomandibular completamente metálicas Vitek-Kent con complicaciones por reacciones por desprendimiento de partículas en la fosa glenoidea, hasta las prótesis customizadas con fosa de polietileno y un componente de titanio para fijar a la eminencia, las cuales mostraron evidente mejoría a la apertura y disminución del dolor postoperatorio. Se reporta el caso clínico de un paciente masculino de 19 años con diagnóstico de ameloblastoma plexiforme en cuerpo, rama, apófisis coronoides y cóndilo mandibular de predomino izquierdo. El ameloblastoma es una neoplasia odontogénica benigna, localmente invasiva y altamente recidivante de crecimiento lento que rara vez causa metástasis, con predilección en el sector posterior mandibular por lo cual el tratamiento óptimo deberá ser radical con una adecuada planificación de reconstrucción. El tratamiento realizado en este caso fue la resección con márgenes de seguridad y la posterior colocación de una placa de reconstrucción customizada del sistema 2.4 con proceso condilar de aleación de titanio, cromo y cobalto además del componente articular de Tecapeek con grafeno obteniendo resultados satisfactorios, demostrando que la planificación y reconstrucción ajustada a las necesidades del paciente dan resultados tanto estéticos como funcionalmente adecuados.



INTRODUCCIóN

La Organización Mundial de la Salud define al ameloblastoma como una neoplasia benigna polimórfica localmente invasiva que comúnmente tiene un patrón folicular o plexiforme, constituida por una proliferación de epitelio odontogénico con estroma fibroso maduro sin ectomesénquima odontogénico.1 Representa entre 11 y 13% de todos los tumores odontogénicos.2,3

El ameloblastoma se diagnostica alrededor de la cuarta y quinta década de vida, con la excepción de la variante uniquística que aparece en jóvenes entre la segunda y tercera década, no posee predilección por sexo, ni raza.2,4

En 80% de los casos aparece en la mandíbula, con predilección de la región molar y rama mandibular;2,5,6 20% corresponde al maxilar, siendo el área molar la más afectada.1,3

El origen del ameloblastoma puede estar relacionado con alteraciones genéticas del órgano del esmalte, la mutación del gen BRAF se ha identificado en 72% en la mandíbula y 20% en el maxilar por la proliferación de los restos de Malassez o de Serres, la superficie epitelial de la cavidad bucal y el epitelio de los quistes odontogénicos.7 Es posible que la existencia de dientes incluidos sea un factor etiopatogénico reflejado en la predilección de los ameloblastoma en el ángulo mandibular.2,3,4,8,9

Los ameloblastomas se clasifican de acuerdo a la OMS en su quinta edición en: ameloblastoma convencional, uniquístico, extraóseo o periférico, ameloblastoma metastásico y el ameloblastoma adenoide añadido recientemente.10

Histológicamente se clasifican en folicular, desmoplásico, plexiforme, acantomatoso, granular y de células basales, el más común es el de tipo folicular.1,2,3,11,12,13

Clínicamente suele ser asintomático en etapas tempranas de su desarrollo, se pueden descubrir por exámenes radiográficos de rutina o por expansión asintomática de las corticales óseas. Ocasionalmente el movimiento dentario o la maloclusión son los signos iniciales, incluso la parestesia.1,11 En fases avanzadas la sintomatología más común es la tumefacción, seguida del dolor y/o deformidad facial, donde la lesión erosiona el hueso, además puede producirse ulceración de la mucosa de revestimiento o la infección de la misma. Las lesiones de gran tamaño pueden producir alteraciones en la función masticatoria y fonética.1,3,11

Se consideran métodos conservadores el curetaje y la enucleación y métodos radicales la hemisección, la hemimaxilectomía y la hemimandibulectomía. Se realizará una escisión amplia tomando 2 cm de hueso circundante como margen de seguridad. Una escisión completa es curativa, pero la enucleación es precedida por recidivas.1,3,8,9,14,15



CASO CLíNICO

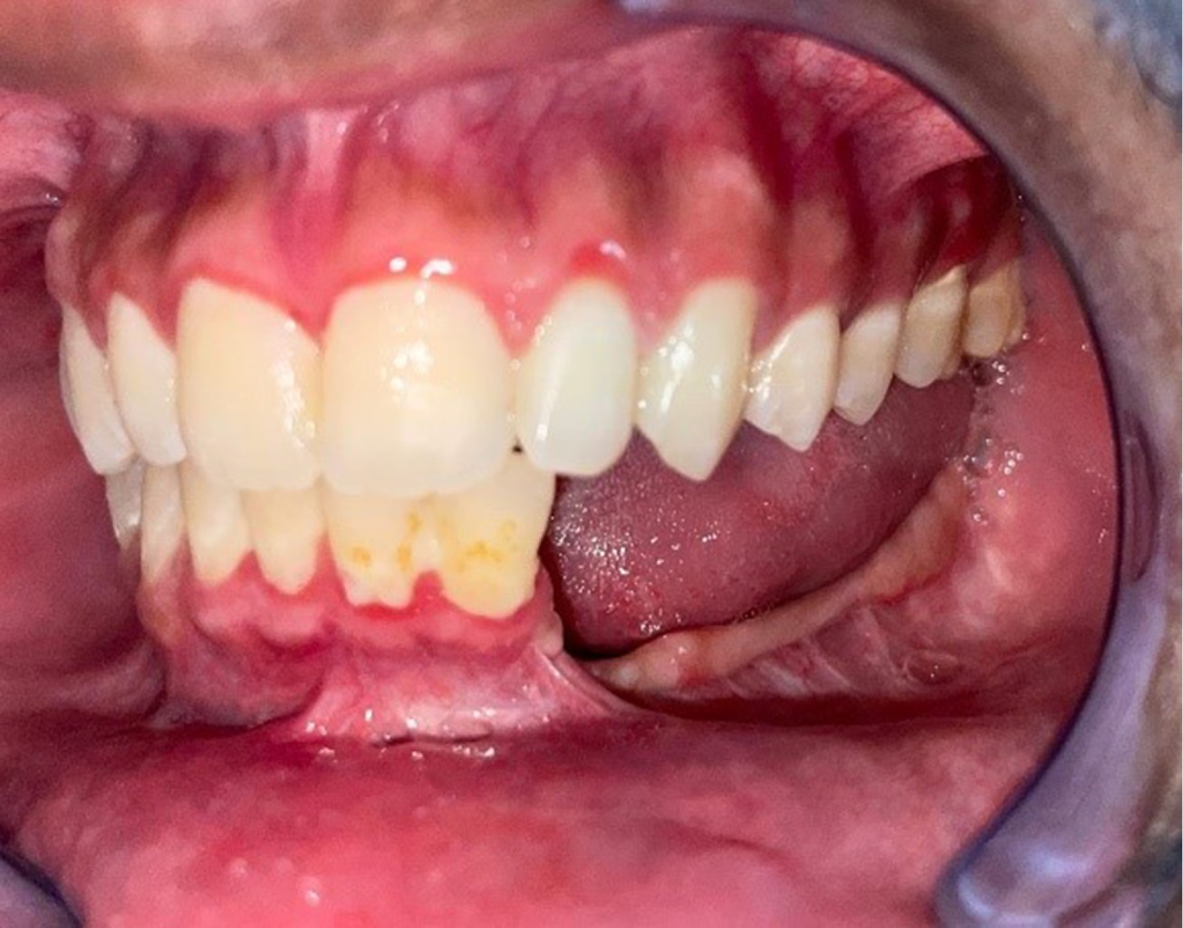
Paciente masculino de 19 años de edad, sin antecedentes patológicos relevantes. Natural y procedente de Yaracal Edo. Falcon, Venezuela. Inicio de enfermedad en junio de 2017. Presenta aumento de volumen progresivo en cuerpo mandibular izquierdo, con resultado de estudio histopatológico previo (2018) de ameloblastoma plexiforme mandibular, motivo por el cual acudió a nuestro servicio para valoración y conducta donde se decidió preparar para acto operatorio en octubre de 2022 (Figuras 1 y 2).

La cirugía fue planificada digitalmente utilizando modelos estereolitográficos con los cuales comprobamos la adaptación de la prótesis customizada, medidas, resección mandibular, cantidad y posicionamiento del material de osteosíntesis (Figura 3). Bajo anestesia general, con intubación nasotraqueal, se realizó hemimandibulectomía total con márgenes de seguridad, desde el cuerpo mandibular a nivel de unidad dentaria 33 hasta el proceso coronoides y el cóndilo mandibular, mediante abordajes preauricular, Risdon y vestíbulo mandibular con extensión a cóndilo izquierdo (Figura 4).

La osteotomía se realizó con fresas quirúrgicas, cinceles y martillo, posterior a la osteotomía se colocó en el lecho quirúrgico solución de Carnoy, además de la aplicación de gentamicina en polvo. Se realizó fijación interna con placa de reconstrucción personalizada del sistema 2.4 confeccionada de titanio y cromo cobalto con cuatro tornillos de 11 mm con prótesis condilar, mientras se colocó el componente articular en fosa glenoidea confeccionada de Tecapeek con grafeno fijado con cuatro tornillos del sistema 2.0 (Figura 5).

Se comprobó la adaptación mediante movimientos de apertura y cierre, posterior al cierre de tejido blando por planos, fue llevado a la unidad de cuidados intermedios con sonda nasogástrica, la cual fue retirada a los 21 días con una dieta nutricional y evaluación cada 48 horas evidenciando una adecuada cicatrización y apertura bucal progresiva, ligera laterodesviación hacia la derecha que fue corregida con tornillos IMF y ligas intermaxilares, se logró conseguir una adecuada simetría y función con 35 mm de apertura bucal (Figuras 6, 7 y 8).

Se recibió resultado de estudio histopatológico: ameloblastoma plexiforme mandibular izquierdo con borde quirúrgico y 3 cm de borde libre de lesión.



DISCUSIóN

El tratamiento para el ameloblastoma está relacionado con la recidiva. De acuerdo a una revisión de 82 resecciones por ameloblastomas, se mostró que la lesión se extendía entre 2-8 mm, en promedio, 4.5 mm histológicamente más allá del límite que se muestra en la radiografía, un margen de 1-1.5cm provee un margen de tejido libre patológico sin recurrencias en un periodo de cinco años.16

La tasa de recurrencia de 50 a 90% ha sido reportada en varios estudios después del curetaje, la recurrencia usualmente toma muchos años en manifestarse clínicamente, sin embargo, cinco años del "periodo libre de la lesión" no indica la cura.4,12 El tumor puede recidivar incluso en el injerto utilizado para la reconstrucción.8

La reconstrucción de la mandíbula es preferible con injerto óseo autólogo de la cresta iliaca y en menos casos de la costilla; se utilizarán colgajos microvascularizados que permitirán la inclusión de implantes osteointegrados. En el maxilar se recomienda reconstrucción mediante un colgajo miofascial temporal.8

Se describen algunas opciones de reconstrucción, Christensen en 1965 diseño la primera prótesis total de ATM completamente metálica, se colocaron prótesis conocidas como Vitek-Kent, con complicaciones de reacciones a los cuerpos extraños por el desprendimiento de las partículas en la fosa glenoidea, acompañada de destrucción de los tejidos blandos y duros y dolor incluso con el retiro de la misma, la Food and Drug Administration (FDA, por sus siglas en inglés) desaprobó el uso de los reemplazos alopáticos de ATM.16 Sin embargo, con los avances se implementaron las prótesis de Biomet-Lorenz que combinan una fosa de material de polietileno de ultra alto peso molecular, lo que aumenta su grosor, descendiendo la rotación con ganancia de la apertura de 15 a 18% y el componente condilar de Co-Cr-Mo, en la porción mandibular con contacto con el tejido óseo que se recubre con un spray de plasma de titanio para facilitar la osteointegración.16

Wolford y colaboradores desarrollaron una prótesis customizada con una fosa de polietileno y un componente de titanio para fijarla a la eminencia, además del uso de grasa autóloga sobre la prótesis, con mejoría en la apertura bucal, disminución del dolor postoperatorio y del crecimiento óseo heterópico. En 2003 realizaron estudios comparativos entre las prótesis de stock (Christensen) y las personalizadas, mostrando mejores resultados significativos en la calidad de vida subjetiva del paciente y la funcionalidad mandibular las prótesis personalizadas.17

El resultado de una laterodesviación fue atribuido a un fenómeno, descrito por Sabine y colaboradores, en el cual el cóndilo presenta limitada o nula traslación, con la posible formación de tejido cicatrizal alrededor de la prótesis y con la pérdida del músculo pterigoideo lateral.16

En este artículo se describe el caso clínico de una resección quirúrgica mandibular izquierda, con adaptación de una prótesis customizada del sistema 2.4, con proceso condilar además del componente articular cuyo resultado fue satisfactorio, demostrando que la adecuada planificación y una reconstrucción ajustada a las necesidades del paciente conlleva a resultados correctos tanto estética como funcionalmente.


REFERENCIAS (EN ESTE ARTÍCULO)

  1. Díaz DD, Sarracent VY, Guerra CO, Martínez GN. Ameloblastoma. Revisión de la literatura. Revista Habanera de Ciencias Médicas. 2014;13(6):862-872.

  2. Carini F, Riazzoli G, Vignoletti F, Baldoni M. Ameloblastoma plexiforme del maxilar: manejo quirúrgico y protético. A propósito de un caso. Av Odontoestomatol. 2007; 23 (1): 11-20.

  3. Navarro DM. Ameloblastoma. Revisión de la literatura. Rev Cuba Estomatol. 2009; 46 (39: 48-61.

  4. Regezi JA. Oral Pathology. Clinical Pathology Correlations. St. Louis, Missouri USA: Elsevier Science; 2003.

  5. Di Cosola M, Turco M, Bizzoca G, Tavoulari K, Capodiferro S, Escudero-Castaño N, et al. El ameloblastoma del hueso maxilar y mandibular: un estudio clínico basado en nuestra experiencia. Av Odontoestomatol. 2007; 23(6): 359-373.

  6. Raspall G. Tumores de Cara, Boca, Cabeza y Cuello. Barcelona: Masson; 2000.

  7. EI-Naggar AK, Chan JKC, Grandis JR, Takata T, Slootweg PJ. WHO Classification of Head and Neck Tumours (4th Edition). Lyon, France: IARC Press; 2017.

  8. Donado M. Cirugía Oral. Patología y Técnica. Barcelona: Masson; 1998.

  9. Sapp JP. Patología Oral y Maxilofacial Contemporánea. Madrid, España: Elsevier; 2004.

  10. Soluk-Tekkesin M, Wright JM. The World Health Organization Classification of odontogenic lesions: a summary of the changes of the 2022 (5th) edition. Turk Patoloji Derg. 2022; 38 (2): 168-184.

  11. Valecillos-Fuenmayor MV, Guillen-Rivera GJ, Ortega-Pertuz AI, Pérez L. Ameloblastoma uniquístico intramural en maxilar superior. Reporte de un caso. Odontol Sanmarquina. 2018; 21 (4): 322.

  12. Neville WB. Oral and Maxillofacial Pathology. Philadelphia, USA: W.B. Saunders Company; 2002.

  13. Roberto-Elias R, Ferreira-Elias C, Elias R. Ameloblastoma uniquístico en el maxilar superior - reporte de caso clínico. Acta Odont Venez. 2013; 51 (4): 1-7.

  14. Odell EW. Cawson's Essentials of Oral Pathology and Oral Medicine E-Book. España: Elsevier Science Limited; 2017.

  15. Navarro-Villa C. Cirugía Oral. Madrid: S.A. Aran Ediciones; 2008.

  16. Gatti PC, Florencia D, Ruiz D, Giannunzio G. Reconstrucción con prótesis customizada de articulación temporomandibular tras resección de ameloblastoma. Lat Am J Oral Maxillofac Surg. 2021; 1 (1): 35-39. doi: 10.35366/101916.

  17. Philip James, Rodriguez J. Nuevos avances en las protesis ATM customizadas: nuestra experiencia en el Hospital La Princesa. Rev Esp Cirug Oral y Maxilofac. 2019; 41 (4): 167-171.



AFILIACIONES

1 Hospital "Dr. Adolfo Prince Lara". Puerto Cabello, Venezuela.

2 Cirujano Bucal y Maxilofacial.

3 Residente de Cirugía Bucal y Maxilofacial.

4 Servicio de Cirugía Bucal y Maxilofacial.



Conflicto de intereses: no tengo conflicto de intereses, reales o percibidos, directos o indirectos, relacionados con este reporte de caso.



CORRESPONDENCIA

Débora Jazmín Maridueña Tascón. Correo electrónico: deboramariduena@gmail.com




Recibido: 24/04/2024. Aceptado: 01/06/2024

Figura 1
Figura 2
Figura 3
Figura 4
Figura 5
Figura 6
Figura 7
Figura 8

2020     |     www.medigraphic.com

Mi perfil

C?MO CITAR (Vancouver)

Lat Am J Oral Maxillofac Surg. 2024;4

ARTíCULOS SIMILARES

CARGANDO ...