2024, Número 3
''Signo de la flecha'' como indicador de evolución y seguimiento de la fístula de líquido cefalorraquídeo posterior a discectomía cervical vía anterior
Idioma: Español
Referencias bibliográficas: 13
Paginas: 164-169
Archivo PDF: 359.77 Kb.
RESUMEN
Introducción: la discectomía cervical vía anterior es uno de los procedimientos más comunes realizados por los cirujanos de columna, el estándar de oro en este tratamiento es la discectomía cervical vía anterior. Dentro de las complicaciones derivadas de la discectomía se encuentra la fístula de líquido cefalorraquídeo (LCR). Material y métodos: se trata de un estudio observacional que recopila casos de fístulas de LCR presentadas en los últimos 12 años donde se observó en los mismos la presencia de un signo que resultó muy constante en la presentación y evolución clínica de la fístula de LCR. Resultados: a los tres pacientes se les realizó resonancia magnética de columna cervical simple. En los tres pacientes se presentó una hiperintensidad con forma de flecha. Conclusiones: el signo de la flecha puede ser un indicador muy fiable para el diagnóstico y seguimiento de las fístulas de LCR originadas en la discectomía de la columna cervical realizada vía anterior. La misma se visualiza mejor en la secuencia T2 en el corte sagital de una resonancia magnética simple de columna cervical. Su identificación puede ayudarnos a tomar decisiones sobre esta pequeña gran complicación.INTRODUCCIóN
La discectomía cervical vía anterior es uno de los procedimientos más comunes realizados por los cirujanos de columna.1,2 La columna cervical y sus discos son de los elementos espinales más susceptibles a sufrir daños que eventualmente terminarán en cirugía. El exceso de flexión, la mala higiene de columna, así como las posturas adoptadas al utilizar frecuentemente teléfonos celulares y computadoras portátiles, han originado que los discos intervertebrales de la columna cervical sufran cada vez mayor degeneración a edades más tempranas.
Por ello, el estándar de oro en este tratamiento es la discectomía cervical vía anterior acompañada de artrodesis con caja y placa o con prótesis de disco cervical.1-3 Esta cirugía conjuntamente con la cirugía de la columna lumbar son las principales que un cirujano de columna realizará a lo largo de su vida.
La discectomía cervical anterior puede tener una serie de complicaciones2 ya sea 1) por el abordaje; 2) por la discectomía; 3) por la artrodesis; y 4) por el daño a los segmentos adyacentes.
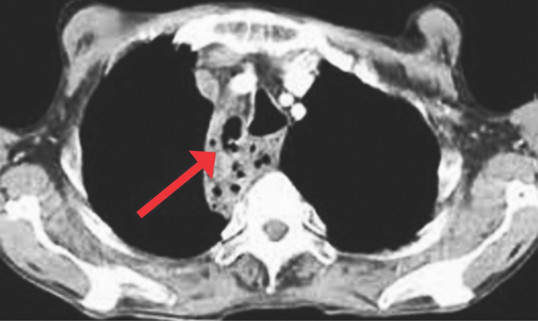
Dentro de las complicaciones derivadas de la discectomía se encuentra la fístula2 de líquido cefalorraquídeo, que si bien no es la más común,1-6 suele presentarse, y si es inadvertida puede derivar en complicaciones catastróficas o incluso fatales tal como la infección de tejidos blandos (Figura 1) y mediastinitis (Figura 2); todo esto debido a que, por la profundidad a la que se encuentra la columna respecto a la herida quirúrgica, es muy probable que no haya fuga de líquido tras la piel tal como sucede en las fístulas que se presentan en columna torácica, lumbar o cervical posterior. Esta condición anatómica originaría que pase totalmente inadvertida y el líquido cefalorraquídeo pueda permear sin obstáculos hacia las estructuras anatómicas anteroinferiores, y en este caso sería el mediastino anterior el receptor de este líquido.
Si este líquido cefalorraquídeo resulta infectado, originaría una infección de grandes dimensiones que puede ser catastrófica para el paciente.
Por ello, es importante saber identificar la fístula de líquido cefalorraquídeo lo antes posible; sin embargo, no existe en la literatura una guía para determinar su detección, seguimiento y tratamiento.7-13
MATERIAL Y MéTODOS
Se trata de un estudio observacional, tipo serie de casos, donde se analizan casos de fístula de LCR presentados en los últimos 12 años donde se observó la presencia de un signo que resultó muy constante en la presentación y evolución clínica de la fístula de líquido cefalorraquídeo (LCR).
RESULTADOS
Se presenta una serie de casos que presentaron fístulas de LCR en el servicio de neurocirugía y que se ha dado seguimiento con un signo radiológico fácil de conseguir y muy fiable que sirve como indicador para determinar la presencia, actividad y resolución de la fístula de LCR.
Resumen de la evolución de tres casos clínicos (Tabla 1).
En los tres pacientes hubo datos clínicos o transquirúrgicos que hicieron sospechar de la presencia de fístula, en dos de ellos hubo detección transoperatoria de que había habido salida de LCR por un defecto dural al realizar la discectomía.
En el tercer paciente, no hubo datos en el transoperatorio, pero presentó sintomatología sugestiva (cefalea posicional, náusea, dolor), lo que hizo sospechar de fístula de LCR.
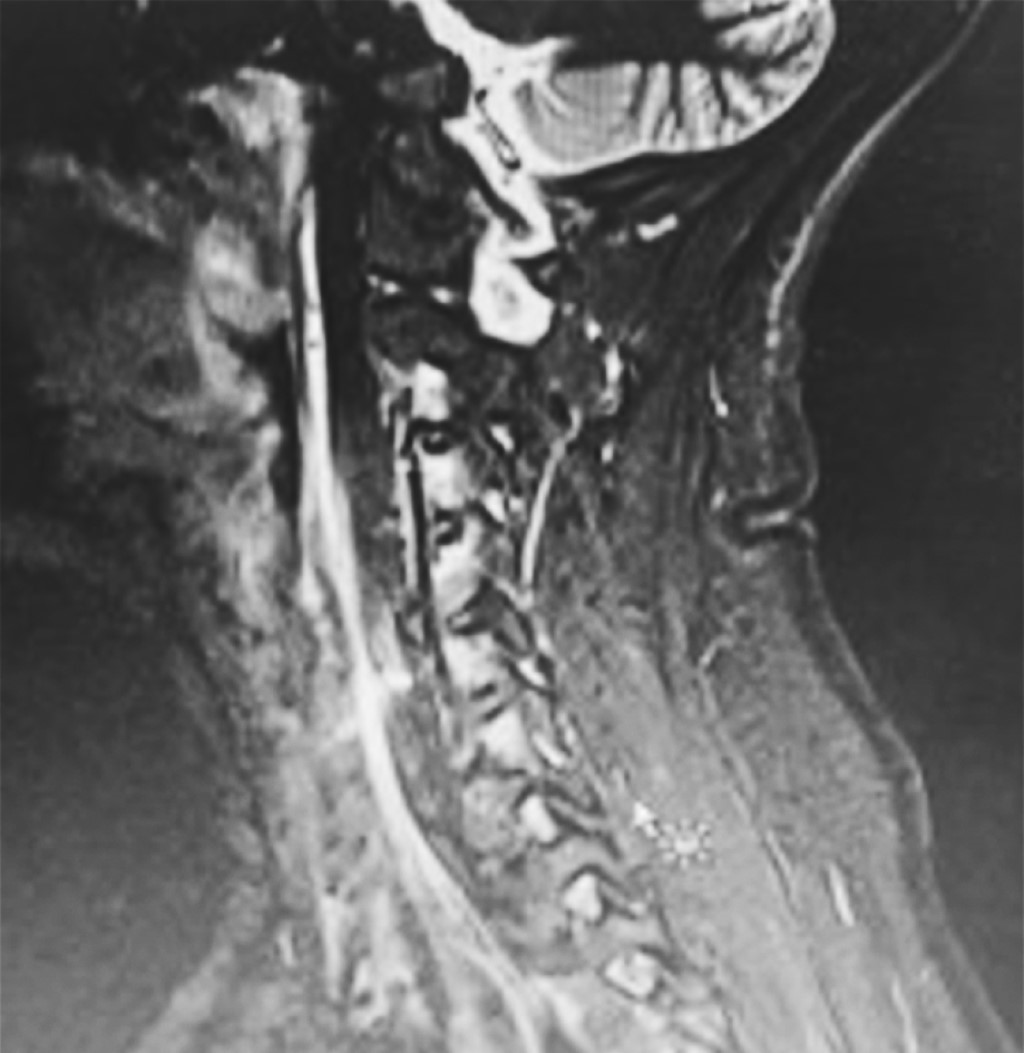
A tres pacientes se les realizó resonancia magnética de columna cervical simple (Figuras 3, 4 y 5), los días de realización variaron debido a que dos de ellos se encontraban en institución pública y la accesibilidad a la resonancia magnética no pudo ser inmediata. En los tres se presentó una hiperintensidad con forma de flecha, la cual se localizaba en el espacio prevertebral y que llegaba hasta C1-C2 (Figuras 3, 4 y 5). La hiperintensidad era isointensa respecto al líquido cefalorraquídeo que se observaba en el conducto raquídeo. En uno de los casos se pudo documentar un trayecto fistuloso, pero no fue constante en ninguno.
En los tres casos se obtuvo una segunda resonancia de seguimiento, la cual aproximadamente fue una semana después de la primera, y documentó la disminución notable del tamaño de la hiperintensidad prevertebral (Figuras 3, 4 y 5).
En sólo uno de los casos con fístula advertida hubo necesidad de reintervenir a la paciente retirando el sistema de osteosíntesis, sellando y suturando de nuevo el defecto dural y recolocando el material de osteosíntesis (Figura 3).
En todos hubo una condición que consideramos predisponente para que se presentara la ruptura de la duramadre y ésta fue que tenían una compresión severa del saco dural por la extrusión discal.
Como se puede observar en las imágenes previas, en la secuencia T2 en un corte sagital puede observarse una hiperintensidad en el espacio intervertebral que nos indica que en ese sitio se encuentra impregnado de líquido cefalorraquídeo, ya que la hiperintensidad es igual a la observada en el conducto raquídeo.
Es muy importante señalar que para lograr esta visualización y seguimiento, se debe indicar que permanezca en decúbito supino la mayor parte del tiempo, pues de lo contrario el líquido puede migrar al espacio mediastinal y esto podría generar un falso negativo.
La segunda resonancia de seguimiento se realizó aproximadamente una semana después de la resonancia de diagnóstico y ésta nos permitió evaluar tanto con la atenuación en la intensidad, como en la disminución del tamaño, que no había fistula activa y que el paciente se encontraba en proceso de resolución de la fístula.
DISCUSIóN
Como se puede observar en las imágenes previas, en la secuencia T2 en un corte sagital puede observarse una hiperintensidad en el espacio prevertebral que nos indica que en ese sitio se encuentra impregnado de líquido cefalorraquídeo, ya que la hiperintensidad es igual a la observada en el conducto raquídeo.
Es de relevancia señalar que para lograr esta visualización y seguimiento debe indicársele al paciente que permanezca en decúbito supino la mayor parte del tiempo, pues de lo contrario el LCR puede migrar al espacio mediastinal y esto podría generar un falso negativo por simple efecto de gravedad.
La segunda resonancia de seguimiento se realizó aproximadamente una semana después de la resonancia de diagnóstico, y ésta nos permitió evaluar tanto la disminución del volumen de la intensidad, como la atenuación de la hiperintensidad, que la fistula ya no se encontraba activa y que el paciente se encontraba en proceso de resolución de la complicación.
Es muy importante señalar que no está dentro del protocolo quirúrgico el realizar un "lavado" posterior al procedimiento quirúrgico, el realizarlo posiblemente pudiera generar un sesgo en este estudio de seguimiento. No se cuenta con evidencia sobre los cambios en la intensidad respecto al LCR de la solución salina.
En el primer caso se observa que el líquido se encontraba hacia arriba y hacia abajo del sitio operado y el grosor de la hiperintensidad prevertebral era sumamente grande y que había discreta migración hacia el mediastino, lo que orilló a tomar la decisión de reintervenir a la paciente inmediatamente para cierre de fístula. Esto podría considerarse un signo de fístula de alto gasto, sin embargo, no se cuenta con suficiente evidencia como para sustentarlo, haría falta más evidencia para poderlo determinar.
CONCLUSIóN
El signo de la flecha puede ser un indicador muy fiable para el diagnóstico y seguimiento de las fístulas de LCR originadas en la discectomía de la columna cervical realizada vía anterior (Figuras 6 y 7). La misma se visualiza mejor en la secuencia T2 en el corte sagital de una resonancia magnética simple de columna cervical. Su identificación puede ayudarnos a tomar decisiones sobre esta pequeña gran complicación.
REFERENCIAS (EN ESTE ARTÍCULO)
AFILIACIONES
1 Neurocirujano. Centro Médico Nacional de Occidente. Instituto Mexicano del Seguro Social. ORCID: 0009-0009-2588-1514
Conflicto de intereses: el autor manifiesta que no existe ningún conflicto de intereses.
CORRESPONDENCIA
José Ernesto García-Valerio. E-mail: egarciav20@hotmail.comRecibido: 10 de Julio de 2024. Aceptado: 15 de Julio de 2024.
