medigraphic.com
ENGLISH

Revista del Centro Dermatológico Pascua

ISSN 1405-1710 (Impreso)
  • Mostrar índice
  • Números disponibles
  • Información
    • Información general        
    • Directorio
  • Publicar
    • Instrucciones para autores        
  • medigraphic.com
    • Inicio
    • Índice de revistas            
    • Registro / Acceso
  • Mi perfil

2023, Número 3

<< Anterior Siguiente >>

Rev Cent Dermatol Pascua 2023; 32 (3)


Neoformación dolorosa en pabellón auricular izquierdo

Trejo-Acuña, Juan Ramón1; González-González, Maribet2; de la Vega-de la Peña, Mariana3
Texto completo Cómo citar este artículo 10.35366/117102

DOI

DOI: 10.35366/117102
URL: https://dx.doi.org/10.35366/117102

Idioma: Español
Referencias bibliográficas: 11
Paginas: 110-113
Archivo PDF: 361.45 Kb.


PALABRAS CLAVE

Sin palabras Clave





CASO CLÍNICO

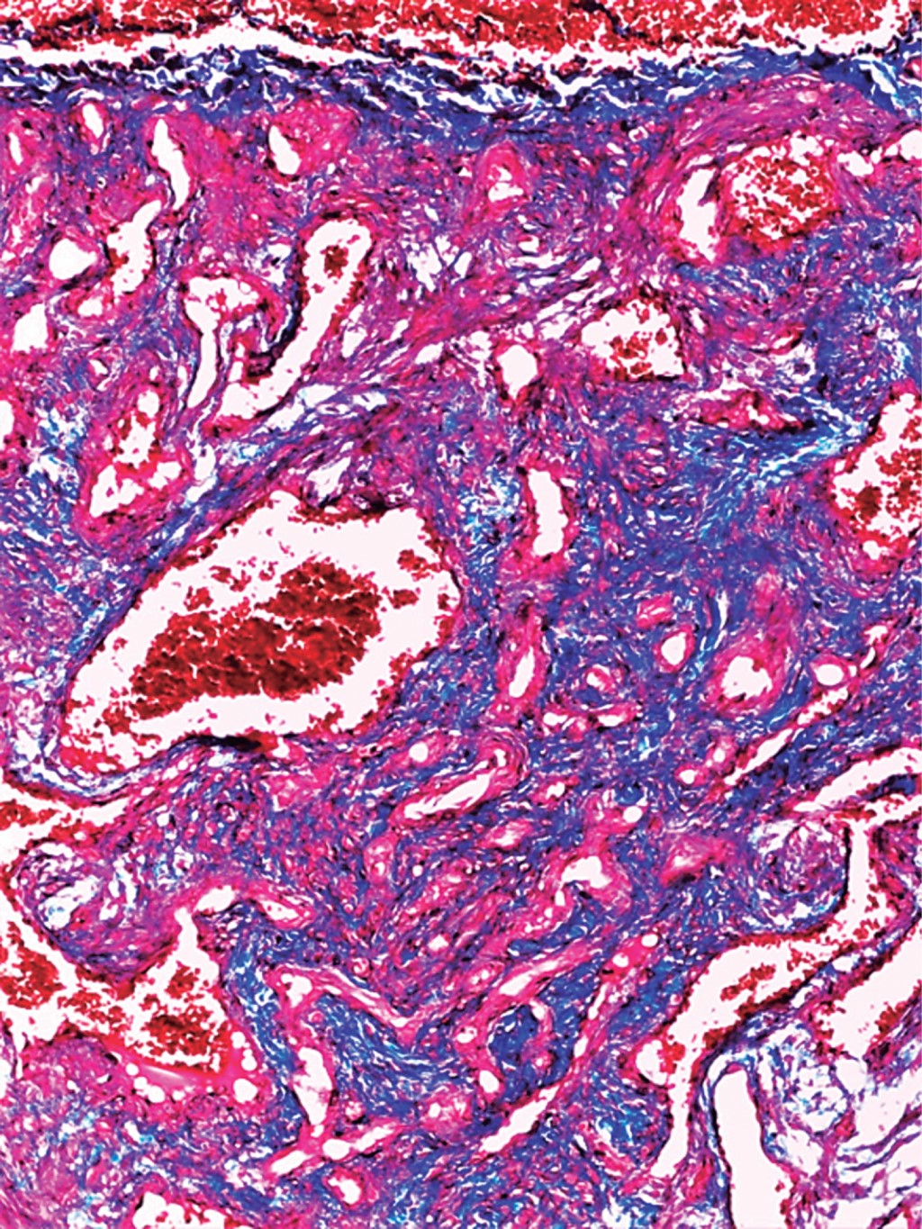
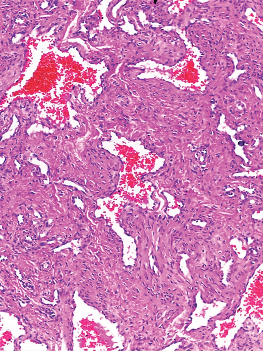
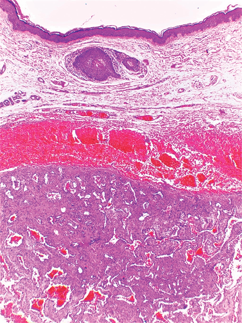
Se trata de un hombre de 69 años de edad, sin antecedentes de relevancia para el motivo de consulta, quien acude por presentar dermatosis localizada en cabeza, de la que afectaba pabellón auricular izquierdo a nivel de cara posterior del hélix, constituida por neoformación de 0.7 × 0.7 cm, hemiesférica, color azul-grisáceo, de superficie lisa, consistencia firme, bordes regulares, bien definidos; de dos años de evolución y sin síntomas asociados (Figura 1). A la dermatoscopía se observaron áreas azules sin estructura, con algunas zonas amarillentas y vasos lineales en la periferia (Figura 2). En el estudio histopatológico se observó epidermis con escasa capa córnea y tapones córneos. En la dermis superficial se observaron vasos dilatados rodeados por discretos infiltrados linfocitarios y zonas de edema entre las fibras de colágeno. En la dermis media y profunda se advierte la presencia de una neoformación circunscrita constituida por vasos dilatados y congestionados que se entremezclan con numerosas células fusiformes dispuestas en haces y que siguen diversos trayectos. La tinción tricrómica de Masson resultó positiva (Figuras 3, 4 y 5).

Con los datos anteriores proporcionados, ¿Cuál es su diagnóstico?



DIAGNÓSTICO: ANGIOLEIOMIOMA VENOSO



INTRODUCCIÓN

Los angioleiomiomas son tumores benignos que se originan de la capa muscular de la pared de los vasos sanguíneos.1 Según la clasificación de tumores de tejidos blandos propuesta por la Organización Mundial de la Salud en 2020, pertenecen al grupo de los tumores pericíticos o perivasculares, junto con el miopericitoma, miofibroma y el tumor glómico.2 Este grupo de tumores representan un espectro de neoplasias perivasculares con fenotipo contráctil variable. A diferencia del tumor glómico, en el que existe la contraparte maligna, en general, en este tumor el curso clínico es benigno y su transformación maligna es excepcional.2 Su etiología es desconocida, aunque se ha sugerido que el trauma menor, pero recurrente, la influencia hormonal y la infección por virus de Epstein-Barr pueden influir en su desarrollo.3

El angioleiomioma afecta principalmente a adultos entre los 30 y los 60 años, aunque se han publicado casos en todas las edades, incluyendo al menos un caso de angioleiomioma congénito.4 Las mujeres son afectadas con más frecuencia que los hombres, en proporción 1.7:1.5 Su frecuencia es difícil de calcular, debido a que es posible que las lesiones asintomáticas no sean extirpadas, ni enviadas a estudio histopatológico.

Clínicamente se manifiestan como neoformaciones solitarias de aspecto nodular, de crecimiento progresivo, menores de 2 cm de diámetro, ubicadas en las extremidades inferiores; la afección de cabeza, cuello y regiones acrales es poco frecuente.5 Por sus características clínicas inespecíficas, su diagnóstico diferencial es amplio, incluyendo lipomas, fibromas, hemangiomas, schwannomas, tumores glómicos y tumores de a nexos. Adicionalmente, tumores malignos como el sarcoma sinovial pueden formar parte del diagnóstico diferencial. Sin embargo, alrededor de 58% de los angioleiomiomas son dolorosos y esto puede orientar a su diagnóstico.6

El abordaje diagnóstico puede incluir solicitar técnicas de imagen como el ultrasonido, que suele mostrar una masa ecogénica, homogénea, de bordes bien definidos y vascularizada.5,7 No obstante, estos hallazgos son inespecíficos y no permiten establecer el diagnóstico de forma certera, por lo que son necesarios la extirpación quirúrgica y el estudio histopatológico. Los hallazgos habituales con esta herramienta muestran una neoformación redonda, bien circunscrita, encapsulada, con haces de células musculares lisas entrelazadas y uniformes, distribuidas alrededor de vasos pequeños con paredes de calibre variable. Con frecuencia presentan degeneración mixoide, trombosis y calcificación distrófica.8 Con base en la morfología vascular, los angioleiomiomas pueden clasificarse en tres subtipos histopatológicos: sólido, venoso y cavernoso.9 En el venoso se observan vasos sanguíneos gruesos revestidos de músculo y haces de músculo liso intervascular.10 El sólido corresponde a 66% de los casos de angioleiomioma, seguido del venoso con 23% y el cavernoso con 11%.6

En cuanto al tratamiento, no existen guías que indiquen un determinado manejo y seguimiento. Con todo, la extirpación quirúrgica se considera efectiva. Su pronóstico es favorable y se recomienda seguimiento anual en búsqueda de recidiva.11



COMENTARIO

El angioleiomioma venoso tiene su origen en las células de la capa muscular de los vasos sanguíneos. Su prevalencia se desconoce, pero parece ser infrecuente. El objetivo de comunicar este caso de angioleiomioma venoso en una topografía atípica, es hacer énfasis en su morfología inespecífica, que puede confundirse con otras patologías y retrasar su tratamiento. Por otro lado, es importante destacar la importancia del estudio histopatológico de las lesiones extirpadas, lo cual permitirá caracterizar adecuadamente su epidemiología y confirmar la extirpación completa. A pesar de que no se ha descrito transformación maligna, se recomienda seguimiento anual para buscar recidiva.

El diagnóstico histopatológico del caso motivo de esta publicación, fue de angioleiomioma venoso con extirpación completa. El paciente continuará con seguimiento anual.


REFERENCIAS (EN ESTE ARTÍCULO)

  1. Rosell-Díaz ÁM, Nieto-Benito LM, Hernández-Aragüés I, Bergón-Sendín M, Vilas Boas P. Dermpath & Clinic: Cutaneous angioleiomyoma. Eur J Dermatol. 2019; 29: 447-448. doi: 10.1684/ejd.2019.3615.

  2. Sbaraglia M, Bellan E, Dei Tos AP. The 2020 WHO Classification of Soft Tissue Tumours: news and perspectives. Pathologica. 2021; 113: 70-84. doi: 10.32074/1591-951X-213.

  3. Chang JY, Wang S, Hung CC, Tsai TF, Hsiao CH. Multiple Epstein-Barr virus-associated subcutaneous angioleiomyomas in a patient with acquired immunodeficiency syndrome. Br J Dermatol. 2002; 147: 563-567. doi: 10.1046/j.1365-2133.2002.04818.x.

  4. Orozco-Covarrubias L, Carrasco-Daza D, Julian-Gonzalez R, Saez-de-Ocaris M, Duran-McKinster C, Palacios-Lopez C et al. Congenital cutaneous angioleiomyoma. Pediatr Dermatol. 2011; 28: 460-462. doi: 10.1111/j.1525-1470.2010.01290.x.

  5. Hammond MI, Miner AG, Piliang MP. Acral and digital angioleiomyomata: 14-year experience at the Cleveland Clinic and review of the literature. J Cutan Pathol. 2017; 44: 342-345. doi: 10.1111/cup.12890.

  6. Hachisuga T, Hashimoto H, Enjoji M. Angioleiomyoma. A clinicopathologic reappraisal of 562 cases. Cancer. 1984; 54: 126-130. doi: 10.1002/1097-0142(19840701)54:1<126::aid-cncr2820540125>3.0.co;2-f.

  7. González-Lavandeira M, Blanco-Leira JA, Zulueta-Dorado T. Angioleiomioma cutáneo [Cutaneous angioleiomyoma]. Semergen. 2016; 42: 276-277. doi: 10.1016/j.semerg.2015.04.005.

  8. Calonje E, Brenn T, Lazar A, McKee PH. McKee's pathology of the skin: with clinical correlations. 4th ed. Elsevier/Saunders, 2012; p. 1698.

  9. Matsuyama A. Angioleiomyoma. In: World Health Organization Classification of Tumours: Soft Tissue and Bone Tumours. Lyon: IARC Press. 2020; p. 186.

  10. Koga M, Nishio J, Koga T, Koga K, Nakayama S, Yamamoto T. An update on clinicopathological, imaging, and genetic features of angioleiomyoma. Cancer Diagn Progn. 2023; 3: 145-150. doi: 10.21873/cdp.10193.

  11. Yeung CM, Moore L, Lans J, Lozano-Calderón L. Angioleiomyoma of the hand: a case series and review of the literature. Arch Bone Jt Surg. 2020; 8: 373-377. doi: 10.22038/ABJS.2019.14129.



AFILIACIONES

1 Médico adscrito.

2 Dermatopatóloga.

3 Residente del segundo año de Dermatología.
Centro Dermatológico "Dr. Ladislao de la Pascua", SSCDMX.



CORRESPONDENCIA

Dr. Juan Ramón Trejo-Acuña. E-mail: hermesjuanderma@hotmail.com


Figura 1
Figura 2
Figura 3
Figura 4
Figura 5

2020     |     www.medigraphic.com

Mi perfil

C?MO CITAR (Vancouver)

Rev Cent Dermatol Pascua. 2023;32

ARTíCULOS SIMILARES

CARGANDO ...