medigraphic.com
ENGLISH

Revista del Centro Dermatológico Pascua

ISSN 1405-1710 (Impreso)
  • Mostrar índice
  • Números disponibles
  • Información
    • Información general        
    • Directorio
  • Publicar
    • Instrucciones para autores        
  • medigraphic.com
    • Inicio
    • Índice de revistas            
    • Registro / Acceso
  • Mi perfil

2023, Número 3

<< Anterior Siguiente >>

Rev Cent Dermatol Pascua 2023; 32 (3)


Tumor pilar proliferante

Ramos-Garibay, José Alberto1; Trejo-Acuña, Juan Ramón2; De la Torre-García, Mónica Elizabeth3; Ríos-Garza, Zamira3; de la Vega-de la Peña, Mariana4
Texto completo Cómo citar este artículo 10.35366/117101

DOI

DOI: 10.35366/117101
URL: https://dx.doi.org/10.35366/117101
Artículos similares

Idioma: Español
Referencias bibliográficas: 18
Paginas: 105-109
Archivo PDF: 302.74 Kb.


PALABRAS CLAVE

tumor pilar proliferante, vaina radicular externa, quiste triquilemal.

RESUMEN

El tumor pilar proliferante se origina en el istmo de la vaina radicular externa del folículo piloso. Además de una extensa proliferación epitelial, comparte otras características con el quiste pilar, como atipia celular y actividad mitótica variable. Se presenta en 80% de los casos en mujeres adultas. La topografía predominante es la cabeza y de ésta las regiones frontal y parietal de la piel cabelluda. Aparece de novo o se desarrollan a partir de un quiste triquilemal. Es considerado como tumor de comportamiento biológico benigno, aunque puede ser localmente agresivo y en ocasiones, malignizar. Su tratamiento es la extirpación quirúrgica amplia.



INTRODUCCIÓN

Descrito por Wilson Jones en 1966 como quiste epidermoide proliferante,1 el tumor pilar proliferante (TPP) ha sido denominado de diversas formas, las cuales reflejan las diferentes interpretaciones de su naturaleza biológica. Algunos de los términos utilizados para denominarlo son: tumor pilar de la piel cabelluda, quiste triquilémico proliferante, tumor pilar triquilémico, quiste epidermoide proliferante, tricoclamidocarcinoma, tumor gigante de la matriz pilosa, tumor invasivo de la matriz pilosa, pilomatrixoma invasivo, tumor pilar triquilemal y tumor pilar.2,3

Representa 0.1% de los tumores cutáneos benignos.2 Ochenta por ciento de los casos se manifiesta en mujeres adultas entre los 50 y 75 años, con media de edad de 65 años.4,5

El tumor pilar proliferante se origina en el istmo de la vaina radicular externa del folículo piloso, también llamado triquilema.6,7 Comparte algunas características con el quiste pilar como una extensa proliferación epitelial, atipia celular y actividad mitótica variables.8



CASO CLÍNICO

Se trata de una mujer de 46 años de edad, quien acudió por una dermatosis localizada en la cabeza, de la que afectaba la piel cabelluda en la región parietal derecha (Figura 1). La dermatosis estaba constituida por una neoformación exofítica de 2 × 2 cm, de aspecto quístico, eritemato-rosada, con áreas traslúcidas amarillentas, consistencia firme, bordes discretamente infiltrados y área queratósica en la superficie de seis meses de evolución, no dolorosa, pruriginosa ni friable (Figura 2).

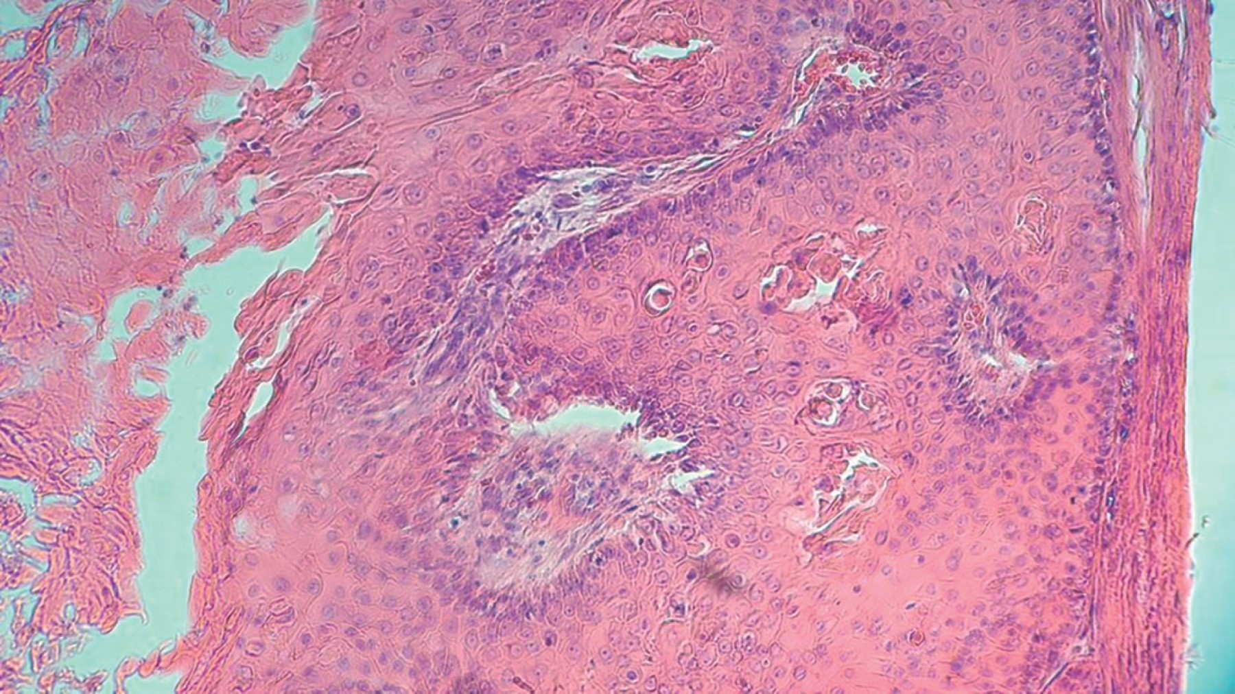
Con el diagnóstico clínico de quiste triquilémico, se realizó extirpación quirúrgica, con cierre directo. Se envió la pieza para realizar estudio histopatológico. Las imágenes mostraron pared hialina y revestimiento externo de células basales, células espinosas al centro con disqueratosis y formación abrupta de queratina paraqueratósica (H&E 25×).

Con los hallazgos histopatológicos se estableció el diagnóstico definitivo de tumor pilar proliferante (Figura 3). El aspecto cosmético postratamiento es aceptable (Figura 4).



EPIDEMIOLOGÍA

En la serie publicada por Sau, 71% de los casos afectaban a pacientes del sexo femenino. Sin embargo, el quiste epidérmico proliferante (subtipo histológico del tumor pilar proliferante) predomina en hombres (64%). Los tumores pilares proliferantes con características histopatológicas atípicas predominan en mujeres, con media de edad de presentación a los 65 años.8



PRESENTACIÓN CLÍNICA

La topografía predominante es la cabeza (78-90% de los casos) y de ésta las regiones frontal y parietal de la piel cabelluda son las más afectadas.2,8,9 La segunda topografía más afectada es el tronco (13%). Otras localizaciones reportadas en la literatura incluyen: labio superior, extremidades superiores y vulva.2,10 Setenta y nueve por ciento de los casos de quistes epidérmicos proliferantes se asientan en topografías distintas a la piel cabelluda, predominando en la región pélvica y genital.9

En etapas iniciales se manifiesta como neoformación subcutánea que después puede ser exofítica, de aspecto lobulado, bien circunscrita o de bordes mal definidos e infiltrados.2,7,11 Su superficie suele ser lisa o ulcerada y sangrar o presentar secreción purulenta.2,10 El crecimiento del tumor llega a comprimir tejidos adyacentes y generar necrosis e infección secundaria.3 Miden hasta 16 cm y por lo general, estas lesiones de mayor tamaño, muestran datos de atipia en la histopatología.8

El tumor pilar proliferante puede aparecer de novo o desarrollarse a partir de un quiste triquilemal. El traumatismo o infección locales son posibles factores desencadenantes.3,12 Usualmente presentan evolución lenta, con periodo de crecimiento que va de meses a años y tienden a recidivar después de la extirpación quirúrgica.10

Es raro que el tumor pilar proliferante se considere como primera posibilidad diagnóstica después de evaluar su aspecto clínico. El quiste triquilémico es quizá el diagnóstico clínico sospechado con mayor frecuencia. Otros diagnósticos diferenciales incluyen: cilindroma, tricoepitelioma, pilomatrixoma (sobre todo en lesiones de superficies firmes y multilobuladas), hidradenoma de células claras, metástasis cutáneas, carcinoma sebáceo, hiperplasia pseudoepiteliomatosa, carcinoma de células escamosas y angiosarcoma. La mayoría de estos diagnósticos diferenciales se plantean para las lesiones que aparecen en la piel cabelluda.2,3,12



HISTOPATOLOGÍA

El dato distintivo del tumor pilar proliferante es la queratinización triquilemal.11 La neoformación puede ocupar la dermis y extenderse al tejido celular subcutáneo. Está constituida por lóbulos circunscritos de epitelio escamoso delimitados por una membrana basal hialina.2 Las células epiteliales son semejantes a las de la capa espinosa en la parte central y están rodeadas por células basales. Algunos cordones muestran pleomorfismo, disqueratosis, mitosis y perlas córneas. El estroma suele tener áreas de calcificación en 25% de los casos, así como infiltrado de células plasmáticas y linfocitos.2,12

Sau describió dos subtipos histológicos con base en el grado de queratinización y el origen tumoral: el quiste epidérmico proliferante y el quiste triquilemal proliferante, siendo el último el más frecuente. Todos los casos estudiados fueron subepidérmicos, algunos con extensión a la dermis, los cuales solían presentar ulceración. A 94% de los casos se les dio seguimiento durante una media de cuatro años; sólo un caso recidivó, 10 presentaron cambios carcinomatosos y ninguno desarrolló metástasis. En la mayoría de los casos, la histopatología reveló comunicación de la lesión con la superficie, invasión profunda y numerosas figuras mitóticas.9

Tanto el quiste epidérmico proliferante, como el quiste triquilemal proliferante pueden desarrollar transformación maligna, en cuyo caso tienden a ser infiltrantes.10 Los datos que indican riesgo de transformación maligna son: topografías distintas a la piel cabelluda, crecimiento rápido, tamaño mayor a 5 cm, tendencia a la infiltración con marcada atipia celular y figuras mitóticas fácilmente identificables.8,10 El único criterio inequívoco de malignidad es la presencia de metástasis regionales o a distancia. Se han reportado metástasis a nódulos linfáticos cervicales y mediastinales, así como a pulmón, pleura, hígado y hueso.5 Las características a considerar en tumores pilares proliferantes con características estructurales atípicas incluyen: tamaño, patrón de crecimiento, celularidad, atipia citológica y actividad mitótica.8

En las lesiones malignas se observan masas tumorales de aspecto sólido con nidos de células escamosas y queratinización abrupta de tipo pilar, con áreas de degeneración central, hemorragia, calcificación y necrosis multifocal, así como infiltración importante de la dermis con o sin extensión al tejido celular subcutáneo. Las células neoplásicas tienen núcleos pleomórficos, hipercromáticos y membranas nucleares irregulares con citoplasma amorfo y numerosas mitosis. En el centro del tumor hay queratina acelular eosinofílica, homogénea, con detritos necróticos.10 El estroma adyacente puede ser desmoplásico y mostrar infiltrado inflamatorio mononuclear.2,10

Para comprender las características histopatológicas que se observan durante la evolución del tumor pilar proliferante, es útil considerar tres fases, que no deben confundirse con los subtipos histológicos descritos por Sau:12,13

  • 1. Fase adenomatosa (comportamiento benigno): caracterizada por queratinización triquilemal, infiltrado mononuclear de células plasmáticas y linfocitos, calcificación y ausencia de infiltración del estroma circundante, con atipia nuclear mínima o ausente.
  • 2. Fase epiteliomatosa (comportamiento maligno de bajo grado): se considera localmente invasivo pero con alteraciones citológicas moderadas. El infiltrado de células mononucleares es mínimo.
  • 3. Fase carcinomatosa (comportamiento maligno franco): tiene un patrón de crecimiento invasivo local y a distancia, con anaplasia, figuras mitóticas y áreas de necrosis.3

En 2004, Jay Ye analizó las características histopatológicas de 76 casos de tumores pilares proliferantes y los clasificó en tres grupos, de acuerdo al grado de alteraciones encontradas14 (Tabla 1).

Cabe destacar que en el grupo 1 no se encontraron recurrencias después de la extirpación quirúrgica, mientras que en el grupo 2, 15% de los casos recidivó. En el tercer grupo la tasa de recidivas fue significativamente mayor que para el grupo 1 (p = 0.039), además de que se identificaron un caso de metástasis a distancia que causó la muerte del paciente y otro de metástasis locorregional.14

Algunos autores afirman que ciertas características del quiste pilar proliferante lo hacen similar al carcinoma basocelular.6,15 También el carcinoma espinocelular ha llegado a ser considerado como diagnóstico diferencial histopatológico de este tumor. Ko y colaboradores, mencionan a la UEA-I (Ulex europaeus agglutinin-I) como marcador serológico que puede ser de utilidad para distinguir ambas entidades.2

Algunos cambios adicionales que permiten diferenciar al tumor pilar proliferante benigno del maligno y al maligno del carcinoma espinocelular son: la determinación inmunohistoquímica del patrón de expresión de p53 y la expresión de CD34. Tanto el tumor pilar proliferante maligno, como el carcinoma espinocelular expresan p53 con una tasa de proliferación elevada. En cambio, los tumores pilares proliferantes benignos y los quistes son negativos para p53. Los tumores pilares proliferantes malignos son inmunorreactivos para CD34, lo que indica diferenciación triquilémica y permite descartar un carcinoma espinocelular.16 En 2013, Rangel propuso la Ki67 como método para evaluar el grado histológico del tumor, ya que es marcador de proliferación y en apariencia, se asocia con bajo riesgo de recidiva.6



ESTUDIOS ADICIONALES

Aunque no son necesarios, algunos estudios de imagen complementan el diagnóstico del tumor pilar proliferante. Estos incluyen la tomografía computarizada y la resonancia magnética nuclear.17



EVOLUCIÓN

A pesar de su potencial metastásico, el tumor pilar proliferante es considerado como tumor de comportamiento biológico benigno, aunque llega a ser localmente agresivo.7 El número de quistes pilares proliferantes malignos reportados hasta el momento es de 90 y de éstos, 47 casos se presentaron en mujeres y 33 en hombres. En el resto no se reportó el género.15



TRATAMIENTO

Conociendo la gran cantidad de hallazgos histopatológicos que puede presentar el tumor pilar proliferante, es evidente que la extirpación quirúrgica completa, con un margen de seguridad, es el tratamiento de elección en todos los casos en los que se sospeche esta entidad y por supuesto, en aquellos en los que el diagnóstico clínico de sospecha sea el de lesiones morfológicamente similares, como el quiste triquilémico.

Algunos autores recomiendan extirpar la lesión con márgenes libres de tumor de 1 a 2 cm y en las lesiones de piel cabelluda, se sugiere incidir hasta la galea aponeurótica.2,5 Además de la extirpación quirúrgica simple, se han reportado casos tratados con cirugía micrográfica de Mohs, sin evidencia de recurrencia tras un año del procedimiento.18



PRONÓSTICO

Las tasas de recidiva se han reportado de 3.7% cuando afecta piel cabelluda y de hasta 6.6% si afecta otras topografías. Las tasas de metástasis varían desde 1.2% en piel cabelluda hasta 2.6% en otras localizaciones.18 Por tanto, es necesario el seguimiento a largo plazo en todos los pacientes.



COMENTARIO

El tumor pilar proliferante es un tumor raro, inicialmente de naturaleza benigna, que se ubica en la piel cabelluda. En los casos en los que éste se presenta, difícilmente se tiene la sospecha clínica inicial y debido a su potencial maligno y metastásico se recomienda la extirpación de tumores que afecten la piel cabelluda y enviarlos a estudio histopatológico, en especial en pacientes de edad avanzada. La extirpación debe realizarse con un margen de 1 a 2 cm. Sin embargo, debido a que los márgenes del tumor suelen extenderse más allá de lo que es clínicamente apreciable, se debe utilizar cirugía micrográfica de Mohs con probable disminución de recurrencias y metástasis.


REFERENCIAS (EN ESTE ARTÍCULO)

  1. Jones EW. Proliferating epidermoid cysts. Arch Dermatol. 1966; 94: 11-19. doi:10.1001/archderm.1966.01600250017002.

  2. Martínez-Estrada V, Gutiérrez-Bravo R, Novales-Santa CJ. Tumor triquilémico proliferante. Comunicación de un caso. Rev Cent Dermatol Pascua. 2003; 12: 154-156.

  3. Romano MS, Ricaud ME, López S, Gallardo D. Quiste triquilemal proliferante atípico. A propósito de un caso. Arch Argen Dermatol. 2011; 62: 63-65.

  4. Sethi S, Singh UR. Proliferating trichilemmal cyst: report of two cases, one benign and the other malignant. J Dermatol. 2002; 29: 214-220.

  5. Aydin M, Aslaner A. Proliferating trichilemmal tumors on breast and scalp: report of a case. The Internet Journal of Surgery. 2005; 7. Available in: http://ispub.com/IJS/7/2/7860.

  6. Rangel-Gamboa L, Reyes-Castro M, Dominguez-Cherit J, Vega-Memije E. Proliferating trichilemmal cyst: the value of ki67 immunostaining. Int J Trichology. 2013; 5: 115-117.

  7. Urbizo VJ, Contreras RI, Levi AJ. Trichilemmal proliferating tumor. Case report. Rev Haban Cienc Med. 2001; 11: 605-610.

  8. Folpe AL, Reisenauer AK, Mentzel T, Rütten A, Solomon AR. Proliferating trichilemmal tumors: clinicopathologic evaluation is a guide to biologic behavior. J Cutan Pathol. 2003; 30: 492-498.

  9. Sau P, Graham JH, Helwig EB. Proliferating epithelial cysts. Clinicopathological analysis of 96 cases. J Cutan Pathol. 1995; 22: 394-406.

  10. Valencia CP, Ariza SA, Rueda X. Proliferating pilar tumor in the back: case report. Rev Asoc Col Dermatol. 2008; 16: 159-161.

  11. Satyaprakash AK, Sheehan DJ, Sangüeza OP. Proliferating trichilemmal tumors: a review of the literature. Dermatol Surg. 2007; 33: 1102-1108.

  12. Sengul I, Sengul D. Posttraumatic proliferating trichilemmal tumour on the frontal region of the scalp: a case report. Demet Sengul Cases J. 2010; 3: 80.

  13. Guerra TR, Ramírez CA, More ME. Tumor tricolémico proliferante: a propósito de un caso. Rev Perú Radiol. 2007; 11: 22-25.

  14. Ye J, Nappi O, Swanson PE, Patterson JW, Wick MR. Proliferating pilar tumors. A clinicopathologic study of 76 cases with a proposal for definition of benign and malignant variants. Am J Clin Pathol. 2004; 122: 566-574.

  15. Cavanagh G, Negbenebor NA, Robinson-Bostom L, Walker JL. Two cases of malignant proliferating trichilemmal tumor (MPTT) and review of literature. R I Med J (2013). 2022; 105: 12-16.

  16. Chaichamnan K, Satayasoontorn K, Puttanupaab S, Attainsee A. Malignant proliferating trichilemmal tumors with CD34 expression. J Med Assoc Thai. 2010; 93: S28-S34.

  17. Kim HJ, Kim TS, Lee KH, Kim YM, Suh CH. Proliferating trichilemmal tumors: CT and MR imaging findings in two cases, one with malignant transformation. AJNR Am J Neuroradiol. 2001; 22: 180-183.

  18. Alshaalan ZM, Patel P, Routt E, Ciocon D. Proliferating pilar tumor: two cases and a review of the literature. J Drugs Dermatol. 2021; 20: 1346-1348.



AFILIACIONES

1 Jefe del Servicio de Dermatopatología.;

2 Dermatooncólogo adscrito.;

3 Dermatóloga egresada.;

4 Residente del segundo año de Dermatología.
Centro Dermatológico "Dr. Ladislao de la Pascua", SSCDMX.



CORRESPONDENCIA

Dr. Juan Ramón Trejo-Acuña. E-mail: hermesjuanderma@hotmail.com


Figura 1
Figura 2
Figura 3
Figura 4
Tabla 1

2020     |     www.medigraphic.com

Mi perfil

C?MO CITAR (Vancouver)

Rev Cent Dermatol Pascua. 2023;32

ARTíCULOS SIMILARES

CARGANDO ...