medigraphic.com
ENGLISH

Revista ADM Órgano Oficial de la Asociación Dental Mexicana

ISSN 0001-0944 (Impreso)
Órgano Oficial de la Asociación Dental Mexicana
  • Mostrar índice
  • Números disponibles
  • Información
    • Información general        
    • Directorio
  • Publicar
    • Instrucciones para autores        
    • Envío de artículos
  • medigraphic.com
    • Inicio
    • Índice de revistas            
    • Registro / Acceso
  • Mi perfil

2024, Número 4

<< Anterior Siguiente >>

Rev ADM 2024; 81 (4)


Carcinoma oral de células escamosas en reborde alveolar.

Jiménez-Méndez, Edgar1; Fuentes-Yunes, César2; Méndez-Hernández, Carlota Lidia3; Aldape-Barrios, Beatriz C4
Texto completo Cómo citar este artículo 10.35366/117354

DOI

DOI: 10.35366/117354
URL: https://dx.doi.org/10.35366/117354
Artículos similares

Idioma: Español
Referencias bibliográficas: 14
Paginas: 225-229
Archivo PDF: 242.59 Kb.


PALABRAS CLAVE

cáncer bucal, epidermoide o células escamosas, tratamiento quirúrgico.

RESUMEN

El carcinoma oral de células escamosas o epidermoide o espinocelular, es la neoplasia maligna más común en cavidad oral y orofaringe, representa de 3-5% de todas las neoplasias y da metástasis a los ganglios linfáticos regionales. Los factores de riesgos son múltiples, el consumo excesivo de alcohol y tabaco son los más reconocidos, los movimientos parafuncionales, la higiene y nutrición y por supuesto la genética, todos son factores importantes en el desarrollo de este carcinoma. Tiene una prevalencia mayor en el sexo masculino, aunque en los últimos años se ha visto un aumento en el sexo femenino posiblemente por el aumento en el consumo de alcohol y tabaco. La edad comprende entre la cuarta a sexta década de la vida, por el aumento en el consumo de alcohol y tabaco en este rango de edad. Las localizaciones más comunes son el borde lateral de la lengua y el piso de la boca. La presentación clínica es variable, puede encontrarse en un principio como una placa blanca o roja asintomática, exofítico, ulcerada, granular y bordes indurados. El tratamiento debe ser quirúrgico radical con radio o quimioterapia y el pronóstico depende del tiempo del diagnóstico.



INTRODUCCIóN

El carcinoma oral de células escamosas (COCE) o espinocelular, representa 90% del cáncer en cavidad oral, con una tasa de supervivencia de cinco años una vez diagnosticado,1 la prevalencia es en pacientes masculinos entre la quinta y sexta década de la vida, se asocia principalmente al consumo de tabaco y alcohol.2 En 2021, se realizó un estudio retrospectivo y transversal de casos de cáncer en cavidad bucal entre marzo de 2018 y octubre de 2020, por el Servicio de Cirugía de Cabeza y Cuello en el Instituto Nacional de Cancerología, donde se describe una relación hombre-mujer de 1.4:1 en la población mexicana. Otros autores han mencionado el aumento de casos en el sexo femenino en los últimos años, esto debido al aumento en el consumo de alcohol y tabaco en el sexo femenino, comparado con los registros anteriores donde la relación hombre-mujer era 2:1.3-5

El conocimiento acerca de la incidencia y prevalencia es de suma importancia para el odontólogo general, ya que mediante una correcta evaluación de cada uno de sus pacientes se incrementa la probabilidad de un diagnóstico temprano y con ello permite disminuir la tasa de mortalidad a largo plazo.6 Ya que se estima que tan sólo en los Estados Unidos alrededor de 54,440 personas padecerán cáncer de orofaringe y de cavidad oral y alrededor de 11,580 personas morirán de este cáncer, según una estimación para el final del 2023 por la American Cancer Society.7,8



PRESENTACIÓN DEL CASO

Paciente masculino de 59 años de edad, con antecedente de hipertensión arterial, desde hace cinco años, tratamiento con enalapril vía oral dos veces al día, el paciente no recuerda la dosis al interrogatorio. Tabaquismo y alcoholismo positivo de los 16 a los 50 años. Intraoralmente presenta deficiente higiene oral, desgaste dental por bruxismo y lesiones a causa de traumas oclusales en mucosa yugal, refiriendo no haber acudido al dentista desde hace varios años.

El paciente inicia su padecimiento alrededor de noviembre y diciembre de 2022, notando un aumento de volumen en la zona del molar 28. De manera posterior, en diciembre de 2022, el paciente refiere inflamación, sangrado espontáneo y dolor moderado, por lo que acudió al servicio odontológico externo y se le prescribió clindamicina de 300 mg vía oral, cada 8 horas y ketoprofeno de 100 mg vía oral, cada 8 horas, con mejoría parcial del dolor, persistiendo el sangrado espontáneo, por lo que acude a consulta privada. Paciente con signos vitales estables, a la exploración de cavidad oral se identifica una úlcera de bordes indurados en maxilar adyacente a la zona del molar 28, de un aproximado de 2 × 2 cm, de consistencia firme y asintomático a la palpación (Figura 1).

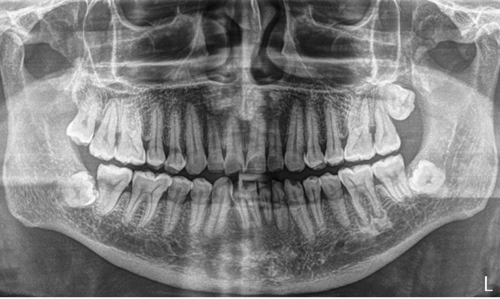
Se solicita ortopantomografía, donde se observa destrucción ósea (Figura 2).

Se realiza biopsia escisional y exodoncia del molar 28, en la misma intervención, en enero de 2022 (Figuras 3 y 4). No se suspende medicación de clindamicina hasta finalizar el esquema y se prescriben analgésicos y una dosis única de betametasona inyectable, vía intramuscular 8.0 mg/2 mL.

Se reciben dos fragmentos de tejido blando fijado en formalina, de forma y superficie irregular, consistencia firme, color café claro, que miden en conjunto 3.5 × 1.5 × 1.0 cm. Se realiza corte longitudinal y se incluye en su totalidad (Figura 4).

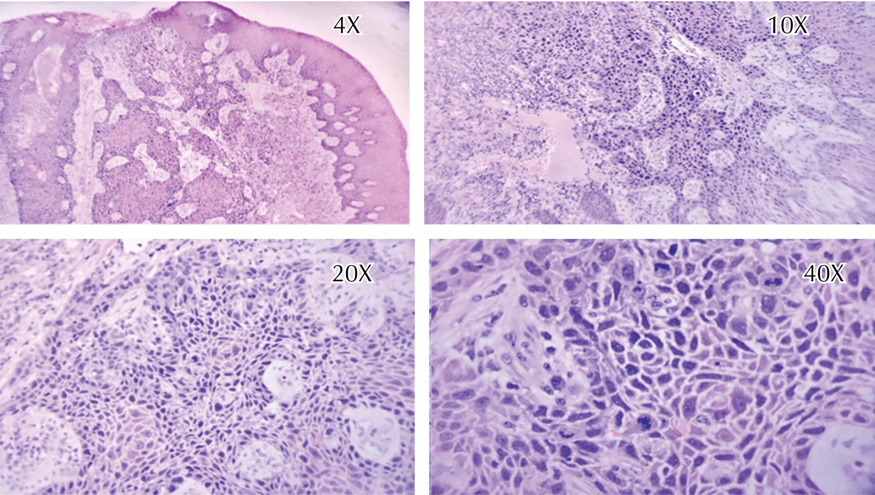
El espécimen está formado por islas de epitelio escamoso estratificado con displasia severa que infiltra el tejido conectivo fibroso denso, bien vascularizado disqueratosis, con infiltrado inflamatorio crónico leve difuso, hemorragia reciente, glándulas salivales mucosas, conductos estriados, músculo estriado. Revestido por epitelio escamoso estratificado paraqueratinizado con edema intracelular y solución de continuidad con fibrina e infiltrado inflamatorio mixto severo difuso. No presenta bordes sanos (Figura 5).

El paciente en el postoperatorio inmediato a biopsia escisional evoluciona de forma favorable. Al tener el resultado del estudio histopatológico es remitido al Servicio de Cirugía de Cabeza de un centro hospitalario, donde se complementa con tomografía de macizo facial contrastada realizada en febrero de 2023, la cual reporta infiltración en espacio masticatorio izquierdo y se realiza programación para hemimaxilectomía izquierda. El paciente sale de cirugía bajo ventilación mecánica por edema en el tracto respiratorio, días después baja una vez más a quirófano para protocolo de extubación, sin embargo, el paciente no logra respiraciones espontáneas de manera exitosa, por lo que se realiza traqueostomía y pasadas las 48 horas se reporta muerte por insuficiencia respiratoria aguda.



DISCUSIóN

El cáncer oral es considerado un problema de salud pública, tan sólo entre 1979 y 2003 el número de muertes por cáncer oral en nuestro país fue de 15,579 casos. Además, en el periodo comprendido entre 2000-2004 en el Instituto Nacional de Cancerología se detectó un total de 20,688 cánceres diagnosticados por primera vez, 5% pertenece a cáncer bucal.9

Salgado Ramírez y colegas reportaron que la zona del reborde alveolar corresponde a 15% de las zonas afectadas por el carcinoma oral de células escamosas, mientras que la zona anatómica más afectada es la lengua 40%, seguido por el paladar 20%.10 Es importante considerar que las lesiones presentes en la zona del reborde alveolar son susceptibles a la invasión en el hueso adyacente de la mucosa gingival.11 Al realizar la exploración clínica, ésta no debe limitarse a las zonas con más incidencia, sino que se debe explorar la totalidad de la cavidad oral.

El carcinoma oral de células escamosas se presenta en pacientes masculinos entre los 50-60 años que mantienen un consumo excesivo de alcohol y tabaco, que son los principales factores asociados, por lo que, al aumentar el consumo de estas sustancias en pacientes femeninos, la incidencia en este género aumenta.2 En cuanto a la sintomatología, en la mayoría de lesiones tempranas éstas cursan sin síntomas, mientras que cuando el estado de la enfermedad es avanzado, puede relacionarse con síntomas dolorosos descritos de manera diferente entre cada paciente, aunque dentro de los principales según Cuffari y asociados son: odinofagia, glosodinia, dolor al comer, odontalgia, otitis, entre otros.12

En definitiva, el diagnóstico precoz del carcinoma oral de células escamosas es importante, además de la estrecha vigilancia en la consulta odontológica en cualquier lesión de la cavidad oral que no involucione en 15 días, para así disminuir la morbilidad y permitir que este padecimiento pueda manejarse con tratamientos menos agresivos y con ello afectar menos la de calidad de vida del paciente.8

Esto puede lograrse con un adecuado tamizaje de la cavidad oral durante cada consulta que el odontólogo realice, además del uso de biopsia como estándar de oro durante la presencia de un trastorno oral potencialmente maligno o tejido sospechoso que no cicatrice en los 15 días antes mencionados.13,14



CONCLUSIONES

Es de suma importancia que el odontólogo general se entrene en la identificación de trastornos orales que podrían ser malignos, para que durante la consulta dental se realice siempre una evaluación de rutina y con ello buscar un diagnóstico temprano de esta enfermedad. Además, en medida de lo posible, hay que buscar educar al paciente sobre cualquier lesión que no cure en los posteriores 15 días a su aparición, es motivo de observación y seguimiento al paciente, ya que supone un riesgo para su salud. Con estas acciones se busca disminuir la tasa de mortalidad y morbilidad en un futuro.


REFERENCIAS (EN ESTE ARTÍCULO)

  1. Bagan J, Sarrion G, Jimenez Y. Oral cancer: clinical features. Oral Oncol. 2010; 46 (6): 414-417. doi: 10.1016/j.oraloncology.2010.03.009.

  2. Barnes L, Eveson J, Reichart P, Sidransky D. Pathology and genetics of head and neck tumours. 3rd ed. Geneva: World Health Organization; 2022. p. 165-177.

  3. Prada VOE, Trinidad JI, Granados GM. Incidencia y experiencia en el manejo del cáncer de cavidad oral en el Instituto Nacional de Cancerología de México. Rev Mex Cir Bucal Maxilofac. 2021; 17 (3): 111-121. doi: 10.35366/105390.

  4. Jemal A, Thomas A, Murray T, Thun M. Cancer statistics, 2002. CA Cancer J Clin. 2002; 52 (1): 23-47. doi: 10.3322/canjclin.52.1.23.

  5. Barboza I, Camacho A, Gutiérrez G, Tacsan L. Epidemiología del cáncer bucal en Costa Rica en el período de 1981-1994. Seminario de graduación [Tesis]. Costa Rica: Facultad de Odontología, Universidad de Costa Rica; 1997.

  6. Anaya-Saavedra G, Ramírez-Amador V, Irigoyen-Camacho ME, Zimbrón-Romero A, Zepeda-Zepeda MA. Oral and pharyngeal cancer mortality rates in Mexico, 1979-2003: Oral and pharyngeal cancer mortality in Mexico. J Oral Pathol Med. 2008; 37: 11-17. doi: 10.1111/j.1600-0714.2007.00562.x.

  7. American Cancer Society. Estadísticas importantes sobre los tipos de cáncer de orofaringe y de cavidad oral. American Cancer Society. 2023 [consultado el 5 de mayo de 2023]. Disponible en: https://www.cancer.org/es/cancer/tipos/cancer-de-orofaringe-y-de-cavidad-oral/acerca/estadisticas-clave.html

  8. Epstein JB, Scully C. Assessing the patient at risk for oral squamous cell carcinoma. Spec Care Dentist. 1997; 17: 120-128. doi: 10.1111/j.1754-4505.1997.tb00881.x.

  9. Rizo P, Sierra MI, Vázquez G, Galicia-Vázquez G. Registro hospitalario de cáncer: compendio de cáncer 2000-2004. Cancerología. 2007; 2: 203-287.

  10. Salgado RB, Rivera M, Altamirano Díaz. Frecuencia de carcinoma de cavidad oral en un Hospital de tercer nivel. Rev Sanid Milit Mex. 2014; 68 (3): 172-176.

  11. Meneses GA, Mosqueda TA, Ruiz-Godoy RL. Lesiones tumorales y seudotumorales. En: Patología quirúrgica de cabeza y cuello. México: Trillas; 2006. p. 45-79.

  12. Cuffari L, Tesseroli de Siqueira JT, Nemr K, Rapaport A. Pain complaint as the first symptom of oral cancer: a descriptive study. Oral Surg Oral Med Oral Pathol Oral Radiol Endod. 2006; 102 (1): 56-61. doi: 10.1016/j.tripleo.2005.10.041.

  13. British Columbia Oral Cancer Prevention Program, BC Cancer Agency; College of Dental Surgeons of British Columbia. Guideline for the early detection of oral cancer in British Columbia 2008. J Can Dent Assoc. 2008; 74 (3): 245.

  14. Sankaranarayanan R, Ramadas K, Thomas G, Muwonge R, Thara S, Mathew B et al. Effect of screening on oral cancer mortality in Kerala, India: a cluster-randomised controlled trial. Lancet. 2005; 365 (9475): 1927-1933.



AFILIACIONES

1 Pasante cirujano dentista. Facultad de Odontología, Universidad Nacional Autónoma de México (UNAM). México.

2 Cirujano oral y maxilofacial. Práctica privada. Estado de México.

3 Cirujano dentista especialista en ortodoncia. Práctica privada. Estado de México.

4 Especialista en patología bucal. Facultad de Odontología, UNAM. México.



Conflicto de intereses: los autores manifiestan no tener ningún conflicto de intereses.

Aspectos éticos: este estudio y caso clínico respetó los principios de la declaración de Helsinki de la Asociación Médica Mundial (AMM) y lo establecido en la Ley General de Salud (título quinto) de México. Los participantes y mencionados en el caso clínico acordaron participar mediante consentimiento informado.

Financiamiento: los recursos para esta investigación fueron propios.



CORRESPONDENCIA

Edgar Jiménez-Méndez. E-mail: cdedgarjimenez@gmail.com
lmendezh5@gmail.com




Recibido: 05 de noviembre de 2023. Aceptado: 21 de mayo de 2024.

Figura 1
Figura 2
Figura 3
Figura 4
Figura 5

2020     |     www.medigraphic.com

Mi perfil

C?MO CITAR (Vancouver)

Rev ADM. 2024;81

ARTíCULOS SIMILARES

CARGANDO ...