medigraphic.com
ENGLISH

Revista ADM Órgano Oficial de la Asociación Dental Mexicana

ISSN 0001-0944 (Impreso)
Órgano Oficial de la Asociación Dental Mexicana
  • Mostrar índice
  • Números disponibles
  • Información
    • Información general        
    • Directorio
  • Publicar
    • Instrucciones para autores        
    • Envío de artículos
  • medigraphic.com
    • Inicio
    • Índice de revistas            
    • Registro / Acceso
  • Mi perfil

2024, Número 4

<< Anterior Siguiente >>

Rev ADM 2024; 81 (4)


Relación del plano oclusal con la altura del ángulo goníaco y proyección del mentón.

Macías Aceves, Miguel Octavio1; Castillo S, Gustavo1; Cuellar Mireles, Carla Gabriela1; Orozco Ramírez, Alejandra1
Texto completo Cómo citar este artículo 10.35366/117355

DOI

DOI: 10.35366/117355
URL: https://dx.doi.org/10.35366/117355
Artículos similares

Idioma: Español
Referencias bibliográficas: 11
Paginas: 230-236
Archivo PDF: 507.00 Kb.


PALABRAS CLAVE

plano oclusal, ángulo goníaco, postero-rotación mandibular, antero-rotación mandibular, proyección de mentón.

RESUMEN

Introducción: hemos observado en nuestra práctica ortodóncica una gran cantidad de pacientes con plano oclusal inclinado, con un ángulo goníaco alto y postero-rotación mandibular. Todo parece indicar que el plano oclusal juega un papel muy importante en el desarrollo de las maloclusiones. Objetivo: mostrar en el presente caso clínico de un niño, si existe una correlación entre la inclinación del plano oclusal, la altura del ángulo goníaco, la longitud de la rama mandibular y la proyección del mentón antes y después, al corregirlo y hacerlo más horizontal con tratamiento ortodóncico. Caso clínico: paciente masculino de 11 años de edad, hiperdivergente, clase II esquelética severa, perfil convexo, apiñamiento dental superior e inferior, clase II molar, incompetencia labial severa, mordida profunda, overjet aumentado, mentón retrusivo, cervicales rectificadas y anterorotación de cabeza. El tratamiento de ortodoncia se realizó con brackets Roth slot 22 y extracciones de primeros premolares superiores e inferiores y primeros molares superiores (siendo reemplazados por los terceros molares superiores), curvas inversas, cierre de espacios con pérdida de anclaje y ajuste oclusal. Resultados: al finalizar el tratamiento, se logró mejorar la estética facial, un ángulo goníaco más desarrollado con mayor crecimiento vertical, mayor proyección del mentón, un plano oclusal más horizontal, un adecuado overbite y overjet, clase I molar y canina, antero-rotación mandibular, buena intercuspidación, oclusión funcional y excelente estabilidad oclusal sin retención, mejoría en lordosis cervical y posición de la cabeza. Conclusiones: la corrección de un plano oclusal inclinado en niños y adolescentes hiperdivergentes, puede mejorar de manera importante el vector de crecimiento, ayudar a un mayor desarrollo en la altura del ángulo goníaco y longitud de la rama mandibular, proyección del mentón al corregirlo y hacer el plano oclusal más horizontal con la mecánica ortodóntica de curvas inversas; por lo tanto, en el presente caso clínico: sí existe una correlación muy importante entre la inclinación del plano oclusal, la altura del ángulo goníaco y la proyección del mentón antes y después del tratamiento ortodóncico.



INTRODUCCIóN

En 1987 en Japón, S. Sato en su estudio referente a la alteración del plano oclusal debido a la discrepancia posterior con relación al desarrollo de la maloclusión, explica que la interrelación entre la construcción del tercio inferior de la cara y la inclinación del plano oclusal en el perfil facial es un factor importante en el desarrollo del componente vertical de las maloclusiones.1,2

Hwang DH, Akimoto S y Sato S. en el año 2002 en Japón, hicieron un estudio para determinar la relación entre la inclinación del plano oclusal y la postura mandibular en 45 niños en dentición mixta con un patrón esqueletal hiperdivergente. Evidenciaron que la postura mandibular y el grado de hiperdivergencia estaban relacionados con la inclinación del plano oclusal. Los resultados sugirieron que el plano oclusal posterior es un determinante significativo en el desarrollo de diferentes tipos de mordidas.2-4



PRESENTACIÓN DEL CASO

Niño de 11 años y cuatro meses de edad acude al Postgrado de Ortodoncia en Ortho-Dent Education Center-IBO, su motivo de consulta: la mamá refiere que no le gusta el rostro de su hijo y su mordida.

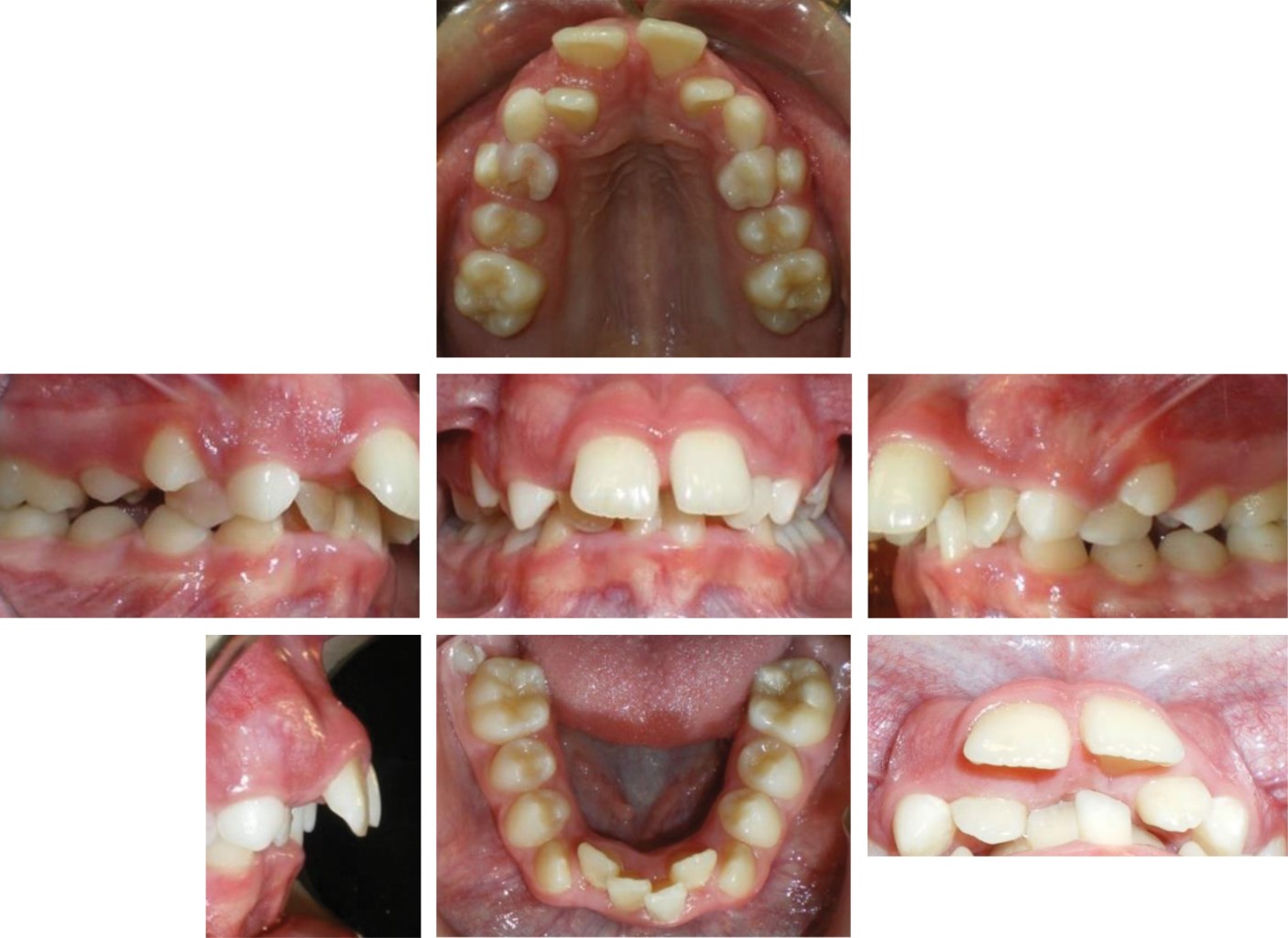
Paciente con antecedentes de problemas respiratorios, hiperdivergente, clase II esquelética, plano oclusal inclinado, perfil convexo, apiñamiento dental superior e inferior, clase II molar, incompetencia labial severa de 11 mm, mordida profunda anterior de 8 mm, mentón retrusivo -17 mm, posterorotación mandibular, plano mandibular inclinado, ángulo goníaco alto en relación a horizontal verdadera-stomion superior (Sts), antero rotación de cabeza, cervicales rectificadas, espacio entre C0 y C1 aumentado, espacio en C2 y C3 muy reducido5,6 (Figuras 1, 2, 3 y 4).

En la radiografía panorámica se observa presencia de terceros molares superiores e inferiores, caninos superiores retenidos y cornetes colapsados (Figura 5).



PLAN DE TRATAMIENTO

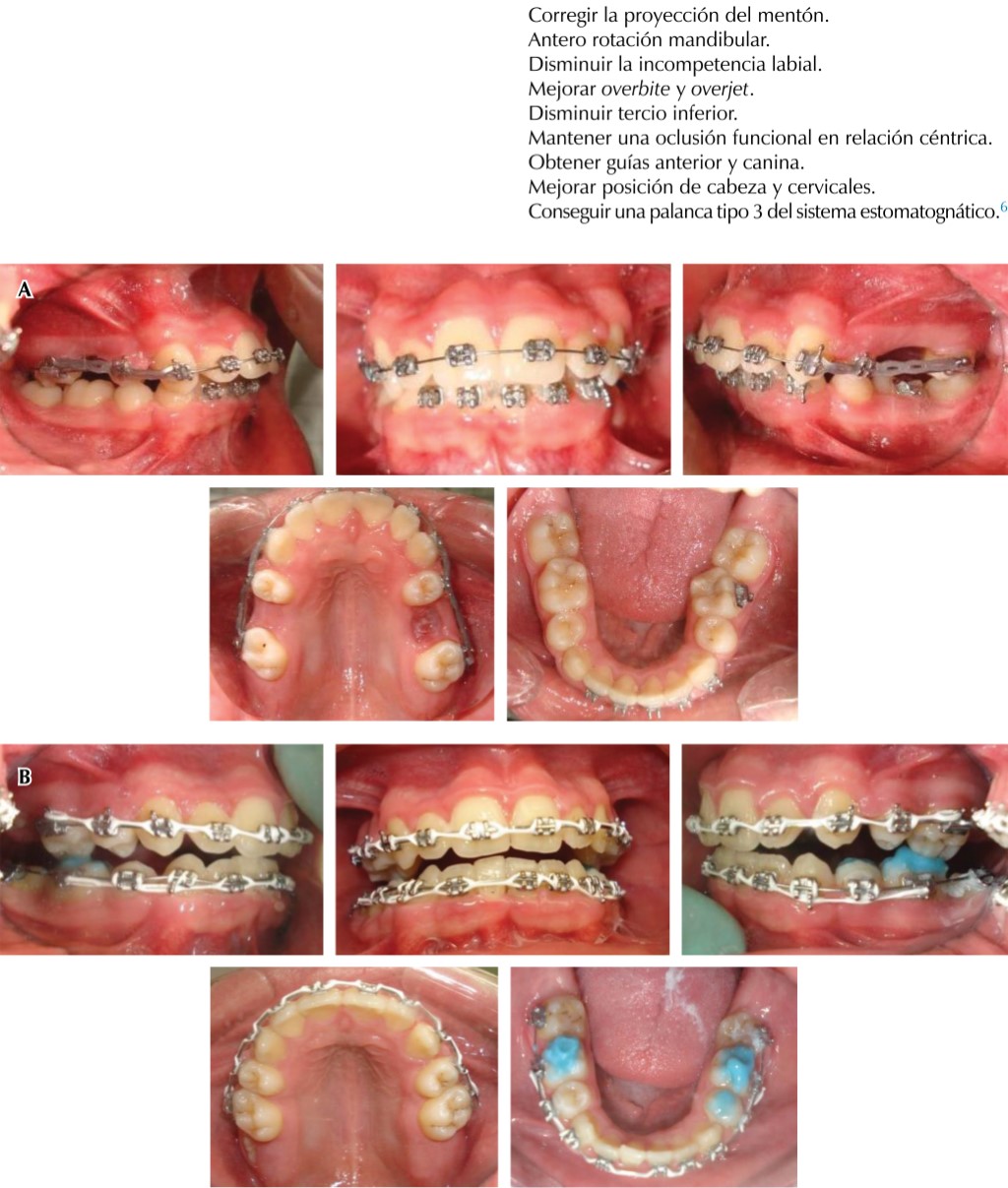
Se utilizó aparatología prescripción Roth slot 22 con extracciones de primeros premolares superiores e inferiores y primeros molares superiores (siendo reemplazados por los terceros molares superiores), curvas inversas en arcada superior e inferior, cierre de espacios con anclaje moderado en arcada superior y cierre de espacios en arcada inferior con anclaje mínimo, topes inferiores en 34, 44, 36, 46 y ajuste oclusal7,8 (Figura 6).



OBJETIVOS DE TRATAMIENTO

Hacer el plano oclusal más horizontal.

Aliviar apiñamiento.

Mejorar la estética facial.

Mejorar la altura del ángulo goníaco.

Corregir la proyección del mentón.

Antero rotación mandibular.

Disminuir la incompetencia labial.

Mejorar overbite y overjet.

Disminuir tercio inferior.

Mantener una oclusión funcional en relación céntrica.

Obtener guías anterior y canina.

Mejorar posición de cabeza y cervicales.

Conseguir una palanca tipo 3 del sistema estomatognático.6



SECUENCIA DE TRATAMIENTO

Se inició el tratamiento con extracciones de dientes temporales, primeros premolares superiores (14, 24) y segundos premolares inferiores (35, 45), cementado de brackets superiores e inferiores, cierre de espacios; después extracciones de 16 y 26 (siendo reemplazados por 18 y 28). Con anclaje moderado superior y anclaje mínimo inferior.



LA SECUENCIA DE ARCOS FUE LA SIGUIENTE

Para la etapa inicial del tratamiento se utilizaron los arcos 0.12, 0.16, 0.18, 0.20 NiTi con curvas inversas; después del cierre de espacios se continuó con 19 × 25 NiTi.

Posteriormente se continuó con la colocación de arcos de acero 19 × 25 para aplanar curva de Spee y consolidar el cierre de espacios.

Para la etapa final se colocaron arcos coaxiales Braided 21 × 25 para facilitar el asentamiento de la oclusión7 (Figura 6).



DISCUSIÓN

La inclinación del plano oclusal, juega un papel muy importante en el desarrollo vertical del tercio inferior, de la rotación mandibular, proyección del mentón y perfil facial.9

La ortodoncia es una excelente opción para la corrección de maloclusiones de pacientes con plano oclusal inclinado, postero rotación mandibular, ángulo goníaco alto en relación a la línea horizontal-stomion superior, tercio inferior aumentado, mentón retrusivo e incompetencia labial.

En el presente caso se recomienda como una opción: las mecánicas ortodóncicas que corrijan el componente vertical del plano oclusal para hacerlo más horizontal y tratar de que coincida con la línea horizontal-stomion superior. Las extracciones dentales con mecánicas de pérdida de anclaje y curvas inversas son una excelente opción al uso de anclajes esqueléticos intrusivos con minitornillos o miniplacas; así como intentar evitar en un futuro en etapa adulta algún tipo de procedimiento de cirugía ortognática7 (Figuras 7 y 8).



CONCLUSIONES

La corrección de un plano oclusal inclinado en niños y adolescentes hiperdivergentes con tendencia a palanca tipo 2, sobre todo con problemas respiratorios y maloclusiones verticales; mejora de manera importante el vector de crecimiento, el desarrollo en la altura del ángulo goníaco y la proyección del mentón al corregirlo y hacerlo más horizontal con las mecánicas ortodóncicas al corregir la inclinación del plano oclusal al hacerlo más horizontal y tratar de que coincida en lo posible con la línea horizontal-stomion superior (línea roja punteada); por lo tanto, en el presente caso clínico sí existe una correlación entre la corrección de la inclinación del plano oclusal y el desarrollo de la altura del ángulo goníaco, longitud de la rama mandibular (inicial 45 mm y final 51 mm), mayor proyección del mentón, al hacer el plano oclusal más horizontal con la presente mecánica ortodóncica mediante extracciones, curvas inversas y manejo de plano oclusal1,5,7,8,10,11 (Figura 9).


REFERENCIAS (EN ESTE ARTÍCULO)

  1. Roth RH. The maintenance system and occlusal dynamics. Dent Clin North Am. 1976; 20 (4): 761-788.

  2. Sato SA. Alteration of occlusal plane due to posterior discrepancy relates to development of malocclusion. Introduction to Denture Frame Analysis. Bull of Kanagawa Dental College. 1987.

  3. Hwang D, Akimoto S, Sato S. Relation between the occlusal plane inclination and mandibular posture in the hiperdivergente type of skeletal frame. Bull Kanagawa Dent Col. 2003.

  4. Sato SA. Treatment Approach to malocclusions under the consideration of craniofacial dynamics. Yokosuka: Kanagawa Dental College. 1991.

  5. Girardot RA. Functioning tooth relationship in the adult dentition. [Thesis] University of Sauthem CA 1972.

  6. Casanova AC. Diagnóstico biofuncional. AMOLCA. 2021.

  7. Ávalos EY. Tratamiento de ortodoncia en un paciente con resorción radicular externa. Reporte de un caso clínico. Revista ADM. 2019; 76 (4): 234-241.

  8. White LW. Thomas F. Mulligan, 1933-2023. Journal of Clinical Orthodontics. 2023.

  9. Basili EC, Voss Zuazola R, Sato S. Arquitectura craneofacial y la importancia del plano oclusal. Rev Fac Odont UV. 2011.

  10. Enlow D. Crecimiento maxilofacial. Interamericana McGraw-Hill. 3a. ed. 1990.

  11. Roth RH. Functional occlusion for the orthodontist. J Clin Orthod. 1981; 15 (1): 32-40, 44-51 contd.



AFILIACIONES

1 Ortho-Dent Education Center. Especialidad en Ortodoncia y Ortopedia Maxilar.



Conflicto de intereses: ninguno.

Aspectos éticos: ninguno.

Financiamiento: ninguno.



CORRESPONDENCIA

Miguel Octavio Macías Aceves. E-mail: orthodent2000@yahoo.com.mx
www.orthodentcenter.com




Recibido: 15 de agosto de 2023. Aceptado: 22 de mayo de 2024.

Figura 1
Figura 2
Figura 3
Figura 4
Figura 5
Figura 6
Figura 7
Figura 8
Figura 9

2020     |     www.medigraphic.com

Mi perfil

C?MO CITAR (Vancouver)

Rev ADM. 2024;81

ARTíCULOS SIMILARES

CARGANDO ...