medigraphic.com
ENGLISH

Acta Médica Grupo Ángeles

Órgano Oficial del Hospital Ángeles Health System
  • Mostrar índice
  • Números disponibles
  • Información
    • Información general        
    • Directorio
  • Publicar
    • Instrucciones para autores        
    • Envío de artículos
    • Políticas
    • Nombre y afiliación del Comité Editorial
  • Nosotros
    • Plan de gestión e intercambio de datos
    • Objetivos declarados y alcance
  • medigraphic.com
    • Inicio
    • Índice de revistas            
    • Registro / Acceso
  • Mi perfil

2024, Número 4

<< Anterior Siguiente >>

Acta Med 2024; 22 (4)


Localización inusual de lipoma intramuscular: manguito de los rotadores

Morales Jiménez, Raquel Estephanía1,2; Gómez Pérez, María de Guadalupe1,3
Texto completo Cómo citar este artículo 10.35366/117523

DOI

DOI: 10.35366/117523
URL: https://dx.doi.org/10.35366/117523
Artículos similares

Idioma: Español
Referencias bibliográficas: 5
Paginas: 315-317
Archivo PDF: 238.23 Kb.


PALABRAS CLAVE

lipoma intramuscular, manguito de los rotadores, tumores benignos.

RESUMEN

Introducción: los lipomas son los tumores mesenquimales más frecuentes. Sólo 2% son de localización profunda, cuando se localizan por debajo de la fascia que los envuelve. Caso clínico: masculino de 71 años, con dolor intenso en hombro derecho de dos meses de evolución. Se realizó estudio de resonancia magnética encontrando lipoma intramuscular del infraespinoso y aparente afectación del redondo menor. Conclusión: la resonancia magnética es el estudio de elección para valorar lesiones de tejidos blandos de localización profunda, siendo difícil diferenciar su origen intramuscular o intermuscular si se encuentran en músculos pequeños.



INTRODUCCIóN

Los lipomas son los tumores mesenquimales más frecuentes y están compuestos por adipocitos maduros.1 Representan el 50% y se categorizan en superficiales y profundos.2 Solamente 2% son de localización profunda, cuando se sitúan por debajo de la fascia que los envuelve.2,3 Histológicamente se pueden dividir en tres tipos: infiltrativos, bien circunscritos y mixtos.3

La incidencia reportada en lipomas intramusculares es de 0 a 5% y de los intermusculares de 0.3 a 1.9%, siendo el cuádriceps femoral la localización más frecuente seguido del deltoides.4 La mayoría ocurre entre los 40 y 70 años de edad.3 La sintomatología es infrecuente, pero incluye dolor, limitación del rango de movimiento, edema y compresión nerviosa.2



CASO CLíNICO

Masculino de 71 años de edad, refiere dolor moderado a intenso en hombro derecho de dos meses de evolución que incrementa al realizar movimientos de abducción y extensión, motivo por el cual se solicita estudio de resonancia magnética simple de hombro derecho. Como único antecedente el paciente refiere accidente en motocicleta hace 50 años con fractura de clavícula derecha recibiendo tratamiento conservador.



HALLAZGOS POR IMAGEN

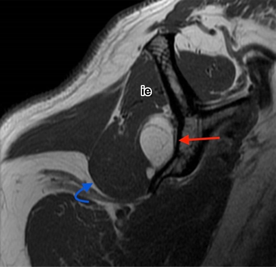
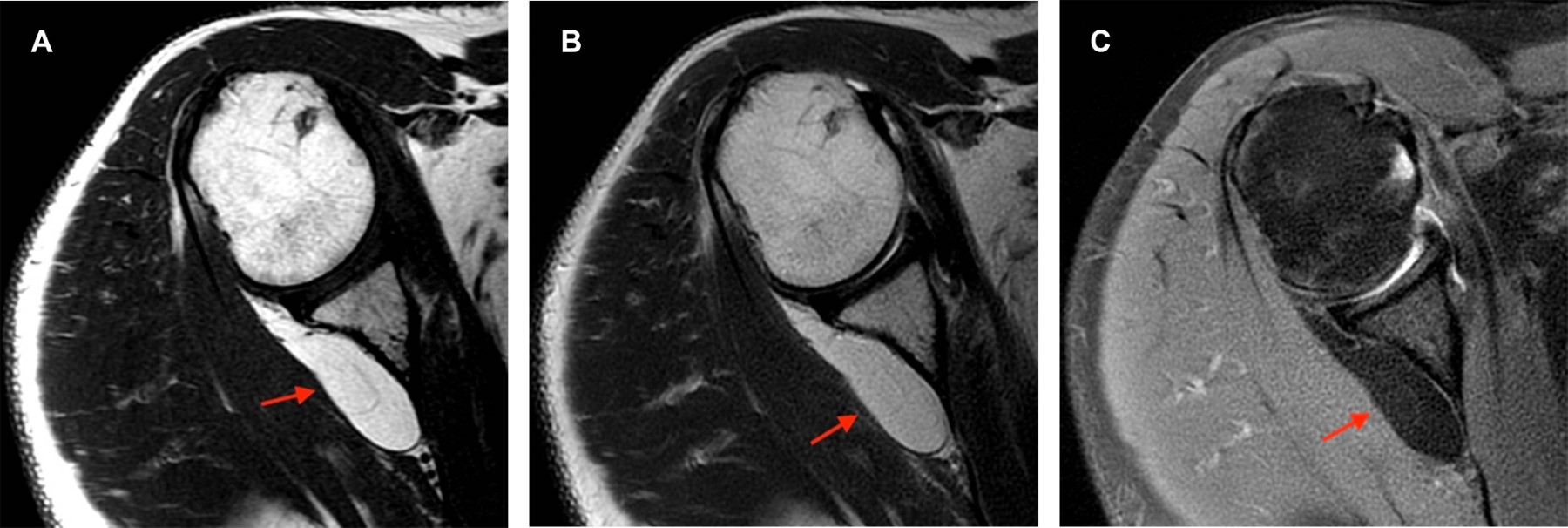
En el estudio de resonancia magnética entre fibras musculares del infraespinoso se observa imagen ovoidea, de márgenes bien delimitados, isointensa al tejido graso en secuencias T1, T2 y densidad protónica con saturación grasa, con diámetros aproximados en plano axial de 5.5 × 1.3 cm, en plano sagital de 3.1 × 1.4 cm y en coronal de 3.8 × 2.9 cm, con imágenes lineales internas hipointensas en todas las secuencias menores de 2 mm (Figura 1). La lesión se extiende por toda la fosa infraespinosa con involucro de algunas fibras musculares del redondo menor y desplaza levemente el infraespinoso (Figura 2).



DISCUSIóN

La resonancia magnética es el estudio de imagen óptimo para valoración de lesiones lipomatosas de localización profunda.1 Se valora el tamaño y morfología, homogeneidad, márgenes, si es uni o multinodular, presencia o ausencia de estructuras lineales y su grosor (delgados < 2 mm, gruesos > 2 mm).5 Su morfología puede ser redonda, oval, fusiforme, irregular poligonal o en forma de pesa y usualmente no encapsulados.3 Caracterización tisular: tienen alta intensidad de señal en T1 y T2 y suprimen similar a la grasa en secuencias de supresión grasa. Los intramusculares contienen fibras musculares entremezcladas, isointensas al músculo normal en T1 y T2. Estas interdigitaciones muestran una apariencia estriada patognomónica de estos lipomas.3

En ocasiones es difícil definir el origen exacto, especialmente cuando son grandes y con gran componente extramuscular que provienen de un músculo pequeño, de un lipoma intermuscular con infiltración secundaria al músculo adyacente.3

La escisión quirúrgica es el tratamiento de elección. Puede haber recurrencia en un rango de 14 meses a 19 años, con incidencia variable.3


REFERENCIAS (EN ESTE ARTÍCULO)

  1. Al-Ani Z, Fernando M, Wilkinson V, Kotnis N. The management of deep-seated, lowgrade lipomatous lesions. Br J Radiol. 2018; 91 (1086): 20170725. Available in: http://dx.doi.org/10.1259/bjr.20170725

  2. Murphey MD, Carroll JF, Flemming DJ, Pope TL, Gannon FH, Krandsdorf MJ. From the archives of the AFIP: benign musculoskeletal lipomatous lesions: benign musculoskeletal lipomatous lesions. Radiographics. 2004; 24 (5): 1433-1466. Available in: https://doi.org/10.1148/rg.245045120

  3. McTighe S, Chernev I. Intramuscular lipoma: a review of the literature. Orthop Rev (Pavia). 2014; 6 (4): 5618. Available in: http://dx.doi.org/10.4081/or.2014.5618

  4. Nishida J, Morita T, Ogose A, Okada K, Kakizaki H, Tajino T et al. Imaging characteristics of deep-seated lipomatous tumors: intramuscular lipoma, intermuscular lipoma, and lipoma-like liposarcoma. J Orthop Sci. 2007; 12 (6): 533-541. Available in: http://dx.doi.org/10.1007/s00776-007-1177-3

  5. Matsumoto K, Hukuda S, Ishizawa M, Chano T, Okabe H. MRI findings in intramuscular lipomas. Skeletal Radiol. 1999; 28 (3): 145-152. Available in: http://dx.doi.org/10.1007/s002560050491



AFILIACIONES

1 Hospital Angeles Pedregal.

2 Residente de Alta Especialidad de Resonancia Magnética en Sistema Musculoesquelético.

3 Médico radiólogo especialista en Resonancia Magnética. Profesor titular de los cursos de Alta Especialidad de Resonancia Magnética en Sistema Musculoesquelético y Cuerpo Completo.



Conflicto de intereses: la Dra. Raquel Estephanía Morales Jiménez y la Dra. María de Guadalupe Gómez Pérez declaran que no tienen ningún conflicto de intereses.

Financiamiento: no se recibe ninguna remuneración económica por esta publicación de caso clínico.



CORRESPONDENCIA

Dra. Raquel Estephanía Morales Jiménez. Correo electrónico: draestephmorales@gmail.com




Aceptado: 25-07-2023.

Figura 1
Figura 2

2020     |     www.medigraphic.com

Mi perfil

C?MO CITAR (Vancouver)

Acta Med. 2024;22

ARTíCULOS SIMILARES

CARGANDO ...