2024, Número 4
Neumoencéfalo secundario a la instalación del halo craneal para corrección de deformidad vertebral
Idioma: Español
Referencias bibliográficas: 10
Paginas: 247-251
Archivo PDF: 276.30 Kb.
RESUMEN
El artículo destaca una complicación grave ocurrida después de la instalación del halo craneal para corrección de una deformidad en la columna vertebral. Reporte del caso: se presenta un caso clínico luego del seguimiento clínico y quirúrgico del paciente, junto con la revisión de su historial médico. Discusión: se trata de una complicación rara, relacionada con la perforación de la tabla interna del cráneo, con solo tres casos previamente descritos. Estos casos presentaron síntomas agudos que condujeron al diagnóstico de la causa. Conclusión: la aplicación del halo puede ocasionar complicaciones y debe realizarse con precisión técnica.INTRODUCCIóN
El uso de un dispositivo de tracción en la columna vertebral utilizando un halo craneal fue reportado por primera vez por Nickel y colaboradores en 1968.1 El halo craneal ha sido utilizado para inmovilizar la inestabilidad de la columna cervical (trauma, enfermedades congénitas, infecciones, artritis reumatoide, enfermedad degenerativa, deformidades) y como método terapéutico adyuvante para la corrección gradual de deformidades de la columna.2,3 La tracción gravitacional con halo permite la corrección segura y gradual de la deformidad en la columna y la adaptación de la médula espinal a la fuerza correctiva axial. Se ha reportado una reducción de la curva de 30-40% después de la tracción.3
Aunque la tracción con halo gravitacional es un método seguro y más simple para el tratamiento preoperatorio de deformidades graves de la columna vertebral, el método presenta potenciales complicaciones. Las complicaciones más comunes son infección en el sitio del tornillo y aflojamiento del tornillo. Se han reportado parálisis de los nervios supraorbitario y supratroclear, parálisis del plexo braquial, absceso cerebral, disfagia y fractura iatrogénica de la columna cervical.4,5
Las complicaciones más graves de la tracción con halo gravitacional están relacionadas con la penetración de los tornillos en la tabla interna del cráneo.2 El neumoencéfalo es una complicación rara relacionada con la inserción de tornillos en la bóveda craneal y sólo hemos encontrado tres informes en la literatura.2,6,7
Presentamos un caso de neumoencéfalo después de la tracción con halo gravitacional y discutimos algunos temas relacionados con esta rara complicación.
PRESENTACIóN DEL CASO
Se admitió hombre de 59 años de edad con diagnóstico de neurofibromatosis tipo 2 para tratamiento quirúrgico de deformidad iatrogénica de la columna cervical, consecuencia de un tratamiento previo realizado en otro servicio (Figura 1). A la admisión, el paciente presentaba una deformidad cifótica de la columna cervical con fallo del sistema de fijación utilizado, con exposición del material de fijación y signos de infección en el sitio operado.
Se propuso la tracción con halo gravitacional para la corrección gradual de la deformidad y se instaló el halo craneal en la primera etapa del tratamiento quirúrgico junto con la instalación de los nuevos implantes, desbridamiento y retirada de los implantes expuestos (Figura 2).
En el periodo postoperatorio, el paciente refirió un dolor intenso en la región del tornillo anterior izquierdo. La intensidad del dolor no permitió la instalación de la tracción en el halo craneal, por lo que se suspendió el uso de la tracción en la programación terapéutica. Se retiró el halo craneal y se realizó la corrección de la deformidad mediante fijación posterior de la columna cervical desde C4 hasta T5.
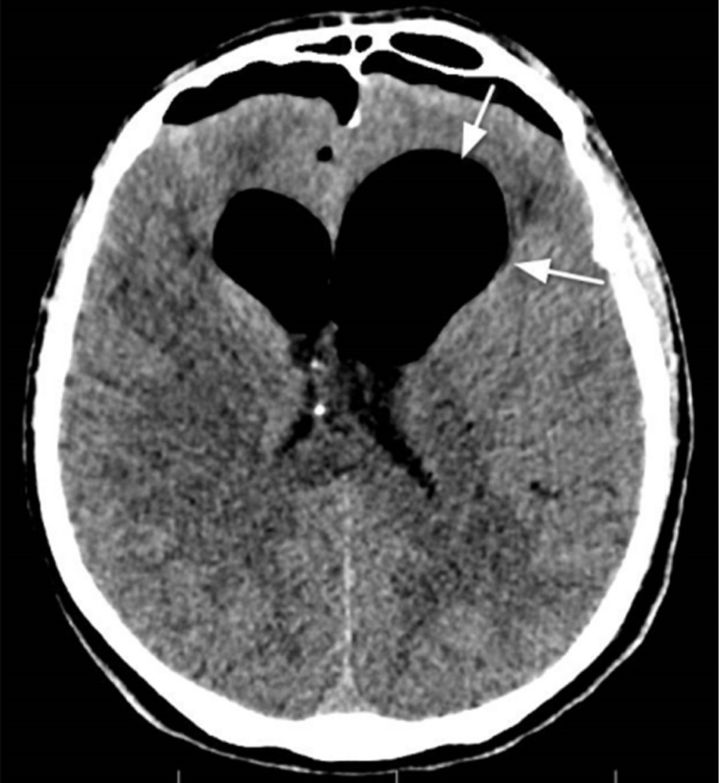
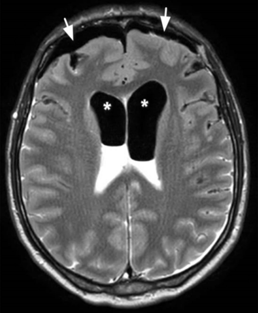
En el tercer día postoperatorio, el paciente presentó vómitos, cefalea, confusión mental y disminución del nivel de conciencia. La tomografía computarizada mostraba edema adyacente al lugar de inserción del tornillo frontal izquierdo, sin alteraciones en el parénquima encefálico o los ventrículos (Figura 3). El examen del líquido cefalorraquídeo mostraba signos sugestivos de proceso infeccioso (aumento de glucosa y proteínas). Se inició antibioticoterapia considerando la hipótesis diagnóstica de meningitis. El paciente mantuvo deterioro del nivel de conciencia. La exploración complementaria con resonancia magnética realizada después de once días mostró neumoencéfalo bilateral en la región frontal y en los ventrículos laterales (Figura 4). Diecisiete días después de la retirada del halo craneal, se realizó una tomografía computarizada que evidenció neumoencéfalo y neumoventrículo con signos de tensión y dilatación de los ventrículos laterales (Figura 5).
Se llevó a cabo un tratamiento conservador manteniendo al paciente en decúbito dorsal horizontal y suministrando oxígeno al 100%. Después de diez días, el paciente mostró una buena evolución clínica con remisión de los síntomas y recuperación de la conciencia. La resonancia magnética realizada después de 30 días mostró una absorción completa del neumoencéfalo.
DISCUSIóN
La tracción con halo gravitacional es un procedimiento seguro y efectivo como adyuvante para la corrección de la cifosis cervical.8 Proporciona una corrección gradual de la deformidad, reduce el riesgo de complicaciones neurológicas, disminuye el sangrado intraoperatorio y el tiempo quirúrgico en comparación con la corrección de la deformidad en un solo tiempo.9
Se han reportado complicaciones relacionadas con la inserción del tornillo, siendo las más comunes el aflojamiento del tornillo (36%), infección en el sitio del tornillo (20%) y lesión del nervio en la trayectoria del tornillo.5,10 La complicación más grave es la penetración del tornillo en la tabla interna del cráneo.2 La perforación de los huesos del cráneo se ha relacionado con la salida de líquido cefalorraquídeo en aproximadamente 1% de los casos y raramente puede ocasionar absceso intracraneal.2,6
El neumoencéfalo es una complicación rara de la tracción con halo gravitacional relacionada con la perforación de la tabla interna del cráneo. Solo hemos encontrado tres informes en la literatura, todos utilizando el halo para inmovilizar la columna cervical con un dispositivo halo-vest.2,6-8
A diferencia de nuestro paciente, en los tres casos reportados de neumoencéfalo se observaron síntomas neurológicos en la fase aguda. Similar a nuestro caso, los tres pacientes reportados en la literatura presentaron una resolución completa del neumoencéfalo y los síntomas neurológicos. A diferencia del caso notificado por Hashimoto y colaboradores,2 que presentaba déficit motor y fue tratado quirúrgicamente con craniectomía e irrigación salina, nuestro paciente no presentaba déficit focal y fue tratado de manera conservadora, con decúbito dorsal horizontal y suplementación de oxígeno al 100%. Ambos casos mostraron mejoría completa de los síntomas neurológicos. En un estudio de tomografía computarizada, el grosor promedio del hueso frontal y parietal en adultos fue 7.4 y 6.0 mm, respectivamente, y no se observaron diferencias estadísticas entre las referencias anatómicas clásicamente recomendadas y otras regiones de estos huesos. Sin embargo, se han observado variaciones anatómicas en los estudios de imágenes, y el riesgo de perforación de estos huesos debe ser aclarado antes de la instalación del halo craneal.9,10
La presencia de dolor en el sitio de aplicación del tornillo debe ser valorada mediante una evaluación adecuada. La tracción con halo gravitacional es un proceso doloroso y prolongado para los pacientes, por lo que debe explicarse adecuadamente antes de su aplicación, así como las posibles complicaciones que pueden ocurrir durante su uso.
CONCLUSIONES
El uso del halo craneal presenta grandes ventajas en la corrección de las deformidades de la columna vertebral. Sin embargo, su aplicación puede ocasionar complicaciones, por lo tanto, debe realizarse con rigor técnico. Las quejas clínicas del paciente deben ser valoradas después de su instalación y deben realizarse exámenes complementarios para diagnosticar las raras complicaciones descritas.
REFERENCIAS (EN ESTE ARTÍCULO)
Bogunovic L, Lenke LG, Bridwell KH, Luhmann SJ. Preoperative halo gravity traction for severe pediatric spinal deformity: complications, radiographic correction and changes in pulmonary function. Spine Deform. 2013; 1: 33-39. Garfin SR, Botte MJ, Waters RL, Nickel VL. Complications in the use of halo fixation device. J Bone Joint Surg Am. 1986; 68: 320-325.
AFILIACIONES
1 Departamento de Ortopedia e Anestesiologia da Faculdade de Medicina de Ribeirao Preto - USP.
ORCID:
2 0000-0003-4274-0130
3 0000-0002-4687-8578
4 0000-0001-5457-8527
5 0000-0002-5806-7334
6 0000-0003-3008-8843
7 0000-0002-8335-0465
Conflicto de intereses: el equipo quirúrgico no tiene ningún conflicto de intereses en relación a este caso.
CORRESPONDENCIA
Helton Luiz Aparecido Defino. E-mail: hladefin@fmrp.usp.brRecibido: 14 de Abril de 2024. Aceptado: 03 de Mayo de 2024
