medigraphic.com
ENGLISH

Revista Mexicana de Ortopedia Pediátrica

ISSN 2007-087X (Impreso)
Órgano Oficial de la Sociedad Mexicana de Ortopedia Pediátrica
  • Mostrar índice
  • Números disponibles
  • Información
    • Información general        
    • Directorio
  • Publicar
    • Instrucciones para autores        
  • medigraphic.com
    • Inicio
    • Índice de revistas            
    • Registro / Acceso
  • Mi perfil

2024, Número 1-3

<< Anterior Siguiente >>

Rev Mex Ortop Ped 2024; 26 (1-3)


Enclavado endomedular profiláctico en paciente con un fibroma no osificante: reporte de caso

Dania Calderón, Jorge1; Torrealba Araujo, José2
Texto completo Cómo citar este artículo 10.35366/118242

DOI

DOI: 10.35366/118242
URL: https://dx.doi.org/10.35366/118242
Artículos similares

Idioma: Español
Referencias bibliográficas: 12
Paginas: 32-35
Archivo PDF: 249.44 Kb.


PALABRAS CLAVE

fibroma no osificante, enclavado endomedular, defecto fibroso cortical, ortopedia infantil.

RESUMEN

El fibroma no osificante es definido como una lesión ósea de origen no neoplásico, caracterizada por la presencia de tejido fibroso en remolinos, se diferencia del defecto fibroso cortical por su tamaño, siendo el resultado del defecto de desarrollo del hueso cortical periosteal que lleva al fracaso de la osificación. Se presenta el caso de una adolescente femenina de 12 años quien presenta gonalgia, claudicación y rango de movilidad de rodilla izquierda disminuido y que en la tomografía computarizada (TC) se evidencia una lesión hipercaptante, hipointensa en T1, hiperintensa en T2, además de lesión cortical a nivel de ambos fémures distales. Se realiza planificación para toma de biopsia percutánea cuyo informe reporta fibroma no osificante de fémur distal bilateral, y se decide realizar cirugía de fémur distal derecho, en el caso se describen características clínicas y radiográficas del paciente y la resolución de éste.



INTRODUCCIóN

El fibroma no osificante es definido por la Organización Mundial de la Salud como una lesión ósea no neoplásica de etiología oscura, caracterizada por la presencia de tejido fibroso dispuesto en remolinos, conteniendo células gigantes multinucleadas, pigmento de hemosiderina e histiocitos cargados de lípidos. El fibroma no osificante (fibroma no osteogénico) y el defecto fibroso cortical (defecto metafisario) son las lesiones fibrosas más frecuentes del hueso y son histológicamente idénticas. Se diferencian por su tamaño, si es menor de 2 cm, se denomina defecto fibroso y si es mayor de 2 cm se le llama fibroma no osificante. La lesión es debida a la proliferación de bandas de células de tejido conjuntivo en el hueso; es el resultado del defecto de desarrollo del hueso cortical periosteal que lleva al fracaso de la osificación.1-3

No existen manifestaciones clínicas específicas y el diagnóstico se establece a menudo a partir de radiografías tomadas después de un traumatismo. Debido a su localización adyacente o cercana a la inserción de músculos, tendones y ligamentos, los síntomas como el dolor, en ocasiones no son interpretados con claridad y son confundidos con otras enfermedades, de allí la importancia de mantener un alto índice de sospecha de esta lesión.4 Los medios diagnósticos más empleados son la radiografía simple, tomografía computarizada (TAC) e imagen de resonancia magnética (IRM). La gammagrafía ósea muestra una imagen hipercaptante y en la fase de cicatrización existe aumento de la captación de forma homogénea.5



PRESENTACIóN DEL CASO

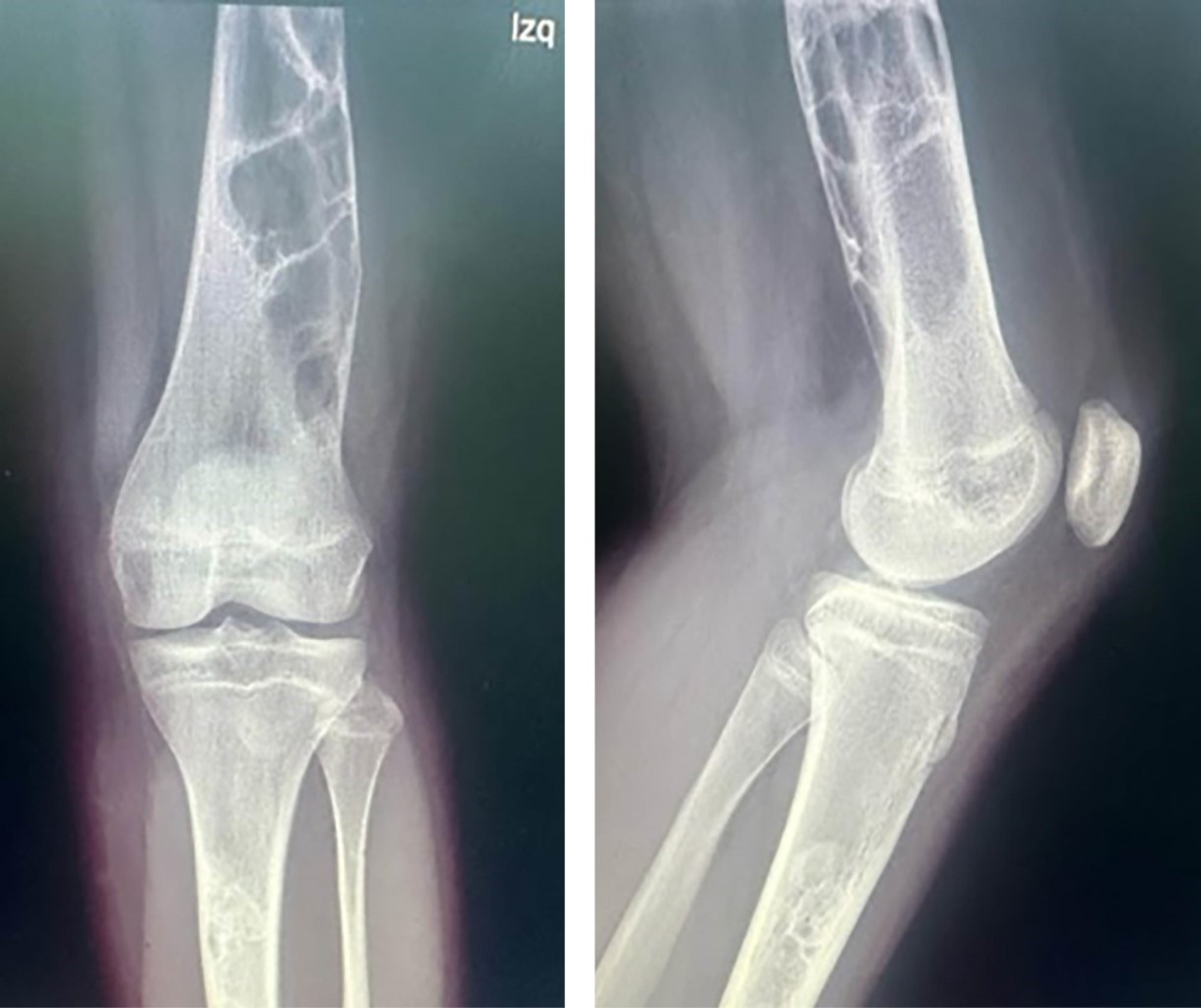
Paciente adolescente femenina de 12 años es evaluada en compañía de su madre, derivada por gonalgia izquierda en estudio de un año de evolución y tumor de fémur distal y tibia proximal izquierda, que se evidencia en radiografía anteroposterior (AP) y lateral de rodilla izquierda (Figura 1) y en radiografía AP y lateral de fémur distal izquierdo (Figura 2). Al examen físico presenta claudicación a la marcha y rango de movilidad de rodilla izquierda disminuido con dolor a la flexión > 90°. Se realizó resonancia magnética nuclear con contraste (Figura 3) con el hallazgo de una lesión hipercaptante, hipointensa en T1, hiperintensa en T2, además de lesión cortical a nivel de ambos fémures distales. Se complementa estudios con exámenes endocrinos con resultados dentro de límites normales y radiografías de huesos largos descartando algún otro foco de lesión.

Se realiza planificación para toma de biopsia percutánea, cuyo informe reporta fibroma no osificante de fémur distal bilateral. Se decide colocar inmovilizador de rodilla y deambulación con bastones en descarga de extremidad inferior izquierda como medida de protección a futura fractura de hueso patológico. Se mantuvo en controles semanales para evaluación clínica y radiológica con adecuada evolución, descartándose presencia de fractura. En control postoperatorio al mes, se indica retiro de inmovilizador e inicio de marcha libre en casa y uso de bastones para largos recorridos.

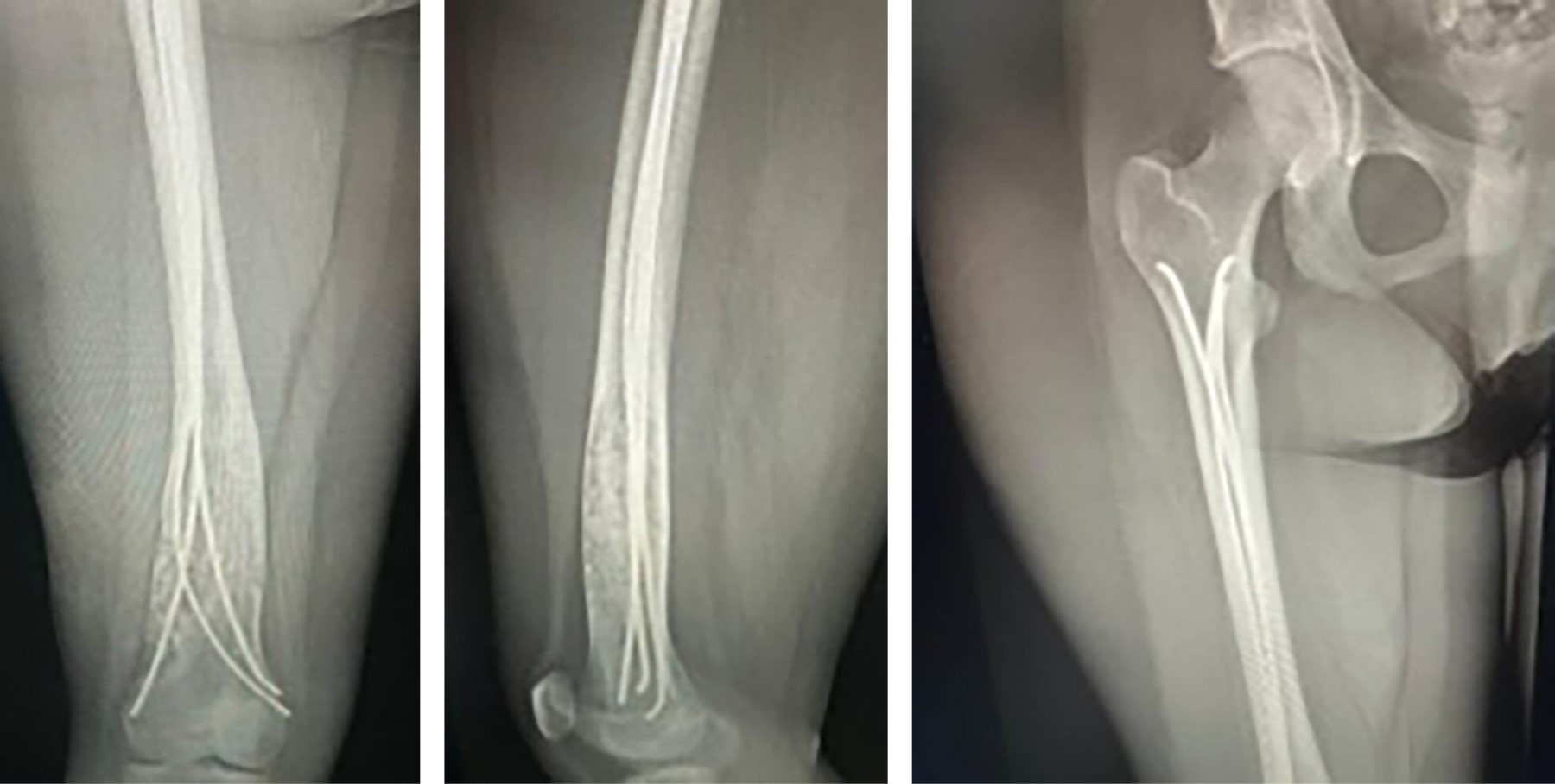
Se planifica cirugía de fémur distal derecho donde se realiza abordaje lateral de fémur distal derecho, se horada ventana cuadrada en región central de defecto principal, curetaje de la lesión, toma de tejido para biopsia y aseo con abundante suero fisiológico, luego se realiza curetaje a distal de la lesión completamente. Se rellena con 50 cm3 de aloinjerto óseo marca Sinermed (Providencia, Chile) en defecto metafisodiafisario, se determina el tamaño del istmo del canal medular y se introduce a nivel metafisodiafisario distal dos clavos TEN marca Synthes de 3.5 mm y uno de 2.5 mm contorneados con una curva de 45° en el extremo de inserción y una curvatura suave y uniforme sobre la longitud restante, entrelazadas entre sí en el canal medular, se comprueba adecuado relleno con injerto de la lesión y buena posición del hardware. Paciente permanece hospitalizada 72 horas postoperatorias con adecuada evolución y se da de alta con indicaciones de mantener la extremidad operada en descarga. Posteriormente asiste a control clínico, destacándose buena tolerancia al dolor con leve limitación a la flexoextensión, la radiografía de control postoperatorio muestra un adecuado posicionamiento de material de osteosíntesis y relleno óseo a nivel del defecto (Figura 4). Se inicia kinesioterapia y carga parcial. Al control radiológico se aprecian signos de consolidación en zona del injerto, por lo que se decide carga total a tolerancia y se controla al segundo mes de la cirugía, la paciente presenta mejoría en relación a marcha, mayor fuerza y rango articular de rodilla.



DISCUSIóN

El fibroma no osificante (FNO), también conocido como defecto fibroso metafisario o cortical, es considerado una lesión con regresión espontánea en la maduración esquelética. La presentación de esta enfermedad puede variar desde la forma asintomática hasta la presencia de fractura patológica. Debido a su localización adyacente o cercana a la inserción de músculos, tendones y ligamentos, los síntomas como el dolor, en ocasiones no son interpretados con claridad y son confundidos con otras enfermedades, de allí la importancia de mantener un alto índice de sospecha de esta lesión.6 El FNO predomina en el sexo masculino en 60% de los casos. La mayor incidencia ocurre en las dos primeras décadas de la vida, en especial la segunda.5

El diagnóstico de FNO en los huesos largos se basa en el aspecto radiográfico y clínico característico, típicamente el FNO aparece como una lesión asintomática multiloculada, a menudo identificada incidentalmente durante una evaluación radiografía indicada por otra razón.7 La arquitectura interior tiene una apariencia espumosa. Normalmente, hay una corteza de hueso reactivo o esclerosis que rodea la lesión. Puede haber adelgazamiento cortical y, en algún caso, una ligera expansión, que puede malinterpretarse como un cambio maligno. El tamaño varía de 0.5 a 7 cm. La localización más frecuente es las metáfisis de los huesos largos, sobre todo en extremidades inferiores, alrededor de la rodilla (fémur distal, tibia proximal o distal y peroné). En el hueso suelen ser excéntricos, varios centímetros apartados de la cortical y con más frecuencia intramedular. Muy raramente son sólo diafisarios. Por lo general las radiografías simples son suficientes para el diagnóstico, en caso de duda, se pueden realizar estudios de imagen adicionales.8

En los casos de una reacción perióstica lamelar interrumpida, los hallazgos radiográficos podrían imitar malignidad en el hueso.9 Sin embargo, una sola capa de formación de hueso nuevo en el periostio es típica de una lesión por estrés; la fractura y malignidad podrían ser excluidas debido a la falta de destrucción cortical o tumor extensión en los tejidos blandos circundantes.10 También podría considerarse una infección en el diagnóstico diferencial, si la naturaleza de esfuerzo del dolor de varios meses de duración junto con los hallazgos de laboratorio normales no descartaron esta posibilidad. La evidencia radiográfica de avance de la cicatrización ósea también podría ayudar al diagnóstico. En la mayoría de los pacientes, el tratamiento es conservador.11

Flinck y colegas realizan una comparación biomecánica de clavos endomedulares bloqueados semirrígidos versus clavos endomedulares elásticos de titanio en modelos de fractura de fémur, donde evalúan la combinación de dos clavos endomedulares elásticos de titanio de 4.0 mm o modelos de fracturas de fémur tratada con clavos endomedulares elásticos de titanio de 3.0 mm adicionales, producen una estabilidad mucho mayor. Los modelos tratados con dos clavos endomedulares elásticos de titanio de 3.0 mm tenían fallas en la estabilidad rotacional en muchas pruebas.12



CONCLUSIONES

El fibroma no osificante es una patología compleja, que necesita ser diagnosticada, evaluada y tratada de forma adecuada para obtener buenos resultados, en nuestro caso, posterior al diagnóstico, se realiza planificación para toma de biopsia percutánea y se decide realizar cirugía de fémur distal derecho, con buenos resultados, se describen características clínicas y radiográficas del paciente y la resolución de éste. Es importante tener en cuenta que es una patología donde no encontramos hallazgos clínicos característicos y/o distintivos, y que pueden tener una progresión variable en el tiempo, por lo que es ideal que se realicen más estudios e investigaciones sobre este cuadro.


REFERENCIAS (EN ESTE ARTÍCULO)

  1. Adriá-Mico JM, Ibor-Alos P, Marín-Marín M. Hallazgo casual tras esguince de rodilla en varón de 19 años. FMC. 2006; 13: 159.

  2. Olazabal-Zudaire A, Hernández-Morales D. Fibroma no osificante de la tibia. FMC. 2006; 13: 85.

  3. Álvarez A, Casanova C, Sánchez L, Manuel P. Fibroma no osificante. Estudio de 10 años. AMC. 2001; 5(5): 1-7.

  4. Gouin F, Noailles T, Waast D, Crenn V. Fibroma no osificante. EMC - Aparato Locomotor. 2018; 51(4):1-7. doi:10.1016/s1286-935x(18)41471-2

  5. Keny SM, Sonawane DV, Garg BK, Savant SP. Pathological fracture of the tibia in a monostotic anterior cortical fibrous dysplasia: hybrid fixation with unicorticalosteoperiosteal non-vascularized fibula graft - a case report. J Orthop Case Rep. 2020; 9 (6): 19-22.

  6. Eyesan SU, Katchy AU, Idowu OO, Adesina SA, Ayandele BO, Ano-Edward U. Non-ossifying fibroma of the right clavicle. Niger Postgrad Med J. 2018; 25(2): 126-129.

  7. Brassesco MS, Valera ET, Engel EE, Nogueira-Barbosa MH, Becker AP, Scrideli CA, Tone LG. Clonal complex chromosome aberration in non-ossifying fibroma. Pediatr Blood Cancer. 2010; 54: 764-767.

  8. Álvarez A, Casanova C, Sánchez L, Manuel P. Fibroma no osificante. Estudio de 10 años. AMC. 2001; 5(5): 1-7.

  9. Stacy GS, Kapur A. Mimics of bone and soft tissue neoplasms. Radiol Clin North Am. 2011; 49 (6): 1261-1286, vii.

  10. Shimal A, Davies AM, James SL, Grimer RJ. Fatigue-type stress fractures of the lower limb associated with fibrous cortical defects/non-ossifying fibromas in the skeletally immature. Clin Radiol. 2010; 65(5): 382-386.

  11. Easley M, Kneisl J. Pathologic fractures through nonossifying fibromas: is prophylactic treatment warranted? J Pediatr Orthop. 1997; 17: 808-813.

  12. Flinck M, von Heideken J, Janarv PM, Wåtz V, Riad J. Biomechanical comparison of semi-rigid pediatric locking nail versus titanium elastic nails in a femur fracture model. J Child Orthop. 2015 Feb; 9(1): 77-84. doi: 10.1007/s11832-014-0629-5. Epub 2014 Dec 16.



AFILIACIONES

1 Residente de postgrado Traumatología y Ortopedia, Universidad de Valparaíso, Chile.

2 Residente de postgrado Traumatología y Ortopedia, Universidad Finis Terrae, Chile.



NIVEL DE EVIDENCIA

IV (grado de recomendación C)



CORRESPONDENCIA

Dr. Jorge Dania Calderón. E-mail: jldania.2108@gmail.com




Recibido: 24/07/2023. Aceptado: 09/10/2024.

Figura 1
Figura 2
Figura 3
Figura 4

2020     |     www.medigraphic.com

Mi perfil

C?MO CITAR (Vancouver)

Rev Mex Ortop Ped. 2024;26

ARTíCULOS SIMILARES

CARGANDO ...