medigraphic.com
ENGLISH

Revista Mexicana de Ortopedia Pediátrica

ISSN 2007-087X (Impreso)
Órgano Oficial de la Sociedad Mexicana de Ortopedia Pediátrica
  • Mostrar índice
  • Números disponibles
  • Información
    • Información general        
    • Directorio
  • Publicar
    • Instrucciones para autores        
  • medigraphic.com
    • Inicio
    • Índice de revistas            
    • Registro / Acceso
  • Mi perfil

2024, Número 1-3

<< Anterior Siguiente >>

Rev Mex Ortop Ped 2024; 26 (1-3)


Pulgar trifalángico duplicado bilateral: reporte de un caso y su tratamiento

Soriano Márquez, Jorge Luis1,2; Maldonado Román, Claudio Alberto1,2; Pérez Martínez, Armando1,3; Cervantes Gudiño, Jorge Enrique1,4; Robles García, José Antonio1,5
Texto completo Cómo citar este artículo 10.35366/118243

DOI

DOI: 10.35366/118243
URL: https://dx.doi.org/10.35366/118243
Artículos similares

Idioma: Español
Referencias bibliográficas: 11
Paginas: 36-41
Archivo PDF: 419.08 Kb.


PALABRAS CLAVE

pulgar, trifalángico, bilateral.

RESUMEN

Introducción: la polidactilia radial engloba un grupo amplio de malformaciones congénitas del pulgar, siendo la segunda malformación congénita más frecuente de la mano, con una incidencia de 1 en 3,000 nacidos vivos. Objetivo: reportar el caso clínico de un paciente femenino lactante con presencia de un pulgar trifalángico duplicado bilateral, su protocolo diagnóstico, tratamiento y seguimiento durante un año. Caso clínico: paciente femenino de nueve meses con diagnóstico de polidactilia radial bilateral Wassel VII B más sindactilia cubital. Se realiza como tratamiento quirúrgico inicial una resección de pulgar cubital con técnica on top plasty, así como liberación quirúrgica de la sindactilia de manera bilateral. Dos años posteriores se realiza cirugía de corrección de pulgar trifalángico mediante una osteotomía de reducción, rotación y abducción del primer metacarpiano asociado a una osteotomía de reducción y artrodesis de la articulación interfalángica distal de manera bilateral. Se realiza seguimiento clínico de un año observando presencia de pulgar con buen aspecto (dos falanges, un pliegue de flexión interfalángico bien definido, lamina ungueal con crecimiento uniforme y altura del pulgar con relación a los demás dedos), con arcos de movilidad con adecuada abducción, extensión, flexión y oposición, presencia de pinza fina y gruesa, con adecuada fuerza muscular, sensibilidad conservada de forma bilateral. Conclusiones: las polidactilias del pulgar presentan una malformación congénita muy poco frecuente y con múltiples características que hacen difícil la toma de decisión en cuanto al tratamiento quirúrgico definitivo, por lo cual se debe realizar un análisis de la variante patológica de la malformación y los posibles tipos de tratamiento previo a su resolución final con el objetivo de presentar resultados funcionales y una evolución satisfactoria.



INTRODUCCIóN

La polidactilia radial engloba un grupo amplio de malformaciones congénitas del pulgar, siendo la segunda malformación congénita más frecuente de la mano, con una incidencia de 1 en 3,000 nacidos vivos.1 La primera clasificación de esta malformación congénita fue realizada por Wassel y colegas en el año de 1962, posterior al estudio de 70 casos de polidactilia radial donde se realizó una clasificación basada en el nivel de duplicación del pulgar. Después Wood y asociados2 y Miura T y colaboradores 1,3 realizaron descripciones de polidactilias complejas asociadas a pulgares trifalángicos. En 2007 se realizó un sistema de clasificación incluyendo todas las descripciones con un total de 121 polidactilias radiales, en la cual observamos que el tipo VII B, la cual se define como una polidactilia radial trifalángica en ambos dedos a nivel de metacarpiano, representa 4% de este tipo de malformaciones.4 Dicha malformación también puede ser valorada por el sistema de clasificación de Oberg-Manske-Tonkin (OMT) la cual permite que las anomalías congénitas de las extremidades superiores se registren bajo sus diagnósticos específicos, la polidactilia radial se incluye dentro de los patrones en la diferenciación anormal del eje correspondiente al tipo B, en la subclasificación II del eje radiocubital anteroposterior.5,6 En una serie de 187 manos con pulgares trifalángicos, 62% de los pacientes presentaban asociación con polidactilia radial,7 la presentación bilateral de dicha deformidad es muy poco común, en la literatura se encuentra un reporte de un paciente masculino con presencia de pulgar trifalángico duplicado bilateral, el cual presenta asociación con labio hendido.8

El objetivo de este estudio es presentar el caso clínico de una paciente lactante mayor con presencia de un pulgar trifalángico duplicado bilateral, su protocolo diagnóstico, tratamiento y seguimiento.



PRESENTACIóN DEL CASO

Se trata de paciente femenino de nueve meses de edad, originaria y residente de la ciudad de Aguascalientes, sin antecedentes personales patológicos o heredofamiliares de importancia.

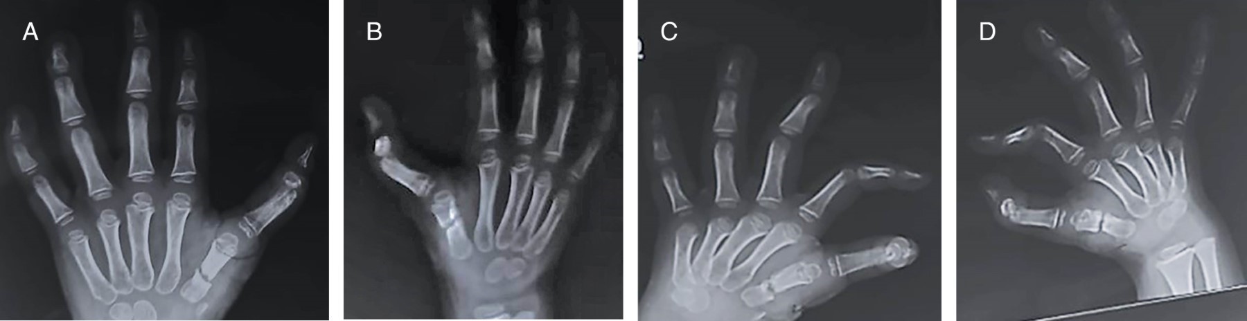
Es llevada a consulta de ortopedia pediátrica debido a presentar un pulgar trifalángico duplicado bilateral así como sindactilia de cuarto y quinto dedo de mano izquierda. En la exploración física inicial, la paciente presenta en ambas manos pulgares supernumerarios, ambos pulgares de longitud anormal, que sobrepasan la articulación interfalángica proximal del dedo índice, pulgar del lado radial sin flexo-extensión, pulgar radial y cubital bilateral con oposición inadecuada, además en mano izquierda presencia de sindactilia de anular y meñique. Radiografía dorso-palmar mano bilateral: donde se observa la presencia de una polidactilia radial, con metacarpo supernumerario y tres falanges. Mano derecha: donde se observa la presencia de un dedo pulgar supernumerario, dependiente de la primera articulación metacarpofalángica, con presencia de pulgar trifalángico, con falange adicional completa (Figura 1). Se ingresa a cargo del servicio de ortopedia pediátrica, para una resección de pulgar radial, la cual se realiza mediante la siguiente técnica quirúrgica: paciente bajo anestesia regional, se realiza una incisión dorsal en el espació entre el pulgar cubital y el dedo índice, además de una incisión a través de las articulaciones metacarpofalángicas, se procede a realizar una resección de la porción proximal del pulgar radial, mediante microsierra, posteriormente se realiza una osteotomía en metacarpiano de pulgar radial a nivel proximal, realizando una resección de todas las estructuras distales a dicho dedo, se realiza reducción y reconstrucción de metacarpos según la técnica de on top plasty y se fija con clavillos Kirschner de 1.2 mm, después se realiza la transferencia de abductor pollicis longus, flexor pollicis brevis y oponente del pulgar, se cierran heridas con sutura absorbible, se realiza mismo procedimiento en ambas manos.

Se mantiene con inmovilización tipo corbata durante cuatro semanas, posterior a esto se retira y se solicitan radiografías de control dorso-palmar y oblicuas de ambas manos observando datos de consolidación ósea grado II de Montoya a nivel de diáfisis media de primeros metacarpianos de ambos dedos (Figura 2).

Un año después de la primera cirugía se observa presencia de pulgar trifalángico bilateral, con actitud en rotación externa de ambos pulgares con dificultar para la oposición y movimientos de pinza gruesa y fina, se solicitan radiografías dorso-palmares y oblicuas de mano observando consolidación total de ambos metacarpianos. Dos años posteriores acude a consulta de seguimiento donde se observa radiográficamente una consolidación total de primer metacarpiano bilateral, así como la presencia de una falange intermedia tipo rectangular (Figura 3), clínicamente se observa en ambas manos presencia de pulgar trifalángico, con dedo en actitud de rotación externa con dificultad para la oposición, con una longitud similar a dedo índice (Figura 4).

Se procede a realizar una segunda intervención quirúrgica, se inicia por mano derecha, bajo anestesia general con la paciente en decúbito supino, con isquemia mediante vendaje smarch y bajo visión microquirúrgica, se procede a con osteotomía de reducción, rotación y abducción de primer metacarpiano, se realiza una incisión en Z en cara dorsal de primer metacarpiano y disección por planos, se realiza una ventana entre extensor policis brevis y extensor policis longus, posteriormente procedemos a realizar una diafisectomía oblicua a nivel de diáfisis media de primer metacarpiano, realizando un acortamiento de 1 cm de la longitud de metacarpiano, así como restauración en la abducción y rotación interna de todo el pulgar, se procede a mantener la posición mediante un clavillo Kirschner de 1.2 mm, posteriormente se procede a realizar una incisión en H a nivel de segundo y tercer metacarpiano, procedemos a realizar disección por planos, ubicamos la articulación interfalángica distal y procedemos a realizar resección de cápsula articular en su totalidad, posteriormente procedemos a ubicar la porción fisaria de la tercer falange, y realizamos una resección de la porción epifisaria, procedemos a realizar remodelación de segmento distal conservando la inserción del extensor policis longus, posteriormente procedemos a realizar una osteotomía en tercio proximal de segunda falange, transversa , con un margen de 0.7 mm de distancia de la zona fisaria sin lesionarla, seguida de una fijación entre el segmento distal de la tercera falange y el segmento proximal de segunda falange fijándola mediante un clavillo Kirschner de 1.2 mm, se procede a con irrigación de heridas se corrobora adecuada fijación mediante fluoroscopia, se realiza sutura de con monocryl 3-0, se retira isquemia corroborando ausencia de sangrado activo, se procede a colocar una férula tipo corbata y un vendaje simple, posteriormente se realiza mismo procedimiento quirúrgico en mano izquierda, con una duración total de 2 horas y 30 minutos, con un sangrado mínimo, tiempo de isquemia por miembro superior de 1 hora y 10 minutos, sin complicaciones transoperatorias (Figura 5).

La paciente egresa a su domicilio, con profilaxis antibiótica a base de cefalotina y analgésicos, se mantiene vigilancia estrecha semanal en la consulta externa para valoración de heridas y llenado capilar. Se realiza valoración a las cinco semanas postquirúrgicas con nueva radiografía de control, donde se observa adecuada cicatrización de tejidos blandos, sitio de entrada de calvillos sin datos de sangrado o exudado, sin presencia de eritema (Figura 6); acude con radiografía de control donde se observan datos de consolidación ósea a nivel de primer metacarpiano, así como una fusión entre la porción proximal de f2 y la porción distal de f3 de ambos pulgares (Figura 7), clínicamente sin dolor, se retiran clavillos y se envía a rehabilitación. Un año posterior al segundo evento quirúrgico la paciente es valorada, encontrando mano derecha e izquierda con presencia de pulgar con adecuado aspecto (dos falanges, un pliegue de flexión interfalángico bien definido, lamina ungueal con crecimiento uniforme y altura del pulgar con relación a los demás dedos), en ligera rotación interna, con arcos de movilidad con adecuada abducción, extensión, flexión y oposición, presencia de pinza fina y gruesa, con adecuada fuerza muscular, sensibilidad conservada de forma bilateral (Figura 8).



DISCUSIóN

En el presente reporte se evaluó el caso de un paciente femenino con diagnóstico inicial de polidactilia radial trifalángica bilateral, clasificada como Wassel modificada VII B. La presencia de un pulgar trifalángico es rara, comúnmente suele estar acompañada de otro tipo de malformaciones en 68% de los casos, siendo la más frecuente la polidactilia radial, en la cual se observa un antecedente familiar.5 En el caso de nuestra paciente, se realizó el interrogatorio intencionado en presencia de familiares de primer y segundo grado con antecedente de pulgar trifalángico o polidactilia radial, siendo negativo. Con respecto al tratamiento inicial se decidió la realización del tratamiento en dos tiempos debido a la complejidad del caso, inicialmente se decidió tratar la polidactilia radial, utilizamos la técnica on top plasty descrita por Dobyns y colegas,9 conservando la porción proximal del pulgar más radial, la cual presentaba una articulación trapecio metacarpiana integra y funcional, adicionalmente nos permitió aumentar el primer espacio interfalángico, permitiendo en un segundo tiempo realizar sólo la resección de la falange supernumeraria. Para el segundo procedimiento quirúrgico decidimos utilizar la combinación de dos procedimientos, el primero en realizarse fue la osteotomía de reducción, rotación y abducción del primer metacarpiano asociado, posteriormente, una osteotomía de reducción y artrodesis de la articulación interfalángica distal, según lo descrito por Hovius y colaboradores en 2004,10 donde asocia estas dos técnicas en pacientes con falange intermedia rectangular, el cual es el caso de nuestro paciente, clasificada por Wood11 en su descripción realizada en 1976.



CONCLUSIONES

Las polidactilias del pulgar presentan una malformación congénita muy poco frecuente y con múltiples características, las cuales hacen difícil la toma de decisión en cuanto al tratamiento quirúrgico definitivo, por lo cual se debe realizar un análisis de la variante patológica de la malformación y los posibles tipos de tratamiento previo a su resolución final con el objetivo de presentar resultados funcionales y una evolución satisfactoria.


REFERENCIAS (EN ESTE ARTÍCULO)

  1. Watt AJ, Chung KC. Duplication. Hand Clin. 2009; 25(2): 215-227. Available in: http://dx.doi.org/10.1016/j.hcl.2009.01.001.

  2. Wood VE. Polydactyly and the triphalangeal thumb. J Hand Surg Am. 1978; 3(5): 436-444. Available in: http://dx.doi.org/10.1016/s0363-5023(78)80136-1.

  3. Miura T. Triphalangeal thumb. Plast Reconstr Surg. 1976; 58(5): 587-594. Available in: http://dx.doi.org/10.1097/00006534-197611000-00009

  4. Zuidam JM, Selles RW, Ananta M, Runia J, Hovius SER. A classification system of radial polydactyly: inclusion of triphalangeal thumb and triplication. J Hand Surg Am. 2008; 33(3): 373-377. Available in: http://dx.doi.org/10.1016/j.jhsa.2007.12.012.

  5. Tonkin MA, Oberg KC. The OMT classification of congenital anomalies of the hand and upper limb. Hand Surg. 2015; 20(3): 336-342. doi: 10.1142/S0218810415400055.

  6. Goldfarb CA, Ezaki M, Wall LB, Lam WL, Oberg KC. The oberg-manske-tonkin (OMT) classification of congenital upper extremities: update for 2020. J Hand Surg Am. 2020; 45(6): 542-547. doi: 10.1016/j.jhsa.2020.01.002. Epub 2020 Feb 21. Erratum in: J Hand Surg Am. 2020; 45(8): 771-772.

  7. Potuijt JWP, Galjaard RH, van der Spek PJ, van Nieuwenhoven CA, Ahituv N, Oberg KC, et al. A multidisciplinary review of triphalangeal thumb. J Hand Surg Eur Vol. 2019; 44(1): 59-68. Available in: http://dx.doi.org/10.1177/1753193418803521.

  8. Calcia A, Gai G, Di Gregorio E, Talarico F, Naretto VG, Migone N, et al. Bilaterally cleft lip and bilateral thumb polydactyly with triphalangeal component in a patient with two de novo deletions of HSA 4q32 and 4q34 involving PDGFC, GRIA2, and FBXO8 genes. Am J Med Genet A. 2013; 161A(10): 2656-2662. Available in: http://dx.doi.org/10.1002/ajmg.a.36146

  9. Dobyns JH, Lipscomb PR, Cooney WP. Management of thumb duplication. Clin Orthop Relat Res. 1985; 195(5): 26-44.

  10. Hovius SER, Zuidam JM, de Wit T. Treatment of the triphalangeal thumb. Tech Hand Up Extrem Surg. 2004; 8(4): 247-256. Available in: http://dx.doi.org/10.1097/00130911-200412000-00008

  11. Wood VE. Treatment of the triphalangeal thumb. Clin Orthop Relat Res. 1976; (120): 188-200. Available in: http://dx.doi.org/10.1097/00003086-197610000-00029



AFILIACIONES

1 Centenario Hospital Miguel Hidalgo, Aguascalientes, México.

2 Residente de cuarto año.

3 Residente de segundo año.

4 Médico adscrito al Servicio de Ortopedia Pediátrica.

5 Médico adscrito al Servicio de Cirugía de Mano.



NIVEL DE EVIDENCIA

IV



CORRESPONDENCIA

Dr. Jorge Luis Soriano Márquez. E-mail: jorge.luis.soriano@outlook.com




Recibido: 22/10/2023. Aceptado: 10/09/2024.

Figura 1
Figura 2
Figura 3
Figura 4
Figura 5
Figura 6
Figura 7
Figura 8

2020     |     www.medigraphic.com

Mi perfil

C?MO CITAR (Vancouver)

Rev Mex Ortop Ped. 2024;26

ARTíCULOS SIMILARES

CARGANDO ...