medigraphic.com
ENGLISH

Revista Mexicana de Ortopedia Pediátrica

ISSN 2007-087X (Impreso)
Órgano Oficial de la Sociedad Mexicana de Ortopedia Pediátrica
  • Mostrar índice
  • Números disponibles
  • Información
    • Información general        
    • Directorio
  • Publicar
    • Instrucciones para autores        
  • medigraphic.com
    • Inicio
    • Índice de revistas            
    • Registro / Acceso
  • Mi perfil

2024, Número 1-3

<< Anterior

Rev Mex Ortop Ped 2024; 26 (1-3)


Dificultad respiratoria leve asociada a quilotórax masivo y destrucción ósea masiva. Síndrome de Gorham-Stout. Estudio de un caso

Vera-Nava, Alejandro1; Flores-Fernández, Mariel2; Vargas-Gonzalez, Roberto3; Castelán-Estrada, Elías Rogelio4; Marrufo Sumano, Esteban5
Texto completo Cómo citar este artículo 10.35366/118244

DOI

DOI: 10.35366/118244
URL: https://dx.doi.org/10.35366/118244
Artículos similares

Idioma: Español
Referencias bibliográficas: 8
Paginas: 42-47
Archivo PDF: 296.91 Kb.


PALABRAS CLAVE

Gorham-Stout, insuficiencia musculoesquelética, dificultad respiratoria, quilotórax, osteólisis invasiva, bifosfonatos.

RESUMEN

El síndrome de Gorham-Stout, hueso evanescente o fantasma u osteólisis masiva idiopática es una entidad patológica poco conocida, de la cual, hasta el momento, se desconoce el cursor etiopatogénico. Sin embargo, en su histología se ha demostrado típicamente resorción ósea y alteración a nivel de los tejidos vasculares o linfáticos, el cual clínicamente se acompaña de dificultad respiratoria de inicio insidioso asociado a quilotórax masivo y a datos radiográficos de osteólisis masiva en distintas regiones óseas anatómicas. En este artículo se presenta un caso clínico de un escolar quien, ante el desconocimiento de la enfermedad, es abordado como una artritis séptica, posteriormente ante la evolución tórpida se trata de manera multidisciplinaria con el objetivo de llegar al diagnóstico.



INTRODUCCIóN

El síndrome de Gorham-Stout (GSD) es un padecimiento raro, de etiología idiopática y clínica agresiva que se caracteriza por una osteólisis importante que afecta a cualquier estructura ósea del cuerpo y se acompaña de afectación a nivel pulmonar. El primer caso se describió en 1838 por Jackson y en 1955 por Gorham y Stout.1 En 2005 se publicaron 28 reportes de los cuales la mayor afectación ósea se estableció a nivel de columna vertebral;2 a la fecha encontramos menos de 300 casos publicados. Este padecimiento parece no tener predilección por el sexo, área geográfica o edad; la mayoría de los casos que se han descrito han ocurrido antes de los 40 años, con una edad promedio de 25 años.3 Alrededor de 50% de todos los pacientes presentan un episodio de trauma antes del diagnóstico.3



PRESENTACIóN DEL CASO

Se trata de paciente de 13 años, de sexo masculino, con antecedente de hipotiroidismo congénito, sin antecedentes familiares y perinatales de importancia; con antecedente de caída de su propia altura que le condicionó clínica a nivel de cadera izquierda, protocolizada inicialmente como artritis séptica por facultativo en el año 2017. Ingresa por primera vez al hospital en mayo del año 2022, por consulta externa de ortopedia e infectología pediátrica con el objetivo de continuar vigilancia por secuelas de osteomielitis de cadera izquierda secundario a síndrome hemofagocítico en el año 2017, el cual es diagnosticado y manejado quirúrgicamente en unidad hospitalaria externa.

A la exploración física inicial encontramos a paciente fenotípicamente masculino, neurológicamente íntegro, toracoabdominal asignológico en ese momento, con talla baja para la edad. A la exploración dirigida se observa moderada escoliosis torácica, hipotrofia muscular, se palpan adenomegalias prominentes en región axilar izquierda, aumento de volumen en región de muslo izquierdo, con cicatriz hipertrófica en cara lateral proximal de cadera izquierda, sin datos de infección; fuerza muscular en extremidades superiores y arcos de movilidad conservados, marcha bipodálica, plantígrada, con leve basculación hacia la izquierda secundario al acortamiento de extremidad pélvica izquierda de menos de 2 cm, arcos de movilidad completos, no dolorosos y fuerza disminuida en escala de Daniels 4/5, con ayuda de ortesis para su desplazamiento.

Durante su seguimiento hospitalario por consulta externa, durante el año 2022, es valorado por el servicio de ortopedia pediátrica quien al no cursar con reactividad de la enfermedad establece un manejo expectante y complementario con terapia física. A su vez es valorado por servicios complementarios como endocrinología para el manejo del hipotiroidismo, talla baja, pubertad retardada y osteopenia, la cual se manejó con levotiroxina 125 μg/día, colecalciferol 4,000 UI al día y suplementación con testosterona. Debido a la persistencia de las adenopatías axilares, de predominio izquierdo y a la deficiencia progresiva para la deambulación, en el año 2023 el servicio de infectología decide iniciar protocolo de estudio para descartar Bartonella henselae y toma de biopsia de ganglio axilar para tuberculosis ósea. Sin embargo, dichos resultados se reportaron negativos, con reporte histopatológico de hiperplasia folicular. A su vez se descarta artritis juvenil por el servicio de reumatología debido a la cronicidad del padecimiento articular a nivel de cadera izquierda. Para el 27/07/23 acude nuevamente al servicio de ortopedia por aparente fractura de fémur izquierdo en terreno previamente lesionado; debido a los hallazgos de lesión ósea severa se opta por establecer un manejo conservador y se le solicita control tomográfico de pelvis y cadera izquierda, en los cuales se evidencia progresión de las lesiones óseas hasta la evanescencia de los segmentos óseos, por lo que se continúa con protocolo de estudio mediante servicios complementarios.

Debido al estado inmunocompetente del paciente, al antecedente de síndrome hemofagocítico, a la leucopenia persistente y evolución tórpida es valorado por el servicio de Inmunoalergología pediátrica por la sospecha de enfermedad por hongos de cadera izquierda. Los estudios de laboratorio reportaron: IgE = inmunoglobulina E 365, PCR = reacción en cadena de la polimerasa < 6, IgG = inmunoglobulina G 2,722, IgA = inmunoglobulina A 212, IgM = inmunoglobulina M 119, BH = biometría hemática leucocitos 4,860, neutrófilos 3,600, BH 12, plaquetas 343,000 y virus de inmunodeficiencia humana (VIH) negativo. Clínicamente se hallan datos clínicos de ocupación pulmonar por lo que se decide su ingreso para iniciar su protocolo de estudio.

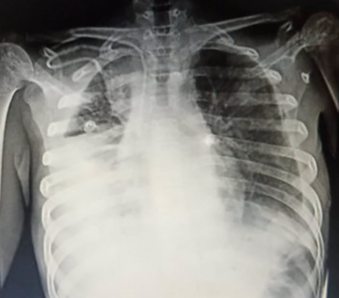
Estado al ingreso: presenta dificultad respiratoria de inicio insidioso y leve, a nivel torácico se ausculta hipoventilación y matidez basal de predominio derecho, a nivel abdominal hepatomegalia y esplenomegalia. Espalda baja con aumento de volumen, cadera izquierda con aumento de temperatura local, con dificultad para la bipedestación y la marcha, con ayuda de ortesis para su traslado. Por último, a nivel de genitales se halla hidrocele izquierda. Motivo por el cual se inicia protocolo de estudio con toma de radiográfico de tórax, el cual mostró derrame pleural en hemitórax derecho de etiología a determinar (Figura 1). Ameritó manejo por el servicio de cirugía para colocación de sello pleural con drenaje de alto gasto 3,400 mL de características lechoso, turbio, quilo con aumento del gasto de 4,500 cm3 con un total de 7,900 cm3. Durante su estancia hospitalaria se realiza reposición de líquidos a 100% más albumina. Así como manejo con oxígeno suplementario 5 L/min y antibioticoterapia con doble esquema de ceftriaxona y clindamicina. Se recaba estudio citológico y citoquímico de líquido pleural en el cual se halló un aumento de triglicéridos, por lo que se inicia manejo con octreotide. Tras una evolución tórpida, donde aumenta el gasto del quilotórax, con aumento de requerimiento de oxígeno a 7 L/min, una atelectasia sobreagregada y datos ultrasonográficos de fungomas en bazo, se inician cuidados avanzados por el servicio de unidad de cuidado intensivos (UCI) y se agrega anfotericina B al esquema antimicrobiano. Por otro lado, se realiza protocolo de estudio de baciloscopias seriadas para descartar tuberculosis ósea y marcadores tumorales con reporte negativos para ambos (fracción beta gonadotropina coriónica humana (GCH) 0.100 y alfafetoproteína (AFP) 0.60).

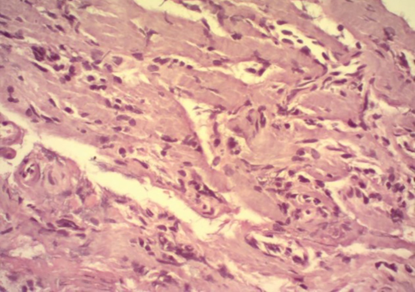
Tras mes y medio de hospitalización y 20 días de manejo antimicrobiano se decide cierre de conducto linfático por parte del servicio de cirugía, que si bien durante los primeros días muestra decremento del derrame pleural, ésta recidiva nuevamente con gasto alto. Durante su seguimiento por parte del servicio de ortopedia pediátrica tras la documentación del quilotórax masivo y la evanescencia progresiva de las regiones óseas de la columna dorso lumbar, pelvis y caderas se decide la toma de biopsia de tejido óseo de región clavicular (Figura 2). Esto con el objetivo de llegar al diagnóstico, ya que nos encontrábamos ante la alta sospecha de un síndrome de angiogénesis y linfangiomatosis. Cabe destacar que la sospecha diagnóstica se consideró ya que se contaba con el conocimiento previo de la existencia de este padecimiento. El resultado histopatológico de la muestra ósea reportó: angiomatosis y linfangiomatosis compatible con síndrome de Gorham-Stout (Figura 3).

Se inicia sirolimus 1.6 mg al día y se continúa con octreótida, mostrando una reducción del quilotórax a 90 mL, una mejoría hemodinámica y ventilatoria. Actualmente el paciente, tras un año de evolución, se encuentra hemodinámicamente estable, sin recidiva pulmonar. Sin embargo, a nivel osteomuscular con un pronóstico desfavorable, se observa un fenotipo caquéxico, con tórax en tonel y atrofia muscular (Figura 4). Topográficamente persiste la destrucción ósea marcada a nivel columna, pelvis y cadera izquierda.



DISCUSIóN

El síndrome de Gorham-Stout es una enfermedad desafiante en cuanto al diagnóstico y manejo. Ya que si no estamos relacionados con el conocimiento de este padecimiento llegar al diagnóstico puede ser complejo, tardío y perjudicial para el paciente, puesto que retrasa su manejo. Como sucede en este caso que, tras dos meses del padecimiento, múltiples estudios e intervenciones se dio con el diagnostico por exclusión. Las manifestación clínica varía con edades de inicio que oscilan entre un mes y 92 años. La gravedad de la enfermedad suele depender de las estructuras complicadas y la progresión de la osteólisis, por lo general no hay síntomas.4 Si embargo, existen casos en donde se asocian a un trauma previo.3,4 Como en el presente caso, el cual presentó una fractura en terreno previamente lesionado, aun después del inicio de la enfermedad. Dentro de los datos clínicos que más destacan son: malestar localizado, hinchazón, debilidad, deformidad,1 deterioro funcional de las extremidades afectadas, dificultad e insuficiencia respiratoria, problemas neurológicos, deformidades y parálisis conjuntas.3,4 Las áreas afectadas son las costillas, la columna vertebral, la pelvis, los huesos de las extremidades y omóplatos.4 Siendo los sitios comúnmente involucrados el cráneo, el hombro y la pelvis.3 El diagnóstico se realiza mediante los aspectos clínicos antes mencionados y los elementos imagenológicos como estudios radiográficos o tomográficos. Dentro de los hallazgos diagnósticos podemos encontrar en estudios imagenológicos datos de derrame pleural compatible con quilotórax masivo,5 el cual se presenta como una complicación de esta enfermedad tras invadir la pleura o el conducto torácico, siendo la causa de la insuficiencia respiratoria y la inestabilidad hemodinámica.6 Aunado a estos podemos encontrar, en estudios radiográficos y tomográficos, fracturas previas durante el periodo agudo de la enfermedad6 o imágenes de tumoraciones líticas7 con destrucción masiva a nivel de pelvis y columna vertebral, que de acuerdo con su etapa diagnóstica condicionan deterioro neurológico.

El diagnóstico es clínico, complementado por estudios de imagen y se realiza por exclusión de afecciones como trastornos de tiroides o paratiroides, cáncer, linfoma, trastornos autoinmunes y otros síndromes con osteólisis masiva,7 pero principalmente se da al blanco mediante el estudio histopatológico que reporta proliferación anormal de linfáticos no neoplásicos, vasculares o tejido conectivo fibroso hiperplásico sin atipia celular, infiltración de células inflamatorias u osteoclastos, es decir, la osteólisis masiva se acompaña de angiogénesis y linfangiomatosis, con proliferación de estructuras vasculares benignas y destrucción de matriz ósea3 como el reporte histopatológico de nuestro caso. Dentro de la literatura se encontró que Heffez estableció un conjunto de criterios de diagnóstico para GSD: 1) biopsia que muestra tejido angiomatoso o tejido conectivo fibroso; 2) ausencia de atipia celular; 3) mínima o nula respuesta osteoblástica y ausencia de calcificaciones distróficas; 4) evidencia de progreso de resorción ósea local; 5) la lesión no es ulcerosa y no provoca expansión cortical; 6) ausencia de afectación visceral; 7) patrón radiográfico osteolítico y 8) etiología hereditaria, metabólica, neoplásica, inmunológica e infecciosa negativa. Teniendo en cuenta que los aspectos comórbidos del paciente pudieron ser un factor de riesgo para su presentación.

Al ser un padecimiento de exclusión no existe una guía de manejo para su diagnóstico y tratamiento oportuno, ya que debe ser multidisciplinario con servicios como cirugía general para el manejo y estudio del gasto pleural, endocrinología, ortopedia para el manejo de las deficiencias minerales óseas y el manejo de las lesiones musculoesqueléticas; oncología, inmunología, entre otros. El tratamiento farmacológico descrito en las revisiones literarias hace alusión a la implementación de interferón, bifosfonatos,1,2 sales de calcio y vitamina; interferón y ácido zoledrónico; ciclofosfamida y fluoro uracilo; calcitonina, alendronato sódico y sirolimus. El sirolimus es un inhibidor de rapamicina (mTOR), que tiene actividad antiangiogénica y el efecto de mejorar síntomas clínicos y calidad de vida en los pacientes.6,8 Para el quilotórax, el tratamiento quirúrgico incluye drenaje, ligadura del conducto torácico, pleurodesis y cirugía torácica. La radioterapia puede ser eficaz para prevenir la progresión de la enfermedad.6,8 Como se mostró en nuestro caso la implementación quirúrgica junto con el sirolimus mostró una evolución favorable en nuestro paciente tras sólo unos días del inicio de la terapia y a un año de evolución continua sin recidiva. Tras la experiencia ortopédica con estos pacientes, se ha visto que el abordaje quirúrgico mediante la estabilización ortopédica de las lesiones óseas puede asociarse a una aceleración de la destrucción ósea, por lo cual se sugiere un manejo expectante. Por último, la cronicidad de la enfermedad es lenta en estos pacientes, se estima una mortalidad global de 13% con un aumento de 30% cuando ésta afecta la columna por las complicaciones implicadas y de 6-50% en los casos que se acompaña de quilotórax,8 siendo más sombrío su pronóstico. Si hablamos de un pronóstico funcional es desfavorable a largo plazo ya que no permitirá que nuestro paciente regrese a su estilo de vida convencional.



CONCLUSIONES

El síndrome de Gorham-Stout, al ser un padecimiento raro y no tener el conocimiento necesario de la enfermedad, puede confundirse con un sinfín de diagnósticos diferenciales y de manera subsecuente nos lleva un abordaje inadecuado del paciente y como consecuencia a retardar el diagnóstico oportuno y la terapia adecuada para la enfermedad.

El objetivo de este artículo es brindar el conocimiento y dar a conocer nuestra experiencia con esta entidad patológica, para que al enfrentarnos a un paciente previamente sano, funcionalmente hablando, con o sin antecedente de traumatismo que llega a consulta con datos clínicos de deterioro osteomuscular, dificultad respiratoria, lesiones líticas masivas y datos sugerentes de derrame pleural asociado a un quilotórax, tener en cuenta que nos podemos encontrar frente la presencia de un caso de síndrome de Gorham-Stout, y sobre todo explicar bien al paciente y familiar la cronicidad de la enfermedad y el pronóstico funcional.



AGRADECIMIENTO

Este proyecto se desarrolló gracias al apoyo brindado por los tutores del servicio de Ortopedia de la institución del Hospital del Niño Poblano. A los médicos rotantes del Hospital General "Dr. Aurelio Valdivieso" (HGDAV) de Oaxaca de Juárez, quienes contribuyeron estrechamente en la realización de este artículo para que fuera posible el compartir este concepto a la comunidad de traumatólogos y ortopedistas.


REFERENCIAS (EN ESTE ARTÍCULO)

  1. Moreno-Regidor A, Borrego-Ratero D, Cabo-Rodríguez A. Síndrome de Gorham-Stout. Rev Ortop Traumatol. 2004; 48(4): 295-297.

  2. Malpica Ramírez LM, Fernández de Lara CLG, Cuautli TLA, Cuéllar MY, Solís SD, Malpica RJD. Enfermedad de Gorham en la columna lumbar. Rev Esp Méd Quir. 2012; 17(4): 330-333.

  3. Domínguez Samaniego SV, Guzmán Vega O. Síndrome de gorham stout. Caso clínico. Pediatría (Asunción). 2020; 47(3): 175-179.

  4. Hong PY, Zhang XB, Zeng HQ, Zhao YL, Huang MH. Gorham-Stout syndrome: a chylothorax disease with bony destruction: a case report. Medicine (Baltimore). 2022; 101(50): e32105.

  5. Páez CFM, Morillo DMC, Dorado GA. Una causa infrecuente de quilotórax. El síndrome de Gorham-Stout. Arch Bronconeumol. 2017; 53(11): 640.

  6. Yang T, Liu L. Gorham-Stout syndrome: a case of a 7-year-old girl with massive osteolysis and chylothorax. Am J Respir Crit Care Med. 2024; 209(1): 101-103.

  7. Hurtado GR, Nortes CE, Ruiz MJ, Paredes MM. Síndrome de Gorham. Rev Osteoporos Metab Min. 2018; 10(2): 96-97.

  8. Momanu A, Caba L, Gorduza NC, Arhire OE, Popa AD, Ianole V, Gorduza EV. Gorham-Stout disease with multiple bone involvement-challenging diagnosis of a rare disease and literature review. Medicina. 2021; 57(7): 681. Available in: https://doi.org/10.3390/medicina57070681



AFILIACIONES

1Médico adscrito al servicio de Ortopedia Pediátrica, Hospital del Niño Poblano (HNP).

2 R3 de Ortopedia y Traumatología Hospital General "Dr. Aurelio Valdivieso" (HGDAV).

3 Médico adscrito al servicio de Histopatología HNP.

4 R2 de pediatría HNP.

5 R4 de Cirugía General HGDAV.



NIVEL DE EVIDENCIA

IV. Estudio de caso, restrospectivo, revisión sistemática.



CORRESPONDENCIA

Dra. Mariel Flores-Fernández. E-mail: flores_fdez@outlook.es




Recibido: 12/09/2024. Aceptado: 14/10/2024.

Figura 1
Figura 2
Figura 3
Figura 4

2020     |     www.medigraphic.com

Mi perfil

C?MO CITAR (Vancouver)

Rev Mex Ortop Ped. 2024;26

ARTíCULOS SIMILARES

CARGANDO ...