medigraphic.com
ENGLISH

Cirujano General

ISSN 2594-1518 (Digital)
ISSN 1405-0099 (Impreso)
  • Mostrar índice
  • Números disponibles
  • Información
    • Información general        
    • Directorio
  • Publicar
    • Instrucciones para autores        
    • Envío de artículos
  • medigraphic.com
    • Inicio
    • Índice de revistas            
    • Registro / Acceso
  • Mi perfil

2024, Número 2

<< Anterior Siguiente >>

Cir Gen 2024; 46 (2)


Pileflebitis y neumatosis portal secundario a enfermedad diverticular complicada

Corona-Baig, Iván1; Lee-Rojo, Sergio Arturo2; García-Valdez, José Romeo3
Texto completo Cómo citar este artículo 10.35366/118282

DOI

DOI: 10.35366/118282
URL: https://dx.doi.org/10.35366/118282
Artículos similares

Idioma: Español/Inglés [English version]
Referencias bibliográficas: 11
Paginas: 123-126
Archivo PDF: 364.26 Kb.


PALABRAS CLAVE

pileflebitis, neumatosis, portal, enfermedad diverticular, sepsis.

RESUMEN

Introducción: la pileflebitis es la trombosis séptica de la vena porta y sus ramas tributarias, secundaria a infección intraabdominal o pélvica, la cual migra por todo el sistema de circulación esplácnica y causa deterioro sistémico. La neumatosis portal es una condición rara y tradicionalmente es un hallazgo incidental con alta mortalidad, la enfermedad diverticular complicada, en muy raras ocasiones, puede causar la neumatosis. Presentación del caso: se presenta el caso de un paciente masculino de 77 años con abdomen agudo, pileflebitis y neumatosis portal secundario a enfermedad diverticular complicada. Conclusión: la pileflebitis y la neumatosis portal requieren de control del foco séptico urgente mediante cirugía resolutiva para evitar las complicaciones mortales de la sepsis abdominal que este cuadro origina.



INTRODUCCIóN

La pileflebitis es la trombosis séptica de la vena porta y sus ramas tributarias, secundaria a infección intraabdominal o pélvica, la cual migra por todo el sistema de circulación esplácnica y causa deterioro sistémico.1 Sólo 0.6% de las sepsis abdominales se complica con esta entidad.2

La neumatosis portal es una condición rara y tradicionalmente es un hallazgo incidental con alta mortalidad, la enfermedad diverticular complicada en muy raras ocasiones puede causar la neumatosis.3 La anatomía de la circulación portal explica por qué la diverticulitis (26.5%) y la apendicitis (22%) son la etiología principal de este trastorno, otras etiologías pueden ser la colecistitis, pancreatitis y abscesos hepáticos.4 La pileflebitis es un proceso séptico de alta mortalidad en donde es imperativo el manejo oportuno del foco séptico primario.

Se presenta el caso de un paciente masculino de 77 años con abdomen agudo, pileflebitis y neumatosis portal secundario a enfermedad diverticular complicada.



PRESENTACIóN DEL CASO

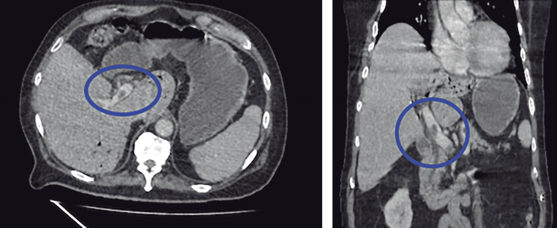
Masculino de 77 años con antecedentes de diabetes mellitus 2 e hipertensión arterial sistémica de larga evolución, antecedentes quirúrgicos de colecistectomía laparoscópica hace seis años y cateterismo cardiaco por cardiopatía isquémica crónica. Inicia su padecimiento actual 10 días previos a su ingreso con cuadro de dolor abdominal difuso en cuadrantes inferiores, así como ataque al estado general acompañado de astenia e hiporexia. Fue manejado por facultativo externo con antibioticoterapia. A su llegada al Servicio de Urgencias se presenta con taquicardia y tendencia a la hipotensión acompañado de alteración del estado de alerta. A la exploración física se palpa plastrón inflamatorio en cuadrante inferior izquierdo que despierta dolor a la manipulación del mismo, sin embargo, no hay datos de irritación peritoneal, sus laboratoriales con leucocitos 13,400 mm3, neutrofilia 92.9% y lactato de 3.9 mmol/l. Se solicita tomografía abdominopélvica contrastada en donde se muestra trombosis de la vena porta (Figura 1), neumatosis portal (Figura 2) y enfermedad diverticular (Figura 3), por los hallazgos anteriores se da manejo inicial con soluciones intravenosas y antibioticoterapia empírica de amplio espectro con piperacilina-tazobactam 4.5 g IV cada 8 horas, posterior al manejo estabilizador se realiza laparotomía exploradora, en donde se realiza sigmoidectomía y colostomía terminal debido a los hallazgos de perforación diverticular (Figuras 4 y 5) y plastrón inflamatorio purulento en el mesosigmoides con especial distribución en el trayecto de la vena mesentérica inferior, se toma cultivo y se maneja el posoperatorio en terapia intensiva, se deja antibioticoterapia dirigida a E. coli. Se calcula nutrición parenteral total y se inicia terapia anticoagulante con enoxaparina 60 mg subcutáneos (SC) cada 12 horas. El paciente cursó con evolución clínica favorable gracias al manejo multidisciplinario que se brindó. Egresó a la semana del procedimiento quirúrgico sin complicación alguna, se cita a consulta externa una semana después de su egreso tolerando vía oral con estoma funcional y con la herida afrontada. El reporte de histopatología reveló enfermedad diverticular complicada.



DISCUSIóN

La principal causa de pileflebitis reportada en la literatura es la enfermedad diverticular complicada, sin embargo, es un hallazgo raro y de baja incidencia aunque potencialmente mortal, en este caso la situación previa se presenta aunada a neumatosis portal, la cual es una complicación aún más rara, la mayoría de los casos reportados en la bibliografía son series de casos, se presenta secundario a diseminación de organismos productores de gas a través de la vena mesentérica inferior o por comunicación directa entre el divertículo perforado y la circulación mesentérica.5 Es una entidad grave que requiere manejo inmediato con tasas de mortalidad de hasta 50 a 80%, la cual debido a la formación de émbolos sépticos puede resultar en distintas complicaciones como isquemia intestinal, abscesos hepáticos, infartos hepáticos, esplénicos y muerte secundaria a choque séptico.6 Se debe descartar como factor de riesgo trastornos de la coagulación. En nuestro caso no se presentó ninguna complicación ni tampoco ninguna patología hematológica.

Los síntomas más frecuentes pueden ser fiebre, dolor abdominal e incluso ictericia, siendo los agentes más comunes Bacteroides fragilis y Escherichia coli.7 El diagnóstico definitivo se realiza con drenaje percutáneo y cultivo del árbol portal, sin embargo, en la práctica clínica se detecta cuando hay proceso séptico y gas o trombos en el sistema portal en estudios imagenológicos.8

En el caso presentado el problema se atendió de manera temprana con resolución del cuadro mediante control inicial de parámetros hemodinámicos con hidratación intravenosa y manejo antimicrobiano empírico, después tratamiento quirúrgico con sigmoidectomía y colostomía terminal, antimicrobiano dirigido para control del foco séptico, además de anticoagulante, el cual demuestra disminuir la mortalidad en estos pacientes, sin embargo, aún no hay evidencia científica.9 El uso de antibióticos y anticoagulación está indicado por seis semanas. Asimismo se dio manejo con nutrición parenteral posoperatoria, cumpliendo todos los aspectos del manejo multidisciplinario de la sepsis.10,11



CONCLUSIONES

A pesar de que la neumatosis portal y la pileflebitis son complicaciones raras se debe sospechar en ellas ante un paciente con enfermedad diverticular y manifestaciones hepáticas o manifestaciones de estado séptico severo, por lo cual, se sugiere abordar a estos pacientes con la búsqueda intencionada de estas entidades mediante estudios de imagen y de laboratorio, para así poder ofrecer un manejo oportuno que mejore la probabilidad de supervivencia y disminuya la mortalidad de estos pacientes.



AGRADECIMIENTOS

Al Dr. Sergio Arturo Lee Rojo por sus recomendaciones.


REFERENCIAS (EN ESTE ARTÍCULO)

  1. Ángeles-Gaspar D, Telich-Tarriba JE, Leyva-Sotelo L, Guevara-Valmaña OI, Rendon-Medina MA. Pileflebitis como complicación del diagnóstico tardío de colangitis: reporte de un caso y revisión de la literatura. Cir Gen. 2019; 41: 115-119.

  2. Belhassen-García M, Gomez-Munuera M, Pardo-Lledias J, Velasco-Tirado V, Perez-Persona E, Galindo-Perez I, et al. Pylephlebitis: incidence and prognosis in a tertiary hospital. Enferm Infecc Microbiol Clin. 2014; 32: 350-354.

  3. Sen M, Akpinar A, Inan A, Sisman M, Dener C, Akin K. Extensive hepatic-portal and mesenteric venous gas due to sigmoid diverticulitis. World J Gastroenterol. 2009; 15: 879-881.

  4. Fusaro L, Di Bella S, Martingano P, Croce LS, Giuffre M. Pylephlebitis: a systematic review on etiology, diagnosis, and treatment of infective portal vein thrombosis. Diagnostics (Basel). 2023; 13: 429.

  5. Abboud B, El Hachem J, Yazbeck T, Doumit C. Hepatic portal venous gas: physiopathology, etiology, prognosis and treatment. World J Gastroenterol. 2009; 15: 3585-3590.

  6. Correa Selene VJ, Dufrechou C. Pileflebitis: un desafío diagnóstico. Arch Med Int. 2015; 37: 144-146.

  7. Pérez-Bru S, Nofuentes-Riera C, García-Marín A, Luri-Prieto P, Morales-Calderón M, García-García S. Pileflebitis: una extraña pero posible complicación de las infecciones intraabdominales Cirugía y Cirujanos. 2015; 83: 501-505.

  8. Bogue CO, Leahy TR, Rea DJ, Bitnun A, Brandao LR, Kahr WH, et al. Idiopathic suppurative pylephlebitis: interventional radiological diagnosis and management. Cardiovasc Intervent Radiol. 2009; 32: 1304-1307.

  9. Hartpence J, Woolf A. Pylephlebitis. In: StatPearls [Internet]. Treasure Island (FL): StatPearls Publishing; 2024. Available in: https://www.ncbi.nlm.nih.gov/books/NBK563246/

  10. Negro U, Verdecchia M, Paci E, Antico E, Valeri G, Risaliti A, et al. Hepatic portal venous gas in a patient with enterovascular fistula. Abdom Imaging. 2006; 31: 706-709.

  11. Evans L, Rhodes A, Alhazzani W, Antonelli M, Coopersmith CM, French C, et al. Surviving sepsis campaign: International Guidelines for Management of Sepsis and Septic Shock 2021. Intensive Care Med. 2021; 47: 1181-1247.



AFILIACIONES

1 Residente de Cirugía General de cuarto año. Hospital General Regional No 1, IMSS. Tijuana, Baja California.

2 Médico adscrito al Servicio de Cirugía General. Hospital General de Tijuana, Baja California.

3 Cirugía General. Fellow Cirugía Laparoscópica Avanzada, Hospital Ángeles Tijuana. Baja California.



CORRESPONDENCIA

Iván Corona-Baig. E-mail: 94corona@gmail.com




Recibido: 21/05/2023. Aceptado: 21/08/2024.

Figura 1
Figura 2
Figura 3
Figura 4
Figura 5

2020     |     www.medigraphic.com

Mi perfil

C?MO CITAR (Vancouver)

Cir Gen. 2024;46

ARTíCULOS SIMILARES

CARGANDO ...