medigraphic.com
SPANISH

Cirujano General

ISSN 2594-1518 (Electronic)
ISSN 1405-0099 (Print)
  • Contents
  • View Archive
  • Information
    • General Information        
    • Directory
  • Publish
    • Instructions for authors        
    • Send manuscript
  • medigraphic.com
    • Home
    • Journals index            
    • Register / Login
  • Mi perfil

2024, Number 2

<< Back Next >>

Cir Gen 2024; 46 (2)

Pylephlebitis and portal venous gas secondary to complicated diverticular disease

Corona-Baig, Iván1; Lee-Rojo, Sergio Arturo2; García-Valdez, José Romeo3
Full text How to cite this article 10.35366/118282

DOI

DOI: 10.35366/118282
URL: https://dx.doi.org/10.35366/118282

Language: English/Spanish [Versi?n en espa?ol]
References: 11
Page: 123-126
PDF size: 325.03 Kb.


Key words:

pylephlebitis, portal venous, gas, diverticular disease, sepsis.

ABSTRACT

Introduction: pylephlebitis is the septic thrombosis of the portal vein and its tributary branches secondary to intra-abdominal or pelvic infection which migrates throughout the splanchnic circulation system and causes systemic deterioration. Portal venous gas is a rare condition and is traditionally an incidental finding with high mortality, complicated diverticular disease very rarely can cause portal venous gas. Case report: the case of a 77-year-old male patient with acute abdomen, pylephlebitis and portal venous gas secondary to complicated diverticular disease is presented. The main cause of pylephlebitis reported in the literature is complicated diverticular disease, however, it is a rare finding with a low incidence, in this case the previous situation occurs together with portal pneumatosis, which is an even rarer complication. Conclusion: pylephlebitis and portal pneumatosis require urgent control of the septic source by prompt surgery to avoid the fatal complications of abdominal sepsis that this condition causes.



INTRODUCTION

Pylephlebitis is septic thrombosis of the portal vein and its tributary branches secondary to intra-abdominal or pelvic infection, which migrates throughout the splanchnic circulation system and causes systemic deterioration.1 Only 0.6% of abdominal sepsis is complicated by this entity.2

Portal pneumatosis is a rare condition and is traditionally an incidental finding with high mortality. Complicated diverticular disease can cause pneumatosis on very rare occasions.3 The anatomy of the portal circulation explains why diverticulitis (26.5%) and appendicitis (22%) are the primary etiologies of this disorder; other etiologies can be cholecystitis, pancreatitis, and hepatic abscesses.4 Pylephlebitis is a septic process with high mortality, where timely management of the primary septic focus is imperative.

We present the case of a 77-year-old male patient with acute abdomen, pylephlebitis, and portal pneumatosis secondary to complicated diverticular disease.



PRESENTATION OF THE CASE

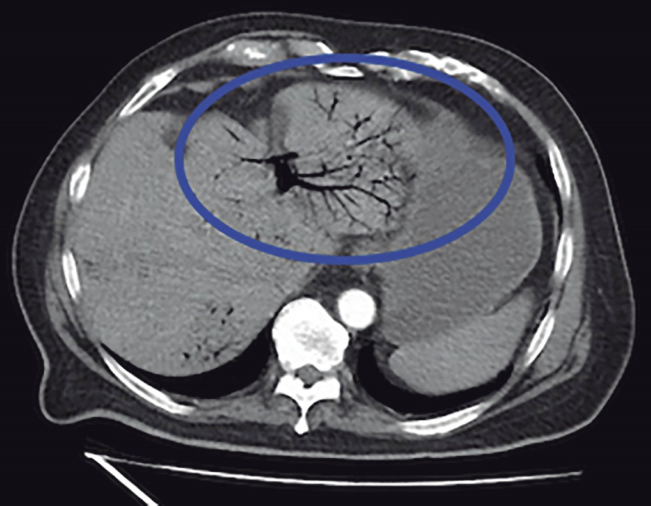
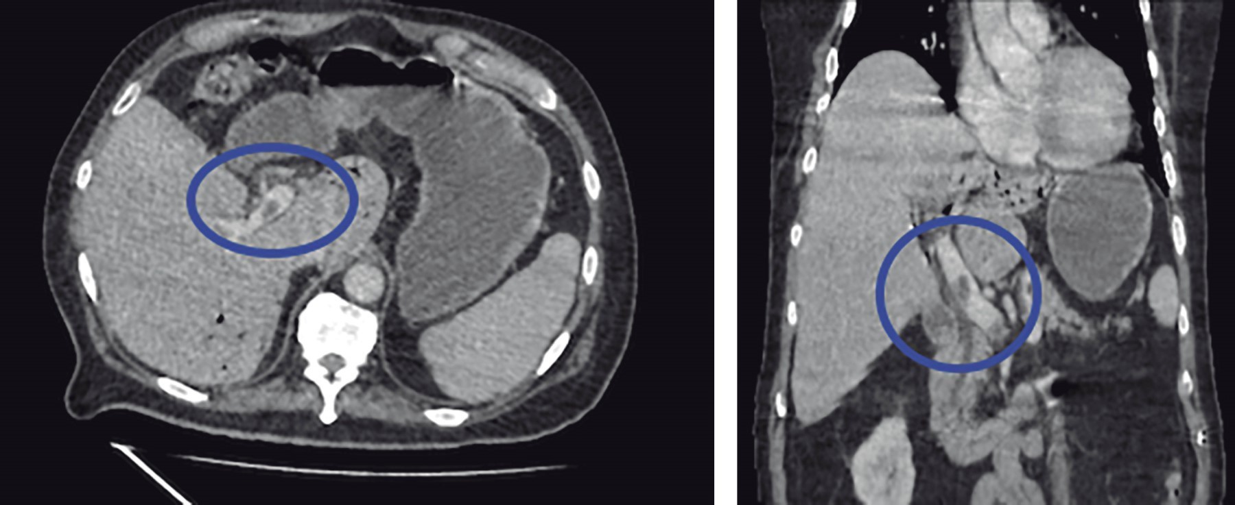
We present the case of a 77-year-old male with a history of diabetes mellitus 2 and long-standing systemic arterial hypertension, surgical history of laparoscopic cholecystectomy six years ago, and cardiac catheterization for chronic ischemic heart disease. His current condition began 10 days before his admission with diffuse abdominal pain in the lower quadrants, as well as an attack on his general condition accompanied by asthenia and hyporexia. An external physician with antibiotic therapy managed him. On arrival at the Emergency Department, he presented tachycardia and a tendency to hypotension accompanied by altered alertness. Physical examination revealed an inflammatory plastron in the left lower quadrant that aroused pain during manipulation; however, there was no evidence of peritoneal irritation. Laboratory tests showed leukocytes 13,400 mm3, neutrophilia 92.9%, and lactate 3.9 mmol/l. A contrast abdominopelvic CT scan was requested, showing portal vein thrombosis (Figure 1), portal pneumatosis (Figure 2), and diverticular disease (Figure 3). Due to the above findings, initial management with intravenous solutions and empirical broad-spectrum antibiotic therapy with piperacillin-tazobactam 4.5 g IV every 8 hours was started; after stabilizing management, exploratory laparotomy was performed, where sigmoidectomy and terminal colostomy were performed due to the findings of diverticular perforation (Figures 4 and 5) and purulent inflammatory plastron in the mesosigmoid with special distribution in the path of the inferior mesenteric vein. Samples for cultures were taken. Postoperative management was performed in the intensive care unit, and antibiotic therapy was directed to E. coli. Total parenteral nutrition and anticoagulant therapy were started with 60 mg of enoxaparin subcutaneously (SC) every 12 hours. The patient had a favorable clinical evolution thanks to the multidisciplinary management provided. He was discharged one week after the surgical procedure without any complications. He was referred to the outpatient clinic one week after his discharge. He was tolerating the oral route with a functional stoma and with the wound intact. The histopathology report revealed a complicated diverticular disease.



DISCUSSION

The leading cause of pylephlebitis reported in the literature is complicated diverticular disease. However, it is a rare finding and of low incidence although potentially fatal; in this case, the previous situation is presented together with portal pneumatosis, an even rarer complication; most cases reported in the literature are case series. It occurs secondary to the dissemination of gas-producing organisms through the inferior mesenteric vein or by direct communication between the perforated diverticulum and the mesenteric circulation.5 It is a serious entity that requires immediate management with mortality rates of up to 50 to 80%, which, due to the formation of septic emboli, can result in different complications such as intestinal ischemia, hepatic abscesses, hepatic and splenic infarcts, and death secondary to septic shock.6 Coagulation disorders should be ruled out as a risk factor. In our case, there were no complications or hematologic pathology.

The most frequent symptoms may be fever, abdominal pain, and even jaundice, the most common agents being Bacteroides fragilis and Escherichia coli.7 The definitive diagnosis is made with percutaneous drainage and culture of the portal tree; however, in clinical practice, it is detected when there is a septic process and gas or thrombi in the portal system in imaging studies.8

In the case presented here, the problem was treated early with the resolution of the condition through initial control of hemodynamic parameters with intravenous hydration and empirical antimicrobial management, followed by surgical treatment with sigmoidectomy and terminal colostomy, antimicrobial therapy to control the septic focus, in addition to anticoagulation, which has been shown to reduce mortality in these patients; however, there is still no scientific evidence to support it.9 The use of antibiotics and anticoagulation is indicated for six weeks. Likewise, postoperative parenteral nutrition was given, complying with all aspects of multidisciplinary management of sepsis.10,11



CONCLUSIONS

Although portal pneumatosis and pylephlebitis are rare complications, they should be suspected in a patient with diverticular disease and hepatic manifestations or manifestations of a severe septic state; therefore, it is suggested to approach these patients with an intentional search for these entities through imaging and laboratory studies, to offer timely management that improves the probability of survival and decreases mortality in these patients.



ACKNOWLEDGMENTS

To Dr. Sergio Arturo Lee Rojo for his recommendations.


REFERENCES

  1. Ángeles-Gaspar D, Telich-Tarriba JE, Leyva-Sotelo L, Guevara-Valmaña OI, Rendon-Medina MA. Pileflebitis como complicación del diagnóstico tardío de colangitis: reporte de un caso y revisión de la literatura. Cir Gen. 2019; 41: 115-119.

  2. Belhassen-García M, Gomez-Munuera M, Pardo-Lledias J, Velasco-Tirado V, Perez-Persona E, Galindo-Perez I, et al. Pylephlebitis: incidence and prognosis in a tertiary hospital. Enferm Infecc Microbiol Clin. 2014; 32: 350-354.

  3. Sen M, Akpinar A, Inan A, Sisman M, Dener C, Akin K. Extensive hepatic-portal and mesenteric venous gas due to sigmoid diverticulitis. World J Gastroenterol. 2009; 15: 879-881.

  4. Fusaro L, Di Bella S, Martingano P, Croce LS, Giuffre M. Pylephlebitis: a systematic review on etiology, diagnosis, and treatment of infective portal vein thrombosis. Diagnostics (Basel). 2023; 13: 429.

  5. Abboud B, El Hachem J, Yazbeck T, Doumit C. Hepatic portal venous gas: physiopathology, etiology, prognosis and treatment. World J Gastroenterol. 2009; 15: 3585-3590.

  6. Correa Selene VJ, Dufrechou C. Pileflebitis: un desafío diagnóstico. Arch Med Int. 2015; 37: 144-146.

  7. Pérez-Bru S, Nofuentes-Riera C, García-Marín A, Luri-Prieto P, Morales-Calderón M, García-García S. Pileflebitis: una extraña pero posible complicación de las infecciones intraabdominales Cirugía y Cirujanos. 2015; 83: 501-505.

  8. Bogue CO, Leahy TR, Rea DJ, Bitnun A, Brandao LR, Kahr WH, et al. Idiopathic suppurative pylephlebitis: interventional radiological diagnosis and management. Cardiovasc Intervent Radiol. 2009; 32: 1304-1307.

  9. Hartpence J, Woolf A. Pylephlebitis. In: StatPearls [Internet]. Treasure Island (FL): StatPearls Publishing; 2024. Available in: https://www.ncbi.nlm.nih.gov/books/NBK563246/

  10. Negro U, Verdecchia M, Paci E, Antico E, Valeri G, Risaliti A, et al. Hepatic portal venous gas in a patient with enterovascular fistula. Abdom Imaging. 2006; 31: 706-709.

  11. Evans L, Rhodes A, Alhazzani W, Antonelli M, Coopersmith CM, French C, et al. Surviving sepsis campaign: International Guidelines for Management of Sepsis and Septic Shock 2021. Intensive Care Med. 2021; 47: 1181-1247.



AFFILIATIONS

1 Fourth-year General Surgery Resident. Regional General Hospital No 1, IMSS. Tijuana, Baja California.

2 Physician assigned to the General Surgery Service. General Hospital of Tijuana, Baja California.

3 General Surgery. Fellow Advanced Laparoscopic Surgery, Hospital Angeles Tijuana. Baja California.



CORRESPONDENCE

Iván Corona-Baig. E-mail: 94corona@gmail.com




Received: 05/21/2023. Accepted: 08/21/2024

Figure 1
Figure 2
Figure 3
Figure 4
Figure 5

2020     |     www.medigraphic.com

Mi perfil

C?MO CITAR (Vancouver)

Cir Gen. 2024;46