medigraphic.com
ENGLISH

Cirugía Plástica

ISSN 2992-8559 (Digital)
ISSN 1405-0625 (Impreso)
  • Mostrar índice
  • Números disponibles
  • Información
    • Información general        
    • Directorio
  • Publicar
    • Instrucciones para autores        
    • Envío de artículos
  • Políticas
  • medigraphic.com
    • Inicio
    • Índice de revistas            
    • Registro / Acceso
  • Mi perfil

2024, Número 3

<< Anterior Siguiente >>

Cir Plast 2024; 34 (3)


Carcinoma basocelular manejo reconstructivo y estético en un paciente geriátrico

Iturbide-Mauricio, Leonel1,2,5; García-Bañuelos, Diana Laura1,3,6; Tirado-Peraza, Ángel Iván1,3,7; Barajas-Puga, Julio Ángel1,3,8; Moreno-Rubio, Marco Antonio1,3,9; Maquita-Esquivel, Kenji Alejandro1,4,10; Soto-Verdugo, Luis Alberto1,4
Texto completo Cómo citar este artículo 10.35366/118352

DOI

DOI: 10.35366/118352
URL: https://dx.doi.org/10.35366/118352
Artículos similares

Idioma: Español
Referencias bibliográficas: 13
Paginas: 103-107
Archivo PDF: 358.93 Kb.


PALABRAS CLAVE

cáncer de piel, carcinoma basocelular, reconstrucción, colgajo local.

RESUMEN

El carcinoma de células basales es el cáncer de piel más común en los seres humanos. Surge principalmente en la piel dañada por el sol y rara vez se desarrolla en las membranas mucosas o las palmas y las plantas. El mecanismo de formación del carcinoma de células basales a través de la radiación ultravioleta es el daño directo al ADN, el daño indirecto al ADN a través de especies reactivas de oxígeno y la supresión inmune. Los colgajos son el método quirúrgico más común en casos de defectos faciales. Las indicaciones para su uso incluyen el gran tamaño del defecto y la necesidad de un resultado cosmético excelente. El colgajo de rotación se crea utilizando tejido adyacente que se rota para cerrar un defecto. Presentamos el caso de un paciente con carcinoma basocelular en el labio superior, tratado mediante escisión y reconstrucción con colgajo de avance con un óptimo resultado estético y funcional.



ABREVIATURAS:

  • CCB = carcinoma de células basales.
  • UVA = radiación ultravioleta A.
  • UVB = radiación ultravioleta B.
  • UV = rayos ultravioleta.



INTRODUCCIóN

El carcinoma de células basales (CCB) es el cáncer de piel más común en los seres humanos. El CCB surge principalmente en la piel dañada por el sol y rara vez se desarrolla en las membranas mucosas o las palmas y las plantas. El carcinoma de células basales suele ser un tumor de crecimiento lento cuyas metástasis son raras. Aunque rara vez es mortal, es muy destructivo y desfigura los tejidos locales cuando el tratamiento es inadecuado o se retrasa.1 En la literatura aparecen más de 26 subtipos diferentes de CCB, pero los tipos clínico-patológicos más comunes y distintivos incluyen: nodular, micro nodular, superficial, morfeaforme, infiltrativo y fibroepitelial.2 El principal factor etiológico en el desarrollo del carcinoma de células basales es la exposición a la luz ultravioleta, particularmente las longitudes de onda de radiación ultravioleta B (UVB), pero las longitudes de onda de radiación ultravioleta A (UVA) también pueden ser un factor.3 Los hombres generalmente tienen tasas más altas de CCB que las mujeres. Afecta la región de la cabeza y cuello en alrededor de 70% de los casos; de ellos, 26% se localiza en la nariz. Está presente en la región del tronco en 15%; en manos y genitales ocurre de manera esporádica.4 El CCB es más frecuente en ubicaciones geográficas con mayor exposición a los rayos ultravioleta (UV), como aquellas con latitudes más altas o bajas. En los últimos 30 años, las tasas de incidencia estimadas han aumentado entre 20 y 80%. Las tasas de incidencia de CCB también aumentan con la edad, siendo la edad media de diagnóstico de 68 años. La mortalidad es poco común y ocurre principalmente en pacientes inmunocomprometidos.5 La Organización Mundial de la Salud (OMS) reporta que el cáncer basocelular es el más frecuente de los cánceres de piel, seguido por el carcinoma epidermoide y el melanoma; los carcinomas de anexos de la piel son menos frecuentes. En México se registran 16,000 casos nuevos de cáncer de piel al año, estimándose con prevalencia de 13.6%. Ocupa el quinto lugar de todos los tumores del organismo y representa entre 75 y 80% de los tumores malignos cutáneos.6,7



CASO CLíNICO

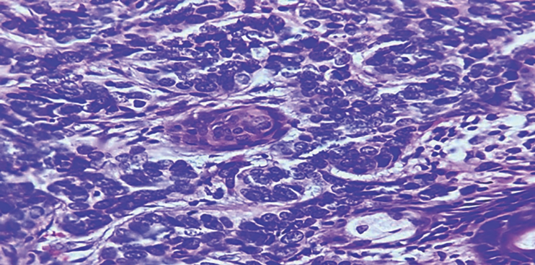
Hombre de 60 años con antecedente de diabetes mellitus tipo II, hipertensión arterial sistémica, insuficiencia cardiaca crónica y consumo crónico de alcohol, cocaína y tabaco. Acudió a nuestra unidad hospitalaria por medio de la consulta externa de primera vez al servicio de cirugía plástica y reconstructiva por tumoración ulcerativa en labio superior derecho de cinco años de evolución. A la exploración física se encontraron los siguientes hallazgos: tumoración de 3 × 2 cm en el labio superior derecho, con ulceración y costra, el resto de la exploración normal. Se inició protocolo quirúrgico con plan de resección de la tumoración más colgajo de avance. Al contar con protocolo quirúrgico completo, se programó para cirugía electiva, ingresó por medio de cirugía ambulatoria y se inició el procedimiento quirúrgico previa asepsia y antisepsia; se procedió a realizar marcaje de la lesión (Figura 1), con resección de la tumoración con márgenes de 5 mm sobre el labio y ala nasal derecha; se disecó por planos resección de ala izquierda para compensar márgenes de lesión (Figura 2). Se liberó el pedículo de tejido subcutáneo elástico de sus uniones adiposas medial y lateral con la grasa circundante de la mejilla, al tiempo que se preservaba su suministro vascular derivado de sus uniones profundas. La isla cutánea se dirigió hacia el defecto mediante la colocación de un gancho cutáneo en su borde anterior. Se realizó avance de colgajo sobre pedículo de tejido subcutáneo; se efectuó cierre con Vicryl 5-0 y Nylon 5-0, se colocó gasa estéril y se dio por terminado el procedimiento quirúrgico (Figura 3). Se egresó al paciente y se citó a consulta externa con recomendaciones generales. Se valoró una semana después de la cirugía con evolución favorable. Se retiraron puntos de sutura y se recabó el reporte de histopatología (Figura 4) de carcinoma basocelular metatípico (basoescamoso), con profundidad de la invasión 2.5 mm, nivel anatómico Clark IV, sin invasión linfovascular ni perineural y sin afectación de márgenes periféricos. Se dio seguimiento a un mes del postquirúrgico (Figura 5) y a tres meses (Figura 6), con buena evolución estético-funcional.



DISCUSIóN

El mecanismo de formación de carcinoma de células basales a través de la radiación ultravioleta es el daño directo al ADN, el daño indirecto al ADN a través de especies reactivas de oxígeno y la supresión inmune. La escisión quirúrgica sigue siendo el tratamiento estándar, pero existen varias modalidades de tratamiento alternativas.8 En general, los CCB crecen lentamente y rara vez metastatizan, sin embargo, son localmente invasivos y pueden ser destructivos. Si bien, los casos típicos se diagnostican basándose en los hallazgos clínicos, las manifestaciones clínico-patológicas son variadas. En consecuencia, la biopsia de piel es fundamental para confirmar el diagnóstico y evaluar el riesgo de recurrencia.9 En lesiones menores de 2 cm y con límites clínicos bien definidos, el margen es de 3-4 mm; con 4 mm se obtienen bordes histológicos libres de tumor en 95% de los carcinomas extirpados. En profundidad, se debe abarcar la totalidad de la dermis o hasta la mitad del tejido celular subcutáneo.10 Mediante el método anteriormente expuesto la literatura menciona un índice de recurrencia que varía desde 1 a 3% cuando la lesión tumoral se escindió completamente, mientras que se reconoce hasta un 31% de recidiva en el caso contrario.11 Las indicaciones del colgajo incluyen el gran tamaño del defecto y la necesidad de un resultado cosmético excelente. El colgajo de rotación se crea utilizando tejido adyacente que se rota para cerrar un defecto.10 La selección de la técnica reconstructiva está influenciada por las dimensiones del defecto, la coincidencia del color del sitio donante, la preferencia del operador, la habilidad técnica y las necesidades estéticas.11 Las técnicas de levantamiento de colgajos locales se basan principalmente en los colgajos tipo rotacionales, de traslación, de avance y de isla. Así, podemos ver diversos colgajos utilizados en las distintas regiones, siendo los más frecuentes el colgajo frontal, colgajo de avance y rotación de mejilla, colgajos romboidales, cérvico-faciales, bilobulados, nasolabiales, entre otros (National Comprehensive Cancer Network NCCN), además de la contemplación de opciones reconstructivas.12 La utilización de los colgajos permite reparar defectos que deja la cirugía con resultados altamente satisfactorios y que tienen las siguientes ventajas: similitud de color, igual textura, mínima distorsión, buena irrigación y estética. La relación entre la longitud y la base del colgajo, así como el tamaño del pedículo, son datos fundamentales en la supervivencia de la piel desplazada; por lo tanto, se debe calcular en cada caso la elasticidad, movilidad y aporte sanguíneo en cada diseño quirúrgico. Las zonas donadoras de colgajos más destacadas en la cara son la glabelar, paranasal, nasogeniana, cervical labiomentoniana y submentoniana. El colgajo debe ser más o menos cercano al defecto, tener suficiente tamaño y volumen para cubrir el defecto y ser traccionado sin tensión. El colgajo debe conservar su pedículo vascular y ser sometido a mínima cauterización o ligaduras y recibir trauma mínimo y una manipulación cuidadosa con reducción del tiempo quirúrgico.13



CONCLUSIóN

El carcinoma basocelular de alto riesgo requiere de márgenes quirúrgicos amplios y de opciones de reconstrucción apropiadas para obtener un buen resultado estético-funcional. Se presentó el caso de un paciente geriátrico con múltiples comorbilidades con carcinoma basocelular ulcerado en labio superior, tratado mediante escisión y reconstrucción con colgajo de avance, obteniéndose un óptimo resultado estético y funcional, gracias a una planificación integral. Esta técnica también puede ser realizada por cirujanos que no cuentan con una gran curva de aprendizaje.


REFERENCIAS (EN ESTE ARTÍCULO)

  1. McDaniel B, Badri T, Steele RB. Basal cell carcinoma. In: StatPearls. Treasure Island (FL): StatPearls Publishing; 2023.

  2. Dai J, Lin K, Huang Y et al. Identification of critically carcinogenesis-related genes in basal cell carcinoma. Onco Targets Ther 2018; 11: 6957-6967.

  3. De Giorgi V, Savarese I, Gori A et al. Advanced basal cell carcinoma: when a good drug is not enough. J Dermatolog Treat 2020; 31 (6): 552-553.

  4. Telich THE, Monter PA, Víctor BA, Apellaniz CA. Diagnóstico y tratamiento de los tumores malignos de piel. Acta Méd Grupo Ángeles 2017; 15 (2): 154160.

  5. Kamath P, Darwin E, Arora H, Nouri K. A. Review on imiquimod therapy and discussion on optimal management of basal cell carcinomas. Clin Drug Investig 2018; 38 (10): 883-899.

  6. Gallegos-Hernández JF, Martínez-Méndez MÁ, Ábrego-Vázquez JA et al. L. Características clínicas de los tumores malignos originados en el pabellón auricular. Cir Cir 2015; 83 (6): 473-477.

  7. Diagnóstico y Tratamiento del Carcinoma Basocelular. Guía de Evidencias y Recomendaciones: Guía de Práctica Clínica. México, CENETEC; 2019.

  8. Kim DP, Kus KJB, Ruiz E. Basal cell carcinoma review. Hematol Oncol Clin North Am. 2019; 33 (1): 13-24.

  9. Tanese K. Diagnosis and management of basal cell carcinoma. Curr Treat Options Oncol. 2019; 20 (2): 13.

  10. Siregar R, Puspita F, Oentari W, Sari AK. Management of basal cell carcinoma with excision followed by rotation advancement flap. Journal of General - Procedural Dermatology & Venereology Indonesia 2021; 5 (3): 8.

  11. Bello SA. Gillies fan flap for the reconstruction of an upper lip defect caused by noma: case presentation. Clin Cosmet Investig Dent 2012; 4: 17-20.

  12. Schmults CD, Blitzblau R, Aasi SZ et al. Basal cell skin cancer, Version 2.2024, NCCN Clinical Practice Guidelines in Oncology. J Natl Compr Canc Netw 2023; 21 (11): 1181-1203.

  13. Gutiérrez MA, Ulloa SJ, Ulloa BP. Colgajos cutáneos en cirugía oncológica facial. Rev Otorrinolaringol Cir Cabeza Cuello 2012; 72: 49-56.



AFILIACIONES

1 Servicio de Cirugía Plástica y Reconstructiva. Hospital General de Culiacán, Sinaloa, México.

2 Residente de Cirugía General, Hospital Regional de Alta Especialidad de Ciudad Victoria. Ciudad Victoria, Tamaulipas, México.

3 Residente de Cirugía Plástica y Reconstructiva. México.

4 Médico adscrito de Cirugía Plástica y reconstructiva. México.
ORCID:

5 0009-0009-9090-4356

6 0009-0001-2146-4467

7 0000-0001-8438-3069

8 0009-0004-7607-9410

9 0009-0006-4660-5402

10 0009-0002-4365-6002



Conflicto de intereses: los autores declaran no tener conflicto de intereses.

Financiamiento: los autores declaran no haber recibido financiamiento.



CORRESPONDENCIA

Dr. Leonel Iturbide-Mauricio. E-mail: leonelmauricio3196@gmail.com




Recibido: 06 enero 2024. Aceptado: 01 abril 2024.

Figura 1
Figura 2
Figura 3
Figura 4
Figura 5
Figura 6

2020     |     www.medigraphic.com

Mi perfil

C?MO CITAR (Vancouver)

Cir Plast. 2024;34

ARTíCULOS SIMILARES

CARGANDO ...