medigraphic.com
ENGLISH

Latin American Journal of Oral and Maxillofacial Surgery

ISSN 2992-7757 (Digital)
Órgano de difusión de la Asociación Latinoamericana de Cirugía y Traumatología Bucomaxilofacial (ALACIBU)
  • Mostrar índice
  • Números disponibles
  • Información
    • Información general        
    • Directorio
  • Publicar
    • Instrucciones para autores        
  • medigraphic.com
    • Inicio
    • Índice de revistas            
    • Registro / Acceso
  • Mi perfil

2024, Número 3

<< Anterior

Lat Am J Oral Maxillofac Surg 2024; 4 (3)


Trasplante dental de canino mandibular impactado mediante el uso de impresión 3D

Cuen-Lara, Ernesto1,2; Gómez-Hernández, Kevin Andrew1,3
Texto completo Cómo citar este artículo 10.35366/118374

DOI

DOI: 10.35366/118374
URL: https://dx.doi.org/10.35366/118374
Artículos similares

Idioma: Español
Referencias bibliográficas: 12
Paginas: 127-132
Archivo PDF: 343.31 Kb.


PALABRAS CLAVE

autotrasplante dental, canino mandibular, reconstrucción 3D, estereolitografía, caso clínico.

RESUMEN

El autotrasplante dental es una opción de tratamiento para reemplazar órganos dentales, a pesar de ser una opción con porcentajes aceptables de éxito, éste no llega a ser una elección en la práctica común debido a su desconocimiento o a su técnica quirúrgica compleja, ya que debe realizarse procurando el menor daño en las estructuras involucradas. Sin embargo, gracias a los avances tecnológicos es posible simplificar y simular escenarios quirúrgicos. En este artículo se presenta un caso clínico de un paciente con el canino inferior izquierdo retenido en la sínfisis mandibular, el cual se extrajo y se autotrasplantó en su sitio ideal gracias a una preparación del alvéolo realizado con una reconstrucción de resina por tomografía computarizada, logrando resultados favorables incluso después de realizar tratamientos ortodónticos representando, en este caso, que el autotrasplante es una opción viable para pacientes con dientes impactados o retenidos, así como la importancia en la actualidad de la tecnología para el diagnóstico y planeación de procedimientos quirúrgicos.



INTRODUCCIóN

Ante una pérdida dental hay diversas opciones de tratamiento como prótesis fijas, prótesis removibles, cierre de espacios por ortodoncia, implantes dentales, sin embargo, también existe el autotrasplante dental el cual es subestimado e ignorado.1-3

El autotrasplante dental es un procedimiento quirúrgico que consiste en la transposición de un diente de un sitio de extracción a otro diseñado de manera previa.1,2,4,5

Dentro de la historia, Abulcasis en 1050 fue el primero en informar de estos procedimientos donde los dientes de los esclavos eran trasplantados en el antiguo Egipto, en 1564 Ambroise Paré describió el trasplante de yemas dentales,1,6,7 John Hunter fue pionero en el campo de trasplante y reimplantación dental6 y en 1950 el sueco Vidman lo detallí en la literatura,7 pero ML Hale fue el primero en realizarlo y documentarlo en 1954.1,7,8

Estos procedimientos presentan ciertas ventajas respecto a otros tratamientos rehabilitadores como son: un bajo costo, compatibilidad con los tejidos, desarrollo del diente trasplantado posterior a cirugía,1,9 desarrollo de propiocepción durante la función,1,2,6,10 además de promover mantenimiento y crecimiento del hueso alveolar9,10 y mejorar la oclusión estética y desarrollo facial.2

La tasa de éxito de este tratamiento depende en gran parte de los posibles daños que pudieran ocurrir durante el procedimiento quirúrgico, sin embargo con la tecnología actual se puede hacer uso de impresiones 3D para replicar el diente a trasplantar y colocarlo en el sitio receptor, esto gracias al uso de tomografías y programas de escaneo, lo cual puede reducir el tiempo quirúrgico y prevenir el daño innecesario.9

La estereolitografía es una herramienta útil para estos casos donde pretendemos igualar una situación real, ya que permite una precisión dimensional detallada ideal para prototipos visuales.4



PRESENTACIÓN DEL CASO

Paciente masculino de 17 años, el cual acude al postgrado en cirugía oral y maxilofacial en la Universidad Nacional Autónoma de México, referido por postgrado de ortodoncia a extracción de canino deciduo órgano dental 73 (Figura 1) y a valoración de órgano dental 33 incluido en sínfisis mandibular que se encontraba de manera asintomática para realizar un autotransplante del órgano dental 33 a su posición ideal.

El paciente contaba con tomografía computarizada en la que se observaba el órgano dental 33 localizado sobre la sínfisis mandibular, un eje transversal de la corona de 6.5 mm y un eje longitudinal de 24.22 mm que presentaba dilaceración en su tercio apical formando un ángulo respecto a su eje longitudinal de 120°, asimismo un espacio interdental entre el primer premolar y lateral de 7.27 mm el cual es ocupado por el canino deciduo del tercer cuadrante (Figura 2).

Con el uso de la tomografía se obtuvieron imágenes DICOM, mediante las cuales se realizó una renderización de la mandíbula y del canino inferior derecho (diente a trasplantar), se realiza una simulación quirúrgica mediante la extracción virtual del diente deciduo y recolocación del canino retenido en posición ideal, verificando viabilidad de cirugía (Figura 3), de manera posterior se imprime la estereolitografía en resina biocompatible mediante tecnología aditiva que se esterilizó por medio de plasma.

El paciente y tutor fueron informados mediante consentimiento legal sobre el procedimiento quirúrgico y el pronóstico que este tratamiento ofrece, así como la posibilidad de requerir tratamientos endodónticos y periodontales, entre otros.

La cirugía se realizó bajo anestesia local por medio de mepivacaína con epinefrina, primero se llevó a cabo la extracción del canino deciduo y se preparó el lecho receptor usando como referencia la estereolitografía del canino a trasplantar (Figura 4), una vez verificada la compatibilidad lecho-estereolitografía por medio del colgajo Newman se aborda la cara interna del cuerpo y sínfisis mandibular y con fresas de carburo se realiza la remoción de hueso exponiendo la corona y la raíz del canino incluido (Figura 5), se hace la extracción de manera meticulosa con ayuda de elevadores rectos evitando daño a la estructura dental (Figura 6) y se coloca en leche para preservar las células correspondientes del ligamento periodontal.

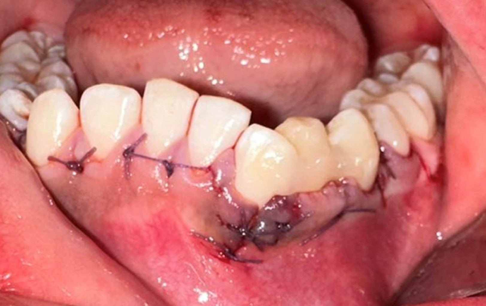
Se implanta el canino en el alvéolo previamente conformado y se coloca una férula con resina sobre canino trasplantado y órganos dentales adyacentes proporcionando estabilidad, se afronta el colgajo con Vicryl 4-0 (Figura 7).

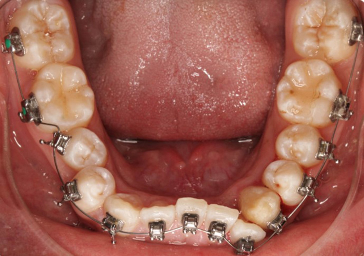
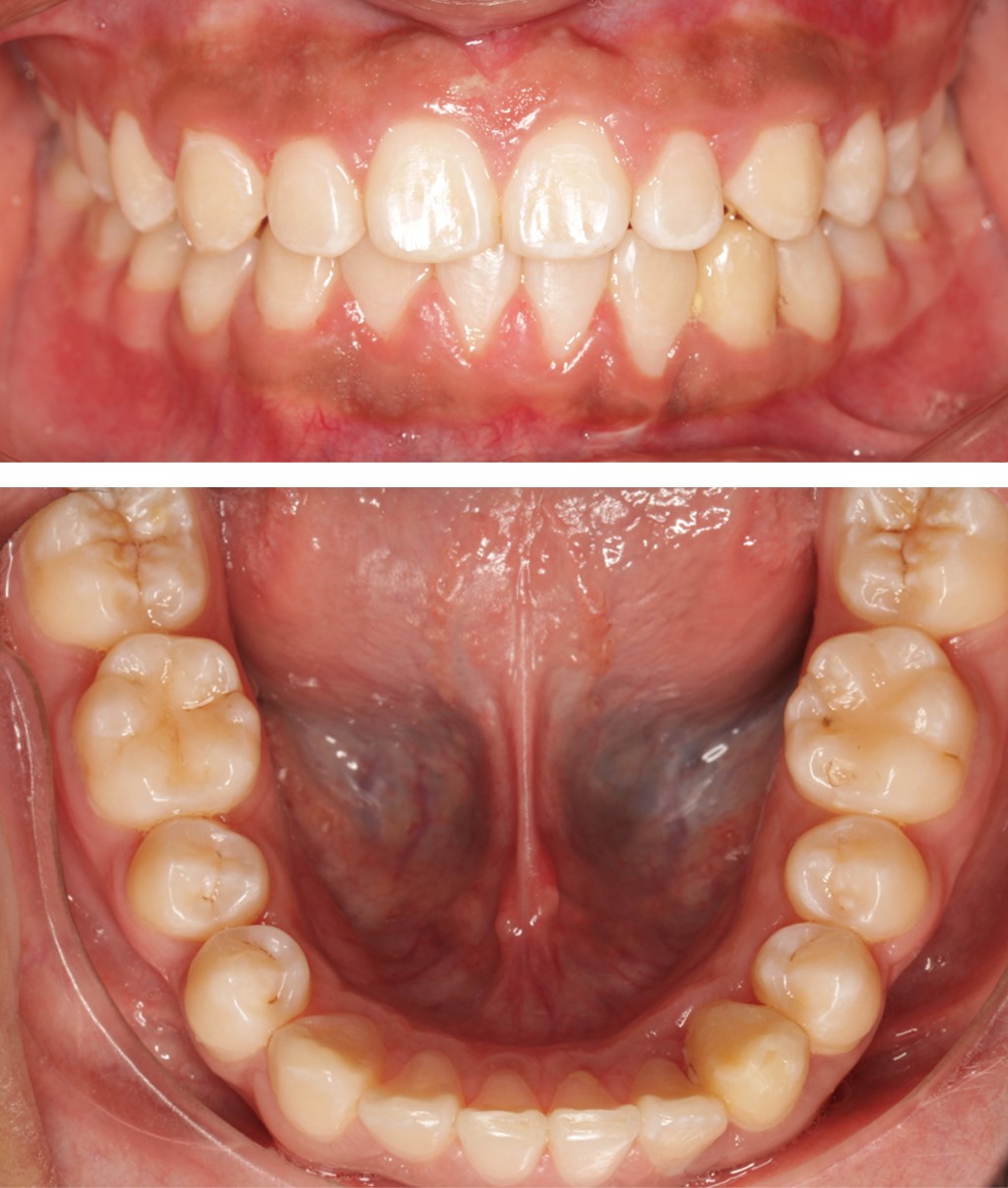
Se remite a endodoncia y ortodoncia para valoración, se da seguimiento con citas y radiografías de control a la semana, a los 15 días, al mes y a los seis meses con resultados favorecedores (Figuras 8 y 9), actualmente el paciente se encuentra asintomático sin datos sugerentes de fracaso posterior a aplicación de fuerzas ortodóncicas (Figura 10).



DISCUSIóN

Una pérdida dental puede ser restituida mediante distintas opciones tanto protésicas, ortodónticas o quirúrgicas, sin embargo, algunas de éstas no son viables para ciertas poblaciones como el uso de implantes dentales en pacientes jóvenes,7,8 en estos casos creemos que el autotrasplante puede ser una buena opción de rehabilitación.

El autotrasplante dental hoy en día debe ser considerado como un tratamiento alternativo más frecuente, en la literatura se reporta que suele ser un procedimiento más común en caninos maxilares y terceros molares,11 sin embargo, en este caso lo hemos realizado en un canino inferior por lo cual es un procedimiento que se puede considerar realizar en cualquier órgano dental que cumpla ciertas condiciones e indicaciones.

Dentro de las indicaciones para este tratamiento se encuentran la pérdida dental por caries o traumatismo, agenesia dental, erupción ectópica, reabsorción radicular, lesiones endodónticas, fracturas dentales y cirugías de reconstrucción.7,8 Por otro lado, las contraindicaciones abarcan una higiene deficiente, procesos de infección aguda y espacio insuficiente en sitio receptor.7

Asimismo se describen ciertos requisitos a cumplir como una extracción atraumática, forma radicular anormal, suficiente soporte óseo alveolar, buena vascularidad, sin presencia de infección;7,8 otros autores señalan el grado de impactación del diente como consideración importante, ya que una accesibilidad limitada puede generar mayor daño a la superficie radicular del diente a trasplantar.3,8

La dilaceración radicular, como consideración, en región apical puede generar dificultades al momento de extraer o incluso de colocar el órgano dental en el lecho receptor9 es por eso que algunos sugieren la eliminación de 2-3 mm sobre el ápice dental para resolver la curvatura apical, lo que a su vez disminuye la profundidad del alvéolo receptor al momento de prepararlo.9,11

Dentro de la literatura se encuentra que este procedimiento se puede realizar tanto en ápices abiertos como cerrados sin diferencia sobre el éxito del tratamiento,1 sin embargo, algunos autores aseguran que hay que tener en cuenta que los dientes maduros tienen menor capacidad de revascularizarse12 mientras que una apertura del ápice mayor a 1 mm tiene 89% de posibilidad de lograrlo.8 Es por ello que estos procedimientos a menudo ameritan tratamiento endodóntico por presencia o desarrollo de necrosis pulpar, lo cual no es sinónimo de fracaso,4 sin embargo, una pulpa necrótica puede generar productos de degradación y toxinas, lo cual afecta los tejidos circundantes6 y varios autores sugieren que sea dentro de los primeros 14 días,2,4,6 mientras que otros autores sugieren el comienzo de este tratamiento después de un mes.5

En estos procedimientos es importante minimizar la manipulación y el daño, así como el tiempo extraoral el cual algunos prefieren que oscile entre 15 y 30 minutos,4 mientras que otros autores mencionan que desde los 15 hasta los 60 minutos pueden generar incidencia de reabsorción de 38.5%1,4 sin embargo, la mayoría apoya que durante el tiempo que el diente se encuentra de manera extraoral hay que mantener hidratado el órgano dental por medio de gasas húmedas para mantener la vitalidad de las células del ligamento periodontal,1,5,10 en nuestro caso preferimos usar como medio de conservación leche deslactosada.

Al concluir el acto quirúrgico la ferulización es un tema debatible y cuando se opta por una férula ésta suele colocarse por 14 días,2,4,6 mientras algunos aseguran que la movilidad mínima del diente trasplantado tiene beneficios como proliferación celular, reducción de reabsorción ósea4 también hay autores que señalan que con el uso de la férula se promueve el desarrollo de mala higiene oral, reabsorción radicular y anquilosis,1,6 otros están en contra de ellas debido a que se puede evitar la necrosis pulpar y reabsorción radicular además de favorecer la reparación del ligamento periodontal.4

La tasa de supervivencia a cinco años suele ser de 82-98%,1,3,8,12 algunos otros autores reportan tasas de supervivencia más específicas de 96.9% en dientes anteriores, 93.3 en premolares y 84% en molares.4 Dentro de las variables para tener altos niveles de supervivencia se encuentra la preservación de células del ligamento periodontal,4-6,10 un menor tiempo extraoral, distancia entre diente trasplantado y paredes óseas del sitio receptor.4 Incluso hay autores que valoraron la supervivencia con un seguimiento desde un mes hasta 162 meses, donde se evaluaban los dientes trasplantados por causas diversas como caries, lesión periapical, fracturas dentales y periodontitis encontrando diferencias significativas entre estas causas.8

Algunos autores consideran el éxito como una profundidad de sondaje normal, ausencia de molestias, espacio del ligamento periodontal, ausencia de inflamación y correcta función masticatoria mientras que consideran el fracaso con presencia de signos de reabsorción radicular, reabsorción inflamatoria, anquilosis y presencia de periodontitis.4,7

De las complicaciones, algunas pueden aparecer de manera tardía como reabsorción radicular; se puede clasificar en superficial, inflamatoria y de reemplazo, la cual se puede ver desde la tercera semana hasta cuarto mes posteriores al trasplante5,7 o la anquilosis que se puede presentar incluso dentro de los primeros 12 meses.3,4

Como coadyuvante algunos autores sugieren el uso de membranas de fibrina ricas en plaquetas (PRF, por sus siglas en inglés Platelet-rich fibrin), para una regeneración más eficaz de los tejidos ya que es capaz de liberar factores de crecimiento de manera lenta y prolongada, al contrario que el plasma rico en plaquetas que libera los factores de crecimiento dentro de las primeras 48 horas.10

La tecnología actual nos puede ayudar dentro del campo médico no sólo a la creación de dispositivos médicos o creación de diversas prótesis,4 sino también a simular situaciones en las que podemos replicar la morfología, posición y ubicación de componentes anatómicos como un órgano dental para diseñar y planificar de manera apropiada un procedimiento quirúrgico como lo es el autotrasplante dental,4,9 con estos beneficios podemos disminuir tiempos quirúrgicos, tener un mayor control durante el procedimiento previniendo en lo posible complicaciones inmediatas así como daño a estructuras adyacentes, todo en busca de un mejor resultado para el paciente.


REFERENCIAS (EN ESTE ARTÍCULO)

  1. Kulkarni MU, Desai N. Autotransplantation of a mandibular third molar, using a customized reservoir. J Conserv Dent. 2020; 23 (2): 206-210.

  2. Aminsobhani M, Babaahmadi M. Successful auto-transplantation of a mandibular third molar: a case report on restoring esthetics and function in a 66-year-old patient. Clin Case Rep. 2024; 12 (6): e8911.

  3. Machado LA, do Nascimento RR, Ferreira DM, Mattos CT, Vilella OV. Long-term prognosis of tooth autotransplantation: a systematic review and meta-analysis. Int J Oral Maxillofac Surg. 2016; 45 (5): 610-617.

  4. Cahuana-Bartra P, Cahuana-Cárdenas A, Brunet-Llobet L, Ayats-Soler M, Miranda-Rius J, Rivera-Baró A. The use of 3D additive manufacturing technology in autogenous dental transplantation. 3D Print Med. 2020; 6 (1): 16.

  5. Murata M, Nakanishi Y, Kusano K, Hirose Y, Tazaki J, Akazawa T, et al. Immediate tooth autotransplantation with root canal filling and partially demineralized dentin/cementum matrix into congenital missing tooth region. J Funct Biomater. 2022; 13 (2): 82.

  6. Pattanshetti C, Sankeshwari B, Shinde S, Kadam P, Kadam H, Shirkande A. Clinical assessment of immediate autotransplantation of mandibular third molars: an in vivo study. Cureus. 2023; 15 (7): e41293.

  7. Kumar S, Jain M, Sogi S, Shahi P, Dhir S, Rana S. Third molar autotransplantation: an alternative to dental implant - 9 years follow up of a case. Ann Maxillofac Surg. 2020; 10 (2): 529-532.

  8. Park JH, Kim YG, Suh JY, Jin MU, Lee JM. Long-term survival rate of autogenous tooth transplantation: up to 162 months. Medicina (Kaunas). 2022; 58 (11): 1517.

  9. Zhou M, Chen Y, Chi JZ, Liu J, Ran J, Tian K. 3D Printing technology with reverse guide design in autogenous tooth transplantation: an <em>in vitro</em> pictorial report. J Coll Physicians Surg Pak. 2023; 33 (8): 936-940.

  10. SamavatiJame F, Alrmali A, Galindo-Fernandez P, Stuhr S, Wang HL. Tooth autotransplantation outcomes using platelet-rich fibrin: a promising approach; case study. Clin Adv Periodontics. 2024. doi: 10.1002/cap.10287.

  11. Asgary S. Autotransplantation of a third molar to replace an adjacent unrestorable tooth: a case report. Cureus. 2023; 15 (11): e48133.

  12. Al-Khanati NM, Kara Beit Z. Reconsidering some standards in immediate autotransplantation of teeth: case report with 2-year follow-up. Ann Med Surg (Lond). 2022; 75: 103470.



AFILIACIONES

1 División de Estudios de Postgrado e Investigación en la Universidad Nacional Autónoma de México (UNAM), Ciudad de México.

2 Residente de segundo año de la Especialidad en Cirugía Oral y Maxilofacial.

3 Maestro de la Facultad de Odontología.



CORRESPONDENCIA

Ernesto Cuen-Lara. E-mail: cuen4836@hotmail.com




Recibido: 13/07/2024. Aceptado: 13/09/2024.

Figura 1
Figura 2
Figura 3
Figura 4
Figura 5
Figura 6
Figura 7
Figura 8
Figura 9
Figura 10

2020     |     www.medigraphic.com

Mi perfil

C?MO CITAR (Vancouver)

Lat Am J Oral Maxillofac Surg. 2024;4

ARTíCULOS SIMILARES

CARGANDO ...