medigraphic.com
ENGLISH

Cirujano General

ISSN 2594-1518 (Digital)
ISSN 1405-0099 (Impreso)
  • Mostrar índice
  • Números disponibles
  • Información
    • Información general        
    • Directorio
  • Publicar
    • Instrucciones para autores        
    • Envío de artículos
  • medigraphic.com
    • Inicio
    • Índice de revistas            
    • Registro / Acceso
  • Mi perfil

2024, Número 3

<< Anterior Siguiente >>

Cir Gen 2024; 46 (3)


El ultrasonido en el sitio de atención en cirugía general

Vázquez Mellado Díaz, Arturo Carlos1
Texto completo Cómo citar este artículo 10.35366/118728

DOI

DOI: 10.35366/118728
URL: https://dx.doi.org/10.35366/118728
Artículos similares

Idioma: Español/Inglés [English version]
Referencias bibliográficas: 44
Paginas: 170-181
Archivo PDF: 407.69 Kb.


PALABRAS CLAVE

ultrasonido en el sitio de atención, POCUS, cirugía general.

RESUMEN

La ultrasonografía diagnóstica e intervencionista ha adquirido relevancia y ubicuidad en numerosas especialidades cínicas como la terapia intensiva, la urgenciología o la medicina de emergencias, bajo el concepto de ultrasonido en el sitio de atención. Los equipos de ultrasonido han evolucionado en su tecnología hacia la aparición de equipos compactos, portátiles, accesibles y con calidad de imagen. EL cirujano general no puede ser omiso al fenómeno. La valoración cotidiana del dolor abdominal o de los trastornos de la pared abdominal e inguinal pueden ser abordados si se cuenta con el entrenamiento y la tutoría formal y sistemática. Los bloqueos anestésicos/analgésicos útiles en cirugía abdominal o de hernias inguinocrurales pueden ser adoptados también por el cirujano general. El uso cotidiano del ultrasonido en la cirugía general aporta beneficios sustanciales al examen clínico, logrando hallazgos objetivos, oportunos y diagnósticos diferénciales con patología pélvica, genitourinaria o vascular.



ABREVIATURAS:

  • BLUE = Bedside Lung Ultrasound Examination (examen de ultrasonido pulmonar en la cama del paciente)
  • E-FAST = Extended Focused Assessment with Sonography in Trauma (evaluación focalizada extendida con ecografía en traumatología)
  • POCUS = Point Of Care Ultrasound (ultasonido en el punto de atención)
  • RUSH = Rapid Ultrasound for Shock and Hypotension (ultrasonido rápido para el choque y la hipotensión)
  • TAC = tomografía axial computarizada



INTRODUCCIóN

El ultrasonido diagnostico había sido prácticamente territorio exclusivo del médico imagenólogo. Sin embargo, con el desarrollo de equipos de ultrasonido cada vez más compactos, con mayor calidad de imagen, más accesibles en cuanto a costo y más amigables en su manejo, el ultrasonido ha pasado a ocupar un lugar en la práctica clínica cotidiana de un número creciente de especialidades. Esta herramienta única ha sido asimilada en forma creciente por diversos especialistas a su exploración clínica para darle un valor agregado a la misma y ayudarse en la toma de decisiones basadas en información objetiva. No hablo de la obstetricia, de la cardiología o de la oftalmología, donde la práctica experta del ultrasonido constituye ya una subespecialidad en cada uno de esos tres casos. Hablo del ultrasonido en manos de todos aquellos especialistas clínicos que exploran a sus pacientes, del intensivista, del urgenciólogo, del nefrólogo y, ¿porque no?, del cirujano general. Por las ventajas antes mencionadas del ultrasonido, podemos contar con este recurso en la sala de urgencias, en la unidad de terapia intensiva, en el consultorio, en la sala de recuperación y en el quirófano. El ultrasonido puede ubicarse en cualquier servicio hospitalario donde se encuentre el paciente, y emplearse como apoyo diagnóstico inmediato de, por ejemplo, una artritis séptica, de un derrame plural, o de ascitis. Como auxiliar terapéutico incrementa la precisión de intervenciones como inserción de catéteres centrales, punciones pericárdicas, o bloqueos analgésicos preoperatorios (descritos más adelante).



¿QUÉ SIGNIFICA EL CONCEPTO "POCUS"?

La palabra es un acrónimo del inglés "Point Of Care Ultrasound", es decir, el ultrasonido en el sitio de atención. Esta expresión reconoce el uso del ultrasonido portátil de forma que el paciente no necesita ser desplazado físicamente a la sala de radiología para ser escaneado. Es decir, el equipo de ultrasonido se encuentra siempre presente en el área de servicios clínicos como el área de urgencias, la unidad de terapia intensiva, la sala de recuperación, o el consultorio del médico general o especialista. Una búsqueda actual (abril 2023), en PubMed con esa sola palabra (POCUS), arroja 3,038 publicaciones relacionadas. Se trata de romper con el paradigma tradicional de enviar al paciente al servicio de imagenología, donde el paciente programa una cita y debe acudir con una preparación específica (vejiga llena, ayuno, etcétera), y el imagenólogo se va a limitar a explorar la región solicitada sin conocer éste a detalle las manifestaciones clínicas del paciente; mientras el clínico espera las imágenes y el reporte, que puede tardar días. Ese modelo seguirá reproduciéndose en la medicina ambulatoria. Pero el concepto de POCUS consiste en incluir la sonografía como parte de la exploración clínica rutinaria y el clínico explorará las regiones y puntos que considere pertinentes de acuerdo a la información objetiva que el estado clínico del paciente requiere, en el sitio donde se encuentre el mismo, la región anatómica estudiada y la especialidad involucrada. Es decir, el clínico colocará el transductor orientado hacia la cavidad o región anatómica que el caso requiera. El especialista en medicina critica, por ejemplo, ante un paciente con un súbito colapso circulatorio puede obtener datos objetivos –como el diámetro de la vena cava inferior, el pulso portal, la función ventricular, descartar la presencia de derrame pericárdico– en cuestión de minutos y establecer el diagnóstico más preciso y el manejo urgente por implementar. Esto no implica el reemplazo del abordaje clínico tradicional (inspección, palpación, percusión y auscultación) por el ultrasonido, sino simplemente agregar al mismo como herramienta adicional, con el objetivo de contestar preguntas puntuales en forma rápida y precisa. De hecho, existen publicaciones recientes que proponen la palabra isoniación como "quinta maniobra" para mejorar las habilidades del examen físico gracias a la incorporación de la tecnología al lado de la cama del paciente.1-3 Esto es ya una realidad. Y los acrónimos se multiplican: Nos es conocido el FAST (ahora E-FAST: Extended Focused Assessment with Sonography in Trauma), que es la aplicación del ultrasonido en la evaluación inicial del paciente con trauma toracoabdominal, que supera los alcances del ya anacrónico lavado peritoneal diagnóstico. El protocolo E-FAST consiste en una exploración rápida, no invasiva e inocua, sin necesidad de preparación previa del paciente, que mejora la evaluación objetiva del politraumatizado, acelerando el diagnóstico y la toma de decisiones terapéuticas, respondiendo rápidamente preguntas cuya repuesta positiva requiere acción inmediata: ¿hay líquido libre pericárdico?, ¿hay líquido libre pleural?, ¿existe líquido libre intratorácico, hemoneumotórax?, ¿hay líquido libre intraabdominal? La exploración abdominal completa debe realizarse en 3-5 minutos, y el estudio torácico se completará en tres minutos. Se puede realizar en cualquier lugar sin necesidad de movilizar al paciente, así como repetirse de forma seriada para reevaluar al mismo.4,5 Por lo tanto, implica que el equipo de ultrasonido está siempre disponible en la sala de urgencias. En situaciones de cuidado critico o en cualquier escenario donde ocurra un colapso circulatorio se ha desarrollado la implementación del protocolo RUSH (Rapid Ultrasound for Shock and Hypotension), o ultrasonido inmediato en estado de choque, donde se busca distinguir entre un choque obstructivo (tamponade, tromboembolismo pulmonar [TEP]), de uno hipovolémico (colapso de la vena cava inferior), falla de la bomba (valoración de grandes vasos y fracción de eyección ventricular).6-8 Muchos han escuchado del protocolo BLUE, aplicado en casos de insuficiencia respiratoria aguda, del cual se echó mano profusamente en la reciente pandemia de COVID-19. Otra nueva aplicación es la valoración inmediata del estado de congestión venosa sistémica en pacientes de cirugía cardiovascular que consiste en la evaluación con ecografía Doppler de la vena hepática, circulación portal, renal y de la vena cava inferior.9 Más adelante detallamos las circunstancias cotidianas donde el POCUS puede beneficiar al cirujano general. Primero, un poco de física.



¿CÓMO FUNCIONA EL ULTRASONIDO? CONCEPTOS BÁSICOS

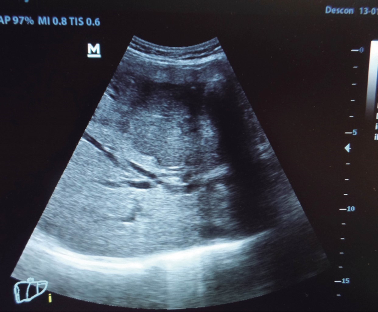
El efecto piezoeléctrico, descubierto por Jaques y Pierre Curie en 1881, consiste en que cuando a los cristales de cuarzo se les aplica determinado voltaje, generan ondas de presión sónica que rebotan en las superficies cercanas y son recibidas como ecos por los mismos cristales. La capacidad de estos cristales para generar y recibir ondas de presión en el rango de frecuencias de megahercios permitió el desarrollo de la tecnología de transductores moderna. Todo transductor sonográfico usado en la medicina clínica contiene dichos cristales. La frecuencia de sonido emitida es demasiado alta para percibirse por el oído humano. Dichas ondas emitidas y recibidas como ecos, son ordenadas por un procesador en pixeles que genera imágenes susceptibles de interpretación clínica. En 1820 Jean-Daniel Colladon confirmó que la velocidad del sonido varía según el medio en el que se disperse, siendo más lenta en un medio acuoso que fuera del mismo. Por lo tanto, tejidos (o cavidades) con diferentes porcentajes de densidad acuosa resistirán de manera peculiar el paso de la señal sonográfica (hígado, hueso, tendón, sangre). Ese fenómeno se conoce como impedancia. Por último, la descripción de Christian A Doppler, en 1842, del efecto que lleva su nombre. Imaginémonos un tren que se acerca haciendo sonar su bocina, cuando un objeto que produce sonido se mueve hacia un observador, la frecuencia de sonido recibida es más alta que la frecuencia emitida; cuando el productor de sonido y el observador están en el mismo punto, las frecuencias emitidas y recibidas son idénticas; y cuando el productor de sonido se aleja de un observador, la frecuencia recibida es más baja que la frecuencia emitida. Los equipos dotados de Doppler color, reproducen este fenómeno al traducir las imágenes de fluidos que se desplazan (sangre circulante), ya sea acercándose (color rojo) o alejándose (color azul) del transductor (Interesados en la historia y los fundamentos de la física del ultrasonido pueden consultar este interesante documento).10 En esencia, la máquina de ultrasonido consta de dos partes principales, el transductor y el procesador (aunque algunos novedosos ultrasonidos portátiles contienen el procesador dentro del transductor) y basta con conectarlos a una tableta o un teléfono inteligente que cuente con la aplicación de la marca, y estos funcionan como la pantalla o monitor del mismo (Figura 1). El transductor tiene dos funciones principales: primero, generar una onda de sonido de alta frecuencia (actúa como emisor) y, segundo, recibir una onda de sonido reflejada (actúa como receptor del eco que la onda emitida generó). El procesador, ubicado dentro de la unidad de ultrasonido, toma estas señales entrantes y las convierte en una imagen útil. Las ondas emitidas son alteradas por la impedancia tisular, es decir, la resistencia que oponen los tejidos al paso se la señal sonográfica, a mayor impedancia mayor rebote de la señal o, lo que es lo mismo, mayor ecogenicidad. Una estructura dura (un lito, el hueso) resisten completamente el paso de la señal, ésta rebota y genera una imagen blanca brillante (imagen hiperecoica), (el hueso o el lito donde chocó la señal), seguida de una sombra obscura, es decir, la llamada sombra acústica posterior (a donde la señal no llegó en absoluto, de ahí la obscuridad). Por el contrario, los tejidos blandos (tendón, músculo, hígado, riñón, tiroides, pared intestinal, un tumor) oponen cada uno variedades propias de impedancia, generando imágenes en contraste de grises sin sombra acústica que se traducen en cada uno de ellos en una imagen sonográfica característica, como por ejemplo el contraste que tiene la ecogenicidad entre corteza y médula renales.11-13 Un objeto líquido rodeado de una pared de tejido blando (la vesícula biliar, un quiste, un vaso sanguíneo) permite el paso franco de la señal, generando una imagen obscura (anecoica), rodeada de la pared que se aprecia en color blanco que persiste en la parte inferior de la pantalla, fenómeno característico de la escasa impedancia de los medios líquidos conocido como "reforzamiento posterior". Órganos o estructuras compuestas por tejido blando como el hígado y el riñón, o una masa tumoral, que son vecinos próximos o continentes de vasos sanguíneos, reproducen una señal ultrasonográfica que muestra claramente el parénquima y el vaso (vena porta, vasos renales, vena cava inferior, venas suprahepáticas, conductos biliares, sistema colector). Con la adición del Doppler color, dentro de una masa sólida (hígado, tumor) puede confirmarse que es atravesada por un vaso sanguíneo pulsátil, y todas estas estructuras pueden medirse en cuanto a diámetro, volumen, pulsaciones, etcétera. Una vesícula biliar ocupada por cálculos mostrará en su interior imágenes blancas (hiperecoicas) que, al ser duras, generan una imagen de contorno hiperecoico (blanco) y proyectan una sombra acústica posterior. La pared abdominal, constituida por tejidos blandos con distinta impedancia, permite diferenciar músculo, tendones, aponeurosis, grasa, y fenómenos extraños como una solución de continuidad con la emergencia en la maniobra de Valsalva de un tejido blando, lo que se traduce en el diagnóstico objetivo de una hernia de pared. Las colecciones líquidas patológicas (sangre, pus, líquido seroso) pueden identificarse, como puede ser la presencia de una banda anecoica entre el hígado y el riñón derecho (espacio de Morrison), correspondiente a sangre o líquido libre intraperitoneal. Los equipos actuales de ultrasonido se fabrican con un refinamiento técnico tal que permite una resolución notable, facilitando la exploración de todo tejido, trátese de tendón, espacios articulares, músculo, globo ocular, o cavidades torácica, pericárdica o abdominal y las imágenes generadas pueden ser medidas, fotografiadas o videograbadas, en tiempo real y es posible compartir esos hallazgos vía internet en segundos. ¿Quién puede ser capaz de creer que esta herramienta no debe estar en manos del clínico que busca respuestas objetivas, concretas, medibles y en forma inmediata? Otros principios de ultrasonido que afectan nuestra imagen incluyen absorción, dispersión y ángulo de reflexión, superan los alcances del presente artículo, pero pueden consultarse en los artículos referidos.14



APLICACIÓN DE LA ULTRASONOGRAFÍA EN CIRUGÍA GENERAL

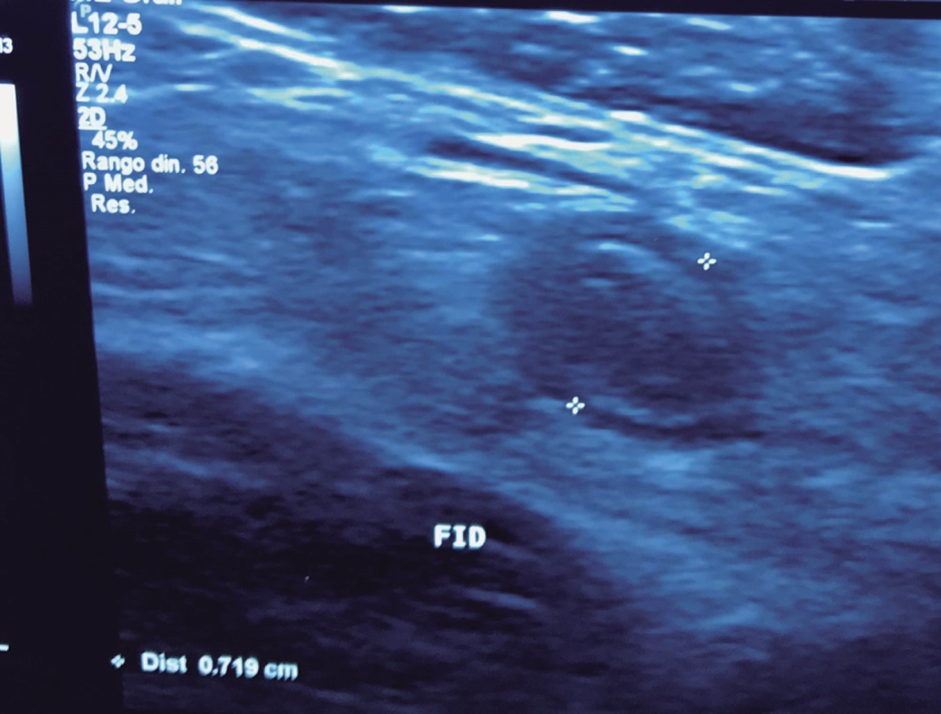
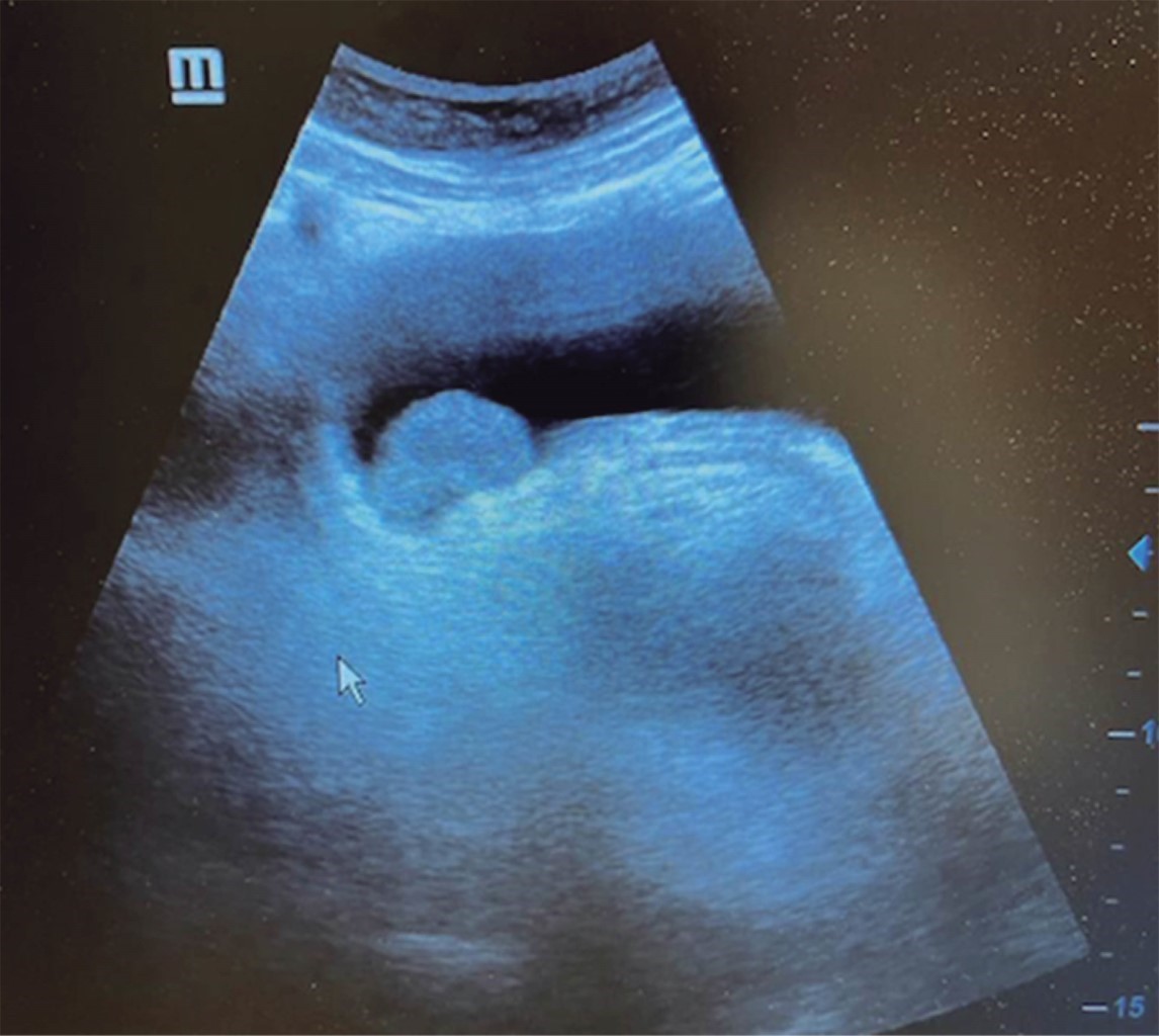
El cirujano general aborda particularmente problemas clínicos que incluyen el aparato digestivo, el cuello, la pared abdominal y los trastornos del sistema circulatorio y el tórax. Un artículo publicado en 2008, por Lindelius,15 demostró que la implementación del ultrasonido por parte del cirujano general en casos de dolor abdominal agudo incrementó en 7.9% la precisión diagnóstica. En la consulta cotidiana de la especialidad, incorporar el rastreo sonográfico al área explorada agrega minutos al examen clínico que aportan datos de notable valor por la objetividad y precisión. El abdomen suele ser el sitio que los cirujanos generales exploramos con más frecuencia. Es posible en una consulta cotidiana hacer todo el protocolo de ultrasonido de abdomen superior en minutos, que incluye ambos cuadrantes superiores y los flancos, pudiendo observar el hígado, la vesícula y los conductos biliares, ambos riñones, el bazo, parte del páncreas y, con ayuda del Doppler color, los principales vasos de la región como la vena cava inferior, la aorta abdominal, la vena porta, los vasos esplénicos y la arteria hepática. Puede haber limitantes como el contenido gástrico, el nivel de llenado de la vesícula biliar o la constitución del paciente y su capacidad de cooperar con el estudio. Pero con la práctica cotidiana, se adquieren las destrezas y el refinamiento suficientes para lograr, con la experiencia acumulada, producir imágenes de relevancia diagnostica inmediata. En la fase de entrenamiento, contrastar nuestros hallazgos con información disponible en la red, con los colegas imagenólogos, o cirujanos ya experimentados en ecografía, permitirá la retroalimentación y la tutoría esenciales de toda curva de aprendizaje. Tradicionalmente se consideraba que aquellos órganos que contienen una mezcla de líquido y gas (intestino, estómago) no son valorables por ultrasonido, el gas produce un efecto rarefacción, ya que no comprime las ondas como un tejido solido o un medio líquido, la señales entonces se dispersan impidiendo que regresen como ecos y permitan al procesador formar una imagen congruente con el órgano explorado. Sin embargo, cuando esta condición cambia como consecuencia de un estado patológico, es posible identificar el contenido intestinal o el gástrico y darnos una idea más aproximada de lo que realmente está ocurriendo en ese abdomen. Podemos, por ejemplo, saber si un estómago está lleno de líquido, o si el intestino contiene residuo sólido, líquido o gaseoso. Los equipos actuales pueden incluso ver en detalle la pared intestinal cuando ésta esté dilatada. Se puede distinguir cuando el colon está ocupado de líquido a nivel del flanco izquierdo como podría ser en una colitis amebiana o en una oclusión intestinal,16 donde se observa dilatación del intestino delgado ≥ 25 mm, el peristaltismo anormal, la presencia de líquido libre intraperitoneal y el edema de la pared intestinal (Figura 2). En casos de dolor abdominal agudo, el ultrasonido puede, en forma inmediata, permitir diagnósticos diferenciales como el hallazgo de una dilatación pielocalicial por nefrolitiasis (Figura 3), o un aneurisma de la aorta abdominal (Figura 4). Un estudio prospectivo realizado en Irvine, California,17 encontró que la a capacidad diagnóstica del médico de primer contacto practicando el ultrasonido para detectar una colelitiasis tiene una especificidad de 87% y una sensibilidad de 82%, mientras que la prueba de ultrasonografía realizada por radiología tuvo sensibilidad de 83% y una especificidad de 86%. Es decir, que, ahorrando tiempo al paciente, el diagnóstico de colelitiasis es factible agregando unos minutos al examen físico inicial. En casos de apendicitis, el método diagnostico considerado como el estándar de oro es la tomografía axial computarizada (TAC). Sin embargo, tiene inconvenientes como su disponibilidad, su costo, el riesgo de radiación en niños y pacientes embarazadas. En tales situaciones, sobre todo en niños, sexo femenino o pacientes delgados, el ultrasonido es una poderosa herramienta que complementa el examen clínico inicial. Las ventajas del ultrasonido frente a la tomografía serian su ubicuidad (ya está en la sala de emergencias), el bajo costo, la ausencia de radiación y el diagnóstico diferencial con causas ginecológicas o genitourinarias de dolor. En apendicitis, la sensibilidad y especificidad de la TAC es de 99.4% y 80.0%, respectivamente. Para el ultrasonido, la sensibilidad diagnóstica es de 83% y la especificidad de 90%. La tasa de apendicectomía negativa es ligeramente mayor en el grupo de TAC que en el del ultrasonido, es decir, 7.1% (3/42) (TAC) en comparación con 4.67% (5/107) (ultrasonido). Hay que recalcar que el ultrasonido es operador dependiente. La experiencia y la calidad del equipo juegan un papel importante.18 La apendicitis tiene varios hallazgos característicos, como la pared edematosa y el aumento de grosor general. Se toman para criterios de positividad una estructura tubular aperistáltica no compresible que mide más de 6 mm de diámetro en el cuadrante inferior derecho (Figura 5).19-21



HALLAZGOS INCIDENTALES EN LA EXPLORACIÓN ABDOMINAL DE RUTINA

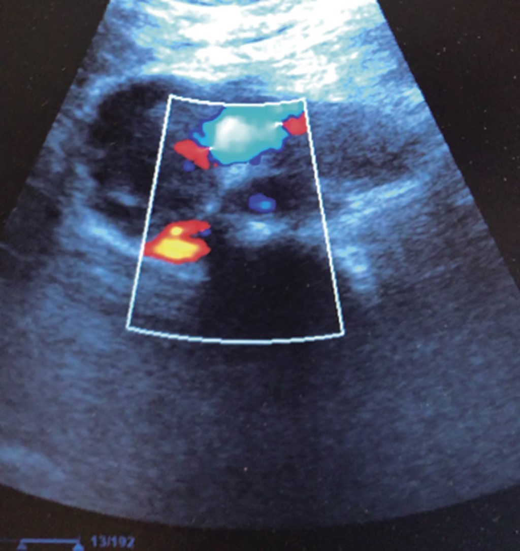
Un hallazgo incidental es cualquier fenómeno indeterminado detectado durante un examen que no tiene relación directa con el síntoma que motivó la exploración, pero que puede tener relevancia clínica que sugiera exámenes o interconsultas complementarios.22 Es para el cirujano general, habituado a recibir pacientes con malestares digestivos, encontrar la abrumadoramente común "distensión abdominal". "Es mi colitis, doctor" dicen los pacientes, y de cuando en cuando hemos encontrado sorpresas de trascendencia vital como tumores renales, una nodulación intravesical que resultó ser un carcinoma de células transicionales (Figura 6), o metástasis hepáticas (Figura 7), aneurismas de la aorta abdominal,23,24 o trombosis de la vena femoral, entre otros. El hallazgo incidental más frecuente en nuestra práctica es el hígado graso,25 que puede ser el detonante de un diagnóstico temprano de un síndrome metabólico y facilitar los exámenes y la orientación clínica pertinente para intervenir con oportunidad en este trastorno endémico. Son comunes los quistes simples, hepáticos o renales. En tales casos se miden su diámetro, se confirma la ausencia de contenido heterogéneo o flujo sanguíneo en su interior (Doppler) y, sobre todo en los renales, que no sustituyan al parénquima renal normal (como en la poliquistosis renal familiar). En ausencia de estas características, se le confirman al paciente como quistes simples y no ameritan mayor intervención. El parénquima hepático puede observarse interrumpido en su ecogenicidad habitual por algún fenómeno anormal como los adenomas o los hemangiomas, que no tienen mayor trascendencia clínica; pero ante cualquier nodulación hepática, debemos registrar la imagen y solicitar una opinión experta, y enviar al paciente al servicio de imagenología y que se protocolice mediante ultrasonido y/o TAC contrastada. Estos hallazgos permitirán profundizar en estudios que confirmen los diagnósticos y reorientar el abordaje terapéutico con una oportunidad que una simple palpación nunca hubiera conseguido y el paciente siempre agradecerá un examen con tal objetividad.



CAUSAS DE ORIGEN NO GASTROINTESTINAL DE DOLOR ABDOMINAL AGUDO EN LA CONSULTA DE CIRUGÍA GENERAL

Hemos encontrado casos de dolor abdominal cuyo origen está en trastornos genitourinarios como una ureterolitiasis con dilatación pielocalicial, un globo vesical que buscaba consulta por "estreñimiento y distensión", una prostatitis avanzada en un paciente con fiebre y dolor hipogastrio, todos ellos, gracias al diagnóstico por ultrasonido en la primera consulta de cirugía general, fueron canalizados directamente con el urólogo de confianza. El beneficio para el paciente es que salieron de la consulta con un diagnóstico concreto sin mayor pérdida de tiempo. Se pueden encontrar también quistes ováricos complicados con torsión como causa de dolor.26



PARED ABDOMINAL Y REGIÓN INGUINOCRURAL

El ultrasonido en la pared abdominal brinda imágenes que compiten en resolución con las que ofrecen la resonancia magnética nuclear y la tomografía axial computarizada. El alto nivel de especificidad (0.9980) y sensibilidad (0.9758) son prueba de la calidad del procedimiento27-29 para detectar hernias de la pared abdominal. En contraste con la resonancia magnética o la tomografía axial, el ultrasonido permite hacer un examen dinámico al pedir al paciente que haga la maniobra de Valsalva mientras tenemos a la vista la región explorada en tiempo real. Si nuestro equipo cuenta con Doppler color, podemos de distinguir estructuras vasculares (vasos epigástricos, femorales). La pared abdominal, al estar constituida por tejidos blandos con distinta impedancia, permite diferenciar músculo, tendones, aponeurosis, grasa, y colocando el traductor a nivel del triángulo de Hesselbach o adyacente a los vasos femorales, durante la maniobra de Valsalva, se logra el diagnostico objetivo de una hernia inguinal o una crural, respectivamente. Diagnósticos diferenciales y/o la identificación de complicaciones posoperatorias, como como un seroma, un hematoma, un lipoma, un endometrioma o una adenomegalia, pueden ser claramente identificados.



ULTRASONIDO TERAPÉUTICO EN PARED ABDOMINAL

Con ayuda de equipos de ultrasonido portátiles es factible realizar en quirófano bloqueos anestésicos que contribuyen a disminuir el dolor posoperatorio y permitir incluso algunos procedimientos como las plastías inguinales abiertas bajo anestesia local y sedación, las plastías de hernias umbilicales y de la línea media. El bloqueo del plano del transverso abdominal30 se emplea colocando el transductor en el flanco en un plano axial, en el punto medio de la distancia entre la cresta iliaca y el borde costal inferior. Se identifica con el transductor la imagen de los músculos del componente lateral y, empleando una dilución de bupivacaína o ropivacaína, se introduce la aguja bajo guía sonográfica hasta que se identifica la penetración de los dos músculos oblicuos y se infiltra justo entre el oblicuo interno y el músculo transverso abdominales (Figura 8). Este procedimiento produce un bloqueo que puede abarcar desde los dermatomas T9 al L1. Su principal utilidad es la disminución del dolor posoperatorio y, por lo tanto, puede aplicarse en toda cirugía abdominal. Adicionalmente, para un mayor efecto analgésico/anestésico, se realiza un bloqueo de la vaina de los rectos, colocando el transductor en sentido axial a nivel del epigastrio, en el borde lateral de cada músculo recto y se infiltra delante de la vaina aponeurótica posterior. La combinación bilateral de estos dos procedimientos (bloqueo del plano transverso y de la vaina de los rectos bilateral) puede emplearse en toda cirugía abdominal, lo que reduce significativamente el dolor posoperatorio. En las plastias inguinales abiertas se emplea el bloqueo de los nervios ilioinguinal e iliohipogástrico, más anestesia local en el sitio de la incisión. Todos estos procedimientos pueden también utilizarse en el consultorio, para tratar dolores inguinales o de pared abdominal, en casos de pacientes con problemas de dolor crónico posoperatorio o con lesiones deportivas, combinando el anestésico local con agua inyectable y un esteroide de depósito como, por ejemplo, 5 mg de betametasona. Pueden beneficiarse de bloqueos repetidos con intervalos de 15 días (sin repetir necesariamente el esteroide combinado en cada bloqueo). Tratándose de la infiltración de la toxina botulínica, como parte de una preparación preoperatoria de hernia compleja,31 se aplica la misma técnica de guía sonográfica en el plano axial del flanco abdominal para inyectar la toxina, bajo visión directa de los músculos del componente lateral del abdomen. En ese caso empleamos la guía con ultrasonido, aplicando cinco punciones por flanco, para asegurar que se deposite la toxina mayormente a nivel del músculo oblicuo interno.



DISCUSIóN

Aunque el concepto de ultrasonido en el sitio de atención, parece haber llegado para quedarse (existe incluso ya una revista con ese nombre: https://pocusjournal.com/), es innegable que está generando rápidamente una base de evidencia sustancial que respalda su uso como auxiliar en la exploración o como guía para hacer más precisos algunos procedimientos en situaciones muy diversas. No hay evidencia que sugiera daños asociados con esta modalidad de imagen. Pero hay autores que, ante la multiplicación de publicaciones y protocolos de implementación en diferentes escenarios clínicos, recomiendan prudencia y un análisis crítico del fenómeno.32 La validación de la utilidad del ultrasonido en manos del clínico está más que evidenciada. Sin embargo, algunos autores han encontrado, mediante encuestas, síntomas de falta de satisfacción con el método en algunos profesionales.33 La principal crítica ha sido que los equipos han llegado a los servicios de urgencias y terapia intensiva, pero no así la capacitación y el entrenamiento, formal y sistemático y con la necesaria inclusión de los residentes.34 En el Reino Unido, ante este fenómeno se ha desarrollado el grupo de trabajo FAMUS,35 para capacitar a la mayor cantidad posible de médicos familiares en el uso del ultrasonido. El uso de ultrasonido en cardiología está más que establecido, y la ecocardiología como subespecialidad supera los alcances de la formación del imagenólogo convencional. Sobre la preocupación por parte de los imagenólogos y la implementación del ultrasonido por especialistas no cardiólogos, Levin36 concluyó desde el 2011: "Entre 2004 y 2009 hubo un aumento de 21% en la tasa de utilización general de ultrasonido por especialistas clínicos no cardiólogos. La ecografía en el punto de atención realizada por no radiólogos representó 41% de todos los sonogramas realizados en 2009. Involucrando múltiples especialidades no radiológicas, pero la participación de los radiólogos es mucho mayor que la de cualquier otra especialidad. La cuota de mercado de ecografía de los radiólogos se mantuvo relativamente estable entre 2004 y 2009. A pesar de la entrada de otros especialistas en la práctica del ultrasonido, los imagenólogos mantuvieron el 56% (2004) y 55% (2009), respectivamente, del mercado en esos dos momentos". Es decir, Los radiólogos no tienen nada que temer. Siguen siendo dueños de su parcela. Simplemente el "pastel" se ha hecho más grande, porque las aplicaciones del ultrasonido se han ampliado sustancialmente. Es más bien el especialista clínico y, en nuestro caso, el cirujano general, el que debe reaccionar y decidir si se sube a la cresta de la ola, a la que se están integrando intensivistas, anestesiólogos, urólogos y otros más. Utilidades como el protocolo de valoración en caso de choque (RUSH), o el de evaluación rápida en insuficiencia respiratoria aguda (BLUE),37 se implementan en lo inmediato, contando con el equipo en el sitio de la emergencia y aplicado por los especialistas a cargo y a la hora que se presente la complicación. El imagenólogo convencional no juega ese rol. Simplemente aparecieron equipos y aplicaciones distintas para una tecnología que alguna vez fue de su exclusividad.

En el caso personal del autor, mi historia como sonografista comenzó en el 2012, ingresando a un diplomado en ultrasonografía médica en modalidad presencial (https://diplomadomedico.com), con sesiones dominicales, teórico prácticas durante seis meses. Excuso decir que no fue suficiente, pero sí me permitió adquirir el andamiaje teórico básico, me motivó para hacerme de mi primer equipo, que en pocos meses cambié por uno que contara con Doppler color, convencido que el costo valió la pena. Me di a la tarea de hacer un escaneo de rutina en cada consulta (abdomen superior o inguinocrural). Y acudí a seminarios subsiguientes en la Asociación Mexicana de Ultrasonido en Medicina (AMUSEM). Ante la duda, envié a todos los pacientes que así lo merecieron a imagenología para corroboración de algún diagnóstico o complemento con TAC abdominal (aneurismas, tumoraciones hepáticas, sospecha de apendicitis, etcétera). Más de 10 años de aplicar el transductor lineal o convexo a todo paciente que acude a mi consulta me permitieron innumerables diagnósticos, hallazgos incidentales oportunos, y también el haber realizado cuatro talleres presenciales y uno en línea (carodi.org), además de participar con la Asociación Mexicana de Hernia A.C. en talleres sobre ultrasonido diagnóstico y terapéutico en pared abdominal e inguinal, para divulgar las ventajas del ultrasonido en nuestra especialidad. En el 2020 conseguí la certificación como sonografista por parte del Consejo Mexicano de Ultrasonido Médico. Adquirí un equipo portátil con transductor lineal para la aplicación de bloqueos anestésicos preoperatorios. Por la experiencia acumulada considero que, como está ocurriendo en todo el mundo, los programas de residencia en cirugía general (y muchas otras) deben de incluir el entrenamiento formal teórico y práctico del ultrasonido, con las sutilezas particulares de cada especialidad. Como sucedió hace más de 30 años con la cirugía laparoscópica, debemos comenzar por capacitar a los especialistas que fungen como profesores de cursos de especialidades clínicas. El marco legal en México,38,39 como tantas otras cosas, no es en mi opinión el adecuado. Pareciera estar elaborado para cuidar el mercado de los imagenólogos, desconociendo que la aplicación del ultrasonido por el especialista clínico interesa competencias y escenarios muy diferentes, aunque ambos se sirvan de la misma tecnología. La norma oficial mexicana publicada en 2012(NOM-028-SSA3-2012), refiere lo siguiente:

  • "8.3 Los médicos especialistas en otras ramas de la medicina, deberán contar con: certificado de especialización expedido por la institución de enseñanza superior o de salud reconocida oficialmente; registrado por la autoridad educativa competente, así como acreditar documentalmente haber realizado estudios de ultrasonografía diagnóstica en su especialidad:
  • 8.3.1 Únicamente llevará a cabo los estudios de ultrasonografía diagnóstica que correspondan al ámbito de su especialidad médica.
  • 8.4 El médico no especialista que haya recibido capacitación y adiestramiento para llevar a cabo estudios de ultrasonografía diagnóstica, como apoyo en su práctica clínica, deberá demostrar documentalmente, con constancia emitida por una institución, colegio o asociación de profesionales reconocida, que avale cuando menos cinco años de experiencia laboral en la materia o, en su caso, formación en ultrasonografía diagnóstica de cuando menos 1,000 horas.
  • 8.4.1 El médico no especialista podrá realizar procedimientos ultrasonográficos no invasivos, su interpretación y la emisión del diagnóstico ultrasonográfico en las materias de su formación. No podrá realizar estudios de ecooftalmología, ni de ecocardiología".

Sin embargo, algunas de las nuevas aplicaciones del ultrasonido por los especialistas clínicos suelen ser invasivas, como la inserción de catéteres centrales o los bloqueos anestésicos o la infiltración de toxina botulínica en hernia compleja. Los protocolos antes descritos (estado de choque, falla respiratoria, E-FAST, reanimación cardiopulmonar [RCP], RUSH) entrañan la revisión urgente del corazón y los grandes vasos. Por otro lado, los diplomados existentes en ultrasonografía son impartidos por imagenólogos y, por lo tanto, cubren sobradamente la capacitación básica, pero no abarcan las aplicaciones, protocolos y procedimientos de interés de las diferentes especialidades. La capacitación debiera orientarse entonces a dotar a todo especialista de bases teóricas sobre la física del ultrasonido, instrumentación y manejo de equipos, y después adecuar el programa a las áreas de interés particular de cada especialidad seguido de una extensa practica con tutoría experta. No tiene caso hacer a un nefrólogo dedicar la mitad de un diplomado de 1,000 horas con teoría y práctica del ultrasonido obstétrico cuando el necesita desarrollar la capacidad de evaluar el riñón y las condiciones hemodinámicas del mismo mediante la aplicación de técnicas avanzadas en Doppler color renal.40,41 En cirugía general hay poco escrito. Beal y colaboradores42 hacen hincapié en que los programas de residencia en cirugía general se han quedado atrás frente a los de la especialidad en urgencias médicas en la inclusión de formación sólida en ultrasonido para sus residentes y proponen un programa de capacitación estandarizado en la universidad estatal de Ohio. Kotagal43 desarrolló un programa piloto para residentes de cirugía, en un estudio observacional de cohortes que evaluó un curso de capacitación de POCUS que constaba de siete sesiones de dos horas cada una con estaciones de habilidades didácticas y supervisadas que cubrían aplicaciones de ultrasonido para trauma (E-FAST), obstetricia, vascular, tejidos blandos, anestesia regional, ecocardiografía enfocada y procedimientos con guía por ultrasonido. Se realizaron encuestas sobre actitudes, experiencia previa y confianza en las aplicaciones de ultrasonido en el punto de atención antes y después del curso. Los residentes informaron una mayor confianza en su capacidad para identificar líquido pericárdico (2 a 4, p = 0.009) y peritoneal (2 a 4.5, p < 0.001), así como para usar ultrasonido para guiar procedimientos (3.5 a 4.0, p = 0.008) y para estimar la fracción de eyección (1 a 4, p = 0.004). Tanto antes como después de la capacitación, los residentes de cirugía estuvieron abrumadoramente de acuerdo con las afirmaciones de que la ecografía mejoraría su práctica, y concluyen que después de un curso POCUS, diseñado específicamente para cirujanos, los residentes de cirugía mejoraron los niveles de eficacia y confianza en una amplia gama de habilidades. Este estudio es al menos alentador acerca del interés y confianza que los residentes pueden ganar si se les entrena formalmente sobre cómo asistirse del ultrasonido en su práctica clínica cotidiana. Las tecnologías actuales que permiten registrar y compartir las imágenes facilitan el desarrollo de programas creativos y son lo suficientemente ambiciosos como para que el residente en cirugía general, o el cirujano mismo, puedan tomar el transductor, generar una imagen, y compartirla con un tutor y así retroalimentar cotidianamente el desarrollo de habilidades que den un valor agregado a cada consulta, reduzcan el tiempo requerido para un diagnóstico oportuno, todo esto en beneficio del paciente. Como suelo concluir cuando doy un taller sobre ultrasonido en pared abdominal e inguinal: ¿difícil? Difícil es entender la anatomía de la región inguinal y realizar reparaciones de hernia inguinal de calidad. Nadie puede llegar a entender mejor la anatomía, incluyendo la anatomía ultrasonográfica, de la región inguinal, como el cirujano experto en reparación de hernia inguinal.44


REFERENCIAS (EN ESTE ARTÍCULO)

  1. Sánchez-Barrancos IM, Tranche-Iparraguirre S. Razones para la pertinencia de la ecografía realizada por los médicos de familia. Aten Primaria. 2015; 47: 261-263.

  2. Calvo Cebrián A, López García-Franco A, Short Apellaniz J. Modelo Point-of-Care Ultrasound en Atención Primaria: ¿herramienta de alta resolución? Aten Primaria. 2018; 50: 500-508.

  3. Bidner A, Bezak E, Parange N. Evaluation of antenatal Point-of-Care Ultrasound (PoCUS) training: a systematic review. Med Educ Online. 2022; 27: 2041366

  4. Stengel D, Leisterer J, Ferrada P, Ekkernkamp A, Mutze S, Hoenning A. Point-of-Care ultrasonography for diagnosing thoracoabdominal injuries in patients with blunt trauma. Cochrane Database Syst Rev. 2018; 12: CD012669.

  5. Pérez-González I. Utilidad del protocolo E-FAST en la medicina de urgencias y emergencias. Ocronos. 2022; 5: 41-43.

  6. Hallett D, Javedani PP, Mosier J. Ultrasound protocol use in the evaluation of an unstable patient. Ultrasound Clin. 2014; 9: 293-306.

  7. Pérez-Calatayud ÁA, Anica-Malagón ED, Briones-Garduño JC, Carrillo-Espe R. Protocolos de ultrasonido en estados de choque. Rev Mex Anest. 2017; 40: 252-254.

  8. Kok B, Wolthuis D, Bosch F, van der Hoeven H, Blans M. POCUS in dyspnea, nontraumatic hypotension, and shock; a systematic review of existing evidence. Eur J Intern Med. 2022; 106: 9-38.

  9. Beaubien-Souligny W, Rola P, Haycock K, Bouchard J, Lamarche Y, Spiegel R, et al. Quantifying systemic congestion with Point-Of-Care ultrasound: development of the venous excess ultrasound grading system. Ultrasound J. 2020; 12: 16.

  10. Kaproth-Joslin KA, Nicola R, Dogra VS. The history of US: from bats and boats to the bedside and beyond: RSNA centennial article. Radiographics. 2015; 35: 960-970.

  11. Pineda VC, Macías PM, Bernal GA. Principios físicos básicos del ultrasonido. Investigación en Discapacidad. 2012; 1: 25-34.

  12. Vargas A, Amescua-Guerra LM, Bernal M, Pineda C. Principios físicos básicos del ultrasonido, sonoanatomía del sistema musculoesquelético y artefactos ecográficos. Acta Ortop Mex. 2008; 22: 361-373.

  13. Aldrich JE. Basic physics of ultrasound imaging. Crit Care Med. 2007; 35: S131-137.

  14. Coltrera MD. Ultrasound physics in a nutshell. Otolaryngol Clin North Am. 2010; 43: 1149-1159.

  15. Lindelius A, Torngren S, Sondén A, Pettersson H, Adami J. Impact of surgeon-performed ultrasound on diagnosis of abdominal pain. Emerg Med J. 2008; 25: 486-491.

  16. Becker BA, Lahham S, Gonzales MA, Nomura JT, Bui MK, Truong TA, et al. A prospective, multicenter evaluation of Point-of-care Ultrasound for small-bowel obstruction in the Emergency Department. Acad Emerg Med. 2019; 26: 921-930.

  17. Summers SM, Scruggs W, Menchine MD, Lahham S, Anderson C, Amr O, et al. Una evaluación prospectiva de la ecografía de cabecera del departamento de emergencias para la detección de colecistitis aguda. Ann Emerg Med. 2010; 56: 114-122.

  18. Fox C, Solley M, Anderson C, Zlidenny A, et al. Prospective evaluation of emergency physician performed bedside ultrasound to detect acute appendicitis. Eur J Emerg Med. 2008; 15: 80-85.

  19. Lee SH, Yun SJ. Diagnostic performance of emergency physician-performed point-of-care ultrasonography for acute appendicitis: a meta-analysis. Am J Emerg Med. 2019; 37: 696-705.

  20. Margain PMÁ, Vera RF, Dimas UN. Ultrasonido para el diagnóstico de apendicitis en el Hospital Ángeles Metropolitano. Acta Med. 2014; 12: 65-70.

  21. Cho SU, Oh SK. Accuracy of ultrasound for the diagnosis of acute appendicitis in the emergency department: a systematic review. Medicine (Baltimore). 2023; 102: e33397.

  22. Obeid S, Galen B, Jensen T. Incidental findings in POCUS: "Chance favors the prepared mind". POCUS J. 2022; 7: 113-114.

  23. Blois B. Office-based ultrasound screening for abdominal aortic aneurysm. Can Fam Physician. 2012; 58: e172-178.

  24. Fernando SM, Tran A, Cheng W, Rochwerg B, Strauss SA, Mutter E, et al. Accuracy of presenting symptoms, physical examination, and imaging for diagnosis of ruptured abdominal aortic aneurysm: systematic review and meta-analysis. Acad Emerg Med. 2022; 29: 486-496.

  25. Miles DA, Levi CS, Uhanova J, Cuvelier S, Hawkins K, Minuk GY. Pocket-sized versus conventional ultrasound for detecting fatty infiltration of the liver. Dig Dis Sci. 2020; 65: 82-85.

  26. Nepal S, Dachsel M, Smallwood N. Point-of-Care ultrasound rapidly and reliably diagnoses renal tract obstruction in patients admitted with acute kidney injury. Clin Med (Lond). 2020; 20: 541-544.

  27. Robinson P, Hensor E, Lansdown MJ, Ambrose NS, Chapman AH. Inguinofemoral hernia: accuracy of sonography in patients with indeterminate clinical features. AJR Am J Roentgenol. 2006; 187: 1168-1178.

  28. Jamadar DA, Jacobson JA, Morag Y, Girish G, Dong Q, Al-Hawary M, et al. Characteristic locations of inguinal region and anterior abdominal wall hernias: sonographic appearances and identification of clinical pitfalls. AJR Am J Roentgenol. 2007; 188: 1356-1364.

  29. Niebuhr H, Konig A, Pawlak M, Sailer M, Kockerling F, Reinpold W. Groin hernia diagnostics: dynamic inguinal ultrasound (DIUS). Langenbecks Arch Surg. 2017; 402: 1039-1045.

  30. Vilchis-Rentería JS, Zaragoza-Lemus MG. Bloqueo en el plano transverso abdominal. Rev Mex Anest. 2017; 40: 334-336.

  31. Deerenberg EB, Shao JM, Elhage SA, Lopez R, Ayuso SA, Augenstein VA, et al. Preoperative botulinum toxin A injection in complex abdominal wall reconstruction- a propensity-scored matched study. Am J Surg. 2021; 222: 638-642.

  32. Singh MR, Jackson JS, Newberry MA, Riopelle C, Tran VH, PoSaw LL. Barriers to Point-of-Care Ultrasound utilization during cardiac arrest in the emergency department: a regional survey of emergency physicians. Am J Emerg Med. 2021; 41: 28-34.

  33. Ramgobin D, Gupta V, Mittal R, Su L, Patel MA, Shaheen N, et al. POCUS in Internal Medicine curriculum: quest for the Holy-Grail of modern medicine. J Community Hosp Intern Med Perspect. 2022; 12: 36-42.

  34. Jones M, Elrifay A, Amer N, Awad H. Con: Limitations of POCUS Examination: Be Aware of Overdiagnosis and Undertreatment. J Cardiothorac Vasc Anesth. 2023; 37 (11): 2366-2369.

  35. Smallwood N, Dachsel M. Point-of-Care Ultrasound (POCUS): unnecessary gadgetry or evidence-based medicine? Clin Med (Lond). 2018; 18: 219-224.

  36. Levin DC, Rao VM, Parker L, Frangos AJ. Noncardiac point-of-care ultrasound by nonradiologist physicians: how widespread is it? J Am Coll Radiol. 2011; 8: 772-775.

  37. Kowalczyk D, Piotrowski WJ, Rosiak O, Bia?as AJ. Concise, practical review on transthoracic lung ultrasound in prehospital diagnosis of dyspnea in adults. Medicina (Kaunas). 2023; 59: 224.

  38. NORMA Oficial Mexicana NOM-208-SSA1-2002, Regulación de los servicios de salud. Para la práctica de la ultrasonografía diagnóstica.

  39. Modificación de la Norma Oficial Mexicana NOM-208-SSA1-2002, Regulación de los servicios de salud. Para la práctica de la ultrasonografía diagnóstica, para quedar como PROY-NOM-028-SSA3-2011, Regulación de los servicios de salud. Para la práctica de la ultrasonografía diagnóstica.

  40. Nori G, Granata A, Leonardi G, Sicurezza E, Spata C. The US color Doppler in acute renal failure. Minerva Urol Nefrol. 2004; 56: 343-352.

  41. Capotondo L, Nicolai GA, Garosi G. The role of color Doppler in acute kidney injury. Arch Ital Urol Androl. 2010; 82: 275-279.

  42. Beal EW, Sigmond BR, Sage-Silski L, Lahey S, Nguyen V, Bahner DP. Point-of-Care Ultrasound in General Surgery residency training: a proposal for milestones in graduate medical education ultrasound. J Ultrasound Med. 2017; 36: 2577-2584.

  43. Kotagal M, Quiroga E, Ruffatto BJ, Adedipe AA, Backlund BH, Nathan R, et al. Impact of point-of-care ultrasound training on surgical residents' confidence. J Surg Educ. 2015;72: e82-87.

  44. Vázquez-Mellado-Díaz AC. El cirujano de pared como ultrasonografista: una realidad. Rev Hispanoam Hernia. 2023; 11: 51-52.



AFILIACIONES

1 Hospital Ángeles de Querétaro. Querétaro, México.



CORRESPONDENCIA

Dr. Arturo Carlos Vázquez Mellado Díaz. E-mail: herniavm@hotmail.com




Recibido: 01/04/2024. Aceptado: 15/08/2024.

Figura 1
Figura 2
Figura 3
Figura 4
Figura 5
Figura 6
Figura 7
Figura 8

2020     |     www.medigraphic.com

Mi perfil

C?MO CITAR (Vancouver)

Cir Gen. 2024;46

ARTíCULOS SIMILARES

CARGANDO ...