medigraphic.com
SPANISH

Cirujano General

ISSN 2594-1518 (Electronic)
ISSN 1405-0099 (Print)
  • Contents
  • View Archive
  • Information
    • General Information        
    • Directory
  • Publish
    • Instructions for authors        
    • Send manuscript
  • medigraphic.com
    • Home
    • Journals index            
    • Register / Login
  • Mi perfil

2024, Number 3

<< Back Next >>

Cir Gen 2024; 46 (3)

Point of Care Ultrasound in General Surgery

Vázquez Mellado Díaz, Arturo Carlos1
Full text How to cite this article 10.35366/118728

DOI

DOI: 10.35366/118728
URL: https://dx.doi.org/10.35366/118728

Language: English/Spanish [Versi?n en espa?ol]
References: 44
Page: 170-181
PDF size: 400.52 Kb.


Key words:

point of care ultrasound, POCUS, general surgery.

ABSTRACT

Diagnostic and interventional ultrasonography has acquired relevance and ubiquity in many clinical specialties such as intensive care, urgency or emergency medicine, in a practice known as Point of Care Ultrasound (POCUS). Ultrasound equipment has evolved in its technology towards the appearance of compact, portable, accessible equipment with image quality. The general surgeon cannot ignore the phenomenon. Day-to-day assessment of abdominal pain or abdominal and inguinal wall disorders can be addressed with formal and systematic training and mentoring. Anesthetic/analgesic blocks useful in abdominal surgery or inguinofemoral hernia surgery can also be adopted by the general surgeon. The daily use of ultrasound in general surgery brings substantial benefits to the clinical examination, achieving objective, timely findings and differential diagnoses with pelvic, genitourinary or vascular pathologies.



ABBREVIATIONS:

  • BLUE = Bedside Lung Ultrasound Examination
  • E-FAST = Extended Focused Assessment with Sonography in Trauma
  • POCUS = Point Of Care Ultrasound
  • RUSH = Rapid Ultrasound for Shock and Hypotension
  • CT = computed axial tomography



INTRODUCTION

Diagnostic ultrasound had been practically the exclusive territory of the imaging physician. However, with the development of increasingly compact ultrasound equipment with higher image quality, more accessible in terms of cost, and friendlier in its handling, ultrasound has become a place of the daily clinical practice of a growing number of specialties. Various specialists have increasingly assimilated this unique tool in their clinical examination to add value and help them make decisions based on objective information. I am not talking about obstetrics, cardiology, or ophthalmology, where the expert practice of ultrasound already constitutes a subspecialty in these three cases. I am talking about ultrasound in the hands of all those clinical specialists who explore their patients: the intensivist, the emergency physician, the nephrologist, and, why not, the general surgeon. Because of the advantages of ultrasound, we can count on this resource in the emergency room, the intensive care unit, the office, the recovery room, and the operating room. Ultrasound can be placed in any hospital department where the patient is located and can be used as immediate diagnostic support for, for example, septic arthritis, pleural effusion, or ascites. As a therapeutic aid, it increases the accuracy of interventions such as central catheter insertion, pericardial punctures, or preoperative analgesic blocks (described below).



WHAT DOES THE "POCUS" CONCEPT MEAN?

The word is the acronym for Point Of Care Ultrasound. This expression recognizes the use of portable ultrasound so that the patient does not need to be physically moved to the radiology room to be scanned. Ultrasound equipment is always present in the clinical service area, such as the emergency department, intensive care unit, recovery room, or general practitioner's or specialist's office. A current search (April 2023) in PubMed with that single word (POCUS) yields 3,038 related publications. The idea is to break with the traditional paradigm of sending the patient to the imaging service, where the patient schedules an appointment and must come with a specific preparation (full bladder, fasting, etc.), and the imaging specialist will limit himself to exploring the requested region without knowing the patient's clinical manifestations in detail. At the same time, the clinician waits for the images and the report, which can take days. This model will continue to be reproduced in outpatient medicine. However, the POCUS concept includes sonography as part of the routine clinical exploration. The clinician will explore the regions and points that he/she considers pertinent according to the objective information that the patient's clinical condition requires, the site where the patient is located, the anatomical region studied, and the specialty involved. In other words, the clinician will place the transducer oriented towards the cavity or anatomical region the case requires. The critical medicine specialist, for example, when faced with a patient with a sudden circulatory collapse, can obtain objective data -such as the diameter of the inferior vena cava, portal pulse, and ventricular function and rule out the presence of pericardial effusion- in a matter of minutes and establish the most accurate diagnosis and the urgent management to be implemented. This procedure does not imply replacing the traditional clinical approach (inspection, palpation, percussion, and auscultation) with ultrasound but simply adding it as an additional tool to answer specific questions quickly and accurately. Recent publications propose the word association as a "fifth maneuver" to improve physical examination skills, thanks to the incorporation of technology at the patient's bedside.1-3 This is already a reality. And the acronyms are multiplying: We are familiar with FAST (now E-FAST: Extended Focused Assessment with Sonography in Trauma), which is the application of ultrasound in the initial evaluation of the thoracoabdominal trauma patient, which goes beyond the scope of the now anachronistic diagnostic peritoneal lavage. The E-FAST protocol consists of a fast, noninvasive, and innocuous exploration, without the need for prior preparation of the patient, which improves the objective evaluation of the polytraumatized patient, accelerating the diagnosis and therapeutic decision-making, quickly answering questions whose positive answer requires immediate action: is there free pericardial fluid, is there free pleural fluid, is there free intrathoracic fluid, hemopneumothorax, or is there free intra-abdominal fluid? The abdominal examination should be performed in 3 to 5 minutes, and the thoracic study will be completed in three minutes. It can be performed anywhere without the need to mobilize the patient and repeated on a serial basis to reevaluate the patient.4,5 Therefore, it implies that ultrasound equipment is always available in the emergency room. In critical care situations or in any scenario where circulatory collapse occurs, the implementation of the RUSH protocol (Rapid Ultrasound for Shock and Hypotension), or immediate ultrasound in shock, has been developed to distinguish between obstructive shock (tamponade, pulmonary thromboembolism [PTE]) and hypovolemic shock (collapse of the inferior vena cava), pump failure (assessment of great vessels and ventricular ejection fraction).6-8 Many have heard about the BLUE protocol, applied in cases of acute respiratory failure, which was widely used in the recent COVID-19 pandemic. Another new application is the immediate assessment of the state of systemic venous congestion in cardiovascular surgery patients, which consists of Doppler ultrasound evaluation of the hepatic vein, portal circulation, and renal and inferior vena cava.9 We detail the everyday circumstances where POCUS can benefit the general surgeon. But first, a little physics.



HOW DOES ULTRASOUND WORK? BASIC CONCEPTS

The piezoelectric effect, discovered by Jaques and Pierre Curie in 1881, means that when a certain voltage is applied to quartz crystals, they generate sonic pressure waves that bounce off nearby surfaces and are received as echoes by the crystals. The ability of these crystals to generate and receive pressure waves in the megahertz frequency range enabled the development of modern transducer technology. Every sonographic transducer used in clinical medicine contains such crystals. The emitted sound frequency is too high to be perceived by the human ear. These emitted waves, received as echoes, are sorted by a processor into pixels that generate images amenable to clinical interpretation. In 1820, Jean-Daniel Colladon confirmed that the speed of sound varies according to the medium in which it is dispersed, being slower in an aqueous medium than outside it. Therefore, tissues (or cavities) with different percentages of aqueous density will resist the passage of the sonographic signal (liver, bone, tendon, blood) in a peculiar way. This phenomenon is known as impedance. Finally, it should be remembered Christian A. Doppler's description in 1842 of the effect that bears his name. Imagine an approaching train sounding its horn; when a sound-producing object moves towards an observer, the received sound frequency is higher than the emitted frequency; when the sound producer and the observer are at the same point, the emitted and received frequencies are identical; and when the sound producer moves away from an observer, the received frequency is lower than the emitted frequency. The equipment equipped with the color Doppler reproduces this phenomenon by translating images of moving fluids (circulating blood), either approaching (red color) or moving away (blue color) from the transducer (those interested in the history and fundamentals of the physics of ultrasound can consult this interesting document).10 The ultrasound machine consists of two main parts, the transducer and the processor (although some novel portable ultrasounds contain the processor inside the transducer). It is sufficient to connect them to a tablet or smartphone with the brand's application, which functions as the screen or monitor of the device used (Figure 1). The transducer has two main functions: first, to generate a high-frequency sound wave (it acts as an emitter) and, second, to receive a reflected sound wave (it acts as a receiver of the echo that the emitted wave generated). The processor inside the ultrasound unit takes these incoming signals and converts them into a useful image. The tissue impedance alters the emitted waves, that is, the resistance that the tissues oppose to the passage of the sonographic signal; the greater the impedance, the greater the bounce of the signal, or what is the same, the greater the echogenicity. A hard structure (a stone, bone) completely resists the passage of the signal; it bounces and generates a bright white image (hyperechoic image) (the bone or the litho where the signal hit), followed by a dark shadow, i.e., the so-called posterior acoustic shadow (where the signal did not reach at all, hence the darkness). On the contrary, soft tissues (tendon, muscle, liver, kidney, thyroid, intestinal wall, some tumors) each oppose their own varieties of impedance, generating images in gray contrast without acoustic shadow that are translated in each of them in a characteristic sonographic image, as for example the contrast that has the echogenicity between renal cortex and medulla.11-13 A liquid object surrounded by a soft tissue wall (gallbladder, a cyst, a blood vessel) allows the signal to pass through freely, generating a dark (anechoic) image, surrounded by the wall that is seen in white and persists in the lower part of the screen, a phenomenon characteristic of the low impedance of liquid media known as "posterior enhancement". Organs or structures composed of soft tissue such as the liver and the kidney, or a tumor mass, which are close neighbors or continents of blood vessels, reproduce an ultrasonographic signal that clearly shows the parenchyma and the vessel (portal vein, renal vessels, inferior vena cava, supra-hepatic veins, bile ducts, collecting system). With the addition of color Doppler, within a solid mass (liver, tumor), it can be confirmed that it is crossed by a pulsatile blood vessel, and all these structures can be measured in terms of diameter, volume, pulsation, and so on. A gallbladder occupied by stones will show white (hyperechoic) images inside the gallbladder, which, by being hard, generate a hyperechoic (white) contour image and cast a posterior acoustic shadow. The abdominal wall, constituted by soft tissues with different impedances, allows differentiating muscle, tendons, aponeurosis, fat, and strange phenomena such as a solution of continuity with the emergence in the Valsalva maneuver of a soft tissue, which translates into the objective diagnosis of a wall hernia. Pathological collections (blood, pus, serous fluid) can be identified, such as an anechoic band between the liver and the right kidney (Morrison's space), corresponding to intraperitoneal blood or free fluid. Current ultrasound equipment is manufactured with such technical refinement that it allows a remarkable resolution, facilitating the exploration of any tissue, be it tendon, joint spaces, muscle, eyeball, or thoracic, pericardial, or abdominal cavities, and the images generated can be measured, photographed or videotaped in real-time. It is possible to share these findings via the internet in seconds. Who can believe this tool should not be in the hands of the clinician who seeks objective, concrete, measurable, and immediate answers? Other ultrasound principles that affect our imaging, including absorption, scattering, and angle of reflection, are beyond the scope of this article but can be consulted in the referenced articles.14



APPLICATION OF ULTRASONOGRAPHY IN GENERAL SURGERY

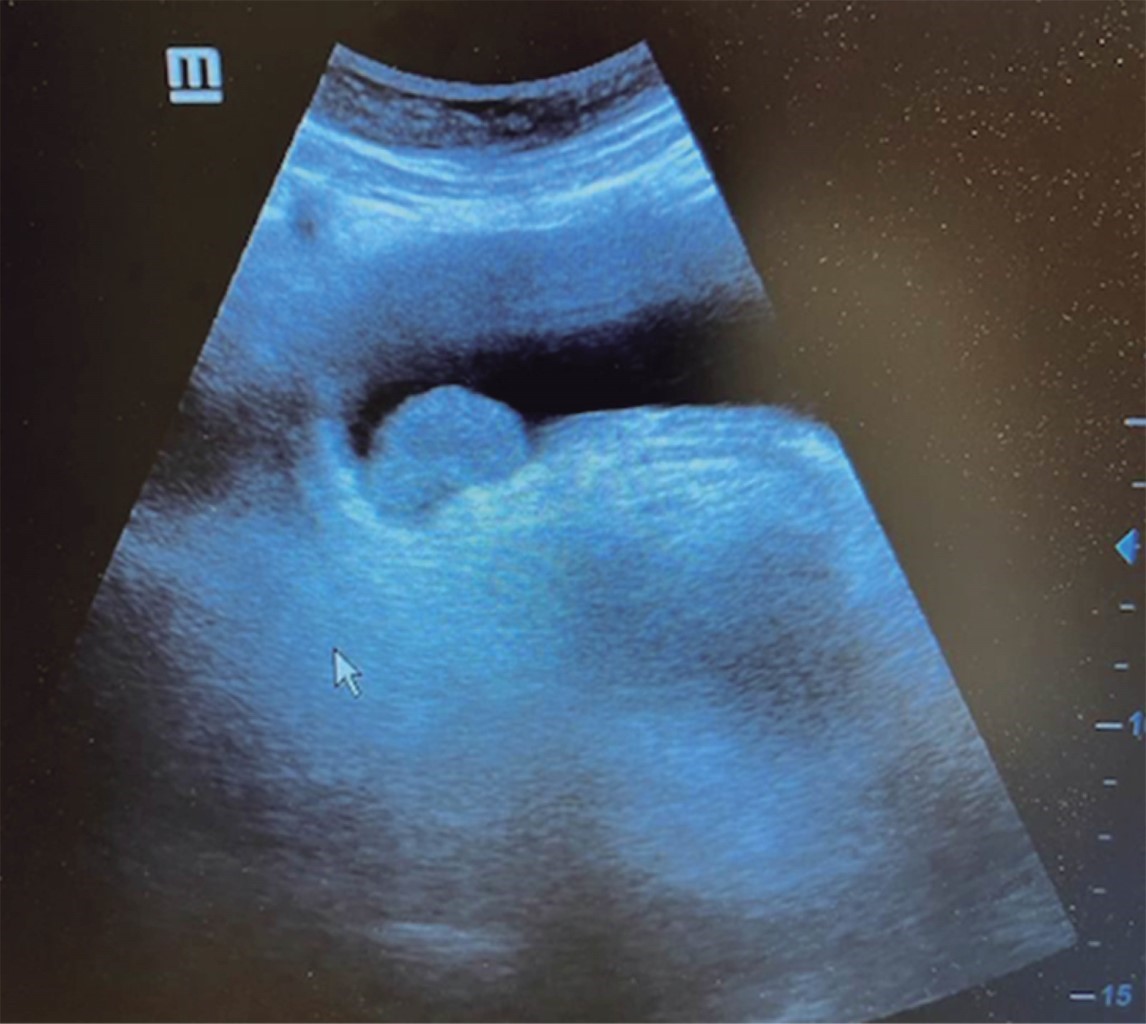
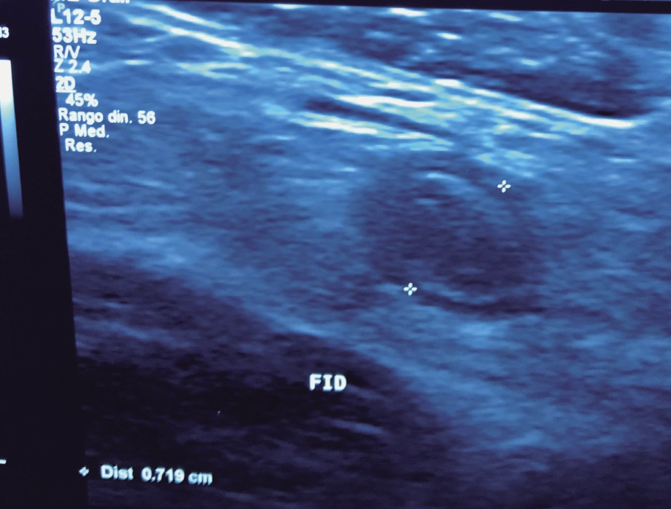
The general surgeon deals with clinical problems involving the digestive tract, the neck, the abdominal wall, and disorders of the circulatory system and the thorax. A paper published in 2008 by Lindelius,15 demonstrated that the implementation of ultrasound by the general surgeon in cases of acute abdominal pain increased diagnostic accuracy by 7.9%. In the daily consultation of the specialty, incorporating sonographic scanning to the explored area adds minutes to the clinical examination that provides data of notable value due to its objectivity and precision. The abdomen is usually the site most frequently explored by general surgeons. It is possible in a daily consultation to do the entire upper abdominal ultrasound protocol in minutes, which includes both upper quadrants and the flanks, being able to observe the liver, gallbladder and bile ducts, both kidneys, the spleen, part of the pancreas and, with the help of color Doppler, the main vessels of the region such as the inferior vena cava, abdominal aorta, portal vein, splenic vessels, and the hepatic artery. There may be limiting factors such as gastric contents, the filling level of the gallbladder, or the patient's constitution and ability to cooperate with the study. However, with daily practice, sufficient skills and refinement are acquired to achieve, with accumulated experience, images of immediate diagnostic relevance. In the training phase, contrasting our findings with information available on the web, with imaging colleagues, or surgeons already experienced in ultrasound, will allow the essential feedback and mentoring of any learning curve. Traditionally, it was considered that those organs containing a mixture of liquid and gas (intestine, stomach) are not assessable by ultrasound; the gas produces a rarefaction effect, as it does not compress the waves as a solid tissue or a liquid medium, the signals are then scattered preventing them from returning as echoes and allowing the processor to form an image congruent with the scanned organ. However, when this condition changes due to a pathological state, it is possible to identify the intestinal or gastric contents and give us a more approximate idea of what is happening in that abdomen. We can, for example, tell whether a stomach is full of liquid or whether the intestine contains solid, liquid, or gaseous residue. Today's equipment can even see the intestinal wall in detail when it is dilated. It can be distinguished when the colon is fluid-occupied at the level of the left flank as might be in amebic colitis or intestinal occlusion,16 where dilatation of the small bowel ≥ 25 mm, abnormal peristalsis, the presence of free intraperitoneal fluid and edema of the bowel wall are seen (Figure 2). In cases of acute abdominal pain, ultrasound can immediately allow differential diagnoses, such as the finding of a pyelocaliceal dilatation due to nephrolithiasis (Figure 3) or an abdominal aortic aneurysm (Figure 4). A prospective study performed in Irvine, California,17 found that the diagnostic ability of the first contact physician performing ultrasound to detect cholelithiasis has a specificity of 87% and a sensitivity of 82%, while the ultrasonography test performed by an imaging physician had a sensitivity of 83% and a specificity of 86%. In other words, by saving the patient's time, the diagnosis of cholelithiasis is feasible by adding a few minutes to the initial physical examination. In cases of appendicitis, the diagnostic method considered the gold standard is computed tomography (CT). However, it has drawbacks, such as its availability, its cost, and the risk of radiation in children and pregnant patients. In such situations, especially in children, females, or thin patients, ultrasound is a powerful tool that complements the initial clinical examination. The advantages of ultrasound over CT are its ubiquity (it is already in the emergency room), low cost, absence of radiation, and differential diagnosis with gynecologic or genitourinary causes of pain. In appendicitis, the sensitivity and specificity of CT are 99.4% and 80.0%, respectively. For ultrasound, the diagnostic sensitivity is 83% and specificity is 90%. The rate of negative appendectomy is slightly higher in the CT group than in the ultrasound group, i.e., 7.1% (3/42) (CT) compared to 4.67% (5/107) (ultrasound). It should be emphasized that ultrasound is an operator-dependent technique. Experience and quality of the equipment play an important role.18 Appendicitis has several characteristic findings, such as an edematous wall and general thickening. A noncompressible non-peristaltic tubular structure measuring more than 6 mm in diameter in the right lower quadrant is taken for criteria of positivity (Figure 5).19-21



INCIDENTAL FINDINGS ON ROUTINE ABDOMINAL EXAMINATION

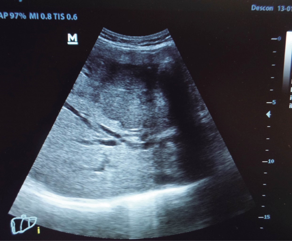
An incidental finding is any undetermined phenomenon detected during an examination that is not directly related to the symptom that prompted the examination. However, it may have clinical relevance, suggesting further examination or consultation.22 It is for the general surgeon, accustomed to seeing patients with digestive complaints, to encounter the overwhelmingly common "abdominal distention". "It's my colitis, doctor", patients say. From time to time, we have found surprises of vital transcendence such as renal tumors, an intravesical nodulation that turned out to be a transitional cell carcinoma (Figure 6), or liver metastases (Figure 7), aneurysms of the abdominal aorta,23,24 or thrombosis of the femoral vein, among others. The most frequent incidental finding in our practice is fatty liver,25 which can be the trigger for an early diagnosis of a metabolic syndrome and facilitate examinations and relevant clinical guidance for timely intervention in this endemic disorder. Simple, hepatic, or renal cysts are common. In such cases, their diameter is measured, and the absence of heterogeneous content or blood flow inside (Doppler) is confirmed, especially in renal cysts, that they do not replace the normal renal parenchyma (as in familial polycystic kidney disease). Without these characteristics, they are confirmed to the patient as simple cysts and do not merit further intervention. The hepatic parenchyma can be observed interrupted in its usual echogenicity by some abnormal phenomenon such as adenomas or hemangiomas, which have no major clinical significance; but in the presence of any hepatic nodulation, we must record the image and request an expert opinion, and send the patient to the imaging service and have it protocolized by means of ultrasound and/or contrast CT. These findings will allow further studies to confirm the diagnoses and reorient the therapeutic approach with an opportunity that a simple palpation would never have achieved. The patient will always be grateful for an examination with such objectivity.



CAUSES OF NON-GASTROINTESTINAL ORIGIN OF ACUTE ABDOMINAL PAIN IN THE GENERAL SURGERY OFFICE

We have found cases of abdominal pain whose origin is in genitourinary disorders such as ureterolithiasis with pyelocaliceal dilatation, a bladder balloon that sought consultation for "constipation and distension", advanced prostatitis in a patient with fever and hypogastric pain, all of them, thanks to the ultrasound diagnosis in the first consultation of general surgery; all of them were sent directly to the urologist of trust. The benefit for the patient is that they left the consultation with a concrete diagnosis without further loss of time. Ovarian cysts complicated with torsion may also be found as a cause of pain.26



ABDOMINAL WALL AND INGUINOCRURAL REGION

Ultrasound of the abdominal wall provides images that compete in resolution with those offered by nuclear magnetic resonance and computed axial tomography. The high specificity (0.9980) and sensitivity (0.9758) prove the quality of the procedure27-29 for detecting abdominal wall hernias. In contrast to MRI or axial tomography, ultrasound allows us to perform a dynamic examination by asking the patient to perform the Valsalva maneuver while we have a real-time view of the explored region. If the equipment has color Doppler, it can distinguish vascular structures (epigastric and femoral vessels). The abdominal wall, composed of soft tissues with different impedances, allows differentiating muscle, tendons, aponeurosis, and fat. By placing the transducer at the level of Hesselbach's triangle or adjacent to the femoral vessels during the Valsalva maneuver, the objective diagnosis of an inguinal hernia or a crural hernia, respectively, is achieved. Differential diagnoses and/or the identification of postoperative complications, such as seromas, hematomas, lipomas, endometriomas, or adenomegalies, can be clearly identified.



THERAPEUTIC ULTRASOUND OF THE ABDOMINAL WALL

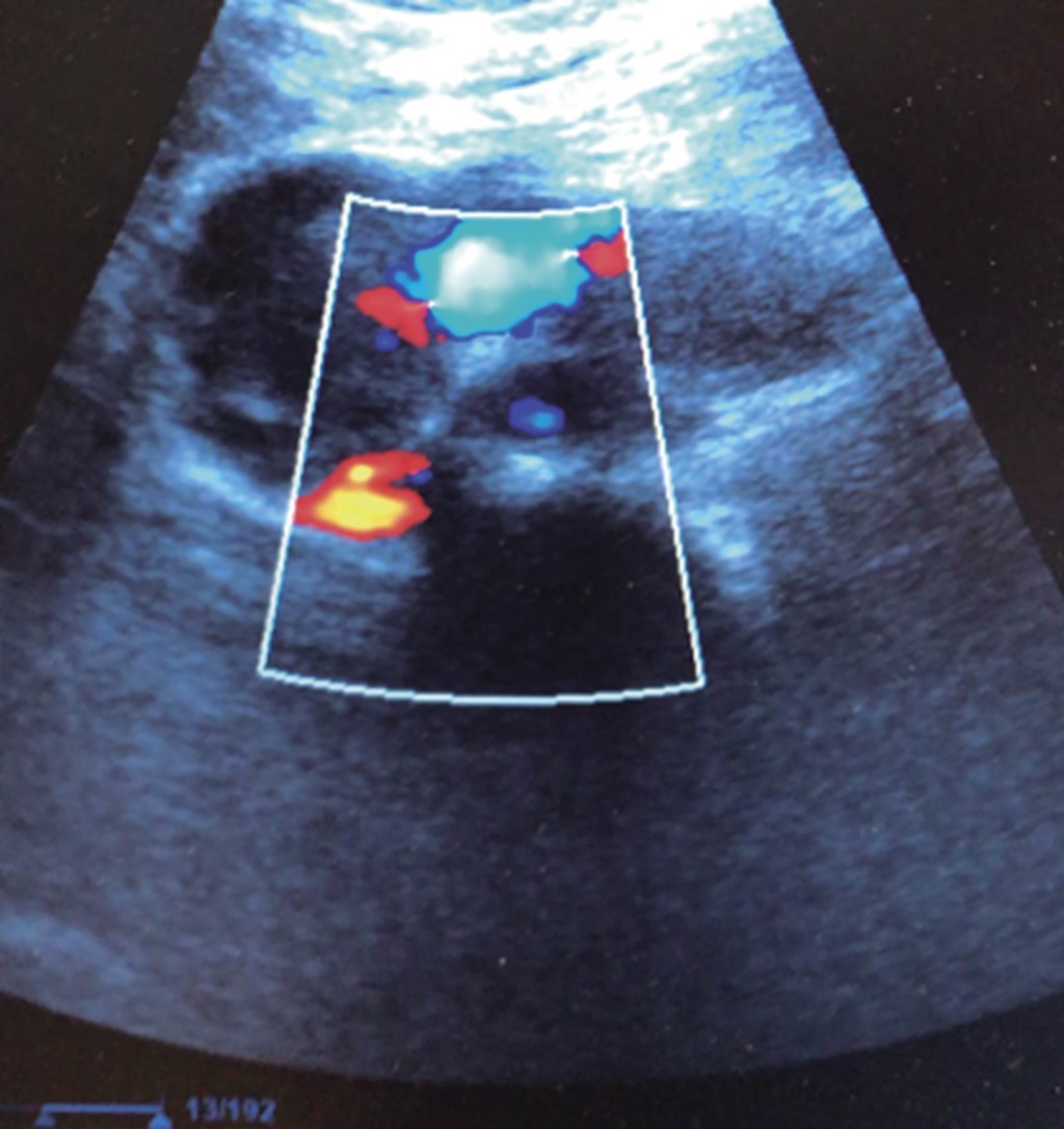
With the aid of a portable ultrasound equipment, it is feasible to perform anesthetic blocks in the operating room that contribute to reducing postoperative pain and even allow some procedures such as open inguinal plasty under local anesthesia and sedation, umbilical hernia plasty, and midline plasty. The transversus abdominis plane block30 is used by placing the transducer on the flank in an axial plane at the midpoint of the distance between the iliac crest and the inferior costal border. The image of the lateral component muscles is identified with the transducer and, using a dilution of bupivacaine or ropivacaine; the needle is introduced under sonographic guidance until penetration of the two oblique muscles is achieved and infiltrated just between the internal oblique and the transversus abdominis muscle (Figure 8). This procedure produces a block spanning the T9 to L1 dermatomes. Its leading utility is reducing postoperative pain; therefore, it can be applied in all abdominal surgery.

Additionally, for a greater analgesic/anesthetic effect, a rectus sheath block is performed by placing the transducer axially at the level of the epigastrium, at the lateral border of each rectus muscle and infiltrating in front of the posterior aponeurotic sheath. The bilateral combination of these two procedures (bilateral transverse plane and bilateral rectus sheath block) can be used in all abdominal surgery, significantly reducing postoperative pain. In open inguinal plasty, the ilioinguinal and iliohypogastric nerve blocks, plus local anesthesia at the incision site, are used. All these procedures can also be used in the office setting to treat groin or abdominal wall pain in patients with chronic postoperative pain problems or sports injuries by combining the local anesthetic with injectable water and a depot steroid such as 5 mg betamethasone. They may benefit from repeated blocks at 15-day intervals (without necessarily repeating the combined steroid at each block). In the case of botulinum toxin infiltration, as part of preoperative preparation for complex hernia31 the same technique of sonographic guidance is applied in the axial plane of the abdominal flank to inject the toxin, under direct vision of the muscles of the lateral abdominal component. In this case, ultrasound guidance is used by applying five punctures per flank to ensure that the toxin is deposited mainly at the level of the internal oblique muscle.



DISCUSSION

Although the concept of point-of-care ultrasound seems to be here to stay (there is even a journal found at https://pocusjournal.com/), it is undeniable that a substantial evidence base is rapidly generating to support its use as a screening aid or as a guide to making some procedures more precise in a wide variety of situations. There is no evidence to suggest harm associated with this imaging modality. However, some authors recommend caution and a critical analysis of the phenomenon in view of the multiplication of publications and implementation protocols in different clinical scenarios.32 The validation of ultrasound usefulness in the clinician's hands is more than evident. However, some authors have found, through surveys, symptoms of lack of satisfaction with the method in some professionals.33 The main criticism has been that the equipment has reached the emergency and intensive care departments, but not the formal and systematic training and education, with the necessary inclusion of residents.34 In the United Kingdom, faced with this phenomenon, the FAMUS working group has been developed35 to train as many family physicians as possible in ultrasound. The use of ultrasound in cardiology is more than established, and echocardiology as a subspecialty goes beyond the scope of conventional imaging training. On the concern by imaging specialists and the implementation of ultrasound by non-cardiologists, Levin36 concluded in 2011: "Between 2004 and 2009, there was a 21% increase in the overall utilization rate of ultrasound by non-cardiologist clinical specialists. Point-of-care ultrasound performed by non-radiologists accounted for 41% of all sonograms performed in 2009. Involvement of multiple non-radiology specialties, but with the participation of radiologists is far greater than that of any other specialty. Radiologists' share of the sonography market remained relatively stable between 2004 and 2009. Despite the entry of other specialists into ultrasound practice, imaging specialists held 56% (2004) and 55% (2009), respectively, of the market at those two points in time". In other words, radiologists have nothing to fear. They still own their field. It is just that the "pie" has gotten bigger because the applications of ultrasound have expanded substantially. Instead, the clinical specialist and, in our case, the general surgeon must react and decide whether to ride the wave's crest, to which intensivists, anesthesiologists, urologists, and others are joining. Utilities such as the protocol for assessment in case of shock (RUSH) or the rapid assessment protocol for acute respiratory failure (BLUE)37 are implemented immediately, with the equipment at the emergency site and applied by the specialists in charge and at the time the complication occurs. The conventional imaging specialist does not play this role. Different equipment and applications have simply appeared for a technology that was once exclusive to them.

In the personal case of the author, the story as a sonographer began in 2012, entering a course in medical ultrasonography in the classroom mode (https://diplomadomedico.com), with Sunday sessions, theoretical and practical lasting six months. I excuse myself for saying that it was not enough, but it did allow me to acquire the basic theoretical scaffolding and motivated me to get my first equipment, which, in a few months, I changed for one that had color Doppler, convinced that the cost was worth it. I made it a point to do a routine scan at every consultation (upper abdomen or inguinocrural). I attended subsequent seminars at the Mexican Association of Ultrasound in Medicine (AMUSEM). When in doubt, I sent all patients who deserved it to the imaging department for corroboration of a diagnosis or complementary abdominal CT (aneurysms, liver tumors, suspected appendicitis, etc.). More than 10 years of applying the linear or convex transducer to every patient who comes to my office allowed me to make countless diagnoses, timely incidental findings, and also to have conducted four workshops in person and one online (carodi.org), in addition to participating with the Mexican Association of Hernia A.C. in workshops on diagnostic and therapeutic ultrasound in abdominal and inguinal wall, to disseminate the advantages of ultrasound in our specialty. In 2020, the Mexican Council of Medical Ultrasound certified me as a sonographer. I acquired portable equipment with a linear transducer for applying preoperative anesthetic blocks. Based on my accumulated experience, residency programs in general surgery (and many others) should include formal theoretical and practical training in ultrasound, with the subtleties of each specialty. As happened more than 30 years ago with laparoscopic surgery, we must begin by training the specialists who teach clinical specialty courses. The legal framework in Mexico,38,39 like many other things, is inadequate. It is designed to take care of the imaging market, ignoring the fact that the application of ultrasound by the clinical specialist involves very different competencies and scenarios, even though both use the same technology. The official Mexican standard published in 2012 (NOM-028-SSA3-2012) refers to the following:

  • "8.3 Physicians specializing in other branches of medicine, shall have a certificate of specialization issued by the institution of higher education or officially recognized health; registered by the competent educational authority, as well as documentary evidence of having performed diagnostic ultrasonography studies in their specialty:

  • 8.3.1 It shall only perform diagnostic ultrasonography studies that fall within the scope of its medical specialty.

  • 8.4 The non-specialist physician who has received training and instruction to carry out diagnostic ultrasonography studies, as a support in his clinical practice, shall demonstrate with documentation, with a certificate issued by a recognized institution, college, or association of professionals, that guarantees at least five years of work experience in the field or, if applicable, training in diagnostic ultrasonography of at least 1,000 hours.

  • 8.4.1 The non-specialist physician may perform noninvasive ultrasonographic procedures, interpret them, and issue the ultrasonographic diagnosis in the subjects of his training. He/she may not perform eco-ophthalmology or echocardiology studies".

However, some new applications of ultrasound by clinical specialists are often invasive, such as central catheter insertion, anesthetic blocks, or botulinum toxin infiltration in complex hernias. The protocols described above (shock, respiratory failure, E-FAST, cardiopulmonary resuscitation [CPR], RUSH) involve urgent revision of the heart and great vessels. On the other hand, existing diploma courses in ultrasonography are taught by imaging specialists and, therefore, cover basic training but do not cover the applications, protocols, and procedures of interest to the different specialties. The training should then be oriented to provide all specialists with theoretical bases on the physics of ultrasound, instrumentation, and equipment handling, and then adapt the program to the areas of particular interest of each specialty, followed by extensive practice with expert tutoring. There is no point in making a nephrologist spend half of a 1,000-hour course on obstetric ultrasound theory and practice when he/she only needs to develop the ability to evaluate the kidney and its hemodynamic conditions by applying advanced renal color Doppler techniques.40,41 In general surgery, there is little written. Beal et al.42 at Ohio State University, emphasize that general surgery residency programs have lagged emergency medical specialty programs, including solid ultrasound training for their residents, and propose a standardized training program. Kotagal43 developed a pilot program for surgical residents in an observational cohort study that evaluated a POCUS training course consisting of seven sessions of two hours each with didactic and supervised skills stations covering ultrasound applications for trauma (E-FAST), obstetrics, vascular, soft tissue, regional anesthesia, focused echocardiography, and ultrasound-guided procedures. Surveys were conducted on attitudes, prior experience, and confidence in point-of-care ultrasound applications before and after the course. Residents reported increased confidence in their ability to identify pericardial (2 to 4, p = 0.009) and peritoneal (2 to 4.5, p < 0.001) fluid, as well as to use ultrasound to guide procedures (3.5 to 4.0, p = 0.008) and to estimate ejection fraction (1 to 4, p = 0.004). Before and after training, surgical residents overwhelmingly agreed with the claims that ultrasound would improve their practice. They concluded that surgical residents improved efficacy and confidence across a wide range of skills after a POCUS course explicitly designed for surgeons. This study is at least encouraging about the interest and confidence that residents can gain if they are formally trained to use ultrasound in their daily clinical practice. Current technologies that allow image recording and sharing facilitate the development of creative programs and are ambitious enough that the general surgery resident, or the surgeon himself, can take the transducer, generate an image, and share it with a mentor and thus provide daily feedback on the development of skills that add value to each consultation and reduce the time required for a timely diagnosis, all to the benefit of the patient. As I usually conclude when I give a workshop on abdominal and inguinal wall ultrasound, "…Is it difficult? Difficult is understanding the anatomy of the inguinal region and performing quality inguinal hernia repairs. No one can better understand the inguinal region's anatomy, including the ultrasonographic anatomy, than the expert inguinal hernia repair surgeon".44


REFERENCES

  1. Sánchez-Barrancos IM, Tranche-Iparraguirre S. Razones para la pertinencia de la ecografía realizada por los médicos de familia. Aten Primaria. 2015; 47: 261-263.

  2. Calvo Cebrián A, López García-Franco A, Short Apellaniz J. Modelo Point-of-Care Ultrasound en Atención Primaria: ¿herramienta de alta resolución? Aten Primaria. 2018; 50: 500-508.

  3. Bidner A, Bezak E, Parange N. Evaluation of antenatal Point-of-Care Ultrasound (PoCUS) training: a systematic review. Med Educ Online. 2022; 27: 2041366

  4. Stengel D, Leisterer J, Ferrada P, Ekkernkamp A, Mutze S, Hoenning A. Point-of-Care ultrasonography for diagnosing thoracoabdominal injuries in patients with blunt trauma. Cochrane Database Syst Rev. 2018; 12: CD012669.

  5. Pérez-González I. Utilidad del protocolo E-FAST en la medicina de urgencias y emergencias. Ocronos. 2022; 5: 41-43.

  6. Hallett D, Javedani PP, Mosier J. Ultrasound protocol use in the evaluation of an unstable patient. Ultrasound Clin. 2014; 9: 293-306.

  7. Pérez-Calatayud ÁA, Anica-Malagón ED, Briones-Garduño JC, Carrillo-Espe R. Protocolos de ultrasonido en estados de choque. Rev Mex Anest. 2017; 40: 252-254.

  8. Kok B, Wolthuis D, Bosch F, van der Hoeven H, Blans M. POCUS in dyspnea, nontraumatic hypotension, and shock; a systematic review of existing evidence. Eur J Intern Med. 2022; 106: 9-38.

  9. Beaubien-Souligny W, Rola P, Haycock K, Bouchard J, Lamarche Y, Spiegel R, et al. Quantifying systemic congestion with Point-Of-Care ultrasound: development of the venous excess ultrasound grading system. Ultrasound J. 2020; 12: 16.

  10. Kaproth-Joslin KA, Nicola R, Dogra VS. The history of US: from bats and boats to the bedside and beyond: RSNA centennial article. Radiographics. 2015; 35: 960-970.

  11. Pineda VC, Macías PM, Bernal GA. Principios físicos básicos del ultrasonido. Investigación en Discapacidad. 2012; 1: 25-34.

  12. Vargas A, Amescua-Guerra LM, Bernal M, Pineda C. Principios físicos básicos del ultrasonido, sonoanatomía del sistema musculoesquelético y artefactos ecográficos. Acta Ortop Mex. 2008; 22: 361-373.

  13. Aldrich JE. Basic physics of ultrasound imaging. Crit Care Med. 2007; 35: S131-137.

  14. Coltrera MD. Ultrasound physics in a nutshell. Otolaryngol Clin North Am. 2010; 43: 1149-1159.

  15. Lindelius A, Torngren S, Sondén A, Pettersson H, Adami J. Impact of surgeon-performed ultrasound on diagnosis of abdominal pain. Emerg Med J. 2008; 25: 486-491.

  16. Becker BA, Lahham S, Gonzales MA, Nomura JT, Bui MK, Truong TA, et al. A prospective, multicenter evaluation of Point-of-care Ultrasound for small-bowel obstruction in the Emergency Department. Acad Emerg Med. 2019; 26: 921-930.

  17. Summers SM, Scruggs W, Menchine MD, Lahham S, Anderson C, Amr O, et al. Una evaluación prospectiva de la ecografía de cabecera del departamento de emergencias para la detección de colecistitis aguda. Ann Emerg Med. 2010; 56: 114-122.

  18. Fox C, Solley M, Anderson C, Zlidenny A, et al. Prospective evaluation of emergency physician performed bedside ultrasound to detect acute appendicitis. Eur J Emerg Med. 2008; 15: 80-85.

  19. Lee SH, Yun SJ. Diagnostic performance of emergency physician-performed point-of-care ultrasonography for acute appendicitis: a meta-analysis. Am J Emerg Med. 2019; 37: 696-705.

  20. Margain PMÁ, Vera RF, Dimas UN. Ultrasonido para el diagnóstico de apendicitis en el Hospital Ángeles Metropolitano. Acta Med. 2014; 12: 65-70.

  21. Cho SU, Oh SK. Accuracy of ultrasound for the diagnosis of acute appendicitis in the emergency department: a systematic review. Medicine (Baltimore). 2023; 102: e33397.

  22. Obeid S, Galen B, Jensen T. Incidental findings in POCUS: "Chance favors the prepared mind". POCUS J. 2022; 7: 113-114.

  23. Blois B. Office-based ultrasound screening for abdominal aortic aneurysm. Can Fam Physician. 2012; 58: e172-178.

  24. Fernando SM, Tran A, Cheng W, Rochwerg B, Strauss SA, Mutter E, et al. Accuracy of presenting symptoms, physical examination, and imaging for diagnosis of ruptured abdominal aortic aneurysm: systematic review and meta-analysis. Acad Emerg Med. 2022; 29: 486-496.

  25. Miles DA, Levi CS, Uhanova J, Cuvelier S, Hawkins K, Minuk GY. Pocket-sized versus conventional ultrasound for detecting fatty infiltration of the liver. Dig Dis Sci. 2020; 65: 82-85.

  26. Nepal S, Dachsel M, Smallwood N. Point-of-Care ultrasound rapidly and reliably diagnoses renal tract obstruction in patients admitted with acute kidney injury. Clin Med (Lond). 2020; 20: 541-544.

  27. Robinson P, Hensor E, Lansdown MJ, Ambrose NS, Chapman AH. Inguinofemoral hernia: accuracy of sonography in patients with indeterminate clinical features. AJR Am J Roentgenol. 2006; 187: 1168-1178.

  28. Jamadar DA, Jacobson JA, Morag Y, Girish G, Dong Q, Al-Hawary M, et al. Characteristic locations of inguinal region and anterior abdominal wall hernias: sonographic appearances and identification of clinical pitfalls. AJR Am J Roentgenol. 2007; 188: 1356-1364.

  29. Niebuhr H, Konig A, Pawlak M, Sailer M, Kockerling F, Reinpold W. Groin hernia diagnostics: dynamic inguinal ultrasound (DIUS). Langenbecks Arch Surg. 2017; 402: 1039-1045.

  30. Vilchis-Rentería JS, Zaragoza-Lemus MG. Bloqueo en el plano transverso abdominal. Rev Mex Anest. 2017; 40: 334-336.

  31. Deerenberg EB, Shao JM, Elhage SA, Lopez R, Ayuso SA, Augenstein VA, et al. Preoperative botulinum toxin A injection in complex abdominal wall reconstruction- a propensity-scored matched study. Am J Surg. 2021; 222: 638-642.

  32. Singh MR, Jackson JS, Newberry MA, Riopelle C, Tran VH, PoSaw LL. Barriers to Point-of-Care Ultrasound utilization during cardiac arrest in the emergency department: a regional survey of emergency physicians. Am J Emerg Med. 2021; 41: 28-34.

  33. Ramgobin D, Gupta V, Mittal R, Su L, Patel MA, Shaheen N, et al. POCUS in Internal Medicine curriculum: quest for the Holy-Grail of modern medicine. J Community Hosp Intern Med Perspect. 2022; 12: 36-42.

  34. Jones M, Elrifay A, Amer N, Awad H. Con: Limitations of POCUS Examination: Be Aware of Overdiagnosis and Undertreatment. J Cardiothorac Vasc Anesth. 2023; 37 (11): 2366-2369.

  35. Smallwood N, Dachsel M. Point-of-Care Ultrasound (POCUS): unnecessary gadgetry or evidence-based medicine? Clin Med (Lond). 2018; 18: 219-224.

  36. Levin DC, Rao VM, Parker L, Frangos AJ. Noncardiac point-of-care ultrasound by nonradiologist physicians: how widespread is it? J Am Coll Radiol. 2011; 8: 772-775.

  37. Kowalczyk D, Piotrowski WJ, Rosiak O, Bia?as AJ. Concise, practical review on transthoracic lung ultrasound in prehospital diagnosis of dyspnea in adults. Medicina (Kaunas). 2023; 59: 224.

  38. NORMA Oficial Mexicana NOM-208-SSA1-2002, Regulación de los servicios de salud. Para la práctica de la ultrasonografía diagnóstica.

  39. Modificación de la Norma Oficial Mexicana NOM-208-SSA1-2002, Regulación de los servicios de salud. Para la práctica de la ultrasonografía diagnóstica, para quedar como PROY-NOM-028-SSA3-2011, Regulación de los servicios de salud. Para la práctica de la ultrasonografía diagnóstica.

  40. Nori G, Granata A, Leonardi G, Sicurezza E, Spata C. The US color Doppler in acute renal failure. Minerva Urol Nefrol. 2004; 56: 343-352.

  41. Capotondo L, Nicolai GA, Garosi G. The role of color Doppler in acute kidney injury. Arch Ital Urol Androl. 2010; 82: 275-279.

  42. Beal EW, Sigmond BR, Sage-Silski L, Lahey S, Nguyen V, Bahner DP. Point-of-Care Ultrasound in General Surgery residency training: a proposal for milestones in graduate medical education ultrasound. J Ultrasound Med. 2017; 36: 2577-2584.

  43. Kotagal M, Quiroga E, Ruffatto BJ, Adedipe AA, Backlund BH, Nathan R, et al. Impact of point-of-care ultrasound training on surgical residents' confidence. J Surg Educ. 2015;72: e82-87.

  44. Vázquez-Mellado-Díaz AC. El cirujano de pared como ultrasonografista: una realidad. Rev Hispanoam Hernia. 2023; 11: 51-52.



AFFILIATIONS

1 Hospital Ángeles de Querétaro. Querétaro, Mexico.



CORRESPONDENCE

Arturo Carlos Vázquez-Mellado Díaz, MD. E-mail: herniavm@hotmail.com




Received: 04/01/2024. Accepted: 08/15/2024

Figure 1
Figure 2
Figure 3
Figure 4
Figure 5
Figure 6
Figure 7
Figure 8

2020     |     www.medigraphic.com

Mi perfil

C?MO CITAR (Vancouver)

Cir Gen. 2024;46