medigraphic.com
ENGLISH

Cirujano General

ISSN 2594-1518 (Digital)
ISSN 1405-0099 (Impreso)
  • Mostrar índice
  • Números disponibles
  • Información
    • Información general        
    • Directorio
  • Publicar
    • Instrucciones para autores        
    • Envío de artículos
  • medigraphic.com
    • Inicio
    • Índice de revistas            
    • Registro / Acceso
  • Mi perfil

2024, Número 3

<< Anterior Siguiente >>

Cir Gen 2024; 46 (3)


Manejo no operatorio en trauma de vesícula biliar. Reporte de un caso y revisión de la literatura

de La Cruz, Enmanuel Guillermo1,2; Bautista Cruz, Raúl1,3; Mejía Picasso, Carlos Alberto1,4
Texto completo Cómo citar este artículo 10.35366/118731

DOI

DOI: 10.35366/118731
URL: https://dx.doi.org/10.35366/118731
Artículos similares

Idioma: Español/Inglés [English version]
Referencias bibliográficas: 10
Paginas: 191-196
Archivo PDF: 355.03 Kb.


PALABRAS CLAVE

colecistitis, trauma penetrante, vesícula biliar, hemobilia, colecistectomía.

RESUMEN

La ruptura traumática de la vesícula biliar es una entidad rara. La causa más común de trauma vesicular son las heridas penetrantes. El diagnóstico de esta entidad es a menudo un reto, por lo que se presenta el caso de un masculino con trauma penetrante de abdomen en región toracoabdominal sin datos de abdomen agudo desde su ingreso, se realizó tomografía de abdomen reportando: laceración hepática del segmento V grado I, vesícula con contenido heterogéneo, probable contenido hemático, discreta cantidad de líquido perivesicular. Ante los hallazgos de imagen se ofrece al paciente realizar laparoscopia diagnóstica y evaluar la colecistectomía; sin embargo, el paciente no acepta procedimiento quirúrgico. Se decide alta y vigilancia por la consulta externa. Si bien el riesgo teórico de aparición de una colecistitis secundaria a hemobilia existe, su incidencia es tan baja que no se considera preceptiva la realización de colecistectomía en todos los casos de hemobilia. Conclusión: la laparotomía exploratoria se indica ante datos de lesiones asociadas que ponen en riesgo la vida del paciente. El estudio de mayor sensibilidad es la tomografía computarizada, siempre y cuando estemos ante un paciente estable.



INTRODUCCIóN

La ruptura traumática de la vesícula biliar es una entidad rara. La causa más común de trauma vesicular son las heridas penetrantes por arma de fuego o arma blanca (89%). El trauma abdominal contuso se presenta en 11% restante y constituye evidencia de lo infrecuente de este problema.1 Se ha reportado que ocurre en aproximadamente 2 a 3% de todas las lesiones por trauma abdominal,2 y representa hasta 66% de las lesiones de las vías biliares extrahepáticas.3 La lesión de la vesícula biliar secundaria a un trauma contuso abdominal es comúnmente asociada a lesiones de otras vísceras abdominales.4 La lesión aislada de la vesícula biliar es aún más rara y su incidencia aún no ha sido reportada, esto puede atribuirse a su ubicación anatómica y la protección que el hígado y la caja torácica le brindan.

El diagnóstico de esta entidad es a menudo un reto, y mediante pruebas de imagen es excepcional por su baja incidencia y muchas veces se identifica en una laparotomía realizada por lesiones de vísceras abdominales asociadas. El tratamiento habitual es la colecistectomía, ya que la perforación de la pared libre de la vesícula a cavidad abdominal condiciona la aparición de una peritonitis biliar.5 Sin embargo, la cirugía suele indicarse por lesiones abdominales asociadas, generalmente hepáticas o esplénicas y la aparición de la lesión de la vesícula biliar es un hallazgo en la mayoría de los casos.



PRESENTACIóN DEL CASO

Hombre de 34 años, traído por sus familiares a nuestra unidad, con el antecedente de agresión por terceras personas con objeto punzocortante, causándole lesión a nivel de abdomen en región toracoabdominal derecha.

Se recibe con vía aérea permeable saturando a 99%, Glasgow 15 puntos, tensión arterial 154/96 mmHg, presión arterial media 101 mmHg, frecuencia cardiaca 92 x', temperatura 36.5 °C, índice de choque 0.68. Con herida toracoabdominal derecha sin hemorragia activa de 4 cm como se observa en la Figura 1, con dolor 7/10 en la escala visual análoga, dolor a la palpación profunda en hipocondrio derecho, así como herida de 6 cm en extremidad superior izquierda a nivel de tercio medio del cúbito, así como 4 cm del tercio medio del radio, sin hemorragia activa, pulso radial y cubital presente.

Laboratorios de ingreso (tres horas de evolución): hemoglobina de 13.2 mg/dl, hematocrito 38.8%, leucocitos 12 mil/μl, plaquetas 349 mil/μl, FAST (Focused Assesment with Sonography in Trauma) positivo. En este momento, el paciente no presenta datos de abdomen agudo, por lo que pasa a área de observación y se realiza ultrasonido (USG) de abdomen (cuatro horas de evolución), en el cual no se reportó evidencia de líquido libre o colecciones en cavidad abdominopélvica.

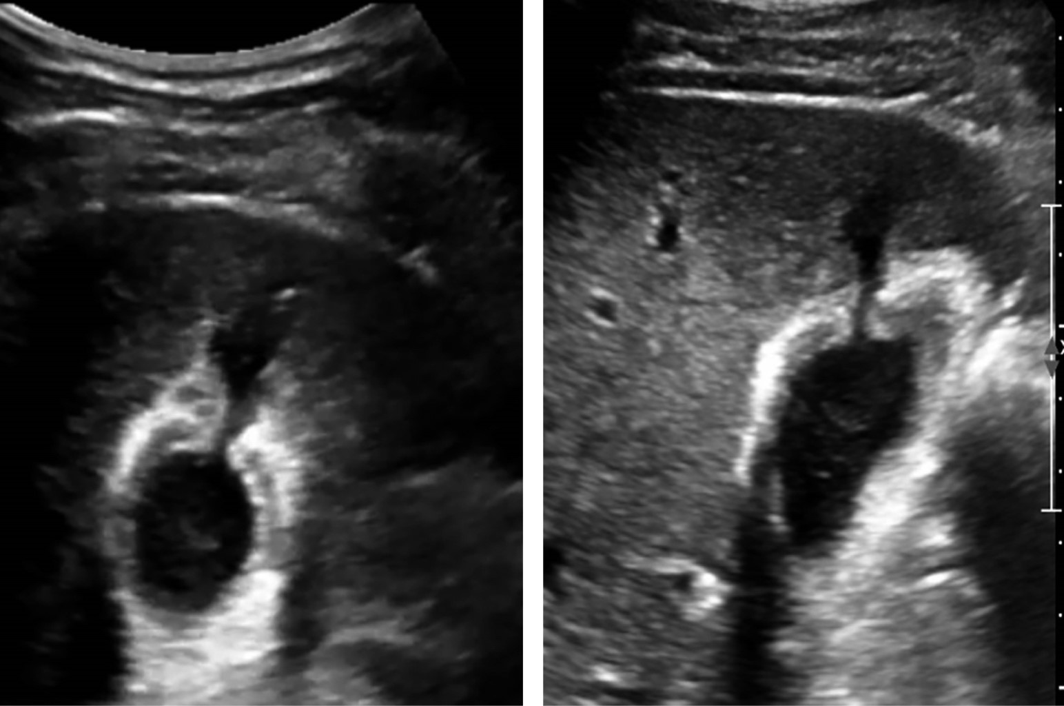
Se decide continuar vigilancia y realizar USG de control a las 27 horas de evolución, en el cual se reportó laceración hepática grado I de la AAST (American Association for the Surgery of Trauma) de 60 mm en su eje longitudinal, y vesícula biliar como se describe en la Figura 2.

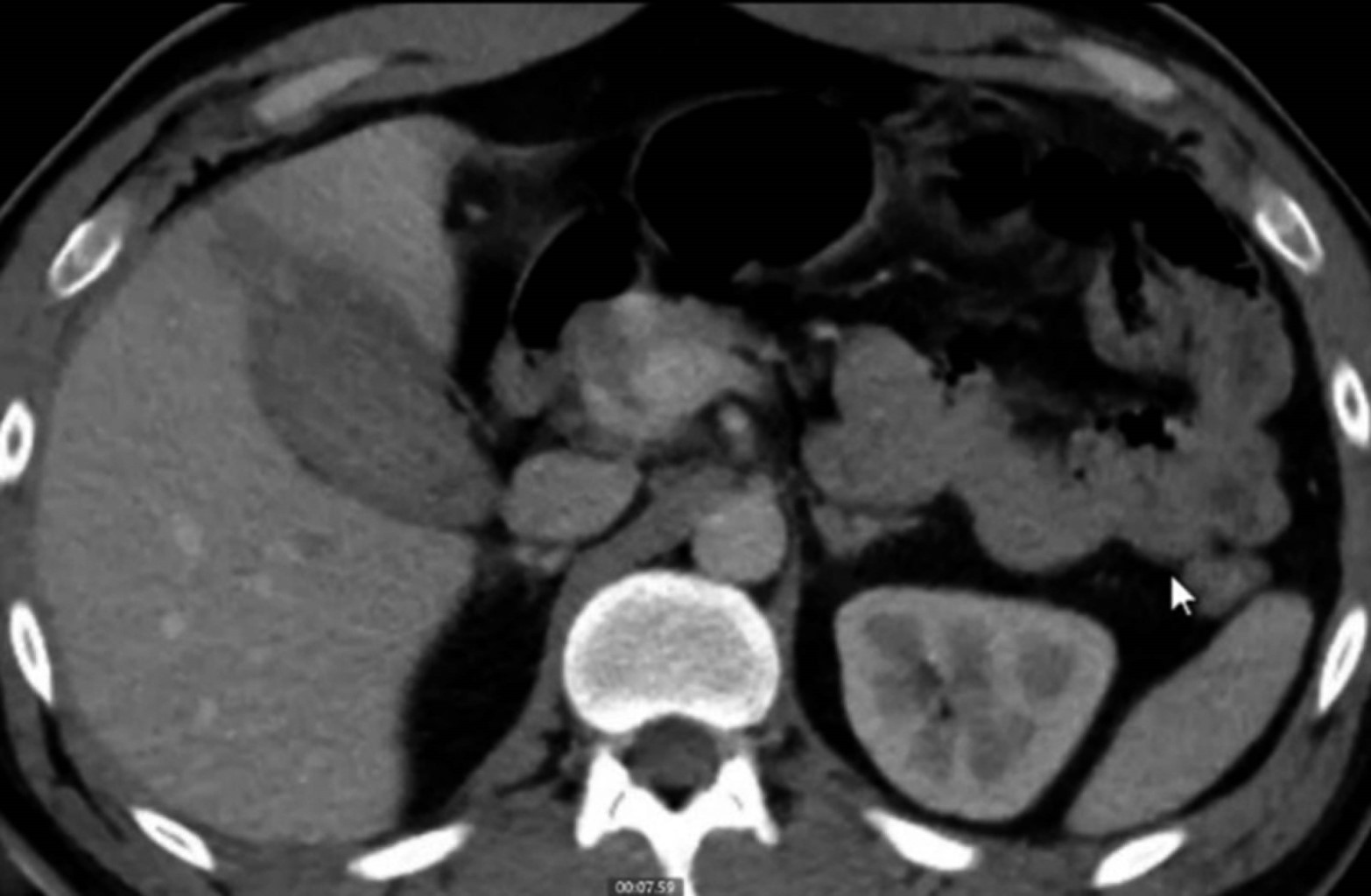
El paciente continúa sin datos de irritación peritoneal, sin abdomen agudo, aunque por datos de probable hemobilia, se solicita tomografía computarizada (TC) de abdomen a las 29 horas de evolución reportando: laceración hepática del segmento V grado I de la AAST, vesícula de 81 × 44 × 48 mm de contenido heterogéneo, descrita en la Figura 3.

Asimismo, se realizan laboratorios a las 36 horas de evolución, reportando una hemoglobina de 12.2 mg/dl, hematocrito 36%, leucocitos 10 mil/μl, plaquetas 267 mil/μl, pruebas de función hepática con bilirrubina total 0.7 mg/dl, directa de 0.1 mg/dl, e indirecta de 0.6 mg/dl, fosfatasa alcalina de 71 IU/l, aspartato aminotransferasa 137 IU/l, alanina aminotransferasa 238 IU/l, deshidrogenasa láctica 342 IU/l.

Continuando el protocolo de estudio, se decide iniciar la vía oral (cuatro días y 15 horas de evolución), se realiza colangiopancreatografía retrógrada endoscópica (CPRE), en la cual se reporta conducto biliar que comunica a colección pequeña adyacente a vesícula biliar (Figura 4). Sin embargo, al analizar las imágenes, se observó una disrupción de la pared de la vesícula biliar adyacente al parénquima hepático, documentando así la lesión de vesícula biliar.

Transcurridos cinco días con seis horas de evolución, el paciente continúa sin datos de colecistitis aguda ni datos de irritación peritoneal y tolerando la dieta vía oral adecuadamente, se realizan estudios de laboratorio después de la CPRE en los cuales no se documentó descenso en la hemoglobina, ni leucocitosis, sin alteraciones en las pruebas de función hepática con discreta elevación de enzimas pancreáticas, amilasa 278 U/l, lipasa 768.6 U/l, sin clínica de pancreatitis después de la CPRE.

Se realiza USG de control que reportó vesícula biliar con paredes engrosadas hasta 8 mm, edema perivesicular, a nivel del fondo pérdida de la continuidad donde discurre líquido de aspecto hipoecoico similar a contenido vesicular de 3.2 cm3 (hemobilia), sin evidencia de líquido libre en cavidad abdominopélvica (Figura 5).

Ante los hallazgos de la CPRE y último USG, se ofrece al paciente realizar laparoscopia diagnóstica y evaluar la colecistectomía, pero no acepta procedimiento quirúrgico. Se decide su alta para continuar vigilancia por la consulta externa con control ultrasonográfico.

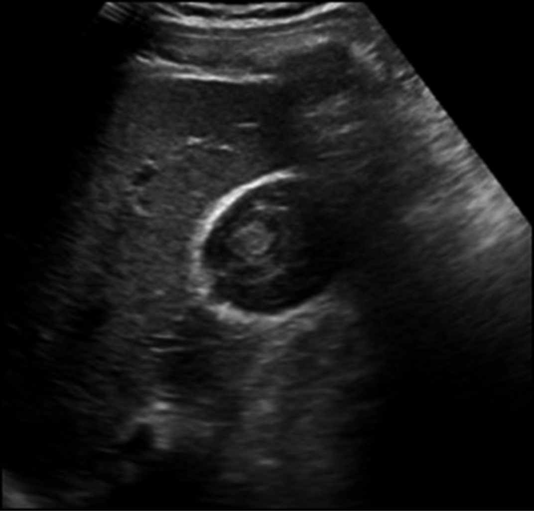
A un mes de su egreso, se presenta en consulta sin presentar cuadro de dolor abdominal o cambios que afecten su calidad de vida, realizando sus actividades de la vida diaria. Se cita nuevamente a siete meses de su alta con USG de hígado y vías biliares de control en el que no se observan datos de proceso inflamatorio agudo en vesícula biliar (Figura 6), asimismo clínicamente se refiere asintomático, se decide alta del servicio.



DISCUSIóN

El sexo masculino es más comúnmente afectado con 73 a 89%, con una media de edad de 27 años.6 En este caso, se presenta un hombre en edad productiva, aunque contaba con un FAST positivo, se inició protocolo para descartar lesión hepática, ya que la lesión de la vesícula raramente ocurre de manera aislada, mayormente ocurre en conjunción con lesiones del hígado, con una incidencia de 83 a 91%, son también comunes asociadas a lesión del bazo y duodeno con una incidencia de 54%.3

El cuadro clínico ante una lesión de vesícula biliar se encuentra en absoluta relación al daño sufrido por el paciente, el mismo que puede encontrarse muy grave, en choque o hemodinámicamente estable.1 Cabe señalar que la aparición de síntomas puede ser inmediata o retardada, más de 24 horas después del traumatismo, pudiendo presentar náuseas, vómitos, ictericia, dolor abdominal, fiebre, coluria y acolia.7 En este caso el paciente no presentó datos de abdomen agudo desde su ingreso.

El cuadro de "colecistitis traumática" fue descrito por Penn en 1962 y consiste en la presencia de hemobilia por lesión vesicular o hepática y en la aparición de colecistitis por oclusión del conducto cístico debido a los coágulos.5

El primer estudio disponible en nuestra unidad para descartar trauma penetrante y lesiones intraabdominales asociadas fue el ultrasonido, reportando a las 27 horas de evolución una lesión hepática grado I, además de datos de probable hemobilia; sin embargo, el estudio con mayor precisión y que es de elección es la tomografía computarizada.

Un signo patognomónico de perforación es la extravasación del contraste intraluminal a través de la lesión asociada a líquido perihepático.1 Por lo que, al tener un paciente estable sin datos de choque, sin ameritar manejo urgente quirúrgico, se solicitó una tomografía de abdomen, reportando probable contenido hemático en vesícula biliar, sin datos de solución de continuidad en la pared vesicular.

La ecografía abdominal puede ser efectiva mediante la identificación de contenido hiperecogénico en la vesícula, líquido libre perivesicular y solución de continuidad de la pared vesicular, pared vesicular hipoecoica, edematosa engrosada, colapso a pesar de ayuno prolongado se correlaciona con colecistitis aguda.4

La literatura reporta que la tomografía con contraste intravenoso y oral se considera como el estudio de elección para la evaluación de las lesiones de órganos intraperitoneales, incluyendo la vesícula biliar.8

En el traumatismo abdominal penetrante, la lesión de la vesícula biliar suele aparecer en su borde libre y condicionar una peritonitis biliar por perforación de su pared.5 Sin embargo, en la CPRE que se le realizó al paciente se observó que la lesión fue en la cara adyacente al lecho hepático, clasificándose como una perforación de la vesícula, lo cual se cree pudo ser un factor protector para el desarrollo de síntomas de peritonitis biliar, ya que la fuga de contraste observada en la CPRE se contenía en la pared posterior de la misma.

La lesión de la vesícula biliar es amenazadora para la vida, y la mortalidad está relacionada a las lesiones asociadas, se reporta hasta una mortalidad de 24%, falleciendo por causas como lesión cardiaca, torácica, hemorragia vascular o daño cerebral. Afortunadamente los rangos de mortalidad en lesión de la vesícula biliar aislada son muy bajos.6

La colecistectomía es el tratamiento de elección para las lesiones traumáticas de la vesícula biliar, el enfoque del tratamiento depende del tipo de lesión, extensión de las lesiones asociadas y el estado general del paciente.4 La exploración laparoscópica del abdomen en trauma cerrado tiene un rol establecido, particularmente en los casos con imágenes radiológicas no concluyentes y en pacientes hemodinámicamente estables.

Se ha utilizado la colecistectomía laparoscópica con éxito en la exploración y resolución con el riesgo asociado de conversión a cirugía abierta.1 Se ofreció a nuestro paciente laparoscopia diagnóstica ya que cumplía con la indicación, al no aceptar se decidió su alta, puesto que no tenía urgencia quirúrgica.

En el manejo conservador hoy en día la CPRE con esfinterotomía y colocación de una prótesis intrabiliar puede ser un tratamiento adecuado.9 La European Society of Gastrointestinal Endoscopy (ESGE) ha reportado una tasa de éxito de hasta 80-90% en el manejo con CPRE más inserción de endoprótesis, en el caso de lesiones parciales de la vía biliar.10

La literatura reporta que ante el caso de síntomas sutiles y bajo índice de sospecha, los pacientes pueden ser dados de alta; sin embargo, pueden presentarse más tarde al servicio con datos de colecistitis traumática asociada a colección intraabdominal de bilis y/o con infección sobreagregada o peritonitis franca.4



CONCLUSIONES

La lesión de la vesícula biliar por sí sola secundaria a traumatismo contuso o penetrante es infrecuente, cuando se diagnostica comúnmente es mediante la laparotomía realizada por sospecha de otras lesiones que amenazan la vida del paciente, se puede vigilar el caso y ofrecer un manejo no operatorio ante estabilidad hemodinámica, sin datos de abdomen agudo o irritación peritoneal, siempre y cuando se tenga evidencia de ausencia de lesiones de otros órganos que comprometan su vida.

Existen diferentes modalidades de auxiliares diagnósticos, el ultrasonido es el estudio inicial, aunque en etapas tempranas puede reportar falsos negativos, por lo que el estudio de mayor sensibilidad es la tomografía computarizada, siempre y cuando estemos ante un caso estable que no presente criterios de urgencia quirúrgica.



AGRADECIMIENTOS

Al Dr. Rogelio García Pacheco, médico adscrito del Servicio de Imagenología del HRAE "Dr. Gustavo A. Rovirosa Pérez", por su apoyo en el seguimiento del caso clínico presentado.


REFERENCIAS (EN ESTE ARTÍCULO)

  1. Beltrán M, Rodríguez VF, Hevia J, Zaffiri V, Beltrán CA. perforación traumática aislada de la vesícula biliar: revisión de la literatura actual y reporte de un caso. Rev Cirugia. 2020; 72: 76-81.

  2. Salzman S, Lutfi R, Fishman D, Doherty J, Merlotti G. Traumatic rupture of the gallbladder. J Trauma. 2006; 61: 454-456.

  3. Bruns B, Kozar R. Liver and biliary tract. En: Feliciano DV, Mattox KL, Moore. EE, editores. Trauma. Nueva York, NY, Estados Unidos de América: McGraw-Hill; 2021. p. 657-678.

  4. Khan MR, Begum S. Isolated gallbladder injury from blunt abdominal trauma: A rare co-incidence. J Pak Med Assoc. 2020; 70: S95-S98.

  5. Pascual I, Fernández Luengas D, Vaquero Pérez MA, Fernández Sánchez R, Torres Jiménez J. Tratamiento conservador del traumatismo penetrante de vesícula biliar. Cir Esp. 2011; 89: 196-197.

  6. Kwan BYM, Plantinga P, Ross I. Isolated traumatic rupture of the gallbladder. Radiol Case Rep. 2015; 10: 1029.

  7. Batista AR, Djomaly EK, Batista FJR. Lesión traumática de vesícula biliar. Presentación de un caso. Mediciego. 2015; 21: 64-67.

  8. Casas F, Sotomayor J, Pachón GC, Carreño SF, Sandoval L, Acosta-Buitrago L. Isolated gallbladder rupture secondary to closed trauma of the abdomen managed by laparoscopic cholecistectomy: a case report. Ann Mediterr Surg. 2022; 5.

  9. Illán RA, Zamora AC, Garrido BB, Oliver GI. Lesión de vía biliar en trauma cerrado. Nuevas tendencias en lesiones infrecuentes. Rev Chil Cir. 2017; 69: 325-327.

  10. Ruiz-Clavijo D, Rullan M, Casi M, Urman J. Perforación vesicular tras traumatismo toracoabdominal cerrado diagnosticado y tratado mediante CPRE. Rev Esp Enferm Dig. 2017; 109: 284-285.



AFILIACIONES

1 Hospital Regional de Alta Especialidad "Dr. Gustavo A. Rovirosa Pérez".

2 Residente de segundo año de Cirugía General.

3 Cirujano de Trauma.

4 Profesor titular de Cirugía General.



CORRESPONDENCIA

Dr. Enmanuel Guillermo de La Cruz. E-mail: dr.guillermoenmanuel07@hotmail.com




Recibido: 09/11/2023. Aceptado: 21/08/2024.

Figura 1
Figura 2
Figura 3
Figura 4
Figura 5
Figura 6

2020     |     www.medigraphic.com

Mi perfil

C?MO CITAR (Vancouver)

Cir Gen. 2024;46

ARTíCULOS SIMILARES

CARGANDO ...