medigraphic.com
SPANISH

Cirujano General

ISSN 2594-1518 (Electronic)
ISSN 1405-0099 (Print)
  • Contents
  • View Archive
  • Information
    • General Information        
    • Directory
  • Publish
    • Instructions for authors        
    • Send manuscript
  • medigraphic.com
    • Home
    • Journals index            
    • Register / Login
  • Mi perfil

2024, Number 3

<< Back Next >>

Cir Gen 2024; 46 (3)

Non-operative management in gallbladder trauma. Case report and literature review

de La Cruz, Enmanuel Guillermo1,2; Bautista Cruz, Raúl1,3; Mejía Picasso, Carlos Alberto1,4
Full text How to cite this article 10.35366/118731

DOI

DOI: 10.35366/118731
URL: https://dx.doi.org/10.35366/118731

Language: English/Spanish [Versi?n en espa?ol]
References: 10
Page: 191-196
PDF size: 353.33 Kb.


Key words:

cholecystitis, penetrating trauma, gallbladder, hemobilia, cholecystectomy.

ABSTRACT

Traumatic rupture of the gallbladder is a rare entity. The most common cause of gallbladder trauma is penetrating wounds. Diagnosis of this entity is often a challenge. Therefore, the case of a male with penetrating abdominal trauma in the thoracoabdominal region is presented without signs of acute abdomen since his admission. An abdominal CT scan was performed, reporting: hepatic laceration of segment V grade I, Gallbladder with heterogeneous content, probable blood content, discrete amount of perivesicular fluid. Given the imaging findings, the patient is offered diagnostic laparoscopy and cholecystectomy evaluation, however, the patient does not accept the surgical procedure. Discharge and monitoring are decided by the outpatient clinic. Although the theoretical risk of the appearance of cholecystitis secondary to hemobilia exists, its incidence is so low that cholecystectomy is not considered mandatory in all cases of hemobilia. Conclusion: exploratory laparotomy is indicated when there are signs of associated injuries that put the patient's life at risk. The study with the greatest sensitivity is computed tomography, as long as we are dealing with a stable patient.



INTRODUCTION

Traumatic rupture of the gallbladder is a rare entity. The most common cause of gallbladder trauma is penetrating wounds by firearm or knife (89%). Blunt abdominal trauma occurs in the remaining 11% and is evidence of the rarity of this problem.1 It has been reported to occur in approximately 2% to 3% of all abdominal trauma injuries,2 and accounts for up to 66% of extrahepatic bile duct injuries.3 Gallbladder injury secondary to abdominal blunt trauma is commonly associated with injuries to other abdominal viscera.4 Isolated gallbladder injury is even rarer, and its incidence has not yet been reported; this may be attributed to its anatomical location and the protection afforded by the liver and rib cage.

The diagnosis of this entity is often a challenge, and using imaging tests is exceptional due to its low incidence. It is often identified in a laparotomy due to lesions of associated abdominal viscera. The usual treatment is cholecystectomy since perforation of the free wall of the gallbladder to the abdominal cavity conditions the appearance of biliary peritonitis.5 However, surgery is usually indicated for associated abdominal lesions, generally hepatic or splenic, and the appearance of the gallbladder lesion is a finding in most cases.



PRESENTATION OF THE CASE

A 34-year-old male was brought by his relatives to our unit, with a history of aggression by third parties with a sharp object, causing injury to the abdomen in the right thoracoabdominal region.

He arrived with a permeable airway saturating at 99%, Glasgow score of 15 points, blood pressure of 154/96 mmHg, mean arterial pressure of 101 mmHg, heart rate 92 x', temperature 36.5 °C, and shock index of 0.68. He has a right thoracoabdominal wound without active hemorrhage of 4 cm, as seen in Figure 1, with pain of 7/10 on the visual analog scale, pain on deep palpation in the right hypochondrium, as well as a 6 cm wound in the left upper extremity at the level of the middle third of the ulna, and a 4 cm of the middle third of the radius, without active hemorrhage; his radial and ulnar pulses were present.

His admission lab results within three hours of evolution were a hemoglobin of 13.2 mg/dL, hematocrit 38.8%, white blood cell count of 12,000/µL, platelets 349,000/µL, and a positive FAST (Focused Assessment with Sonography in Trauma). At this time, the patient did not present data of acute abdomen, so he was transferred to the observation area, and an ultrasound (USG) scan of the abdomen was performed at four hours of evolution, in which no evidence of free fluid or collections in the abdominopelvic cavity were seen.

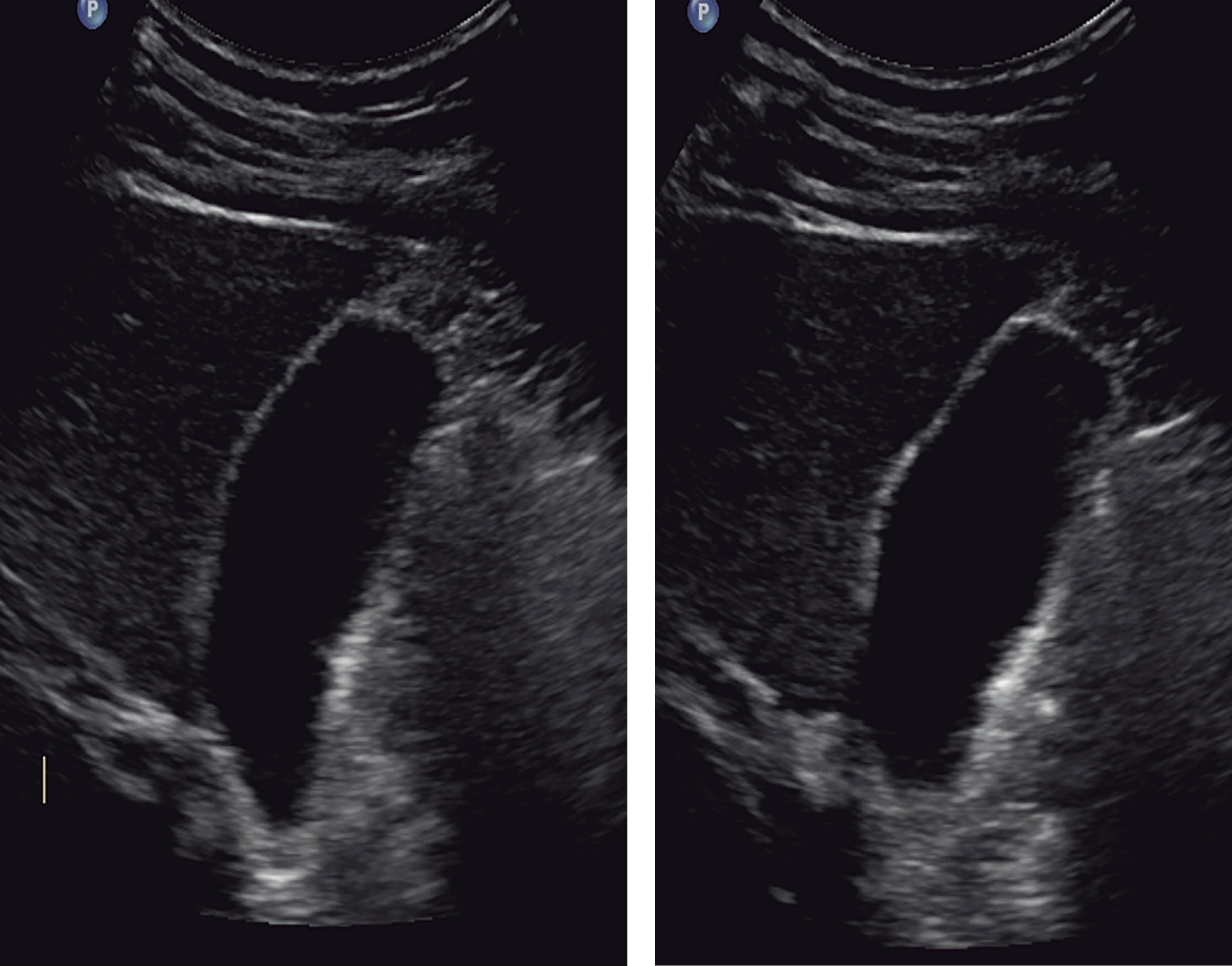
It was decided to continue surveillance and perform a control USG scan 27 hours later. It reported a 60 mm AAST (American Association for the Surgery of Trauma) grade I liver laceration in its longitudinal axis and a gallbladder, as described in Figure 2.

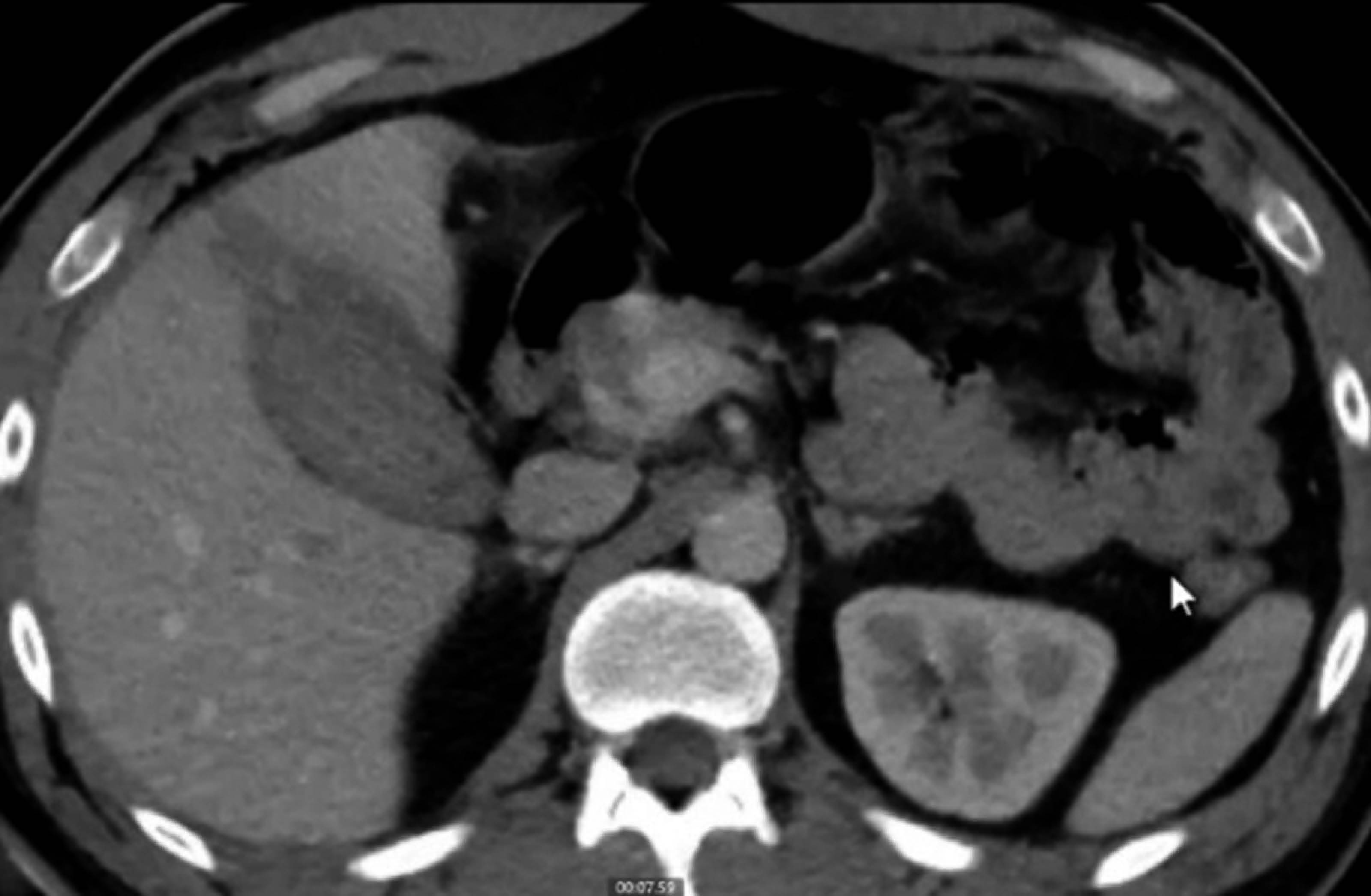
The patient continued without signs of peritoneal irritation or acute abdomen, although due to probable hemobilia, a computed tomography (CT) scan of the abdomen was requested 29 hours later that showed a hepatic laceration of segment V grade I of the AAST and a gallbladder measuring 81 × 44 × 48 mm with heterogeneous content, as described in Figure 3.

Also, new lab tests were performed at 36 hours of evolution, reporting a hemoglobin level of 12.2 mg/dL, hematocrit 36%, white blood cell count of 10,000/µL, platelets of 267,000/µl, and liver function tests with total bilirubin of 0.7 mg/dL, direct bilirubin of 0.1 mg/dL, and indirect bilirubin of 0.6 mg/dL, alkaline phosphatase 71 IU/L, aspartate aminotransferase (AST) 137 IU/L, alanine aminotransferase (ALT) 238 IU/L, and lactate dehydrogenase 342 IU/L.

Following the study protocol, it was decided to start the oral route (four days and 15 hours later). An endoscopic retrograde cholangiopancreatography (ERCP) was performed that revealed a bile duct communicating to a small collection adjacent to the gallbladder (Figure 4). However, after a thorough review of the images, a disruption of the gallbladder wall adjacent to the hepatic parenchyma was observed, documenting the gallbladder lesion.

After five days and six hours of evolution, the patient continued without signs of acute cholecystitis or peritoneal irritation and tolerated the oral diet adequately. New laboratory tests were performed after the ERCP in which no decrease in hemoglobin or leukocytosis was documented. There were no alterations in liver function tests and a discrete increase of pancreatic enzymes, namely serum amylase of 278 U/L and lipase 768.6 U/L were reported without clinical signs of pancreatitis after the ERCP.

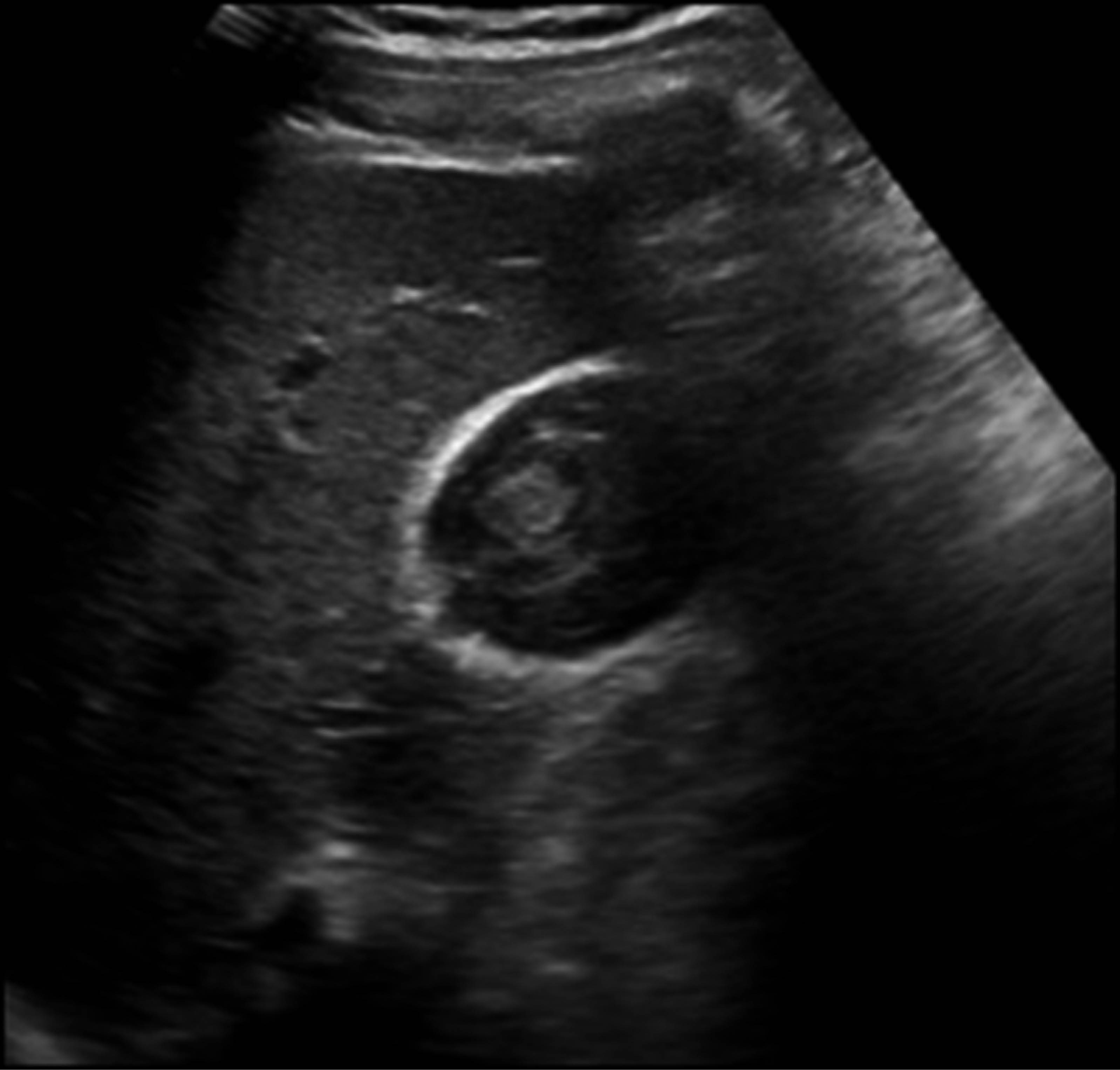
A control USG scan was performed, which reported the gallbladder with thickened walls up to 8 mm, peri vesicular edema, and loss of continuity at the level of the fundus where liquid of hypoechoic appearance like vesicular content of 3.2 cm3 (hemobilia), without evidence of free liquid in the abdominopelvic cavity were seen (Figure 5).

Given the findings of the ERCP and last USG, the patient was offered a diagnostic laparoscopy with a possible cholecystectomy, but he did not accept the surgical procedure. It was decided to discharge the patient to continue outpatient surveillance with ultrasonographic control.

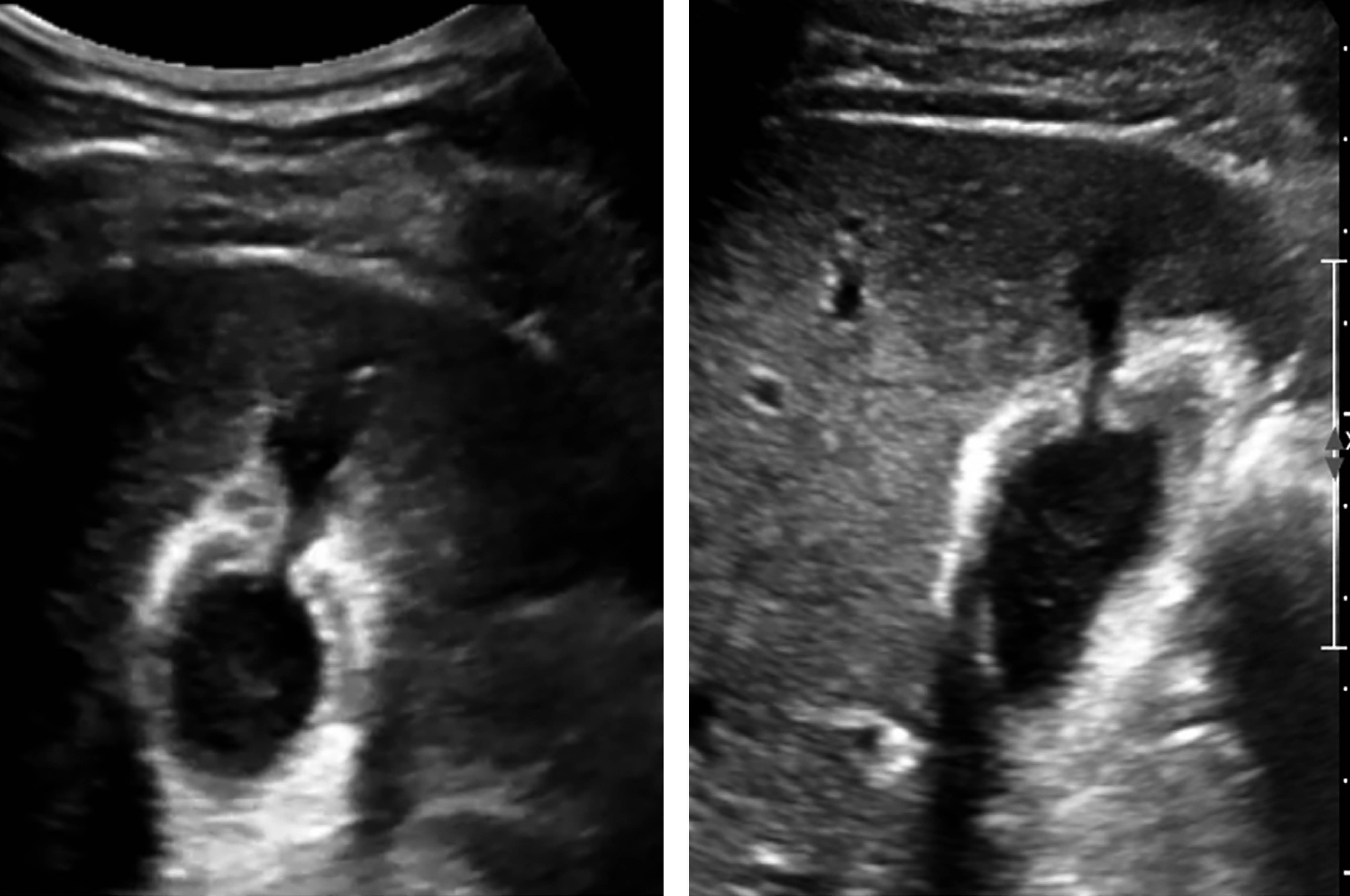
One month after his hospital discharge, he was seen as an outpatient without abdominal pain or changes that affected his quality of life, carrying out his daily activities. He was seen again seven months after his discharge with a new liver and biliary tract USG scan as control. No data of an acute inflammatory process in the gallbladder was observed (Figure 6). Also, clinically, he was asymptomatic, and it was decided to discharge him from the service.



DISCUSSION

In gallbladder trauma male sex is more commonly affected, with an incidence of 73 to 89%, and a mean age of 27 years.6 In this case, the case of a man of productive age is presented. Although he had a positive FAST, a protocol was initiated to rule out liver injury since gallbladder injury rarely occurs isolated and most commonly in conjunction with liver lesions, with an incidence of 83 to 91%. These gallbladder injuries are also commonly associated with spleen and duodenum injuries with an incidence of 54%.3

The clinical picture of a gallbladder injury is in absolute relation to the damage sustained by the patient, who may be very serious, in shock, or hemodynamically stable.1 It should be noted that the onset of symptoms may be immediate or delayed, more than 24 hours after the trauma, and may present nausea, vomiting, jaundice, abdominal pain, fever, choluria, and acholia.7 In this case, the patient did not show any signs of acute abdomen since his admission.

In 1962, Penn described the condition named traumatic cholecystitis. It consists of hemobilia due to vesicular or hepatic injury and the appearance of cholecystitis due to cystic duct occlusion caused by clots.5

The first study available in our unit to rule out penetrating trauma and associated intra-abdominal injuries was an ultrasound, reporting a grade I liver injury 27 hours later, in addition to data of probable hemobilia. However, the gold standard study of choice is computed tomography.

A pathognomonic sign of perforation is the extravasation of intraluminal contrast through the lesion associated with perihepatic fluid.1 Therefore, since the patient was stable with no evidence of shock that did not warrant an urgent surgical management, an abdominal CT scan was requested, reporting probable hematic content in the gallbladder, with no evidence of a continuity solution in the gallbladder wall.

Abdominal ultrasound can be effective by identifying hyperechogenic content in the gallbladder, peri vesicular free fluid, and continuity solution of the gallbladder wall. A hypoechoic, thickened edematous gallbladder wall despite prolonged fasting correlates with acute cholecystitis.4

The literature reports that intravenous and oral contrast CT scan is the study of choice for assessing intraperitoneal organ lesions, including the gallbladder.8

In penetrating abdominal trauma, the gallbladder injury usually appears in its free edge and conditions biliary peritonitis due to perforation of its wall.5 However, in the ERCP performed, it was observed that the lesion was on the side adjacent to the hepatic bed, classifying it as a perforation of the gallbladder, which is believed to be a protective factor for the development of symptoms of biliary peritonitis since the contrast leak observed in the ERCP was contained with the posterior wall of the gallbladder.

Gallbladder injury may be life-threatening, and mortality is related to associated injuries, with up to 24% mortality reported. Associated causes of death are cardiac and/or thoracic injuries, vascular hemorrhage, or brain damage. Fortunately, mortality rates in isolated gallbladder injury are very low.6

Cholecystectomy is the treatment of choice for traumatic gallbladder injuries; the treatment approach depends on the type of injury, the extent of associated injuries, and the general condition of the patient.4 Laparoscopic exploration of the abdomen in blunt trauma has an established role, particularly in cases with inconclusive radiological imaging and in hemodynamically stable patients.

Laparoscopic cholecystectomy has been used with success in the exploration and resolution of the associated risk of conversion to open surgery.1 Our patient was offered diagnostic laparoscopy since he fulfilled this indication; when he did not accept, it was decided to discharge him since he did not pose a surgical emergency.

Nowadays, as a conservative therapeutic option, the ERCP with sphincterotomy and placement of an intra-biliary stent may be adequate.9 The European Society of Gastrointestinal Endoscopy (ESGE) has reported a success rate of up to 80-90% in management with ERCP plus stent insertion in case of partial bile duct injuries.10

The literature reports that patients may be discharged in the case of subtle symptoms and a low index of suspicion; however, they may present later to the service with signs of a trauma cholecystitis associated with intra-abdominal collection of bile and/or over-aggregated infection or frank peritonitis.4



CONCLUSIONS

Gallbladder injury secondary to blunt or penetrating trauma is infrequent when it is commonly diagnosed through laparotomy performed by suspicion of other life-threatening injuries to the patient. The case can be monitored, and non-operative management can be offered if hemodynamic stability is observed, with no signs of acute abdomen or peritoneal irritation, if there is evidence of no injury to other organs that compromise life.

Ultrasound scan is the initial study, although, in the early stages, it may give a false-negative result. The most sensitive study is computed tomography, that should be done if dealing with a stable patient that does not present criteria for urgent surgery.



ACKNOWLEDGMENTS

To Dr. Rogelio García Pacheco, physician assigned to the Imaging Service of the HRAE "Dr. Gustavo A. Rovirosa Pérez", for his support in following up on the clinical case presented.


REFERENCES

  1. Beltrán M, Rodríguez VF, Hevia J, Zaffiri V, Beltrán CA. perforación traumática aislada de la vesícula biliar: revisión de la literatura actual y reporte de un caso. Rev Cirugia. 2020; 72: 76-81.

  2. Salzman S, Lutfi R, Fishman D, Doherty J, Merlotti G. Traumatic rupture of the gallbladder. J Trauma. 2006; 61: 454-456.

  3. Bruns B, Kozar R. Liver and biliary tract. En: Feliciano DV, Mattox KL, Moore. EE, editores. Trauma. Nueva York, NY, Estados Unidos de América: McGraw-Hill; 2021. p. 657-678.

  4. Khan MR, Begum S. Isolated gallbladder injury from blunt abdominal trauma: A rare co-incidence. J Pak Med Assoc. 2020; 70: S95-S98.

  5. Pascual I, Fernández Luengas D, Vaquero Pérez MA, Fernández Sánchez R, Torres Jiménez J. Tratamiento conservador del traumatismo penetrante de vesícula biliar. Cir Esp. 2011; 89: 196-197.

  6. Kwan BYM, Plantinga P, Ross I. Isolated traumatic rupture of the gallbladder. Radiol Case Rep. 2015; 10: 1029.

  7. Batista AR, Djomaly EK, Batista FJR. Lesión traumática de vesícula biliar. Presentación de un caso. Mediciego. 2015; 21: 64-67.

  8. Casas F, Sotomayor J, Pachón GC, Carreño SF, Sandoval L, Acosta-Buitrago L. Isolated gallbladder rupture secondary to closed trauma of the abdomen managed by laparoscopic cholecistectomy: a case report. Ann Mediterr Surg. 2022; 5.

  9. Illán RA, Zamora AC, Garrido BB, Oliver GI. Lesión de vía biliar en trauma cerrado. Nuevas tendencias en lesiones infrecuentes. Rev Chil Cir. 2017; 69: 325-327.

  10. Ruiz-Clavijo D, Rullan M, Casi M, Urman J. Perforación vesicular tras traumatismo toracoabdominal cerrado diagnosticado y tratado mediante CPRE. Rev Esp Enferm Dig. 2017; 109: 284-285.



AFFILIATIONS

1 Regional Hospital of High Specialty "Dr. Gustavo A. Rovirosa Pérez."

2 Second-year resident in General Surgery.

3 Trauma Surgeon.

4 Professor of General Surgery.



CORRESPONDENCE

Dr. Enmanuel Guillermo de La Cruz. E-mail: dr.guillermoenmanuel07@hotmail.com




Received: 11/09/2023. Accepted: 08/21/2024

Figure 1
Figure 2
Figure 3
Figure 4
Figure 5
Figure 6

2020     |     www.medigraphic.com

Mi perfil

C?MO CITAR (Vancouver)

Cir Gen. 2024;46