medigraphic.com
ENGLISH

Neurología, Neurocirugía y Psiquiatría

ISSN 0028-3851 (Impreso)
  • Mostrar índice
  • Números disponibles
  • Información
    • Información general        
    • Directorio
  • Publicar
    • Instrucciones para autores        
  • medigraphic.com
    • Inicio
    • Índice de revistas            
    • Registro / Acceso
  • Mi perfil

2024, Número 1

<< Anterior Siguiente >>

Rev Neurol Neurocir Psiquiat 2024; 52 (1)


Trombosis de la vena oftálmica superior y fístula arteriovenosa: un reporte de caso

Villegas-Núñez, Carlos Enrique1; Leyva-Moraga, Fernando2,3; Leyva-Moraga, Francisco Alberto2; Leyva-Moraga, Eduardo2; Aguirre-Carreño, Isaac4; Burgos-Claudio, Mónica I5; Burrola-Suárez, Martín Armando2; Rubio-Castillón, Jesús Javier6; Castillo-Cañez, Graciano2; Federico-Ybarra, Enrique2
Texto completo Cómo citar este artículo 10.35366/118767

DOI

DOI: 10.35366/118767
URL: https://dx.doi.org/10.35366/118767
Artículos similares

Idioma: Español
Referencias bibliográficas: 7
Paginas: 28-31
Archivo PDF: 282.28 Kb.


PALABRAS CLAVE

trombosis, angioma, trombosis del seno cavernoso, proptosis.

RESUMEN

La trombosis de la vena oftálmica superior es una entidad poco frecuente, suele presentarse con proptosis de aparición súbita, inyección conjuntival y trastornos visuales. Hasta ahora, una cantidad limitada de estudios han abordado esta afección. Presentamos el caso de un varón de 38 años con historia clínica de protrusión ocular izquierda progresiva de catorce años de evolución y trombosis del seno cavernoso, inusualmente acompañada de un angioma venoso. Se han asociado varias causas a esta presentación; el tratamiento y diagnóstico temprano de la etiología subyacente pueden proporcionar un mejor pronóstico y prevenir complicaciones.



INTRODUCCIóN

La vena oftálmica superior es responsable de la mayor parte del drenaje venoso de la órbita. La trombosis dentro de esta vena es una condición extremadamente rara y puede surgir de múltiples etiologías. Los signos de congestión orbitaria incluyen proptosis de aparición súbita, inyección conjuntival y trastornos visuales.1 El diagnóstico precoz, la intervención centrada en la enfermedad subyacente y los síntomas del paciente son cruciales para tratar con éxito esta entidad. Presentamos el caso de un varón de 38 años con una larga historia de protrusión ocular izquierda progresiva, trombosis del seno cavernoso, acompañada de un angioma venoso en el lóbulo frontal derecho y aparentemente un trastorno trombótico.



PRESENTACIóN DEL CASO

Varón de 38 años acude al servicio de urgencias con un historial de protrusión ocular izquierda de catorce años de evolución. Al ingreso, el paciente estaba consciente y refería dolor al mover el ojo, sensación de cuerpo extraño y visión borrosa. La historia clínica previa incluye hematoma epidural frontoparietal izquierdo debido a un traumatismo craneoencefálico grave tratado con una craneotomía descompresiva hace diecinueve años e hipertensión arterial no tratada.

En la exploración física se observó proptosis del ojo izquierdo, edema supraciliar izquierdo con dolor a la palpación y movimientos oculares regulares con reflejos conservados. Los resultados de laboratorio revelaron leucocitosis (17.35 × 10 ^ 3/uL) y una leve disminución de los linfocitos (17.6%).

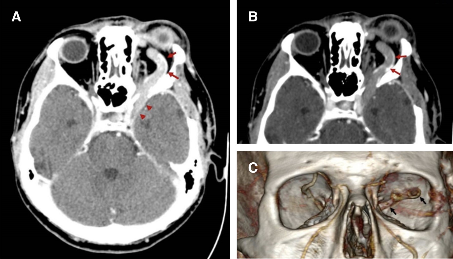
Una tomografía computarizada multifásica reveló exoftalmia izquierda con dilatación y trombosis parcial de la vena oftálmica izquierda aparentemente secundaria a trombosis del seno cavernoso ipsilateral (Figura 1) y un hallazgo incidental de un signo de cabeza de medusa en el ángulo del cuerno anterior del ventrículo derecho con la presencia de una vena dural colectora (Figura 2). En este momento, se sospechó de una fístula arteriovenosa dural del seno cavernoso, secundaria a los antecedentes traumático-quirúrgicos.

Debido a los hallazgos correspondientes, se sugirió un estudio diagnóstico confirmatorio de angiografía por sustracción digital que lamentablemente fue rechazada por el paciente. Se realizó una ecografía complementaria que mostró una vena oftálmica izquierda con la presencia de un componente hipoecoico intraluminal, causante de obstrucción y flujo filiforme, también se observa orientación bidireccional del flujo con Doppler espectral, lo cual es correspondiente a un patrón de flujo de fístula arteriovenosa (Figura 3).

Los datos adicionales de resonancia magnética contrastada eran compatibles con una anomalía venosa de desarrollo (angioma venoso) en el lóbulo frontal derecho, acompañada de un pequeño infarto lacunar en el lóbulo parietal derecho.

El paciente fue tratado con analgésicos no esteroideos, aspirina, antihipertensivos sistémicos y lubricantes locales que mejoraron la proptosis del ojo izquierdo. Tras evolución favorable y mejoría clínica, el paciente fue dado de alta. Debido a la sospecha de un trastorno trombótico, el paciente fue remitido a valoración reumatológica y tras las pruebas no se realizó ningún diagnóstico específico.



DISCUSIóN

La trombosis de la vena oftálmica superior (TVOS) es una afección extremadamente rara con una incidencia notificada de 3-4 casos/millón/año. La etiología es multifactorial y puede dividirse en séptica o aséptica. Las etiologías asépticas están asociadas a traumatismos o inflamaciones faciales, fístula carótido-cavernosa espontánea, estados hipercoagulables, neoplasia orbitaria, síndrome de Tolosa-Hunt y patología del seno cavernoso.2,3

El drenaje venoso orbitario deficiente se manifiesta clínicamente con proptosis, quemosis, congestión conjuntival, oftalmoplejía y alteraciones de la agudeza visual; estos síntomas pueden darse en presencia de trombosis del seno cavernoso y celulitis orbitaria.1,4 El diagnóstico se establece mediante un análisis clínico y radiológico, generalmente mediante tomografía computarizada mejorada o resonancia magnética.5

El principal hallazgo imagenológico es la dilatación de la vena oftálmica superior con defectos de llenado interno. Hasta un 10% de estas dilataciones anormales se asocian con trombosis y pueden ser unilaterales o bilaterales. Otros hallazgos imagenológicos incluyen la presencia de tejido blando varado alrededor de la vena y dentro de la grasa orbitaria, así como agrandamiento de los músculos extraoculares. El tratamiento depende de la causa subyacente e incluye anticoagulación, antibióticos y cirugía.

Existen múltiples factores de riesgo asociados a la trombosis de la vena oftálmica superior; en este caso, los dos principales causantes fueron antecedentes de traumatismo facial y un posible trastorno trombótico. El mecanismo de la trombosis cavernosa secundaria a una fístula arteriovenosa dural ipsilateral, probablemente relacionada con el antecedente traumático-quirúrgico craneal, precipitada por un estado de hipercoagulabilidad sistémica subyacente, que también puede explicar el hallazgo de infartos lacunares en el lóbulo parietal.

En el caso de pacientes jóvenes es crítico descartar una causa subyacente de hipercoagulabilidad. Por ello se recomienda evaluar anticuerpos lúpicos, anticuerpos anticardiolipina, proteína C y S, antitrombina III, homocisteína y factor V de Leiden, desgraciadamente, en esta paciente nunca se llegó a un diagnóstico.6 Es importante señalar que, en este caso, la evolución de la proptosis fue considerablemente más larga en duración, lo que es controvertido, ya que este proceso se describe principalmente de forma aguda o subaguda.

Los angiomas venosos representan una de las malformaciones vasculares cerebrales más frecuentes. Están presentes hasta en un 3% de la población general; el patrón diagnóstico distintivo consiste en una confluencia de venas orientadas radialmente en un único canal venoso dilatado.7 Aunque esta condición es benigna y ha sido un hallazgo aislado durante la evaluación de pacientes. La coexistencia de una trombosis de la vena oftálmica superior con un angioma venoso nunca se ha descrito anteriormente.



CONCLUSIONES

El reconocimiento temprano de la enfermedad subyacente que causa una trombosis de la vena oftálmica superior, acompañado de una intervención adecuada, es fundamental para evitar complicaciones catastróficas y mejorar el pronóstico del paciente.

Para abordar eficazmente este problema, es crucial un enfoque de imagen multimodal. En los pacientes más jóvenes es valioso descartar una causa subyacente de hipercoagulabilidad.


REFERENCIAS (EN ESTE ARTÍCULO)

  1. van der Poel N, de Witt K, van den Berg R, de Win M, Mourits M. Impact of superior ophthalmic vein thrombosis: a case series and literature review. Orbit. 2018; 38 (3): 226-232.

  2. Rao R, Ali Y, Nagesh CP, Nair U. Unilateral isolated superior ophthalmic vein thrombosis. Indian J Ophthalmol. 2018; 66 (1): 155-157.

  3. Sotoudeh H, Shafaat O, Aboueldahab N, Vaphiades M, Sotoudeh E, Bernstock J. Superior ophthalmic vein thrombosis: what radiologist and clinician must know?. Eur J Radiol Open. 2019; 6: 258-264.

  4. Lim L, Scawn R, Whipple K, Oh S, Lucarelli M, Korn B et al. Spontaneous superior ophthalmic vein thrombosis: a rare entity with potentially devastating consequences. Eye. 2013; 28 (3): 348-351.

  5. Mishima M, Yumoto T, Hashimoto H, Yasuhara T, Iida A, Tsukahara K et al. Superior ophthalmic vein thrombosis associated with severe facial trauma: a case report. J Med Case Rep. 2015; 9 (1): 244.

  6. Dey M, Charles-Bates A, McMillan P. Superior ophthalmic vein thrombosis as an initial manifestation of antiphospholipid syndrome. Orbit. 2013; 32 (1): 42-44.

  7. Mooney M, Zabramski J. Developmental venous anomalies. Handb Clin Neurol. 2017: 279-282.



AFILIACIONES

1 Hospital General del Estado de Sonora, Departamento de Radiología Hermosillo, México.

2 Universidad de Sonora, Departamento de Medicina y Ciencias de la Salud, Hermosillo, México.

3 0000-0001-6439-3921

4 Hospital General del Estado de Sonora, Departamento de Neurocirugía, Hermosillo, México.

5 Universidad Autónoma de Guadalajara, Guadalajara, Jalisco, México.

6 Icahn School of Medicine at Mount Sinai, NYC Health + Hospitals/Elmhurst, Department of Internal Medicine.



CORRESPONDENCIA

Fernando Leyva-Moraga. E-mail: leyvamoragafernando@gmail.com




Recibido: 30/12/2022. Aceptado: 15/03/2024.



Figura 1
Figura 2
Figura 3

2020     |     www.medigraphic.com

Mi perfil

C?MO CITAR (Vancouver)

Rev Neurol Neurocir Psiquiat. 2024;52

ARTíCULOS SIMILARES

CARGANDO ...