medigraphic.com
ENGLISH

Revista Mexicana de Periodontología

ISSN 2007-4360 (Impreso)
Asociación Mexicana de Periodontología, Colegio de Periodoncistas A.C
  • Mostrar índice
  • Números disponibles
  • Información
    • Información general        
    • Directorio
  • Publicar
    • Instrucciones para autores        
  • medigraphic.com
    • Inicio
    • Índice de revistas            
    • Registro / Acceso
  • Mi perfil

2023, Número 1-3

<< Anterior Siguiente >>

Rev Mex Periodontol 2023; 14 (1-3)


Modificación de fenotipo gingival en zona anterior mandibular con técnica VISTA: 12 meses de seguimiento

Méndez Xicoténcatl, Gabriela1; García Arévalo, Fernando1; Fontes García, Zureya1; Gómez Flores, Mara1
Texto completo Cómo citar este artículo 10.35366/118773

DOI

DOI: 10.35366/118773
URL: https://dx.doi.org/10.35366/118773
Artículos similares

Idioma: Español
Referencias bibliográficas: 11
Paginas: 20-23
Archivo PDF: 323.83 Kb.


PALABRAS CLAVE

fenotipo gingival, cirugía mucogingival, matriz dérmica acelular.

RESUMEN

Introducción: en 1969, Ochsenbein y Ross denominaron dos tipos de morfología gingival: encía festoneada, delgada o plana y gruesa; por otra parte, Seibert y Lindhe establecieron el término "biotipo gingival" con el objetivo de clasificar a la encía en dos tipos: "grueso-plano y delgado-festoneado". En el taller mundial sobre la Clasificación de Enfermedades Periodontales y Periimplantarias, se realizó el cambio del término biotipo por fenotipo cuyas características particulares consisten en el volumen gingival tridimensional con límite en la unión mucogingival y espesor de la cortical ósea vestibular y palatina/lingual. El fenotipo puede verse modificado por factores externos, tales como restauraciones protésicas sobrecontorneadas, tratamientos de ortodoncia, trauma por cepillado o procedimientos mucogingivales. Descripción del caso: paciente femenino de 60 años, acude a la Especialidad de Periodoncia de la Universidad Autónoma de Baja California, se diagnostica con salud gingival y periodontal en un periodonto reducido. Paciente no periodontal. Asociado a un trauma oclusal primario, con un grosor de 0.8 mm (fenotipo delgado) y RT1 en órgano dentario 24. Procedimiento: se realizó un procedimiento quirúrgico para aumentar el grosor y anchura de encía adherida del sector anteroinferior. El abordaje se realizó con técnica "VISTA" acompañado de matriz dérmica acelular de origen porcino. Conclusión: modificar las condiciones gingivales en un sitio en donde el fenotipo sea delgado, o bien previo a un tratamiento como ortodoncia o prótesis, mejora significativamente el resultado, ya que un tejido periodontal en salud gingival provee estabilidad, protección, estética y función en conjunto a restauraciones o modificaciones dentales.



INTRODUCCIóN

En una constante búsqueda para clasificar las características gingivales, en 1969, Ochbein y Ross determinaron dos tipos de morfología gingival: encía festoneada, delgada o plana y gruesa.1 Seibert y Lindhe clasificaron la encía en dos tipos: grueso-plano y delgado-festoneado, Claffey y Shanley establecieron medidas para el biotipo delgado con un grosor total < 1.5 mm y el biotipo grueso ± 2 mm.2

En el taller mundial sobre la Clasificación de Enfermedades Periodontales y Periimplantarias, se realizó el cambio del término biotipo por fenotipo, cuyas características particulares consisten en el volumen gingival tridimensional como espesor gingival, ancho de tejido queratinizado (se mide desde el margen gingival hasta la unión mucogingival) y espesor de la cortical ósea vestibular o palatina/lingual. El fenotipo puede verse modificado por factores externos, tales como restauraciones protésicas sobrecontorneadas, tratamientos de ortodoncia, trauma por cepillado o procedimientos mucogingivales (injerto gingival autógeno).1

Scheyer y colegas y Cortellini y Bissada reportaron que los sitios con un fenotipo de tejido gingival delgado tienen predisposición a desarrollar recesiones gingivales y que su modificación puede proporcionar mayor resistencia contra algunos factores etiológicos de recesión gingival.3,4

Respecto a la histología, es posible determinar que en el fenotipo delgado el epitelio no es significativamente más amplio que el fenotipo grueso, sin embargo, es importante destacar que al comparar dichos tejidos la capa compuesta por tejido conectivo es mayor en el fenotipo grueso.5

Una técnica subjetiva, sencilla y no invasiva es el método visual, con la que el clínico analizará las características del fenotipo; otra técnica mayormente eficaz es mediante la transparencia de la sonda periodontal, si la translucidez es muy notoria estaremos teniendo un fenotipo delgado y si no se transluce es un fenotipo grueso, este método es el "estándar de oro". En el caso del tejido periimplantario se puede realizar mediante un calibrador.6

La técnica VISTA, descrita por Homayoun Zadeh, tiene como objetivo principal la cobertura radicular en recesiones Miller I, II y III. El procedimiento se realiza mediante una incisión vestibular inicial a nivel del frenillo, seguido de la elevación del túnel subperióstico que comienza en la incisión inicial realizada con extensión a un diente distal y se profundiza apical y coronalmente hasta los márgenes gingivales, luego se introduce el injerto por medio de la incisión inicial y se desliza por arriba del margen gingival, se colocan puntos de sutura con sujeción en vestibular por medio de resina para lograr el avance coronal.7



PRESENTACIóN DEL CASO

Paciente femenino de 60 años, acude a la Especialidad de Periodoncia de la Universidad Autónoma de Baja California, se diagnostica con salud gingival y periodontal en un periodonto reducido (Figura 1), paciente no periodontal. Asociado a un trauma oclusal primario, con un grosor de 0.8 mm (fenotipo delgado) y RT1 en órgano dentario 24.

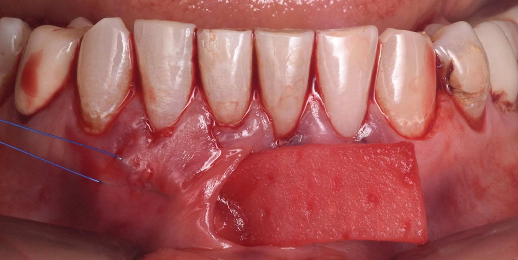
Se emplea la técnica VISTA para realizar el abordaje quirúrgico, en región anteroinferior mandibular se realizó incisión con hoja de bisturí 15C, se observó que realizar la incisión a nivel del frenillo permite disimular la cicatriz. La elaboración del túnel se realizó por medio de tunelizadores (TKN1 y TKN2) con extensión hacia caninos de ambos lados, liberando el colgajo (Figuras 2 y 3).

Posteriormente, mediante un punto colchonero horizontal, se ancla la matriz dérmica de origen porcino a nivel distal de laterales (Figura 4). Por último, se sutura de ambos extremos y se fija con puntos suspensorios (Figura 5).

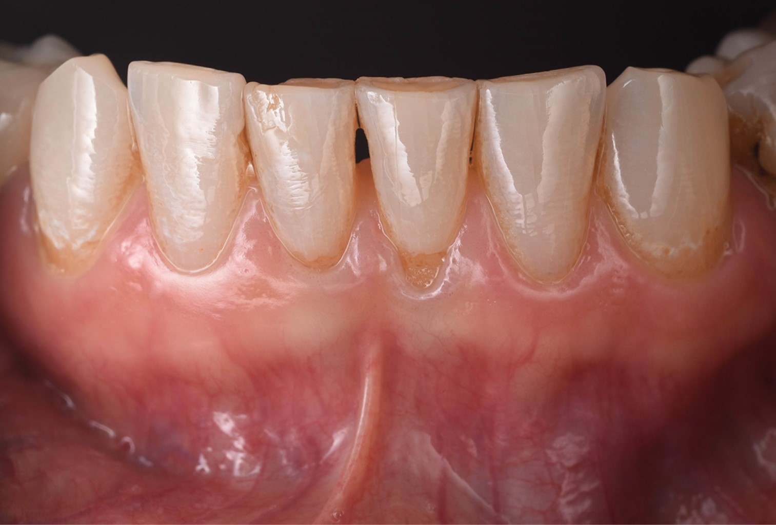
Se realiza el retiro de suturas a los 15 días, se observa inflamación a nivel de las papilas, la paciente no refiere dolor y se observa una primera fase de cicatrización (Figura 6 y 7).



DISCUSIóN

Transcurridas las cuatro semanas, se realiza una fase de mantenimiento ya que el objetivo principal al emplear la técnica VISTA no era lograr la cobertura radicular, sino únicamente modificar el fenotipo gingival para una posterior cobertura radicular.

Pini Prato, en 1999, concluye que un factor determinante en la cobertura radicular era el grosor del colgajo, si se encontraba menor a 0.8 se lograría una cobertura parcial y mayor a 0.8 una cobertura completa, esto era debido a la vascularización de la zona.8

Por otro lado, se utilizó matriz dérmica acelular de origen porcino debido al rechazo de la paciente por tener dos sitios quirúrgicos; analizando el procedimiento, Tavelli, en 2019, menciona las bondades de utilizar dicho material: disminuye el tiempo quirúrgico, acepta la preferencia del paciente al contemplar la biocompatibilidad del biomaterial a utilizar, la matriz dérmica acelular xenogénica (porcino) promueve el crecimiento de fibroblastos y células endoteliales y su principal indicación es la cobertura radicular y el aumento de espesor gingival.9

Un metaanálisis realizado por Shayan Barootchi y colaboradores determinaron que, aunque la matriz dérmica acelular carece de células, el hecho de colocarla sirve como un soporte para la migración de queratinocitos que va desde el epitelio suprayacente hasta el tejido circundante y por esto se logra un aumento de tejido queratinizado.10



CONCLUSIONES

El avance clínico de seguimiento de un año posterior a la modificación del fenotipo gingival muestra un fenómeno de creeping attachment (inserción progresiva) descrito por Khashayar Kordbacheh Changi cuyo suceso se percibe después de seis meses, esto es debido a que la matriz dérmica carece de células vivas y la vascularización se produce de manera lenta.11

Modificar las condiciones gingivales en un sitio en donde el fenotipo sea delgado, ya sea para disminuir el riesgo de recesiones o previo a un tratamiento multidisciplinario como ortodoncia, prótesis, etcétera, mejora las condiciones y proporciona estabilidad a largo plazo, protección y estética, lo que cambia las características gingivales de una manera positiva.



AGRADECIMIENTOS

A los docentes de la Facultad de Odontología campus Mexicali de la Universidad Autónoma de Baja California, en especial a los del área de Periodoncia, mi agradecimiento, respeto y admiración total.


REFERENCIAS (EN ESTE ARTÍCULO)

  1. Claffey N, Shanley D. Relationship of gingival thickness and bleeding to loss of probing attachment in shallow sites following nonsurgical periodontal therapy. J Clin Periodontol. 1986; 13 (7): 654-657.

  2. Jepsen S, Caton JG, Albandar JM, Bissada NF, Bouchard P, Cortellini P, et al. Periodontal manifestations of systemic diseases and developmental and acquired conditions: Consensus report of workgroup 3 of the 2017 world workshop on the classification of periodontal and peri-implant diseases and conditions. J Periodontol. 2018; 89 Suppl 1: S237-S248. doi: 10.1002/JPER.17-0733. J Clin Periodontol. 2018; 45 Suppl 20: S219-S229. doi: 10.1111/jcpe.12951.

  3. Scheyer ET, Sanz M, Dibart S, Greenwell H, John V, Kim DM, Langer L et al. Periodontal soft tissue non-root coverage procedures: a consensus report from the AAP Regeneration Workshop. J Periodontol. 2015; 86 (2 Suppl): S73-76.

  4. Cortellini P, Bissada NF. Mucogingival conditions in the natural dentition: Narrative review, case definitions, and diagnostic considerations. J Clin Periodontol. 2018; 45 Suppl 20: S190-S198.

  5. Goncalves Motta SH, Ferreira CMP, Quintela DC, Santana RB. Relationship between clinical and histologic periodontal biotypes in humans. Int J Periodontics Restorative Dent. 2017; 37 (5): 737-741. doi: 10.11607/prd.2501.

  6. Kan JY, Rungcharassaeng K, Morimoto T, Lozada J. Facial gingival tissue stability after connective tissue graft with single immediate tooth replacement in the esthetic zone: consecutive case report. J Oral Maxillofac Surg. 2009; 67 (11 Suppl): 40-48. doi: 10.1016/j.joms.2009.07.004.

  7. Gil A, Bakhshalian N, Min S, Zadeh HH. Treatment of multiple recession defects with vestibular incision subperiosteal tunnel access (VISTA): a retrospective pilot study utilizing digital analysis. J Esthet Restor Dent. 2018; 30 (6): 572-579. doi: 10.1111/jerd.12434.

  8. Baldi C, Pini-Prato G, Pagliaro U, Nieri M, Saletta D, Muzzi L, Cortellini P. Coronally advanced flap procedure for root coverage. Is flap thickness a relevant predictor to achieve root coverage? A 19-case series. J Periodontol. 1999; 70 (9): 1077-1084. doi: 10.1902/jop.1999.70.9.1077.

  9. Tavelli L, McGuire MK, Zucchelli G, Rasperini G, Feinberg SE, Wang HL, Giannobile WV. Extracellular matrix-based scaffolding technologies for periodontal and peri-implant soft tissue regeneration. J Periodontol. 2020; 91 (1): 17-25. doi: 10.1002/JPER.19-0351.

  10. Barootchi S, Tavelli L, Zucchelli G, Giannobile WV, Wang HL. Gingival phenotype modification therapies on natural teeth: a network meta-analysis. J Periodontol. 2020; 91 (11): 1386-1399. doi: 10.1002/JPER.19-0715.

  11. Changi KK, Greenstein G, Tarnow D, Royzman D, Kang P. Creeping clinical attachment after acellular dermal matrix augmentation to attain root coverage. Clin Adv Periodontics. 2020; 10 (2): 75-80. doi: 10.1002/cap.10078.



AFILIACIONES

1 Residente de Especialidad en Periodoncia, Facultad de Odontología Campus Mexicali, Universidad Autónoma de Baja California, México.



CORRESPONDENCIA

M.E. Gabriela Méndez Xicoténcatl. E-mail: mendez.gabriela79@uabc.edu.mx




Recibido: 01 de julio de 2024. Aceptado: 18 de julio de 2024.

Figura 1
Figura 2
Figura 3
Figura 4
Figura 5
Figura 6
Figura 7

2020     |     www.medigraphic.com

Mi perfil

C?MO CITAR (Vancouver)

Rev Mex Periodontol. 2023;14

ARTíCULOS SIMILARES

CARGANDO ...