medigraphic.com
ENGLISH

Revista Mexicana de Cirugía Endoscópica

ISSN 1665-2576 (Impreso)
  • Mostrar índice
  • Números disponibles
  • Información
    • Información general        
    • Directorio
  • Publicar
    • Instrucciones para autores        
    • Envío de artículos
  • medigraphic.com
    • Inicio
    • Índice de revistas            
    • Registro / Acceso
  • Mi perfil

2024, Número 1-4

<< Anterior Siguiente >>

Rev Mex Cir Endoscop 2024; 25 (1-4)


Obstrucción intestinal por bazo accesorio. Reporte de caso

Zerón-Pontones, Pablo1,2; López-Ramírez, Mario Alberto1,3
Texto completo Cómo citar este artículo 10.35366/118801

DOI

DOI: 10.35366/118801
URL: https://dx.doi.org/10.35366/118801
Artículos similares

Idioma: Español
Referencias bibliográficas: 9
Paginas: 10-13
Archivo PDF: 251.10 Kb.


PALABRAS CLAVE

bazo accesorio, obstrucción intestinal, hemicolectomía derecha laparoscópica.

RESUMEN

Introducción: el bazo accesorio es una entidad rara resultado de una falla en la fusión de las yemas esplénicas. El tamaño es variable con curso indolente asintomático, sin embargo, puede generar sintomatología secundaria a torsión, ruptura, hemorragia o simular neoplasias. Caso clínico: se presenta el caso de paciente femenino de 43 años con cuadro de oclusión intestinal secundario a masa en fosa iliaca derecha que fue manejada mediante abordaje laparoscópico, realizando hemicolectomía derecha con ileostomía terminal. Los resultados histopatológicos demostraron un bazo accesorio con acentuada congestión. Conclusiones: el bazo accesorio es una entidad rara poco frecuente, por lo general con curso indolente, a pesar de no ser una causa común de oclusión intestinal es importante considerar esta patología como causa de oclusión intestinal.



INTRODUCCIóN

El bazo accesorio, también conocido como bazo supranumerario, se considera una afección congénita resultado de una falla en la fusión de las yemas esplénicas primordiales en el lado izquierdo del mesogastrio dorsal durante la quinta semana de gestación.1 Se define como un bazo o lóbulo esplénico de localización ectópica.1,2 La localización de dicho tejido es muy variable, los sitios donde se observan con mayor frecuencia son el hilio esplénico, el mesenterio, a lo largo de los vasos omentales o esplénicos, la cola del páncreas, entre otras.1,3-5

Tiene una incidencia de 10 a 30% de la población, el tamaño es variable con curso indolente y asintomático, son localizados como hallazgo incidental u ocasional sintomatología secundaria a torsión, ruptura o hemorragia, así como simular neoplasias. La importancia de reconocerlos e identificarlos radica en la posibilidad de que en algunas situaciones pueden ocasionar trastornos hematológicos.2

Se presenta el caso de una paciente con diagnóstico de oclusión intestinal secundario a bazo accesorio, el abordaje diagnóstico y el terapéutico, así como las características histopatológicas observadas.



PRESENTACIóN DEL CASO

Se trata de paciente femenino de 43 años, que refiere hipertensión arterial sistémica, y como antecedentes quirúrgicos plastia umbilical. Acudió al servicio de urgencias por referir cuadro de tres semanas de evolución con dolor abdominal generalizado de intensidad 10/10 en la escala visual análoga (EVA), acompañado de vómito, intolerancia a la vía oral, dificultad para evacuar y canalizar gases.

A la exploración física con signos vitales 170/90 mmHg, frecuencia cardiaca 110 lpm, frecuencia respiratoria 21 rpm, saturación de oxígeno 91%, temperatura 37 °C. Abdomen globoso a expensas de distensión abdominal, peristalsis ausente, dolor a la palpación superficial, timpanismo a la percusión.

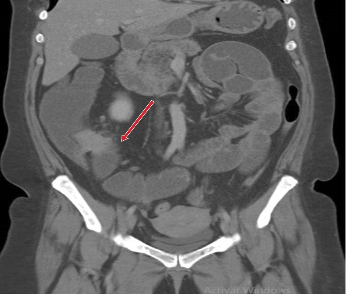
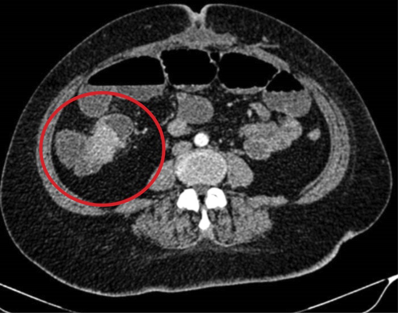
Se inició abordaje diagnóstico, se realizaron estudios de laboratorio y se obtuvieron cifras de leucocitos 9.08 × 103/mm3, hemoglobina 8.9 mg/dL, plaquetas 408 × 103/mm3, proteína C reactiva 42.4 mg/L. Se complementó el abordaje con estudios de gabinete, se inició con radiografías de abdomen, observando datos de oclusión intestinal tales como múltiples niveles hidroaéreos y ausencia de gas distal. Ante tales hallazgos, se decidió realizar tomografía de abdomen, la cual reportó obstrucción intestinal, sin descartar origen neoplásico con ganglios centinelas mesentéricos (Figuras 1 y 2).

Ingresó con diagnóstico de oclusión intestinal secundaria a tumoración en estudio, para realizar laparoscopía diagnóstica a proceder. Dentro de los hallazgos quirúrgicos se evidenció dilatación importante de asas de intestino delgado con zona de transición a nivel de íleon terminal, se observó una masa a nivel del mesenterio de íleon terminal (Figura 3A y B).

Se realizó hemicolectomía derecha más ileostomía terminal. Evolucionó satisfactoriamente y se decidió su egreso, dados los hallazgos histopatológicos benignos, se realizó restitución de tránsito intestinal cuatro semanas después de la intervención primaria.

El reporte anatomopatológico definitivo fue concluyente para apendicitis incipiente, bazo accesorio con acentuada congestión de 4 cm de diámetro, localizado en mesocolon de región pericecal (Figura 4). Íleon con congestión de la submucosa. Seis ganglios linfáticos con acentuada congestión.



DISCUSIóN

La oclusión intestinal representa 20% de las admisiones por urgencia y la causa más común, hasta en 80% de los casos, son adherencias. Veinticinco por ciento de los pacientes que ingresan con diagnóstico de oclusión intestinal ameritarán manejo quirúrgico en algún momento de su hospitalización.6,7

Los bazos accesorios adoptan su posición en la cavidad abdominal siguiendo el trayecto de los ligamentos esplénicos, debido a la rotación que sufre el intestino y el bazo durante el desarrollo embrionario; los bazos supranumerarios se localizan, por lo general, del lado izquierdo del abdomen.4 La localización más común en 50 a 75% de los casos, según lo reportado, es en el hilio esplénico en el ligamento gastroesplénico, pero se pueden localizar en la cola del páncreas hasta en 20% o en el omento mayor.8 La gran mayoría de las veces solamente hay uno con una frecuencia de 85%, en 14% se encuentran dos y sólo en 1% de los casos se encuentran tres o más. El tamaño es variable, siendo lo más frecuente que se encuentren con tamaños de 2 a 4 cm, solo algunos casos presentan bazos accesorios de hasta 10 cm.4 En nuestro caso se encuentra de manera incidental una masa a nivel del mesenterio del íleon terminal cercano a la válvula ileocecal, es decir, del lado derecho, siendo una localización rara para esta patología. Asimismo, no encontramos reportes en la literatura actual de casos donde un bazo accesorio condicione oclusión intestinal en el adulto.

Por lo general, son asintomáticos, únicamente han sido localizados por autopsias en 10 a 30%.3,8 La torsión e infarto, ruptura con sangrado y la infección con formación de abscesos son complicaciones raras de esta patología. Dichas complicaciones se suelen presentar con sintomatología poco específica con datos de abdomen agudo, respuesta inflamatoria sistémica y en ocasiones ascitis.4,8 Las manifestaciones clínicas se relacionan con tres fenómenos: el primero, la torsión provoca estrangulación que conlleva infarto e inflamación; el segundo, con dicha afección al pedículo que provoca congestión vascular, lo que ocasiona edema del bazo accesorio; y por último, dicho crecimiento puede afectar a órganos adyacentes por contigüidad. En otras ocasiones sólo se puede manifestar como un dolor abdominal intermitente.4 En el caso presentado no hubo evidencia macroscópica de torsión; sin embargo, la cercanía con la válvula ileocecal ocasionó obstrucción de la misma, además la paciente refería historia de dolor abdominal intermitente.

El diagnóstico preoperatorio es muy complicado. Los hallazgos por tomografía suelen ser muy inespecíficos, dentro de lo que se suele observar por este método de imagen son masas hipodensas con un realce periférico a la administración de medio de contraste, es imposible hacer un diagnóstico con certeza a menos que se identifique el pedículo vascular torcido en caso de una torsión. Mediante ultrasonido los hallazgos suelen ser una masa bien definida, hipoecoica y homogénea, y que mediante ultrasonido Doppler se confirma su estado avascular en caso de torsión, sin embargo, no se puede distinguir de un quiste. La resonancia magnética también es un método útil para el diagnóstico, pero poco utilizado debido al contexto de urgencia en el que se suele realizar el abordaje diagnóstico.4 Es de suma importancia ante la sospecha de un bazo accesorio la identificación del bazo principal previo a la resección del bazo accesorio. En nuestro caso se reporta por tomografía una masa sin lograr descartar patología neoplásica.

Microscópicamente se observa componente de pulpa roja y blanca en relación 3:1, como en el bazo normal. Entre los reportes histológicos, estructuralmente, el bazo accesorio es muy similar al bazo normal, se encuentra encapsulado con elementos de músculo liso a diferencia de la esplenosis donde no hay evidencia de cápsula y se observan ramas vasculares.5

El tratamiento es la resección, con excepción de los casos donde no haya bazo principal. Al presentar sintomatología, el tratamiento quirúrgico de urgencia es lo indicado.2,9 En nuestro caso se realizó tratamiento de urgencia debido a que la paciente presentó datos de oclusión intestinal y la sospecha de neoplasia.



CONCLUSIONES

El bazo accesorio es una entidad rara, por lo general con curso indolente. A pesar de no ser una causa común de oclusión intestinal, este caso demuestra la importancia de considerar esta patología dentro de los diagnósticos diferenciales de esta entidad.


REFERENCIAS (EN ESTE ARTÍCULO)

  1. Feng Y, Shi Y, Wang B, Li J, Ma D, Wang S et al. Multiple pelvic accessory spleen: rare case report with review of literature. Exp Ther Med. 2018; 15: 4001-4004.

  2. Tendler R, Farah RK, Kais M, Odeh M, Bornstein J. Symptomatic pelvic accessory spleen in a female adolescent: case report. J Clin Ultrasound. 2017; 45: 600-602.

  3. Varga I, Babala J, Kachlik D. Anatomic variations of the spleen: current state of terminology, classification, and embryological background. Surg Radiol Anat. 2018; 40: 21-29.

  4. Ren C, Liu Y, Cao R, Zhao T, Chen D, Yao L et al. Colonic obstruction caused by accessory spleen torsion. Medicine. 2017; 96: e8116.

  5. Maharaj R, Ramcharan W, Maharaj P, Greaves W, Warner WA. Right sided spleen laying retro-duodenal: A case report and review of the literature. Int J Surg Case Rep. 2016; 24: 37-42.

  6. Denkler CS, Rodgers A, Emery EL, Collins DT, Liu C, Fennessy T et al. Clinical factors associated with success in applying laparoscopy in the management of small bowel obstruction at a tertiary care center. Surg Endosc. 2020; 34: 3021-3026.

  7. Behman R, Nathens AB, Karanicolas PJ. Laparoscopic surgery for small bowel obstruction. Adv Surg. 2018; 52: 15-27.

  8. Impellizzeri P, Montalto AS, Borruto FA, Antonuccio P, Scalfari G, Arena F et al. Accessory spleen torsion: rare cause of acute abdomen in children and review of literature. J Pediatr Surg. 2009; 44: e15-18.

  9. Wang Z, Zhao Q, Huang Y, Mo Z, Tian Z, Yang F et al. Wandering spleen with splenic torsion in a toddler. Medicine. 2020; 99: e22063.



AFILIACIONES

1 Servicio de Colon y Recto. Hospital Central Militar.

2 ORCID: 0009-0000-9817-6239

3 ORCID: 0000-0002-1249-4090



CORRESPONDENCIA

Pablo Zerón-Pontones. E-mail: pablo.zeron@gmail.com




Recibido: 20-03-2024. Aceptado: 08-05-2024.

Figura 1
Figura 2
Figura 3
Figura 4

2020     |     www.medigraphic.com

Mi perfil

C?MO CITAR (Vancouver)

Rev Mex Cir Endoscop. 2024;25

ARTíCULOS SIMILARES

CARGANDO ...