medigraphic.com
ENGLISH

Revista Mexicana de Cirugía Endoscópica

ISSN 1665-2576 (Impreso)
  • Mostrar índice
  • Números disponibles
  • Información
    • Información general        
    • Directorio
  • Publicar
    • Instrucciones para autores        
    • Envío de artículos
  • medigraphic.com
    • Inicio
    • Índice de revistas            
    • Registro / Acceso
  • Mi perfil

2024, Número 1-4

<< Anterior Siguiente >>

Rev Mex Cir Endoscop 2024; 25 (1-4)


Hallazgo histopatológico de neoplasia neuroendócrina tras apendicectomía. Reporte de caso

Cazares-Montañez, Jaime Eduardo1,3; Soto-Ortega, Luis Enrique1,4; Domínguez-Cabrera, Guillermo1,5; Alvear-Zamora, Edwin Iván2,6; Reyes-Moctezuma, Mónica Alejandra2,7
Texto completo Cómo citar este artículo 10.35366/118802

DOI

DOI: 10.35366/118802
URL: https://dx.doi.org/10.35366/118802
Artículos similares

Idioma: Español
Referencias bibliográficas: 13
Paginas: 14-19
Archivo PDF: 331.45 Kb.


PALABRAS CLAVE

apéndice, tumor neuroendócrino, apendicitis aguda, caso clínico.

RESUMEN

Los tumores del apéndice cecal son poco frecuentes, generalmente asintomáticos y diagnosticados por histopatología tras apendicectomías (menos de 1% del total de apendicectomías realizadas). Entre estos tumores, los neuroendócrinos son los más comunes. El tratamiento definitivo dependerá de ciertas características del tumor (tamaño, márgenes, invasión linfovascular o perineural). El objetivo del artículo es describir el caso clínico de un paciente que ingresa con abdomen agudo secundario a apendicitis aguda; posteriormente diagnosticado histopatológicamente como tumor neuroendócrino grado 1, bien diferenciado. Estos tumores conllevan un reto diagnóstico terapéutico, ya que gran parte de su manejo es quirúrgico, el cual también se analizará en este artículo.



INTRODUCCIóN

Los tumores neuroendócrinos se distribuyen por todo el sistema digestivo, localizándose de 16 a 38% en el apéndice cecal, siendo esta la neoplasia más común del apéndice.1 La mayoría son diagnosticados de forma incidental, siendo el estudio histopatológico esencial, ya que, al ser una patología silente, en la mayoría de sus presentaciones no puede ser identificada. Al presentar progresión la enfermedad, propicia un elevado porcentaje de mortalidad y reducción significativa en las tasas de éxito en el tratamiento, además en las últimas tres décadas se ha demostrado un incremento en la incidencia de esta misma.

El objetivo de este artículo es dar a conocer la fisiopatología, la estadificación precisa y la importancia del compromiso de un equipo multidisciplinario para darle el mejor tratamiento posible al paciente, correlacionando dicha información con la presentación de un caso clínico de un hombre de 19 años que, posterior a apendicectomía, se reporta un tumor neuroendócrino bien diferenciado grado I, tras hallazgo incidental secundario a un cuadro de apendicitis aguda.



PRESENTACIóN DEL CASO

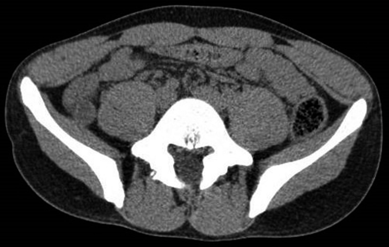
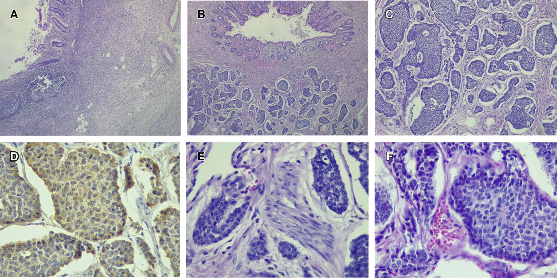
Hombre de 19 años que niega antecedentes quirúrgicos, así como crónicos degenerativos. Al interrogatorio de antecedentes familiares de cáncer, todos fueron negados. Se presentó al servicio de urgencias con dolor abdominal de tipo cólico, de inicio periumbilical irradiado a fosa ilíaca derecha, acompañado de náuseas, vómito de contenido gastroalimentario en tres ocasiones e intolerancia a la vía oral, a la exploración física contó con datos de irritación peritoneal. Se realizaron estudios de laboratorio con leucocitos de 10.97 × 109/L y neutrófilos de 85%. Se realizó tomografía de abdomen donde se reportó ileítis terminal con ganglios mesentéricos de aspecto reactivo, apéndice cecal con diámetro limítrofe de 6 mm sin visualizar la punta (Figura 1). Al presentar cuadro de abdomen agudo con alta sospecha de apendicitis aguda se efectuó laparoscopía diagnóstica y apendicectomía (Figura 2); los hallazgos de importancia de dicho procedimiento fueron: apendicitis aguda, abscedada, con un absceso de hueco pélvico de 15 cm3, se decidió manejo del muñón apendicular con ligadura simple e invaginación con punto en Z, reportando un sangrado de 10 cm3. Se envió a patología pieza quirúrgica y dos semanas después se entregó reporte con diagnóstico de tumor neuroendócrino bien diferenciado grado 1, según clasificación de la OMS (Figura 3), con las características comentadas en la Tabla 1.

Un mes después, el tratamiento se complementó con hemicolectomía derecha laparoscópica, ya que contaba con invasión linfovascular y perineural, además de márgenes positivos. Durante el procedimiento se describieron los siguientes hallazgos: adenopatías reactivas en mesenterio del íleon terminal y colon ascendente, se realizó además una laparoscopía diagnóstica sistemática en cuatro cuadrantes sin observar implantes peritoneales ni ascitis. Se llevó a cabo anastomosis termino-terminal de íleon con colon transverso con adecuada irrigación con engrapadora. Se enviaron ganglios y colon derecho a estudios de patología, negativa a tumor neuroendócrino residual, inflamación crónica xantogranulomatosa con células gigantes de tipo cuerpo extraño, ileítis crónica moderada no específica con hiperplasia linfoide, márgenes de resección libres de neoplasia y viables, 39 ganglios linfáticos regionales negativos a metástasis.

El paciente no contó con metástasis y todos los ganglios fueron negativos, continuó su hospitalización con adecuada evolución hasta su egreso con seguimiento en la consulta externa. Actualmente el paciente se encuentra en adecuado estado general, sin limitaciones de su vida diaria.



DISCUSIóN

Desde el siglo XIX se identificaron y se han considerado los tumores del apéndice como diagnóstico diferencial de dolor abdominal.1 En Estados Unidos se reportan aproximadamente un total de 300,000 apendicectomías anuales, de las cuales de 1 a 2% se reportan con neoplasia.2 Los tumores neuroendócrinos (TNE) pueden presentarse en todo el tracto digestivo, la localización más frecuente es en intestino delgado, seguido por 16 a 38% en el apéndice.3 La edad promedio de diagnóstico es de 40 años, con mayor incidencia en mujeres; sin embargo, esta asociación es debida a abundantes apendicectomías incidentales debidas a las cirugías pélvicas.4 Los TNE se clasifican según la Organización Mundial de la Salud (OMS) en bien o mal diferenciados, alto o bajo grado, dentro de esta clasificación de 70 a 75% de TNE son bien diferenciados de alto grado.5 Lo más frecuente es que se encuentren confinados a la submucosa y localizados en tercio distal del apéndice o "punta",4,6 cumpliendo con dicha estadística según el caso presentado. La sintomatología clínica es poco frecuente, ya que la mayoría se diagnostica de manera fortuita durante el estudio histopatológico de una apendicectomía por cuadro inflamatorio.4 Cuando los hay, los síntomas que se llegan a presentar son diarrea, bochornos, sibilancias, entre otros, conocido como síndrome carcinoide, subsecuente a la liberación de serotonina y otras sustancias vasoactivas, sólo presente en pacientes que padecen metástasis.3 Las metástasis hepáticas son las más comunes,7 se relaciona el riesgo de metástasis con el tamaño del tumor, mayores de 5 cm o presencia de invasión de mesoapéndice e invasión vascular, siendo parámetros determinantes para el tratamiento quirúrgico y pronóstico.7

Los TNE del apéndice se originan de las células cromafines, que se encuentran en la capa mucosa del apéndice.4 El diagnóstico de estos tumores se efectúa por medio de estudio histopatológico tras la realización de una apendicectomía, como el caso de nuestro paciente. Su incidencia es baja como se ha mencionado, sus manifestaciones clínicas pueden ser las de un cuadro de apendicitis aguda en caso de obstrucción del lumen o con presentación del síndrome carcinoide en caso de metástasis.4 Los TNE representan de 50 a 70% de todos los tumores apendiculares, por lo que es el más común,4 los síntomas sólo se presentan en el caso de enfermedad metastásica.5

El estudio histopatológico es indispensable para el diagnóstico, se deben realizar tinciones de inmunohistoquímica que incluyen cromogranina y sinaptofisina,3 por lo general estos tumores son de lento crecimiento, siendo de buen pronóstico. Se clasifican según el grado de diferenciación: grado 1 y 2 bien diferenciados y grado 3 poco diferenciados,5 de acuerdo con el índice mitótico e índice proliferativo de Ki-67, definidos en alto o bajo grado,5 la mayoría se localiza en la submucosa, midiendo menos de 2 cm.4 Los tumores que se encuentran en el tercio medio y distal son de bajo riesgo de metástasis y un tamaño menor en comparación con los que se encuentran en la base, que se relacionan en su mayoría con metástasis.8

En el caso descrito se reporta grado 1, bien diferenciado, de un tamaño de 1 cm × 0.9 cm, pero con invasión linfovascular, con márgenes de resección con neoplasia; a pesar de ser un tumor de buen pronóstico, posee un riesgo alto de metástasis y, por ello, se decide completar la hemicolectomía derecha. El pronóstico de este paciente es bueno a largo plazo.

A los pacientes con tumores mayores de 2 cm, que se les haya hecho una resección incompleta de ganglios y alto riesgo de metástasis, se les debe realizar un protocolo para estadificar adecuadamente el tumor con tomografía computarizada trifásica o resonancia magnética nuclear. Para buscar metástasis a distancia extrahepáticas se recomienda llevar a cabo una tomografía computarizada de emisión monofotónica con el uso de análogos de somatostatina, además está indicado en pacientes con síndrome carcinoide.9

Existen estudios de laboratorio que nos pueden apoyar en el protocolo diagnóstico, con comportamiento de marcadores tumorales, pero por su baja sensibilidad sólo se recomiendan en pacientes con clínica de síndrome carcinoide. La cromogranina A es una proteína no hormonal que se encuentra reservada en los péptidos de los TNE al igual que el ácido 5-hidroxiindolacético (5-HIAA).9 Ambos pueden ser evaluados en orina de 24 horas o por serología, siendo esta la más sensible,9 la elevación de ambos se ha visto asociada a un mal pronóstico. Los dos marcadores no tienen ningún uso diagnóstico ni de guía terapéutica,9 podrían ser utilizados en la vigilancia posoperatoria, la elevación nos indicaría una recurrencia de la patología; sin embargo, por su baja especificidad se necesita corroborar con estudios de imagen.9

En el caso del paciente, en la apendicectomía primaria no se realizó toma de ganglios ni una laparoscopía diagnóstica en busca de metástasis. No obstante, por el tamaño del tumor y el hallazgo histopatológico de invasión linfovascular, se considera un riesgo de 10% de desarrollar enfermedad residual y metástasis. Por el tamaño del tumor se tiene baja probabilidad de metástasis en nódulos y a distancia. El tumor de nuestro caso medía 1 cm, el cual tiene un porcentaje de incidencia de metástasis según la literatura de 0%. Pero si fuera un tumor de entre 1.1 a 1.9 cm, se puede llegar a sospechar de metástasis de 2 a 4%; si son tumores mayores de 2 cm el porcentaje va de 4 a 11%, siendo aún de bajo riesgo.3 Los TNE de intestino delgado son los que más frecuentemente se presentan con metástasis desde el diagnóstico inicial, según el tamaño del tumor hasta de 50%.3

El pronóstico y la presentación clínica se pueden predecir por el tamaño del tumor, lesiones menores de 2 cm (presente en más de 95% de los pacientes) son poco probables a dar metástasis, poseen un porcentaje de supervivencia de 100%. En los tumores mayores de 2 cm, con metástasis regional, la supervivencia a cinco años se ha reportado hasta de 78%, sólo se considera de mal pronóstico mayores de 3 cm con metástasis a distancia, con una supervivencia a cinco años de 32%.10

El tratamiento para la enfermedad localizada dependerá del criterio según la guía consultada, estas guías pueden ser la European Neuroendocrine Tumor Society o North American Neuroendocrine Society, que son las más consensuadas. En dichas guías se toman los siguientes criterios para determinar el tratamiento quirúrgico: el tamaño del tumor (1 cm) con criterios de márgenes positivos, el grado de diferenciación, invasión a mesoapéndice, a ganglios linfáticos, invasión linfovascular y/o perineural. Si no se describen estos hallazgos, la apendicectomía será tratamiento suficiente, pero al contar con alguno de estos datos positivos, se realizará hemicolectomía derecha. En el caso del paciente que contaba con invasión perineural y linfovascular, así como márgenes positivos, era candidato para la realización de dicho procedimiento; se decidió el abordaje laparoscópico.8,11

En 13 a 42% de pacientes, los TNE del apéndice se llegan a asociar con alguna otra neoplasia no neuroendocrina colorrectal,9 por lo que se puede necesitar una colonoscopía en caso de pacientes muy jóvenes con tumores bien diferenciados y no se tenga claro si es neuroendócrino. Si no es candidato para la realización de una colonoscopía, durante el procedimiento quirúrgico se debe efectuar una adecuada exploración del resto del tracto digestivo para no pasar por alto alguna otra lesión.5

Posterior a la resección del tumor o la hemicolectomía, en los casos con tumores menores de 1 cm no es necesario llevar a cabo un seguimiento específico, sólo en tumores mayores a 2 cm o casos que tuvieron ganglios positivos o compromiso linfovascular o perineural, se recomienda nuevamente estudios de imagen a los tres y 12 meses después de la resección, así como toma de marcadores serológicos (5-HIAA y cromogranina A), después del año se recomienda cada 12 a 24 meses, así hasta los 10 años.11

Los sujetos con metástasis con presencia de síndrome carcinoide pueden iniciar tratamiento con análogos de la somatostatina.12 En caso de metástasis hepáticas que cumpla criterios quirúrgicos, puede ser considerada la hepatectomía o embolización arterial.5 Existen nuevas terapias dirigidas hacia tumores con receptores de somatostatina elevados, y refractarios a análogos de somatostatina, como por ejemplo Lutetium, Lu-Dotatate o Everolimus.13



CONCLUSIONES

Los TNE son los tumores más comunes del apéndice cecal, su diagnóstico temprano es muy difícil, a no ser que se trate de un diagnóstico incidental, después de una apendicectomía por otras causas. En la mayoría se realiza de manera incidental como en el caso de este paciente. El dato clínico-patológico más relevante para normar la conducta terapéutica y el seguimiento clínico es el estudio histopatológico. El pronóstico es bueno, si el diagnóstico y tratamiento quirúrgico se realizan tempranamente.


REFERENCIAS (EN ESTE ARTÍCULO)

  1. Moertel CG, Weiland LH, Nagorney DM, Dockerty MB. Carcinoid tumor of the appendix: treatment and prognosis. N Engl J Med. 1987; 317: 1699-1701. doi: 10.1056/NEJM198712313172704.

  2. Díaz-Rivera MC, Buitrago-Toro K, Gonzales P. Tumor carcinoide del apéndice cecal: cuando un hallazgo incidental modifica drásticamente el pronóstico y tratamiento del paciente. Rev Col Gastroenterol. 2017; 32: 72-74. doi:10.22516/25007440.133.

  3. Rorstad O. Prognostic indicators for carcinoid neuroendocrine tumors of the gastrointestinal tract. J Surg Oncol. 2005; 89: 151.

  4. Zhang HW, Jiang Y, Huang ZY, Zhou XC. Analysis of surgical treatment of appendix neuroendocrine neoplasms—17 years of single-center experience. World J Surg Onc. 2023; 21: 150. doi: 10.1186/s12957-023-03025-6.

  5. Mohamed A, Wu S, Hamid M, Mahipal A, Cjakrabarti S, Bajor D et al. Management of appendix neuroendocrine neoplasms: insights on the current guidelines. Cancers (Basel). 2022; 15: 295. doi: 10.3390/cancers15010295.

  6. Connor SJ, Hanna GB, Frizelle FA. Appendiceal tumors: retrospective clinicopathologic analysis of appendiceal tumors from 7,970 appendectomies. Dis Colon Rectum. 1998; 41: 75.

  7. Cai W, Tan Y, Ge W, Ding K, Hu H. Pattern and risk factors for distant metastases in gastrointestinal neuroendocrine neoplasms: a population-based study. Cancer Med. 2018; 7: 2699-2709.

  8. Pape UF, Niederle B, Costa F, Gross D, Kelestimur F, Kianmanesh R et al. ENETS consensus guidelines for neuroendocrine neoplasms of the appendix (excluding goblet cell carcinomas). Neuroendocrinology. 2016; 103: 144-152. doi: 10.1159/000443165.

  9. Glasgow SC, Gaertner W, Stewart D, Davids J, Alavi K, Paquette IM et al. The American Society of Colon and Rectal Surgeons, clinical practice guidelines for the management of appendiceal neoplasms. Dis Colon Rectum. 2019; 62: 1425-1438.

  10. Landry CS, Woodall C, Scoggins CR, McMasters KM, Martin RC 2nd. Analysis of 900 appendiceal carcinoid tumors for a proposed predictive staging system. Arch Surg. 2008; 143: 664.

  11. Boudreaux JP, Klimstra DS, Hassan MM Woltering EA, Jensen RT, Goldsmith SJ et al. The NANETS consensus guideline for the diagnosis and management of neuroendocrine tumors: well-differentiated neuroendocrine tumors of the Jejunum, Ileum, Appendix, and Cecum. Pancreas. 2010; 39: 753.

  12. Saponjski J, Macut D, Sobic-Saranovic D, Ognjanovic S, Bozic Antic I, Pavlovic D et al. Somatostatin receptor scintigraphy in the follow up of neuroendocrine neoplasms of appendix. World J Clin Cases. 2020; 8: 3697-3707. doi: 10.12998/wjcc.v8.i17.3697.

  13. Paluri RK, Killeen RB. Neuroendocrine Tumor Lu-177-Dotatate Therapy. In: StatPearls. Treasure Island (FL): StatPearls Publishing; 2024 Jan. Available from: https://www.ncbi.nlm.nih.gov/books/NBK587368/



AFILIACIONES

1 Corporativo Hospital Satélite.

2 Hospital General de Naucalpan.
ORCID:

3 0009-0008-3231-0907

4 0009-0001-1322-2310

5 0009-0001-3241-3008

6 0009-0009-4783-353X

7 0009-0006-6887-5585



CORRESPONDENCIA

Dr. Jaime Eduardo Cazares Montañez. E-mail: dr.eduardocazares@gmail.com
Dra. Mónica Alejandra Reyes Moctezuma. E-mail: monicareyes395@gmail.com




Recibido: 21/03/2024. Aceptado: 08/05/2024.

Figura 1
Figura 2
Figura 3
Tabla 1

2020     |     www.medigraphic.com

Mi perfil

C?MO CITAR (Vancouver)

Rev Mex Cir Endoscop. 2024;25

ARTíCULOS SIMILARES

CARGANDO ...