medigraphic.com
ENGLISH

Revista Mexicana de Cirugía Endoscópica

ISSN 1665-2576 (Impreso)
  • Mostrar índice
  • Números disponibles
  • Información
    • Información general        
    • Directorio
  • Publicar
    • Instrucciones para autores        
    • Envío de artículos
  • medigraphic.com
    • Inicio
    • Índice de revistas            
    • Registro / Acceso
  • Mi perfil

2024, Número 1-4

<< Anterior Siguiente >>

Rev Mex Cir Endoscop 2024; 25 (1-4)


Colangiopancreatografía retrógrada endoscópica transgástrica asistida por laparoscopía en paciente con antecedente de bypass gástrico de una anastomosis

Tueme-Izaguirre, Jorge1; Alvarez-Barragán, Ana Fernanda2; Martínez-Corral, Melchor Enrique3; Quintero-Estrada, Edgar Javier4
Texto completo Cómo citar este artículo 10.35366/118804

DOI

DOI: 10.35366/118804
URL: https://dx.doi.org/10.35366/118804
Artículos similares

Idioma: Español
Referencias bibliográficas: 15
Paginas: 25-29
Archivo PDF: 333.30 Kb.


PALABRAS CLAVE

coledocolitiasis, cirugía bariátrica, CPRE, bypass gástrico de una anastomosis.

RESUMEN

Introducción: en pacientes sometidos a bypass gástrico existe una incidencia de 20-50% de colelitiasis y 10% de coledocolitiasis. El manejo de la coledocolitiasis en estos pacientes es un desafío, ya que no se puede emplear la colangiopancreatografía retrograda endoscópica (CPRE) convencional por la anatomía modificada. Existen varios manejos, entre los cuales se encuentra la CPRE transgástrica endoscópica asistida por laparoscopía (CPRE-AL). Presentación del caso: mujer de 51 años con antecedente de colecistectomía y bypass gástrico de una anastomosis que acudió a urgencias por dolor intenso en epigastrio tipo transflictivo, nausea, vómito, ictericia y coluria. Sus laboratorios al ingreso con BT 3.640 mg/dL, BD 3.290 mg/dL, TGP 592 U/L, TGO 821 U/L, FA 486 U/L, DHL 647 U/L, amilasa 12 U/L, lipasa 7 U/L. Se realizó colangio-resonancia magnética nuclear (CRMN), y reportó dilatación del colédoco de hasta 12 mm con una zona redondeada hipointensa adyacente al esfínter de Oddi, por lo que se realizó CPRE-AL. Conclusión: la CPRE-AL fue un tratamiento eficaz y sin complicaciones en esta paciente. Su uso permite realizar el tratamiento endoscópico y la colecistectomía durante la misma intervención en aquellos pacientes que así lo requieran.



INTRODUCCIóN

La resolución de una coledocolitiasis en paciente con anatomía modificada por antecedente de cirugía bariátrica suele ser todo un reto, que actualmente se presenta con mayor frecuencia debido al aumento de procedimientos bariátricos en los pacientes con obesidad mórbida. La cirugía bariátrica reduce las comorbilidades y proporciona una pérdida de peso de manera significativa, por lo que es el tratamiento más eficaz para la obesidad mórbida. Se han descrito varios procedimientos, como el bypass gástrico de una anastomosis (OAGB, por sus siglas en inglés), el bypass gástrico en Y de Roux (BGYR) y la gastrectomía en manga (GM). El OAGB es una variante de BGYR que se realiza cada vez más en todo el mundo, además de ser una cirugía reductora de peso técnicamente más rápida y eficiente.1 Con frecuencia, los cirujanos se encuentran ante patologías pancreatobiliares que requieren de una intervención.2 Se ha descrito una incidencia de hasta 20-50% de colelitiasis y hasta 10% de coledocolitiasis.3 En estos pacientes, 5.3% requiere de intervención pancreatobiliar.2 Uno de los métodos para acceder al árbol biliar es la colangiopancreatografía retrógrada endoscópica transgástrica asistida por laparoscopía (CPRE-AL). Presentamos un interesante caso de una mujer de 51 años con antecedente de colecistectomía y alteración anatómica por OAGB que presentó coledocolitiasis primaria y se trató de manera exitosa con CPRE-AL.



PRESENTACIóN DEL CASO

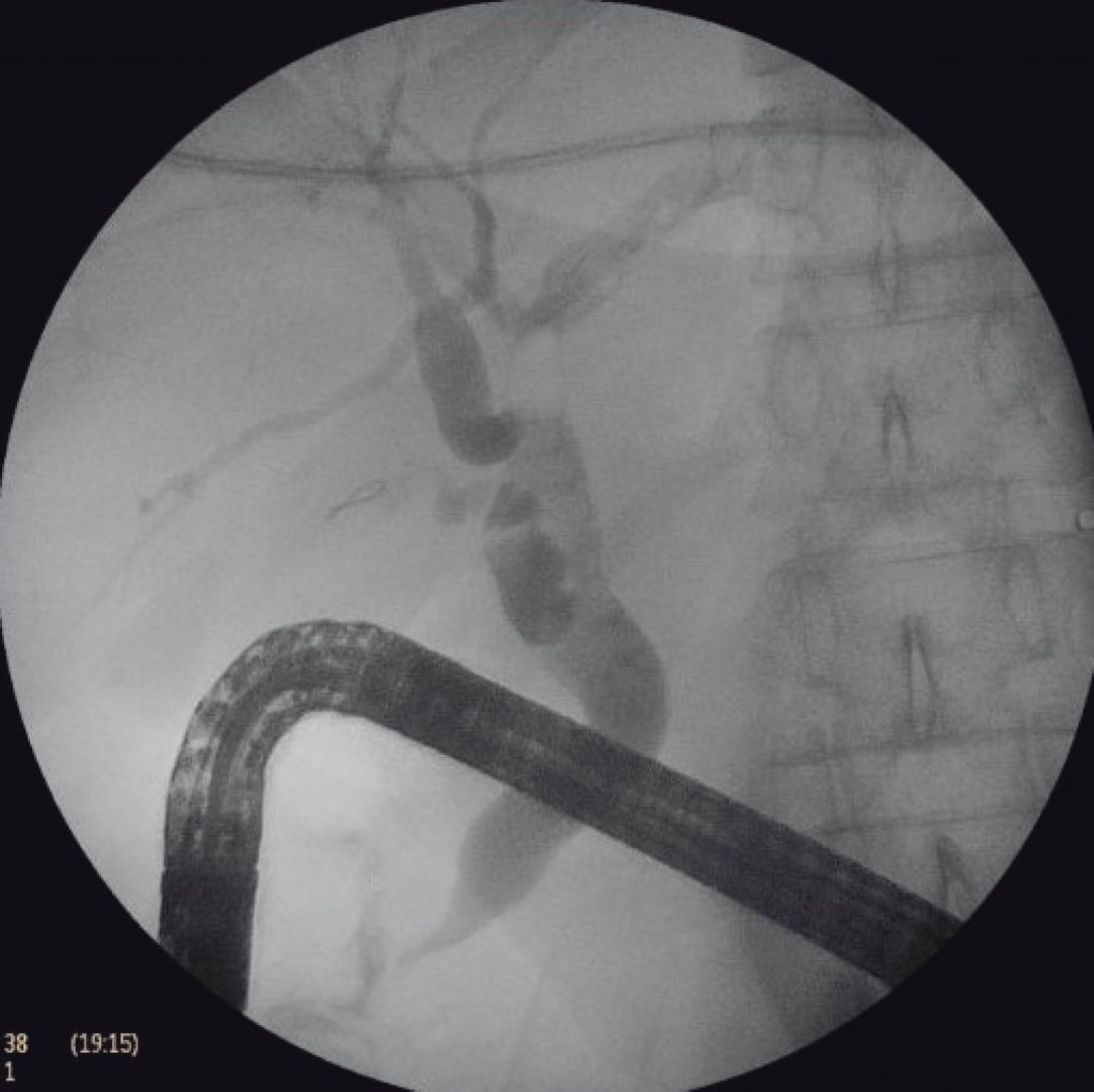
Mujer de 51 años con antecedente de colecistectomía laparoscópica hace 12 años, descenso gástrico, plastia hiatal y bypass gástrico de una anastomosis hace cuatro meses. Inició el padecimiento en su cuarto mes de posoperada de OAGB con pérdida de peso posterior de 18 kg. Acudió a urgencias por dolor en epigastrio transfictivo intermitente de 15 días de evolución, referido con intensidad 10/10 en escala visual análoga (EVA), acompañado de nausea y vómito, con presencia de ictericia y coluria. A la exploración abdominal se encontró dolor a la palpación superficial en epigastrio e hipocondrio derecho. Se le realizó biometría hemática y perfil bioquímico completo, y se reportaron leucocitos 7,780/mm3, linfocitos 0.23 × 103/μL, neutrófilos 7.21 × 103/μL, urea 19 mg/dL, BT 3.640 mg/dL, BD 3.290 mg/dL, TGP 592 U/L, TGO 821 U/L, FA 486 U/L, DHL 647 U/L, amilasa 12 U/L, lipasa 7 U/L. Se realizó colangiorresonancia magnética nuclear (CRMN), la cual reportó dilatación del colédoco, más evidente en sus porciones distales de hasta 12 mm con una zona redondeada hipointensa adyacente al esfínter de Oddi de 5 mm de diámetro (Figura 1), por lo que se procedió a realizar colangiopancreatografía retrograda endoscópica (CPRE) transgástrica guiada por laparoscopía.

Se colocó a la paciente en decúbito supino con Trendelenburg invertido y bajo efectos de anestesia general, se insertó aguja de Veress en punto de Palmer, se inició neumoperitoneo y se colocó bajo visión directa primer trocar de 15 mm en región supraumbilical paramedial izquierdo seguido de tres trocares más, un trocar paramedial izquierdo de 15 mm colocado de 7 a 10 cm por encima del trocar óptico para la mano derecha del cirujano, trocar paramedial derecho de 5 mm, situado de 7 a 10 cm por encima del trocar óptico para la mano izquierda del cirujano y trocar de 12 mm en hipocondrio izquierdo para el ayudante. Se realizó jareta con PDS 2-0 en antro gástrico y posteriormente incisión gástrica (Figura 2), se insertó a través de gastrostomía el trocar de 15 mm (Figura 3) exteriorizando los hilos de sutura correspondiente a la jareta a través del mismo. El ayudante cirujano y endoscopista avanzó duodenoscopio por medio del trocar de 15 mm hasta segunda porción de duodeno y se observó papila alargada (Figura 4) con múltiples pliegues, posteriormente se canuló de manera selectiva la vía biliar con esfinterótomo y guía de alambre observando avance cefálico de guía, se instiló medio de contraste observando en colangiograma la vía biliar intra y extrahepática dilatada con conducto hepático común y colédoco proximal de 13 mm, colédoco medio 12 mm, colédoco distal de 10.5 mm con un defecto de llenado de 9 mm en su interior. Se realizó esfinterotomía y barrido mediante catéter con balón, se extrajo lito, líquido biliar y contraste. Se infló y ancló catéter con balón, se instiló medio de contraste observando vía biliar permeable sin defectos de llenado (Figura 5). Se procedió a retiro del instrumental con fluoroscopía de control con depuración adecuada de contraste de vía biliar. Se retiró duodenoscopio, se retiró trocar de 15 mm de la gastrostomía y se cerró en dos planos con sutura PDS 2-0 (Figura 6). Se colocó drenaje tipo Blake de 19 Fr hacia la gastrostomía y se exteriorizó por la incisión de trocar en hipocondrio izquierdo, se realizó cierre de heridas por planos y se finalizó el procedimiento sin haber presentado incidentes o complicaciones quirúrgicas. Durante sus primeros dos días de posoperatorio, se mantuvo sin dolor, toleró la vía oral, canalizó gases y el gasto por drenaje escaso con características serohemáticas, por lo que se retiró al segundo día y se decidió su egreso por mejoría, actualmente a varios meses de posoperada se encuentra sin complicaciones.



DISCUSIóN

En la actualidad la cirugía bariátrica representa el tratamiento más costo-efectivo en el tratamiento de la obesidad, dentro de las opciones quirúrgicas el bypass gástrico de una anastomosis tiene una característica distintiva de un reservorio gástrico confeccionado de la incisura angularis hacia el ángulo de His y una gastro-yeyuno anastomosis latero-lateral antecólica de 4 a 6 cm de ancho a unos 200 cm del ligamento de Treitz, debido a la rápida pérdida de peso y el ayuno prolongado en los pacientes sometidos a este procedimiento, se presenta el riesgo de desarrollar colelitiasis o coledocolitiasis primaria que puede ocurrir años después de una colecistectomía y se observa hasta seis meses después del procedimiento bariátrico.1-4 El tratamiento estándar de una coledocolitiasis suele ser la CPRE, pero este procedimiento se vuelve casi imposible de realizar debido a la anatomía alterada por la cirugía bariátrica, ya que se presentan varios retos como la capacidad de canalización e intervención de la papila mayor, tiempo de la intervención, éxito terapéutico y las complicaciones inherentes al procedimiento.5

En 1998, Baron y Vickers describieron por primera vez la introducción de un duodenoscopio a través de una gastrostomía, evitando así la perdida de la anatomía gastrointestinal normal.6 En 2002, Peters y Gagne describieron la primera gastrostomía laparoscópica creada específicamente para la CPRE; sin embargo, esta técnica se basaba en la creación de una gastrostomía que requería varias semanas de duración antes de su uso.7 También en 2007 Ceppa y colaboradores reportaron una técnica laparoscópica con cierre intraoperatorio inmediato grapado o suturado de la gastrostomía.8

Se han descrito muchos tipos de tratamientos para pacientes con anatomía gástrica modificada por cirugía bariátrica afectados por coledocolitiasis. Existen dos técnicas básicas: la CPRE guiada por enteroscopía y la CPRE guiada por laparoscopía; recientemente se ha descrito una técnica que utiliza el ultrasonido endoscópico y que permite la anastomosis entre el reservorio gástrico con el estómago excluido utilizando una endoprótesis de aposición luminal, para posteriormente poder realizar la CPRE de forma convencional; se conoce como CPRE transgástrica dirigida por ultrasonido endoscópico (USE).1-3

En esta paciente el procedimiento realizado fue similar al descrito por Facchiano, en el que se realiza una elevación del estómago con puntos transparietales mientras se introduce un endoscopio a través de un trocar dentro del remanente gástrico.9

Desde el punto de vista de la eficiencia, la CPRE-AL y la CPRE transgástrica dirigida por USE tienen las tasas de éxito más altas que la CPRE asistida por enteroscopía con balón.10 Además, la canulación de la papila ha demostrado ser más complicada en CPRE asistida por enteroscopía con balón debido a la vista tangencial que ofrece este tipo de instrumento.11 Bukhari y colaboradores concluyeron que la CPRE transgástrica dirigida por USE es superior a la CPRE asistida por enteroscopía con balón en términos de éxito técnico y tiempo de procedimiento más corto.12 Ayoub y su equipo compararon la CPRE asistida por laparoscopía y la CPRE asistida por enteroscopía con balón, subrayando la eficacia superior de la primera, considerándola como un abordaje de primera línea.13

CPRE-AL puede ser realizada por cualquier endoscopista acostumbrado a efectuar CPRE y si el paciente está indicado para colecistectomía, ésta debe ser la elegida, ya que permite llevar a cabo ambos procedimientos durante la misma intervención.1 La CPRE-AL ha demostrado ser superior a la CPRE asistida por enteroscopía en términos de intubación duodenal, identificación de la papila mayor, tasas de canalización biliar, éxito terapéutico y tiempo del procedimiento, sin encontrar diferencias estadísticamente significativas en relación con las tasas de complicaciones y los días de hospitalización.5

Además, en la revisión sistemática y metaanálisis de Aiolfi y colaboradores se compararon 13 estudios, concluyendo que en 98% de pacientes con anatomía modificada por bypass gástrico, el abordaje transgástrico a través de gastrostomía puede considerarse una opción terapéutica factible, segura y exitosa, que resultó ser la indicación más común para este tipo de procedimiento en pacientes con cirugía bariátrica (49%) junto con estenosis papilar (21%) y disfunción de esfinter de Oddi (12%). La tasa de complicaciones relacionadas con el componente biliar del procedimiento la reportan baja (3%), similar a la CPRE estándar, de las cuales varias se relacionaron con el abordaje transgástrico. Se menciona que el difícil acceso al píloro puede deberse al ángulo inadecuado de entrada por el remanente gástrico, por lo que sugiere que la gastrostomía se realice en un punto entre el 1/3 superior y los 2/3 inferiores del estómago para llegar fácilmente al píloro y entrar al duodeno, la tasa de conversión del abordaje laparoscópico fue de 8%.14 Sin embargo, la técnica de CPRE transgástrica dirigida por USE empieza a ser cada vez más utilizada en pacientes que ya han sido sometidos a colecistectomía, debido a la menor invasividad, similar seguridad y tasa de éxito respecto a la CPRE-AL.10,12 Más allá de las técnicas ya comentadas, que se consideran las más conocidas y utilizadas, en la literatura se mencionan otras; un trabajo reportó el acceso al árbol biliar izquierdo por el pouch gástrico,15 mientras que otro sugirió un abordaje percutáneo del remanente gástrico para realizar una CPRE.10 Aunque no se han efectuado estudios comparativos, estos procedimientos resultaron técnicamente más desafiantes y en consecuencia presentaron un mayor riesgo.



CONCLUSIONES

En el caso expuesto, la técnica resolutiva tuvo éxito y fue una opción satisfactoria para la paciente, coincidiendo con que la CPRE transgástrica asistida por laparoscopía, es una opción terapéutica factible, segura y exitosa en la mayor parte de pacientes (98%) con patología biliar y anatomía modificada por bypass como se menciona anteriormente en la revisión sistemática y metaanálisis realizados por Aiolfi y colaboradores.


REFERENCIAS (EN ESTE ARTÍCULO)

  1. Goncalves R, Patrocinio S, Reis S, Santos C. Laparoscopic-assisted transgastric ERCP in patient with one anastomosis gastric bypass: a case report. Relatos Casos Cir. 2022; 8: E3250.

  2. Gonzalez M, Baca A, Flores E. Laparoscopy-assisted transgastric endoscopic retrograde cholangiopancreatography for choledocholithiasis after Roux-en-Y gastric bypass: a case report. Ann Med Surg (Lond). 2019; 44: 46-50.

  3. Fernandes N, Blanco-Collino R, Vilallonga R. Abordaje transgástrico en paciente con bypass gástrico y coledocolitiasis sintomática. BMI Journal. 2021; 11(2): 2955-2959.

  4. Hitendra G, Pankaj S, Atul P. Laparoscopy-assisted transgastric ERCP: a challenging technique for biliary clearance post Roux-en-Y gastric bypass. J Digest Endosc. 2021; 12: 107-111.

  5. Peñaloza-Ramírez A, Contento-Anaya FA, Ramírez-Rueda JC, Córdoba-Chamorro A, Aponte-Ordoñez P. Colangiopancreatografía retrograda endoscópica (CPRE) transgástrica asistida por laparoscopia en un paciente con Bypass gástrico en-Y-de Roux. Reporte de un caso y revisión de la literatura. Rev Colomb Gastroenterol. 2019; 34: 207-210.

  6. Baron TH, Vickers SM. Surgical gastrostomy placement as access for diagnostic and therapeutic ERCP. Gastrointest Endosc. 1998; 48: 640-641.

  7. Peters M, Papasavas PK, Caushaj PF, Kania RJ, Gagné DJ. Laparoscopic transgastric endoscopic retrograde cholangiopancreatography for benign common bile duct stricture after Roux-en-Y gastric bypass. Surg Endosc. 2002; 16: 1106.

  8. Ceppa FA, Gagné DJ, Papasavas PK, Caushaj PF. Laparoscopic transgastric endoscopy after Roux-en-Y gastric bypass. Surg Obes Relat Dis. 2007; 3: 21-24.

  9. Facchiano E, Quartararo G, Pavoni V, Liscia G, Naspetti R, Sturiale A et al. Laparoscopy-assisted transgastric endoscopic retrograde cholangiopancreatography (ERCP) after Roux-en-Y gastric bypass: technical features. Obes Surg. 2015; 25: 373-376.

  10. Forster E, Elmunzer BJ. Endoscopic retrograde cholangiopancreatography in patients with Roux-en-Y gastric bypass. Am J Gastroenterol. 2020; 115: 155-157.

  11. Abu-Dayyeh B. Single-balloon enteroscopy-assisted ERCP in patients with surgically altered GI anatomy: getting there. Gastrointest Endosc. 2015; 82: 20-23.

  12. Bukhari M, Kowalski T, Nieto J, Kunda R, Ahuja NK, Irani S et al. An international, multicenter, comparative trial of EUS-guided gastrogastrostomy-assisted ERCP versus enteroscopy-assisted ERCP in patients with Roux-en-Y gastric bypass anatomy. Gastrointest Endosc. 2018; 88: 486-494.

  13. Ayoub F, Brar TS, Banerjee D, Abbas AM, Wang Y, Yang D et al. Laparoscopy-assisted versus enteroscopy-assisted endoscopic retrograde cholangiopancreatography (ERCP) in Roux-en-Y gastric bypass: a meta-analysis. Endosc Int Open. 2020; 8: E423-E436.

  14. Aiolfi A, Asti E, Rausa E, Bernardi D, Bonitta G, Bonavina L et al. Trans-gastric ERCP after Roux-en-Y gastric bypass: systematic review and meta-analysis. Obes Surg. 2018; 28: 2836-2843.

  15. Martin A, Kistler CA, Wrobel P, Yang JF, Siddiqui AA. Endoscopic ultrasound-guided pancreaticobiliary intervention in patients with surgically altered anatomy and inaccessible papillae: a review of current literature. Endosc Ultrasound. 2016; 5: 149-156.



AFILIACIONES

1 Cirugía General y Laparoscopia Avanzada, Cirugía Bariátrica. Sanatorio Español. Torreón, Coahuila. ORCID: 0000-0002-7365-8554

2 Departamento de Cirugía General. Sanatorio Español. Torreón, Coahuila. ORCID: 0009-0002-8380-388X

3 Cirugía General y Laparoscopía Avanzada, Cirugía Bariátrica, Endoscopía. Unidad Médica de Alta Especialidad No. 71 del Instituto Mexicano del Seguro Social. Torreón, Coahuila. ORCID: 0009-0007-6354-3597

4 Sanatorio Español. Torreón, Coahuila. ORCID: 0009-0001-7667-6678



CORRESPONDENCIA

Ana Fernanda Alvarez-Barragán. E-mail: ana_alvarezb@hotmail.com




Recibido: 08/08/2023. Aceptado: 31/01/2024.

Figura 1
Figura 2
Figura 3
Figura 4
Figura 5
Figura 6

2020     |     www.medigraphic.com

Mi perfil

C?MO CITAR (Vancouver)

Rev Mex Cir Endoscop. 2024;25

ARTíCULOS SIMILARES

CARGANDO ...