medigraphic.com
ENGLISH

Revista Mexicana de Cirugía Endoscópica

ISSN 1665-2576 (Impreso)
  • Mostrar índice
  • Números disponibles
  • Información
    • Información general        
    • Directorio
  • Publicar
    • Instrucciones para autores        
    • Envío de artículos
  • medigraphic.com
    • Inicio
    • Índice de revistas            
    • Registro / Acceso
  • Mi perfil

2024, Número 1-4

<< Anterior Siguiente >>

Rev Mex Cir Endoscop 2024; 25 (1-4)


Mesotelioma peritoneal multiquístico benigno. Reporte de caso clínico

Almaraz-Celis, Guillermo Daniel1; Sagui de la-Fuente, Lucía2; Gaytán-Montoya, Sharon Selene3; Moreno-Delgado, Erick4; Gómez-Arellano, Luisa Irene5; Garza-Flores, Carlos Andrés6; García-Vázquez, Antonio7
Texto completo Cómo citar este artículo 10.35366/118805

DOI

DOI: 10.35366/118805
URL: https://dx.doi.org/10.35366/118805
Artículos similares

Idioma: Español
Referencias bibliográficas: 10
Paginas: 30-35
Archivo PDF: 305.39 Kb.


PALABRAS CLAVE

mesotelioma peritoneal multiquístico benigno, quiste de inclusión peritoneal, laparoscopía.

RESUMEN

Introducción: el mesotelioma peritoneal multiquístico benigno es el tumor peritoneal más raro, con alrededor de 200 casos publicados. Los factores de riesgo incluyen endometriosis, enfermedad pélvica inflamatoria, cirugía abdominal, con alto índice de recurrencia (50-60%). Suele surgir de peritoneo pélvico, con localización típica en superficie peritoneal y fondo de saco posterior. Debido a la estirpe benigna, se ha propuesto el término de "quiste de inclusión peritoneal", como la denominación apropiada. Reporte de caso: paciente femenino de 17 años quien inicia con dolor abdominal en pelvis, predominio en fosa iliaca izquierda, de baja intensidad, con más de un mes de evolución. A la exploración física sin datos de irritación abdominal. Se realiza ultrasonido reportando líquido libre en fondo de saco (133 mL), ovarios y útero sin alteraciones. La tomografía abdominal de control reporta abundante líquido libre en hueco pélvico y corredera parietocólica derecha. Se programa para laparoscopía diagnóstica encontrando en pelvis cuatro quistes, el mayor de 12 cm, paredes delgadas, se drenan, encontrando líquido seroso y se extraen cápsulas para estudio histopatológico e inmunohistoquímico que describen mesotelioma quístico benigno. Paciente con adecuada evolución posquirúrgica. Conclusión: debido a su baja incidencia no existe un consenso en el seguimiento ni en el tratamiento; sin embargo, la resección quirúrgica persiste como el pilar de tratamiento, mostrando mayores beneficios con abordaje laparoscópico.



INTRODUCCIóN

Los tumores peritoneales representan un grupo heterogéneo de neoplasias de diferente pronóstico, de las cuales, el de peor pronóstico es el mesotelioma peritoneal maligno. El mesotelioma peritoneal multiquístico benigno (MPMB) es el más raro, con alrededor de 200 casos publicados en la literatura.1 Los factores de riesgo asociados incluyen endometriosis, enfermedad pélvica inflamatoria y cirugía abdominal. Se presenta en mujeres con mayor frecuencia, en proporción de 4-5:1, con pocos casos reportados en mayores de 30 años. Hasta la fecha la patogénesis sigue siendo controvertida. Algunos autores creen que es secundaria a un proceso reactivo, pero también se le atribuye origen neoplásico cuando no hay ambiente inflamatorio presente. Suelen surgir del peritoneo pélvico y el MPMB se localiza típicamente en la superficie peritoneal y fondo de saco posterior. La transformación maligna es rara, a pesar de su alto índice de recurrencia (50-60%).

Su nombre también es controvertido, algunos autores prefieren quiste de inclusión peritoneal (QIP), entre otros términos. Su diagnóstico es histopatológico e inmunobiológicamente con células positivas para calretinina, entre otros marcadores.2 Aun no se establece un consenso claro sobre su tratamiento debido a su rareza.1

Se presenta el caso de una paciente de 17 años con este padecimiento, manejado por laparoscopía sin sospecha de este en el preoperatorio.



PRESENTACIóN DEL CASO

Paciente femenino de 17 años, gastritis crónica como único antecedente, con H. pylori en 2023 con tratamiento, sin inicio de vida sexual, y periodos menstruales irregulares de 30-40 días. Presentó dolor abdominal en pelvis, predominio en fosa iliaca izquierda, de baja intensidad que le permitía realizar sus actividades diarias, el cual cedía con analgésico convencional, además distensión abdominal leve. A la exploración física se encontró abdomen blando, depresible, con dolor a la palpación profunda en fosa iliaca izquierda, rebote negativo, peristalsis normal. Se efectuó ultrasonido pélvico programado, el cual reportó líquido libre en fondo de saco con un volumen de 133 mL; ovarios con tamaño, situación y ecogenicidad normal, con folículos pequeños, útero normal; ultrasonido de abdomen total sin otras alteraciones. Se complementó con biometría hemática, examen general de orina, proteína C reactiva, encontrando todo dentro de parámetros normales. Fue valorada por ginecología a la semana de inicio, persistiendo el dolor de baja intensidad, con las mismas características; en la revisión por ultrasonido ginecológico se reportó líquido libre en fondo de saco, con disminución del volumen (40 mL).

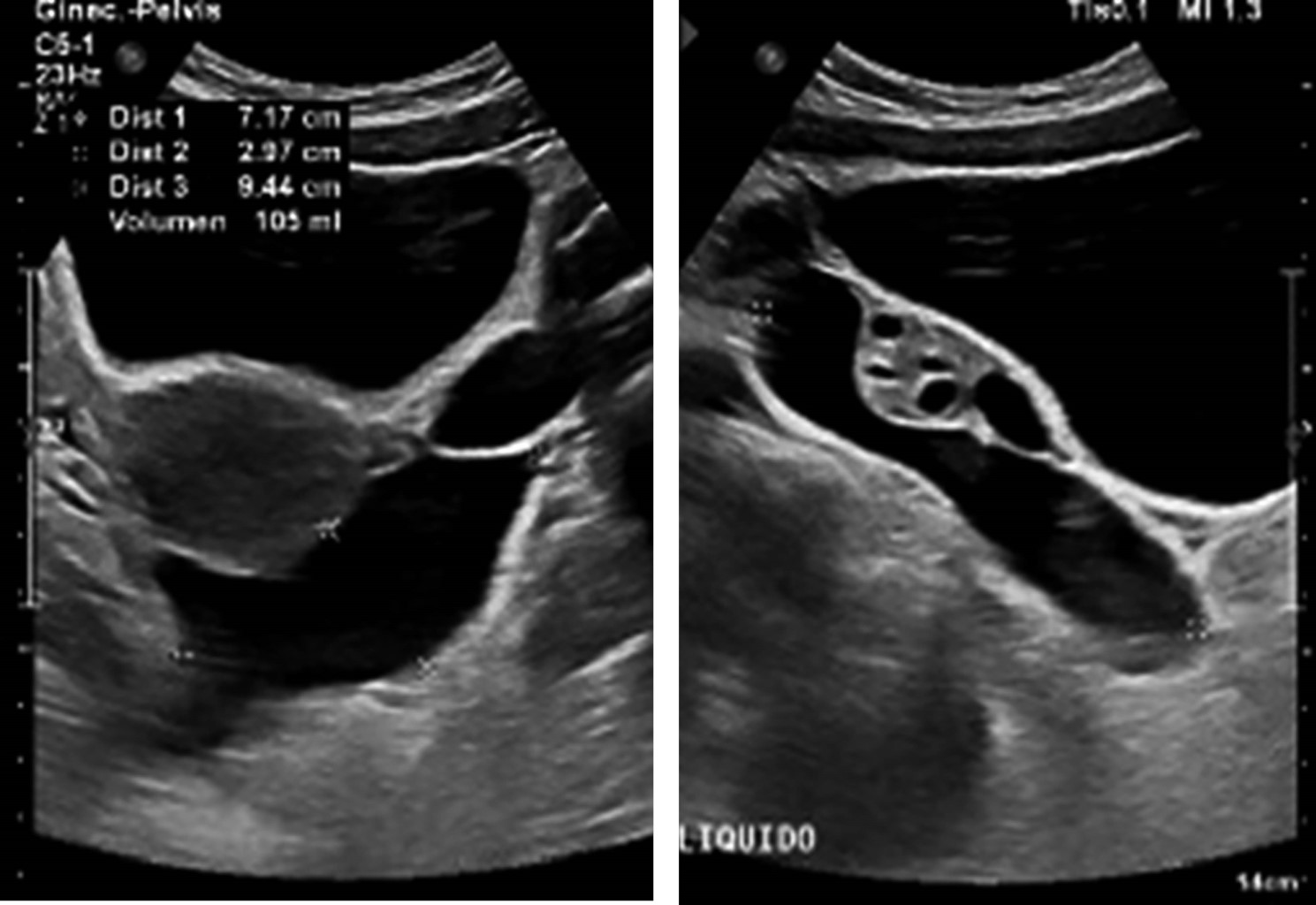
Cita de seguimiento a las tres semanas, con ultrasonido de control, el cual reportó líquido en ambas fosas iliacas y fondo de saco, con presencia de finos septos adyacentes a anexos, comparando con estudio previo se encontró aumento de volumen, resto de órganos pélvicos normales (Figura 1). Se internó por urgencias para complementar su estudio con tomografía axial computarizada de abdomen con contraste intravenoso, reportando abundante líquido libre en hueco pélvico y corredera parietocólica derecha (Figuras 2 y 3). Fue valorada por los servicios de cirugía general y ginecología y obstetricia, programándose para laparoscopía diagnóstica.

Se colocó trocar umbilical de 10 mm con lente de 30 grados, dos más de 5 mm en ambas fosas iliacas, encontrando en pelvis cuatro quistes de diferentes tamaños, siendo el mayor de 12 cm aproximadamente, otros de 7, 5 y 4 cm, con paredes delgadas y lisas, traslucidos, con contenido líquido seroso, dos sueltos en pelvis (Figuras 3 y 4) y dos adheridos ligeramente a ovario y trompa izquierda, retirados con bisturí armónico (Figura 5). Se puncionó con aguja, extrayendo de cada uno líquido seroso para estudio histopatológico y citoquímico. Se extrajeron las cápsulas en su totalidad; ovarios y útero, así como el resto de la cavidad sin alteraciones, se tomó biopsia de peritoneo y epiplón mayor. Se lavó pelvis y revisó hemostasia. La paciente cursó con evolución favorable, egresando a las 24 horas del procedimiento.

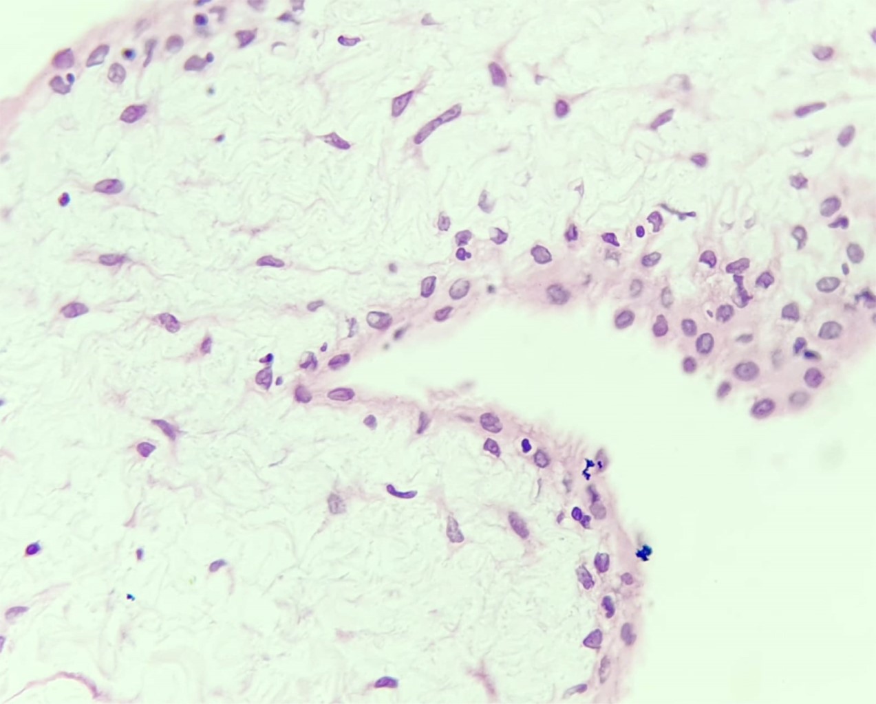
Por lo poco común del hallazgo transquirúrgico se decidió mandar los quistes y líquido a dos patólogos, resultando las biopsias de epiplón y peritoneo con tejido fibroadiposo con congestión vascular, líquido proteináceo acelular; el estudio patológico reportó quistes rotos, el mayor de 9 cm, con espesor de pared de 0.1 cm, traslucida, lisa en lo macroscópico y en lo microscópico quistes uniloculares revestidos de epitelio de una capa por células planas a cúbicas, sin atipia, ni presencia de mitosis (Figura 6). Líquido eosinófilo sin microorganismos patógenos ni células malignas. El primer examen patológico encontró quistes peritoneales de inclusión y el segundo, mesotelioma quístico benigno, se realizó prueba inmunohistoquímica en ambos lugares para comprobar que fueran células mesoteliales, reportando el primero CK5/6 y calretinina positivos. Y en el segundo citoqueratina 7 positivo 2+, WT-1 positivo 1+, D2-40 positivo 3+, PAX-8 negativo, SALL-4 negativo, calretinina negativo. Cabe mencionar que al primero se le mandó un solo quiste y al otro los otros tres quistes. Ambos coincidieron en el diagnóstico ya que se le ha descrito en la literatura de ambas maneras.

La paciente cursó su periodo posoperatorio asintomática; su primer ultrasonido de abdomen total de control a los tres meses reportó líquido escaso en fondo de saco, ovarios y útero, así como resto de órganos normales.



DISCUSIóN

El mesotelioma peritoneal multiquístico benigno (MPMB) es una neoplasia peritoneal poco común, descrita por primera vez en 1928 por Plaut quien observó quistes sueltos en la pelvis durante una operación de leiomioma uterino;2 sin embargo, su naturaleza mesotelial fue confirmada más tarde en 1979 por Menemeyer y Smith. En 1989 Ross et al. informaron las características clínicas y patológicas de 25 casos de MPMB.3

Su incidencia es de 1:100,000 casos y hasta la fecha se han reportado menos de 140 a nivel mundial, aunque otros autores refieren 200.1 Esta condición se describe con mayor frecuencia en mujeres en edad reproductiva con proporción de 4-5:1 de mujer a hombre;2 es más frecuentes en mujeres adolescentes (rango de edad de 10-20 años).3 Como factores de riesgo se identifican antecedentes de alguna cirugía abdominal previa, traumatismo, infección, leiomiomatosis peritoneal diseminada o endometriosis;2 no obstante, la paciente referida en este caso no presenta ninguno de estos (30%).3 El tiempo entre la cirugía y el desarrollo de estos quistes varía de seis meses a 20 años, y la recaída puede ocurrir décadas después de la cirugía primaria. La recurrencia es con mayor frecuencia en masas grandes o enfermedad diseminada.2

La patogénesis de MPMB es controvertida, se han propuesto tres hipótesis; algunos de los autores creen que la MPMB deriva de procesos inflamatorios crónicos que involucran al peritoneo, lo que resulta en una transformación hiperplásica y displásica reactiva de las células mesoteliales; otros sugieren un origen neoplásico más primitivo de la serosa peritoneal, esto se sustenta en casos sin antecedentes de lesión inflamatoria crónica y la alta tasa de recurrencia (50-60%);2,3 otra teoría es una hipótesis hormonal, en la que el desarrollo y la progresión de MPMB están estrechamente relacionados con su sensibilidad a las hormonas sexuales, esta teoría está respaldada por una mayor incidencia en mujeres durante la edad reproductiva y la capacidad de respuesta de MPMB a ciertos agentes endocrinos como el tamoxifeno y los análogos de la hormona liberadora de gonadotropina.4

La MPMB generalmente surge del peritoneo pélvico, pero también puede desarrollarse en las superficies serosas del ovario, útero, vejiga, recto, fondo de saco, ganglios linfáticos, bazo e hígado. En las mujeres, por lo general se localiza a lo largo de la superficie peritoneal del fondo de saco posterior, en los hombres, comúnmente se desarrolla a lo largo de la superficie peritoneal de la bolsa rectovesical.2

Se han utilizado diversos términos para describir esta entidad, entre ellos, quiste de inclusión peritoneal multilocular, mesotelioma quístico benigno, quistes mesoteliales peritoneales, quistes inflamatorios del peritoneo y quistes peritoneales posoperatorios, lo que demuestra la falta de consenso sobre la etiología y el comportamiento de esta enfermedad, ocasionando malentendidos entre médicos y patólogos, dado que la mayoría de los autores coinciden en considerar estas lesiones no neoplásicas, se le ha llamado también con frecuencia quiste de inclusión peritoneal (QIP) en lugar de mesotelioma peritoneal quístico benigno.3

La mayoría de los casos se diagnostican incidentalmente mediante imágenes o durante la cirugía por otras indicaciones. El cuadro clínico es inespecífico ya que depende de la ubicación y volumen, siendo los más comunes, distensión, dolor abdominal o pélvico, obstrucción intestinal, náuseas, vómitos y pérdida de peso; en el examen físico puede haber sensibilidad anormal, masa abdominal o pélvica palpable, dificultando el diagnóstico.1,2

La ecografía y la tomografía computarizada (TC) son útiles en el abordaje inicial, revelan masas multiloculadas con tabiques gruesos que desplazan los órganos vecinos sin invadirlos; con todo, estos hallazgos están lejos de ser específicos en MPMB, con sensibilidad entre 15-30%. La resonancia magnética (RM) es el estudio con mayor sensibilidad (99%), mostrando señales hiperintensas que reflejan líquido quístico, con realce de los tabiques. En todas las modalidades de imagen se puede observar líquido libre y engrosamiento peritoneal discreto, en contraste con el mesotelioma peritoneal maligno, que frecuentemente se presenta con ascitis franca y engrosamiento peritoneal difuso.5

A nivel macroscópico los quistes en el MPMB pueden ser uniloculares o multiloculares; flotan libremente en la cavidad abdominal o se adhieren a las estructuras peritoneales, varían de 1 mm hasta 20 cm, se agrupan y forman masas similares a uvas en la cavidad peritoneal, por lo general contienen líquido transparente o hemorrágico.2

Histológicamente, demuestra numerosos espacios quísticos pequeños revestidos por una sola capa de células mesoteliales cúbicas o aplanadas, tienen tamaños variables y a menudo contienen líquido proteico eosinófilo pálido. Generalmente no hay evidencia de atipia nuclear; sin embargo, pueden mostrar binucleación o multinucleación con núcleos hipercromáticos que pueden tener una apariencia en clavo, cribiforme o en penacho. Estas características exhiben arquitectura compleja, que imita el mesotelioma peritoneal maligno, por lo que el diagnóstico definitivo requiere de inmunohistoquimica.2,3

Debido a la ausencia de un marcador inmunohistoquímico que sea tanto sensible como específico para el diagnóstico, se debe hacer un panel de prueba que incluya pancitoqueratina, al menos dos marcadores mesoteliales positivos y dos marcadores de carcinoma negativos. Entre los marcadores positivos se encuentran calretinina, D2-40, citoqueratina 5/6 y WT1 lo que revela su naturaleza mesotelial. Los comúnmente negativos son MOC31, PAX8, BG8, VER-EP4, B72.3, CEA y CDX2. La tinción con pancitoqueratina confirma el proceso epitelial, las citoqueratinas 5/6 están presentes en > 95% de los casos, WT1 en 80% de los mesoteliomas y D2-40 hasta en 96% de los casos. Nuestra paciente se confirmó con tres marcadores positivos para células mesoteliales (citoqueratina, WT1 y D2-40).6,7

Un punto clave en el diagnóstico es diferenciar el mesotelioma maligno de sus dos variantes borderline, el mesotelioma papilar bien diferenciado y el mesotelioma benigno multiquístico, ambas variantes con un comportamiento indolente y con riesgo mínimo de malignización. Las variantes malignas por lo general expresan EMA, P53, BAP1 y CDKN2A. BAP1 se identifica en 23-63% de los mesoteliomas malignos, CDKN2A se encuentra en 22-88% de los malignos, ambos combinados presentan sensibilidad 58-92% y especificidad 100%, por el contrario, la positividad a desmina, la presencia de múltiples quistes translucidos, la ausencia de invasión estromal y de atipia es característico de procesos reactivos benignos lo que confiere un pronóstico excelente.3,7

Los marcadores tumorales se han sugerido predictores del comportamiento biológico de la enfermedad, siendo peor en pacientes con niveles elevados de CA 125.2 MPMB no metastatiza. Se ha informado de transformación maligna, pero es extremadamente raro, el pronóstico en si del MPMB es excelente.8

Los diagnósticos diferenciales benignos incluyen linfangioma quístico del retroperitoneo, forma quística de endosalpingiosis, endometriosis, quistes de Müller, tumores adenomatoides quísticos; las lesiones malignas incluyen mesotelioma maligno, tumores serosos que afectan al peritoneo y carcinomas de células claras de ovario. De los cuales la diferencia radica en la histología e inmunohistoquímica.9

No existe un consenso claro sobre el abordaje terapéutico en esta patología, en pacientes asintomáticas es posible el manejo conservador, por la baja tasa de malignización, la ausencia de infiltración a otros órganos y que aun con cirugía la tasa de recurrencia es de 50 a 60%.1

La cirugía es la opción definitiva para el diagnóstico y tratamiento, la laparoscopía es el abordaje de elección, se busca la resección completa de los quistes visibles; siendo posible la asociación con un tratamiento adyuvante como la peritonectomía y tratamiento citorreductor (HIPEC) para eliminar la evidencia de enfermedad microscópica, logrando periodos libres de recurrencia a 10 años hasta en 79% de los pacientes. Al tratarse de una patología que se presenta principalmente en mujeres en edad reproductiva, es importante evitar las estrategias agresivas que puedan tener repercusión en la fertilidad.1,7,10 La terapia hormonal con agonistas de la hormona liberadora de gonadotropina y agentes antiestrogénicos, como el tamoxifeno, son útiles para el tratamiento y la prevención de las recidivas debido a la asociación con receptores hormonales para estrógenos y progesterona en algunos tumores.9

Debido a la alta tasa de recurrencia, es necesario el seguimiento estrecho, algunos autores sugieren que la TC se debe realizar cada tres meses durante el primer año después de la resección y luego cada cinco años.1,2

En el caso reportado, la paciente no presentaba ningún factor de riesgo, (recordando que hasta en 30% de los pacientes no existen antecedentes de importancia);3 el cuadro clínico fue inespecífico, de más de un mes de evolución, con paraclínicos no concluyentes, reportando únicamente líquido libre en cavidad motivo por el cual se realizó laparoscopía con los hallazgos mencionados, realizando su extracción total. El diagnóstico de MPMB no fue evocado en ese momento siendo hasta el estudio histológico e inmunohistoquímico que se comprobó el pronóstico; sin embargo, la decisión de no emplear terapia adyuvante fue debido a la edad de la paciente, la condición adecuada de sus órganos pélvicos y a la resección completa de los quistes.

Se continuará con vigilancia estrecha los primeros cinco años, con ultrasonido cada tres meses, seis meses resonancia magnética y así cada año, para evitar la radiación tomográfica de la paciente, y obtener mayor sensibilidad diagnóstica.



CONCLUSIóN

Nuestro caso fue un hallazgo en la laparoscopía y posterior confirmación con inmunohistoquímica; probablemente existen más casos como este no diagnosticados y sólo reportados como quistes peritoneales; quedando claro que son lesiones no neoplásicas, por lo que ha ido cambiando su término más apropiado a quiste de inclusión peritoneal, aunque en la literatura se sigan mencionando como quistes mesoteliales peritoneales vs mesoteliomas multiquísticos benignos. Se trata de una patología muy controvertida, con alta recurrencia; como en su tratamiento no existe un algoritmo estándar, debe individualizarse cada caso, en especial en mujeres jóvenes para evitar terapias agresivas innecesarias.


REFERENCIAS (EN ESTE ARTÍCULO)

  1. Amine S, Yacine O, Souhaib A, Yasmine J, Amine M, Kacem M. Surgical management of a benign multicystic peritoneal mesothelioma: a case report. Int J Surg Case Rep. 2023; 107: 108308. doi: 10.1016/j.ijscr.2023.108308.

  2. Chand MT, Edens J, Lin T, Anderson I, Berri R. Benign multicystic peritoneal mesothelioma: literature review and update. Autops Case Rep. 2020; 10: e2020159.

  3. Rapisarda AMC, Cianci A, Caruso S, Vitale SG, Valenti G, Piombino E, Cianci S. Benign multicystic mesothelioma and peritoneal inclusion cysts: are they the same clinical and histopathological entities? A systematic review to find an evidence-based management. Arch Gynecol Obstet. 2018; 297: 1353-1375.

  4. García-Mayor Fernández RL, Fernández-González M, López-Rodríguez A, Martínez-Almeida Fernández R. Mesotelioma multiquístico peritoneal benigno recidivante: abordaje de esta entidad tan poco frecuente [Recurrent benign multicystic peritoneal mesothelioma: approach to this rare condition]. Cir Cir. 2016; 84: 499-502. Spanish. doi: 10.1016/j.circir.2015.08.013

  5. Takemoto S, Kawano R, Honda K, Nakazono A, Shimamatsu K. Benign multicystic peritoneal mesothelioma mimicking recurrence of an ovarian borderline tumor: a case report. J Med Case Rep. 2012;6:126. doi: 10.1186/1752-1947-6-126.

  6. Khurram MS, Shaikh H, Khan U, Edens J, Ibrar W, Hamza A, Zaka A, Bano R, Hadid T. Benign multicystic peritoneal mesothelioma: a rare condition in an uncommon gender. Case Rep Pathol. 2017; 2017: 9752908. doi: 10.1155/2017/9752908.

  7. Padmanabhan N, Ishibashi H, Nishihara K, Sako S, Katayama K, Wakama S, Kamada Y, Yonemura Y. Multicystic peritoneal mesothelioma treated with complete cytoreductive surgery, peritonectomy and hyperthermic intra-peritoneal chemotherapy-a case report. Int J Surg Case Rep. 2020; 74: 152-157. doi: 10.1016/j.ijscr.2020.07.074.

  8. Alvir I, Bevanda B, Danolic D, Mamic I, Kostic L, Starcevic-Bozovic A, Puljiz M. Benign multicystic peritoneal mesothelioma mimicking gynecologic pathology. Acta Clin Croat. 2021; 60: 323-325. doi: 10.20471/acc.2021.60.02.22.

  9. Butnor KJ. My approach to the diagnosis of mesothelial lesions. J Clin Pathol. 2006; 59: 564-574. doi: 10.1136/jcp.2005.029652.

  10. Kindler HL. Peritoneal mesothelioma: the site of origin matters. Am Soc Clin Oncol Educ Book. 2013: 182-188. doi: 10.14694/EdBook_AM.2013.33.182.



AFILIACIONES

1 Cirugía General. Hospital General de Zona No. 51, IMSS, Durango México. Sanatorio Español de Torreón Coahuila. Facultad de Medicina Universidad Autónoma de Durango. ORCID: 0009-0004-7606-8113

2 Cirugía General. Fellow American College of Surgeons. Sanatorio Español de Torreón Coahuila. Clínica de Medicina Familiar del ISSSTE, Torreón Coahuila. ORCID: 0009-0002-4064-4700

3 Cirugía General. Hospital General Universitario de Torreón "Dr. Joaquín del Valle Sánchez". ORCID: 0009-0009-9910-1904

4 Cirugía General. Hospital General Universitario de Torreón "Dr. Joaquín del Valle Sánchez". ORCID: 0009-0002-8539-0820

5 Patología Clínica. Departamento de Patología Laguna, Torreón Coahuila. ORCID: 0009-0004-2964-9900

6 Ginecología y Obstetricia. Sanatorio Español de Torreón Coahuila.

7 Anestesiología. Sanatorio Español de Torreón Coahuila..



CORRESPONDENCIA

Guillermo Daniel Almaraz-Celis. E-mail: drdaniel_cirugia@outlook.com




Recibido: 15/04/2024. Aceptado: 29/09/2024.

Figura 1
Figura 2
Figura 3
Figura 4
Figura 5
Figura 6

2020     |     www.medigraphic.com

Mi perfil

C?MO CITAR (Vancouver)

Rev Mex Cir Endoscop. 2024;25

ARTíCULOS SIMILARES

CARGANDO ...