medigraphic.com
ENGLISH

Acta Ortopédica Mexicana

ISSN 2992-8036 (Digital)
ISSN 2306-4102 (Impreso)
Órgano Oficial del Colegio Mexicano de Ortopedia y Traumatología
  • Mostrar índice
  • Números disponibles
  • Información
    • Información general        
    • Directorio
  • Publicar
    • Instrucciones para autores        
  • medigraphic.com
    • Inicio
    • Índice de revistas            
    • Registro / Acceso
  • Mi perfil

2025, Número 1

<< Anterior Siguiente >>

Acta Ortop Mex 2025; 39 (1)


Desgarro de la banda iliotibial proximal: informe de un caso en un jugador de fútbol aficionado

Takahashi, VS1,2; Segatt, PH1,3; Pires, DA4; Duarte, ML1,5
Texto completo Cómo citar este artículo 10.35366/118852

DOI

DOI: 10.35366/118852
URL: https://dx.doi.org/10.35366/118852
Artículos similares

Idioma: Español
Referencias bibliográficas: 5
Paginas: 44-46
Archivo PDF: 311.33 Kb.


PALABRAS CLAVE

resonancia magnética, banda iliotibial, fútbol americano, medicina deportiva.

RESUMEN

La banda iliotibial se origina en la cresta ilíaca y la cápsula de la articulación de la cadera, extendiéndose a lo largo de toda la superficie lateral hasta insertarse en el tuberculum anterolateralis tibiae en la tibia anterolateral. Actúa como agonista del ligamento cruzado anterior. En resumen, la banda iliotibial contribuye principalmente a la estabilización lateral de la articulación de la rodilla. Una de las principales causas de rotura de la banda iliotibial son las lesiones relacionadas con el deporte. El desgarro aislado de la banda iliotibial es raro debido al requisito específico de estrés puro en varo para que ocurra, que implica una combinación de flexión de la articulación de la rodilla con rotación interna. El diagnóstico de esta afección es un desafío debido a su rareza y difícil sospecha clínica. Presentamos un caso de paciente masculino de 51 años, jugador de fútbol amateur, con desgarro de banda iliotibial proximal. Se discuten la presentación clínica, los hallazgos radiológicos y de resonancia magnética, el tratamiento y el regreso al juego.



INTRODUCCIóN

Los músculos de las nalgas y los muslos están envueltos por la fascia y la aponeurosis, lo que permite a las personas estabilizarse en la posición ortostática.1 En cuanto a los muslos, están encerrados por la fascia lata, que incluye una región engrosada conocida como banda iliotibial o cintilla iliotibial. Esta banda se origina desde la cresta ilíaca y la cápsula de la articulación de la cadera, extendiéndose a lo largo de toda la superficie lateral, hasta que se inserta en el tubérculo anterolateral de la tibia en la tibia anterolateral.1 Actúa como agonista del ligamento cruzado anterior.2 En resumen, la banda iliotibial contribuye principalmente a la estabilización lateral de la articulación de la rodilla.3

Patológicamente, los trastornos de la banda iliotibial son raros y difíciles de diagnosticar, comúnmente como resultado de prácticas deportivas de alto impacto, caídas, uso repetitivo de músculos y lesiones degenerativas.1 El grado de afectación varía en términos de tensión muscular y tendinosa, lo que puede o no causar daño estructural, lo cual puede conducir a un desgarro completo de la banda iliotibial.4 Este tipo de lesión generalmente se presenta con edema, diversos grados de dolor y la presencia de un ruido de clic que precede al desgarro.1 La resonancia magnética es el método principal para obtener imágenes de esta afección.4

Este artículo tiene como objetivo informar sobre un caso de desgarro de la banda iliotibial en un hombre durante un partido de fútbol. Se discute la presentación clínica, los hallazgos radiográficos y de resonancia magnética, el tratamiento y el regreso al juego.



CASO CLíNICO

Un hombre de 51 años presentó dolor en la cadera derecha que persistió durante una semana. Informó haber experimentado un repentino "estallido" en el costado de la cadera mientras jugaba al fútbol, lo que le provocó una caída durante una carrera. Anteriormente había notado una leve incomodidad en la misma región hace tres meses mientras jugaba al fútbol, que había empeorado gradualmente con el tiempo. Tuvo dificultades para dormir sobre su lado derecho y se quejó de una sensación de chasquido. Aunque inicialmente experimentó algo de alivio después del partido, sus síntomas persistieron hasta que se sometió a un examen de resonancia magnética, durante el cual continuó experimentando dolor al mover la cadera, incluyendo subir escaleras y levantarse de una silla.

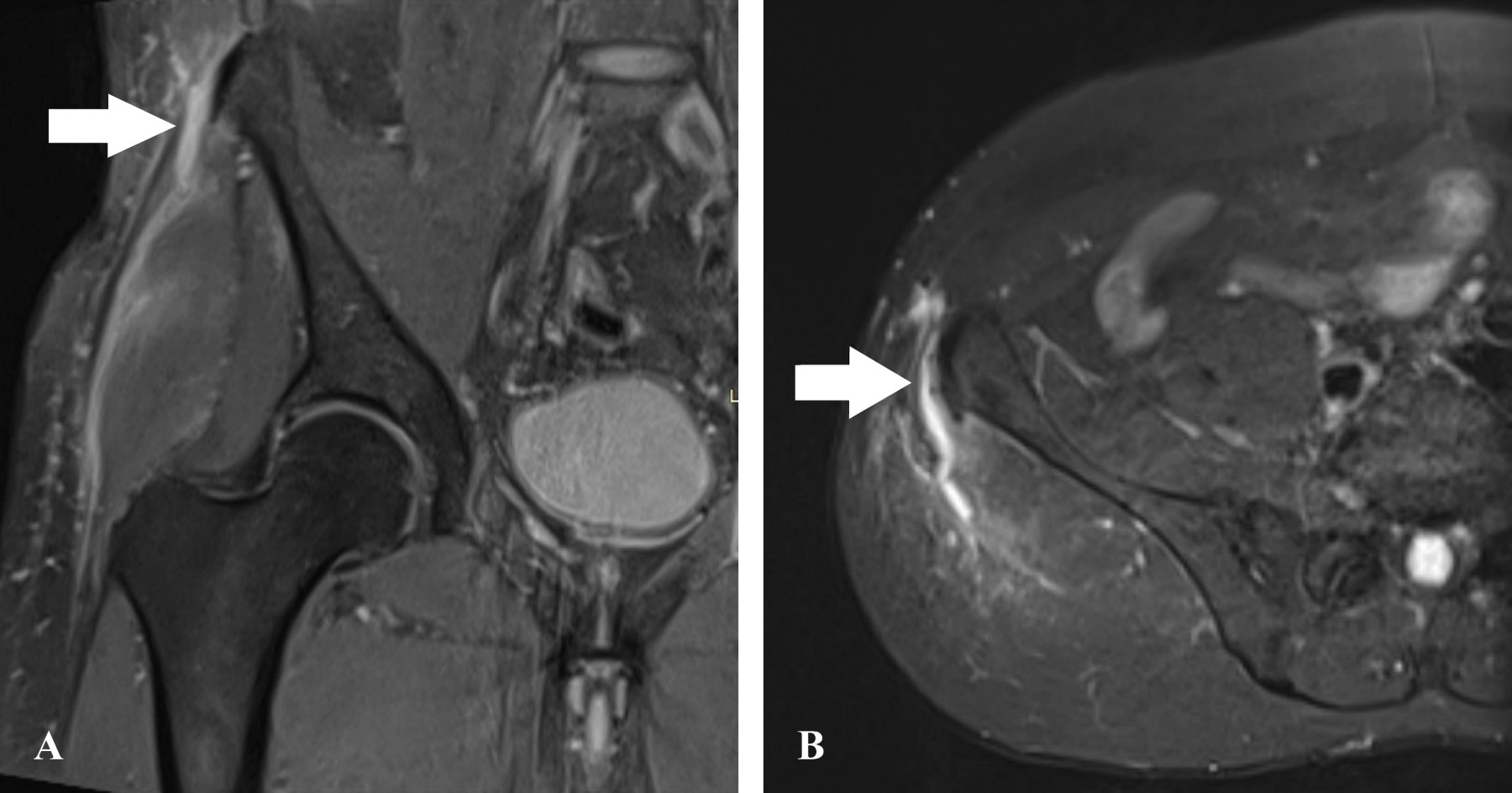
El paciente se había sometido a cirugías por un desgarro del ligamento cruzado anterior en la rodilla derecha hace 27 años y por un desgarro del menisco medial en la rodilla izquierda hace 19 años. Al examen físico, se observó edema leve en la región lateral de la cadera, sin hematomas. Las pruebas de fuerza revelaron dolor en la cadera derecha y disminución de la fuerza en comparación con la cadera izquierda. Los resultados de la resonancia magnética confirmaron un desgarro completo de la inserción proximal de la banda iliotibial (Figura 1).

El paciente fue tratado de forma conservadora con medicamentos analgésicos, específicamente antiinflamatorios no esteroideos (nimesulida) y se le aconsejó descansar. El paciente no se sometió a la fisioterapia recomendada. Cinco meses después, regresó a las actividades deportivas semanales sin experimentar ningún dolor ni limitaciones en el movimiento.



DISCUSIóN

Una de las principales causas del desgarro de la banda iliotibial son las lesiones relacionadas con el deporte.5 De manera similar, Casmus y colaboradores (2017) informaron un caso de desgarro de la banda iliotibial asociado con dislocación autorreductora de la rodilla y desgarros de ligamentos múltiples en un atleta de fútbol después de la hiperextensión de la rodilla durante un partido.3

El desgarro aislado de la banda iliotibial es raro debido al requisito específico de estrés varo puro para su aparición, que implica una combinación de flexión de la articulación de la rodilla con rotación interna. Sin embargo, esta patología ocurre comúnmente junto con lesiones multiligamentosas debido a la relación sinérgica de la banda con los ligamentos cruzados anterior y lateral, así como con las estructuras del ligamento posterolateral.3 En el caso descrito, no hubo tales lesiones, aunque el paciente se había sometido previamente a cirugía por lesión del ligamento cruzado anterior.

Diagnosticar esta afección es un desafío debido a su rareza y difícil sospecha clínica. Por lo tanto, es crucial considerar los antecedentes de traumatismo del paciente junto con un examen físico exhaustivo.4 Aunque este último puede presentar hallazgos inespecíficos, los pacientes pueden quejarse de sensibilidad focal durante la palpación directa de la cara lateral del muslo.1

Las pruebas de imagen, en particular la resonancia magnética, son esenciales para el diagnóstico, ya que la radiografía y la tomografía computarizada pueden mostrar cambios sutiles o dar resultados negativos. La resonancia magnética permite visualizar los desgarros de la banda iliotibial y sus extensiones, ya sea en sus inserciones ilíacas o a nivel del trocánter mayor. Además, la resonancia magnética puede revelar áreas hinchadas, acumulación de líquido y discontinuidad de las partes afectadas.1

Las características observadas en las pruebas de imagen pueden variar dependiendo del mecanismo de la lesión. En los atletas, el uso excesivo puede provocar edema en la inserción, engrosamiento de las uniones proximales y desgarros parciales. Las lesiones degenerativas o inducidas por traumatismos pueden presentar características similares en la resonancia magnética, incluidos desgarros de la banda iliotibial y sus inserciones, acumulación localizada de líquido, discontinuidad y edema en los músculos glúteos adyacentes. Las lesiones inflamatorias pueden provocar desgarros de los tendones de los glúteos, atrofia grasa de los vientres musculares y edema.1

Las opciones de tratamiento incluyen enfoques quirúrgicos y no quirúrgicos. El tratamiento no quirúrgico, como lo describen Patel y Helm (2016), puede implicar inyecciones de corticosteroides junto con fisioterapia enfocada en estirar y fortalecer los músculos del muslo. La intervención quirúrgica tiene como objetivo restaurar la banda iliotibial proximal y el tensor de la fascia lata.4 Aunque es raro, esta lesión, cuando se trata adecuadamente, tiene un buen pronóstico con el retorno a las actividades habituales.



CONCLUSIONES

Aunque rara vez se documenta, un desgarro completo de la banda iliotibial debe considerarse como una posible sospecha en los deportistas que presentan edema inespecífico, dolor e informes de escuchar un sonido de estallido durante la actividad. Para un diagnóstico definitivo, el uso de la resonancia magnética es esencial. Las opciones de tratamiento incluyen un tratamiento conservador o una intervención quirúrgica.


REFERENCIAS (EN ESTE ARTÍCULO)

  1. Huang BK, Campos JC, Michael-Peschka PG, Pretterklieber ML, Skaf AY, Chung CB, et al. Injury of the gluteal aponeurotic fascia and proximal iliotibial band: anatomy, pathologic conditions, and MR imaging. Radiographics. 2013; 33(5): 1437-1452.

  2. Pandit SR, Solomon DJ, Gross DJ, Golijanin P, Provencher MT. Isolated iliotibial band rupture after corticosteroid injection as a cause of subjective instability and knee pain in a military special warfare trainee. Mil Med. 2014; 179(4): e469-e472.

  3. Casmus RJ, Paider B, Messick B, Guy JA. Iliotibial band rupture associated with an acute knee dislocation in a collegiate football player. Athl Train Sports Health Care. 2017; 9(5): 233-237.

  4. Vaughan W, Anderson CN. Suture anchor repair of a combined tear of the proximal iliotibial band and tensor fascia lata. Arthrosc Tech. 2022; 11(2): e103-e107.

  5. Asinger DA, el-Khoury GY. Tensor fascia lata muscle tear: evaluation by MRI. Iowa Orthop J. 1998; 18: 146-149.



AFILIACIONES

1 Universidade de Ribeirao Preto Campus Guarujá. Guarujá (SP), Brazil.

2 ORCID: 0000-0003-0330-6681

3 ORCID: 0000-0002-9263-7003

4 Beneficencia Portuguesa de Santos. Santos, (SP), Brasil. ORCID: 0000-0001-6339-5263

5 ORCID: 0000-0002-7874-9332



Conflicto de intereses: los autores declaran no tener ningún conflicto de intereses con respecto al presente estudio.

Consentimiento del paciente: Se ha tomado un consentimiento completo y detallado del paciente/tutor. La identidad del paciente ha sido adecuadamente anonimizada. Si se muestra algo relacionado con la identidad del paciente, se ha obtenido el consentimiento adecuado del paciente/pariente/tutor. La revista no será responsable de ningún problema médico-legal que surja de problemas relacionados con la identidad del paciente o cualquier otro problema que surja de la exhibición pública del video.

Consideraciones y responsabilidad ética: este estudio se consideró exento de revisión institucional formal.



CORRESPONDENCIA

Dr. Marcio Luís Duarte. E-mail: marcioluisduarte@gmail.com




Recibido: 09-03-2024. Aceptado: 06-04-2024.

Figura 1

2020     |     www.medigraphic.com

Mi perfil

C?MO CITAR (Vancouver)

Acta Ortop Mex. 2025 Ene-Feb;39

ARTíCULOS SIMILARES

CARGANDO ...