medigraphic.com
ENGLISH

Acta Ortopédica Mexicana

ISSN 2992-8036 (Digital)
ISSN 2306-4102 (Impreso)
Órgano Oficial del Colegio Mexicano de Ortopedia y Traumatología
  • Mostrar índice
  • Números disponibles
  • Información
    • Información general        
    • Directorio
  • Publicar
    • Instrucciones para autores        
  • medigraphic.com
    • Inicio
    • Índice de revistas            
    • Registro / Acceso
  • Mi perfil

2025, Número 1

<< Anterior Siguiente >>

Acta Ortop Mex 2025; 39 (1)


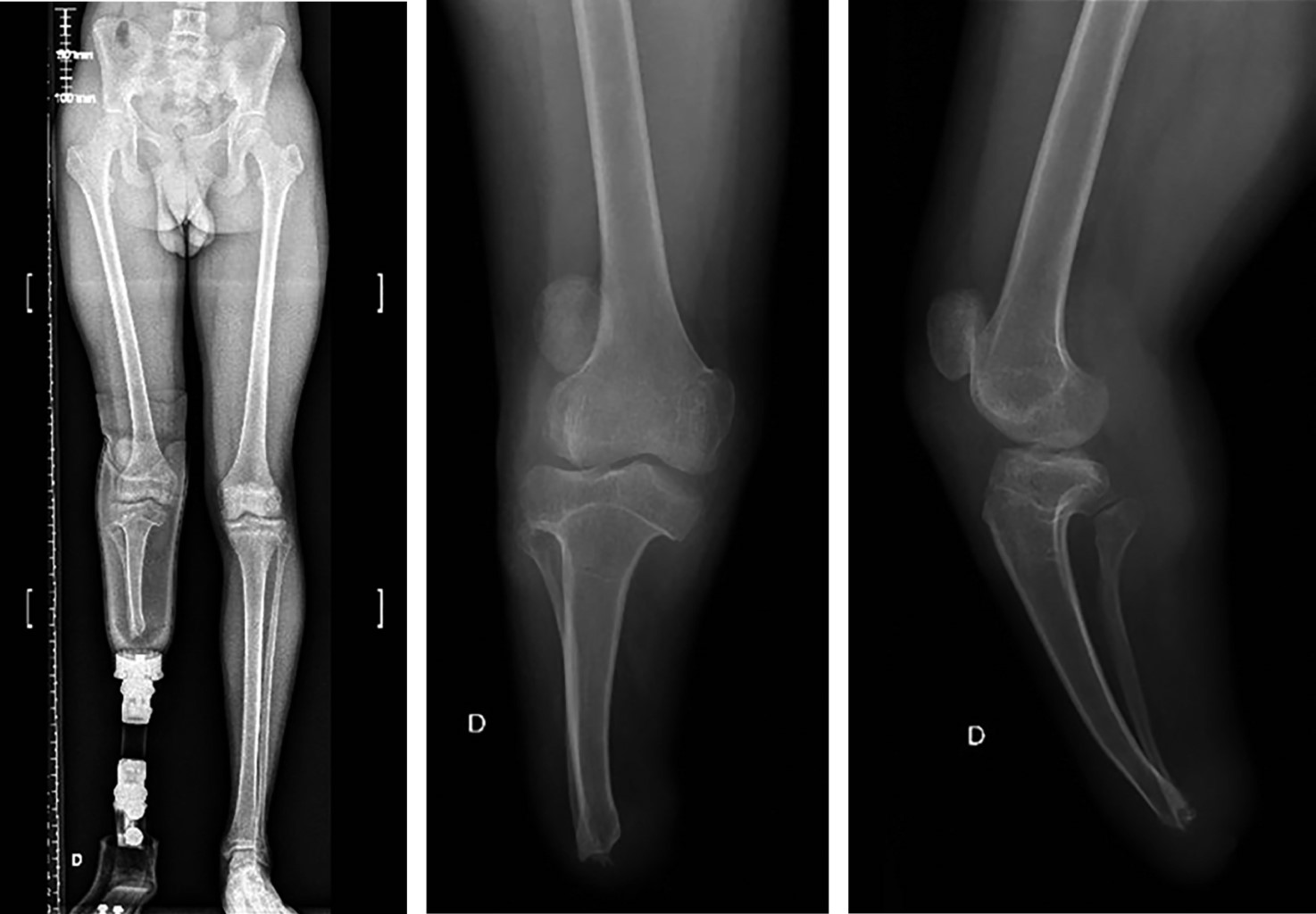
Realineación distal y reconstrucción del complejo patelofemoral medial para la corrección de la inestabilidad patelofemoral en un paciente con amputación transtibial

Masquijo J, Yunes J, Angeli L
Texto completo Cómo citar este artículo 10.35366/118853

DOI

DOI: 10.35366/118853
URL: https://dx.doi.org/10.35366/118853
Artículos similares

Idioma: Ingles.
Referencias bibliográficas: 10
Paginas: 47-51
Archivo PDF: 349.73 Kb.


PALABRAS CLAVE

inestabilidad patelofemoral, amputación transtibial, adolescente, complejo patelofemoral medial.

RESUMEN

La inestabilidad patelofemoral es una condición multifactorial que abarca un espectro de manifestaciones que van desde subluxaciones hasta luxaciones completas de la rótula. Desde el punto de vista etiológico, puede originarse a partir de diversas anomalías anatómicas, incluyendo la alineación de las extremidades, la morfología ósea de la articulación patelofemoral y la integridad de los estabilizadores estáticos y dinámicos. Los pacientes con amputación por debajo de la rodilla tienen un mayor riesgo de experimentar inestabilidad patelofemoral. Este informe describe un caso que involucra a un paciente con inestabilidad patelofemoral y una amputación transtibial, tratado de manera efectiva con realineación distal y estabilización patelar lograda mediante la reconstrucción del complejo patelofemoral medial (CPFM).


REFERENCIAS (EN ESTE ARTÍCULO)

  1. Colvin AC, West RV. Patellar instability. J Bone Joint Surg Am. 2008; 90(12): 2751-62.

  2. Feller JA, Amis AA, Andrish JT, Arendt EA, Erasmus PJ, Powers CM. Surgical biomechanics of the patellofemoral joint. Arthroscopy. 2007; 23(5): 542-53.

  3. Narbona P, Masquijo JJ, Barclay F. Anatomía del ligamento patelofemoral medial (LPFM). Asociación Argentina de Artroscopia. 2012; 19(3): 123-7.

  4. McIvor JB, Gillespie R. Patellar instability in juvenile amputees. J Pediatr Orthop. 1987; 7(5): 553-6. doi: 10.1097/01241398-198709000-00010.

  5. Mowery CA, Herring JA, Jackson D. Dislocated patella associated with below-knee amputation in adolescent patients. J Pediatr Orthop. 1986; 6(3): 299-301. doi: 10.1097/01241398-198605000-00007.

  6. El-Tawil S, Elfons Tawafig M, Miles J. Medial patellofemoral ligament reconstruction in a below-knee amputee. Case Rep Orthop. 2015; 2015: 429463.

  7. Salzmann GM, Dovi-Akue D, Wätzig K, Südkamp NP, Niemeyer P. Does form follow function in trochlear dysplasia? Case report of patellar instability in a below-knee amputee. Int J Surg Case Rep. 2014; 5(2): 91-4.

  8. Nomura E, Inoue M. Surgical technique and rationale for medial patellofemoral ligament reconstruction for recurrent patellar dislocation. Arthroscopy. 2003; 19(5): E47.

  9. Schoettle PB, Zanetti M, Seifert B, Pfirrmann CW, Fucentese SF, Romero J. The tibial tuberosity-trochlear groove distance; a comparative study between CT and MRI scanning. Knee. 2006; 13(1): 26-31.

  10. Liu JN, Brady JM, Kalbian IL, Strickland SM, Ryan CB, Nguyen JT, Shubin Stein BE. Clinical outcomes after isolated medial patellofemoral ligament reconstruction for patellar instability among patients with trochlear dysplasia. Am J Sports Med. 2018; 46(4): 883-9. doi: 10.1177/0363546517745625.




Figura 1
Figura 2
Figura 3
Figura 4
Figura 5

2020     |     www.medigraphic.com

Mi perfil

C?MO CITAR (Vancouver)

Acta Ortop Mex. 2025 Ene-Feb;39

ARTíCULOS SIMILARES

CARGANDO ...