medigraphic.com
ENGLISH

Cirujano General

ISSN 2594-1518 (Digital)
ISSN 1405-0099 (Impreso)
  • Mostrar índice
  • Números disponibles
  • Información
    • Información general        
    • Directorio
  • Publicar
    • Instrucciones para autores        
    • Envío de artículos
  • medigraphic.com
    • Inicio
    • Índice de revistas            
    • Registro / Acceso
  • Mi perfil

2024, Número 4

<< Anterior Siguiente >>

Cir Gen 2024; 46 (4)


Leiomiosarcoma de vena cava inferior, un sarcoma retroperitoneal poco común

Myers Esmenjaud, Jorge Andrés1,2; Alfeiran Ruiz, Antonio1,3; Montes de Oca Orellana, René1,4; Hernández Peña, Roberto1,4; López Ortiz, Armando1,5; Torres Ojeda, Alan Adolfo6; Sevilla Santoyo, Mizael Orlando1,2; Raphael Garza, María José1,2
Texto completo Cómo citar este artículo 10.35366/118864

DOI

DOI: 10.35366/118864
URL: https://dx.doi.org/10.35366/118864
Artículos similares

Idioma: Español
Referencias bibliográficas: 11
Paginas: 248-252
Archivo PDF: 369.92 Kb.


PALABRAS CLAVE

sarcoma, vena cava inferior, sarcoma retroperitoneal, leiomiosarcoma.

RESUMEN

Los sarcomas son tumores malignos que derivan del tejido conectivo, pueden localizarse en diferentes sitios como retroperitoneo y las extremidades. Los leiomiosarcomas retroperitoneales son tumores raros, representan sólo 0.5% de los tumores de tejidos blandos en el adulto; pueden originarse de la túnica media de la vena cava inferior, se pueden presentar como masas unilaterales y ser dolorosas pudiendo comprimir o invadir estructuras adyacentes. El método de diagnóstico ideal es la tomografía computarizada con contraste intravenoso. Presentamos el caso de una paciente de 35 años con dolor en espalda baja, cadera y extremidades inferiores y en la que posteriormente se identificó un tumor paravertebral, fue sometida a resección quirúrgica.



INTRODUCCIóN

Los sarcomas son tumores de origen maligno que derivan de los tejidos conectivos, representan hasta el 1% de todos los tumores malignos y éstos pueden localizarse en diferentes sitios anatómicos como lo son el retroperitoneo, las extremidades y en cabeza y cuello. Los leiomiosarcomas retroperitoneales por lo general surgen de la vena cava inferior o cualquiera de sus afluentes y tiene una incidencia de aproximadamente 6%.1 Clínicamente se pueden presentar como masas unilaterales o bilaterales que pueden ser dolorosas o no y que pueden comprimir o invadir estructuras adyacentes y causar signos y síntomas derivado de ello. Es por esto que el seguimiento después de la resección completa de un leiomiosarcoma de abdomen o retroperitoneo debe incluir imágenes del tórax, así como del abdomen y la pelvis, ya que las recurrencias y las metástasis son frecuentes. Las tasas de supervivencia específicas de la enfermedad a cinco años oscilan entre el 20 y 69%. El factor predictivo más importante para la supervivencia es la resecabilidad del tumor. Existen múltiples alternativas de tratamiento descritas y éstas deben estar determinadas a una evaluación multidisciplinaria de resecabilidad, histología y patrón de recurrencia.2



PRESENTACIóN DEL CASO

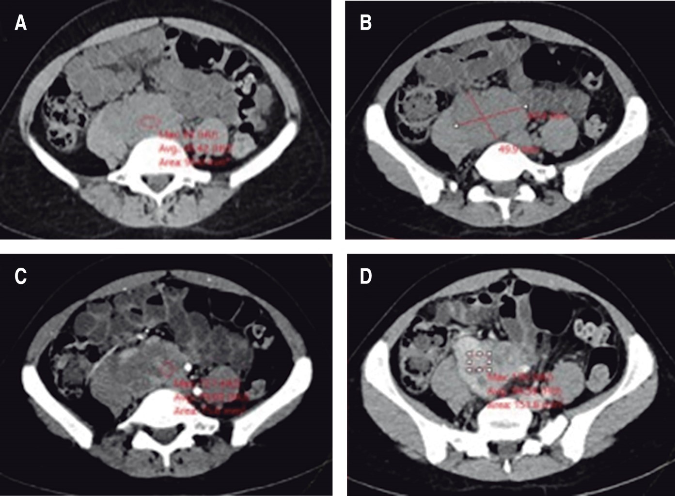
Se trata de paciente femenina de 35 años sin antecedentes personales patológicos de importancia; refiere iniciar su padecimiento actual en junio del 2020 con dolor importante en espalda baja, tolerable sin atenuantes ni agravantes, tratado con manejo conservador presentando mejoría parcial de la sintomatología. Meses después se incrementó la sintomatología, siendo el dolor más intenso y frecuente en el mismo sitio, además de irradiarse hacia ambas caderas y piernas. Acude a consulta para protocolo de estudio. Se solicitaron tomografía axial computarizada de abdomen en fase simple y con contraste endovenoso. Se identificó una lesión ocupante de espacio que se localiza en el retroperitoneo, infrarrenal, por delante y paramedial derecha de los cuerpos vertebrales L4 a S1; es de contornos lobulados, delimitada posterior y hacia la derecha por el músculo psoas y por los cuerpos vertebrales, los cuales se observan íntegros; ocasiona desplazamiento hacia ventral de la vena cava inferior y medial y hacia posterior de la vena iliaca derecha, desplaza hacia la izquierda las arterias iliacas primitivas. Su densidad promedio es de 45 UH en la fase simple y con el contraste endovenoso presenta reforzamiento heterogéneo con incremento del índice de hasta 79 UH en la fase arterial y de hasta 98 UH en la fase venosa y persiste con similares índices en la fase tardía de eliminación. Compromete el tránsito de contraste de la vena iliaca derecha y de la porción proximal de la vena cava inferior, las cuales no se logran distinguir, mientras que la vena iliaca izquierda muestra franco incremento en su diámetros y retorno lento del contraste. La lesión mide 62 mm en transverso, hasta 57 mm en diámetro anteroposterior y 49.9 mm en cefalocaudal (Figuras 1 y 2).

Posteriormente y con base en los resultados de imagen, se concluye el diagnóstico de tumor paravertebral derecho. Se decide su intervención quirúrgica, abordando el abdomen mediante una incisión en línea media hasta llegar al retroperitoneo, previa movilización del colon ascendente, hasta llegar a la parte proximal de la vena iliaca y la vena cava inferior derecha, donde se realizó resección con control hemostático más disección de vena cava inferior e iliaca derecha e izquierda. Se dejó un drenaje tipo Jackson-Pratt a lecho quirúrgico con gasto mínimo seroso. No hubo ninguna complicación en el perioperatorio, por lo que se da de alta y se retira drenaje dos días después sin eventualidades. En el seguimiento postquirúrgico en consulta externa con tomografía computarizada sin evidencia de recidiva o depósitos metastásicos.

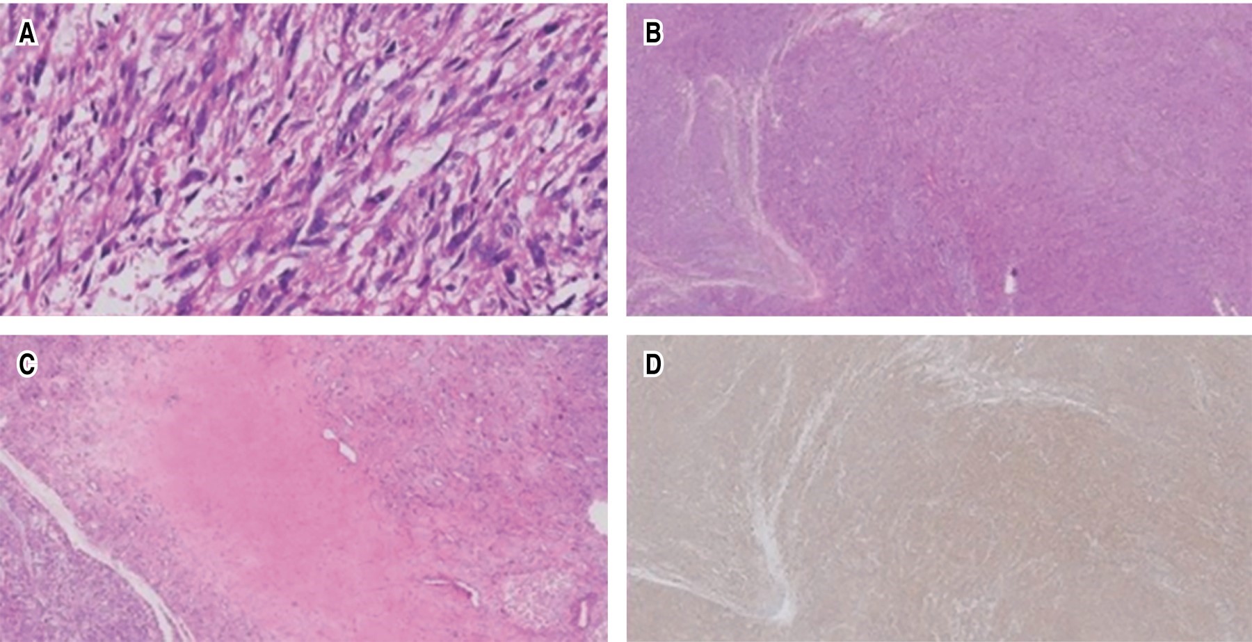
Histológicamente se reporta tejido que pesa 136 g, y en su totalidad mide 8.5 × 8 × 6 cm. Superficie lisa, multinodular, color café claro, con áreas hemorrágicas y congestivas. Al corte, de consistencia renitente, color blanquecino, de aspecto fibroso, y áreas hemorrágicas (Figura 3). Microscópicamente se observa una lesión de músculo liso difusa, con patrón de crecimiento fascicular de aspecto sarcomatoide. Las células neoplásicas son fusiformes con citoplasma fibrilar y eosinofílico. Atipia nuclear marcada, con algunos núcleos de forma alargada. La actividad mitótica es prominente y atípica. Se identifica necrosis focal y difusa. En el estudio inmunohistoquímica es positivo para actina de músculo liso, calponina y H-caldesmon en 100% del citoplasma de las células neoplásicas, con un KI-67 nuclear positivo en 40% de las células neoplásicas (Figura 4).



DISCUSIóN

El leiomiosarcoma de vena cava inferior es un tumor retroperitoneal raro, de origen mesenquimal desarrollado a partir de las fibras musculares lisas de la túnica media.

Representa 0.5% de todos los sarcomas de tejidos blandos del adulto y 15% de los tumores retroperitoneales. El primer caso fue reportado por Perl en 1871, desde entonces existen en la literatura internacional reportes de menos de 400 casos. Su presentación es más frecuente en mujeres, la tasa mujer/hombre es aproximadamente 4:1, y principalmente ocurre entre la quinta y sexta décadas de la vida.3

Son tumores localmente agresivos, pero de crecimiento lento, inicialmente confinado a la pared del vaso o crecimiento mural, seguido de invasión a estructuras vecinas o crecimiento extra luminal, y en forma de trombo tumoral o crecimiento intraluminal. Existen múltiples clasificaciones para los leiomiosarcomas de vena cava inferior; sin embargo, la clasificación más utilizada es la propuesta por Kulaylat, la cual está basada en su localización dividida en segmentos anatómicos. El segmento I o inferior, se localiza entre la bifurcación de las venas iliacas y por debajo de las venas renales, corresponde al 36% de los casos. El segmento II o medio, entre las venas hepáticas y las venas renales, involucra al 44% de los casos y es la localización con el mejor pronóstico. Finalmente, el segmento III o segmento superior, abarca desde las venas hepáticas hasta la aurícula derecha, corresponde al 20% de los casos. Segmento I (bajo): está por debajo de las venas renales, se presenta en el 36% y representa un gran reto al momento de la resección y reconstrucción quirúrgica.4,5

La tomografía computarizada con contraste intravenoso es el estándar de oro de diagnóstico radiológico por su capacidad en la identificación de la localización, origen y afectación de estructuras vecinas. Además de que es utilizada para la obtención de biopsias guiadas para el diagnóstico histopatológico de la lesión previo a su manejo quirúrgico. Sin embargo, la resonancia magnética tiene mayor precisión por su resolución superior en relación a tejidos blandos. En general, los hallazgos radiológicos identificados son: dilatación de la vena cana inferior, tumor intra o extra luminal heterogéneo asociado a áreas de necrosis y abundante circulación colateral alrededor de la lesión por su lento crecimiento.6

La resección completa con bordes macroscópicos libres de enfermedad es el único tratamiento que ha demostrado beneficios reales al aumentar la supervivencia. En el manejo quirúrgico de los sarcomas de tejidos blandos, es necesario un margen libre de tumor de 1 cm, por lo que se considera este límite igualmente para los leiomiosarcomas. La proximidad del tumor con múltiples órganos puede demandar una resección en bloque multiorgánica incluyendo estructuras anatómicas como la aorta, riñones, glándulas suprarrenales, hígado y colon. Es por ello que el tipo de resección y especialmente el tipo de reconstrucción vascular, difiere dependiendo del segmento donde se localiza el tumor, de la extensión de éste y del involucro de estructuras adyacentes.7

En el manejo de los tumores localizados en el segmento inferior o segmento I, como el de nuestro paciente, se prefiere la ligadura simple de la vena cava inferior (VCI) cuando ésta sea factible, por encima de la reconstrucción. Ésta puede ser realizada cuando la VCI ha sido ocluida por el tumor en más de 75% y de forma crónica por el desarrollo de extensa circulación colateral. Si no involucra las iliacas externas e internas el retorno venoso de las extremidades inferiores es asegurado por la iliaca interna y anastomosis pélvicas. Jiang y colaboradores propusieron guías sobre la ligadura de la VCI y enlistaron los siguientes requerimientos para llevarlo a cabo: la duración de la enfermedad es mayor a un año (suficiente tiempo para que desarrolle la circulación colateral adecuada), obstrucción de mínimo el 75% de la VCI por el tumor, el uso de 20 mg de furosemida de forma preoperatoria provoca un gasto de más de 100 ml de orina durante los 30 minutos posteriores al control vascular de la VCI (transoperatorio). En el caso de que exista involucro del origen de las iliacas interna y externa, se debe resecar la bifurcación y en este caso si se requiere reconstrucción vascular con el fin de asegurar el retorno venoso de las extremidades inferiores. Se recomienda anastomosis término lateral entre las venas iliaca externa e interna o puede llevarse a cabo la reparación con un injerto. El uso de prótesis de PTFE (politetrafluoroetileno) anilladas es la técnica quirúrgica más empleada en la actualidad.7,8

Las tasas de supervivencia de los pacientes con leiomiosarcoma de vena cava inferior tratados mediante resección completa con márgenes libres a cinco años es de 65%, mientras que en aquellos que no se sometieron a resección completa es de 0%. De acuerdo con Hollenbeck y asociados, en una revisión de 25 casos, la tasa de supervivencia a tres años fue de 67% en pacientes con resección completa y de 0% en enfermos con márgenes positivos. En un estudio de 14 casos, reportaron una supervivencia a cinco años de 68% en pacientes con márgenes de resección negativos y supervivencia de 0% en aquellos con márgenes positivos.9 El factor más significativo en la supervivencia son los márgenes quirúrgicos libres de enfermedad. Por otro lado, los factores de riesgo con mayor impacto en la mortalidad son: el compromiso de niveles superiores, el alto grado histológico del tumor, el crecimiento intraluminal del mismo, la presencia de edema de miembros inferiores, la presencia de trombosis de vena cava y el carácter indiferenciado del tumor. En el caso de presentarse recurrencia de la enfermedad o metástasis a distancia, el manejo a considerar es la resección quirúrgica seguida de quimioterapia o radioterapia adyuvante en aquellos pacientes que cuenten con largos periodos libres de enfermedad, enfermedad limitada y cuenten con buenas condiciones generales.10,11



CONCLUSIONES

Los leiomiosarcomas de vena cava inferior representan un reto diagnóstico para el cirujano. En la actualidad, la resección del tumor es la única opción terapéutica y el pronóstico depende del éxito para obtener márgenes libres de enfermedad. Debido a la rareza de estos tumores, el mejor abordaje debe incluir un equipo experimentado en cirugías complejas.


REFERENCIAS (EN ESTE ARTÍCULO)

  1. Romero-Cruz JA, Ruíz-Rodríguez C, Olivares-García JD, Campos-Vázquez D. Manejo multidisciplinario de leiomiosarcoma de vena cava inferior en nivel II: reporte de caso y revisión de la literatura. Rev Mex Angiol. 2022; 50: 72-76.

  2. Bonvalot S, Gaignard E, Stoeckle E, Meeus P, Decanter G, Carrere S, et al. Survival benefit of the surgical management of retroperitoneal sarcoma in a reference center: a nationwide study of the French sarcoma group from the NetSarc database. Ann Surg Oncol. 2019; 26: 2286.2293.

  3. López-Ruiz JA, Tallón-Aguilar L, Marenco-de la Cuadra B, López-Pérez J, Oliva-Mompeán F, Padillo-Ruiz J. Leiomiosarcoma de vena cava inferior. Caso clínico y revisión bibliográfica. Cir Cir. 2017; 85: 361-365.

  4. García M, Messa O, Ríos D, López H, Canedo J. Leiomiosarcoma de la vena cava inferior: reporte de un caso y revisión de la literatura. Rev Colomb Cancerol. 2014; 18: 41-45.

  5. Gaignard E, Bergeat D, Robin F, Corbière L, Rayar M, Meunier B. Inferior Vena Cava leiomyosarcoma: what method of reconstruction for which type of resection? World J Surg. 2020; 44: 3537-3544.

  6. Bednarova I, Frellesen C, Roman A, Vogl TJ. Case 257: leiomyosarcoma of the inferior vena cava. Radiology. 2018; 288: 901-908.

  7. Moreno-H. Ana, Fernández-V. Luz, López-B. José Ángel, Pérez-D. María Dolores. Tratamiento multidisciplinar del leimiosarcoma de vena cava inferior. Rev Cir. 2020; 72: 72-75.

  8. Jiang H, Wang Y-X, Li B, Jiang Y-Y, Miao C-L, Liao D-X, et al. Surgical management of leiomyosarcoma of the inferior vena cava. Vascular. 2015; 23: 329-332.

  9. Teixeira FJR Jr, do Couto Netto SD, Perina AL de F, Torricelli FCM, Ragazzo Teixeira L, Zerati AE, et al. Leiomyosarcoma of the inferior vena cava: survival rate following radical resection. Oncol Lett. 2017; 14: 3909-3916.

  10. Graves A, Longoria J, Graves G, Ianiro C. Leiomyosarcoma of the inferior vena cava: a case report. J Surg Case Rep. 2020; 2020: rjaa479.

  11. Rosenbaum PC, da Silva Boigues AH, Tassone FZ, Martinhao I, de Melo JIF, Netto RORF, et al. A rare case of leiomyosarcoma of the inferior vena cava in a 32-year-old patient. Precis Radiat Oncol. 2021; 5: 115-118.



AFILIACIONES

1 Hospital Ángeles Pedregal. Ciudad de México, México.

2 Médico residente de cuarto año de Cirugía General.

3 Coordinador del Servicio de Oncología.

4 Médico especialista en Cirugía General y Cirugía Oncológica.

5 Médico especialista en Imagenología Diagnóstica y Terapéutica.

6 Médico residente de segundo año de la especialidad en Anatomía Patológica, UNAM. Ciudad de México, México.



CORRESPONDENCIA

Dr. Jorge Andrés Myers Esmenjaud. E-mail: amyers_med@hotmail.com




Recibido: 09/02/2023. Aceptado: 30/09/2024

Figura 1
Figura 2
Figura 3
Figura 4

2020     |     www.medigraphic.com

Mi perfil

C?MO CITAR (Vancouver)

Cir Gen. 2024;46

ARTíCULOS SIMILARES

CARGANDO ...