medigraphic.com
ENGLISH

Cirujano General

ISSN 2594-1518 (Digital)
ISSN 1405-0099 (Impreso)
  • Mostrar índice
  • Números disponibles
  • Información
    • Información general        
    • Directorio
  • Publicar
    • Instrucciones para autores        
    • Envío de artículos
  • medigraphic.com
    • Inicio
    • Índice de revistas            
    • Registro / Acceso
  • Mi perfil

2024, Número 4

<< Anterior Siguiente >>

Cir Gen 2024; 46 (4)


Reparación de diástasis de los rectos abdominales asociada a hernia umbilical con técnica de reparación endoscópica preaponeurótica (REPA)

Rivera Hernández, Jesús Ricardo1; García Félix, Itzel Guadalupe2; Lizcano García, Carlos Alberto3
Texto completo Cómo citar este artículo 10.35366/118866

DOI

DOI: 10.35366/118866
URL: https://dx.doi.org/10.35366/118866
Artículos similares

Idioma: Español
Referencias bibliográficas: 15
Paginas: 257-262
Archivo PDF: 359.33 Kb.


PALABRAS CLAVE

diástasis, hernia umbilical, pared abdominal, procedimiento quirúrgico endoscópico, aponeurosis.

RESUMEN

La diástasis de los rectos abdominales es una entidad clínica frecuente. Se diagnostica cuando existe separación anormal entre los músculos idealmente mayor a 2 cm, siendo frecuente la asociación con hernia umbilical. La reparación de estos defectos es un desafío debido a que no existe un consenso en cuanto que técnica a utilizar, siendo más común mediante abdominoplastía o miniabdominoplastía asociada a incisión periumbilical o abordaje en T invertido. Presentamos el caso de una paciente, dónde se utiliza el abordaje con técnica de reparación endoscópica preaponeurótica de mínima invasión, presentando menores complicaciones y mejores resultados estéticos, de tal modo que, esta técnica puede ser una muy buena opción en este padecimiento.



ABREVIATURAS:

  • DRA = diástasis de los rectos abdominales.
  • REPA = reparación endoscópica pre aponeurótica.
  • TC = tomografía computarizada.



INTRODUCCIóN

La diástasis de los rectos abdominales (DRA) es una entidad clínica frecuente; la población más afectada son mujeres dentro del tercer trimestre de embarazo y puerperio con una prevalencia de 30-70%, y persistiendo en 15% de las pacientes, especialmente en mujeres multíparas.1,2 Suele asociarse a hernias de línea media; de mayor a menor frecuencia: a hernia umbilical, epigástrica e incisional.3

La distancia normal entre los rectos del abdomen a nivel de la apófisis xifoides es de 1.5 cm, en la región supraumbilical de 2.2 cm, y en la infraumbilical de 1.6 cm, variando según el autor o según la edad del paciente.4

La DRA se caracteriza por la separación anormal entre los músculos idealmente mayor a 2 cm.5 Sin embargo, puede ser clínicamente evidente aun si la distancia es menor a 2 cm. Su asociación con hernia umbilical es frecuente, reportada hasta en 45% de los pacientes. Se puede clasificar de acuerdo al grado de separación de los músculos rectos, según Ranney en: leve cuando la diástasis es menor de 3 cm, moderada de 3 a 5 cm y severa en más de 5 cm.6,7

El abordaje diagnóstico es clínico e imagenológico; primero por medio de una anamnesis completa, en la cual el paciente refiere sensación de una masa abdominal superior, generalmente dolorosa, que se puede palpar o no en la exploración física, dependiendo la medida del defecto. Las imágenes son la forma más precisa de diagnosticar para clasificar la DRA y planear el abordaje quirúrgico, por medio de ultrasonido, tomografía computarizada (TC) o resonancia magnética nuclear (RMN), se mide la distancia entre rectos y ancho de la línea alba.8,9

Su reparación más común es mediante abdominoplastía o miniabdominoplastía asociada a incisión periumbilical o abordaje en T invertido;10,11 sin embargo, no existe un consenso en cuanto a qué técnica utilizar para su reparación. Un abordaje endoscópico preaponeurótico nos permite resolver el defecto parietal con la colocación de una prótesis supraaponeurótica de refuerzo, que reducirá la recurrencia aumentando la seguridad plástica, sin entrar en cavidad abdominal, con buenos resultados estéticos y funcionales.12



PRESENTACIóN DEL CASO

Paciente femenino de 51 años, acude a consulta externa de cirugía general el día 20.12.2022, sin antecedentes familiares de importancia, portadora de diabetes de larga evolución en tratamiento, antecedentes quirúrgicos de dos cesáreas en 1997 y 2001, oclusión tubárica bilateral en 2001, liberación de túnel carpiano bilateral en 2019, plastía inguinal derecha con hallazgo de debilidad de fascia transversal derecha y lipoma del cordón en 2022. Niega tabaquismo, etilismo, toxicomanías y alergias u otro antecedente de relevancia.

Inicia padecimiento actual con cinco años de evolución (2018-2022), con dolor abdominal punzante localizado en región epigástrica irradiado a región umbilical, con múltiples tratamientos de analgesia, presentando mejoría clínica parcial. Sin identificar causas atenuantes o desencadenantes. En los últimos seis meses, asociado a aumento de volumen de línea media abdominal tras Valsalva, por lo que es referida a esta unidad de segundo nivel.

A la exploración física, paciente en buen estado general, signos vitales estables con tensión arterial 124/82 mmHg, frecuencia cardiaca 60 latidos por minuto, frecuencia respiratoria 18 respiraciones por minuto, temperatura 36.8 °C, neurológicamente íntegra, consciente, orientada, cooperadora, cardiorrespiratorio sin compromiso aparente. Abdomen que a la inspección presenta aumento de volumen sobre línea media con protrusión de 3 cm hacia exterior, 5 cm de ancho y 10 cm de largo; además, se visualiza aumento de volumen en región umbilical de 1 cm de diámetro (Figura 1).

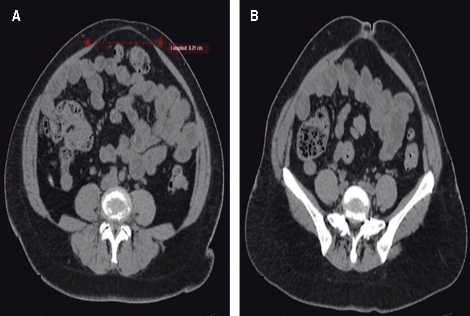
Tras la inspección, se solicita TC de abdomen, la cual se realiza el 03.01.2023, reportando, a nivel supraumbilical, umbilical y justo por debajo de cicatriz umbilical, separación de músculos rectos abdominales de hasta 8.21 cm, fascia abdominal anterior integra, excepto en región umbilical en donde se observa una solución de continuidad de 9.6 mm, con formación de saco herniario de 7.5 × 1.75 mm de contenido epiploico. Se clasifica cómo una diástasis de rectos severa (Figura 2).

Se realiza protocolo quirúrgico completo, laboratorios dentro de parámetros normales, por parte de anestesiología se otorga ASA III por descontrol metabólico y riesgo anestésico E3B. El día 23.02.2023 se decide efectuar reparación endoscópica preaponeurótica (REPA); se realiza plastía umbilical con plicatura de rectos y colocación de malla de polipropileno onlay, sin prehabilitar al paciente antes del procedimiento. Con la paciente bajo anestesia general, previa asepsia y antisepsia de la región, la técnica quirúrgica consistió en incisión suprapúbica de aproximadamente 2 cm; bajo visión directa, se diseca tejido celular subcutáneo a nivel de fascia de Scarpa hacia ambas fosas iliacas y visualizando fascia preaponeurótica. Posteriormente, se coloca trócar de 10 mm y se fija con jareta a piel, bajo visión directa se colocan dos puertos más hacia ambas fosas iliacas de 5 mm (Figura 3).

Se ingresa a región disecada previamente preaponeurótica y se continúa la disección hacia cefálico, abarcando ambos flancos, hipocondrios, mesogastrio y epigastrio a región subxifoidea. Posteriormente se expone aponeurosis, identificando diástasis de hasta 7 cm, así como defecto herniario de 1 cm. Se realiza reparación de defecto herniario con tensión, con sutura quirúrgica absorbible sintética 2-0, así como la plicatura de los rectos con misma sutura. Se coloca malla de polipropileno onlay y fijación con adhesivo. Se corrobora hemostasia, se extraen trócar y puertos bajo visión directa. Cierre de piel y tejido celular subcutáneo con técnica habitual (Figuras 4 y 5).

Durante el acto quirúrgico, la paciente se presenta clínicamente estable; secundario a antecedente de cesáreas previas presentó abundante tejido cicatrizal a nivel infraumbilical sobre línea media. Hallazgo de diástasis de rectos de 7 cm, hernia umbilical de 2 cm, saco herniario de 2 cm. La paciente se mantiene un día en vigilancia con manejo analgésico; después es egresada y continúa su seguimiento por consulta externa. A los dos meses, la paciente se refiere asintomática, a la exploración física no se palpa defecto herniario ni diástasis de rectos, con buenos resultados estéticos (Figura 6).



DISCUSIóN

El origen de la DRA puede ser congénito o adquirido. En el rubro congénito puede ocurrir por una deficiencia de la maduración de la pared abdominal anterior, formando parte o no de una secuencia sindrómica (síndrome de abdomen ciruela pasa, síndrome de Beckwith-Wiedemann, síndrome de Simpson-Golabi-Behmel, entre otros). La DRA secundaria a secuencia no sindrómica suele resolverse tras el crecimiento; en cambio, en la asociada a secuencia sindrómica el tratamiento debe individualizarse por su complejidad.1

La DRA adquirida es secundaria al debilitamiento de los tejidos de la pared abdominal por separación y laxitud de los músculos y fascias de pared abdominal asociada al aumento de presión intraabdominal, como en el caso de la paciente por el embarazo, obesidad y cirugías abdominales previas.6,7,12

Clínicamente, la DRA puede estar asociada a síntomas abdominales, como dolor difuso o disconformidad en línea media abdominal tras la movilización muscular. También puede estar asociado con dolor lumbar, incontinencia urinaria, prolapso rectal y sensación de masa en piso pélvico.12

A la exploración física, con el paciente en decúbito supino, se le solicita su incorporación a la sedestación, siendo evidente una protrusión abdominal fusiforme sobre la línea media. La protrusión de contenido abdominal puede no ocurrir.13

Para el diagnóstico, el simple examen físico es suficiente como ya fue descrito, puede medirse la separación de la línea alba en reposo o durante la maniobra de Valsalva. En caso de pacientes con obesidad puede ser útil el empleo de estudios de imagen, así como para clasificar la DRA y planear la intervención quirúrgica.1,7,9,12

Además, el cirujano se puede apoyar de diferentes sistemas de clasificación que existen para DRA basados en la distancia entre rectos y ubicación del defecto, como la clasificación de Nahas, la clasificación de Rath, la clasificación de Beer, la clasificación de Ranney, entre otras. La primera apunta específicamente a la laxitud del complejo mioaponeurótico estableciendo diferentes grados de deformidad con su tratamiento consecuente. La segunda afirma que la DRA cambia con la edad, y, por lo tanto, la clasificación depende de la edad. La tercera considera normal la distancia de diástasis de rectos en mujeres nulíparas de 2.2 a 3 cm por encima del área umbilical. La cuarta distingue tres tipos de gravedad, leve menor de 3 cm, moderada de 3 a menor o igual a 5 cm y severa mayor a 5 cm.6

El diagnóstico diferencial es contra cualquier proceso herniario de pared abdominal. Mientras que una hernia verdadera se asocia con un defecto fascial, los pacientes con DRA no tienen defecto fascial detectable cuando están en posición supina.6

La DRA no representa una hernia verdadera, su manejo, por lo tanto, puede ser conservador con la disminución de peso y el ejercicio físico. En caso de no resolver de forma conservadora o estar asociado a síntomas o defecto herniario, puede realizarse plicatura de rectos en forma abierta o laparoscópica. El uso de malla representa una forma segura y disminuye las recurrencias respecto a su reparación simple.1,6

Las indicaciones para la reparación laparoscópica total incluyen hernia de línea media umbilical de 2 cm, sin reparación previa de hernia o laparotomía, y sin necesidad de abdominoplastía. La coexistencia de hernia umbilical y su corrección es suficiente con la plicatura de rectos y la cirugía adecuada es la reparación en conjunto.14

La técnica que presentamos, REPA, fue presentada por primera vez en Argentina por Juárez Muas en 2016 y se publicó en España en 2017, indicada para pacientes con diástasis de rectos mayores a 3 cm, y asociado con defecto herniario de la línea media.4,13,15

Dentro de las complicaciones de la técnica se encuentra la presencia de seromas, la cual se previene con el uso de drenajes; hematomas la cual, por vía endoscópica, se minimiza por la hemostasia exhaustiva; y la presencia de hipoestesia que se presenta en el 100% de los pacientes en el posoperatorio inmediato, la cual suele revertir por completo entre los dos y seis meses. Después del acto quirúrgico el paciente debe limitarse a levantar objetos mayores a 5 libras (2.2 kg) en seis semanas.1,4,15

La literatura menciona clásicamente una abdominoplastía o miniabdominoplastía para la DRA, que consiste en resecar el exceso de piel y la plicatura muscular. Sin embargo, con la técnica presentada, se realiza la plicatura muscular sin necesidad de resecar piel; comparándola con la técnica clásica, la REPA da como ventajas la exposición de toda la pared abdominal anterior, la exposición de defectos de pared, evitando la entrada a cavidad con la colocación de malla onlay, y elude sus complicaciones asociadas, hay menos cicatrices y una recuperación precoz por ser un abordaje menos invasivo.



CONCLUSIONES

El tratamiento más común para la diástasis de rectos abdominal asociada a hernia umbilical es mediante abdominoplastía o miniabdominoplastía asociada a incisión periumbilical o abordaje en T invertido. Sin embargo, no existe un consenso sobre la técnica más adecuada para su reparación. Un abordaje endoscópico preaponeurótico es una nueva opción para resolver el defecto parietal con la colocación de una prótesis supraaponeurótica de refuerzo con buenos resultados funcionales y estéticos.



AGRADECIMIENTOS

Un agradecimiento especial al Dr. Lizcano García Carlos Alberto, médico adscrito del servicio de Cirugía General, en el IMSS, Hospital General de Zona No. 4, de Guadalupe, Nuevo León, por su gran apoyo y confianza en este proyecto.


REFERENCIAS (EN ESTE ARTÍCULO)

  1. Nahabedian M, Brooks DC. Rectus abdominis diastasis. UpToDate. 2018- 01-26. Available in: https://www.uptodate.com/contents/rectus-abdominis-diastasis#:~:text=Rectus%20abdominis%20diastasis%20(RAD;%20diastasis%20recti,

  2. Awad E, Mobark A, Zidan AA, Hamada HA, Shousha T. Effect of progressive prone plank exercise program on diastasis of rectus abdominis muscle in postpartum women: a randomized controlled trial. J Human Sport Exercise. 2021; 16: S395-S403. doi: 10.14198/jhse.2021.16.Proc2.24-

  3. Baumann DP, Butler CE. Diastasis recti and primary midline ventral hernia: the plastic surgery approach. Hernia. 2019; 23: 1017-1018. doi: 10.1007/s10029-019-02055-y.

  4. Juárez-Muas DM. Preaponeurotic endoscopic repair (REPA) of diastasis recti associated or not to midline hernias. Surg Endosc. 2019; 33: 1777-1782. doi: 10.1007/s00464-018-6450-3.

  5. Manetti G, Lolli MG, Belloni E, Nigri G. A new minimally invasive technique for the repair of diastasis recti: a pilot study. Surg Endosc. 2021; 35: 4028-4034. doi: 10.1007/s00464-021-08393-2.

  6. Fiori F, Ferrara F, Gobatti D, Gentile D, Stella M. Surgical treatment of diastasis recti: the importance of an overall view of the problem. Hernia. 2021; 25: 871-882. doi: 10.1007/s10029-020-02252-0.

  7. Cavalli M, Aiolfi A, Bruni PG, Manfredini L, Lombardo F, Bonfanti MT, Campanelli G. Prevalence and risk factors for diastasis recti abdominis: a review and proposal of a new anatomical variation. Hernia. 2021; 25: 883-890. doi: 10.1007/s10029-021-02468-8.

  8. Campanelli, G. Ventral hernia and diastasis recti. Is there a consensus? Hernia. 2021; 25: 823-823. doi: 10.1007/s10029-021-02471-z.

  9. Tung RC, Towfigh S. Diagnostic techniques for diastasis recti. Hernia. 2021; 25: 915-919. doi: 10.1007/s10029-021-02469-7.

  10. Kulhanek J, Mestak O. Treatment of umbilical hernia and recti muscles diastasis without a periumbilical incision. Hernia. 2013; 17: 527-530. doi: 10.1007/s10029-013-1047-1.

  11. Cervelli V, Grimaldi M, Gentile P, Araco A, Colicchia GM, Gravante G. Miniabdominoplasty for the treatment of aesthetic defects after Pfannenstiel incisions. Scand J Plast Reconstr Surg Hand Surg. 2008; 42: 96-100. doi: 10.1080/02844310801924175.

  12. Bellido-Luque J, Bellido-Luque A, Valdivia J, Suarez-Gráu JM, Gomez-Menchero J, García-Moreno J, et al. Totally endoscopic surgery on diastasis recti associated with midline hernias. The advantages of a minimally invasive approach. Prospective cohort study. Hernia. 2015; 19: 493-501. doi: 10.1007/s10029-014-1300-2.

  13. Dong CT, Sreeramoju P, Pechman DM, Weithorn D, Camacho D, Malcher F. SubCutaneous OnLay endoscopic Approach (SCOLA) mesh repair for small midline ventral hernias with diastasis recti: an initial US experience. Surg Endosc. 2021; 35: 6449-6454. doi: 10.1007/s00464-020-08134-x.

  14. Nardi WS, Busnelli GL, Tchercansky A, Pirchi DE, Medina PJ. Diastasis recti associated with midline hernias: totally subcutaneous video-endoscopic repair. J Minim Access Surg. 2018; 14: 161. doi: 10.4103/jmas.JMAS_103_17.

  15. Nahabedian MY. Diastasis recti repair with onlay mesh. Hernia. 2021; 25: 855-862. doi: 10.1007/s10029-021-02464-y.



AFILIACIONES

1 Médico residente de segundo año de Cirugía General, Instituto Mexicano del Seguro Social, Unidad Médica de Alta Especialidad No. 71. Torreón, Coahuila.

2 Médico residente de segundo año de Cirugía General, Instituto Mexicano del Seguro Social, Unidad Médica de Alta Especialidad No. 25. Monterrey, Nuevo León.

3 Médico adscrito del Servicio de Cirugía General, Instituto Mexicano del Seguro Social, Hospital General de Zona No. 4. Guadalupe, Nuevo León.



CORRESPONDENCIA

Dra. Itzel Guadalupe García Félix. E-mail: itzelgafe28@gmail.com




Recibido: 18/05/2023. Aceptado: 30/09/2024

Figura 1
Figura 2
Figura 3
Figura 4
Figura 5
Figura 6

2020     |     www.medigraphic.com

Mi perfil

C?MO CITAR (Vancouver)

Cir Gen. 2024;46

ARTíCULOS SIMILARES

CARGANDO ...