2025, Número 1
Migración de cuerpo extraño a columna cervicotorácica: reporte de casos y revisión de la literatura
Idioma: Español
Referencias bibliográficas: 14
Paginas: 50-57
Archivo PDF: 639.40 Kb.
RESUMEN
La presencia de un cuerpo extraño en la columna cervicotorácica puede causar complicaciones graves, como lesiones neurológicas, vasculares e infecciones. El tratamiento de elección suele ser la extracción quirúrgica del mismo y, en caso necesario, la reparación de las lesiones. Presentamos tres casos de pacientes jóvenes; dos de ellos sufrieron migración del clavo de Kirschner tras cirugía de luxación acromioclavicular y fractura de clavícula respectivamente, el primer paciente sin déficit neurológico y el segundo con tetraparesia. El tercer caso fue un cuerpo extraño alojado en la columna cervical como consecuencia de una herida penetrante por material metálico con signos de déficit neurológico inicial. En los tres casos se procedió a la extracción quirúrgica.INTRODUCCIóN
Los cuerpos extraños en la columna cervical son una entidad poco común, pero potencialmente grave que puede resultar en complicaciones significativas. Puede presentarse en el contexto de traumatismos, procedimientos quirúrgicos o de forma espontánea.1 Su presencia en el conducto medular cervicodorsal puede ocasionar síntomas neurológicos significativos y requerir intervención quirúrgica para su extracción.2
Un cuerpo extraño en la columna cervical puede referirse a cualquier objeto ajeno al cuerpo humano que se encuentre alojado en esta región anatómica, incluyendo fragmentos de hueso, astillas, proyectiles, fragmentos de vidrio, dispositivos médicos, entre otros.1,3
La presencia de un cuerpo extraño en esta área puede comprometer tanto la integridad estructural de la columna como la función neurológica, lo que puede provocar una variedad de síntomas que van desde dolor localizado hasta déficits neurológicos graves.4
El diagnóstico de un cuerpo extraño en la columna cervical generalmente implica la realización de pruebas de imagen, como radiografías, tomografía computarizada o resonancia magnética (dependiendo de la composición del material), para identificar la ubicación precisa y la naturaleza del objeto extraño, así como para evaluar cualquier daño asociado a los tejidos circundantes.5
En este artículo, revisamos la literatura existente sobre cuerpos extraños en el conducto medular cervical, incluidas las causas, presentaciones clínicas, métodos diagnósticos y opciones de tratamiento. Además, presentamos tres casos clínicos ilustrativos y discutimos los desafíos diagnósticos y terapéuticos asociados con esta entidad. Esperamos que esta revisión contribuya a una mejor comprensión de esta rara, pero importante condición, lo que puede llevar a una identificación más temprana y a un manejo más efectivo de los pacientes afectados.
PRESENTACIóN DE LOS CASOS
CASO 1
Paciente masculino de 48 años de edad quien, posterior a levantar objeto pesado con miembro superior derecho, presenta cervicalgia súbita acompañada de cefalea hemicraneana derecha con irradiación retroorbitaria ipsilateral; por no controlarse con analgesia vía oral, acude al hospital. El paciente tiene como antecedente colocación de marcapasos hace 21 años por enfermedad de nodo sinusal y osteosíntesis con clavos Kirschner por luxación acromioclavicular derecha hace cuatro años. Al momento de la valoración se presenta neurológicamente íntegro, test de Sprue y Lhermitte negativos, clavo Kirschner palpable en región cervical lado derecho.
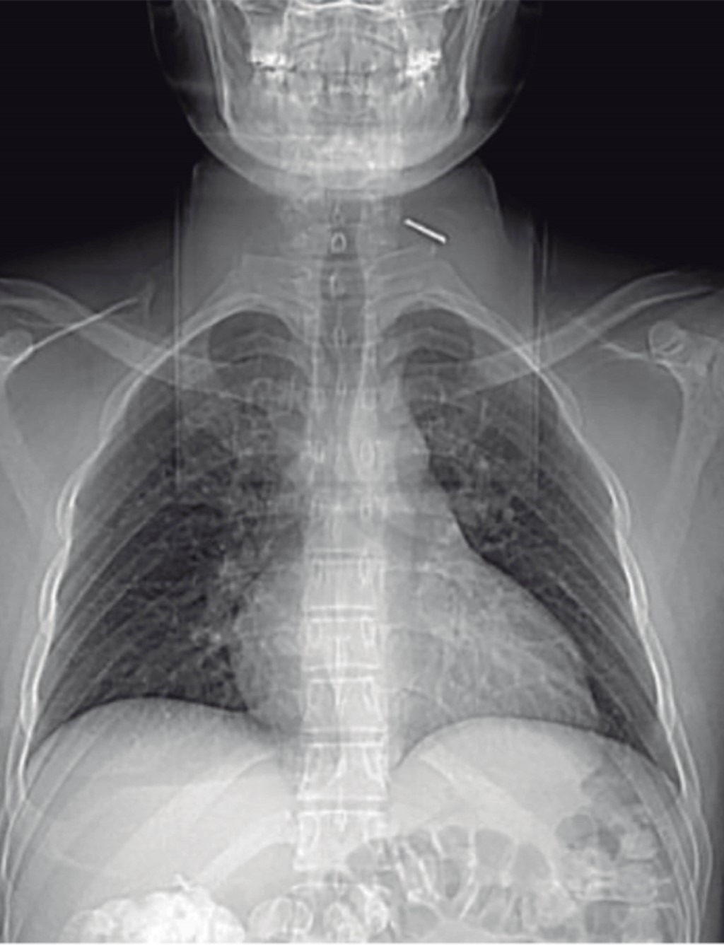
En radiografía anteroposterior (AP) de hombro derecho y radiografía anteroposterior de columna cervical se evidencia clavo Kirschner migrado a nivel del segmento C7-T1 (Figuras 1 y 2). En imágenes tomográficas se evidencia cuerpo extraño a nivel foraminal derecho (Figura 3).
Se efectuó intervención quirúrgica con abordaje cervical anterolateral derecho. Se realizó disección neurovascular y, con ayuda de intensificador de imágenes, en el espacio interapofisario transverso de C7-T1, se localizó el extremo lateral del clavo Kirschner que migró (Figura 4). Se procedió a retirarlo. En el postoperatorio, el paciente presentó parestesias en los dermatomas C5 y C6 y parálisis del bíceps braquial, que se atribuyó a la manipulación del área quirúrgica. Se inició fisioterapia temprana y hubo una recuperación total a los tres meses del postoperatorio.
CASO 2
Paciente masculino de 32 años de edad que sufre accidente laboral, herida con objeto cortopunzante (fragmento de varilla metálica) a nivel cervical posterior. Es valorado en sala de emergencias de hospital privado en donde indican manejo conservador; sin embargo, dos semanas después presenta cervicalgia izquierda con irradiación a hombro ipsilateral, parestesias y sensación de disminución de fuerza, por lo que decide acudir a valoración con especialista en columna. Al momento de la valoración actualmente reportada, se presenta con rangos de movilidad de columna cervical conservados. Dolor rotación izquierda, se evidencia cicatriz de aproximadamente 1 cm de longitud a nivel de borde posterior de músculo esternocleidomastoideo, no se palpa masa, dolor moderado a la palpación profunda, sprue izquierdo positivos dermatomas C5-C6. Rangos de movilidad de miembro superior izquierdo: flexión 140° dolorosa, extensión −10°, abducción 120° dolorosa (Figura 5). Neurológico: sensibilidad 2/2, Daniels 5/5 en las cuatro extremidades.
En radiografía anteroposterior cervicotorácica se evidencia cuerpo extraño metálico a nivel C6-C7 izquierdo (Figura 6). En imágenes tomográficas se observa cuerpo extraño metálico a nivel de apófisis transversa izquierda de C7 (Figura 7). Se realiza angiotomografía en la que se evidencia proximidad de cuerpo extraño a grandes vasos, con integridad de los mismos (Figura 8). Se realizó abordaje cervical anterolateral izquierdo a través de plexo cervicobraquial y disección neurovascular; con ayuda de intensificador de imágenes, se localizó el cuerpo extraño en apófisis transversa de C7 izquierda, con posterior extracción sin complicaciones (Figura 9). El paciente evolucionó favorablemente sin déficit neurológico; como protocolo se indicó antibioticoterapia por tratarse de cuerpo extraño.
CASO 3
Paciente masculino de 43 años de edad quien, cinco meses previos a la atención hospitalaria, presenta cervicalgia moderada sin sintomatología acompañante sin recibir atención médica. Siete días previos a la valoración y posterior a trauma contuso en región cervical y dorsal, presenta dolor intenso en región cervical, además de pérdida súbita de sensibilidad y fuerza motriz en cuatro extremidades. El paciente tiene como antecedente osteosíntesis de clavícula derecha con placas de reconstrucción y clavo Kirschner en institución privada hace ocho años. Al momento de la valoración actualmente reportada, se presenta movilizado en silla de ruedas, con tetraparesia, nivel neurológico C6, ASIA B. Se revisan radiografías anteroposterior y lateral de columna cervical en las que se evidencia clavo Kirschner en segmento C7-T1 (Figura 10). En tomografía computarizada se constata invasión de cuerpo extraño a conducto medular (Figura 11). Se realiza extracción quirúrgica de clavo Kirschner mediante abordaje supraclavicular derecho (utilizado para exploración de plexo braquial), se realiza disección neurovascular; se logra identificación directa de punta de clavo K mediante intensificador de imágenes. Se retira el clavo sin dificultad, no presentó fuga de líquido cefalorraquídeo (Figura 12A y B). El paciente en postoperatorio inmediato y a los 45 días posteriores a la cirugía no presenta cambios en estado neurológico.
DISCUSIóN
Es primordial saber que objetos extraños a nivel de columna cervicotorácica están relacionados con complicaciones graves como lesiones nerviosas, daño de cordón medular, infecciones. Estos objetos pueden localizarse en esta zona por heridas penetrantes o por migración de material de osteosíntesis relacionado con cirugías previas de hombro, clavícula o cervical propiamente dicha.
Las heridas penetrantes cervicales representan menos de 2% de todas las lesiones cervicales. En la actualidad existen múltiples guías de manejo de trauma penetrante cervical. Sin embargo, no específica el manejo de cuerpos extraños en esta región. La literatura hace referencia a la necesidad de manejo quirúrgico para retiro del cuerpo extraño, existiendo aún controversia por retiro de los mismos en caso de no existir clínica ni déficit neurológico, relacionando los casos en los que se decide manejo conservador con complicaciones a largo plazo como lesiones vasculares, infección, mediastinitis, metalosis, envenenamiento por plomo, rabdomiosarcoma.1
Cuando nos referimos a casos de cuerpos extraños por migración de material de osteosíntesis relacionados con estabilización previa de clavícula, articulación acromioclavicular y hombro, el porcentaje oscila entre 5.8 y 54%.2 En el 2018, N'da H y colaboradores3 realizaron un análisis de los casos publicados, los cuales fueron 12, lo que representa menos de un caso al año; todos de sexo masculino, con un tiempo aproximado entre la primera cirugía y el retiro de material migrado de 25 meses, con diferentes niveles afectos, siendo C7-T1 y T1-T2 los más frecuentes, lo que coincide con nuestros casos. La mayoría de los casos reportados en la literatura son asintomáticos, sin lesión de órganos, mientras que algunos casos mencionan migración a mediastino, pulmones, esófago, corazón con lesión de los mismos.4 La migración de clavos Kirschner a columna cervicotorácica es rara, con reporte de 13 casos hasta el 2020;2 los síntomas varían desde casos asintomáticos5-8 hasta cuadriplejía.9 El sitio de ubicación del cuerpo extraño más frecuente es el foramen neural, 75% de los casos; seguidos por la lámina, foramen transverso, y cuerpo anterior.3 La migración fue transversal en la mayoría de los casos (72.73%), ascendente en 18.19% de los casos y descendente en 9.08%. El clavo K se rompió en 25% de los casos y la migración se produjo con la parte proximal del clavo roto.3
En nuestros dos casos con cirugía previa de hombro, los clavos de Kirschner no fueron doblados en su base para disminuir el riesgo de migración de los mismos. La literatura1-3 muestra casos con migración de clavos que fueros doblados sólo levemente en su base.
El tratamiento de elección es intervención quirúrgica para retiro del material, siguiendo el trayecto de migración o ingreso de cuerpo extraño para evitar daño de medula espinal y lesiones neurológicas subsecuentes.4 Fransen P y asociados10 reportaron la necesidad de laminectomía posterior a retiro de material por sangrado y fuga de líquido cefalorraquídeo.
Todos los casos con sintomatología previa mejoraron considerablemente después de la extracción del cuerpo extraño,10-12 lo mismo que ocurrió con nuestros dos primeros casos.4,13,14
CONCLUSIONES
La migración de un clavo de Kirschner a la columna cervicotorácica es un evento poco común, pero potencialmente grave que puede ocurrir como complicación de procedimientos quirúrgicos ortopédicos o traumatismos previos. La migración puede resultar en síntomas neurológicos significativos debido a la compresión de estructuras neurales vitales en la columna cervicotorácica.15
Aunque los cuerpos extraños en la columna cervicotorácica son una condición rara, es fundamental considerarla en el diagnóstico diferencial de pacientes con síntomas neurológicos inexplicables, especialmente en aquellos con antecedentes de traumatismos o procedimientos quirúrgicos en la región cervical, dorsal, o sitios contiguos como la región esternal y la cintura escapular. Se necesita una mayor conciencia de esta entidad para garantizar un diagnóstico y tratamiento oportunos, lo que puede mejorar significativamente el pronóstico de los pacientes afectados.
Con base en el análisis de nuestros casos, creemos que siempre debe doblarse la base del clavo de Kirschner a 90 grados para disminuir el riesgo de migración y evitar los movimientos demasiado amplios del hombro antes de remover el implante.
AGRADECIMIENTOS
A todos nuestros maestros, por haber sembrado en nosotros el interés por la investigación clínica.
REFERENCIAS (EN ESTE ARTÍCULO)
AFILIACIONES
1 Hospital Vozandes Quito-Ecuador.
2 Cirujana de Columna de Apoyo Servicio de Traumatología de Columna.
3 Cirujana de Columna Servicio de Ortopedia y Traumatología, Hospital Pablo Arturo Suárez Quito-Ecuador.
4 Médico tratante Jefe del Servicio de Traumatología de Columna.
5 Médico tratante del Servicio de Traumatología deColumna.ñbrñORCID:
6 0009-0007-5240-3230
7 0009-0007-0651-5071
8 0000-0003-2949-5230
9 0009-0007-4595-0666
10 0009-0008-6833-1830
Conflicto de intereses: declaramos no tener conflicto de intereses alguno.
CORRESPONDENCIA
Dra. María José Del Pozo Zúñiga. E-mail: dramajodelpozocolumna@gmail.comRecibido: 25 de Abril de 2024. Aceptado: 20 de Mayo de 2024
