medigraphic.com
ENGLISH

Revista del Centro Dermatológico Pascua

ISSN 1405-1710 (Impreso)
  • Mostrar índice
  • Números disponibles
  • Información
    • Información general        
    • Directorio
  • Publicar
    • Instrucciones para autores        
  • medigraphic.com
    • Inicio
    • Índice de revistas            
    • Registro / Acceso
  • Mi perfil

2024, Número 1

<< Anterior Siguiente >>

Rev Cent Dermatol Pascua 2024; 33 (1)


Placas eritematosas hiperpigmentadas diseminadas a cara, tronco y extremidades

Rodríguez-Acar, Myrna del Carmen1; Navarrete-Franco, Gisela2; López-Zenteno, Bianca Eunice3
Texto completo Cómo citar este artículo 10.35366/119095

DOI

DOI: 10.35366/119095
URL: https://dx.doi.org/10.35366/119095

Idioma: Español
Referencias bibliográficas: 13
Paginas: 22-26
Archivo PDF: 318.64 Kb.


PALABRAS CLAVE

Sin palabras Clave





CASO CLÍNICO

Paciente del sexo masculino, de 78 años de edad, originario y residente de San Juan de los Ríos, Puebla, de ocupación campesino, sin antecedentes de importancia para padecimiento actual, quien acude al Centro Dermatológico "Dr. Ladislao de la Pascua" refiriendo la presencia de "granos" en extremidades y en tronco, con una evolución de un año y medio. Como síntomas refería prurito ocasional. Tratado previamente con múltiples antibióticos: cefixima, minociclina, trimetoprima-sulfametoxazol, además de loratadina y dexametasona, sin mejoría. A la exploración física se observa dermatosis diseminada a cabeza, tronco, extremidades superiores e inferiores. De la primera, afecta cara en región frontal y lóbulos de orejas; de la segunda, principalmente tórax anterior y posterior a nivel de tercios superior y medio así como región lumbar; de la tercera, compromete brazos y antebrazos por todas sus caras, y de la última, muslos. Bilateral y con tendencia a la simetría. Dermatosis de aspecto monomorfo, polilesional, constituida por eritema, manchas hiperpigmentadas color marrón oscuro, así como algunas lesiones de aspecto nodular, elementos que confluían para formar placas de bordes mal limitados, de diferente forma y tamaño, cubiertas con fina escama blanquecina. De evolución crónica (Figuras 1, 2 y 3). El paciente refería disestesias difusas en miembros torácicos y pélvicos. Resto de interrogatorio negativo.

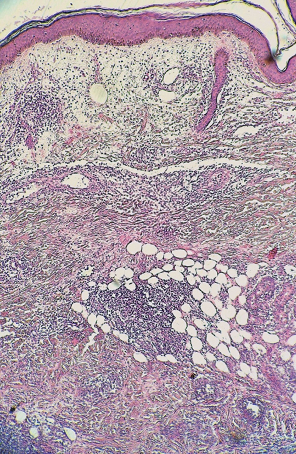
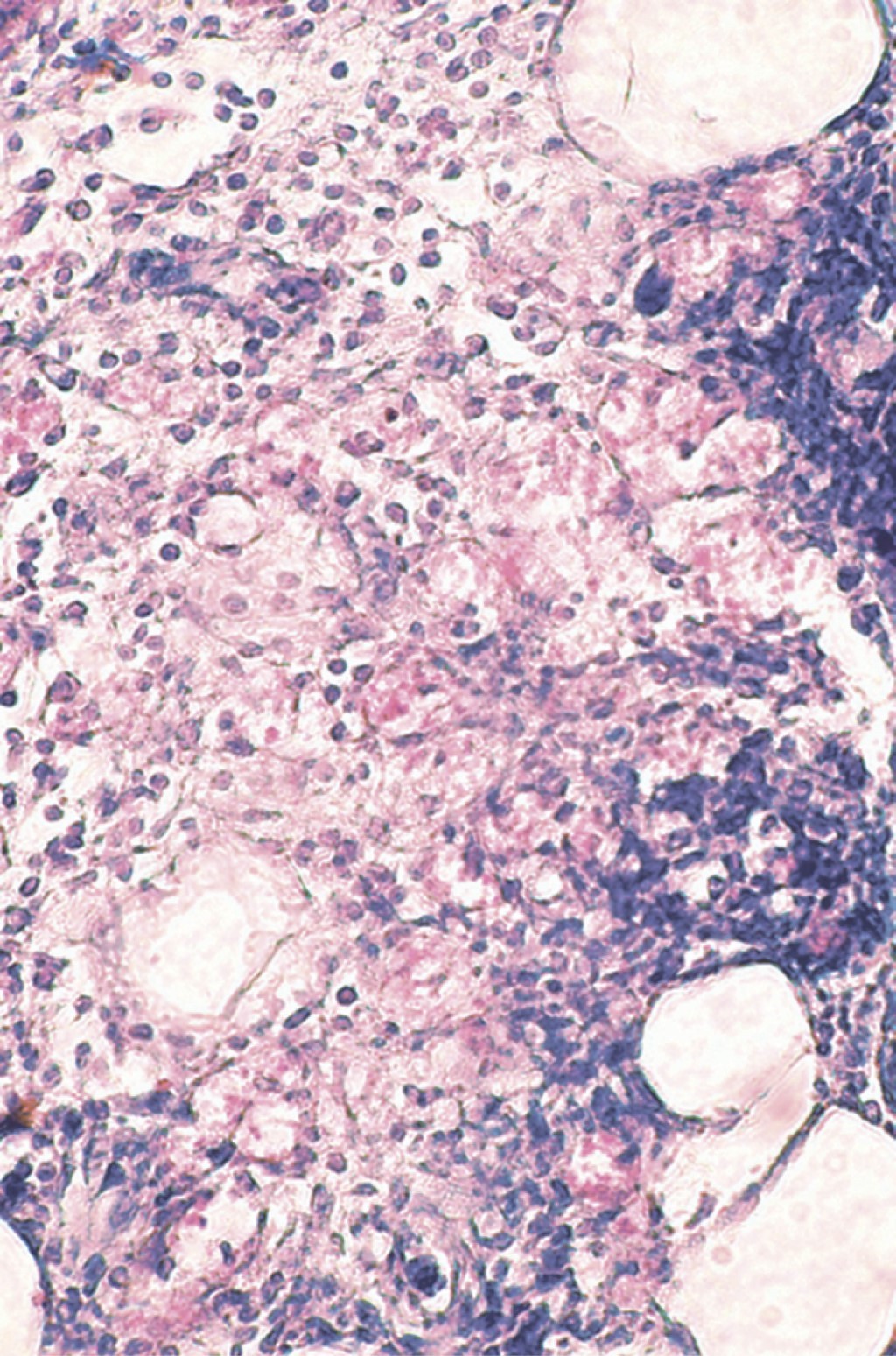
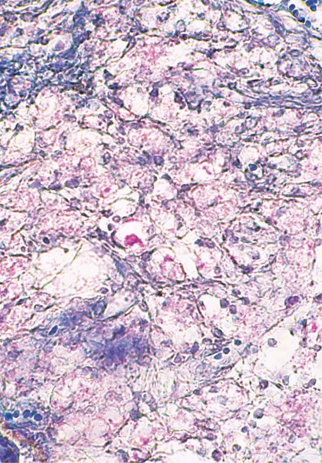
Se realiza biopsia incisional y el estudio histopatológico con tinción de rutina muestra: epidermis atrófica con hiperqueratosis ortoqueratósica, formación de tapones córneos e hiperpigmentación de la capa basal. En algunas zonas de la dermis superficial se observa la presencia de edema entre las fibras colágenas así como infiltrados moderados focales que tienden a rodear algunos vasos dilatados y congestionados. Estos infiltrados aumentan en intensidad y se observan ocupando la dermis media y profunda, e incluso hasta tejido celular subcutáneo. Están constituidos por abundantes histiocitos vacuolados, mismos que son más evidentes en las partes profundas del corte; además se aprecian linfocitos, histiocitos y numerosos polimorfonucleares que se ubican de manera predominante en las partes profundas de la epidermis y tejido celular subcutáneo, disponiéndose al nivel de los lóbulos grasos. Se aprecia edema en algunos sitios de la dermis profunda. Los infiltrados también tienden a rodear en algunos sitios a fibras nerviosas engrosadas. La tinción para bacilos fue positiva (Figuras 4, 5 y 6).

Con los datos anteriores, ¿cuál es su diagnóstico?



LEPRA LEPROMATOSA DE ELEMENTOS CIRCUNSCRITOS

La lepra lepromatosa (LL) se considera una enfermedad dinámica, progresiva e infectante que puede o no desarrollar involucro sistémico. Es ocasionada por el bacilo Mycobacterium leprae, descubierto por Hansen en 1873.1

A pesar de su baja contagiosidad, si se presentan las circunstancias adecuadas, una persona puede contagiarse con lepra. Dentro de los factores directamente relacionados se encuentran la predisposición genética, habitar en una zona endémica y la convivencia íntima y prolongada con un enfermo con lepra. Se piensa que 95% de la población presenta inmunidad genética a la infección por el bacilo de Hansen; sin embargo, todavía queda un 5%, la cual puede ser susceptible, principalmente en países endémicos, por lo que ante la presencia de datos clínicos sugestivos de la enfermedad y tiempo de evolución del cuadro –generalmente prolongado– se deberá evaluar en forma minuciosa a cada paciente sospechoso para asegurarse de descartar por completo la posibilidad de estar cursando con este padecimiento.2,3

Lo poco severo de las lesiones en sus etapas iniciales, la historia natural prolongada de la enfermedad y la baja sospecha por parte del personal médico y paramédico son factores que influyen en el retraso en su diagnóstico.2

En cuanto a su presentación clínica, la LL, y en especial su polo lepromatoso, se caracteriza por la presencia de nódulos, y/o placas eritematosas infiltradas de diferente tamaño y forma. Se acompañan generalmente de alteraciones en la sensibilidad. La lepra lepromatosa nodular se subdivide a su vez, en lepra lepromatosa nodular (propiamente dicha) y lepra lepromatosa de elementos circunscritos. Esta última es una variante poco frecuente. Como su nombre lo indica, en estos casos lo que predomina es la presencia de placas eritematosas infiltradas, de forma y tamaño variable, diseminadas a varios segmentos de la superficie corporal, con disminución de la sensibilidad. En general, esta variante solo la conoce el personal médico especializado que trata a este grupo de pacientes. Por la misma razón, no se cuenta con datos epidemiológicos en cuanto a frecuencia, grupo etario y género más afectados, comorbilidades, etc. El tratamiento es el mismo que para la lepra en general.4,5

Esta dermatosis puede confundirse en múltiples ocasiones con otras patologías con manifestaciones cutáneas similares, lo cual retrasa su diagnóstico.6,7 Las lesiones hiperpigmentadas pueden confundirse con pitiriasis versicolor, parapsoriasis o cuadros de hiperpigmentación postinflamatoria. En cuanto a las lesiones papulares y nodulares, se debe descartar sarcoidosis, granuloma anular diseminado, liquen plano, lesiones treponémicas papulares, leishmaniasis anérgica, y cutáneo-diseminada. Dentro de los diferenciales de las lesiones en placas, se encuentran nuevamente la sarcoidosis, mastocitosis, granuloma anular y algunas neoplasias linfoides.7 Entre los diferenciales menos frecuentes, pero que deben tomarse en cuenta, se encuentran urticarias crónicas, enfermedades autoinmunes y la enfermedad de Still.8

La respuesta inmunológica hacia el agente causal es variable, y hasta 15-30% de los pacientes infectados puede presentar reacciones leprosas secundarias. Éstas se consideran estados inflamatorios agudos, asociados a cambios súbitos en las acciones previamente programadas en el sistema inmunitario, como el inicio de tratamiento actual para LL, cursar con embarazo, puerperio, infecciones concomitantes, ingesta de alcohol, o de algunos fármacos con yodo, etcétera; sin embargo, pueden aparecer en cualquier momento durante el transcurso de la enfermedad.1,4 Estos fenómenos (reacción tipo I –de reversa o degrado–) son mediados por reacciones de hipersensibilidad tipo IV, (relacionadas generalmente con los tipos de lepra subpolares), y por reacciones de hipersensibilidad tipo III, (denominadas reacciones tipo II, representadas por el eritema nudoso y el eritema necrosante, observados en los casos polares de la lepra).1,2

La reacción leprosa tipo II o eritema nudoso se desarrolla hasta en 30% de los pacientes con LL. Su presentación clínica se manifiesta con nudosidades dolorosas en tronco y extremidades inferiores.1,3,5

En cuanto al diagnóstico en los casos de LL, la sospecha clínica y un interrogatorio minucioso son la base de la historia clínica general para tratar de detectar intencionadamente alteraciones en la sensibilidad, e interrogando para detectar el probable caso antecedente y, si los hubiera, casos colaterales. Al mismo tiempo, se solicita el examen baciloscópico, - positivo (multibacilar) y una prueba Mitsuda, si se cuenta con el antígeno correspondiente. En este tipo de lepra el resultado es negativo, lo cual es de utilidad para realizar la clasificación de cada caso.3,9

Para confirmar el diagnóstico presuntivo es indispensable la realización de un estudio histopatológico. La LL tiene una presentación clínica, inmunológica e histopatológica diferente. La respuesta inmunitaria se caracteriza por permitir la proliferación de los bacilos en los tejidos, generalmente no forman granulomas; sin embargo, se aprecian macrófagos espumosos con poca cantidad de linfocitos CD4 y CD83,9 alrededor de los vasos sanguíneos. Por inmunohistoquímica se observa expresión de IL-4 e IL-10.

El tratamiento se establece de acuerdo con los siguientes parámetros: cuadro clínico, hallazgos microbiológicos y aspectos histopatológicos.

Según los lineamientos de la Norma Oficial para el diagnóstico, tratamiento y control de la lepra que se consulta a nivel mundial para tratar cada caso, la terapia multidroga con los tres fármacos: rifampicina, dapsona y clofazimina por un año continúa siendo la elección. La posología y temporalidad se determinan de forma individualizada, acorde a la clasificación de cada paciente.10 Incluso, después de la administración de la terapia multidroga, por el tiempo establecido, los pacientes pueden experimentar complicaciones o secuelas que van desde reacciones leprosas, secuelas de la enfermedad o el estigma social, situaciones que marcan su vida en forma permanente.2,3



COMENTARIO

La lepra o enfermedad de Hansen continúa siendo un problema de salud pública en múltiples países, incluyendo México. Es una enfermedad poco comprendida, la cual desarrolla diversas secuelas sistémicas y emocionales en los pacientes afectados.3 Cada año se registran más de 200,000 casos de lepra a nivel mundial, a pesar de la meta de la OMS de disminuir la transmisión e incluso erradicarla.11 Factores genéticos, sociales, ambientales y económicos son relevantes en la transmisión y control de dicho padecimiento. Estudios previos en países endémicos demostraron que los hábitos alimenticios deficientes, migración interna (generalmente relacionada a la desigualdad social) y hacinamiento son factores importantes que influyen en su presentación.12,13 Debido a que la prevalencia de la enfermedad persiste alta año con año, se sugiere que en un futuro los casos se pueden incrementar exponencialmente a nivel mundial.2,3

La cantidad del bacilo en la piel y las reacciones inmunes que se desencadenan, condicionan las manifestaciones dermatológicas observadas en cada caso.

Debido a que este padecimiento se puede manifestar clínicamente con diferentes tipos de lesiones, existen múltiples diagnósticos diferenciales que el médico de primer contacto debe plantearse ante un caso sospechoso.

En el caso motivo de esta publicación, desde el inicio se pensó que se trataba de lepra, por lo que se realizó una biopsia incisional con el resultado ya descrito. Se solicitaron además baciloscopías del lóbulo de la oreja y de la mucosa nasal, reportadas como positivas +2, índice morfológico 2,1,1. Se solicitó interconsulta al servicio de rehabilitación de esta unidad médica, en donde le realizaron una exploración neurológica a detalle, encontrando disminución de la fuerza (Daniels 3/5) en brazo y pierna izquierdos, disestesias en ambos miembros torácicos y pélvicos, hipoacusia derecha y acúfenos; atrofia de músculos de miembros pélvicos, ROTS++/+++. Al hacer la correlación clínico-bacteriológica, histopatológica y neurológica se realizó el diagnóstico definitivo de Lepra lepromatosa de elementos circunscritos. Se inició tratamiento con la llamada poliquimioterapia (dapsona, clofazimina, rifampicina) a las dosis ya conocidas, inicialmente por un año, pero al continuar con lesiones clínicas y baciloscopías positivas durante su evolución, se tuvo que administrar el tratamiento por dos años más, con lo cual se obtuvo negativización de las baciloscopías y desaparición de las lesiones clínicas. En la actualidad, el paciente está por terminar el periodo de vigilancia epidemiológica, se encuentra asintomático, en buenas condiciones generales.

A manera de conclusión, podemos señalar que la lepra es un padecimiento que ha sobrevivido al paso del tiempo, acompañando a las diferentes civilizaciones desde el principio de los tiempos, sin lograr aún su erradicación.

El impacto de esta enfermedad radica en las repercusiones sociales, políticas y de salud pública, pese a los múltiples intentos de las diversas organizaciones de salud por intentar contenerla y erradicarla.

Preocupa que los tipos de casos que predominan en nuestro país sean los lepromatosos, eso nos indica que aún no se ha cortado la cadena de transmisión, por lo que se requiere continuar con las acciones del Programa Nacional de Acción contra la Lepra que encabeza el CENAPRECE.


REFERENCIAS (EN ESTE ARTÍCULO)

  1. Fischer M. Leprosy- an overview of clinical features, diagnosis, and treatment. J Dtsch Dermatol Ges. 2017; 15: 801-827.

  2. White C, Franco-Paredes C. Leprosy in the 21st century. Clin Microbiol Rev. 2015; 28: 80-94. doi: 10.1128/CMR.00079-13.

  3. Eichelmann K, González S, Ocampo-Candiani J. Lepra: puesta al día. Definición, patogénesis, clasificación, diagnóstico y tratamiento. Actas Dermosifiliogr. 2013; 104: 554-563.

  4. Bonamonte D, Filoni A, Verni P, Romita P, Angelini G. Leprosy. En: Bonamonte GD. Mycobacterial skin infections. Springer, Nature. 2017, pp. 153-276.

  5. Nunzi E, Massone C, Noto S. Clinical features en leprosy. En: Nunzi E, Massone C (eds.) Leprosy. Springer-Verlag, Italia. 2012, pp. 75-110.

  6. Karadag AS, Chen WC. Great imitators in dermatology: Part I. Clinics in Dermatology. 2019; 37: 173-174.

  7. Kundakci N, Erdem C. Leprosy: a great imitator. Clin Dermatol. 2019; 37: 200-212.

  8. Raj SK, Geetika KC, Gyawali P, Singh M, Sijapati MJ. Leprosy eliminated and forgotten: a case report. J Med Case Reports. 2019; 13: 276. doi: 10.1186/s13256-019-2198-1

  9. Nunzi E, Massone C, Noto S. Diagnostic work-up. En: Nunzi E, Massone C (eds.). Leprosy. Springer-Verlag Italia. 2012, pp. 271-279.

  10. Talhari S, Ameen M. Drugs in leprosy. En: Nunzi E, Massone C (eds.). Leprosy. Springer-Verlag Italia. 2012, pp. 281-286.

  11. Naaz F, Mohanty PS, Bansal AK, Kumar D, Gupta UD. Challenges beyond elimination in leprosy. Int J Mycobacteriol. 2017; 6: 222-228.

  12. Rao PS, John AS. Nutritional status of leprosy patients in India. Indian J Lepr. 2012; 84: 17-22.

  13. Bakker M, Hatta M, Kwenang A, Van Mosseveld P, Faber WR, Klatser PR et al. Risk factors for developing leprosy a population based cohort study in Indonesia. Lepr Rev. 2006; 77: 48-61.



AFILIACIONES

1 Dermatóloga y Jefa de la Consulta Externa. Centro Dermatológico "Dr. Ladislao de la Pascua", SSCDMX.

2 Dermatóloga y Exjefa del Servicio de Dermatopatología. Centro Dermatológico "Dr. Ladislao de la Pascua", SSCDMX.

3 Dermatóloga. Centro Dermatológico "Dr. Ladislao de la Pascua", SSCDMX.



CORRESPONDENCIA

Dra. Myrna del Carmen Rodríguez Acar. E-mail: roamacar@yahoo.com.mx


Figura 1
Figura 2
Figura 3
Figura 4
Figura 5
Figura 6

2020     |     www.medigraphic.com

Mi perfil

C?MO CITAR (Vancouver)

Rev Cent Dermatol Pascua. 2024;33

ARTíCULOS SIMILARES

CARGANDO ...