medigraphic.com
ENGLISH

Revista del Centro Dermatológico Pascua

ISSN 1405-1710 (Impreso)
  • Mostrar índice
  • Números disponibles
  • Información
    • Información general        
    • Directorio
  • Publicar
    • Instrucciones para autores        
  • medigraphic.com
    • Inicio
    • Índice de revistas            
    • Registro / Acceso
  • Mi perfil

2024, Número 1

<< Anterior Siguiente >>

Rev Cent Dermatol Pascua 2024; 33 (1)


Tricorrexis nodosa localizada

Cardona-Hernández, Miguel Ángel1; Méndez-Islas, Paulina2
Texto completo Cómo citar este artículo 10.35366/119094

DOI

DOI: 10.35366/119094
URL: https://dx.doi.org/10.35366/119094
Artículos similares

Idioma: Español
Referencias bibliográficas: 9
Paginas: 18-20
Archivo PDF: 239.71 Kb.


PALABRAS CLAVE

tricorrexis nodosa, tratamiento, tallo piloso.

RESUMEN

La tricorrexis nodosa es una condición capilar caracterizada por la fractura del cabello, que puede ser congénita o adquirida. La forma adquirida suele ser causada por traumas físicos, térmicos o químicos que afectan la estructura del cabello, manifestándose como nodulaciones blanquecinas a lo largo de los tallos capilares. En este artículo, comunicamos el caso de un paciente del sexo masculino de 24 años con tricorrexis nodosa adquirida distal. El tratamiento adecuado incluyó evitar estos factores y el uso de un champú reparador junto con suplementos de biotina y zinc, resultando en una mejora significativa y reducción de las áreas afectadas.



INTRODUCCIóN

La tricorrexis nodosa (TN) es la alteración estructural más frecuente del tallo piloso. fue descrita por primera vez hace más de 100 años, en 1852, por Samuel Wilks, sin embargo, el término de TN fue propuesto hasta 1876 por M. Kaposi.1-3 La variedad más común es la forma adquirida.



CASO CLíNICO

Se trata de un paciente del sexo masculino, de 24 años de edad, sin antecedentes personales de importancia. Acude al Centro Dermatológico "Dr. Ladislao de la Pascua" porque su cabello "se rompe" desde hace tres meses. Ha sido tratado con champú comercial y minoxidil tópico sin mejoría. Al interrogatorio directo refiere el uso asiduo de gorra y cepillado enérgico frecuente.

A la exploración física presentaba dermatosis localizada a cabeza, de la cual afecta el pelo terminal en las regiones temporales, de manera bilateral, constituida por discreta disminución de la densidad capilar, y por numerosas concreciones nodulares blanquecinas ubicadas en los tallos distales. De evolución crónica y asintomática (Figura 1).

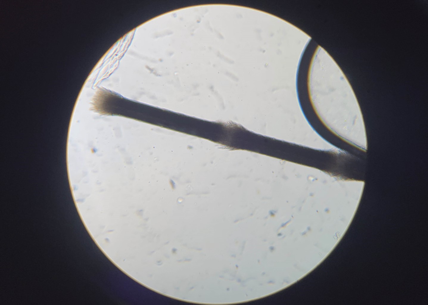
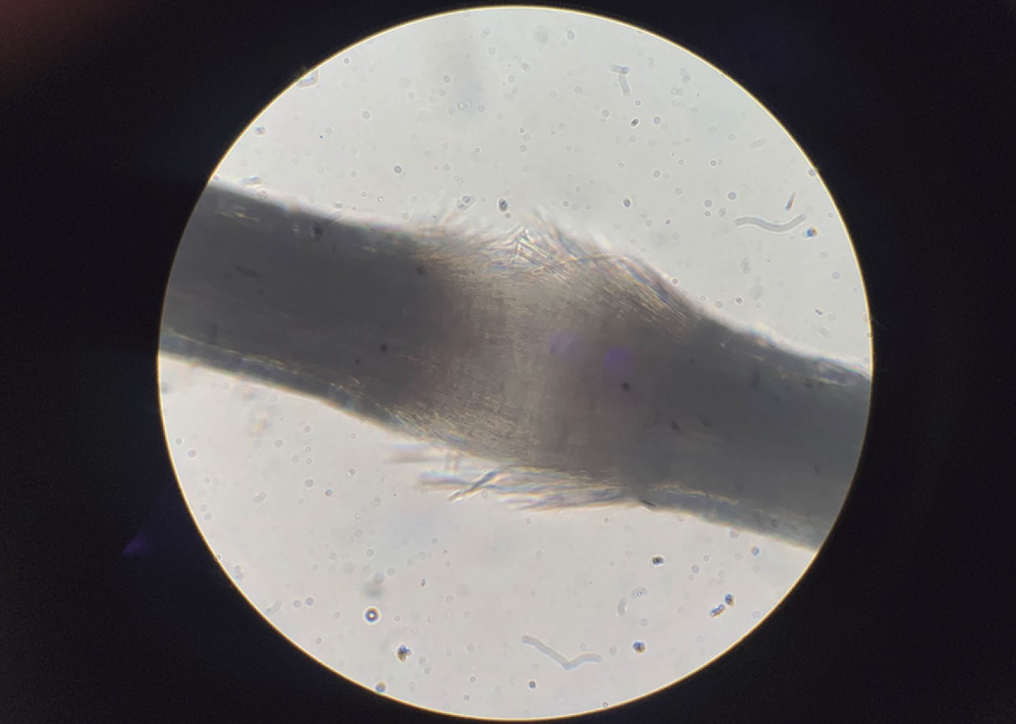
También presentaba en vértex y región frontal zonas alopécicas, con miniaturización y variabilidad del tallo. Con el diagnóstico clínico de alopecia androgenética y un trastorno estructural del pelo, se realiza examen tricoscópico, donde se aprecian ensanchamientos nodulares del pelo, tres fracturas a lo largo de tallo piloso y una imagen de "escobas encontradas" a la microscopía de luz (Figuras 2 y 3), con lo que se estableció el diagnóstico clínico de TN adquirida, variedad distal. Se indican medidas generales como evitar el uso de gorra y cepillado enérgico, así como tratamiento de soporte con champú reparador capilar y suplemento alimenticio con biotina y zinc.



TRICORREXIS NODOSA

La TN es una dermatosis poco publicada, aunque representa la alteración estructural más frecuente del tallo piloso, causante de fracturas proximales o distales. En la mayoría de los reportes afecta con mayor frecuencia al sexo femenino.4,5



CUADRO CLíNICO

Clínicamente se manifiesta como pelo frágil y opaco, que presenta ensanchamientos nodulares blanquecinos a intervalos irregulares a lo largo del pelo. Los pacientes pueden referir poco crecimiento del mismo. Con mayor frecuencia afecta la piel cabelluda, aunque también puede afectar el vello púbico, cejas, pestañas y barba.1,6



ETIOLOGíA Y FACTORES DE RIESGO

Se clasifica en TN congénita y adquirida, siendo la última la que con mayor frecuencia se comunica. La primera es una afección rara con un patrón de herencia autosómico dominante. Se puede presentar al nacimiento o a los pocos meses de vida. Se encuentra como hallazgo único en 6% de los pacientes pediátricos; sin embargo, se puede presentar asociada a alteraciones metabólicas como la aciduria arginosuccínica (mutaciones en el gen ASL que codifica para la enzima argininosuccinasa), que produce deficiencia de arginina ocasionando debilidad y favoreciendo la fractura del pelo.1,6 También se asocia a la enfermedad de Menkes (defecto en el metabolismo del cobre),7 deficiencia de carboxilasa múltiple, síndrome tricohepatoentérico, síndrome de Goltz, síndrome de Netherton, citrulinemia, pelo lanudo y tricotiodistrofia.1

Respecto a la TN adquirida, la principal causa es el trauma, el cual puede ser físico como un cepillado o rascado crónico excesivo, trauma térmico como la aplicación de calor o la exposición prolongada a la radiación ultravioleta (RUV), y/o secundario a trauma químico como el uso excesivo de tintes, champús, acondicionadores, fijadores, blanqueadores, permanentes y baños con agua salada. El hipotiroidismo o alteraciones en el metabolismo del hierro, son padecimientos asociados también reportados.1,3,8

La TN adquirida se subdivide en proximal y distal; la primera es más común en pacientes de raza negra y es ocasionada por la realización de procedimientos como alaciados u ondas permanentes; en estos casos la ruptura ocurre proximal al nacimiento del tallo piloso. El subtipo distal es más común en pacientes de raza blanca y orientales, la fractura se produce a unos centímetros del nacimiento del pelo.



DIAGNóSTICO

El diagnóstico confirmatorio se hace utilizando la microscopía de luz, y en ocasiones la electrónica. El hallazgo característico es la apariencia de puntas de pincel abiertas, que es causado por la ruptura de la cutícula que conduce a la exposición de las fibras que lo hacen más susceptible para su fractura.

Para determinar las causas de la TN adquirida se pueden hacer estudios adicionales como biometría hemática completa, pruebas de función tiroidea y determinación de niveles de cobre.

Entre los diagnósticos diferenciales se encuentran: la alopecia areata, alopecia androgenética, moniletrix, piedra, dermatitis seborreica, efluvio telógeno y tricotilomanía entre otros.1 A la tricoscopía de gran aumento aparecen estructuras como nódulos o espacios de color claro ubicados a lo largo del pelo.8



TRATAMIENTO

En la TN adquirida, la piedra angular del tratamiento es evitar el trauma desencadenante como el cepillado excesivo, exposición al calor, trauma mecánico y/o rascado crónico, pues no existe una terapia específica.

La resolución del cuadro es variable con reportes de hasta cuatro años en resolver. La implementación de una rutina adecuada para el aseo de la piel cabelluda y pelo es un punto importante, se recomienda, el uso de champú con tensoactivos no iónicos o anfóteros. En nuestro caso, la evolución del paciente ha sido favorable, mostrando una notable mejoría tras el tratamiento proporcionado. La disminución significativa de las áreas afectadas refleja la efectividad del abordaje terapéutico aplicado.1,6,9



COMENTARIO

El caso de TN presentado en este artículo subraya la importancia de un diagnóstico preciso y de atención médica adecuada para abordar esta compleja afección capilar. La TN, aunque relativamente rara, puede tener un impacto significativo en la calidad de vida de los pacientes debido a los problemas estéticos y las posibles complicaciones asociadas. A través de una comprensión detallada de sus manifestaciones clínicas, causas subyacentes y opciones terapéuticas, los profesionales de la salud pueden ofrecer estrategias efectivas para el manejo y la mejora de los síntomas. Este caso pone de manifiesto la necesidad de vigilancia continua e investigación más profunda para optimizar el cuidado y apoyar a quienes padecen esta condición. La colaboración interdisciplinaria y la educación continua son esenciales para avanzar en el conocimiento y el tratamiento de la TN, contribuyendo así a una mejor calidad de vida para los afectados.


REFERENCIAS (EN ESTE ARTÍCULO)

  1. Wolff K, Goldsmith L, Katz S, Gilchrest B, Palle AS, Leffell D. Fitzpatrick's dermatology in general medicine. 11th ed. McGraw-Hill. 2019; pp. 766-767.

  2. Pisani V. Trichorrhexis nodosa. Eur J Pediat Dermatol. 2006; 16: 28.

  3. Martin AM, Sugathan P. Localised acquired trichorrhexis nodosa of the scalp hair induced by a specific comb and combing habit. A report of three cases. Int J Trichology. 2011; 3: 34-37.

  4. Yoo JH, Youn JI. Localized trichorrhexis nodosa. Ann Dermatol. 1995; 7: 86-87.

  5. Gari SA. A case of acquired trichorrhexis nodosa after applying new hair spray. Journal of the Saudi Society of Dermatology & Dermatologic Surgery. 2013; 17: 73-75.

  6. Whiting DA. Structural abnormalities of the hair shaft. J Am Ac Dermatol. 1987; 16: 1-25.

  7. Hernández-Ramírez H. Tricorrexis nodosa adquirida. Dermatol Rev Mex. 2017; 61: 59-63.

  8. Rudnicka L, Olszewska M, Rakowska A, Slowinska M. Trichoscopy update 2011. J Dermatol Case Rep. 2011; 5: 82-88.

  9. Haskin A, Kwatra SG, Aguh C. Breaking the cycle of hair breakage: pearls for the management of acquired trichorrhexis nodosa. J Dermatolog Treat. 2017; 28: 322-326.



AFILIACIONES

1 Médico adscrito. Centro Dermatológico "Dr. Ladislao de la Pascua", SSCDMX.

2 Residente del Curso de Postgrado en Dermatopatología. Centro Dermatológico "Dr. Ladislao de la Pascua", SSCDMX.



CORRESPONDENCIA

Dr. Miguel Ángel Cardona-Hernández. E-mail: drmiguelcardona08@gmail.com


Figura 1
Figura 2
Figura 3

2020     |     www.medigraphic.com

Mi perfil

C?MO CITAR (Vancouver)

Rev Cent Dermatol Pascua. 2024;33

ARTíCULOS SIMILARES

CARGANDO ...